JavaScript is disabled in your browser. Please enable JavaScript to view this website.
AB302929

Anti-HIRA/HIR antibody [EPR25299-11] - BSA and Azide free

  • BOND RX™ Validated
  • Advanced Validation
  • RabMAb
  • Recombinant
  • What is this?

Be the first to review this product! Submit a review

|

(0 Publication)

Rabbit Recombinant Monoclonal HIRA/HIR antibody. Carrier free. Suitable for mIHC, WB, IHC-P, IP and reacts with Mouse, Rat, Human samples.

View Alternative Names

DGCR1, HIR, TUPLE1, HIRA, Protein HIRA, TUP1-like enhancer of split protein 1

8 Images
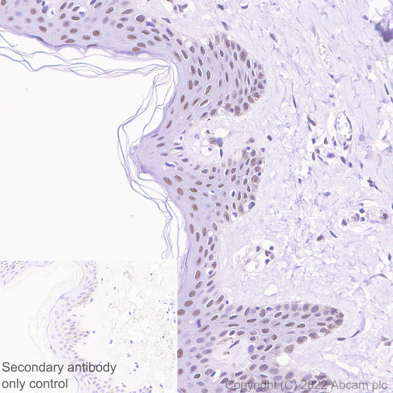
Immunohistochemistry - Anti-HIRA/HIR antibody [EPR25299-11] - BSA and Azide free (AB302929)
  • IHC

Supplier Data

Immunohistochemistry - Anti-HIRA/HIR antibody [EPR25299-11] - BSA and Azide free (AB302929)

This data was developed using ab302928, the same antibody clone in a different buffer formulation. Immunohistochemical analysis of paraffin-embedded Human skin tissue labeling HIRA/HIR with ab302928 at 1/100 (4.86 ug/ml) followed by a LeicaDS9800 (Bond™ Polymer Refine Detection) was used at Ready to use dilution. Nuclear staining on human skin. The section was incubated with ab302928 for 30 mins at room temperature.The immunostaining was performed on a Leica Biosystems BOND® RX instrument Counterstained with Hematoxylin. Secondary antibody only control : Secondary antibody is LeicaDS9800 (Bond™ Polymer Refine Detection) was used at Ready to use dilution. Heat mediated antigen retrieval was performed with Tris-EDTA buffer (pH 9.0, Epitope Retrieval Solution2) for 20 mins

Immunohistochemistry - Anti-HIRA/HIR antibody [EPR25299-11] - BSA and Azide free (AB302929)
  • IHC

Supplier Data

Immunohistochemistry - Anti-HIRA/HIR antibody [EPR25299-11] - BSA and Azide free (AB302929)

This data was developed using ab302928, the same antibody clone in a different buffer formulation. Immunohistochemical analysis of paraffin-embedded Rat cerebrum tissue labeling HIRA/HIR with ab302928 at 1/100 (4.86 ug/ml) followed by a LeicaDS9800 (Bond™ Polymer Refine Detection) was used at Ready to use dilution. Nuclear staining on rat cerebrum. The section was incubated with ab302928 for 30 mins at room temperature.The immunostaining was performed on a Leica Biosystems BOND® RX instrument Counterstained with Hematoxylin. Secondary antibody only control : Secondary antibody is LeicaDS9800 (Bond™ Polymer Refine Detection) was used at Ready to use dilution. Heat mediated antigen retrieval was performed with Tris-EDTA buffer (pH 9.0, Epitope Retrieval Solution2) for 20 mins

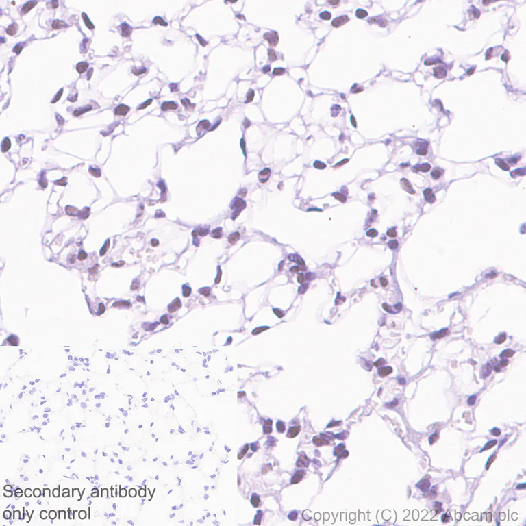
Immunohistochemistry - Anti-HIRA/HIR antibody [EPR25299-11] - BSA and Azide free (AB302929)
  • IHC

Supplier Data

Immunohistochemistry - Anti-HIRA/HIR antibody [EPR25299-11] - BSA and Azide free (AB302929)

This data was developed using ab302928, the same antibody clone in a different buffer formulation. Immunohistochemical analysis of paraffin-embedded Mouse lung tissue labeling HIRA/HIR with ab302928 at 1/100 (4.86 ug/ml) followed by a LeicaDS9800 (Bond™ Polymer Refine Detection) was used at Ready to use dilution. Nuclear staining on mouse lung. The section was incubated with ab302928 for 30 mins at room temperature.The immunostaining was performed on a Leica Biosystems BOND® RX instrument Counterstained with Hematoxylin. Secondary antibody only control : Secondary antibody is LeicaDS9800 (Bond™ Polymer Refine Detection) was used at Ready to use dilution. Heat mediated antigen retrieval was performed with Tris-EDTA buffer (pH 9.0, Epitope Retrieval Solution2) for 20 mins

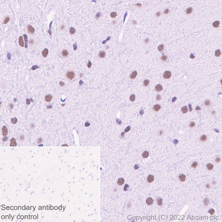
Immunohistochemistry - Anti-HIRA/HIR antibody [EPR25299-11] - BSA and Azide free (AB302929)
  • IHC

Supplier Data

Immunohistochemistry - Anti-HIRA/HIR antibody [EPR25299-11] - BSA and Azide free (AB302929)

This data was developed using ab302928, the same antibody clone in a different buffer formulation. Immunohistochemical analysis of paraffin-embedded Mouse cerebrum tissue labeling HIRA/HIR with ab302928 at 1/100 (4.86 ug/ml) followed by a LeicaDS9800 (Bond™ Polymer Refine Detection) was used at Ready to use dilution. Nuclear staining on mouse cerebrum. The section was incubated with ab302928 for 30 mins at room temperature.The immunostaining was performed on a Leica Biosystems BOND® RX instrument Counterstained with Hematoxylin. Secondary antibody only control : Secondary antibody is LeicaDS9800 (Bond™ Polymer Refine Detection) was used at Ready to use dilution. Heat mediated antigen retrieval was performed with Tris-EDTA buffer (pH 9.0, Epitope Retrieval Solution2) for 20 mins

Multiplex immunohistochemistry - Anti-HIRA/HIR antibody [EPR25299-11] - BSA and Azide free (AB302929)
  • mIHC

Lab

Multiplex immunohistochemistry - Anti-HIRA/HIR antibody [EPR25299-11] - BSA and Azide free (AB302929)

This data was developed using ab302928, the same antibody clone in a different buffer formulation.

Multiplex immunohistochemistry analysis of formalin/PFA-fixed paraffin-embedded mouse liver tissue staining ALDH1L1 with ab307696 at a 1/5000 dilution, ab302928 anti-HIRA/HIR used at 1/100 dilution and ab314327 anti-CD73 used at a 1/250 dilution.

Panel A : merged staining of anti-ALDH1L1 (green; Opal520), anti-HIRA/HIR (magenta; Opal690) and anti-CD73 (grey; Opal570) on mouse liver.
Panel B : anti-ALDH1L1 staining cytoplasm of hepatocytes in mouse liver.
Panel C : anti-HIRA/HIR staining nucleus of hepatocytes in mouse liver.
Panel D : anti-CD73 staining endothelium in mouse liver.
Nuclear DNA was labeled with DAPI (shown in blue).

The section was incubated in three rounds of staining : in the order of ab307696, ab302928 and ab314327 for 30 mins at room temperature. Each round was followed by a separate fluorescent tyramide signal amplification system.

Heat mediated antigen retrieval with Tris-EDTA buffer (pH 9.0, epitope retrieval solution2) for 20 mins.

Multiplex immunohistochemistry - Anti-HIRA/HIR antibody [EPR25299-11] - BSA and Azide free (AB302929)
  • mIHC

Lab

Multiplex immunohistochemistry - Anti-HIRA/HIR antibody [EPR25299-11] - BSA and Azide free (AB302929)

This data was developed using ab302928, the same antibody clone in a different buffer formulation.

Multiplex immunohistochemistry analysis of formalin/PFA-fixed paraffin-embedded mouse liver tissue staining ALDH1L1 with ab307696 at a 1/5000 dilution, ab302928 anti-HIRA/HIR used at 1/100 dilution and ab32572 anti-beta Catenin used at a 1/250 dilution. Opal Polymer HRP Ms + Rb was used as a secondary antibody.

Panel A : merged staining of anti-ALDH1L1 (green; Opal520), anti-HIRA/HIR (magenta; Opal690) and anti-beta Catenin (grey; Opal570) on mouse liver.
Panel B : anti-ALDH1L1 staining cytoplasm of hepatocytes in mouse liver.
Panel C : anti-HIRA/HIR staining nucleus of hepatocytes in mouse liver.
Panel D : anti-beta Catenin staining membrane of hepatocytes in mouse liver.
Nuclear DNA was labeled with DAPI (shown in blue).

The section was incubated in three rounds of staining : in the order of ab307696, ab302928 and ab32572 for 30 mins at room temperature. Each round was followed by a separate fluorescent tyramide signal amplification system.

Heat mediated antigen retrieval with Tris-EDTA buffer (pH 9.0, epitope retrieval solution2) for 20 mins.

Multiplex immunohistochemistry - Anti-HIRA/HIR antibody [EPR25299-11] - BSA and Azide free (AB302929)
  • mIHC

Lab

Multiplex immunohistochemistry - Anti-HIRA/HIR antibody [EPR25299-11] - BSA and Azide free (AB302929)

This data was developed using ab302928, the same antibody clone in a different buffer formulation.

Multiplex immunohistochemistry analysis of formalin/PFA-fixed paraffin-embedded rat liver tissue staining ALDH1L1 with ab307696 at a 1/5000 dilution, ab302928 anti-HIRA/HIR used at 1/100 dilution and ab314327 anti-CD73 used at a 1/250 dilution.

Panel A : merged staining of anti-ALDH1L1 (green; Opal520), anti-HIRA/HIR (magenta; Opal690) and anti-CD73 (grey; Opal570) on rat liver.
Panel B : anti-ALDH1L1 staining cytoplasm of hepatocytes in rat liver.
Panel C : anti-HIRA/HIR staining nucleus of hepatocytes in rat liver.
Panel D : anti-CD73 staining endothelium in rat liver.
Nuclear DNA was labeled with DAPI (shown in blue).

The section was incubated in three rounds of staining : in the order of ab307696, ab302928 and ab314327 for 30 mins at room temperature. Each round was followed by a separate fluorescent tyramide signal amplification system.

Heat mediated antigen retrieval with Tris-EDTA buffer (pH 9.0, epitope retrieval solution2) for 20 mins.

Multiplex immunohistochemistry - Anti-HIRA/HIR antibody [EPR25299-11] - BSA and Azide free (AB302929)
  • mIHC

Lab

Multiplex immunohistochemistry - Anti-HIRA/HIR antibody [EPR25299-11] - BSA and Azide free (AB302929)

This data was developed using ab302928, the same antibody clone in a different buffer formulation.

Multiplex immunohistochemistry analysis of formalin/PFA-fixed paraffin-embedded rat liver tissue staining ALDH1L1 with ab307696 at a 1/5000 dilution, ab302928 anti-HIRA/HIR used at 1/100 dilution and ab32572 anti-beta Catenin used at a 1/250 dilution. Opal Polymer HRP Ms + Rb was used as a secondary antibody.

Panel A : merged staining of anti-ALDH1L1 (green; Opal520), anti-HIRA/HIR (magenta; Opal690) and anti-beta Catenin (grey; Opal570) on rat liver.
Panel B : anti-ALDH1L1 staining cytoplasm of hepatocytes in rat liver.
Panel C : anti-HIRA/HIR staining nucleus of hepatocytes in rat liver.
Panel D : anti-beta Catenin staining membrane of hepatocytes in rat liver.
Nuclear DNA was labeled with DAPI (shown in blue).

The section was incubated in three rounds of staining : in the order of ab307696, ab302928 and ab32572 for 30 mins at room temperature. Each round was followed by a separate fluorescent tyramide signal amplification system.

Heat mediated antigen retrieval with Tris-EDTA buffer (pH 9.0, epitope retrieval solution2) for 20 mins.

Key facts

Host species

Rabbit

Clonality

Monoclonal

Clone number

EPR25299-11

Isotype

IgG

Carrier free

Yes

Reacts with

Human, Mouse, Rat

Applications

IHC-P, IP, WB, mIHC

applications

Immunogen

The exact immunogen used to generate this antibody is proprietary information.

Reactivity data

{ "title": "Reactivity Data", "filters": { "stats": ["", "Species", "Dilution Info", "Notes"], "tabs": { "all-applications": {"fullname" : "All Applications", "shortname": "All Applications"}, "mIHC" : {"fullname" : "Multiplex immunohistochemistry", "shortname":"mIHC"}, "WB" : {"fullname" : "Western blot", "shortname":"WB"}, "IHCP" : {"fullname" : "Immunohistochemistry (Formalin/PFA-fixed paraffin-embedded sections)", "shortname":"IHC-P"}, "ICCIF" : {"fullname" : "Immunocytochemistry/ Immunofluorescence", "shortname":"ICC/IF"}, "FlowCytIntra" : {"fullname" : "Flow Cytometry (Intracellular)", "shortname":"Flow Cyt (Intra)"}, "IP" : {"fullname" : "Immunoprecipitation", "shortname":"IP"}, "ChIP" : {"fullname" : "ChIP", "shortname":"ChIP"} }, "product-promise": { "all": "all", "testedAndGuaranteed": "tested", "guaranteed": "expected", "predicted": "predicted", "notRecommended": "not-recommended" } }, "values": { "Human": { "mIHC-species-checked": "guaranteed", "mIHC-species-dilution-info": "", "mIHC-species-notes": "", "WB-species-checked": "testedAndGuaranteed", "WB-species-dilution-info": "", "WB-species-notes": "<p></p>", "IHCP-species-checked": "testedAndGuaranteed", "IHCP-species-dilution-info": "", "IHCP-species-notes": "<p></p>", "ICCIF-species-checked": "notRecommended", "ICCIF-species-dilution-info": "", "ICCIF-species-notes": "<p></p>", "FlowCytIntra-species-checked": "notRecommended", "FlowCytIntra-species-dilution-info": "", "FlowCytIntra-species-notes": "<p></p>", "IP-species-checked": "testedAndGuaranteed", "IP-species-dilution-info": "", "IP-species-notes": "<p></p>", "ChIP-species-checked": "notRecommended", "ChIP-species-dilution-info": "", "ChIP-species-notes": "" }, "Mouse": { "mIHC-species-checked": "testedAndGuaranteed", "mIHC-species-dilution-info": "", "mIHC-species-notes": "<p></p>", "WB-species-checked": "testedAndGuaranteed", "WB-species-dilution-info": "", "WB-species-notes": "<p></p>", "IHCP-species-checked": "testedAndGuaranteed", "IHCP-species-dilution-info": "", "IHCP-species-notes": "<p></p>", "ICCIF-species-checked": "notRecommended", "ICCIF-species-dilution-info": "", "ICCIF-species-notes": "<p></p>", "FlowCytIntra-species-checked": "notRecommended", "FlowCytIntra-species-dilution-info": "", "FlowCytIntra-species-notes": "<p></p>", "IP-species-checked": "testedAndGuaranteed", "IP-species-dilution-info": "", "IP-species-notes": "<p></p>", "ChIP-species-checked": "notRecommended", "ChIP-species-dilution-info": "", "ChIP-species-notes": "<p></p>" }, "Rat": { "mIHC-species-checked": "testedAndGuaranteed", "mIHC-species-dilution-info": "", "mIHC-species-notes": "<p></p>", "WB-species-checked": "testedAndGuaranteed", "WB-species-dilution-info": "", "WB-species-notes": "<p></p>", "IHCP-species-checked": "testedAndGuaranteed", "IHCP-species-dilution-info": "", "IHCP-species-notes": "<p></p>", "ICCIF-species-checked": "notRecommended", "ICCIF-species-dilution-info": "", "ICCIF-species-notes": "", "FlowCytIntra-species-checked": "notRecommended", "FlowCytIntra-species-dilution-info": "", "FlowCytIntra-species-notes": "", "IP-species-checked": "guaranteed", "IP-species-dilution-info": "", "IP-species-notes": "", "ChIP-species-checked": "notRecommended", "ChIP-species-dilution-info": "", "ChIP-species-notes": "" } } }

Product details

Conjugation ready
Our carrier-free antibodies are typically supplied in a PBS-only formulation, purified and free of BSA, sodium azide and glycerol. This conjugation-ready format is designed for use with fluorochromes, metal isotopes, oligonucleotides, and enzymes, which makes them ideal for antibody labelling, functional and cell-based assays, flow-based assays (e.g. mass cytometry) and Multiplex Imaging applications.

Use our conjugation kits for antibody conjugates that are ready-to-use in as little as 20 minutes with 1 minute hands-on-time and 100% antibody recovery: available for fluorescent dyes, HRP, biotin and gold.

Compatibility
This product is compatible with the Maxpar® Antibody Labeling Kit from Fluidigm, without the need for antibody preparation. Maxpar® is a trademark of Fluidigm Canada Inc.

Patented technology
Our RabMAb® technology is a patented hybridoma-based technology for making rabbit monoclonal antibodies. For details on our patents, please refer to RabMAb® patents.

What are the advantages of a recombinant monoclonal antibody?
This product is a recombinant monoclonal antibody, which offers several advantages including:

  • - High batch-to-batch consistency and reproducibility
  • - Improved sensitivity and specificity
  • - Long-term security of supply
  • - Animal-free batch production

For more information, read more on recombinant antibodies.

Properties and storage information

Form
Liquid
Purification technique
Affinity purification Protein A
Storage buffer
pH: 7.2 - 7.4 Constituents: PBS
Shipped at conditions
Blue Ice
Appropriate short-term storage conditions
+4°C
Appropriate long-term storage conditions
+4°C
Storage information
Do Not Freeze

Supplementary information

This supplementary information is collated from multiple sources and compiled automatically.

HIRA also known as HIR or HIR/HIRA is a histone chaperone protein that plays an essential role in chromatin remodeling and nucleosome assembly. This protein has a mass of approximately 121 kDa. It is expressed in various tissues with notable presence in the liver heart and skeletal muscle. The HIRA protein interacts with other proteins to regulate the deposition of histone H3.3 which is important for processes like DNA replication and repair.
Biological function summary

HIRA participates in the formation of a complex known as the HIRA-ASF1A-CABIN1 protein complex. This complex operates in chromatin assembly and modulates the incorporation of histone variant H3.3 affecting gene silencing and transcription regulation. Interacting with histone proteins HIRA serves an important function in genome stability and epigenetic mark establishment.

Pathways

HIRA influences the histone replacement pathway significantly impacting gene expression and chromatin organization. HIRA works closely with ASF1A and CABIN1 proteins within this pathway. Additionally in the senescence-associated secretory phenotype pathway HIRA contributes to cellular aging processes by regulating transcriptional outcomes. The modulation of these pathways by HIRA exemplifies its key role in maintaining cellular functions.

Defects in HIRA associate with hypertrophic cardiomyopathy and some cancer types such as breast cancer. HIRA alterations can disrupt chromatin dynamics potentially linking it with poor prognostic factors in these diseases. In particular the HIRA gene can interact with other genes involved in cardiomyopathies like MYH7 affecting heart muscle function. Through its role in chromatin remodeling HIRA connects to various pathologies where gene regulation and DNA damage responses are compromised.

Product protocols

For this product, it's our understanding that no specific protocols are required. You can visit:

Target data

Cooperates with ASF1A to promote replication-independent chromatin assembly. Required for the periodic repression of histone gene transcription during the cell cycle. Required for the formation of senescence-associated heterochromatin foci (SAHF) and efficient senescence-associated cell cycle exit.
See full target information HIRA

Product promise

We are committed to supporting your work with high-quality reagents, and we're here for you every step of the way. In the unlikely event that one of our products does not perform as expected, you're protected by our Product Promise.
For full details, please see our Terms & Conditions

Please note: All products are 'FOR RESEARCH USE ONLY. NOT FOR USE IN DIAGNOSTIC OR THERAPEUTIC PROCEDURES'.

For licensing inquiries, please contact partnerships@abcam.com