JavaScript is disabled in your browser. Please enable JavaScript to view this website.
AB124912

Anti-HINT1 antibody [EPR5108]

Be the first to review this product! Submit a review

|

(9 Publications)

Rabbit Recombinant Monoclonal HINT1 antibody. Suitable for WB, IHC-P, ICC/IF and reacts with Human samples. Cited in 9 publications.

View Alternative Names

HINT, PKCI1, PRKCNH1, HINT1, Adenosine 5'-monophosphoramidase HINT1, Desumoylating isopeptidase HINT1, Histidine triad nucleotide-binding protein 1, Protein kinase C inhibitor 1, Protein kinase C-interacting protein 1, PKCI-1

6 Images
Immunocytochemistry/ Immunofluorescence - Anti-HINT1 antibody [EPR5108] (AB124912)
  • ICC/IF

Lab

Immunocytochemistry/ Immunofluorescence - Anti-HINT1 antibody [EPR5108] (AB124912)

Immunocytochemistry/ Immunofluorescence analysis of MCF7 (human breast adenocarcinoma epithelial cell) cells labeling HINT1 with purified ab124912 at 1/1000 dilution (2 μg/mL). Cells were fixed in 4% Paraformaldehyde and permeabilized with 0.1% tritonX-100. Goat anti rabbit IgG (Alexa Fluor® 488, ab150077) was used as the secondary antibody at 1/1000 (2 μg/mL) dilution. DAPI (blue) was used as nuclear counterstain.

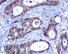
Immunohistochemistry (Formalin/PFA-fixed paraffin-embedded sections) - Anti-HINT1 antibody [EPR5108] (AB124912)
  • IHC-P

Unknown

Immunohistochemistry (Formalin/PFA-fixed paraffin-embedded sections) - Anti-HINT1 antibody [EPR5108] (AB124912)

ab124912, at 1/250 dilution, staining HINT1 in paraffin embedded colonic adenocarcinoma tissue by immunohistochemistry.

Perform heat mediated antigen retrieval before commencing with IHC staining protocol.

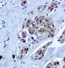
Immunohistochemistry (Formalin/PFA-fixed paraffin-embedded sections) - Anti-HINT1 antibody [EPR5108] (AB124912)
  • IHC-P

Unknown

Immunohistochemistry (Formalin/PFA-fixed paraffin-embedded sections) - Anti-HINT1 antibody [EPR5108] (AB124912)

ab124912, at 1/250 dilution, staining HINT1 in paraffin embedded breast carcinoma tissue by immunohistochemistry.

Perform heat mediated antigen retrieval before commencing with IHC staining protocol.

Western blot - Anti-HINT1 antibody [EPR5108] (AB124912)
  • WB

Lab

Western blot - Anti-HINT1 antibody [EPR5108] (AB124912)

Lanes 1-3 : Merged signal (red and green). Green - ab124912 observed at 17 kDa. Red - loading control ab8245 observed at 36 kDa.

ab124912 Anti-HINT1 antibody [EPR5108] was shown to specifically react with HINT1 in wild-type HeLa cells. Loss of signal was observed when knockout cell line ab265776 (knockout cell lysate ab257465) was used. Wild-type and HINT1 knockout samples were subjected to SDS-PAGE. ab124912 and Anti-GAPDH antibody [6C5] - Loading Control (ab8245) were incubated at room temperature for 2.5 hours at 1 in 500 dilution and 1 in 20000 dilution respectively. Blots were developed with Goat anti-Rabbit IgG H&L (IRDye® 800CW) preadsorbed (ab216773) and Goat anti-Mouse IgG H&L (IRDye® 680RD) preadsorbed (ab216776) secondary antibodies at 1 in 20000 dilution for 1 hour at room temperature before imaging.

All lanes:

Western blot - Anti-HINT1 antibody [EPR5108] (ab124912) at 1/500 dilution

Lane 1:

Wild-type HeLa cell lysate at 20 µg

Lane 2:

Western blot - Human HINT1 knockout HeLa cell line (<a href='/en-us/products/cell-lines/human-hint1-knockout-hela-cell-line-ab265776'>ab265776</a>)

Lane 2:

HINT1 knockout HeLa cell lysate at 20 µg

Lane 3:

Jurkat cell lysate at 20 µg

Secondary

All lanes:

Western blot - Goat anti-Rabbit IgG H&L (IRDye® 800CW) preadsorbed (<a href='/en-us/products/secondary-antibodies/goat-rabbit-igg-h-l-irdye-800cw-preadsorbed-ab216773'>ab216773</a>) at 1/10000 dilution

Predicted band size: 14 kDa

Observed band size: 17 kDa

false

Western blot - Anti-HINT1 antibody [EPR5108] (AB124912)
  • WB

Lab

Western blot - Anti-HINT1 antibody [EPR5108] (AB124912)

Western blot : Rabbit Monoclonal[EPR5108] to HINT1 ab124912 staining at 1/500 dilution, shown in green; Mouse anti GAPDH (ab8245) loading control staining at 1/20,000 dilution, shown in magenta. A band was observed at 14 kDa in Wild-type HeLa cell lysates with no signal observed at this size in HINT1 knockout HeLa cell line. To generate this image, samples were run on an SDS-PAGE gel then transferred onto a nitrocellulose membrane. Membranes were blocked in 3pc Milk in TBS-0.1 % Tween® 20 (TBS-T) before incubation with primary antibodies overnight at 4 °C. Blots were washed four times in TBS-T, incubated with secondary antibodies for 1 h at room temperature, washed again four times then imaged. Secondary antibodies used were Goat anti-Rabbit 800CW & Goat anti-Mouse 680RD at 1/20,000 dilution.

All lanes:

Western blot - Anti-HINT1 antibody [EPR5108] (ab124912) at 1/500 dilution

Lane 1:

Wild-type HeLa at 20 µg

Lane 2:

Western blot - Human HINT1 knockout HeLa cell line (<a href='/en-us/products/cell-lines/human-hint1-knockout-hela-cell-line-ab265776'>ab265776</a>) at 20 µg

Lane 3:

Jurkat at 20 µg

Lane 4:

HeLa Membrane at 20 µg

Lane 5:

EMPTY

Lane 6:

Western blot - Recombinant Human HINT1 protein (<a href='/en-us/products/proteins-peptides/recombinant-human-hint1-protein-ab87362'>ab87362</a>) at 0.1 µg

Secondary

Lanes 1 - 6:

Goat anti-Rabbit 800CW at 1/20000 dilution

Lanes 1 - 6:

Goat anti-Mouse 680RD at 1/20000 dilution

Predicted band size: 14 kDa

Observed band size: 14 kDa,37 kDa

false

Western blot - Anti-HINT1 antibody [EPR5108] (AB124912)
  • WB

Unknown

Western blot - Anti-HINT1 antibody [EPR5108] (AB124912)

All lanes:

Western blot - Anti-HINT1 antibody [EPR5108] (ab124912) at 1/1000 dilution

Lane 1:

293T cell lysate at 10 µg

Lane 2:

MCF7 cell lysate at 10 µg

Lane 3:

HepG2 cell lysate at 10 µg

Lane 4:

Jurkat cell lysate at 10 µg

Predicted band size: 14 kDa

false

Key facts

Host species

Rabbit

Clonality

Monoclonal

Clone number

EPR5108

Isotype

IgG

Carrier free

No

Reacts with

Human

Applications

WB, ICC/IF, IHC-P

applications

Immunogen

The exact immunogen used to generate this antibody is proprietary information.

Reactivity data

{ "title": "Reactivity Data", "filters": { "stats": ["", "Species", "Dilution Info", "Notes"], "tabs": { "all-applications": {"fullname" : "All Applications", "shortname": "All Applications"}, "WB" : {"fullname" : "Western blot", "shortname":"WB"}, "IHCP" : {"fullname" : "Immunohistochemistry (Formalin/PFA-fixed paraffin-embedded sections)", "shortname":"IHC-P"}, "ICCIF" : {"fullname" : "Immunocytochemistry/ Immunofluorescence", "shortname":"ICC/IF"} }, "product-promise": { "all": "all", "testedAndGuaranteed": "tested", "guaranteed": "expected", "predicted": "predicted", "notRecommended": "not-recommended" } }, "values": { "Human": { "WB-species-checked": "testedAndGuaranteed", "WB-species-dilution-info": "1/1000 - 1/10000", "WB-species-notes": "<p></p>", "IHCP-species-checked": "testedAndGuaranteed", "IHCP-species-dilution-info": "1/250 - 1/500", "IHCP-species-notes": "<p>(Heat to 98°C, allow to cool for 10-20 minutes)</p>", "ICCIF-species-checked": "testedAndGuaranteed", "ICCIF-species-dilution-info": "1/1000", "ICCIF-species-notes": "<p></p>" }, "Mouse": { "WB-species-checked": "predicted", "WB-species-dilution-info": "", "WB-species-notes": "", "IHCP-species-checked": "predicted", "IHCP-species-dilution-info": "", "IHCP-species-notes": "", "ICCIF-species-checked": "predicted", "ICCIF-species-dilution-info": "", "ICCIF-species-notes": "" }, "Rat": { "WB-species-checked": "predicted", "WB-species-dilution-info": "", "WB-species-notes": "", "IHCP-species-checked": "predicted", "IHCP-species-dilution-info": "", "IHCP-species-notes": "", "ICCIF-species-checked": "predicted", "ICCIF-species-dilution-info": "", "ICCIF-species-notes": "" } } }

Product details

Patented technology
Our RabMAb® technology is a patented hybridoma-based technology for making rabbit monoclonal antibodies. For details on our patents, please refer to RabMAb® patents.

What are the advantages of a recombinant monoclonal antibody?
This product is a recombinant monoclonal antibody, which offers several advantages including:

  • - High batch-to-batch consistency and reproducibility
  • - Improved sensitivity and specificity
  • - Long-term security of supply
  • - Animal-free batch production

For more information, read more on recombinant antibodies.

Properties and storage information

Form
Liquid
Purification technique
Affinity purification Protein A
Storage buffer
pH: 7.2 - 7.4 Preservative: 0.05% Sodium azide Constituents: 50% Tissue culture supernatant, 40% Glycerol (glycerin, glycerine), 9.85% Tris glycine, 0.1% BSA
Shipped at conditions
Blue Ice
Appropriate short-term storage conditions
+4°C
Appropriate long-term storage conditions
-20°C
Storage information
Stable for 12 months at -20°C

Supplementary information

This supplementary information is collated from multiple sources and compiled automatically.

HINT1 also known as Histidine Triad Nucleotide-Binding Protein 1 is a hydrolyzing enzyme with a monomeric mass of approximately 14 kDa. It functions mechanically by catalyzing the phosphoramidate bond in nucleotides which releases free phosphates. HINT1 is part of the family of histidine triad proteins and is expressed broadly across various tissues including the brain heart and testis indicating its potential importance in those areas.
Biological function summary

Within cellular processes HINT1 plays a role as a transcriptional regulator especially influencing the p53 pathway and those involved in stress responses. It forms part of a complex with other proteins guiding cellular responses to DNA damage. This activity strongly suggests HINT1's role in maintaining genomic stability and influencing cell cycle checkpoints.

Pathways

Several important signaling cascades involve HINT1 such as p53 and MAPK pathways. In the context of the p53 pathway HINT1 enhances tumor suppression activities by regulating transcription and apoptosis processes. Through the MAPK pathway it influences cell proliferation and apoptosis. Other proteins like p53 itself and c-Myc closely interact with HINT1 within these signaling pathways coordinating responses to cellular stress and growth signals.

There is a strong association between HINT1 and cancer as well as neuropathic disorders. Its role in tumor suppression suggests that dysfunction or altered expression may contribute to cancer progression particularly cancers related to the lung and colon. Moreover studies indicate a link between HINT1 and schizophrenia where alterations in protein expression can affect neural signaling. Proteins such as p53 and NMDAR which are altered in these disorders connect to HINT1 further displaying its significance in the development and progression of these diseases.

Product protocols

For this product, it's our understanding that no specific protocols are required. You can visit:

Target data

Exhibits adenosine 5'-monophosphoramidase activity, hydrolyzing purine nucleotide phosphoramidates with a single phosphate group such as adenosine 5'monophosphoramidate (AMP-NH2) to yield AMP and NH2 (PubMed : 15703176, PubMed : 16835243, PubMed : 17217311, PubMed : 17337452, PubMed : 22329685, PubMed : 23614568, PubMed : 28691797, PubMed : 29787766, PubMed : 31990367). Hydrolyzes adenosine 5'monophosphomorpholidate (AMP-morpholidate) and guanosine 5'monophosphomorpholidate (GMP-morpholidate) (PubMed : 15703176, PubMed : 16835243). Hydrolyzes lysyl-AMP (AMP-N-epsilon-(N-alpha-acetyl lysine methyl ester)) generated by lysine tRNA ligase, as well as Met-AMP, His-AMP and Asp-AMP, lysyl-GMP (GMP-N-epsilon-(N-alpha-acetyl lysine methyl ester)) and AMP-N-alanine methyl ester (PubMed : 15703176, PubMed : 17337452, PubMed : 22329685). Hydrolyzes 3-indolepropionic acyl-adenylate, tryptamine adenosine phosphoramidate monoester and other fluorogenic purine nucleoside tryptamine phosphoramidates in vitro (PubMed : 17217311, PubMed : 17337452, PubMed : 23614568, PubMed : 28691797, PubMed : 29787766, PubMed : 31990367). Can also convert adenosine 5'-O-phosphorothioate and guanosine 5'-O-phosphorothioate to the corresponding nucleoside 5'-O-phosphates with concomitant release of hydrogen sulfide (PubMed : 30772266). In addition, functions as scaffolding protein that modulates transcriptional activation by the LEF1/TCF1-CTNNB1 complex and by the complex formed with MITF and CTNNB1 (PubMed : 16014379, PubMed : 22647378). Modulates p53/TP53 levels and p53/TP53-mediated apoptosis (PubMed : 16835243). Modulates proteasomal degradation of target proteins by the SCF (SKP2-CUL1-F-box protein) E3 ubiquitin-protein ligase complex (PubMed : 19112177). Also exhibits SUMO-specific isopeptidase activity, deconjugating SUMO1 from RGS17 (PubMed : 31088288). Deconjugates SUMO1 from RANGAP1 (By similarity).
See full target information HINT1

Publications (9)

Recent publications for all applications. Explore the full list and refine your search

Life science alliance 8: PubMed40695554

2025

The nucleocytoplasmic translocation of HINT1 regulates the maturation of cell density.

Applications

Unspecified application

Species

Unspecified reactive species

Xiaofang Zhang,Fumihiko Nakamura

Molecular metabolism 93:102107 PubMed39909188

2025

HINT1 suppression protects against age-related cardiac dysfunction by enhancing mitochondrial biogenesis.

Applications

Unspecified application

Species

Unspecified reactive species

Michio Sato,Tsuyoshi Kadomatsu,Jun Morinaga,Yuya Kinoshita,Daisuke Torigoe,Haruki Horiguchi,Sumio Ohtsuki,Shuji Yamamura,Ryoko Kusaba,Takanori Yamaguchi,Goro Yoshioka,Kimi Araki,Tomohiko Wakayama,Keishi Miyata,Koichi Node,Yuichi Oike

World journal of surgical oncology 20:67 PubMed35241097

2022

Integrated analysis of ceRNA network reveals potential prognostic Hint1-related lncRNAs involved in hepatocellular carcinoma progression.

Applications

Unspecified application

Species

Unspecified reactive species

Cheng Zhang,Tianhao Bao,Yang Ke,Xin Liu,Xinghong Wang,Weiran Liao,Yutao He,Lin Wang

Clinical cancer research : an official journal of the American Association for Cancer Research 27:6500-6513 PubMed34497073

2021

The Novel Nucleoside Analogue ProTide NUC-7738 Overcomes Cancer Resistance Mechanisms and in a First-In-Human Phase I Clinical Trial.

Applications

Unspecified application

Species

Unspecified reactive species

Hagen Schwenzer,Erica De Zan,Mustafa Elshani,Ruud van Stiphout,Mary Kudsy,Josephine Morris,Valentina Ferrari,In Hwa Um,James Chettle,Farasat Kazmi,Leticia Campo,Alistair Easton,Sebastian Nijman,Michaela Serpi,Stefan Symeonides,Ruth Plummer,David J Harrison,Gareth Bond,Sarah P Blagden

Frontiers in behavioral neuroscience 15:690344 PubMed34177485

2021

HINT1 Is Involved in the Chronic Mild Stress Elicited Oxidative Stress and Apoptosis Through the PKC ε/ALDH-2/4HNE Pathway in Prefrontal Cortex of Rats.

Applications

Unspecified application

Species

Unspecified reactive species

Fei Liu,Ying-Ying Dong,Gang Lei,Yuan Zhou,Peng Liu,Yong-Hui Dang

Nature communications 12:2529 PubMed33953175

2021

The lncRNA Caren antagonizes heart failure by inactivating DNA damage response and activating mitochondrial biogenesis.

Applications

Unspecified application

Species

Unspecified reactive species

Michio Sato,Tsuyoshi Kadomatsu,Keishi Miyata,Junco S Warren,Zhe Tian,Shunshun Zhu,Haruki Horiguchi,Aman Makaju,Anna Bakhtina,Jun Morinaga,Taichi Sugizaki,Kaname Hirashima,Kumiko Yoshinobu,Mai Imasaka,Masatake Araki,Yoshihiro Komohara,Tomohiko Wakayama,Shinichi Nakagawa,Sarah Franklin,Koichi Node,Kimi Araki,Yuichi Oike

Journal of Cancer 11:6841-6849 PubMed33123275

2020

Genetic Fine Mapping and Genomic Annotation Defines Causal Mechanisms at A Novel Colorectal Cancer Susceptibility Locus in Han Chinese.

Applications

Unspecified application

Species

Unspecified reactive species

Kewei Jiang,Fengying Du,Liang Lv,Hongqing Zhuo,Tao Xu,Lipan Peng,Yuezhi Chen,Leping Li,Jizhun Zhang

Nature communications 10:4664 PubMed31604935

2019

Second messenger ApA polymerizes target protein HINT1 to transduce signals in FcεRI-activated mast cells.

Applications

Unspecified application

Species

Unspecified reactive species

Jing Yu,Zaizhou Liu,Yuanyuan Liang,Feng Luo,Jie Zhang,Cuiping Tian,Alex Motzik,Mengmeng Zheng,Jingwu Kang,Guisheng Zhong,Cong Liu,Pengfei Fang,Min Guo,Ehud Razin,Jing Wang

Frontiers in behavioral neuroscience 12:110 PubMed29937721

2018

Altered Light Conditions Contribute to Abnormalities in Emotion and Cognition Through HINT1 Dysfunction in C57BL/6 Mice.

Applications

Unspecified application

Species

Unspecified reactive species

Yuan Zhou,Hao-Kang Zhang,Fei Liu,Gang Lei,Peng Liu,Tong Jiao,Yong-Hui Dang
View all publications

Product promise

We are committed to supporting your work with high-quality reagents, and we're here for you every step of the way. In the unlikely event that one of our products does not perform as expected, you're protected by our Product Promise.
For full details, please see our Terms & Conditions

Please note: All products are 'FOR RESEARCH USE ONLY. NOT FOR USE IN DIAGNOSTIC OR THERAPEUTIC PROCEDURES'.

For licensing inquiries, please contact partnerships@abcam.com