JavaScript is disabled in your browser. Please enable JavaScript to view this website.
AB154111

Anti-Histone H1.0 antibody

Be the first to review this product! Submit a review

|

(2 Publications)

Rabbit Polyclonal H1.0 antibody. Suitable for WB, IHC-P, ICC/IF and reacts with Mouse, Human, Rat samples. Cited in 2 publications. Immunogen corresponding to Recombinant Fragment Protein within Human H1-0 aa 1 to C-terminus.

View Alternative Names

H1F0, H1FV, H1-0, Histone H1.0, Histone H1', Histone H1(0)

11 Images
Immunohistochemistry (Formalin/PFA-fixed paraffin-embedded sections) - Anti-Histone H1.0 antibody (AB154111)
  • IHC-P

Supplier Data

Immunohistochemistry (Formalin/PFA-fixed paraffin-embedded sections) - Anti-Histone H1.0 antibody (AB154111)

Immunohistochemical analysis of paraffin embedded SkHep1 xenograft tissue labeling Histone H1 with ab154111 at 1/500 dilution.

Immunocytochemistry/ Immunofluorescence - Anti-Histone H1.0 antibody (AB154111)
  • ICC/IF

Supplier Data

Immunocytochemistry/ Immunofluorescence - Anti-Histone H1.0 antibody (AB154111)

Immunofluorescence analysis of 293T cells fixed in 4% paraformaldehyde at RT for 15 min labelling Histone H1.0 protein at nucleus using ab154111 at a 1/500 dilution (Green). alpha Tubulin, a cytoskeleton marker, stained by alpha Tubulin antibody at a 1/1000 dilution (Red).

Immunocytochemistry/ Immunofluorescence - Anti-Histone H1.0 antibody (AB154111)
  • ICC/IF

Supplier Data

Immunocytochemistry/ Immunofluorescence - Anti-Histone H1.0 antibody (AB154111)

Immunofluorescence analysis of U2OS cells fixed in 4% paraformaldehyde at RT for 15 min labelling Histone H1.0 protein at nucleus using ab154111 at a 1/1000 dilution (Green). Phalloidin, a cytoskeleton marker stained at a 1/200 dilution (Red).
Scale bar = 10 µM

Immunohistochemistry (Formalin/PFA-fixed paraffin-embedded sections) - Anti-Histone H1.0 antibody (AB154111)
  • IHC-P

Supplier Data

Immunohistochemistry (Formalin/PFA-fixed paraffin-embedded sections) - Anti-Histone H1.0 antibody (AB154111)

Immunohistochemical analysis of paraffin embedded C2C12 xenograft tissue labeling Histone H1 with ab154111 at 1/500 dilution.

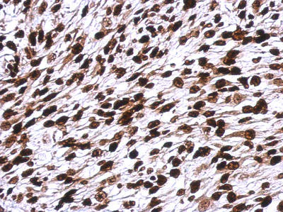
Immunohistochemistry (Formalin/PFA-fixed paraffin-embedded sections) - Anti-Histone H1.0 antibody (AB154111)
  • IHC-P

Supplier Data

Immunohistochemistry (Formalin/PFA-fixed paraffin-embedded sections) - Anti-Histone H1.0 antibody (AB154111)

Immunohistochemical analysis of mouse brain tissue stained for Histone H1.0 protein at nucleus with ab154111 at a 1/500 dilution.

Antigen retrieval : Citrate buffer, pH 6.0, 15 min

Immunohistochemistry (Formalin/PFA-fixed paraffin-embedded sections) - Anti-Histone H1.0 antibody (AB154111)
  • IHC-P

Supplier Data

Immunohistochemistry (Formalin/PFA-fixed paraffin-embedded sections) - Anti-Histone H1.0 antibody (AB154111)

Immunohistochemical analysis of paraffin-embedded mouse brain tissue stained for Histone H1.0 protein at nucleus with ab154111 at a 1/500 dilution.

Antigen retrieval : Citrate buffer, pH 6.0, 15 min

Immunohistochemistry (Formalin/PFA-fixed paraffin-embedded sections) - Anti-Histone H1.0 antibody (AB154111)
  • IHC-P

Supplier Data

Immunohistochemistry (Formalin/PFA-fixed paraffin-embedded sections) - Anti-Histone H1.0 antibody (AB154111)

Immunohistochemical analysis of paraffin-embedded rat fore brain tissue stained for Histone H1.0 protein at nucleus on rat fore brain with ab154111 at a 1/500 dilution.

Antigen retrieval : Trilogy™ (EDTA based, pH 8.0) buffer, 15min

Western blot - Anti-Histone H1.0 antibody (AB154111)
  • WB

Supplier Data

Western blot - Anti-Histone H1.0 antibody (AB154111)

Samples were separated by 12% SDS-PAGE.

All lanes:

Western blot - Anti-Histone H1.0 antibody (ab154111) at 1/10000 dilution

Lane 1:

293T whole cell extracts at 30 µg

Lane 2:

A431 whole cell extracts at 30 µg

Lane 3:

HeLa whole cell extracts at 30 µg

Lane 4:

HepG2 whole cell extracts at 30 µg

Secondary

All lanes:

HRP-conjugated anti-rabbit IgG

Predicted band size: 20 kDa

false

Western blot - Anti-Histone H1.0 antibody (AB154111)
  • WB

Supplier Data

Western blot - Anti-Histone H1.0 antibody (AB154111)

Samples were separated by 12% SDS-PAGE.

All lanes:

Western blot - Anti-Histone H1.0 antibody (ab154111) at 1/10000 dilution

Lane 1:

HepG2 whole cell extracts at 30 µg

Lane 2:

HepG2 nuclear extracts at 30 µg

Secondary

All lanes:

HRP-conjugated anti-rabbit IgG

Predicted band size: 20 kDa

false

Western blot - Anti-Histone H1.0 antibody (AB154111)
  • WB

Supplier Data

Western blot - Anti-Histone H1.0 antibody (AB154111)

Samples were separated by 12% SDS-PAGE. Corresponding RNA expression data for the same cell lines are based on Human Protein Atlas program.

All lanes:

Western blot - Anti-Histone H1.0 antibody (ab154111) at 1/10000 dilution

Lane 1:

HeLa whole cell extracts at 30 µg

Lane 2:

HepG2 whole cell extracts at 30 µg

Secondary

All lanes:

HRP-conjugated anti-rabbit IgG

Predicted band size: 20 kDa

false

Western blot - Anti-Histone H1.0 antibody (AB154111)
  • WB

Supplier Data

Western blot - Anti-Histone H1.0 antibody (AB154111)

Samples were separated by 12% SDS-PAGE.

All lanes:

Western blot - Anti-Histone H1.0 antibody (ab154111) at 1/5000 dilution

All lanes:

Mouse liver tissue extracts at 50 µg

Secondary

All lanes:

HRP-conjugated anti-rabbit IgG

Predicted band size: 20 kDa

false

Key facts

Host species

Rabbit

Clonality

Polyclonal

Isotype

IgG

Carrier free

No

Reacts with

Mouse, Human, Rat

Applications

ICC/IF, IHC-P, WB

applications

Immunogen

Recombinant Fragment Protein within Human H1-0 aa 1 to C-terminus. The exact immunogen used to generate this antibody is proprietary information.

P07305

Reactivity data

{ "title": "Reactivity Data", "filters": { "stats": ["", "Species", "Dilution Info", "Notes"], "tabs": { "all-applications": {"fullname" : "All Applications", "shortname": "All Applications"}, "WB" : {"fullname" : "Western blot", "shortname":"WB"}, "IHCP" : {"fullname" : "Immunohistochemistry (Formalin/PFA-fixed paraffin-embedded sections)", "shortname":"IHC-P"}, "ICCIF" : {"fullname" : "Immunocytochemistry/ Immunofluorescence", "shortname":"ICC/IF"} }, "product-promise": { "all": "all", "testedAndGuaranteed": "tested", "guaranteed": "expected", "predicted": "predicted", "notRecommended": "not-recommended" } }, "values": { "Human": { "WB-species-checked": "testedAndGuaranteed", "WB-species-dilution-info": "1/1000 - 1/20000", "WB-species-notes": "<p></p>", "IHCP-species-checked": "guaranteed", "IHCP-species-dilution-info": "", "IHCP-species-notes": "", "ICCIF-species-checked": "testedAndGuaranteed", "ICCIF-species-dilution-info": "1/100 - 1/1000", "ICCIF-species-notes": "<p></p>" }, "Mouse": { "WB-species-checked": "testedAndGuaranteed", "WB-species-dilution-info": "1/1000 - 1/20000", "WB-species-notes": "<p></p>", "IHCP-species-checked": "testedAndGuaranteed", "IHCP-species-dilution-info": "1/100 - 1/1000", "IHCP-species-notes": "<p></p>", "ICCIF-species-checked": "guaranteed", "ICCIF-species-dilution-info": "", "ICCIF-species-notes": "" }, "Rat": { "WB-species-checked": "guaranteed", "WB-species-dilution-info": "", "WB-species-notes": "", "IHCP-species-checked": "testedAndGuaranteed", "IHCP-species-dilution-info": "1/100 - 1/1000", "IHCP-species-notes": "<p></p>", "ICCIF-species-checked": "guaranteed", "ICCIF-species-dilution-info": "", "ICCIF-species-notes": "" } } }

Properties and storage information

Form
Liquid
Purification technique
Affinity purification Immunogen
Storage buffer
pH: 7 Preservative: 0.025% Proclin 300 Constituents: PBS, 20% Glycerol (glycerin, glycerine)
Shipped at conditions
Blue Ice
Appropriate short-term storage conditions
+4°C
Appropriate long-term storage conditions
-20°C
Aliquoting information
Upon delivery aliquot
Storage information
Avoid freeze / thaw cycle

Product protocols

For this product, it's our understanding that no specific protocols are required. You can visit:

Target data

Histones H1 are necessary for the condensation of nucleosome chains into higher-order structures. The histones H1.0 are found in cells that are in terminal stages of differentiation or that have low rates of cell division.
See full target information H1-0

Publications (2)

Recent publications for all applications. Explore the full list and refine your search

Molecular cell 82:106-122.e9 PubMed34875212

2021

SUMOylation of linker histone H1 drives chromatin condensation and restriction of embryonic cell fate identity.

Applications

Unspecified application

Species

Unspecified reactive species

Daoud Sheban,Tom Shani,Roey Maor,Alejandro Aguilera-Castrejon,Nofar Mor,Bernardo Oldak,Merav D Shmueli,Avital Eisenberg-Lerner,Jonathan Bayerl,Jakob Hebert,Sergey Viukov,Guoyun Chen,Assaf Kacen,Vladislav Krupalnik,Valeriya Chugaeva,Shadi Tarazi,Alejandra Rodríguez-delaRosa,Mirie Zerbib,Adi Ulman,Solaiman Masarwi,Meital Kupervaser,Yishai Levin,Efrat Shema,Yael David,Noa Novershtern,Jacob H Hanna,Yifat Merbl

Journal of cellular and molecular medicine 23:5895-5906 PubMed31287224

2019

MicroRNA-351 eases insulin resistance and liver gluconeogenesis via the PI3K/AKT pathway by inhibiting FLOT2 in mice of gestational diabetes mellitus.

Applications

Unspecified application

Species

Unspecified reactive species

Shu-Hong Chen,Xiao-Nan Liu,Yan Peng
View all publications

Product promise

We are committed to supporting your work with high-quality reagents, and we're here for you every step of the way. In the unlikely event that one of our products does not perform as expected, you're protected by our Product Promise.
For full details, please see our Terms & Conditions

Please note: All products are 'FOR RESEARCH USE ONLY. NOT FOR USE IN DIAGNOSTIC OR THERAPEUTIC PROCEDURES'.

For licensing inquiries, please contact partnerships@abcam.com