JavaScript is disabled in your browser. Please enable JavaScript to view this website.
AB247338

Anti-HIP2/LIG antibody [EP1145Y] - BSA and Azide free

Be the first to review this product! Submit a review

|

(0 Publication)

Rabbit Recombinant Monoclonal HIP2/LIG antibody. Carrier free. Suitable for WB, IHC-P and reacts with Human samples.

View Alternative Names

HIP2, LIG, UBE2K, Ubiquitin-conjugating enzyme E2 K, E2 ubiquitin-conjugating enzyme K, Huntingtin-interacting protein 2, Ubiquitin carrier protein, Ubiquitin-conjugating enzyme E2-25 kDa, Ubiquitin-protein ligase, HIP-2, Ubiquitin-conjugating enzyme E2(25K), Ubiquitin-conjugating enzyme E2-25K

2 Images
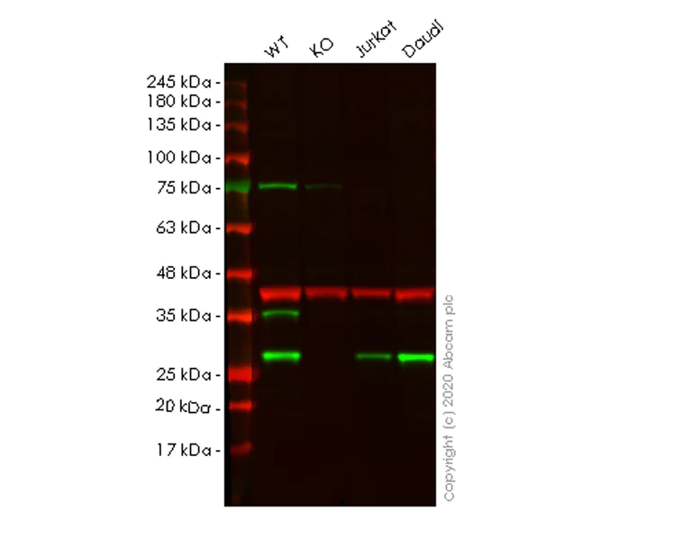
Western blot - Anti-HIP2/LIG antibody [EP1145Y] - BSA and Azide free (AB247338)
  • WB

Lab

Western blot - Anti-HIP2/LIG antibody [EP1145Y] - BSA and Azide free (AB247338)

This data was developed using ab52930, the same antibody clone in a different buffer formulation.

Lanes 1-4 : Merged signal (red and green). Green - ab52930 observed at 25 kDa. Red - loading control ab8245 observed at 36 kDa.

ab52930 Anti-HIP2/LIG antibody [EP1145Y] was shown to specifically react with HIP2/LIG in wild-type HCT116 cells. Loss of signal was observed when knockout cell line ab266899 (knockout cell lysate ab257779) was used. Wild-type and HIP2/LIG knockout samples were subjected to SDS-PAGE. ab52930 and Anti-GAPDH antibody [6C5] - Loading Control (ab8245) were incubated overnight at 4°C at 1 in 1000 dilution and 1 in 20000 dilution respectively. Blots were developed with Goat anti-Rabbit IgG H&L (IRDye® 800CW) preadsorbed (ab216773) and Goat anti-Mouse IgG H&L (IRDye® 680RD) preadsorbed (ab216776) secondary antibodies at 1 in 20000 dilution for 1 hour at room temperature before imaging.

All lanes:

Western blot - Anti-HIP2/LIG antibody [EP1145Y] (<a href='/en-us/products/primary-antibodies/hip2-lig-antibody-ep1145y-ab52930'>ab52930</a>) at 1/1000 dilution

Lane 1:

Wild-type HCT116 cell lysate at 20 µg

Lane 2:

UBE2K knockout HCT116 cell lysate at 20 µg

Lane 2:

Western blot - Human UBE2K (HIP2/LIG) knockout HCT116 cell line (<a href='/en-us/products/cell-lines/human-ube2k-hip2-lig-knockout-hct116-cell-line-ab266899'>ab266899</a>)

Lane 3:

Daudi cell lysate at 20 µg

Lane 4:

Jurkat cell lysate at 20 µg

Secondary

All lanes:

Western blot - Goat anti-Rabbit IgG H&L (IRDye® 800CW) preadsorbed (<a href='/en-us/products/secondary-antibodies/goat-rabbit-igg-h-l-irdye-800cw-preadsorbed-ab216773'>ab216773</a>) at 1/10000 dilution

Predicted band size: 22 kDa

Observed band size: 25 kDa

false

Western blot - Anti-HIP2/LIG antibody [EP1145Y] - BSA and Azide free (AB247338)
  • WB

Lab

Western blot - Anti-HIP2/LIG antibody [EP1145Y] - BSA and Azide free (AB247338)

This data was developed using the same antibody clone in a different buffer formulation (ab52930).

Lanes 1-4 : Merged signal (red and green). Green - ab52930 observed at 26 kDa. Red - loading control ab8245 observed at 36 kDa.

ab52930 Anti-HIP2/LIG antibody [EP1145Y] was shown to specifically react with HIP2/LIG in wild-type HeLa cells. Loss of signal was observed when knockout cell line ab266031 (knockout cell lysate ab257778) was used. Wild-type and HIP2/LIG knockout samples were subjected to SDS-PAGE. ab52930 and Anti-GAPDH antibody [6C5] - Loading Control (ab8245) were incubated overnight at 4°C at 1 in 1000 dilution and 1 in 20000 dilution respectively. Blots were developed with Goat anti-Rabbit IgG H&L (IRDye® 800CW) preadsorbed (ab216773) and Goat anti-Mouse IgG H&L (IRDye® 680RD) preadsorbed (ab216776) secondary antibodies at 1 in 20000 dilution for 1 hour at room temperature before imaging.

All lanes:

Western blot - Anti-HIP2/LIG antibody [EP1145Y] (<a href='/en-us/products/primary-antibodies/hip2-lig-antibody-ep1145y-ab52930'>ab52930</a>) at 1/1000 dilution

Lane 1:

Wild-type HeLa cell lysate at 20 µg

Lane 2:

UBE2K knockout HeLa cell lysate at 20 µg

Lane 2:

Western blot - Human UBE2K (HIP2/LIG) knockout HeLa cell line (<a href='/en-us/products/cell-lines/human-ube2k-hip2-lig-knockout-hela-cell-line-ab266031'>ab266031</a>)

Lane 3:

Jurkat cell lysate at 20 µg

Lane 4:

Daudi cell lysate at 20 µg

Secondary

All lanes:

Western blot - Goat anti-Rabbit IgG H&L (IRDye® 800CW) preadsorbed (<a href='/en-us/products/secondary-antibodies/goat-rabbit-igg-h-l-irdye-800cw-preadsorbed-ab216773'>ab216773</a>) at 1/10000 dilution

Predicted band size: 22 kDa

Observed band size: 26 kDa

false

Key facts

Host species

Rabbit

Clonality

Monoclonal

Clone number

EP1145Y

Isotype

IgG

Carrier free

Yes

Reacts with

Human

Applications

IHC-P, WB

applications

Immunogen

The exact immunogen used to generate this antibody is proprietary information.

Reactivity data

{ "title": "Reactivity Data", "filters": { "stats": ["", "Species", "Dilution Info", "Notes"], "tabs": { "all-applications": {"fullname" : "All Applications", "shortname": "All Applications"}, "ICCIF" : {"fullname" : "Immunocytochemistry/ Immunofluorescence", "shortname":"ICC/IF"}, "FlowCyt" : {"fullname" : "Flow Cytometry", "shortname":"Flow Cyt"}, "WB" : {"fullname" : "Western blot", "shortname":"WB"}, "IHCP" : {"fullname" : "Immunohistochemistry (Formalin/PFA-fixed paraffin-embedded sections)", "shortname":"IHC-P"} }, "product-promise": { "all": "all", "testedAndGuaranteed": "tested", "guaranteed": "expected", "predicted": "predicted", "notRecommended": "not-recommended" } }, "values": { "Human": { "ICCIF-species-checked": "notRecommended", "ICCIF-species-dilution-info": "", "ICCIF-species-notes": "<p></p>", "FlowCyt-species-checked": "notRecommended", "FlowCyt-species-dilution-info": "", "FlowCyt-species-notes": "<p></p>", "WB-species-checked": "testedAndGuaranteed", "WB-species-dilution-info": "", "WB-species-notes": "<p></p>", "IHCP-species-checked": "guaranteed", "IHCP-species-dilution-info": "", "IHCP-species-notes": "<p></p>" }, "Mouse": { "ICCIF-species-checked": "notRecommended", "ICCIF-species-dilution-info": "", "ICCIF-species-notes": "", "FlowCyt-species-checked": "notRecommended", "FlowCyt-species-dilution-info": "", "FlowCyt-species-notes": "", "WB-species-checked": "predicted", "WB-species-dilution-info": "", "WB-species-notes": "", "IHCP-species-checked": "predicted", "IHCP-species-dilution-info": "", "IHCP-species-notes": "" }, "Rat": { "ICCIF-species-checked": "notRecommended", "ICCIF-species-dilution-info": "", "ICCIF-species-notes": "", "FlowCyt-species-checked": "notRecommended", "FlowCyt-species-dilution-info": "", "FlowCyt-species-notes": "", "WB-species-checked": "predicted", "WB-species-dilution-info": "", "WB-species-notes": "", "IHCP-species-checked": "predicted", "IHCP-species-dilution-info": "", "IHCP-species-notes": "" } } }

Product details

ab247338 is the carrier-free version of ab52930.

Patented technology
Our RabMAb® technology is a patented hybridoma-based technology for making rabbit monoclonal antibodies. For details on our patents, please refer to RabMAb® patents.

What are the advantages of a recombinant monoclonal antibody?
This product is a recombinant monoclonal antibody, which offers several advantages including:

  • - High batch-to-batch consistency and reproducibility
  • - Improved sensitivity and specificity
  • - Long-term security of supply
  • - Animal-free batch production

For more information, read more on recombinant antibodies.

Conjugation ready
Our carrier-free antibodies are typically supplied in a PBS-only formulation, purified and free of BSA, sodium azide and glycerol. This conjugation-ready format is designed for use with fluorochromes, metal isotopes, oligonucleotides, and enzymes, which makes them ideal for antibody labelling, functional and cell-based assays, flow-based assays (e.g. mass cytometry) and Multiplex Imaging applications.

Use our conjugation kits for antibody conjugates that are ready-to-use in as little as 20 minutes with 1 minute hands-on-time and 100% antibody recovery: available for fluorescent dyes, HRP, biotin and gold.

Compatibility
This product is compatible with the Maxpar® Antibody Labeling Kit from Fluidigm, without the need for antibody preparation. Maxpar® is a trademark of Fluidigm Canada Inc.

Properties and storage information

Form
Liquid
Purification technique
Affinity purification Protein A
Storage buffer
pH: 7.2 - 7.4 Constituents: PBS
Shipped at conditions
Blue Ice
Appropriate short-term storage conditions
+4°C
Appropriate long-term storage conditions
+4°C
Storage information
Do Not Freeze

Supplementary information

This supplementary information is collated from multiple sources and compiled automatically.

HIP2 also known as LIG or Ubiquitin-Conjugating Enzyme E2 K (UBE2K) functions as an E2 ubiquitin-conjugating enzyme. It has a molecular mass of approximately 24 kDa. This protein plays an important role in the ubiquitination process where it transfers ubiquitin molecules to substrate proteins labeling them for degradation. HIP2 is expressed across various tissues in the human body indicating its widespread importance in cellular activities. It works alongside ubiquitin ligases (E3s) to ensure accurate tagging of proteins facilitating their removal by the proteasome.
Biological function summary

The function of HIP2 extends to protein homeostasis essential for maintaining cellular integrity. As part of the ubiquitin-proteasome system it ensures the elimination of damaged or excess proteins effectively preventing cellular stress or dysfunction. HIP2 operates within a complex that includes E1 enzymes and various E3 ligases highlighting its collaborative nature in protein turnover. The protein activity helps regulate cell cycle progression DNA repair and signal transduction ensuring normal cell function and adaptation to environmental changes.

Pathways

HIP2 is most involved in the ubiquitin-proteasome pathway and is linked to protein catabolism. It collaborates with key proteins like UBE2C and UBE2D which participate in tagging proteins for degradation. The coordination with these proteins demonstrates HIP2's role in managing protein levels in cells having implications in the cell's response to damage and stress. Additionally HIP2 intersects with pathways associated with cell cycle regulation allowing cells to maintain orderly division and prevent the accumulation of aberrant proteins.

HIP2 is significantly associated with neurodegenerative conditions and cancers. Aberrant HIP2 function can affect pathways controlled by proteins like p53 resulting in insufficient protein degradation that contributes to neuronal accumulation in disorders such as Alzheimer's disease. Moreover HIP2 dysregulation has links to oncogenic processes connecting to proteins like cyclins which are critical regulators in various cancers. Investigation into HIP2's function offers insights into potential therapeutic targets for these severe conditions with ongoing research focusing on modulating its activity to manage or prevent disease progression.

Product protocols

For this product, it's our understanding that no specific protocols are required. You can visit:

Target data

Accepts ubiquitin from the E1 complex and catalyzes its covalent attachment to other proteins. In vitro, in the presence or in the absence of BRCA1-BARD1 E3 ubiquitin-protein ligase complex, catalyzes the synthesis of 'Lys-48'-linked polyubiquitin chains. Does not transfer ubiquitin directly to but elongates monoubiquitinated substrate protein. Mediates the selective degradation of short-lived and abnormal proteins, such as the endoplasmic reticulum-associated degradation (ERAD) of misfolded lumenal proteins. Ubiquitinates huntingtin. May mediate foam cell formation by the suppression of apoptosis of lipid-bearing macrophages through ubiquitination and subsequence degradation of p53/TP53. Proposed to be involved in ubiquitination and proteolytic processing of NF-kappa-B; in vitro supports ubiquitination of NFKB1. In case of infection by cytomegaloviruses may be involved in the US11-dependent degradation of MHC class I heavy chains following their export from the ER to the cytosol. In case of viral infections may be involved in the HPV E7 protein-dependent degradation of RB1.
See full target information UBE2K

Product promise

We are committed to supporting your work with high-quality reagents, and we're here for you every step of the way. In the unlikely event that one of our products does not perform as expected, you're protected by our Product Promise.
For full details, please see our Terms & Conditions

Please note: All products are 'FOR RESEARCH USE ONLY. NOT FOR USE IN DIAGNOSTIC OR THERAPEUTIC PROCEDURES'.

For licensing inquiries, please contact partnerships@abcam.com