JavaScript is disabled in your browser. Please enable JavaScript to view this website.
AB315444

Anti-Histidine decarboxylase antibody [EPR26392-79]

Be the first to review this product! Submit a review

|

(0 Publication)

Rabbit Recombinant Monoclonal Histidine decarboxylase antibody. Suitable for WB, ICC/IF and reacts with Human, Mouse, Rat samples.

View Alternative Names

Histidine decarboxylase, HDC

4 Images
Immunocytochemistry/ Immunofluorescence - Anti-Histidine decarboxylase antibody [EPR26392-79] (AB315444)
  • ICC/IF

Supplier Data

Immunocytochemistry/ Immunofluorescence - Anti-Histidine decarboxylase antibody [EPR26392-79] (AB315444)

Immunofluorescent analysis of 4% Paraformaldehyde-fixed, 0.1% TritonX-100 permeabilized RBL-2H3 (rat Peripheral blood basophil) cells labelling Histidine decarboxylase with ab315444 at 1/50 (10.18 ug/ml) dilution, followed by ab150081 Goat Anti-Rabbit IgG H&L (Alexa Fluor® 488) preadsorbed antibody at 1/1000 2 ug/ml dilution (Green).

Confocal image showing cytoplasmic staining in RBL-2H3 cell line.
Negative control : S16 .
Image was taken with a confocal microscope(Leica-Microsystems, TCS SP8).

ab195889 Anti-alpha Tubulin mouse monoclonal antibody - Microtubule Marker (Alexa Fluor® 594) was used to counterstain tubulin at 1/200 2.5ug/ml dilution (Red). The Nuclear counterstain was DAPI (Blue).

Secondary antibody only control : Secondary antibody is ab150081 Goat Anti-Rabbit IgG H&L (Alexa Fluor® 488) preadsorbed at 1/1000 2 ug/ml dilution.

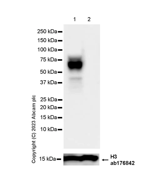
Western blot - Anti-Histidine decarboxylase antibody [EPR26392-79] (AB315444)
  • WB

Supplier Data

Western blot - Anti-Histidine decarboxylase antibody [EPR26392-79] (AB315444)

Blocking and diluting buffer and concentration : 5% NFDM/TBST.

Low expression : huh7.

The molecular weight observed is consistent with what has been described in the literature (PMID : 9525922).

In Western blot, Anti-Histone H3 antibody [EPR16987] - Nuclear Marker and ChIP Grade (ab176842) staining at 1/100000 dilution.

All lanes:

Western blot - Anti-Histidine decarboxylase antibody [EPR26392-79] (ab315444) at 1/1000 dilution

Lane 1:

KU812 (human Peripheral blood basophil) whole cell lysate at 80 µg

Lane 2:

SR (human pleural effusion lymphoblast) whole cell lysate at 80 µg

Lane 3:

Huh7 (human hepatocellar carcinoma epithelial cell) whole cell lysate at 80 µg

Secondary

All lanes:

Goat Anti-Rabbit IgG (HRP) with minimal cross-reactivity with human IgG at 1/2000 dilution

Observed band size: 53 kDa,74 kDa,15 kDa

false

Exposure time: 81s

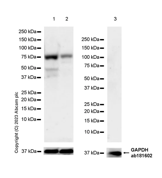
Western blot - Anti-Histidine decarboxylase antibody [EPR26392-79] (AB315444)
  • WB

Supplier Data

Western blot - Anti-Histidine decarboxylase antibody [EPR26392-79] (AB315444)

Blocking and diluting buffer and concentration : 5% NFDM/TBST.

Low expression : Neuro-2a.

In Western blot, Anti-GAPDH antibody [EPR16891] - Loading Control (ab181602) staining at 1/200000 dilution.

All lanes:

Western blot - Anti-Histidine decarboxylase antibody [EPR26392-79] (ab315444) at 1/1000 dilution

Lane 1:

Human hypothalamus tissue lysate at 80 µg

Lane 2:

Mouse hypothalamus tissue lysate at 80 µg

Lane 3:

Neuro-2a (mouse neuroblastoma neuroblast) whole cell lysate at 80 µg

Secondary

All lanes:

Western blot - Goat Anti-Rabbit IgG H&L (HRP) (<a href='/en-us/products/secondary-antibodies/goat-rabbit-igg-h-l-hrp-ab97051'>ab97051</a>) at 1/20000 dilution

Observed band size: 74 kDa,36 kDa

false

Exposure time: 81s

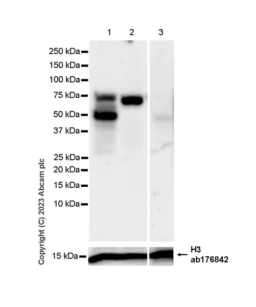
Western blot - Anti-Histidine decarboxylase antibody [EPR26392-79] (AB315444)
  • WB

Supplier Data

Western blot - Anti-Histidine decarboxylase antibody [EPR26392-79] (AB315444)

Blocking and diluting buffer and concentration : 5% NFDM/TBST.

In Western blot, Anti-Histone H3 antibody [EPR16987] - Nuclear Marker and ChIP Grade (ab176842) staining at 1/100000 dilution.

All lanes:

Western blot - Anti-Histidine decarboxylase antibody [EPR26392-79] (ab315444) at 1/1000 dilution

Lane 1:

RBL-2H3 (rat Peripheral blood basophil) whole cell lysate at 80 µg

Lane 2:

S16 (rat Sciatic nerve epithelial-like) whole cell lysate at 80 µg

Secondary

All lanes:

Goat Anti-Rabbit IgG (HRP) with minimal cross-reactivity with human IgG at 1/2000 dilution

Observed band size: 74 kDa,15 kDa

false

Exposure time: 6s

  • Carrier free

    Anti-Histidine decarboxylase antibody [EPR26392-79] - BSA and Azide free

Key facts

Host species

Rabbit

Clonality

Monoclonal

Clone number

EPR26392-79

Isotype

IgG

Carrier free

No

Reacts with

Human, Mouse, Rat

Applications

WB, ICC/IF

applications

Immunogen

The exact immunogen used to generate this antibody is proprietary information.

Specificity

Unsuitable for human and mouse ICC.

Reactivity data

{ "title": "Reactivity Data", "filters": { "stats": ["", "Species", "Dilution Info", "Notes"], "tabs": { "all-applications": {"fullname" : "All Applications", "shortname": "All Applications"}, "WB" : {"fullname" : "Western blot", "shortname":"WB"}, "ICCIF" : {"fullname" : "Immunocytochemistry/ Immunofluorescence", "shortname":"ICC/IF"}, "IHCP" : {"fullname" : "Immunohistochemistry (Formalin/PFA-fixed paraffin-embedded sections)", "shortname":"IHC-P"}, "IHCFr" : {"fullname" : "Immunohistochemistry (Frozen sections)", "shortname":"IHC-Fr"}, "IP" : {"fullname" : "Immunoprecipitation", "shortname":"IP"}, "FlowCytIntra" : {"fullname" : "Flow Cytometry (Intracellular)", "shortname":"Flow Cyt (Intra)"} }, "product-promise": { "all": "all", "testedAndGuaranteed": "tested", "guaranteed": "expected", "predicted": "predicted", "notRecommended": "not-recommended" } }, "values": { "Human": { "WB-species-checked": "testedAndGuaranteed", "WB-species-dilution-info": "1/1000", "WB-species-notes": "<p></p>", "ICCIF-species-checked": "notRecommended", "ICCIF-species-dilution-info": "", "ICCIF-species-notes": "<p></p>", "IHCP-species-checked": "notRecommended", "IHCP-species-dilution-info": "", "IHCP-species-notes": "<p></p>", "IHCFr-species-checked": "notRecommended", "IHCFr-species-dilution-info": "", "IHCFr-species-notes": "", "IP-species-checked": "notRecommended", "IP-species-dilution-info": "", "IP-species-notes": "<p></p>", "FlowCytIntra-species-checked": "notRecommended", "FlowCytIntra-species-dilution-info": "", "FlowCytIntra-species-notes": "<p></p>" }, "Mouse": { "WB-species-checked": "testedAndGuaranteed", "WB-species-dilution-info": "1/1000", "WB-species-notes": "<p></p>", "ICCIF-species-checked": "notRecommended", "ICCIF-species-dilution-info": "", "ICCIF-species-notes": "<p></p>", "IHCP-species-checked": "notRecommended", "IHCP-species-dilution-info": "", "IHCP-species-notes": "<p></p>", "IHCFr-species-checked": "notRecommended", "IHCFr-species-dilution-info": "", "IHCFr-species-notes": "<p></p>", "IP-species-checked": "notRecommended", "IP-species-dilution-info": "", "IP-species-notes": "", "FlowCytIntra-species-checked": "notRecommended", "FlowCytIntra-species-dilution-info": "", "FlowCytIntra-species-notes": "" }, "Rat": { "WB-species-checked": "testedAndGuaranteed", "WB-species-dilution-info": "1/1000", "WB-species-notes": "<p></p>", "ICCIF-species-checked": "testedAndGuaranteed", "ICCIF-species-dilution-info": "1/50", "ICCIF-species-notes": "<p></p>", "IHCP-species-checked": "notRecommended", "IHCP-species-dilution-info": "", "IHCP-species-notes": "<p></p>", "IHCFr-species-checked": "notRecommended", "IHCFr-species-dilution-info": "", "IHCFr-species-notes": "<p></p>", "IP-species-checked": "notRecommended", "IP-species-dilution-info": "", "IP-species-notes": "", "FlowCytIntra-species-checked": "notRecommended", "FlowCytIntra-species-dilution-info": "", "FlowCytIntra-species-notes": "" } } }

Product details

Patented technology
Our RabMAb® technology is a patented hybridoma-based technology for making rabbit monoclonal antibodies. For details on our patents, please refer to RabMAb® patents.

What are the advantages of a recombinant monoclonal antibody?
This product is a recombinant monoclonal antibody, which offers several advantages including:

  • - High batch-to-batch consistency and reproducibility
  • - Improved sensitivity and specificity
  • - Long-term security of supply
  • - Animal-free batch production

For more information, read more on recombinant antibodies.

Properties and storage information

Form
Liquid
Purification technique
Affinity purification Protein A
Storage buffer
pH: 7.2 - 7.4 Preservative: 0.01% Sodium azide Constituents: PBS, 40% Glycerol (glycerin, glycerine), 0.05% BSA
Shipped at conditions
Blue Ice
Appropriate short-term storage duration
1-2 weeks
Appropriate short-term storage conditions
+4°C
Appropriate long-term storage conditions
-20°C
Aliquoting information
Upon delivery aliquot
Storage information
Avoid freeze / thaw cycle

Product protocols

For this product, it's our understanding that no specific protocols are required. You can visit:

Target data

Catalyzes the biosynthesis of histamine from histidine.
See full target information HDC

Product promise

We are committed to supporting your work with high-quality reagents, and we're here for you every step of the way. In the unlikely event that one of our products does not perform as expected, you're protected by our Product Promise.
For full details, please see our Terms & Conditions

Please note: All products are 'FOR RESEARCH USE ONLY. NOT FOR USE IN DIAGNOSTIC OR THERAPEUTIC PROCEDURES'.

For licensing inquiries, please contact partnerships@abcam.com