JavaScript is disabled in your browser. Please enable JavaScript to view this website.
AB183736

Anti-Histone H1.3 antibody [EPR12683]

Be the first to review this product! Submit a review

|

(4 Publications)

Rabbit Recombinant Monoclonal H1.3 antibody. Suitable for WB, ICC/IF, Flow Cyt (Intra), IP, IHC-P and reacts with Human samples. Cited in 4 publications.

View Alternative Names

H1F3, HIST1H1D, H1-3, Histone H1.3, Histone H1c, Histone H1s-2

6 Images
Immunocytochemistry/ Immunofluorescence - Anti-Histone H1.3 antibody [EPR12683] (AB183736)
  • ICC/IF

Supplier Data

Immunocytochemistry/ Immunofluorescence - Anti-Histone H1.3 antibody [EPR12683] (AB183736)

Immunofluorescence analysis of T47-D cells labeling Histone H1.3 with ab183736 at 1/500 dilution. Secondary ab : Goat anti rabbit IgG (Alexa Fluor®555) at 1/200 dilution. Fixative : 4% paraformaldehyde. Counter stain : Dapi

Immunohistochemistry (Formalin/PFA-fixed paraffin-embedded sections) - Anti-Histone H1.3 antibody [EPR12683] (AB183736)
  • IHC-P

Supplier Data

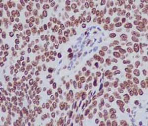
Immunohistochemistry (Formalin/PFA-fixed paraffin-embedded sections) - Anti-Histone H1.3 antibody [EPR12683] (AB183736)

Immunohistochemical analysis of paraffin-embedded Human cervix carcinoma tissue labeling Histone H1.3 with ab183736 at 1/1000 dilution. Counter stain : Hematoxylin

Perform heat mediated antigen retrieval with EDTA buffer pH 9 before commencing with IHC staining protocol.

Immunocytochemistry/ Immunofluorescence - Anti-Histone H1.3 antibody [EPR12683] (AB183736)
  • ICC/IF

Supplier Data

Immunocytochemistry/ Immunofluorescence - Anti-Histone H1.3 antibody [EPR12683] (AB183736)

Immunofluorescence analysis of HeLa cells labeling Histone H1.3 with ab183736 at 1/500 dilution. Secondary ab : Goat anti rabbit IgG (Alexa Fluor®555) at 1/200 dilution.

Flow Cytometry (Intracellular) - Anti-Histone H1.3 antibody [EPR12683] (AB183736)
  • Flow Cyt (Intra)

Supplier Data

Flow Cytometry (Intracellular) - Anti-Histone H1.3 antibody [EPR12683] (AB183736)

Intracellular Flow Cytometry analysis of HeLa cells usingab183736 at 1/10 dilution. Secondary ab : Goat anti rabbit IgG (FITC) at 1/150 dilution. Fixative : 2% paraformaldehyde. Isotype control : Rabbit monoclonal IgG.

Immunoprecipitation - Anti-Histone H1.3 antibody [EPR12683] (AB183736)
  • IP

Lab

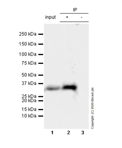
Immunoprecipitation - Anti-Histone H1.3 antibody [EPR12683] (AB183736)

Anti-Histone H1.3 was immunoprecipitated from 0.35 mg of HeLa (human cervical adenocarcinoma epithelial cell), whole cell lysate with ab183736 at 1/30 dilution. Western blot was performed from the immunoprecipitate using ab183736 at 1/1000 dilution. VeriBlot for IP Detection Reagent (HRP) (ab131366), was used for detection at 1/5000 dilution. Lane 1 : Hela whole cell lysate 10 μg (Input). Lane 2 : ab183736 IP in Hela whole cell lysate. Lane 3 : Rabbit monoclonal IgG (ab172730) instead of ab183736 in Hela whole cell lysate. Blocking and dilution buffer and concentration : 5% NFDM/TBST. Exposure time : 32 seconds.

All lanes:

Immunoprecipitation - Anti-Histone H1.3 antibody [EPR12683] (ab183736)

Lane 1:

Hela whole cell lysate at 10 µg

Lane 2:

Anti-Histone H1.3 antibody IP in Hela whole cell lysate

Secondary

All lanes:

Immunoprecipitation - VeriBlot for IP Detection Reagent (HRP) (<a href='/en-us/products/reagents/veriblot-for-ip-detection-reagent-hrp-ab131366'>ab131366</a>) at 1/5000 dilution

Predicted band size: 22 kDa

Observed band size: 30 kDa

false

Exposure time: 32s

Western blot - Anti-Histone H1.3 antibody [EPR12683] (AB183736)
  • WB

Supplier Data

Western blot - Anti-Histone H1.3 antibody [EPR12683] (AB183736)

Blocking buffer : 5% NFDM/TBST

All lanes:

Western blot - Anti-Histone H1.3 antibody [EPR12683] (ab183736) at 1/5000 dilution

Lane 1:

T-47D cell lysate at 20 µg

Lane 2:

Hela cell lysate at 20 µg

Lane 3:

Jurkat cell lysate at 20 µg

Secondary

All lanes:

Goat Anti-Rabbit IgG, (H+L), Peroxidase conjugated at 1/1000 dilution

Predicted band size: 22 kDa

false

  • Carrier free

    Anti-Histone H1.3 antibody [EPR12683] - BSA and Azide free

Key facts

Host species

Rabbit

Clonality

Monoclonal

Clone number

EPR12683

Isotype

IgG

Carrier free

No

Reacts with

Human

Applications

IP, IHC-P, WB, Flow Cyt (Intra), ICC/IF

applications

Immunogen

The exact immunogen used to generate this antibody is proprietary information.

Specificity

The immunogen used for this product shares 6 continuous identical amino acids with H1.4. Cross-reactivity with this protein has not been confirmed experimentally.

Reactivity data

{ "title": "Reactivity Data", "filters": { "stats": ["", "Species", "Dilution Info", "Notes"], "tabs": { "all-applications": {"fullname" : "All Applications", "shortname": "All Applications"}, "WB" : {"fullname" : "Western blot", "shortname":"WB"}, "ICCIF" : {"fullname" : "Immunocytochemistry/ Immunofluorescence", "shortname":"ICC/IF"}, "FlowCytIntra" : {"fullname" : "Flow Cytometry (Intracellular)", "shortname":"Flow Cyt (Intra)"}, "IP" : {"fullname" : "Immunoprecipitation", "shortname":"IP"}, "IHCP" : {"fullname" : "Immunohistochemistry (Formalin/PFA-fixed paraffin-embedded sections)", "shortname":"IHC-P"}, "ChIP" : {"fullname" : "ChIP", "shortname":"ChIP"} }, "product-promise": { "all": "all", "testedAndGuaranteed": "tested", "guaranteed": "expected", "predicted": "predicted", "notRecommended": "not-recommended" } }, "values": { "Human": { "WB-species-checked": "testedAndGuaranteed", "WB-species-dilution-info": "1/1000 - 1/10000", "WB-species-notes": "<p></p>", "ICCIF-species-checked": "testedAndGuaranteed", "ICCIF-species-dilution-info": "1/500", "ICCIF-species-notes": "<p></p>", "FlowCytIntra-species-checked": "testedAndGuaranteed", "FlowCytIntra-species-dilution-info": "1/10", "FlowCytIntra-species-notes": "<p><a href='/en-us/products/primary-antibodies/rabbit-igg-monoclonal-epr25a-isotype-control-ab172730'>ab172730</a> - Rabbit monoclonal IgG, is suitable for use as an isotype control with this antibody.</p>", "IP-species-checked": "testedAndGuaranteed", "IP-species-dilution-info": "1/30", "IP-species-notes": "<p></p>", "IHCP-species-checked": "testedAndGuaranteed", "IHCP-species-dilution-info": "1/1000", "IHCP-species-notes": "<p></p>", "ChIP-species-checked": "notRecommended", "ChIP-species-dilution-info": "", "ChIP-species-notes": "<p></p>" } } }

Product details

Patented technology
Our RabMAb® technology is a patented hybridoma-based technology for making rabbit monoclonal antibodies. For details on our patents, please refer to RabMAb® patents.

What are the advantages of a recombinant monoclonal antibody?
This product is a recombinant monoclonal antibody, which offers several advantages including:

  • - High batch-to-batch consistency and reproducibility
  • - Improved sensitivity and specificity
  • - Long-term security of supply
  • - Animal-free batch production

For more information, read more on recombinant antibodies.

Properties and storage information

Form
Liquid
Purification technique
Affinity purification Protein A
Storage buffer
pH: 7.2 Preservative: 0.01% Sodium azide Constituents: PBS, 40% Glycerol (glycerin, glycerine), 0.05% BSA
Shipped at conditions
Blue Ice
Appropriate short-term storage duration
1-2 weeks
Appropriate short-term storage conditions
+4°C
Appropriate long-term storage conditions
-20°C
Aliquoting information
Upon delivery aliquot
Storage information
Avoid freeze / thaw cycle

Product protocols

For this product, it's our understanding that no specific protocols are required. You can visit:

Target data

Histone H1 protein binds to linker DNA between nucleosomes forming the macromolecular structure known as the chromatin fiber. Histones H1 are necessary for the condensation of nucleosome chains into higher-order structured fibers. Acts also as a regulator of individual gene transcription through chromatin remodeling, nucleosome spacing and DNA methylation (By similarity).
See full target information H1-3

Publications (4)

Recent publications for all applications. Explore the full list and refine your search

Pharmaceutics 17: PubMed41012504

2025

A Preliminary Study on the Accuracy of MRI-Guided Thalamic Infusion of AAV2-GFP and Biodistribution Analysis Using Cryo-Fluorescence Tomography in Nonhuman Primates.

Applications

Unspecified application

Species

Unspecified reactive species

Ernesto A Salegio,Reinier Espinosa,Geary R Smith,David Shoshan,Matthew Silva,Eli White,Jacob McDonald

Nature 641:779-787 PubMed40240600

2025

Histone H1 deamidation facilitates chromatin relaxation for DNA repair.

Applications

Unspecified application

Species

Unspecified reactive species

Yuan Tian,Tingting Feng,Jun Zhang,Qingren Meng,Wenxin Zhan,Ming Tang,Chaohua Liu,Mengyan Li,Wenhui Tao,Yuxin Shu,Yu Zhang,Feng Chen,Shunichi Takeda,Qian Zhu,Xiaopeng Lu,Wei-Guo Zhu

Life science alliance 6: PubMed37364916

2023

The linker histone H1-BRCA1 axis is a crucial mediator of replication fork stability.

Applications

Unspecified application

Species

Unspecified reactive species

Meryem Ozgencil,Arlinda Dullovi,Romane Catherine Christiane Higos,Zuzana Hořejší,Roberto Bellelli

International journal of biological sciences 18:2583-2596 PubMed35414787

2022

Downregulation of lncRNA APCDD1L-AS1 due to DNA hypermethylation and loss of VHL protein expression promotes the progression of clear cell renal cell carcinoma.

Applications

Unspecified application

Species

Unspecified reactive species

Wuping Yang,Jingcheng Zhou,Zedan Zhang,Kenan Zhang,Yawei Xu,Lei Li,Lin Cai,Yanqing Gong,Kan Gong
View all publications

Product promise

We are committed to supporting your work with high-quality reagents, and we're here for you every step of the way. In the unlikely event that one of our products does not perform as expected, you're protected by our Product Promise.
For full details, please see our Terms & Conditions

Please note: All products are 'FOR RESEARCH USE ONLY. NOT FOR USE IN DIAGNOSTIC OR THERAPEUTIC PROCEDURES'.

For licensing inquiries, please contact partnerships@abcam.com