JavaScript is disabled in your browser. Please enable JavaScript to view this website.
AB177312

Anti-Histone H2A (acetyl K9) antibody [EPR17471] - ChIP Grade

Be the first to review this product! Submit a review

|

(4 Publications)

Rabbit Recombinant Monoclonal H2A acetyl K9 antibody. Suitable for ChIP, WB, PepArr, ICC/IF, ChIP-seq, IHC-P, ChIC/CUT&RUN-seq and reacts with Human, Mouse, Rat samples. Cited in 4 publications.

View Alternative Names

H2AFM, HIST1H2AB, H2AC8, H2AFA, HIST1H2AE, H2AC4, Histone H2A type 1-B/E, Histone H2A.2, Histone H2A/a, Histone H2A/m, H2AK9ac

12 Images
Immunocytochemistry/ Immunofluorescence - Anti-Histone H2A (acetyl K9) antibody [EPR17471] - ChIP Grade (AB177312)
  • ICC/IF

Lab

Immunocytochemistry/ Immunofluorescence - Anti-Histone H2A (acetyl K9) antibody [EPR17471] - ChIP Grade (AB177312)

Immunofluorescent analysis of 4% paraformaldehyde-fixed 0.1% Triton X-100 permeabilized HeLa (Human epithelial cells from cervix adenocarcinoma) cells untreated and treated with Trichostatin A (500 ng/ml) for 4 hours labeling Histone H2A (acetyl K9) with ab177312 at 1/2000 dilution followed by Goat anti-rabbit IgG (Alexa Fluor® 488) (ab150077) secondary antibody at 1/500 dilution (green). Confocal image showing nuclear staining on HeLa cell line. Acetylation level increased after treatment with Trichostatin A (500 ng/ml) for 4 hours. The nuclear counter stain is DAPI (blue). Tubulin is detected with ab7291 (anti-Tubulin mouse mAb) at 1/1000 dilution and ab150120 (AlexaFluor®594 Goat anti-Mouse secondary) at 1/500 dilution (red).
The negative controls are as follows :
-ve control 1 : ab177312 at 1/2000 dilution followed by ab150120 (AlexaFluor®594 Goat anti-Mouse secondary) at 1/500 dilution.
-ve control 2 : ab7291 (anti-Tubulin mouse mAb) at 1/1000 dilution followed by ab150077 (Alexa Fluor®488 Goat Anti-Rabbit IgG H&L) at 1/500 dilution.

ChIP-sequencing - Anti-Histone H2A (acetyl K9) antibody [EPR17471] - ChIP Grade (AB177312)
  • ChIP-seq

Unknown

ChIP-sequencing - Anti-Histone H2A (acetyl K9) antibody [EPR17471] - ChIP Grade (AB177312)

Chromatin was prepared from HeLa cells. Cells were fixed with 1% formaldehyde for 10 minutes. ChIP was performed with 10^7 HeLa cells and 4 μg of ab177312 (EPR17471). ChIP DNA was sequenced on the Illumina NovaSeq 6000 to a depth of 30 million reads. Additional screenshots of mapped reads can be downloaded here.

Western blot - Anti-Histone H2A (acetyl K9) antibody [EPR17471] - ChIP Grade (AB177312)
  • WB

Supplier Data

Western blot - Anti-Histone H2A (acetyl K9) antibody [EPR17471] - ChIP Grade (AB177312)

Blocking/Dilution buffer : 5% NFDM/TBST.

All lanes:

Western blot - Anti-Histone H2A (acetyl K9) antibody [EPR17471] - ChIP Grade (ab177312) at 1/1000 dilution

Lane 1:

HeLa (Human epithelial cells from cervix adenocarcinoma) treated with 500 ng/ml Trichostatin A for 4 hours whole cell lysates at 10 µg

Lane 2:

Untreated HeLa (Human epithelial cells from cervix adenocarcinoma) whole cell lysates at 10 µg

Secondary

All lanes:

Goat Anti-Rabbit IgG, (H+L), Peroxidase conjugated at 1/1000 dilution

Predicted band size: 14 kDa

Observed band size: 14 kDa

false

Exposure time: 30s

ChIC/CUT&RUN sequencing - Anti-Histone H2A (acetyl K9) antibody [EPR17471] - ChIP Grade (AB177312)
  • ChIC/CUT&RUN-seq

Lab

ChIC/CUT&RUN sequencing - Anti-Histone H2A (acetyl K9) antibody [EPR17471] - ChIP Grade (AB177312)

ChIC/CUT&RUN was performed using a pAG-MNase at a final concentration of 700 ng/mL, 2.5 x 10^5 HeLa (human cervical adenocarcinoma epithelial cell) cells and 5 µg of ab177312 [EPR17471]. The resulting DNA was sequenced on the Illumina NovaSeq 6000 to a depth of 10 million reads. The negative IgG control ab172730 is also shown.
The University of Geneva owns patents relevant to ChIC (Chromatin Immuno-Cleavage) methods.

ChIC/CUT&RUN sequencing - Anti-Histone H2A (acetyl K9) antibody [EPR17471] - ChIP Grade (AB177312)
  • ChIC/CUT&RUN-seq

Lab

ChIC/CUT&RUN sequencing - Anti-Histone H2A (acetyl K9) antibody [EPR17471] - ChIP Grade (AB177312)

ChIC/CUT&RUN was performed using a pAG-MNase at a final concentration of 700 ng/mL, 2.5 x 10^5 HeLa (human cervical adenocarcinoma epithelial cell) cells and 5 µg of ab177312 [EPR17471]. The resulting DNA was sequenced on the Illumina NovaSeq 6000 to a depth of 10 million reads. The negative IgG control ab172730 is also shown.
The University of Geneva owns patents relevant to ChIC (Chromatin Immuno-Cleavage) methods.

ChIC/CUT&RUN sequencing - Anti-Histone H2A (acetyl K9) antibody [EPR17471] - ChIP Grade (AB177312)
  • ChIC/CUT&RUN-seq

Lab

ChIC/CUT&RUN sequencing - Anti-Histone H2A (acetyl K9) antibody [EPR17471] - ChIP Grade (AB177312)

ChIC/CUT&RUN was performed using a pAG-MNase at a final concentration of 700 ng/mL, 2.5 x 10^5 HeLa (human cervical adenocarcinoma epithelial cell) cells and 5 µg of ab177312 [EPR17471]. The resulting DNA was sequenced on the Illumina NovaSeq 6000 to a depth of 10 million reads. The negative IgG control ab172730 is also shown.
The University of Geneva owns patents relevant to ChIC (Chromatin Immuno-Cleavage) methods.

Western blot - Anti-Histone H2A (acetyl K9) antibody [EPR17471] - ChIP Grade (AB177312)
  • WB

Supplier Data

Western blot - Anti-Histone H2A (acetyl K9) antibody [EPR17471] - ChIP Grade (AB177312)

Blocking/Dilution buffer : 5% NFDM/TBST.

All lanes:

Western blot - Anti-Histone H2A (acetyl K9) antibody [EPR17471] - ChIP Grade (ab177312) at 1/5000 dilution

Lane 1:

NIH/3T3 (Mouse embyro fibroblast cells) treated with 500 ng/ml Trichostatin A for 4 hours whole cell lysates at 10 µg

Lane 2:

Untreated NIH/3T3 (Mouse embyro fibroblast cells) whole cell lysates at 10 µg

Secondary

All lanes:

Goat Anti-Rabbit IgG, (H+L), Peroxidase conjugated at 1/1000 dilution

Predicted band size: 14 kDa

Observed band size: 14 kDa

false

Exposure time: 30s

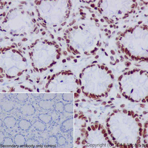
Immunohistochemistry (Formalin/PFA-fixed paraffin-embedded sections) - Anti-Histone H2A (acetyl K9) antibody [EPR17471] - ChIP Grade (AB177312)
  • IHC-P

Supplier Data

Immunohistochemistry (Formalin/PFA-fixed paraffin-embedded sections) - Anti-Histone H2A (acetyl K9) antibody [EPR17471] - ChIP Grade (AB177312)

Immunohistochemical analysis of paraffin-embedded rat colon tissue labeling Histone H2A (acetyl K9) with ab177312 at 1/4000 dilution followed by Goat Anti-Rabbit IgG H&L (HRP) (ab97051) secondary antibody at 1/500 dilution. Nucleus staining on rat colon tissue is observed. Counter stained with Hematoxylin.

Negative control : Used PBS instead of primary antibody secondary antibody is Goat Anti-Rabbit IgG H&L (HRP) (ab97051) at 1/500 dilution.

Perform heat mediated antigen retrieval with Tris/EDTA buffer pH 9.0 before commencing with IHC staining protocol.

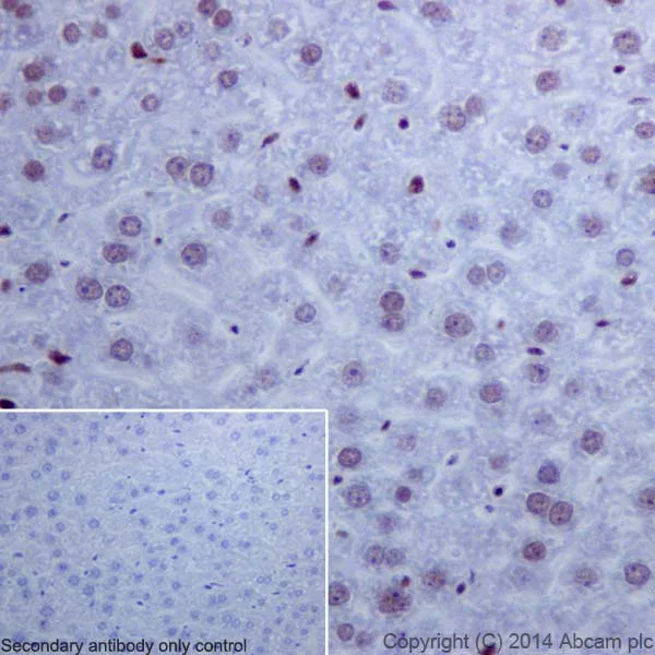
Immunohistochemistry (Formalin/PFA-fixed paraffin-embedded sections) - Anti-Histone H2A (acetyl K9) antibody [EPR17471] - ChIP Grade (AB177312)
  • IHC-P

Supplier Data

Immunohistochemistry (Formalin/PFA-fixed paraffin-embedded sections) - Anti-Histone H2A (acetyl K9) antibody [EPR17471] - ChIP Grade (AB177312)

Immunohistochemical analysis of paraffin-embedded mouse liver tissue labeling Histone H2A (acetyl K9) with ab177312 at 1/4000 dilution followed by Goat Anti-Rabbit IgG H&L (HRP) (ab97051) secondary antibody at 1/500 dilution. Nucleus staining on mouse liver tissue is observed. Counter stained with Hematoxylin.

Negative control : Used PBS instead of primary antibody secondary antibody is Goat Anti-Rabbit IgG H&L (HRP) (ab97051) at 1/500 dilution.

Perform heat mediated antigen retrieval with Tris/EDTA buffer pH 9.0 before commencing with IHC staining protocol.

Immunohistochemistry (Formalin/PFA-fixed paraffin-embedded sections) - Anti-Histone H2A (acetyl K9) antibody [EPR17471] - ChIP Grade (AB177312)
  • IHC-P

Supplier Data

Immunohistochemistry (Formalin/PFA-fixed paraffin-embedded sections) - Anti-Histone H2A (acetyl K9) antibody [EPR17471] - ChIP Grade (AB177312)

Immunohistochemical analysis of paraffin-embedded Human colon tissue labeling Histone H2A (acetyl K9) with ab177312 at 1/4000 dilution followed by Goat Anti-Rabbit IgG H&L (HRP) (ab97051) secondary antibody at 1/500 dilution. Nucleus staining on Human colon tissue is observed. Counter stained with Hematoxylin.

Negative control : Used PBS instead of primary antibody secondary antibody is Goat Anti-Rabbit IgG H&L (HRP) (ab97051) at 1/500 dilution.

Perform heat mediated antigen retrieval with Tris/EDTA buffer pH 9.0 before commencing with IHC staining protocol.

ChIP - Anti-Histone H2A (acetyl K9) antibody [EPR17471] - ChIP Grade (AB177312)
  • ChIP

Unknown

ChIP - Anti-Histone H2A (acetyl K9) antibody [EPR17471] - ChIP Grade (AB177312)

Chromatin was prepared from HeLa (Human epithelial cells from cervix adenocarcinoma) cells according to the Abcam X-ChIP protocol. Cells were fixed with formaldehyde for 10 minutes. The ChIP was performed with 25μg of chromatin 2μg of ab177312 (red) and 20μl of Anti rabbit IgG sepharose beads. 2μg of rabbit normal IgG was added to the beads control (grey). The immunoprecipitated DNA was quantified by real time PCR (Sybr green approach). Primers and probes are located in the first kb of the transcribed region.

Peptide Array - Anti-Histone H2A (acetyl K9) antibody [EPR17471] - ChIP Grade (AB177312)
  • PepArr

Supplier Data

Peptide Array - Anti-Histone H2A (acetyl K9) antibody [EPR17471] - ChIP Grade (AB177312)

ab177312 was tested in Peptide Array against 501 different modified and unmodified histone peptides; each peptide is printed on the array at six concentrations (each in triplicate).
Circle area represents affinity between the antibody and a peptide : all antigen-containing peptides are displayed as red circles, all other peptides as blue circles. The affinity is calculated as area under curve when antibody binding values are plotted against the corresponding peptide concentration. Each circle area is normalized to the peptide with the strongest affinity.
The complete dataset, including full list of all peptides and information on the position of each peptide in the diagram, is available under the Product Protocol section.

  • Carrier free

    Anti-Histone H2A (acetyl K9) antibody [EPR17471] - ChIP Grade - BSA and Azide free

Key facts

Host species

Rabbit

Clonality

Monoclonal

Clone number

EPR17471

Isotype

IgG

Carrier free

No

Reacts with

Mouse, Rat, Human

Applications

IHC-P, ICC/IF, ChIP, PepArr, ChIP-seq, WB, ChIC/CUT&RUN-seq

applications

Immunogen

The exact immunogen used to generate this antibody is proprietary information.

Reactivity data

{ "title": "Reactivity Data", "filters": { "stats": ["", "Species", "Dilution Info", "Notes"], "tabs": { "all-applications": {"fullname" : "All Applications", "shortname": "All Applications"}, "ChIP" : {"fullname" : "ChIP", "shortname":"ChIP"}, "WB" : {"fullname" : "Western blot", "shortname":"WB"}, "PepArr" : {"fullname" : "Peptide Array", "shortname":"PepArr"}, "ICCIF" : {"fullname" : "Immunocytochemistry/ Immunofluorescence", "shortname":"ICC/IF"}, "ChIPseq" : {"fullname" : "ChIP-sequencing", "shortname":"ChIP-seq"}, "IHCP" : {"fullname" : "Immunohistochemistry (Formalin/PFA-fixed paraffin-embedded sections)", "shortname":"IHC-P"}, "ChICCUTRUNseq" : {"fullname" : "ChIC/CUT&RUN sequencing", "shortname":"ChIC/CUT&RUN-seq"} }, "product-promise": { "all": "all", "testedAndGuaranteed": "tested", "guaranteed": "expected", "predicted": "predicted", "notRecommended": "not-recommended" } }, "values": { "Human": { "ChIP-species-checked": "testedAndGuaranteed", "ChIP-species-dilution-info": "2 µg for 25 µg chromatin", "ChIP-species-notes": "<p></p>", "WB-species-checked": "testedAndGuaranteed", "WB-species-dilution-info": "1/1000", "WB-species-notes": "<p></p>", "PepArr-species-checked": "testedAndGuaranteed", "PepArr-species-dilution-info": "", "PepArr-species-notes": "<p></p>", "ICCIF-species-checked": "testedAndGuaranteed", "ICCIF-species-dilution-info": "1/2000", "ICCIF-species-notes": "<p></p>", "ChIPseq-species-checked": "testedAndGuaranteed", "ChIPseq-species-dilution-info": "", "ChIPseq-species-notes": "<p></p>", "IHCP-species-checked": "testedAndGuaranteed", "IHCP-species-dilution-info": "1/4000", "IHCP-species-notes": "<p></p> Perform heat-mediated antigen retrieval with Tris/EDTA buffer pH 9.0 before commencing with IHC staining protocol.", "ChICCUTRUNseq-species-checked": "testedAndGuaranteed", "ChICCUTRUNseq-species-dilution-info": "", "ChICCUTRUNseq-species-notes": "<p></p>" }, "Mouse": { "ChIP-species-checked": "guaranteed", "ChIP-species-dilution-info": "", "ChIP-species-notes": "", "WB-species-checked": "testedAndGuaranteed", "WB-species-dilution-info": "1/1000", "WB-species-notes": "<p></p>", "PepArr-species-checked": "guaranteed", "PepArr-species-dilution-info": "", "PepArr-species-notes": "", "ICCIF-species-checked": "guaranteed", "ICCIF-species-dilution-info": "", "ICCIF-species-notes": "", "ChIPseq-species-checked": "guaranteed", "ChIPseq-species-dilution-info": "", "ChIPseq-species-notes": "", "IHCP-species-checked": "testedAndGuaranteed", "IHCP-species-dilution-info": "1/4000", "IHCP-species-notes": "<p></p> Perform heat-mediated antigen retrieval with Tris/EDTA buffer pH 9.0 before commencing with IHC staining protocol.", "ChICCUTRUNseq-species-checked": "guaranteed", "ChICCUTRUNseq-species-dilution-info": "", "ChICCUTRUNseq-species-notes": "" }, "Rat": { "ChIP-species-checked": "guaranteed", "ChIP-species-dilution-info": "", "ChIP-species-notes": "", "WB-species-checked": "guaranteed", "WB-species-dilution-info": "", "WB-species-notes": "", "PepArr-species-checked": "guaranteed", "PepArr-species-dilution-info": "", "PepArr-species-notes": "", "ICCIF-species-checked": "guaranteed", "ICCIF-species-dilution-info": "", "ICCIF-species-notes": "", "ChIPseq-species-checked": "guaranteed", "ChIPseq-species-dilution-info": "", "ChIPseq-species-notes": "", "IHCP-species-checked": "testedAndGuaranteed", "IHCP-species-dilution-info": "1/4000", "IHCP-species-notes": "<p></p> Perform heat-mediated antigen retrieval with Tris/EDTA buffer pH 9.0 before commencing with IHC staining protocol.", "ChICCUTRUNseq-species-checked": "guaranteed", "ChICCUTRUNseq-species-dilution-info": "", "ChICCUTRUNseq-species-notes": "" } } }

Product details

Patented technology
Our RabMAb® technology is a patented hybridoma-based technology for making rabbit monoclonal antibodies. For details on our patents, please refer to RabMAb® patents.

What are the advantages of a recombinant monoclonal antibody?
This product is a recombinant monoclonal antibody, which offers several advantages including:

  • - High batch-to-batch consistency and reproducibility
  • - Improved sensitivity and specificity
  • - Long-term security of supply
  • - Animal-free batch production

For more information, read more on recombinant antibodies.

Properties and storage information

Form
Liquid
Purification technique
Affinity purification Protein A
Storage buffer
Preservative: 0.01% Sodium azide Constituents: PBS, 40% Glycerol (glycerin, glycerine), 0.05% BSA
Shipped at conditions
Blue Ice
Appropriate short-term storage duration
1-2 weeks
Appropriate short-term storage conditions
+4°C
Appropriate long-term storage conditions
-20°C
Aliquoting information
Upon delivery aliquot
Storage information
Avoid freeze / thaw cycle

Product protocols

For this product, it's our understanding that no specific protocols are required. You can visit:

Target data

Core component of nucleosome. Nucleosomes wrap and compact DNA into chromatin, limiting DNA accessibility to the cellular machineries which require DNA as a template. Histones thereby play a central role in transcription regulation, DNA repair, DNA replication and chromosomal stability. DNA accessibility is regulated via a complex set of post-translational modifications of histones, also called histone code, and nucleosome remodeling.
See full target information H2AC4 acetyl K9

Publications (4)

Recent publications for all applications. Explore the full list and refine your search

Experimental and therapeutic medicine 21:334 PubMed33732307

2021

Effects of neutron radiation on Nrf2-regulated antioxidant defense systems in rat lens.

Applications

Unspecified application

Species

Unspecified reactive species

Yueqin Chen,Jundong Feng,Jingyu Liu,Hao Zhou,Huiyao Luo,Chunyan Xue,Weiping Gao

eLife 7: PubMed30346270

2018

A effector recruits a host cytoplasmic transacetylase into nuclear speckles to enhance plant susceptibility.

Applications

Unspecified application

Species

Unspecified reactive species

Haiyang Li,Haonan Wang,Maofeng Jing,Jinyi Zhu,Baodian Guo,Yang Wang,Yachun Lin,Han Chen,Liang Kong,Zhenchuan Ma,Yan Wang,Wenwu Ye,Suomeng Dong,Brett Tyler,Yuanchao Wang

Toxicology letters 295:270-276 PubMed29981922

2018

Poly (ADP-ribose) glycohydrolase silencing-mediated maintenance of H2A and downregulation of H2AK9me protect human bronchial epithelial cells from benzo(a)pyrene-induced carcinogenesis.

Applications

Unspecified application

Species

Unspecified reactive species

Zhuoying Zeng,Hailong Liu,Jianhui Yuan,Xiaohu Ren,Yanxia Deng,Wenjuan Dai,Yue Wu,Yun Huang,Ruixue Huang,Jiaofeng Liu,Haiyan Huang,Jian'an Hu

Nature genetics 49:1052-1060 PubMed28604729

2017

DNMT and HDAC inhibitors induce cryptic transcription start sites encoded in long terminal repeats.

Applications

Unspecified application

Species

Unspecified reactive species

David Brocks,Christopher R Schmidt,Michael Daskalakis,Hyo Sik Jang,Nakul M Shah,Daofeng Li,Jing Li,Bo Zhang,Yiran Hou,Sara Laudato,Daniel B Lipka,Johanna Schott,Holger Bierhoff,Yassen Assenov,Monika Helf,Alzbeta Ressnerova,Md Saiful Islam,Anders M Lindroth,Simon Haas,Marieke Essers,Charles D Imbusch,Benedikt Brors,Ina Oehme,Olaf Witt,Michael Lübbert,Jan-Philipp Mallm,Karsten Rippe,Rainer Will,Dieter Weichenhan,Georg Stoecklin,Clarissa Gerhäuser,Christopher C Oakes,Ting Wang,Christoph Plass
View all publications
peptideArrayWebsite
en

Product promise

We are committed to supporting your work with high-quality reagents, and we're here for you every step of the way. In the unlikely event that one of our products does not perform as expected, you're protected by our Product Promise.
For full details, please see our Terms & Conditions

Please note: All products are 'FOR RESEARCH USE ONLY. NOT FOR USE IN DIAGNOSTIC OR THERAPEUTIC PROCEDURES'.

For licensing inquiries, please contact partnerships@abcam.com