JavaScript is disabled in your browser. Please enable JavaScript to view this website.
AB250946

Anti-Histone H1.3 (phospho T17) + Histone H1.4 (phospho T17) antibody [EPR18087] - BSA and Azide free

5

(2 Reviews)

|

(0 Publication)

Rabbit Recombinant Monoclonal H1.4 phospho T17 antibody. Carrier free. Suitable for ICC/IF, WB, PepArr, IHC-P and reacts with Human, Mouse, Rat samples.

View Alternative Names

H1F4, HIST1H1E, H1-4, Histone H1.4, Histone H1b, Histone H1s-4, H1T17p

7 Images
Western blot - Anti-Histone H1.3 (phospho T17) + Histone H1.4 (phospho T17) antibody [EPR18087] - BSA and Azide free (AB250946)
  • WB

Supplier Data

Western blot - Anti-Histone H1.3 (phospho T17) + Histone H1.4 (phospho T17) antibody [EPR18087] - BSA and Azide free (AB250946)

This data was developed using ab188294, the same antibody clone in a different buffer formulation.

Blocking and dilution buffer : 5% NFDM/TBST.

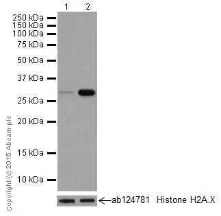
All lanes:

Western blot - Anti-Histone H1.3 (phospho T17) + Histone H1.4 (phospho T17) antibody [EPR18087] (<a href='/en-us/products/primary-antibodies/histone-h13-phospho-t17-histone-h14-phospho-t17-antibody-epr18087-ab188294'>ab188294</a>) at 1/5000 dilution

Lane 1:

Untreated HeLa (Human epithelial cells from cervix adenocarcinoma) whole cell lysates at 10 µg

Lane 2:

HeLa (Human epithelial cells from cervix adenocarcinoma) treated with Colcemid acid extraction lysates at 10 µg

Secondary

All lanes:

Goat Anti-Rabbit IgG, (H+L), Peroxidase conjugated at 1/1000 dilution

Predicted band size: 15 kDa

Observed band size: 14 kDa,30 kDa

false

Exposure time: 5s

Western blot - Anti-Histone H1.3 (phospho T17) + Histone H1.4 (phospho T17) antibody [EPR18087] - BSA and Azide free (AB250946)
  • WB

Supplier Data

Western blot - Anti-Histone H1.3 (phospho T17) + Histone H1.4 (phospho T17) antibody [EPR18087] - BSA and Azide free (AB250946)

This data was developed using ab188294, the same antibody clone in a different buffer formulation.

Blocking and dilution buffer : 5% NFDM/TBST.

All lanes:

Western blot - Anti-Histone H1.3 (phospho T17) + Histone H1.4 (phospho T17) antibody [EPR18087] (<a href='/en-us/products/primary-antibodies/histone-h13-phospho-t17-histone-h14-phospho-t17-antibody-epr18087-ab188294'>ab188294</a>) at 1/5000 dilution

Lane 1:

Untreated NIH/3T3 (Mouse embyro fibroblast cells) whole cell lysates at 10 µg

Lane 2:

NIH/3T3 (Mouse embyro fibroblast cells) treated with 1.5μg/ml Colcemid for 12 hours whole cell lysates at 10 µg

Secondary

All lanes:

Goat Anti-Rabbit IgG, (H+L), Peroxidase conjugated at 1/1000 dilution

Observed band size: 30 kDa

false

Exposure time: 3min

Immunocytochemistry/ Immunofluorescence - Anti-Histone H1.3 (phospho T17) + Histone H1.4 (phospho T17) antibody [EPR18087] - BSA and Azide free (AB250946)
  • ICC/IF

Supplier Data

Immunocytochemistry/ Immunofluorescence - Anti-Histone H1.3 (phospho T17) + Histone H1.4 (phospho T17) antibody [EPR18087] - BSA and Azide free (AB250946)

This data was developed using ab188294, the same antibody clone in a different buffer formulation.

Immunofluorescent analysis of 4% paraformaldehyde-fixed, 0.1% Triton X-100 permeabilized HeLa (Human epithelial cells from cervix adenocarcinoma) cells labeling Histone H1.3 (phospho T17) + Histone H1.4 (phospho T17) with ab188294 at 1/8000 dilution, followed by Goat anti-rabbit IgG (Alexa Fluor® 488) (ab150077) secondary antibody at 1/500 dilution (green).

Confocal image showing nuclear staining on HeLa cell line.

The nuclear counter stain is DAPI (blue).

Tubulin is detected with ab7291 (anti-Tubulin mouse mAb) at 1/1000 dilution and ab150120 (AlexaFluor®594 Goat anti-Mouse secondary) at 1/500 dilution (red).

The negative controls are as follows :
-ve control 1 : ab188294 at 1/8000 dilution followed by ab150120 (AlexaFluor®594 Goat anti-Mouse secondary) at 1/500 dilution.
-ve control 2 : ab7291 (anti-Tubulin mouse mAb) at 1/1000 dilution followed by ab150077 (Alexa Fluor®488 Goat Anti-Rabbit IgG H&L) at 1/500 dilution.

Immunohistochemistry (Formalin/PFA-fixed paraffin-embedded sections) - Anti-Histone H1.3 (phospho T17) + Histone H1.4 (phospho T17) antibody [EPR18087] - BSA and Azide free (AB250946)
  • IHC-P

Supplier Data

Immunohistochemistry (Formalin/PFA-fixed paraffin-embedded sections) - Anti-Histone H1.3 (phospho T17) + Histone H1.4 (phospho T17) antibody [EPR18087] - BSA and Azide free (AB250946)

This data was developed using ab188294, the same antibody clone in a different buffer formulation.

Immunohistochemical analysis of paraffin-embedded Rat colon tissue labeling Histone H1.3 (phospho T17) + Histone H1.4 (phospho T17) with ab188294 at 1/2000 dilution, followed by Goat Anti-Rabbit IgG H&L (HRP) (ab97051) secondary antibody at 1/500 dilution.

Nucleus staining on epithelial cells of rat colon is observed.

Counter stained with Hematoxylin.

Secondary antibody only control : Used PBS instead of primary antibody, secondary antibody is Goat Anti-Rabbit IgG H&L (HRP) (ab97051) at 1/500 dilution.

Perform heat mediated antigen retrieval with Tris/EDTA buffer pH 9.0 before commencing with IHC staining protocol.

Immunohistochemistry (Formalin/PFA-fixed paraffin-embedded sections) - Anti-Histone H1.3 (phospho T17) + Histone H1.4 (phospho T17) antibody [EPR18087] - BSA and Azide free (AB250946)
  • IHC-P

Supplier Data

Immunohistochemistry (Formalin/PFA-fixed paraffin-embedded sections) - Anti-Histone H1.3 (phospho T17) + Histone H1.4 (phospho T17) antibody [EPR18087] - BSA and Azide free (AB250946)

This data was developed using ab188294, the same antibody clone in a different buffer formulation.

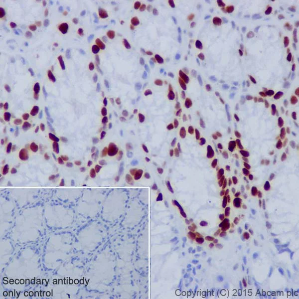
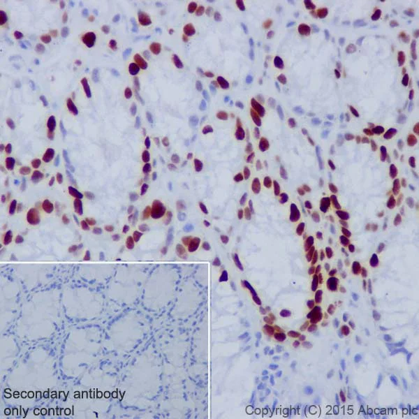
Immunohistochemical analysis of paraffin-embedded Mouse colon tissue labeling Histone H1.3 (phospho T17) + Histone H1.4 (phospho T17) with ab188294 at 1/2000 dilution, followed by Goat Anti-Rabbit IgG H&L (HRP) (ab97051) secondary antibody at 1/500 dilution.

Nucleus staining on epithelial cells of mouse colon is observed.

Counter stained with Hematoxylin.

Secondary antibody only control : Used PBS instead of primary antibody, secondary antibody is Goat Anti-Rabbit IgG H&L (HRP) (ab97051) at 1/500 dilution.

Perform heat mediated antigen retrieval with Tris/EDTA buffer pH 9.0 before commencing with IHC staining protocol.

Immunohistochemistry (Formalin/PFA-fixed paraffin-embedded sections) - Anti-Histone H1.3 (phospho T17) + Histone H1.4 (phospho T17) antibody [EPR18087] - BSA and Azide free (AB250946)
  • IHC-P

Supplier Data

Immunohistochemistry (Formalin/PFA-fixed paraffin-embedded sections) - Anti-Histone H1.3 (phospho T17) + Histone H1.4 (phospho T17) antibody [EPR18087] - BSA and Azide free (AB250946)

This data was developed using ab188294, the same antibody clone in a different buffer formulation.

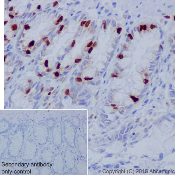
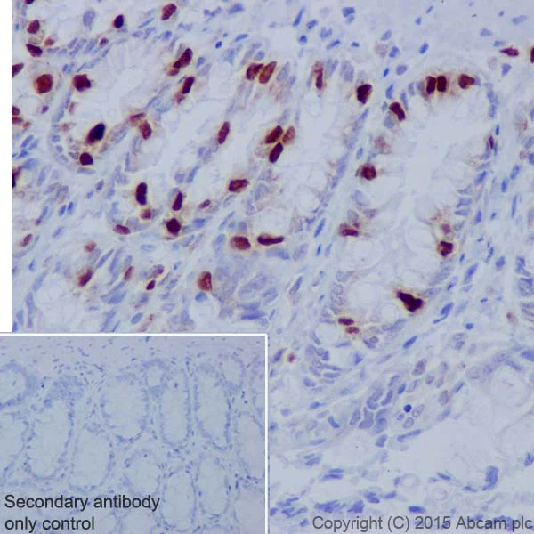
Immunohistochemical analysis of paraffin-embedded Human colon tissue labeling Histone H1.3 (phospho T17) + Histone H1.4 (phospho T17) with ab188294 at 1/2000 dilution, followed by Goat Anti-Rabbit IgG H&L (HRP) (ab97051) secondary antibody at 1/500 dilution.

Nucleus staining on epithelial cells of Human colon is observed.

Counter stained with Hematoxylin.

Secondary antibody only control : Used PBS instead of primary antibody, secondary antibody is Goat Anti-Rabbit IgG H&L (HRP) (ab97051) at 1/500 dilution.

Perform heat mediated antigen retrieval with Tris/EDTA buffer pH 9.0 before commencing with IHC staining protocol.

Peptide Array - Anti-Histone H1.3 (phospho T17) + Histone H1.4 (phospho T17) antibody [EPR18087] - BSA and Azide free (AB250946)
  • PepArr

Unknown

Peptide Array - Anti-Histone H1.3 (phospho T17) + Histone H1.4 (phospho T17) antibody [EPR18087] - BSA and Azide free (AB250946)

This data was developed using ab188294, the same antibody clone in a different buffer formulation.

ab188294 was tested in Peptide array against 501 different modified and unmodified histone peptides; each peptide is printed on the array at six concentrations (each in triplicate).
Circle area represents affinity between the antibody and a peptide : all antigen-containing peptides are displayed as red circles, all other peptides as blue circles. The affinity is calculated as area under curve when antibody binding values are plotted against the corresponding peptide concentration. Each circle area is normalized to the peptide with the strongest affinity.
The complete dataset, including full list of all peptides and information on the position of each peptide in the diagram, is available under the Product Protocol section.

  • Unconjugated

    Anti-Histone H1.3 (phospho T17) + Histone H1.4 (phospho T17) antibody [EPR18087]

Key facts

Host species

Rabbit

Clonality

Monoclonal

Clone number

EPR18087

Isotype

IgG

Carrier free

Yes

Reacts with

Mouse, Rat, Human

Applications

PepArr, WB, ICC/IF, IHC-P

applications

Immunogen

The exact immunogen used to generate this antibody is proprietary information.

Reactivity data

{ "title": "Reactivity Data", "filters": { "stats": ["", "Species", "Dilution Info", "Notes"], "tabs": { "all-applications": {"fullname" : "All Applications", "shortname": "All Applications"}, "ICCIF" : {"fullname" : "Immunocytochemistry/ Immunofluorescence", "shortname":"ICC/IF"}, "WB" : {"fullname" : "Western blot", "shortname":"WB"}, "PepArr" : {"fullname" : "Peptide Array", "shortname":"PepArr"}, "IHCP" : {"fullname" : "Immunohistochemistry (Formalin/PFA-fixed paraffin-embedded sections)", "shortname":"IHC-P"} }, "product-promise": { "all": "all", "testedAndGuaranteed": "tested", "guaranteed": "expected", "predicted": "predicted", "notRecommended": "not-recommended" } }, "values": { "Human": { "ICCIF-species-checked": "testedAndGuaranteed", "ICCIF-species-dilution-info": "", "ICCIF-species-notes": "<p></p> Perform heat-mediated antigen retrieval with Tris/EDTA buffer pH 9.0 before commencing with IHC staining protocol.", "WB-species-checked": "testedAndGuaranteed", "WB-species-dilution-info": "", "WB-species-notes": "<p></p> Perform heat-mediated antigen retrieval with Tris/EDTA buffer pH 9.0 before commencing with IHC staining protocol.", "PepArr-species-checked": "testedAndGuaranteed", "PepArr-species-dilution-info": "", "PepArr-species-notes": "<p></p>", "IHCP-species-checked": "testedAndGuaranteed", "IHCP-species-dilution-info": "", "IHCP-species-notes": "<p></p> Perform heat-mediated antigen retrieval with Tris/EDTA buffer pH 9.0 before commencing with IHC staining protocol." }, "Mouse": { "ICCIF-species-checked": "guaranteed", "ICCIF-species-dilution-info": "", "ICCIF-species-notes": "", "WB-species-checked": "testedAndGuaranteed", "WB-species-dilution-info": "", "WB-species-notes": "<p></p> Perform heat-mediated antigen retrieval with Tris/EDTA buffer pH 9.0 before commencing with IHC staining protocol.", "PepArr-species-checked": "guaranteed", "PepArr-species-dilution-info": "", "PepArr-species-notes": "", "IHCP-species-checked": "testedAndGuaranteed", "IHCP-species-dilution-info": "", "IHCP-species-notes": "<p></p> Perform heat-mediated antigen retrieval with Tris/EDTA buffer pH 9.0 before commencing with IHC staining protocol." }, "Rat": { "ICCIF-species-checked": "guaranteed", "ICCIF-species-dilution-info": "", "ICCIF-species-notes": "", "WB-species-checked": "guaranteed", "WB-species-dilution-info": "", "WB-species-notes": "", "PepArr-species-checked": "guaranteed", "PepArr-species-dilution-info": "", "PepArr-species-notes": "", "IHCP-species-checked": "testedAndGuaranteed", "IHCP-species-dilution-info": "", "IHCP-species-notes": "<p></p> Perform heat-mediated antigen retrieval with Tris/EDTA buffer pH 9.0 before commencing with IHC staining protocol." } } }

Product details

ab250946 is the carrier-free version of ab188294.

Patented technology
Our RabMAb® technology is a patented hybridoma-based technology for making rabbit monoclonal antibodies. For details on our patents, please refer to RabMAb® patents.

What are the advantages of a recombinant monoclonal antibody?
This product is a recombinant monoclonal antibody, which offers several advantages including:

  • - High batch-to-batch consistency and reproducibility
  • - Improved sensitivity and specificity
  • - Long-term security of supply
  • - Animal-free batch production

For more information, read more on recombinant antibodies.

Conjugation ready
Our carrier-free antibodies are typically supplied in a PBS-only formulation, purified and free of BSA, sodium azide and glycerol. This conjugation-ready format is designed for use with fluorochromes, metal isotopes, oligonucleotides, and enzymes, which makes them ideal for antibody labelling, functional and cell-based assays, flow-based assays (e.g. mass cytometry) and Multiplex Imaging applications.

Use our conjugation kits for antibody conjugates that are ready-to-use in as little as 20 minutes with 1 minute hands-on-time and 100% antibody recovery: available for fluorescent dyes, HRP, biotin and gold.

Compatibility
This product is compatible with the Maxpar® Antibody Labeling Kit from Fluidigm, without the need for antibody preparation. Maxpar® is a trademark of Fluidigm Canada Inc.

Properties and storage information

Form
Liquid
Purification technique
Affinity purification Protein A
Storage buffer
pH: 7.2 - 7.4 Constituents: PBS
Shipped at conditions
Blue Ice
Appropriate short-term storage conditions
+4°C
Appropriate long-term storage conditions
+4°C
Storage information
Do Not Freeze

Product protocols

For this product, it's our understanding that no specific protocols are required. You can visit:

Target data

Histone H1 protein binds to linker DNA between nucleosomes forming the macromolecular structure known as the chromatin fiber. Histones H1 are necessary for the condensation of nucleosome chains into higher-order structured fibers. Acts also as a regulator of individual gene transcription through chromatin remodeling, nucleosome spacing and DNA methylation (By similarity).
See full target information H1-4 phospho T17

Additional targets

H1-3 phospho T17

Product promise

We are committed to supporting your work with high-quality reagents, and we're here for you every step of the way. In the unlikely event that one of our products does not perform as expected, you're protected by our Product Promise.
For full details, please see our Terms & Conditions
peptideArrayWebsite
en

Please note: All products are 'FOR RESEARCH USE ONLY. NOT FOR USE IN DIAGNOSTIC OR THERAPEUTIC PROCEDURES'.

For licensing inquiries, please contact partnerships@abcam.com