JavaScript is disabled in your browser. Please enable JavaScript to view this website.
AB150893

Anti-HIGD2A antibody

Be the first to review this product! Submit a review

|

(4 Publications)

Rabbit Polyclonal HIGD2A antibody. Suitable for IHC-P, WB, ICC/IF and reacts with Human samples. Cited in 4 publications. Immunogen corresponding to Recombinant Fragment Protein within Human HIGD2A aa 1-50.

View Alternative Names

RCF1 homolog B, RCF1b, HIGD2A

3 Images
Immunocytochemistry/ Immunofluorescence - Anti-HIGD2A antibody (AB150893)
  • ICC/IF

Supplier Data

Immunocytochemistry/ Immunofluorescence - Anti-HIGD2A antibody (AB150893)

Immunocytochemical analysis of MCF7 (Human breast adenocarcinoma cell line) whole cells labeling HIGD2A in the cytosol and mitochondria with ab150893 at 2 μg/ml.

Immunohistochemistry (Formalin/PFA-fixed paraffin-embedded sections) - Anti-HIGD2A antibody (AB150893)
  • IHC-P

Unknown

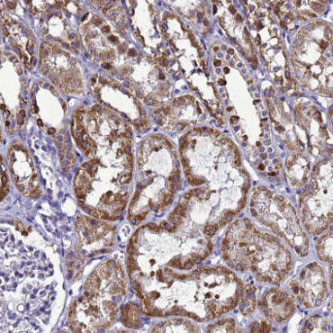
Immunohistochemistry (Formalin/PFA-fixed paraffin-embedded sections) - Anti-HIGD2A antibody (AB150893)

Immunohistochemical analysis of human kidney tissue labeling HIGD2A in the granular cytoplasm of cells in tubules with ab150893 at a 1/20 dilution.

Performed heat mediated antigen retrieval with citrate buffer pH 6 before commencing with IHC staining protocol.

Western blot - Anti-HIGD2A antibody (AB150893)
  • WB

Supplier Data

Western blot - Anti-HIGD2A antibody (AB150893)

All lanes:

Western blot - Anti-HIGD2A antibody (ab150893) at 0.4 µg/mL

All lanes:

HEK-293 (Human epithelial cell line from embryonic kidney) whole cell lysate

Predicted band size: 11 kDa

false

Key facts

Host species

Rabbit

Clonality

Polyclonal

Isotype

IgG

Carrier free

No

Reacts with

Human

Applications

IHC-P, ICC/IF, WB

applications

Immunogen

Recombinant Fragment Protein within Human HIGD2A aa 1-50. The exact immunogen used to generate this antibody is proprietary information.

Q9BW72

Reactivity data

{ "title": "Reactivity Data", "filters": { "stats": ["", "Species", "Dilution Info", "Notes"], "tabs": { "all-applications": {"fullname" : "All Applications", "shortname": "All Applications"}, "IHCP" : {"fullname" : "Immunohistochemistry (Formalin/PFA-fixed paraffin-embedded sections)", "shortname":"IHC-P"}, "WB" : {"fullname" : "Western blot", "shortname":"WB"}, "ICCIF" : {"fullname" : "Immunocytochemistry/ Immunofluorescence", "shortname":"ICC/IF"} }, "product-promise": { "all": "all", "testedAndGuaranteed": "tested", "guaranteed": "expected", "predicted": "predicted", "notRecommended": "not-recommended" } }, "values": { "Human": { "IHCP-species-checked": "testedAndGuaranteed", "IHCP-species-dilution-info": "1/20 - 1/50", "IHCP-species-notes": "<p></p> Perform heat-mediated antigen retrieval with citrate buffer pH 6 before commencing with IHC staining protocol.", "WB-species-checked": "testedAndGuaranteed", "WB-species-dilution-info": "0.04-0.4 µg/mL", "WB-species-notes": "<p></p>", "ICCIF-species-checked": "testedAndGuaranteed", "ICCIF-species-dilution-info": "0.25-2 µg/mL", "ICCIF-species-notes": "<p>Fixation/Permeabilization: PFA/Triton X-100</p>" } } }

Properties and storage information

Form
Liquid
Purification technique
Affinity purification Immunogen
Storage buffer
pH: 7.2 Preservative: 0.02% Sodium azide Constituents: PBS, 40% Glycerol (glycerin, glycerine)
Shipped at conditions
Blue Ice
Appropriate short-term storage conditions
+4°C
Appropriate long-term storage conditions
-20°C
Aliquoting information
Upon delivery aliquot
Storage information
Avoid freeze / thaw cycle

Supplementary information

This supplementary information is collated from multiple sources and compiled automatically.

HIGD2A also known as HIG1 hypoxia-inducible domain family member 2A is a protein with a mass of approximately 11 kDa. It plays a mechanical role as an accessory protein in mitochondrial function. Primarily researchers find its expression in the mitochondria of various tissues where it seems to stabilize cellular energy processes under stress. Beyond its common identification as HIGD2A the protein also appears in scientific literature linked to mitochondrial activity and response to low oxygen levels.
Biological function summary

HIGD2A interacts with several components of the mitochondrial respiratory chain. This protein becomes particularly active during hypoxic conditions to help maintain cellular energy production. It forms part of a complex with other mitochondrial proteins which helps protect the network integrity of mitochondria. These actions ensure that HIGD2A supports cell survival during energy shortage conditions and aids in regulating metabolic responses to such changes.

Pathways

This protein fits integrally into both the hypoxia and apoptosis pathways. In the hypoxia pathway HIGD2A works alongside hypoxia-inducible factors to adjust cellular metabolism under low oxygen availability. In the apoptosis pathway its interactions with proteins like cytochrome c link it to roles in controlling cell death. These pathways highlight how HIGD2A aids in balancing processes important for cellular adaptation and survival under stress conditions.

HIGD2A has associations with conditions including ischemia and neurodegenerative diseases. In ischemia its ability to enhance mitochondrial stability helps minimize damage from reduced blood flow. In neurodegenerative diseases the protective role of HIGD2A may mitigate mitochondrial dysfunction a common feature of such disorders. Researchers also study its interactions with other mitochondrial proteins like HIGD1A to understand the complexities of its contributions to disease pathways.

Product protocols

For this product, it's our understanding that no specific protocols are required. You can visit:

Target data

Proposed subunit of cytochrome c oxidase (COX, complex IV), which is the terminal component of the mitochondrial respiratory chain that catalyzes the reduction of oxygen to water. May be involved in cytochrome c oxidase activity. May play a role in the assembly of respiratory supercomplexes.
See full target information HIGD2A

Publications (4)

Recent publications for all applications. Explore the full list and refine your search

Journal of translational medicine 21:253 PubMed37041638

2023

HIGD2A silencing impairs hepatocellular carcinoma growth via inhibiting mitochondrial function and the MAPK/ERK pathway.

Applications

WB

Species

Human

Kuiyuan Huang,Ziying Liu,Zhanglian Xie,Xiaoran Li,Haixing Zhang,Yu Chen,Yiran Wang,Zimo Lin,Chuanjiang Li,Hongyan Liu,Xiaoyong Zhang

International journal of molecular sciences 23: PubMed35008815

2021

Dynamic Distribution of HIG2A between the Mitochondria and the Nucleus in Response to Hypoxia and Oxidative Stress.

Applications

Unspecified application

Species

Unspecified reactive species

Celia Salazar,Miriam Barros,Alvaro A Elorza,Lina María Ruiz

Toxicology reports 6:819-824 PubMed31463202

2019

Influence of cryopreservation on the 2 and expression levels and protein levels in human spermatozoa.

Applications

Unspecified application

Species

Unspecified reactive species

Eiman Alshawa,Mohammed Laqqan,Mathias Montenarh,Mohamad Eid Hammadeh

Journal of cellular physiology 234:17405-17419 PubMed30779122

2019

The OXPHOS supercomplex assembly factor HIG2A responds to changes in energetic metabolism and cell cycle.

Applications

Unspecified application

Species

Unspecified reactive species

Celia Salazar,Alvaro A Elorza,Glenda Cofre,Paula Ruiz-Hincapie,Orian Shirihai,Lina María Ruiz
View all publications

Product promise

We are committed to supporting your work with high-quality reagents, and we're here for you every step of the way. In the unlikely event that one of our products does not perform as expected, you're protected by our Product Promise.
For full details, please see our Terms & Conditions

Please note: All products are 'FOR RESEARCH USE ONLY. NOT FOR USE IN DIAGNOSTIC OR THERAPEUTIC PROCEDURES'.

For licensing inquiries, please contact partnerships@abcam.com