JavaScript is disabled in your browser. Please enable JavaScript to view this website.
AB129169

Anti-HIRA/HIR antibody [EPR7416]

4

(6 Reviews)

|

(7 Publications)

Rabbit Recombinant Monoclonal HIRA/HIR antibody. Suitable for IP, WB, ICC/IF, Flow Cyt (Intra) and reacts with Human samples. Cited in 7 publications.

View Alternative Names

DGCR1, HIR, TUPLE1, HIRA, Protein HIRA, TUP1-like enhancer of split protein 1

7 Images
Flow Cytometry (Intracellular) - Anti-HIRA/HIR antibody [EPR7416] (AB129169)
  • Flow Cyt (Intra)

Lab

Flow Cytometry (Intracellular) - Anti-HIRA/HIR antibody [EPR7416] (AB129169)

Intracellular Flow Cytometry analysis of HeLa (Human cervix adenocarcinoma epithelial cell) cells labeling HIRA/HIR with purified ab129169 at 1/100 dilution (10μg/mL) (Red). Cells were fixed with 4% Paraformaldehyde and permeabilised with 90% Methanol. A Goat anti rabbit IgG (Alexa Fluorr® 488, ab150077) secondary antibody was used at 1/2000. Isotype control - Rabbit monoclonal IgG (Black). Unlabeled control - Cell without incubation with primary antibody and secondary antibody (Blue).

Flow Cytometry (Intracellular) - Anti-HIRA/HIR antibody [EPR7416] (AB129169)
  • Flow Cyt (Intra)

Unknown

Flow Cytometry (Intracellular) - Anti-HIRA/HIR antibody [EPR7416] (AB129169)

Overlay histogram showing HEK293 cells stained with unpurified ab129169 (red line). The cells were fixed with 4% paraformaldehyde (10 min) and then permeabilized with 0.1% PBS-Tween for 20 min. The cells were then incubated in 1x PBS / 10% normal goat serum / 0.3M glycine to block non-specific protein-protein interactions followed by the antibody (ab129169, 1/1000 dilution) for 30 min at 22°C. The secondary antibody used was Alexa Fluor® 488 goat anti-rabbit IgG (H&L) (ab150077) at 1/2000 dilution for 30 min at 22°C. Isotype control antibody (black line) was rabbit IgG (monoclonal) (0.1μg/1x106 cells) used under the same conditions. Unlabelled sample (blue line) was also used as a control. Acquisition of >5,000 events were collected using a 20mW Argon ion laser (488nm) and 525/30 bandpass filter. This antibody gave a positive signal in HEK293 cells fixed with 80% methanol (5 min)/permeabilized with 0.1% PBS-Tween for 20 min used under the same conditions.

Immunocytochemistry/ Immunofluorescence - Anti-HIRA/HIR antibody [EPR7416] (AB129169)
  • ICC/IF

Unknown

Immunocytochemistry/ Immunofluorescence - Anti-HIRA/HIR antibody [EPR7416] (AB129169)

ab129169 (unpurified) at 1/50 dilution, staining HIRA/HIR in HeLa cells by Immunofluorescence.

Immunocytochemistry/ Immunofluorescence - Anti-HIRA/HIR antibody [EPR7416] (AB129169)
  • ICC/IF

Lab

Immunocytochemistry/ Immunofluorescence - Anti-HIRA/HIR antibody [EPR7416] (AB129169)

Immunocytochemistry/ Immunofluorescence analysis of K-562 (Human chronic myelogenous leukemia lymphoblast) cells labeling HIRA/HIR with purified ab129169 at 1/200 dilution (5 μg/mL). Cells were fixed in 4% Paraformaldehyde and permeabilized with 0.1% tritonX-100. Cells were counterstained with ab195889 Anti-alpha Tubulin antibody [DM1A] - Microtubule Marker (Alexa Fluor® 594) 1/200 (2.5 μg/mL). Goat anti rabbit IgG (Alexa Fluor® 488, ab150077) was used as the secondary antibody at 1/1000 (2 μg/mL) dilution. DAPI (blue) was used as nuclear counterstain. PBS instead of the primary antibody was used as the secondary antibody only control.

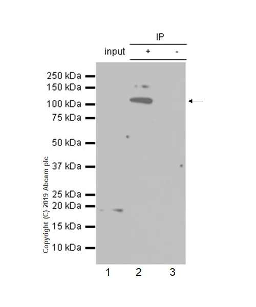
Immunoprecipitation - Anti-HIRA/HIR antibody [EPR7416] (AB129169)
  • IP

Lab

Immunoprecipitation - Anti-HIRA/HIR antibody [EPR7416] (AB129169)

ab129169 (Purified) at 1/50 dilution (2ug) immunoprecipitating HIRA/HIR in HEK-293 whole cell lysate.
Lane 1 (input) : HEK-293 (Human embryonic kidney epithelial cell) whole cell lysate 10ug
Lane 2 (+) : ab129169 & HEK-293 whole cell lysate
Lane 3 (-) : Rabbit monoclonal IgG (ab172730) instead of ab129169 in HEK-293 whole cell lysate
For western blotting, VeriBlot for IP Detection Reagent (HRP) (ab131366) was used at 1/1000 dilution.
Blocking and diluting buffer : 5% NFDM/TBST.

This antibody works in the lysates prepared with 1%SDS Hot lysis method in WB. No target band in input lane is due to the lysates prepared with RIPA method.

All lanes:

Immunoprecipitation - Anti-HIRA/HIR antibody [EPR7416] (ab129169)

Predicted band size: 112 kDa

false

Western blot - Anti-HIRA/HIR antibody [EPR7416] (AB129169)
  • WB

Lab

Western blot - Anti-HIRA/HIR antibody [EPR7416] (AB129169)

We recommend to use 1%SDS Hot lysis prepare method.

We are unsure how to define the extra bands.

Blocking and diluting buffer and concentration : 5% NFDM/TBST.

All lanes:

Western blot - Anti-HIRA/HIR antibody [EPR7416] (ab129169) at 1/1000 dilution

Lane 1:

HEK-293 (Human embryonic kidney epithelial cell) whole cell lysates prepared in 1%SDS Hot lysis method at 20 µg

Lane 2:

HeLa (Human cervix adenocarcinoma epithelial cell) whole cell lysates prepared in 1%SDS Hot lysis method at 20 µg

Lane 3:

HeLa (Human cervix adenocarcinoma epithelial cell) whole cell lysates prepared in RIPA lysis method at 20 µg

Secondary

All lanes:

Western blot - Goat Anti-Rabbit IgG H&L (HRP) (<a href='/en-us/products/secondary-antibodies/goat-rabbit-igg-h-l-hrp-ab97051'>ab97051</a>) at 1/20000 dilution

Predicted band size: 112 kDa

Observed band size: 112 kDa

false

Exposure time: 3min

OI-RD Scanning - Anti-HIRA/HIR antibody [EPR7416] (AB129169)
  • OI-RD Scanning

Unknown

OI-RD Scanning - Anti-HIRA/HIR antibody [EPR7416] (AB129169)

We have systematically measured KD (the equilibrium dissociation constant between the antibody and its antigen), of more than 840 recombinant antibodies to assess not only their individual KD values but also to see the average affinity of antibody. Based on the comparison with published literature values for mouse monoclonal antibodies, Recombinant antibodies appear to be on average 1-2 order of magnitude higher affinity.

  • Carrier free

    Anti-HIRA/HIR antibody [EPR7416] - BSA and Azide free

Key facts

Host species

Rabbit

Clonality

Monoclonal

Clone number

EPR7416

Isotype

IgG

Carrier free

No

Reacts with

Human

Applications

ICC/IF, IP, Flow Cyt (Intra), WB

applications

Immunogen

The exact immunogen used to generate this antibody is proprietary information.

Reactivity data

{ "title": "Reactivity Data", "filters": { "stats": ["", "Species", "Dilution Info", "Notes"], "tabs": { "all-applications": {"fullname" : "All Applications", "shortname": "All Applications"}, "IP" : {"fullname" : "Immunoprecipitation", "shortname":"IP"}, "WB" : {"fullname" : "Western blot", "shortname":"WB"}, "ICCIF" : {"fullname" : "Immunocytochemistry/ Immunofluorescence", "shortname":"ICC/IF"}, "FlowCytIntra" : {"fullname" : "Flow Cytometry (Intracellular)", "shortname":"Flow Cyt (Intra)"} }, "product-promise": { "all": "all", "testedAndGuaranteed": "tested", "guaranteed": "expected", "predicted": "predicted", "notRecommended": "not-recommended" } }, "values": { "Human": { "IP-species-checked": "testedAndGuaranteed", "IP-species-dilution-info": "1/10 - 1/100", "IP-species-notes": "<p></p>", "WB-species-checked": "testedAndGuaranteed", "WB-species-dilution-info": "1/1000 - 1/10000", "WB-species-notes": "<p><em>We recommend to use 1%SDS Hot lysis prepare method. For Lysate preparation protocol, please refer to the protocol book in the protocol section and/or <a data-tabindex-counter=\"1\" data-tabindex-value=\"none\" href=\"../../technical-resources/protocols/lysate-preparation-for-western-blot\" tabindex=\"-1\">here.</a></em></p>", "ICCIF-species-checked": "testedAndGuaranteed", "ICCIF-species-dilution-info": "1/50 - 1/200", "ICCIF-species-notes": "<p></p>", "FlowCytIntra-species-checked": "testedAndGuaranteed", "FlowCytIntra-species-dilution-info": "1/100 - 1/1000", "FlowCytIntra-species-notes": "<p><a href='/en-us/products/primary-antibodies/rabbit-igg-monoclonal-epr25a-isotype-control-ab172730'>ab172730</a> - Rabbit monoclonal IgG, is suitable for use as an isotype control with this antibody.</p>" }, "Mouse": { "IP-species-checked": "notRecommended", "IP-species-dilution-info": "", "IP-species-notes": "", "WB-species-checked": "notRecommended", "WB-species-dilution-info": "1/1000 - 1/10000", "WB-species-notes": "<p><em>We recommend to use 1%SDS Hot lysis prepare method. For Lysate preparation protocol, please refer to the protocol book in the protocol section and/or <a data-tabindex-counter=\"1\" data-tabindex-value=\"none\" href=\"../../technical-resources/protocols/lysate-preparation-for-western-blot\" tabindex=\"-1\">here.</a></em></p>", "ICCIF-species-checked": "notRecommended", "ICCIF-species-dilution-info": "", "ICCIF-species-notes": "", "FlowCytIntra-species-checked": "notRecommended", "FlowCytIntra-species-dilution-info": "", "FlowCytIntra-species-notes": "" } } }

Product details

Patented technology
Our RabMAb® technology is a patented hybridoma-based technology for making rabbit monoclonal antibodies. For details on our patents, please refer to RabMAb® patents.

What are the advantages of a recombinant monoclonal antibody?
This product is a recombinant monoclonal antibody, which offers several advantages including:

  • - High batch-to-batch consistency and reproducibility
  • - Improved sensitivity and specificity
  • - Long-term security of supply
  • - Animal-free batch production

For more information, read more on recombinant antibodies.

Properties and storage information

Form
Liquid
Purification technique
Affinity purification Protein A
Storage buffer
pH: 7.2 - 7.4 Preservative: 0.01% Sodium azide Constituents: PBS, 40% Glycerol (glycerin, glycerine), 0.05% BSA
Shipped at conditions
Blue Ice
Appropriate short-term storage duration
1-2 weeks
Appropriate short-term storage conditions
+4°C
Appropriate long-term storage conditions
-20°C
Aliquoting information
Upon delivery aliquot
Storage information
Avoid freeze / thaw cycle

Supplementary information

This supplementary information is collated from multiple sources and compiled automatically.

HIRA also known as HIR or HIR/HIRA is a histone chaperone protein that plays an essential role in chromatin remodeling and nucleosome assembly. This protein has a mass of approximately 121 kDa. It is expressed in various tissues with notable presence in the liver heart and skeletal muscle. The HIRA protein interacts with other proteins to regulate the deposition of histone H3.3 which is important for processes like DNA replication and repair.
Biological function summary

HIRA participates in the formation of a complex known as the HIRA-ASF1A-CABIN1 protein complex. This complex operates in chromatin assembly and modulates the incorporation of histone variant H3.3 affecting gene silencing and transcription regulation. Interacting with histone proteins HIRA serves an important function in genome stability and epigenetic mark establishment.

Pathways

HIRA influences the histone replacement pathway significantly impacting gene expression and chromatin organization. HIRA works closely with ASF1A and CABIN1 proteins within this pathway. Additionally in the senescence-associated secretory phenotype pathway HIRA contributes to cellular aging processes by regulating transcriptional outcomes. The modulation of these pathways by HIRA exemplifies its key role in maintaining cellular functions.

Defects in HIRA associate with hypertrophic cardiomyopathy and some cancer types such as breast cancer. HIRA alterations can disrupt chromatin dynamics potentially linking it with poor prognostic factors in these diseases. In particular the HIRA gene can interact with other genes involved in cardiomyopathies like MYH7 affecting heart muscle function. Through its role in chromatin remodeling HIRA connects to various pathologies where gene regulation and DNA damage responses are compromised.

Product protocols

For this product, it's our understanding that no specific protocols are required. You can visit:

Target data

Cooperates with ASF1A to promote replication-independent chromatin assembly. Required for the periodic repression of histone gene transcription during the cell cycle. Required for the formation of senescence-associated heterochromatin foci (SAHF) and efficient senescence-associated cell cycle exit.
See full target information HIRA

Publications (7)

Recent publications for all applications. Explore the full list and refine your search

Cell death & disease 16:586 PubMed40753178

2025

Enlarged PML-nuclear bodies trigger conflicting cell cycle signal-mediated cytotoxicity in leukemia cells.

Applications

Unspecified application

Species

Unspecified reactive species

Tomohisa Baba,Soichiro Kumamoto,Yuta Moriguchi,Soji Morishita,Atsushi Hirao,Yoshikazu Johmura

Cell reports 44:115114 PubMed39729394

2024

Identification of modulators of the ALT pathway through a native FISH-based optical screen.

Applications

Unspecified application

Species

Unspecified reactive species

Benura Azeroglu,Simran Khurana,Shih-Chun Wang,Gianna M Tricola,Shalu Sharma,Camille Jubelin,Ylenia Cortolezzis,Gianluca Pegoraro,Kyle M Miller,Travis H Stracker,Eros Lazzerini Denchi

Journal of cell science 136: PubMed37129573

2023

The histone H3/H4 chaperone CHAF1B prevents the mislocalization of CENP-A for chromosomal stability.

Applications

Unspecified application

Species

Unspecified reactive species

Roshan L Shrestha,Vinutha Balachandra,Jee Hun Kim,Austin Rossi,Pranathi Vadlamani,Subhash Chandra Sethi,Laurent Ozbun,Shinjen Lin,Ken Chin-Chien Cheng,Raj Chari,Tatiana S Karpova,Gianluca Pegoraro,Daniel R Foltz,Natasha J Caplen,Munira A Basrai

Redox biology 61:102627 PubMed36841051

2023

NADK-mediated de novo NADP(H) synthesis is a metabolic adaptation essential for breast cancer metastasis.

Applications

Unspecified application

Species

Unspecified reactive species

Didem Ilter,Stanislav Drapela,Tanya Schild,Nathan P Ward,Emma Adhikari,Vivien Low,John Asara,Thordur Oskarsson,Eric K Lau,Gina M DeNicola,Melanie R McReynolds,Ana P Gomes

eLife 10: PubMed33970102

2021

Chromatin structure-dependent histone incorporation revealed by a genome-wide deposition assay.

Applications

Unspecified application

Species

Unspecified reactive species

Hiroaki Tachiwana,Mariko Dacher,Kazumitsu Maehara,Akihito Harada,Yosuke Seto,Ryohei Katayama,Yasuyuki Ohkawa,Hiroshi Kimura,Hitoshi Kurumizaka,Noriko Saitoh

Cancer cell 36:402-417.e13 PubMed31564638

2019

Dynamic Incorporation of Histone H3 Variants into Chromatin Is Essential for Acquisition of Aggressive Traits and Metastatic Colonization.

Applications

Unspecified application

Species

Unspecified reactive species

Ana P Gomes,Didem Ilter,Vivien Low,Adam Rosenzweig,Zih-Jie Shen,Tanya Schild,Martin A Rivas,Ekrem E Er,Dylan R McNally,Anders P Mutvei,Julie Han,Yi-Hung Ou,Paola Cavaliere,Edouard Mullarky,Michal Nagiec,Sejeong Shin,Sang-Oh Yoon,Noah Dephoure,Joan Massagué,Ari M Melnick,Lewis C Cantley,Jessica K Tyler,John Blenis

Cell stem cell 20:274-289.e7 PubMed27939217

2016

PHB Associates with the HIRA Complex to Control an Epigenetic-Metabolic Circuit in Human ESCs.

Applications

WB

Species

Human

Zhexin Zhu,Chunliang Li,Yanwu Zeng,Jianyi Ding,Zepeng Qu,Junjie Gu,Laixiang Ge,Fan Tang,Xin Huang,Chenlin Zhou,Ping Wang,Deyou Zheng,Ying Jin
View all publications
websiteProtocolBooklet
en

Product promise

We are committed to supporting your work with high-quality reagents, and we're here for you every step of the way. In the unlikely event that one of our products does not perform as expected, you're protected by our Product Promise.
For full details, please see our Terms & Conditions

Please note: All products are 'FOR RESEARCH USE ONLY. NOT FOR USE IN DIAGNOSTIC OR THERAPEUTIC PROCEDURES'.

For licensing inquiries, please contact partnerships@abcam.com