JavaScript is disabled in your browser. Please enable JavaScript to view this website.
AB188294

Anti-Histone H1.3 (phospho T17) + Histone H1.4 (phospho T17) antibody [EPR18087]

Be the first to review this product! Submit a review

|

(1 Publication)

Rabbit Recombinant Monoclonal H1.4 phospho T17 antibody. Suitable for WB, PepArr, ICC/IF, IHC-P and reacts with Mouse, Human, Rat samples. Cited in 1 publication.

View Alternative Names

H1F4, HIST1H1E, H1-4, Histone H1.4, Histone H1b, Histone H1s-4, H1T17p

7 Images
Immunocytochemistry/ Immunofluorescence - Anti-Histone H1.3 (phospho T17) + Histone H1.4 (phospho T17) antibody [EPR18087] (AB188294)
  • ICC/IF

Supplier Data

Immunocytochemistry/ Immunofluorescence - Anti-Histone H1.3 (phospho T17) + Histone H1.4 (phospho T17) antibody [EPR18087] (AB188294)

Immunofluorescent analysis of 4% paraformaldehyde-fixed 0.1% Triton X-100 permeabilized HeLa (Human epithelial cells from cervix adenocarcinoma) cells labeling Histone H1.3 (phospho T17) + Histone H1.4 (phospho T17) with ab188294 at 1/8000 dilution followed by Goat anti-rabbit IgG (Alexa Fluor® 488) (ab150077) secondary antibody at 1/500 dilution (green).

Confocal image showing nuclear staining on HeLa cell line.

The nuclear counter stain is DAPI (blue).

Tubulin is detected with ab7291 (anti-Tubulin mouse mAb) at 1/1000 dilution and ab150120 (AlexaFluor®594 Goat anti-Mouse secondary) at 1/500 dilution (red).

The negative controls are as follows :
-ve control 1 : ab188294 at 1/8000 dilution followed by ab150120 (AlexaFluor®594 Goat anti-Mouse secondary) at 1/500 dilution.
-ve control 2 : ab7291 (anti-Tubulin mouse mAb) at 1/1000 dilution followed by ab150077 (Alexa Fluor®488 Goat Anti-Rabbit IgG H&L) at 1/500 dilution.

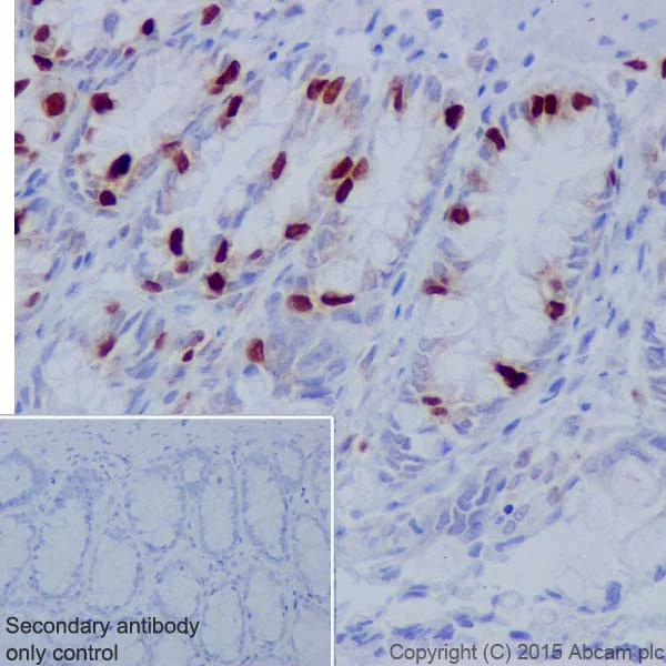
Immunohistochemistry (Formalin/PFA-fixed paraffin-embedded sections) - Anti-Histone H1.3 (phospho T17) + Histone H1.4 (phospho T17) antibody [EPR18087] (AB188294)
  • IHC-P

Supplier Data

Immunohistochemistry (Formalin/PFA-fixed paraffin-embedded sections) - Anti-Histone H1.3 (phospho T17) + Histone H1.4 (phospho T17) antibody [EPR18087] (AB188294)

Immunohistochemical analysis of paraffin-embedded Human colon tissue labeling Histone H1.3 (phospho T17) + Histone H1.4 (phospho T17) with ab188294 at 1/2000 dilution followed by Goat Anti-Rabbit IgG H&L (HRP) (ab97051) secondary antibody at 1/500 dilution.

Nucleus staining on epithelial cells of Human colon is observed.

Counter stained with Hematoxylin.

Secondary antibody only control : Used PBS instead of primary antibody secondary antibody is Goat Anti-Rabbit IgG H&L (HRP) (ab97051) at 1/500 dilution.

Perform heat mediated antigen retrieval with Tris/EDTA buffer pH 9.0 before commencing with IHC staining protocol.

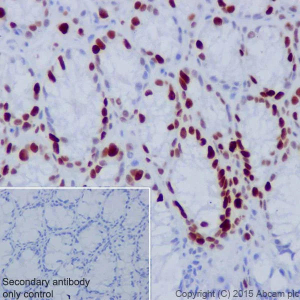
Immunohistochemistry (Formalin/PFA-fixed paraffin-embedded sections) - Anti-Histone H1.3 (phospho T17) + Histone H1.4 (phospho T17) antibody [EPR18087] (AB188294)
  • IHC-P

Supplier Data

Immunohistochemistry (Formalin/PFA-fixed paraffin-embedded sections) - Anti-Histone H1.3 (phospho T17) + Histone H1.4 (phospho T17) antibody [EPR18087] (AB188294)

Immunohistochemical analysis of paraffin-embedded Mouse colon tissue labeling Histone H1.3 (phospho T17) + Histone H1.4 (phospho T17) with ab188294 at 1/2000 dilution followed by Goat Anti-Rabbit IgG H&L (HRP) (ab97051) secondary antibody at 1/500 dilution.

Nucleus staining on epithelial cells of mouse colon is observed.

Counter stained with Hematoxylin.

Secondary antibody only control : Used PBS instead of primary antibody secondary antibody is Goat Anti-Rabbit IgG H&L (HRP) (ab97051) at 1/500 dilution.

Perform heat mediated antigen retrieval with Tris/EDTA buffer pH 9.0 before commencing with IHC staining protocol.

Immunohistochemistry (Formalin/PFA-fixed paraffin-embedded sections) - Anti-Histone H1.3 (phospho T17) + Histone H1.4 (phospho T17) antibody [EPR18087] (AB188294)
  • IHC-P

Supplier Data

Immunohistochemistry (Formalin/PFA-fixed paraffin-embedded sections) - Anti-Histone H1.3 (phospho T17) + Histone H1.4 (phospho T17) antibody [EPR18087] (AB188294)

Immunohistochemical analysis of paraffin-embedded Rat colon tissue labeling Histone H1.3 (phospho T17) + Histone H1.4 (phospho T17) with ab188294 at 1/2000 dilution followed by Goat Anti-Rabbit IgG H&L (HRP) (ab97051) secondary antibody at 1/500 dilution.

Nucleus staining on epithelial cells of rat colon is observed.

Counter stained with Hematoxylin.

Secondary antibody only control : Used PBS instead of primary antibody secondary antibody is Goat Anti-Rabbit IgG H&L (HRP) (ab97051) at 1/500 dilution.

Perform heat mediated antigen retrieval with Tris/EDTA buffer pH 9.0 before commencing with IHC staining protocol.

Western blot - Anti-Histone H1.3 (phospho T17) + Histone H1.4 (phospho T17) antibody [EPR18087] (AB188294)
  • WB

Supplier Data

Western blot - Anti-Histone H1.3 (phospho T17) + Histone H1.4 (phospho T17) antibody [EPR18087] (AB188294)

Blocking/Dilution buffer : 5% NFDM/TBST.

All lanes:

Western blot - Anti-Histone H1.3 (phospho T17) + Histone H1.4 (phospho T17) antibody [EPR18087] (ab188294) at 1/5000 dilution

Lane 1:

Untreated HeLa (Human epithelial cells from cervix adenocarcinoma) whole cell lysates at 10 µg

Lane 2:

HeLa (Human epithelial cells from cervix adenocarcinoma) treated with Colcemid acid extraction lysates at 10 µg

Secondary

All lanes:

Goat Anti-Rabbit IgG, (H+L), Peroxidase conjugated at 1/1000 dilution

Predicted band size: 15 kDa

Observed band size: 14 kDa,30 kDa

false

Exposure time: 5s

Western blot - Anti-Histone H1.3 (phospho T17) + Histone H1.4 (phospho T17) antibody [EPR18087] (AB188294)
  • WB

Supplier Data

Western blot - Anti-Histone H1.3 (phospho T17) + Histone H1.4 (phospho T17) antibody [EPR18087] (AB188294)

Blocking/Dilution buffer : 5% NFDM/TBST.

All lanes:

Western blot - Anti-Histone H1.3 (phospho T17) + Histone H1.4 (phospho T17) antibody [EPR18087] (ab188294) at 1/5000 dilution

Lane 1:

Untreated NIH/3T3 (Mouse embyro fibroblast cells) whole cell lysates at 10 µg

Lane 2:

NIH/3T3 (Mouse embyro fibroblast cells) treated with 1.5μg/ml Colcemid for 12 hours whole cell lysates at 10 µg

Secondary

All lanes:

Goat Anti-Rabbit IgG, (H+L), Peroxidase conjugated at 1/1000 dilution

Observed band size: 30 kDa

false

Exposure time: 3min

Peptide Array - Anti-Histone H1.3 (phospho T17) + Histone H1.4 (phospho T17) antibody [EPR18087] (AB188294)
  • PepArr

Unknown

Peptide Array - Anti-Histone H1.3 (phospho T17) + Histone H1.4 (phospho T17) antibody [EPR18087] (AB188294)

ab188294 was tested in Peptide array against 501 different modified and unmodified histone peptides; each peptide is printed on the array at six concentrations (each in triplicate).
Circle area represents affinity between the antibody and a peptide : all antigen-containing peptides are displayed as red circles, all other peptides as blue circles. The affinity is calculated as area under curve when antibody binding values are plotted against the corresponding peptide concentration. Each circle area is normalized to the peptide with the strongest affinity.
The complete dataset, including full list of all peptides and information on the position of each peptide in the diagram, is available under the Product Protocol section.

  • Carrier free

    Anti-Histone H1.3 (phospho T17) + Histone H1.4 (phospho T17) antibody [EPR18087] - BSA & Azide free

Key facts

Host species

Rabbit

Clonality

Monoclonal

Clone number

EPR18087

Isotype

IgG

Carrier free

No

Reacts with

Rat, Human, Mouse

Applications

WB, ICC/IF, PepArr, IHC-P

applications

Immunogen

The exact immunogen used to generate this antibody is proprietary information.

Reactivity data

{ "title": "Reactivity Data", "filters": { "stats": ["", "Species", "Dilution Info", "Notes"], "tabs": { "all-applications": {"fullname" : "All Applications", "shortname": "All Applications"}, "WB" : {"fullname" : "Western blot", "shortname":"WB"}, "PepArr" : {"fullname" : "Peptide Array", "shortname":"PepArr"}, "ICCIF" : {"fullname" : "Immunocytochemistry/ Immunofluorescence", "shortname":"ICC/IF"}, "IHCP" : {"fullname" : "Immunohistochemistry (Formalin/PFA-fixed paraffin-embedded sections)", "shortname":"IHC-P"} }, "product-promise": { "all": "all", "testedAndGuaranteed": "tested", "guaranteed": "expected", "predicted": "predicted", "notRecommended": "not-recommended" } }, "values": { "Human": { "WB-species-checked": "testedAndGuaranteed", "WB-species-dilution-info": "1/5000", "WB-species-notes": "<p></p>", "PepArr-species-checked": "testedAndGuaranteed", "PepArr-species-dilution-info": "", "PepArr-species-notes": "<p></p>", "ICCIF-species-checked": "testedAndGuaranteed", "ICCIF-species-dilution-info": "1/8000", "ICCIF-species-notes": "<p></p>", "IHCP-species-checked": "testedAndGuaranteed", "IHCP-species-dilution-info": "1/2000", "IHCP-species-notes": "<p></p>" }, "Mouse": { "WB-species-checked": "testedAndGuaranteed", "WB-species-dilution-info": "1/5000", "WB-species-notes": "<p></p>", "PepArr-species-checked": "guaranteed", "PepArr-species-dilution-info": "", "PepArr-species-notes": "", "ICCIF-species-checked": "guaranteed", "ICCIF-species-dilution-info": "", "ICCIF-species-notes": "", "IHCP-species-checked": "testedAndGuaranteed", "IHCP-species-dilution-info": "1/2000", "IHCP-species-notes": "<p></p>" }, "Rat": { "WB-species-checked": "guaranteed", "WB-species-dilution-info": "", "WB-species-notes": "", "PepArr-species-checked": "guaranteed", "PepArr-species-dilution-info": "", "PepArr-species-notes": "", "ICCIF-species-checked": "guaranteed", "ICCIF-species-dilution-info": "", "ICCIF-species-notes": "", "IHCP-species-checked": "testedAndGuaranteed", "IHCP-species-dilution-info": "1/2000", "IHCP-species-notes": "<p></p>" } } }

Product details

Patented technology
Our RabMAb® technology is a patented hybridoma-based technology for making rabbit monoclonal antibodies. For details on our patents, please refer to RabMAb® patents.

What are the advantages of a recombinant monoclonal antibody?
This product is a recombinant monoclonal antibody, which offers several advantages including:

  • - High batch-to-batch consistency and reproducibility
  • - Improved sensitivity and specificity
  • - Long-term security of supply
  • - Animal-free batch production

For more information, read more on recombinant antibodies.

Properties and storage information

Form
Liquid
Purification technique
Affinity purification Protein A
Storage buffer
pH: 7.2 - 7.4 Preservative: 0.01% Sodium azide Constituents: PBS, 40% Glycerol (glycerin, glycerine), 0.05% BSA
Shipped at conditions
Blue Ice
Appropriate short-term storage duration
1-2 weeks
Appropriate short-term storage conditions
+4°C
Appropriate long-term storage conditions
-20°C
Aliquoting information
Upon delivery aliquot
Storage information
Avoid freeze / thaw cycle

Product protocols

For this product, it's our understanding that no specific protocols are required. You can visit:

Target data

Histone H1 protein binds to linker DNA between nucleosomes forming the macromolecular structure known as the chromatin fiber. Histones H1 are necessary for the condensation of nucleosome chains into higher-order structured fibers. Acts also as a regulator of individual gene transcription through chromatin remodeling, nucleosome spacing and DNA methylation (By similarity).
See full target information H1-4 phospho T17

Publications (1)

Recent publications for all applications. Explore the full list and refine your search

Molecular cell 67:579-593.e6 PubMed28781233

2017

Phospho-H1 Decorates the Inter-chromatid Axis and Is Evicted along with Shugoshin by SET during Mitosis.

Applications

Unspecified application

Species

Unspecified reactive species

Swathi Krishnan,Arne H Smits,Michiel Vermeulen,Danny Reinberg
View all publications
peptideArrayWebsite
en

Product promise

We are committed to supporting your work with high-quality reagents, and we're here for you every step of the way. In the unlikely event that one of our products does not perform as expected, you're protected by our Product Promise.
For full details, please see our Terms & Conditions

Please note: All products are 'FOR RESEARCH USE ONLY. NOT FOR USE IN DIAGNOSTIC OR THERAPEUTIC PROCEDURES'.

For licensing inquiries, please contact partnerships@abcam.com