JavaScript is disabled in your browser. Please enable JavaScript to view this website.
AB307830

Anti-HIF1AN/FIH-1 antibody [EPR27308-67] - BSA and Azide free

Be the first to review this product! Submit a review

|

(0 Publication)

Rabbit Recombinant Monoclonal HIF1AN/FIH-1 antibody. Carrier free. Suitable for WB and reacts with Mouse, Rat samples.

View Alternative Names

Hypoxia-inducible factor 1-alpha inhibitor, Hypoxia-inducible factor asparagine hydroxylase, Hif1an

4 Images
Western blot - Anti-HIF1AN/FIH-1 antibody [EPR27308-67] - BSA and Azide free (AB307830)
  • WB

Supplier Data

Western blot - Anti-HIF1AN/FIH-1 antibody [EPR27308-67] - BSA and Azide free (AB307830)

This data was developed using ab307829, the same antibody clone in a different buffer formulation. Blocking and diluting buffer and concentration : 5% NFDM/TBST. Exposure time : 92 seconds.

All lanes:

Western blot - Anti-HIF1AN/FIH-1 antibody [EPR27308-67] (<a href='/en-us/products/primary-antibodies/hif1an-fih-1-antibody-epr27308-67-ab307829'>ab307829</a>) at 1/1000 dilution

Lane 1:

Mouse brain tissue lysate at 20 µg

Lane 2:

Mouse heart tissue lysate at 20 µg

Lane 3:

Mouse skeletal muscle tissue lysate at 20 µg

Lane 4:

Mouse hypothalamus tissue lysate at 20 µg

Lane 5:

Mouse colon tissue lysate at 20 µg

Lane 6:

Rat brain tissue lysate at 20 µg

Lane 7:

Rat heart tissue lysate at 20 µg

Lane 8:

Rat hypothalamus tissue lysate at 20 µg

Secondary

All lanes:

Western blot - Goat Anti-Rabbit IgG H&L (HRP) (<a href='/en-us/products/secondary-antibodies/goat-rabbit-igg-h-l-hrp-ab97051'>ab97051</a>) at 1/100000 dilution

false

Exposure time: 92s

Western blot - Anti-HIF1AN/FIH-1 antibody [EPR27308-67] - BSA and Azide free (AB307830)
  • WB

Supplier Data

Western blot - Anti-HIF1AN/FIH-1 antibody [EPR27308-67] - BSA and Azide free (AB307830)

This data was developed using 307829, the same antibody clone in a different buffer formulation. Blocking and diluting buffer and concentration : 5% NFDM/TBST Exposure time : 92 seconds

All lanes:

Western blot at 1/1000 dilution

Lane 1:

Mouse brain tissue lysate

Lane 2:

Mouse heart tissue lysate

Lane 3:

Mouse skeletal muscle tissue lysate

Lane 4:

Mouse hypothalamus tissue lysate

Lane 5:

Mouse colon tissue lysate

Lane 6:

Rat brain tissue lysate

Lane 7:

Rat heart tissue lysate

Lane 8:

Rat hypothalamus tissue lysate

Secondary

All lanes:

Western blot - Goat Anti-Rabbit IgG H&L (HRP) (<a href='/en-us/products/secondary-antibodies/goat-rabbit-igg-h-l-hrp-ab97051'>ab97051</a>) at 1/10000 dilution

Observed band size: 42 kDa

false

Exposure time: 92s

Western blot - Anti-HIF1AN/FIH-1 antibody [EPR27308-67] - BSA and Azide free (AB307830)
  • WB

Supplier Data

Western blot - Anti-HIF1AN/FIH-1 antibody [EPR27308-67] - BSA and Azide free (AB307830)

This data was developed using 307829, the same antibody clone in a different buffer formulation. Blocking and diluting buffer and concentration : 5% NFDM/TBST. Exposure time : 136 seconds.

All lanes:

Western blot - Anti-HIF1AN/FIH-1 antibody [EPR27308-67] (<a href='/en-us/products/primary-antibodies/hif1an-fih-1-antibody-epr27308-67-ab307829'>ab307829</a>) at 1/1000 dilution

Lane 1:

A20 (mouse reticum sarcoma B lymphocyte) whole cell lysate at 20 µg

Lane 2:

RAW 264.7 (mouse Abelson murine leukemia virus-induced tumor macrophage) whole cell lysate at 20 µg

Lane 3:

C6 (rat glial tumor glial cell) whole cell lysate at 20 µg

Lane 4:

PC-12 (rat adrenal gland pheochromocytoma) whole cell lysate at 20 µg

Lane 5:

C2C12 (mouse myoblast) whole cell lysate at 20 µg

Secondary

All lanes:

Western blot - Goat Anti-Rabbit IgG H&L (HRP) (<a href='/en-us/products/secondary-antibodies/goat-rabbit-igg-h-l-hrp-ab97051'>ab97051</a>) at 1/100000 dilution

Observed band size: 42 kDa

false

Exposure time: 136s

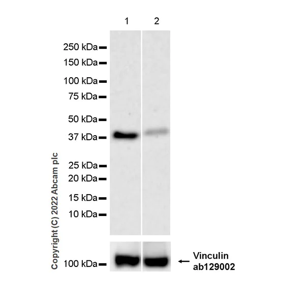
Western blot - Anti-HIF1AN/FIH-1 antibody [EPR27308-67] - BSA and Azide free (AB307830)
  • WB

Supplier Data

Western blot - Anti-HIF1AN/FIH-1 antibody [EPR27308-67] - BSA and Azide free (AB307830)

This data was developed using 307829, the same antibody clone in a different buffer formulation. Blocking and diluting buffer and concentration : 5% NFDM/TBST. In Western blot, anti- Vinculin antibody (ab129002) loading control staining at 1/10000 dilution. Exposure time : 180 seconds.

All lanes:

Western blot - Anti-HIF1AN/FIH-1 antibody [EPR27308-67] (<a href='/en-us/products/primary-antibodies/hif1an-fih-1-antibody-epr27308-67-ab307829'>ab307829</a>) at 1/1000 dilution

Lane 1:

C2C12 (mouse myoblast) transfected with scrambled siRNA control, whole cell lysate at 16 µg

Lane 2:

C2C12 transfected with siRNA specifically targeti HIF1AN/FIH-MSD163 whole cell lysate 20 at 20 µg

Secondary

All lanes:

Western blot - Goat Anti-Rabbit IgG H&L (HRP) (<a href='/en-us/products/secondary-antibodies/goat-rabbit-igg-h-l-hrp-ab97051'>ab97051</a>) at 1/100000 dilution

Observed band size: 42 kDa

false

Exposure time: 180s

Key facts

Host species

Rabbit

Clonality

Monoclonal

Clone number

EPR27308-67

Isotype

IgG

Carrier free

Yes

Reacts with

Mouse, Rat

Applications

WB

applications

Immunogen

The exact immunogen used to generate this antibody is proprietary information.

Reactivity data

{ "title": "Reactivity Data", "filters": { "stats": ["", "Species", "Dilution Info", "Notes"], "tabs": { "all-applications": {"fullname" : "All Applications", "shortname": "All Applications"}, "WB" : {"fullname" : "Western blot", "shortname":"WB"}, "IHCP" : {"fullname" : "Immunohistochemistry (Formalin/PFA-fixed paraffin-embedded sections)", "shortname":"IHC-P"}, "ICCIF" : {"fullname" : "Immunocytochemistry/ Immunofluorescence", "shortname":"ICC/IF"}, "FlowCyt" : {"fullname" : "Flow Cytometry", "shortname":"Flow Cyt"}, "IP" : {"fullname" : "Immunoprecipitation", "shortname":"IP"} }, "product-promise": { "all": "all", "testedAndGuaranteed": "tested", "guaranteed": "expected", "predicted": "predicted", "notRecommended": "not-recommended" } }, "values": { "Human": { "WB-species-checked": "notRecommended", "WB-species-dilution-info": "", "WB-species-notes": "<p></p>", "IHCP-species-checked": "notRecommended", "IHCP-species-dilution-info": "", "IHCP-species-notes": "<p></p>", "ICCIF-species-checked": "notRecommended", "ICCIF-species-dilution-info": "", "ICCIF-species-notes": "", "FlowCyt-species-checked": "notRecommended", "FlowCyt-species-dilution-info": "", "FlowCyt-species-notes": "", "IP-species-checked": "notRecommended", "IP-species-dilution-info": "", "IP-species-notes": "" }, "Mouse": { "WB-species-checked": "testedAndGuaranteed", "WB-species-dilution-info": "", "WB-species-notes": "<p></p>", "IHCP-species-checked": "notRecommended", "IHCP-species-dilution-info": "", "IHCP-species-notes": "<p></p>", "ICCIF-species-checked": "notRecommended", "ICCIF-species-dilution-info": "", "ICCIF-species-notes": "<p></p>", "FlowCyt-species-checked": "notRecommended", "FlowCyt-species-dilution-info": "", "FlowCyt-species-notes": "<p></p>", "IP-species-checked": "notRecommended", "IP-species-dilution-info": "", "IP-species-notes": "<p></p>" }, "Rat": { "WB-species-checked": "testedAndGuaranteed", "WB-species-dilution-info": "", "WB-species-notes": "<p></p>", "IHCP-species-checked": "notRecommended", "IHCP-species-dilution-info": "", "IHCP-species-notes": "<p></p>", "ICCIF-species-checked": "notRecommended", "ICCIF-species-dilution-info": "", "ICCIF-species-notes": "", "FlowCyt-species-checked": "notRecommended", "FlowCyt-species-dilution-info": "", "FlowCyt-species-notes": "", "IP-species-checked": "notRecommended", "IP-species-dilution-info": "", "IP-species-notes": "" } } }

Product details

Patented technology
Our RabMAb® technology is a patented hybridoma-based technology for making rabbit monoclonal antibodies. For details on our patents, please refer to RabMAb® patents.

What are the advantages of a recombinant monoclonal antibody?
This product is a recombinant monoclonal antibody, which offers several advantages including:

  • - High batch-to-batch consistency and reproducibility
  • - Improved sensitivity and specificity
  • - Long-term security of supply
  • - Animal-free batch production

For more information, read more on recombinant antibodies.

Conjugation ready
Our carrier-free antibodies are typically supplied in a PBS-only formulation, purified and free of BSA, sodium azide and glycerol. This conjugation-ready format is designed for use with fluorochromes, metal isotopes, oligonucleotides, and enzymes, which makes them ideal for antibody labelling, functional and cell-based assays, flow-based assays (e.g. mass cytometry) and Multiplex Imaging applications.

Use our conjugation kits for antibody conjugates that are ready-to-use in as little as 20 minutes with 1 minute hands-on-time and 100% antibody recovery: available for fluorescent dyes, HRP, biotin and gold.

Compatibility
This product is compatible with the Maxpar® Antibody Labeling Kit from Fluidigm, without the need for antibody preparation. Maxpar® is a trademark of Fluidigm Canada Inc.

Properties and storage information

Form
Liquid
Purification technique
Affinity purification Protein A
Storage buffer
pH: 7.2 - 7.4 Constituents: PBS
Shipped at conditions
Blue Ice
Appropriate short-term storage conditions
+4°C
Appropriate long-term storage conditions
+4°C

Supplementary information

This supplementary information is collated from multiple sources and compiled automatically.

HIF1AN also known as FIH-1 (Factor Inhibiting HIF-1) is an enzyme primarily engaged in the hydroxylation of asparagine residues on hypoxia-inducible factor (HIF) alpha subunits. This action negatively regulates HIF by inhibiting its transcriptional activity. It has an approximate molecular weight of 40 kDa. HIF1AN is ubiquitously expressed in various tissues reflecting its critical role in cellular oxygen homeostasis.
Biological function summary

HIF1AN acts as an important regulator under normoxic conditions by maintaining the HIF complex in its inactive state. It does not operate alone; instead it is part of a larger protein complex that includes the HIF-alpha subunits and pVHL the latter marking HIF for degradation. This regulation ensures that the cellular response to oxygen levels is tightly controlled preventing unwarranted expression of hypoxia-related genes when oxygen is sufficient.

Pathways

The role of HIF1AN is integral in the HIF signaling and cellular response to hypoxia pathways. It is particularly associated with the modulation of the HIF pathway through its interaction with proteins such as HIF-1α and VHL. This relationship ensures a controlled activation of pathways that respond to low oxygen scenarios affecting processes like angiogenesis. The interactions between HIF1AN VHL and HIF-1α demonstrate HIF1AN's pivotal role in regulating gene expression linked to oxygen levels.

HIF1AN has connections to conditions like cancer and ischemic diseases. Its regulatory effects on HIF activity mean alterations in HIF1AN expression or function can contribute to tumor growth due to its role in promoting angiogenesis and metabolic adaptation in hypoxic tumor microenvironments. HIF1AN also has indirect links to the tumor suppressor protein VHL with mutations in VHL leading to aberrations in HIF-1α regulation further implicating HIF1AN in oncogenesis.

Product protocols

For this product, it's our understanding that no specific protocols are required. You can visit:

Target data

Hydroxylates HIF-1 alpha at 'Asn-799' in the C-terminal transactivation domain (CAD). Functions as an oxygen sensor and, under normoxic conditions, the hydroxylation prevents interaction of HIF-1 with transcriptional coactivators including Cbp/p300-interacting transactivator. Involved in transcriptional repression through interaction with HIF1A, VHL and histone deacetylases. Hydroxylates specific Asn residues within ankyrin repeat domains (ARD) of NFKB1, NFKBIA, NOTCH1, ASB4, PPP1R12A and several other ARD-containing proteins. Also hydroxylates Asp and His residues within ARDs of ANK1 and TNKS2, respectively. Negatively regulates NOTCH1 activity, accelerating myogenic differentiation (By similarity). Positively regulates ASB4 activity, promoting vascular differentiation.
See full target information Hif1an

Product promise

We are committed to supporting your work with high-quality reagents, and we're here for you every step of the way. In the unlikely event that one of our products does not perform as expected, you're protected by our Product Promise.
For full details, please see our Terms & Conditions

Please note: All products are 'FOR RESEARCH USE ONLY. NOT FOR USE IN DIAGNOSTIC OR THERAPEUTIC PROCEDURES'.

For licensing inquiries, please contact partnerships@abcam.com