JavaScript is disabled in your browser. Please enable JavaScript to view this website.
AB279642

Anti-Histone H1.1 antibody [EPR23191-14] - BSA and Azide free

3

(1 Review)

|

(0 Publication)

Rabbit Recombinant Monoclonal H1.1 antibody. Carrier free. Suitable for IHC-P, ICC/IF, Dot, WB, Flow Cyt (Intra) and reacts with Human, Synthetic peptide samples.

View Alternative Names

H1F1, HIST1H1A, H1-1, Histone H1.1, Histone H1a

6 Images
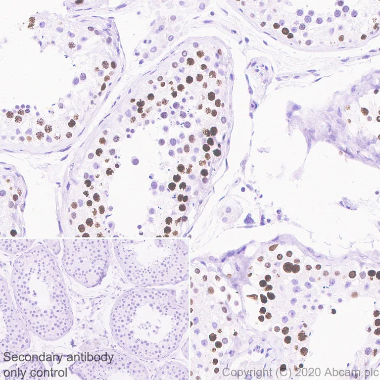
Immunohistochemistry (Formalin/PFA-fixed paraffin-embedded sections) - Anti-Histone H1.1 antibody [EPR23191-14] - BSA and Azide free (AB279642)
  • IHC-P

Supplier Data

Immunohistochemistry (Formalin/PFA-fixed paraffin-embedded sections) - Anti-Histone H1.1 antibody [EPR23191-14] - BSA and Azide free (AB279642)

This data was developed using ab254394, the same antibody clone in a different buffer formulation.

Immunohistochemical analysis of paraffin-embedded Human testis tissue labelling Histone H1.1 with ab254394 at 1/2000 (0.342 ug/ml) dilution followed by a ready to use Goat Anti-Rabbit IgG H&L (HRP polymer). Nuclear staining on human testis. The section was incubated with ab254394 overnight at 4°C. Counterstained with Hematoxylin.

Secondary antibody only control : Secondary antibody is a ready to use Goat Anti-Rabbit IgG H&L (HRP polymer).

Heat mediated antigen retrieval using ab93678 (citrate buffer, pH 6.0).

Immunohistochemistry (Formalin/PFA-fixed paraffin-embedded sections) - Anti-Histone H1.1 antibody [EPR23191-14] - BSA and Azide free (AB279642)
  • IHC-P

Supplier Data

Immunohistochemistry (Formalin/PFA-fixed paraffin-embedded sections) - Anti-Histone H1.1 antibody [EPR23191-14] - BSA and Azide free (AB279642)

This data was developed using ab254394, the same antibody clone in a different buffer formulation.

Immunohistochemical analysis of paraffin-embedded Human hepatocelluar carcinoma tissue labelling Histone H1.1 with ab254394 at 1/2000 (0.342 ug/ml) dilution followed by a ready to use Goat Anti-Rabbit IgG H&L (HRP). Nuclear staining on human hepatocelluar carcinoma. The section was incubated with ab254394 overnight at 4°C. Counterstained with Hematoxylin.

Secondary antibody only control : Secondary antibody is a ready to use Goat Anti-Rabbit IgG H&L (HRP).

Heat mediated antigen retrieval using ab93678 (citrate buffer, pH 6.0).

Immunocytochemistry/ Immunofluorescence - Anti-Histone H1.1 antibody [EPR23191-14] - BSA and Azide free (AB279642)
  • ICC/IF

Supplier Data

Immunocytochemistry/ Immunofluorescence - Anti-Histone H1.1 antibody [EPR23191-14] - BSA and Azide free (AB279642)

This data was developed using ab254394, the same antibody clone in a different buffer formulation.

Immunofluorescent analysis of 4% Paraformaldehyde-fixed, 0.1% Triton X-100 permeabilized MDA-MB-468 cells labelling Histone H1.1 with ab254394 at 1/1000 (0.683 ug/ml) dilution, followed by ab150077 Goat Anti-Rabbit IgG H&L (Alexa Fluor® 488) antibody at 1/1000 dilution (Green). Confocal image showing nuclear staining in MDA-MB-468 cells. ab195889 Anti-alpha Tubulin mouse monoclonal antibody - Microtubule Marker (Alexa Fluor® 594) was used to counterstain tubulin at 1/200 dilution (Red). The Nuclear counterstain was DAPI (Blue).

Secondary antibody only control : Secondary antibody is ab150077 Goat Anti-Rabbit IgG H&L (Alexa Fluor® 488) at 1/1000 dilution.

Flow Cytometry (Intracellular) - Anti-Histone H1.1 antibody [EPR23191-14] - BSA and Azide free (AB279642)
  • Flow Cyt (Intra)

Supplier Data

Flow Cytometry (Intracellular) - Anti-Histone H1.1 antibody [EPR23191-14] - BSA and Azide free (AB279642)

This data was developed using ab254394, the same antibody clone in a different buffer formulation.

Flow cytometric analysis of 4% paraformaldehyde-fixed, 90% methanol-permeabilized MDA-MB-468 (Human breast adenocarcinoma epithelial cell) cells labelling Histone H1.1 with ab254394 at 1/500 dilution (0.1ug)(Red) compared with a Rabbit monoclonal IgG (ab172730) isotype control (Black) and an unlabelled control (cells without incubation with primary antibody and secondary antibody) (Blue). A Goat anti rabbit IgG (Alexa Fluor® 488, ab150077) at 1/2000 dilution was used as the secondary antibody.

Western blot - Anti-Histone H1.1 antibody [EPR23191-14] - BSA and Azide free (AB279642)
  • WB

Lab

Western blot - Anti-Histone H1.1 antibody [EPR23191-14] - BSA and Azide free (AB279642)

This data was developed using 254394, the same antibody clone in a different buffer formulation.

Blocking and diluting buffer and concentration : 5% NFDM/TBST.

Low expression : MDA-MB-231.

Exposure time : 3 minutes.

All lanes:

Western blot - Anti-Histone H1.1 antibody [EPR23191-14] (<a href='/en-us/products/primary-antibodies/histone-h11-antibody-epr23191-14-ab254394'>ab254394</a>) at 1/1000 dilution

Lane 1:

MDA-MB-468 (human breast adenocarcinoma epithelial cell), whole cell lysate at 20 µg

Lane 2:

MDA-MB-231 (human breast adenocarcinoma epithelial cell), whole cell lysate at 20 µg

false

Dot Blot - Anti-Histone H1.1 antibody [EPR23191-14] - BSA and Azide free (AB279642)
  • Dot

Supplier Data

Dot Blot - Anti-Histone H1.1 antibody [EPR23191-14] - BSA and Azide free (AB279642)

This data was developed using ab254394, the same antibody clone in a different buffer formulation.

Dot blot analysis of Histone H1.1 using ab254394 at 1/1000 (0.683 ug/ml) followed by a Goat Anti-Rabbit IgG, (H+L), Peroxidase conjugate (ab97051) at 1/100,000 dilution.

Lane 1 : Histone H1.1 peptide

Lane 2 : Histone H1.2 peptide

Lane 3 : Histone H1.3 peptide

Lane 4 : Histone H1.4 peptide

Exposure time : 3 minutes.

Blocking and diluting buffer and concentration : 5% NFDM/TBST.

  • Unconjugated

    Anti-Histone H1.1 antibody [EPR23191-14]

  • 775 Alexa Fluor® 750

    Alexa Fluor® 750 Anti-Histone H1.1 antibody [EPR23191-14]

  • 578 PE

    PE Anti-Histone H1.1 antibody [EPR23191-14]

  • 660 APC

    APC Anti-Histone H1.1 antibody [EPR23191-14]

  • HRP

    HRP Anti-Histone H1.1 antibody [EPR23191-14]

  • 519 Alexa Fluor® 488

    Alexa Fluor® 488 Anti-Histone H1.1 antibody [EPR23191-14]

  • 665 Alexa Fluor® 647

    Alexa Fluor® 647 Anti-Histone H1.1 antibody [EPR23191-14]

  • 617 Alexa Fluor® 594

    Alexa Fluor® 594 Anti-Histone H1.1 antibody [EPR23191-14]

  • 565 Alexa Fluor® 555

    Alexa Fluor® 555 Anti-Histone H1.1 antibody [EPR23191-14]

  • 603 Alexa Fluor® 568

    Alexa Fluor® 568 Anti-Histone H1.1 antibody [EPR23191-14]

Key facts

Host species

Rabbit

Clonality

Monoclonal

Clone number

EPR23191-14

Isotype

IgG

Carrier free

Yes

Reacts with

Human

Applications

ICC/IF, IHC-P, Dot, Flow Cyt (Intra), WB

applications

Immunogen

The exact immunogen used to generate this antibody is proprietary information.

Reactivity data

{ "title": "Reactivity Data", "filters": { "stats": ["", "Species", "Dilution Info", "Notes"], "tabs": { "all-applications": {"fullname" : "All Applications", "shortname": "All Applications"}, "IHCP" : {"fullname" : "Immunohistochemistry (Formalin/PFA-fixed paraffin-embedded sections)", "shortname":"IHC-P"}, "ICCIF" : {"fullname" : "Immunocytochemistry/ Immunofluorescence", "shortname":"ICC/IF"}, "IP" : {"fullname" : "Immunoprecipitation", "shortname":"IP"}, "Dot" : {"fullname" : "Dot Blot", "shortname":"Dot"}, "WB" : {"fullname" : "Western blot", "shortname":"WB"}, "FlowCytIntra" : {"fullname" : "Flow Cytometry (Intracellular)", "shortname":"Flow Cyt (Intra)"} }, "product-promise": { "all": "all", "testedAndGuaranteed": "tested", "guaranteed": "expected", "predicted": "predicted", "notRecommended": "not-recommended" } }, "values": { "Human": { "IHCP-species-checked": "testedAndGuaranteed", "IHCP-species-dilution-info": "", "IHCP-species-notes": "<p></p>", "ICCIF-species-checked": "testedAndGuaranteed", "ICCIF-species-dilution-info": "", "ICCIF-species-notes": "<p></p>", "IP-species-checked": "notRecommended", "IP-species-dilution-info": "", "IP-species-notes": "<p></p>", "Dot-species-checked": "guaranteed", "Dot-species-dilution-info": "", "Dot-species-notes": "", "WB-species-checked": "testedAndGuaranteed", "WB-species-dilution-info": "", "WB-species-notes": "<p></p>", "FlowCytIntra-species-checked": "testedAndGuaranteed", "FlowCytIntra-species-dilution-info": "", "FlowCytIntra-species-notes": "<p></p>" }, "Mouse": { "IHCP-species-checked": "notRecommended", "IHCP-species-dilution-info": "", "IHCP-species-notes": "<p></p>", "ICCIF-species-checked": "notRecommended", "ICCIF-species-dilution-info": "", "ICCIF-species-notes": "", "IP-species-checked": "notRecommended", "IP-species-dilution-info": "", "IP-species-notes": "", "Dot-species-checked": "notRecommended", "Dot-species-dilution-info": "", "Dot-species-notes": "", "WB-species-checked": "notRecommended", "WB-species-dilution-info": "", "WB-species-notes": "<p></p>", "FlowCytIntra-species-checked": "notRecommended", "FlowCytIntra-species-dilution-info": "", "FlowCytIntra-species-notes": "" }, "Rat": { "IHCP-species-checked": "notRecommended", "IHCP-species-dilution-info": "", "IHCP-species-notes": "<p></p>", "ICCIF-species-checked": "notRecommended", "ICCIF-species-dilution-info": "", "ICCIF-species-notes": "", "IP-species-checked": "notRecommended", "IP-species-dilution-info": "", "IP-species-notes": "", "Dot-species-checked": "notRecommended", "Dot-species-dilution-info": "", "Dot-species-notes": "", "WB-species-checked": "notRecommended", "WB-species-dilution-info": "", "WB-species-notes": "<p></p>", "FlowCytIntra-species-checked": "notRecommended", "FlowCytIntra-species-dilution-info": "", "FlowCytIntra-species-notes": "" }, "Synthetic peptide": { "IHCP-species-checked": "notRecommended", "IHCP-species-dilution-info": "", "IHCP-species-notes": "", "ICCIF-species-checked": "notRecommended", "ICCIF-species-dilution-info": "", "ICCIF-species-notes": "", "IP-species-checked": "notRecommended", "IP-species-dilution-info": "", "IP-species-notes": "", "Dot-species-checked": "testedAndGuaranteed", "Dot-species-dilution-info": "", "Dot-species-notes": "<p></p>", "WB-species-checked": "notRecommended", "WB-species-dilution-info": "", "WB-species-notes": "", "FlowCytIntra-species-checked": "notRecommended", "FlowCytIntra-species-dilution-info": "", "FlowCytIntra-species-notes": "" } } }

Product details

ab279642 is the carrier-free version of ab254394.

Patented technology
Our RabMAb® technology is a patented hybridoma-based technology for making rabbit monoclonal antibodies. For details on our patents, please refer to RabMAb® patents.

What are the advantages of a recombinant monoclonal antibody?
This product is a recombinant monoclonal antibody, which offers several advantages including:

  • - High batch-to-batch consistency and reproducibility
  • - Improved sensitivity and specificity
  • - Long-term security of supply
  • - Animal-free batch production

For more information, read more on recombinant antibodies.

Conjugation ready
Our carrier-free antibodies are typically supplied in a PBS-only formulation, purified and free of BSA, sodium azide and glycerol. This conjugation-ready format is designed for use with fluorochromes, metal isotopes, oligonucleotides, and enzymes, which makes them ideal for antibody labelling, functional and cell-based assays, flow-based assays (e.g. mass cytometry) and Multiplex Imaging applications.

Use our conjugation kits for antibody conjugates that are ready-to-use in as little as 20 minutes with 1 minute hands-on-time and 100% antibody recovery: available for fluorescent dyes, HRP, biotin and gold.

Compatibility
This product is compatible with the Maxpar® Antibody Labeling Kit from Fluidigm, without the need for antibody preparation. Maxpar® is a trademark of Fluidigm Canada Inc.

Properties and storage information

Form
Liquid
Purification technique
Affinity purification Protein A
Storage buffer
pH: 7.2 - 7.4 Constituents: PBS
Shipped at conditions
Blue Ice
Appropriate short-term storage conditions
+4°C
Appropriate long-term storage conditions
+4°C

Product protocols

For this product, it's our understanding that no specific protocols are required. You can visit:

Target data

Histone H1 protein binds to linker DNA between nucleosomes forming the macromolecular structure known as the chromatin fiber. Histones H1 are necessary for the condensation of nucleosome chains into higher-order structured fibers. Acts also as a regulator of individual gene transcription through chromatin remodeling, nucleosome spacing and DNA methylation (By similarity).
See full target information H1-1

Product promise

We are committed to supporting your work with high-quality reagents, and we're here for you every step of the way. In the unlikely event that one of our products does not perform as expected, you're protected by our Product Promise.
For full details, please see our Terms & Conditions

Please note: All products are 'FOR RESEARCH USE ONLY. NOT FOR USE IN DIAGNOSTIC OR THERAPEUTIC PROCEDURES'.

For licensing inquiries, please contact partnerships@abcam.com