JavaScript is disabled in your browser. Please enable JavaScript to view this website.
AB88770

Anti-Histone H2A antibody - ChIP Grade

4

(2 Reviews)

|

(12 Publications)

Rabbit Polyclonal H2A antibody. Suitable for IHC-P, IP, ChIP, WB, ICC/IF and reacts with Human, Cow, Mouse, Caenorhabditis elegans samples. Cited in 12 publications.

View Alternative Names

H2AFM, HIST1H2AB, H2AC8, H2AFA, HIST1H2AE, H2AC4, Histone H2A type 1-B/E, Histone H2A.2, Histone H2A/a, Histone H2A/m

8 Images
Immunohistochemistry (Formalin/PFA-fixed paraffin-embedded sections) - Anti-Histone H2A antibody - ChIP Grade (AB88770)
  • IHC-P

Lab

Immunohistochemistry (Formalin/PFA-fixed paraffin-embedded sections) - Anti-Histone H2A antibody - ChIP Grade (AB88770)

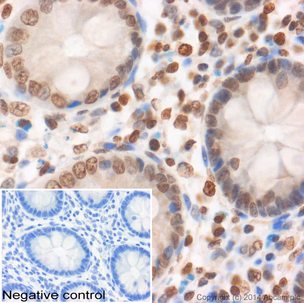
IHC image of ab88770 staining Histone H2A in human colon formalin fixed paraffin embedded tissue sections, performed on a Leica Bond. The section was pre-treated using heat mediated antigen retrieval with sodium citrate buffer (pH6, epitope retrieval solution 1) for 20 mins. The section was then incubated with ab88770, 0.1μg/ml, for 15 mins at room temperature and detected using an HRP conjugated compact polymer system. DAB was used as the chromogen. The section was then counterstained with haematoxylin and mounted with DPX. No primary antibody was used in the negative control (shown on the inset).

For other IHC staining systems (automated and non-automated) customers should optimize variable parameters such as antigen retrieval conditions, primary antibody concentration and antibody incubation times.

Immunohistochemistry (Formalin/PFA-fixed paraffin-embedded sections) - Anti-Histone H2A antibody - ChIP Grade (AB88770)
  • IHC-P

Unknown

Immunohistochemistry (Formalin/PFA-fixed paraffin-embedded sections) - Anti-Histone H2A antibody - ChIP Grade (AB88770)

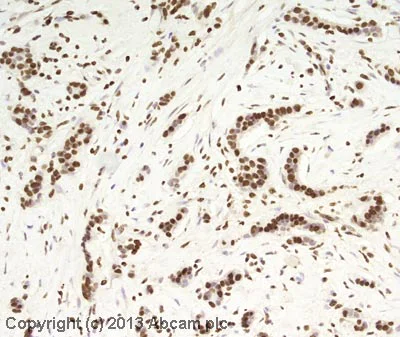
IHC image of Histone H2A staining in human breast adenocarcinoma formalin fixed paraffin embedded tissue section, performed on a Leica Bond system using the standard protocol F. The section was pre-treated using heat mediated antigen retrieval with sodium citrate buffer (pH6, epitope retrieval solution 1) for 20 mins. The section was then incubated with ab88770, 1μg/ml, for 15 mins at room temperature and detected using an HRP conjugated compact polymer system. DAB was used as the chromogen. The section was then counterstained with haematoxylin and mounted with DPX.

For other IHC staining systems (automated and non-automated) customers should optimize variable parameters such as antigen retrieval conditions, primary antibody concentration and antibody incubation times.

Immunocytochemistry/ Immunofluorescence - Anti-Histone H2A antibody - ChIP Grade (AB88770)
  • ICC/IF

Unknown

Immunocytochemistry/ Immunofluorescence - Anti-Histone H2A antibody - ChIP Grade (AB88770)

ICC/IF image of ab88770 stained HeLa cells. The cells were 100% methanol fixed (5 min) and then incubated in 1%BSA / 10% normal goat serum / 0.3M glycine in 0.1% PBS-Tween for 1h to permeabilise the cells and block non-specific protein-protein interactions. The cells were then incubated with the antibody ab88770 at 1μg/ml overnight at +4°C. The secondary antibody (green) was Alexa Fluor® 488 goat anti- rabbit IgG (H+L) used at a 1/1000 dilution for 1h. Alexa Fluor® 594 WGA was used to label plasma membranes (red) at a 1/200 dilution for 1h. DAPI was used to stain the cell nuclei (blue) at a concentration of 1.43μM. This antibody also gave a positive result in formaldehyde fixed (4%) (10min) HeLa, Hek293, HepG2, and MCF-7 cells, and in Hek293 and HepG2 Methanol (100%) (5min) fixed cells.

ChIP - Anti-Histone H2A antibody - ChIP Grade (AB88770)
  • ChIP

Lab

ChIP - Anti-Histone H2A antibody - ChIP Grade (AB88770)

Chromatin was prepared from HeLa cells according to the Abcam X-ChIP protocol. Cells were fixed with formaldehyde for 10 minutes. The ChIP was performed with 25μg of chromatin, 5μg of ab88770 (blue), and 20μl of Protein A/G sepharose beads. No antibody was added to the beads control (yellow). The immunoprecipitated DNA was quantified by real time PCR (Taqman approach for active and inactive loci, Sybr green approach for heterochromatic loci). Primers and probes are located in the first kb of the transcribed region.

Western blot - Anti-Histone H2A antibody - ChIP Grade (AB88770)
  • WB

Unknown

Western blot - Anti-Histone H2A antibody - ChIP Grade (AB88770)

All lanes:

Western blot - Anti-Histone H2A antibody - ChIP Grade (ab88770) at 1 µg/mL

Lane 1:

HeLa (Human epithelial carcinoma cell line) Whole Cell Lysate at 10 µg

Lane 2:

NIH 3T3 (Mouse embryonic fibroblast cell line) Whole Cell Lysate at 10 µg

Secondary

All lanes:

Western blot - Goat Anti-Rabbit IgG H&L (HRP) preadsorbed (<a href='/en-us/products/secondary-antibodies/goat-rabbit-igg-h-l-hrp-preadsorbed-ab97080'>ab97080</a>) at 1/5000 dilution

Predicted band size: 14 kDa

Observed band size: 100 kDa,17 kDa,36 kDa

true

Exposure time: 30s

Immunoprecipitation - Anti-Histone H2A antibody - ChIP Grade (AB88770)
  • IP

Lab

Immunoprecipitation - Anti-Histone H2A antibody - ChIP Grade (AB88770)

Histone H2A was immunoprecipitated using 0.5mg HeLa whole cell extract, 5μg of Rabbit polyclonal to and 50μl of protein G magnetic beads (+). No antibody was added to the control (-).

The antibody was incubated under agitation with Protein G beads for 10min, HeLa whole cell extract lysate diluted in RIPA buffer was added to each sample and incubated for a further 10min under agitation.

Proteins were eluted by addition of 40μl SDS loading buffer and incubated for 10min at 70°C; 10μl of each sample was separated on a SDS PAGE gel, transferred to a nitrocellulose membrane, blocked with 5% BSA and probed with ab88770.

Secondary : Mouse monoclonal [SB62a] Secondary Antibody to Rabbit IgG light chain (HRP) (ab99697).

Band : 14kDa, non specific band - 95kDa : We are unsure as to the identity of this extra band; Histone H2A

All lanes:

Immunoprecipitation - Anti-Histone H2A antibody - ChIP Grade (ab88770)

Predicted band size: 14 kDa

true

Exposure time: 20min

Western blot - Anti-Histone H2A antibody - ChIP Grade (AB88770)
  • WB

AbReview33478****

Western blot - Anti-Histone H2A antibody - ChIP Grade (AB88770)

All lanes:

Western blot - Anti-Histone H2A antibody - ChIP Grade (ab88770) at 1/1000 dilution

All lanes:

Plasmodium falciparum histone extract at 30000000 Cells

Secondary

All lanes:

HRP-conjugated goat anti-rabbit polyclonal IgG at 1/100000 dilution

Predicted band size: 14 kDa

Observed band size: 16 kDa

true

Exposure time: 1min

This image is courtesy of an anonymous Abreview

Western blot - Anti-Histone H2A antibody - ChIP Grade (AB88770)
  • WB

Unknown

Western blot - Anti-Histone H2A antibody - ChIP Grade (AB88770)

All lanes:

Western blot - Anti-Histone H2A antibody - ChIP Grade (ab88770) at 1 µg/mL

Lane 1:

Calf Thymus Histone Preparation Nuclear Lysate at 10 µg

Lane 2:

C.elegans Tissue lysate at 10 µg

Secondary

All lanes:

Western blot - Goat Anti-Rabbit IgG H&L (HRP) preadsorbed (<a href='/en-us/products/secondary-antibodies/goat-rabbit-igg-h-l-hrp-preadsorbed-ab97080'>ab97080</a>) at 1/5000 dilution

Predicted band size: 14 kDa

Observed band size: 14 kDa,17 kDa

true

Exposure time: 2min

Key facts

Host species

Rabbit

Clonality

Polyclonal

Isotype

IgG

Carrier free

No

Reacts with

Mouse, Cow, Human, Caenorhabditis elegans

Applications

ICC/IF, ChIP, IP, IHC-P, WB

applications

Immunogen

The exact immunogen used to generate this antibody is proprietary information.

Reactivity data

{ "title": "Reactivity Data", "filters": { "stats": ["", "Species", "Dilution Info", "Notes"], "tabs": { "all-applications": {"fullname" : "All Applications", "shortname": "All Applications"}, "IHCP" : {"fullname" : "Immunohistochemistry (Formalin/PFA-fixed paraffin-embedded sections)", "shortname":"IHC-P"}, "IP" : {"fullname" : "Immunoprecipitation", "shortname":"IP"}, "ChIP" : {"fullname" : "ChIP", "shortname":"ChIP"}, "WB" : {"fullname" : "Western blot", "shortname":"WB"}, "ICCIF" : {"fullname" : "Immunocytochemistry/ Immunofluorescence", "shortname":"ICC/IF"} }, "product-promise": { "all": "all", "testedAndGuaranteed": "tested", "guaranteed": "expected", "predicted": "predicted", "notRecommended": "not-recommended" } }, "values": { "Human": { "IHCP-species-checked": "testedAndGuaranteed", "IHCP-species-dilution-info": "0.1-1 µg/mL", "IHCP-species-notes": "<p></p>", "IP-species-checked": "testedAndGuaranteed", "IP-species-dilution-info": "5 µg/mL", "IP-species-notes": "<p></p>", "ChIP-species-checked": "testedAndGuaranteed", "ChIP-species-dilution-info": "5 µg for 25 µg chromatin", "ChIP-species-notes": "<p></p>", "WB-species-checked": "testedAndGuaranteed", "WB-species-dilution-info": "1 µg/mL", "WB-species-notes": "<p></p>", "ICCIF-species-checked": "testedAndGuaranteed", "ICCIF-species-dilution-info": "1 µg/mL", "ICCIF-species-notes": "<p></p>" }, "Mouse": { "IHCP-species-checked": "guaranteed", "IHCP-species-dilution-info": "", "IHCP-species-notes": "", "IP-species-checked": "guaranteed", "IP-species-dilution-info": "", "IP-species-notes": "", "ChIP-species-checked": "guaranteed", "ChIP-species-dilution-info": "", "ChIP-species-notes": "", "WB-species-checked": "testedAndGuaranteed", "WB-species-dilution-info": "1 µg/mL", "WB-species-notes": "<p></p>", "ICCIF-species-checked": "guaranteed", "ICCIF-species-dilution-info": "", "ICCIF-species-notes": "" }, "Rat": { "IHCP-species-checked": "predicted", "IHCP-species-dilution-info": "", "IHCP-species-notes": "", "IP-species-checked": "predicted", "IP-species-dilution-info": "", "IP-species-notes": "", "ChIP-species-checked": "predicted", "ChIP-species-dilution-info": "", "ChIP-species-notes": "", "WB-species-checked": "predicted", "WB-species-dilution-info": "", "WB-species-notes": "", "ICCIF-species-checked": "predicted", "ICCIF-species-dilution-info": "", "ICCIF-species-notes": "" }, "Caenorhabditis elegans": { "IHCP-species-checked": "guaranteed", "IHCP-species-dilution-info": "", "IHCP-species-notes": "", "IP-species-checked": "guaranteed", "IP-species-dilution-info": "", "IP-species-notes": "", "ChIP-species-checked": "guaranteed", "ChIP-species-dilution-info": "", "ChIP-species-notes": "", "WB-species-checked": "testedAndGuaranteed", "WB-species-dilution-info": "1 µg/mL", "WB-species-notes": "<p></p>", "ICCIF-species-checked": "guaranteed", "ICCIF-species-dilution-info": "", "ICCIF-species-notes": "" }, "Chicken": { "IHCP-species-checked": "predicted", "IHCP-species-dilution-info": "", "IHCP-species-notes": "", "IP-species-checked": "predicted", "IP-species-dilution-info": "", "IP-species-notes": "", "ChIP-species-checked": "predicted", "ChIP-species-dilution-info": "", "ChIP-species-notes": "", "WB-species-checked": "predicted", "WB-species-dilution-info": "", "WB-species-notes": "", "ICCIF-species-checked": "predicted", "ICCIF-species-dilution-info": "", "ICCIF-species-notes": "" }, "Cow": { "IHCP-species-checked": "guaranteed", "IHCP-species-dilution-info": "", "IHCP-species-notes": "", "IP-species-checked": "guaranteed", "IP-species-dilution-info": "", "IP-species-notes": "", "ChIP-species-checked": "guaranteed", "ChIP-species-dilution-info": "", "ChIP-species-notes": "", "WB-species-checked": "testedAndGuaranteed", "WB-species-dilution-info": "1 µg/mL", "WB-species-notes": "<p></p>", "ICCIF-species-checked": "guaranteed", "ICCIF-species-dilution-info": "", "ICCIF-species-notes": "" }, "Monkey": { "IHCP-species-checked": "predicted", "IHCP-species-dilution-info": "", "IHCP-species-notes": "", "IP-species-checked": "predicted", "IP-species-dilution-info": "", "IP-species-notes": "", "ChIP-species-checked": "predicted", "ChIP-species-dilution-info": "", "ChIP-species-notes": "", "WB-species-checked": "predicted", "WB-species-dilution-info": "", "WB-species-notes": "", "ICCIF-species-checked": "predicted", "ICCIF-species-dilution-info": "", "ICCIF-species-notes": "" }, "Plasmodium falciparum": { "IHCP-species-checked": "predicted", "IHCP-species-dilution-info": "", "IHCP-species-notes": "", "IP-species-checked": "predicted", "IP-species-dilution-info": "", "IP-species-notes": "", "ChIP-species-checked": "predicted", "ChIP-species-dilution-info": "", "ChIP-species-notes": "", "WB-species-checked": "predicted", "WB-species-dilution-info": "", "WB-species-notes": "", "ICCIF-species-checked": "predicted", "ICCIF-species-dilution-info": "", "ICCIF-species-notes": "" } } }

Properties and storage information

Form
Liquid
Purification technique
Affinity purification Immunogen
Storage buffer
pH: 7.4 Preservative: 0.02% Sodium azide Constituents: PBS, 1% BSA
Shipped at conditions
Blue Ice
Appropriate short-term storage duration
1-2 weeks
Appropriate short-term storage conditions
+4°C
Appropriate long-term storage conditions
-20°C
Aliquoting information
Upon delivery aliquot
Storage information
Avoid freeze / thaw cycle

Product protocols

For this product, it's our understanding that no specific protocols are required. You can visit:

Target data

Core component of nucleosome. Nucleosomes wrap and compact DNA into chromatin, limiting DNA accessibility to the cellular machineries which require DNA as a template. Histones thereby play a central role in transcription regulation, DNA repair, DNA replication and chromosomal stability. DNA accessibility is regulated via a complex set of post-translational modifications of histones, also called histone code, and nucleosome remodeling.
See full target information H2AC4

Publications (12)

Recent publications for all applications. Explore the full list and refine your search

Scientific reports 14:10150 PubMed38698090

2024

An advanced fast method for the evaluation of multiple immunolabelling using gold nanoparticles based on low-energy STEM.

Applications

Unspecified application

Species

Unspecified reactive species

František Kitzberger,Shun-Min Yang,Jiří Týč,Tomáš Bílý,Jana Nebesářová

Andrology 11:1175-1187 PubMed36746766

2023

Vital function of DRD4 in dapoxetine medicated premature ejaculation treatment.

Applications

Unspecified application

Species

Unspecified reactive species

Pan Gao,Xi Liu,Tianle Zhu,Rui Gao,Jingjing Gao,Yao Zhang,Hui Jiang,Houbao Huang,Xiansheng Zhang

mSphere 6: PubMed33441412

2021

Phosphorylation of the Canonical Histone H2A Marks Foci of Damaged DNA in Malaria Parasites.

Applications

Unspecified application

Species

Unspecified reactive species

Manish Goyal,Adina Heinberg,Vera Mitesser,Sofiya Kandelis-Shalev,Brajesh Kumar Singh,Ron Dzikowski

Science advances 6: PubMed33087356

2020

HSB-1/HSF-1 pathway modulates histone H4 in mitochondria to control mtDNA transcription and longevity.

Applications

Unspecified application

Species

Unspecified reactive species

Surojit Sural,Chung-Yi Liang,Feng-Yung Wang,Tsui-Ting Ching,Ao-Lin Hsu

PLoS pathogens 15:e1008076 PubMed31725813

2019

Chromatin dynamics and the transcriptional competence of HSV-1 genomes during lytic infections.

Applications

Unspecified application

Species

Unspecified reactive species

MiYao Hu,Daniel P Depledge,Esteban Flores Cortes,Judith Breuer,Luis M Schang

Journal of morphology 280:1170-1184 PubMed31141207

2019

Ultrastructure of spermiogenesis and the distribution of spermatozoal nuclear histones in the Japanese mantis shrimp, Oratosquilla oratoria (Crustacea: Stomatopoda).

Applications

Unspecified application

Species

Unspecified reactive species

Tingrong Chen,Zhe Sun,Shumei Mu,Lingling Jiang,Chao Li,Lu Li,Mingshen Guo,Zhaohui Zhang,Xianjiang Kang

Cell host & microbe 25:526-536.e4 PubMed30930127

2019

Neutrophil Extracellular Traps Confine Pseudomonas aeruginosa Ocular Biofilms and Restrict Brain Invasion.

Applications

Unspecified application

Species

Unspecified reactive species

Ajitha Thanabalasuriar,Brittney Noelle Vivian Scott,Moritz Peiseler,Michelle Elizabeth Willson,Zhutian Zeng,Paul Warrener,Ashley Elaine Keller,Bas Gerardus Johannes Surewaard,Elizabeth Ashley Dozier,Juha Tapio Korhonen,Lily I-Ting Cheng,Mihaela Gadjeva,C Kendall Stover,Antonio DiGiandomenico,Paul Kubes

Nature 567:535-539 PubMed30867594

2019

Histone serotonylation is a permissive modification that enhances TFIID binding to H3K4me3.

Applications

Unspecified application

Species

Unspecified reactive species

Lorna A Farrelly,Robert E Thompson,Shuai Zhao,Ashley E Lepack,Yang Lyu,Natarajan V Bhanu,Baichao Zhang,Yong-Hwee E Loh,Aarthi Ramakrishnan,Krishna C Vadodaria,Kelly J Heard,Galina Erikson,Tomoyoshi Nakadai,Ryan M Bastle,Bradley J Lukasak,Henry Zebroski,Natalia Alenina,Michael Bader,Olivier Berton,Robert G Roeder,Henrik Molina,Fred H Gage,Li Shen,Benjamin A Garcia,Haitao Li,Tom W Muir,Ian Maze

Cell reports 25:2946-2954.e5 PubMed30540930

2018

SIRT7-Dependent Deacetylation of Fibrillarin Controls Histone H2A Methylation and rRNA Synthesis during the Cell Cycle.

Applications

Unspecified application

Species

Unspecified reactive species

Aishwarya Iyer-Bierhoff,Nicolai Krogh,Peter Tessarz,Thomas Ruppert,Henrik Nielsen,Ingrid Grummt

Molecular medicine reports 19:533-540 PubMed30483749

2018

Dexmedetomidine attenuates the toxicity of β‑amyloid on neurons and astrocytes by increasing BDNF production under the regulation of HDAC2 and HDAC5.

Applications

Unspecified application

Species

Unspecified reactive species

Yueling Wang,Aijun Jia,Wenjuan Ma
View all publications

Product promise

We are committed to supporting your work with high-quality reagents, and we're here for you every step of the way. In the unlikely event that one of our products does not perform as expected, you're protected by our Product Promise.
For full details, please see our Terms & Conditions

Please note: All products are 'FOR RESEARCH USE ONLY. NOT FOR USE IN DIAGNOSTIC OR THERAPEUTIC PROCEDURES'.

For licensing inquiries, please contact partnerships@abcam.com