JavaScript is disabled in your browser. Please enable JavaScript to view this website.
AB220935

Anti-HINT2 antibody

Be the first to review this product! Submit a review

|

(1 Publication)

Rabbit Polyclonal HINT2 antibody. Suitable for IHC-P, ICC/IF and reacts with Human samples. Cited in 1 publication. Immunogen corresponding to Recombinant Fragment Protein within Human HINT2 aa 1-100.

View Alternative Names

Adenosine 5'-monophosphoramidase HINT2, HINT-3, HIT-17kDa, PKCI-1-related HIT protein, HINT-2, HINT2

4 Images
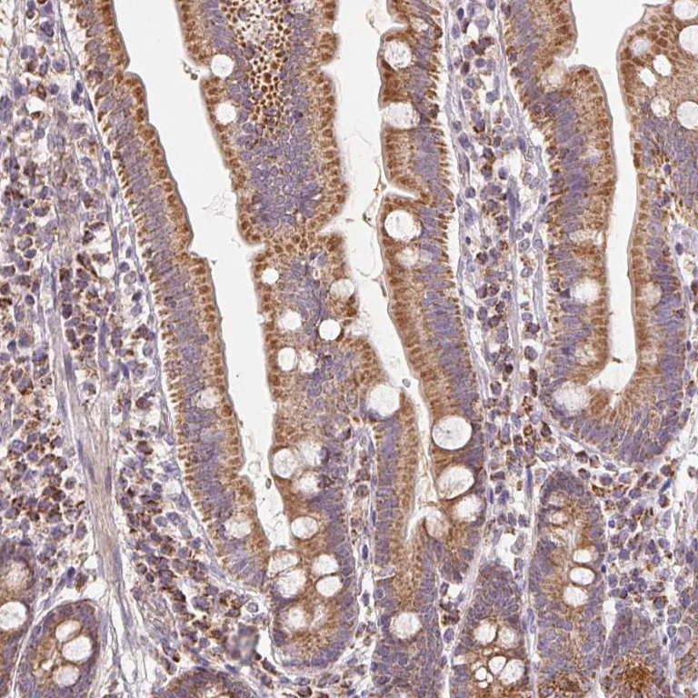
Immunohistochemistry (Formalin/PFA-fixed paraffin-embedded sections) - Anti-HINT2 antibody (AB220935)
  • IHC-P

Unknown

Immunohistochemistry (Formalin/PFA-fixed paraffin-embedded sections) - Anti-HINT2 antibody (AB220935)

Immunohistochemical analysis of paraffin-embedded human duodenum tissue labeling HINT2 with ab220935 at 1/50 dilution.

Immunohistochemistry (Formalin/PFA-fixed paraffin-embedded sections) - Anti-HINT2 antibody (AB220935)
  • IHC-P

Unknown

Immunohistochemistry (Formalin/PFA-fixed paraffin-embedded sections) - Anti-HINT2 antibody (AB220935)

Immunohistochemical analysis of paraffin-embedded human kidney tissue labeling HINT2 with ab220935 at 1/50 dilution.

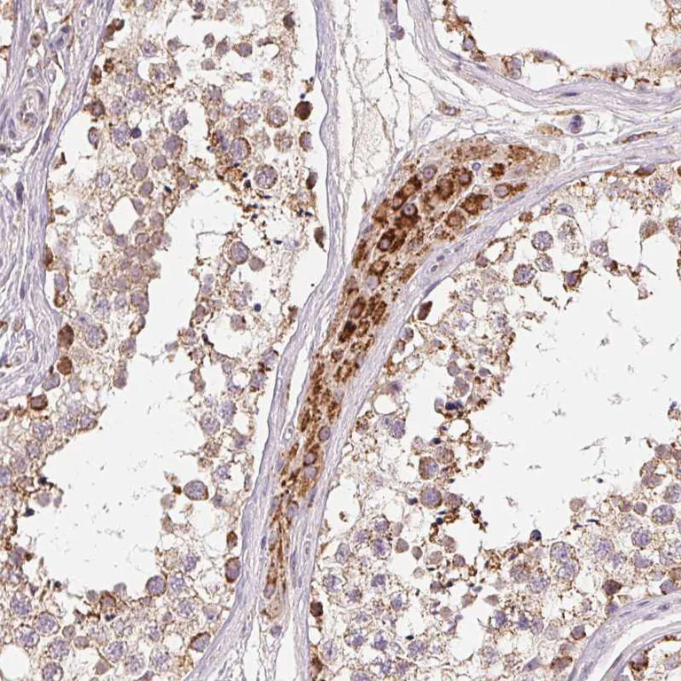
Immunohistochemistry (Formalin/PFA-fixed paraffin-embedded sections) - Anti-HINT2 antibody (AB220935)
  • IHC-P

Unknown

Immunohistochemistry (Formalin/PFA-fixed paraffin-embedded sections) - Anti-HINT2 antibody (AB220935)

Immunohistochemical analysis of paraffin-embedded human testis tissue labeling HINT2 with ab220935 at 1/50 dilution.

Immunocytochemistry/ Immunofluorescence - Anti-HINT2 antibody (AB220935)
  • ICC/IF

Supplier Data

Immunocytochemistry/ Immunofluorescence - Anti-HINT2 antibody (AB220935)

Immunofluorescent analysis of PFA-fixed/Triton X-100 permeabilized U-2 OS cells labeling HINT2 with ab220935 at 4 μg/mL (green).

Key facts

Host species

Rabbit

Clonality

Polyclonal

Isotype

IgG

Carrier free

No

Reacts with

Human

Applications

ICC/IF, IHC-P

applications

Immunogen

Recombinant Fragment Protein within Human HINT2 aa 1-100. The exact immunogen used to generate this antibody is proprietary information.

Q9BX68

Reactivity data

{ "title": "Reactivity Data", "filters": { "stats": ["", "Species", "Dilution Info", "Notes"], "tabs": { "all-applications": {"fullname" : "All Applications", "shortname": "All Applications"}, "IHCP" : {"fullname" : "Immunohistochemistry (Formalin/PFA-fixed paraffin-embedded sections)", "shortname":"IHC-P"}, "ICCIF" : {"fullname" : "Immunocytochemistry/ Immunofluorescence", "shortname":"ICC/IF"} }, "product-promise": { "all": "all", "testedAndGuaranteed": "tested", "guaranteed": "expected", "predicted": "predicted", "notRecommended": "not-recommended" } }, "values": { "Human": { "IHCP-species-checked": "testedAndGuaranteed", "IHCP-species-dilution-info": "1/50 - 1/200", "IHCP-species-notes": "<p></p> Perform heat-mediated antigen retrieval with citrate buffer pH 6 before commencing with IHC staining protocol.", "ICCIF-species-checked": "testedAndGuaranteed", "ICCIF-species-dilution-info": "0.25-2 µg/mL", "ICCIF-species-notes": "<p>Fixation/Permeabilization: PFA/Triton X-100.</p>" }, "Cow": { "IHCP-species-checked": "predicted", "IHCP-species-dilution-info": "", "IHCP-species-notes": "", "ICCIF-species-checked": "predicted", "ICCIF-species-dilution-info": "", "ICCIF-species-notes": "" } } }

Properties and storage information

Form
Liquid
Purification technique
Affinity purification Immunogen
Storage buffer
pH: 7.2 Preservative: 0.02% Sodium azide Constituents: PBS, 40% Glycerol (glycerin, glycerine)
Shipped at conditions
Blue Ice
Appropriate short-term storage duration
1-2 weeks
Appropriate short-term storage conditions
+4°C
Appropriate long-term storage conditions
-20°C
Aliquoting information
Upon delivery aliquot
Storage information
Avoid freeze / thaw cycle

Supplementary information

This supplementary information is collated from multiple sources and compiled automatically.

HINT2 also known as histidine triad nucleotide-binding protein 2 is a mitochondrial protein weighing approximately 17 kDa. It involves in catalyzing the hydrolysis of nucleotide derivatives specifically adenosine 5'-monophosphoramidate substrates. You would usually find HINT2 in the liver kidney and heart where it likely plays roles in cellular metabolism and energy homeostasis.
Biological function summary

This protein influences several cellular processes including apoptosis and mitochondrial function regulation. HINT2 is not part of a larger protein complex but works independently to ensure proper mitochondrial activity. Through these actions HINT2 maintains cellular homeostasis which is important for healthy energy production and utilization within the cell.

Pathways

This protein interacts with key signaling pathways such as the mitochondrial apoptosis pathway. This pathway usually relates to programmed cell death and links closely with proteins like cytochrome c and caspases. By influencing this pathway HINT2 plays a part in determining cell fate and contributes to the balance between cell survival and death.

Research links HINT2 to metabolic syndromes and liver diseases. Alterations in this protein may affect how cells manage energy which could lead to or exacerbate conditions like non-alcoholic fatty liver disease. The relationship of HINT2 with transporter proteins such as carnitine palmitoyltransferase 1 suggests it might influence fatty acid metabolism providing insights into how energy imbalances can trigger or worsen metabolic issues.

Product protocols

For this product, it's our understanding that no specific protocols are required. You can visit:

Target data

Exhibits adenosine 5'-monophosphoramidase activity, hydrolyzing purine nucleotide phosphoramidates with a single phosphate group such as adenosine 5'monophosphoramidate (AMP-NH2) to yield AMP and NH2 (PubMed : 16762638, PubMed : 31990367). Hydrolyzes adenosine 5'-O-p-nitrophenylphosphoramidate (AMP-pNA) (PubMed : 16762638). Hydrolyzes fluorogenic purine nucleoside tryptamine phosphoramidates in vitro (PubMed : 31990367). May be involved in steroid biosynthesis (PubMed : 18653718). May play a role in apoptosis (PubMed : 16762638).
See full target information HINT2

Publications (1)

Recent publications for all applications. Explore the full list and refine your search

Asia-Pacific journal of clinical oncology 19:e248-e257 PubMed36271660

2022

Polysaccharide of Lactobacillus casei SB27 reduced colon cancer cell prognosis through mitochondrial damage by upregulation of HINT2.

Applications

Unspecified application

Species

Unspecified reactive species

Wei Di,Xin Li,Qiaoyi Yang
View all publications

Product promise

We are committed to supporting your work with high-quality reagents, and we're here for you every step of the way. In the unlikely event that one of our products does not perform as expected, you're protected by our Product Promise.
For full details, please see our Terms & Conditions

Please note: All products are 'FOR RESEARCH USE ONLY. NOT FOR USE IN DIAGNOSTIC OR THERAPEUTIC PROCEDURES'.

For licensing inquiries, please contact partnerships@abcam.com