JavaScript is disabled in your browser. Please enable JavaScript to view this website.
AB202065

Anti-HIKESHI antibody [EPR17761]

Be the first to review this product! Submit a review

|

(1 Publication)

Rabbit Recombinant Monoclonal HIKESHI antibody. Suitable for IP, WB, ICC/IF, IHC-P and reacts with Human, Mouse samples. Cited in 1 publication.

View Alternative Names

C11orf73, HSPC138, HSPC179, HSPC248, HIKESHI, Protein Hikeshi

8 Images
Immunocytochemistry/ Immunofluorescence - Anti-HIKESHI antibody [EPR17761] (AB202065)
  • ICC/IF

Supplier Data

Immunocytochemistry/ Immunofluorescence - Anti-HIKESHI antibody [EPR17761] (AB202065)

Immunofluorescent analysis of 4% paraformaldehyde-fixed 0.1% Triton X-100 permeabilized HeLa (Human epithelial cells from cervix adenocarcinoma) cells labeling HIKESHI with ab202065 at 1/400 dilution followed by Goat anti-rabbit IgG (Alexa Fluor® 488) (ab150077) secondary antibody at 1/500 dilution (green).

Confocal image showing nuclear and cytoplasmic staining on HeLa cell line.

The nuclear counter stain is DAPI (blue).

Tubulin is detected with ab7291 (anti-Tubulin mouse mAb) at 1/1000 dilution and ab150120 (AlexaFluor®594 Goat anti-Mouse secondary) at 1/500 dilution (red).

The negative controls are as follows :
-ve control 1 : ab202065 at 1/400 dilution followed by ab150120 (AlexaFluor®594 Goat anti-Mouse secondary) at 1/500 dilution.
-ve control 2 : ab7291 (anti-Tubulin mouse mAb) at 1/1000 dilution followed by ab150077 (Alexa Fluor®488 Goat Anti-Rabbit IgG H&L) at 1/500 dilution.

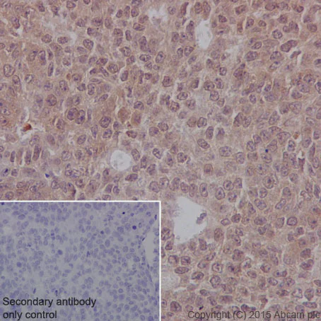
Immunohistochemistry (Formalin/PFA-fixed paraffin-embedded sections) - Anti-HIKESHI antibody [EPR17761] (AB202065)
  • IHC-P

Supplier Data

Immunohistochemistry (Formalin/PFA-fixed paraffin-embedded sections) - Anti-HIKESHI antibody [EPR17761] (AB202065)

Immunohistochemical analysis of paraffin-embedded Human cervix carcinoma tissue labeling HIKESHI with ab202065 at 1/100 dilution followed by Goat Anti-Rabbit IgG H&L (HRP) (ab97051) secondary antibody at 1/500 dilution.

Cytoplasmic and nuclear staining on Human cervix carcinoma tissue is observed.

Counter stained with Hematoxylin.

Secondary antibody only control : Used PBS instead of primary antibody secondary antibody is Goat Anti-Rabbit IgG H&L (HRP) (ab97051) at 1/500 dilution.

Perform heat mediated antigen retrieval with Tris/EDTA buffer pH 9.0 before commencing with IHC staining protocol.

Immunocytochemistry/ Immunofluorescence - Anti-HIKESHI antibody [EPR17761] (AB202065)
  • ICC/IF

Supplier Data

Immunocytochemistry/ Immunofluorescence - Anti-HIKESHI antibody [EPR17761] (AB202065)

Immunofluorescent analysis of 4% paraformaldehyde-fixed 0.1% Triton X-100 permeabilized MCF7 (Human breast adenocarcinoma cell line) cells labeling HIKESHI with ab202065 at 1/400 dilution followed by Goat anti-rabbit IgG (Alexa Fluor® 488) (ab150077) secondary antibody at 1/500 dilution (green).

Confocal image showing nuclear and cytoplasmic staining on MCF7 cell line.

The nuclear counter stain is DAPI (blue).

Tubulin is detected with ab7291 (anti-Tubulin mouse mAb) at 1/1000 dilution and ab150120 (AlexaFluor®594 Goat anti-Mouse secondary) at 1/500 dilution (red).

The negative controls are as follows :
-ve control 1 : ab202065 at 1/400 dilution followed by ab150120 (AlexaFluor®594 Goat anti-Mouse secondary) at 1/500 dilution.
-ve control 2 : ab7291 (anti-Tubulin mouse mAb) at 1/1000 dilution followed by ab150077 (Alexa Fluor®488 Goat Anti-Rabbit IgG H&L) at 1/500 dilution.

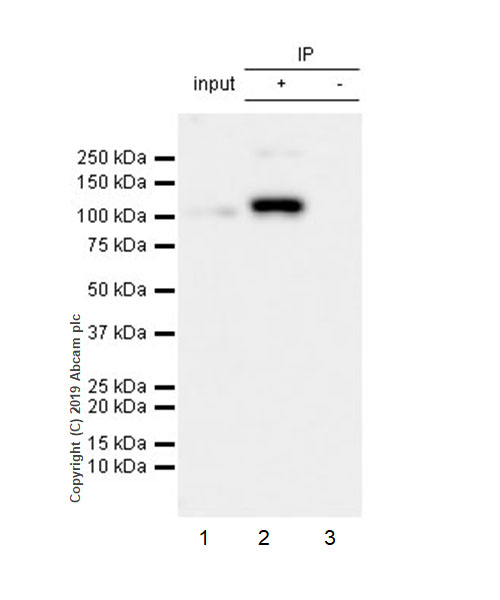
Immunoprecipitation - Anti-HIKESHI antibody [EPR17761] (AB202065)
  • IP

Supplier Data

Immunoprecipitation - Anti-HIKESHI antibody [EPR17761] (AB202065)

HIKESHI was immunoprecipitated from 1mg of MCF7 (Human breast adenocarcinoma cell line) whole cell lysate with ab202065 at 1/50 dilution.

Western blot was performed from the immunoprecipitate using ab202065 at 1/1000 dilution.

Anti-Rabbit IgG (HRP), specific to the non-reduced form of IgG was used as secondary antibody at 1/1500 dilution.

Lane 1 : MCF7 whole cell lysate 10 μg (Input).

Lane 2 : ab202065 IP in MCF7 whole cell lysate.

Lane 3 : Rabbit monoclonal IgG (ab172730) instead of ab202065 in MCF7 whole cell lysate.
Blocking and dilution buffer and concentration : 5% NFDM/TBST.

Exposure time : 30 seconds.

All lanes:

Immunoprecipitation - Anti-HIKESHI antibody [EPR17761] (ab202065)

Predicted band size: 21 kDa,79 kDa

false

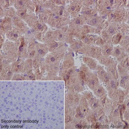
Immunohistochemistry (Formalin/PFA-fixed paraffin-embedded sections) - Anti-HIKESHI antibody [EPR17761] (AB202065)
  • IHC-P

Supplier Data

Immunohistochemistry (Formalin/PFA-fixed paraffin-embedded sections) - Anti-HIKESHI antibody [EPR17761] (AB202065)

Immunohistochemical analysis of paraffin-embedded Mouse liver tissue labeling HIKESHI with ab202065 at 1/100 dilution followed by Goat Anti-Rabbit IgG H&L (HRP) (ab97051) secondary antibody at 1/500 dilution.

Cytoplasmic and nuclear staining on mouse liver tissue is observed.

Counter stained with Hematoxylin.

Secondary antibody only control : Used PBS instead of primary antibody secondary antibody is Goat Anti-Rabbit IgG H&L (HRP) (ab97051) at 1/500 dilution.

Perform heat mediated antigen retrieval with Tris/EDTA buffer pH 9.0 before commencing with IHC staining protocol.

Western blot - Anti-HIKESHI antibody [EPR17761] (AB202065)
  • WB

Supplier Data

Western blot - Anti-HIKESHI antibody [EPR17761] (AB202065)

Blocking/Dilution buffer : 5% NFDM/TBST.

All lanes:

Western blot - Anti-HIKESHI antibody [EPR17761] (ab202065) at 1/1000 dilution

All lanes:

Human fetal heart lysate at 10 µg

Secondary

All lanes:

Anti-Rabbit IgG (HRP), specific to the non-reduced form of IgG at 1/1000 dilution

Predicted band size: 21 kDa

Observed band size: 22 kDa

false

Exposure time: 3min

Western blot - Anti-HIKESHI antibody [EPR17761] (AB202065)
  • WB

Supplier Data

Western blot - Anti-HIKESHI antibody [EPR17761] (AB202065)

Blocking/Dilution buffer : 5% NFDM/TBST.

All lanes:

Western blot - Anti-HIKESHI antibody [EPR17761] (ab202065) at 1/1000 dilution

All lanes:

MCF7 (Human breast adenocarcinoma cell line) cell lysate at 20 µg

Secondary

All lanes:

Goat Anti-Rabbit IgG, (H+L), Peroxidase conjugated at 1/1000 dilution

Predicted band size: 21 kDa

Observed band size: 22 kDa

false

Exposure time: 3min

Western blot - Anti-HIKESHI antibody [EPR17761] (AB202065)
  • WB

Unknown

Western blot - Anti-HIKESHI antibody [EPR17761] (AB202065)

Blocking/Dilution buffer : 5% NFDM/TBST.

All lanes:

Western blot - Anti-HIKESHI antibody [EPR17761] (ab202065) at 1/1000 dilution

Lane 1:

Mouse brain lysate at 10 µg

Lane 2:

Mouse kidney lysate at 10 µg

Secondary

All lanes:

Goat Anti-Rabbit IgG, (H+L), Peroxidase conjugated at 1/1000 dilution

Predicted band size: 21 kDa

Observed band size: 22 kDa

false

Exposure time: 3min

  • Carrier free

    Anti-HIKESHI antibody [EPR17761] - BSA and Azide free

Key facts

Host species

Rabbit

Clonality

Monoclonal

Clone number

EPR17761

Isotype

IgG

Carrier free

No

Reacts with

Mouse, Human

Applications

ICC/IF, IHC-P, WB, IP

applications

Immunogen

The exact immunogen used to generate this antibody is proprietary information.

Reactivity data

{ "title": "Reactivity Data", "filters": { "stats": ["", "Species", "Dilution Info", "Notes"], "tabs": { "all-applications": {"fullname" : "All Applications", "shortname": "All Applications"}, "IP" : {"fullname" : "Immunoprecipitation", "shortname":"IP"}, "WB" : {"fullname" : "Western blot", "shortname":"WB"}, "ICCIF" : {"fullname" : "Immunocytochemistry/ Immunofluorescence", "shortname":"ICC/IF"}, "IHCP" : {"fullname" : "Immunohistochemistry (Formalin/PFA-fixed paraffin-embedded sections)", "shortname":"IHC-P"} }, "product-promise": { "all": "all", "testedAndGuaranteed": "tested", "guaranteed": "expected", "predicted": "predicted", "notRecommended": "not-recommended" } }, "values": { "Human": { "IP-species-checked": "testedAndGuaranteed", "IP-species-dilution-info": "1/50", "IP-species-notes": "<p></p>", "WB-species-checked": "testedAndGuaranteed", "WB-species-dilution-info": "1/1000", "WB-species-notes": "<p></p>", "ICCIF-species-checked": "testedAndGuaranteed", "ICCIF-species-dilution-info": "1/400", "ICCIF-species-notes": "<p></p>", "IHCP-species-checked": "testedAndGuaranteed", "IHCP-species-dilution-info": "1/100", "IHCP-species-notes": "<p></p>" }, "Mouse": { "IP-species-checked": "guaranteed", "IP-species-dilution-info": "", "IP-species-notes": "", "WB-species-checked": "testedAndGuaranteed", "WB-species-dilution-info": "1/1000", "WB-species-notes": "<p></p>", "ICCIF-species-checked": "guaranteed", "ICCIF-species-dilution-info": "", "ICCIF-species-notes": "", "IHCP-species-checked": "testedAndGuaranteed", "IHCP-species-dilution-info": "1/100", "IHCP-species-notes": "<p></p>" } } }

Product details

Patented technology
Our RabMAb® technology is a patented hybridoma-based technology for making rabbit monoclonal antibodies. For details on our patents, please refer to RabMAb® patents.

What are the advantages of a recombinant monoclonal antibody?
This product is a recombinant monoclonal antibody, which offers several advantages including:

  • - High batch-to-batch consistency and reproducibility
  • - Improved sensitivity and specificity
  • - Long-term security of supply
  • - Animal-free batch production

For more information, read more on recombinant antibodies.

Properties and storage information

Form
Liquid
Purification technique
Affinity purification Protein A
Storage buffer
pH: 7.2 - 7.4 Preservative: 0.01% Sodium azide Constituents: PBS, 40% Glycerol (glycerin, glycerine), 0.05% BSA
Shipped at conditions
Blue Ice
Appropriate short-term storage duration
1-2 weeks
Appropriate short-term storage conditions
+4°C
Appropriate long-term storage conditions
-20°C
Aliquoting information
Upon delivery aliquot
Storage information
Avoid freeze / thaw cycle

Supplementary information

This supplementary information is collated from multiple sources and compiled automatically.

HIKESHI also known as C11orf73 functions as a nuclear import carrier for the heat shock protein Hsp70 under stress conditions. This protein weighs approximately 24 kDa and is widely expressed in various human tissues with higher concentrations in the brain testis and liver. Its role involves binding to Hsp70 enabling its translocation into the nucleus where it assists in cell survival during and after thermal and other stress conditions.
Biological function summary

HIKESHI engages in protecting cells from proteotoxic stress by ensuring the proper functioning of Hsp70 which is not bound to other co-chaperones. It does not heterodimerize but operates independently to import Hsp70 into the nucleus. This nuclear import contributes to cellular homeostasis and stress response mechanisms enhancing the cell's ability to manage damaged proteins and stress-induced protein aggregation.

Pathways

HIKESHI participates in cellular stress response and protein folding pathways. This action connects it with proteins involved in the importin beta pathway which contains various nucleocytoplasmic transport mechanisms. HIKESHI shares functional relationships with importin proteins emphasizing its specialized role in ensuring that only specific proteins like Hsp70 access the nuclear compartment during stress states.

HIKESHI influences conditions related to stress responses and degenerative diseases. Dysregulation of HIKESHI can lead to impaired cellular stress responses which are implicated in neurodegenerative disorders such as Alzheimer's disease and other protein misfolding diseases. It has connections with other chaperone-related proteins like those mutated in familial Alzheimer's linking it to broader pathways of cellular stress management and neuroprotection.

Product protocols

For this product, it's our understanding that no specific protocols are required. You can visit:

Target data

Acts as a specific nuclear import carrier for HSP70 proteins following heat-shock stress : acts by mediating the nucleoporin-dependent translocation of ATP-bound HSP70 proteins into the nucleus. HSP70 proteins import is required to protect cells from heat shock damages. Does not translocate ADP-bound HSP70 proteins into the nucleus.
See full target information HIKESHI

Publications (1)

Recent publications for all applications. Explore the full list and refine your search

Nature cell biology 25:1575-1589 PubMed37770567

2023

Regulators of mitonuclear balance link mitochondrial metabolism to mtDNA expression.

Applications

Unspecified application

Species

Unspecified reactive species

Nicholas J Kramer,Gyan Prakash,R Stefan Isaac,Karine Choquet,Iliana Soto,Boryana Petrova,Hope E Merens,Naama Kanarek,L Stirling Churchman
View all publications

Product promise

We are committed to supporting your work with high-quality reagents, and we're here for you every step of the way. In the unlikely event that one of our products does not perform as expected, you're protected by our Product Promise.
For full details, please see our Terms & Conditions

Please note: All products are 'FOR RESEARCH USE ONLY. NOT FOR USE IN DIAGNOSTIC OR THERAPEUTIC PROCEDURES'.

For licensing inquiries, please contact partnerships@abcam.com