JavaScript is disabled in your browser. Please enable JavaScript to view this website.
AB188312

Anti-Histone H2A antibody [EPR18089] - ChIP Grade

Be the first to review this product! Submit a review

|

(4 Publications)

Rabbit Recombinant Monoclonal H2A antibody. Suitable for ChIP, WB, PepArr and reacts with Saccharomyces cerevisiae, Synthetic peptide - Saccharomyces cerevisiae samples. Cited in 4 publications.

View Alternative Names

H2A2, YBL003C, YBL0103, HTA2, Histone H2A.2

3 Images
ChIP - Anti-Histone H2A antibody [EPR18089] - ChIP Grade (AB188312)
  • ChIP

Supplier Data

ChIP - Anti-Histone H2A antibody [EPR18089] - ChIP Grade (AB188312)

Chromatin was prepared from Saccharomyces cerevisiae cells according to the Abcam X-ChIP protocol. Cells were fixed with formaldehyde for 10 minutes. The ChIP was performed with 25μg of chromatin, 2μg of ab188312 (blue), and 20μl of Anti Rabbit IgG sepharose beads. 2μg of rabbit normal IgG was added to the beads control (yellow). The immunoprecipitated DNA was quantified by real time PCR (Sybr green approach).

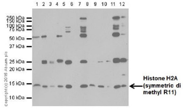
Western blot - Anti-Histone H2A antibody [EPR18089] - ChIP Grade (AB188312)
  • WB

Supplier Data

Western blot - Anti-Histone H2A antibody [EPR18089] - ChIP Grade (AB188312)

Blocking/Dilution buffer : 5% BSA/TBST.

All lanes:

Western blot - Anti-Histone H2A antibody [EPR18089] - ChIP Grade (ab188312) at 1/500 dilution

All lanes:

Saccharomyces cerevisiae lysate at 10 µg

Secondary

All lanes:

Western blot - Goat Anti-Rabbit IgG H&L (HRP) (<a href='/en-us/products/secondary-antibodies/goat-rabbit-igg-h-l-hrp-ab97051'>ab97051</a>) at 1/100000 dilution

Predicted band size: 14 kDa

Observed band size: 14 kDa

false

Exposure time: 30s

Peptide Array - Anti-Histone H2A antibody [EPR18089] - ChIP Grade (AB188312)
  • PepArr

Unknown

Peptide Array - Anti-Histone H2A antibody [EPR18089] - ChIP Grade (AB188312)

ab188312 was tested in Peptide array against 501 different modified and unmodified histone peptides; each peptide is printed on the array at six concentrations (each in triplicate).
Circle area represents affinity between the antibody and a peptide : all antigen-containing peptides are displayed as red circles, all other peptides as blue circles. The affinity is calculated as area under curve when antibody binding values are plotted against the corresponding peptide concentration. Each circle area is normalized to the peptide with the strongest affinity.
The complete dataset, including full list of all peptides and information on the position of each peptide in the diagram, is available under the Product Protocol section.

Key facts

Host species

Rabbit

Clonality

Monoclonal

Clone number

EPR18089

Isotype

IgG

Carrier free

No

Reacts with

Saccharomyces cerevisiae

Applications

PepArr, ChIP, WB

applications

Immunogen

The exact immunogen used to generate this antibody is proprietary information.

Reactivity data

{ "title": "Reactivity Data", "filters": { "stats": ["", "Species", "Dilution Info", "Notes"], "tabs": { "all-applications": {"fullname" : "All Applications", "shortname": "All Applications"}, "ChIP" : {"fullname" : "ChIP", "shortname":"ChIP"}, "WB" : {"fullname" : "Western blot", "shortname":"WB"}, "PepArr" : {"fullname" : "Peptide Array", "shortname":"PepArr"} }, "product-promise": { "all": "all", "testedAndGuaranteed": "tested", "guaranteed": "expected", "predicted": "predicted", "notRecommended": "not-recommended" } }, "values": { "Saccharomyces cerevisiae": { "ChIP-species-checked": "testedAndGuaranteed", "ChIP-species-dilution-info": "2 µg for 25 µg chromatin", "ChIP-species-notes": "<p></p>", "WB-species-checked": "testedAndGuaranteed", "WB-species-dilution-info": "1/500", "WB-species-notes": "<p></p>", "PepArr-species-checked": "guaranteed", "PepArr-species-dilution-info": "", "PepArr-species-notes": "" }, "Synthetic peptide - Saccharomyces cerevisiae": { "ChIP-species-checked": "notRecommended", "ChIP-species-dilution-info": "", "ChIP-species-notes": "", "WB-species-checked": "notRecommended", "WB-species-dilution-info": "", "WB-species-notes": "", "PepArr-species-checked": "testedAndGuaranteed", "PepArr-species-dilution-info": "", "PepArr-species-notes": "<p></p>" } } }

Product details

Patented technology
Our RabMAb® technology is a patented hybridoma-based technology for making rabbit monoclonal antibodies. For details on our patents, please refer to RabMAb® patents.

What are the advantages of a recombinant monoclonal antibody?
This product is a recombinant monoclonal antibody, which offers several advantages including:

  • - High batch-to-batch consistency and reproducibility
  • - Improved sensitivity and specificity
  • - Long-term security of supply
  • - Animal-free batch production

For more information, read more on recombinant antibodies.

Properties and storage information

Form
Liquid
Purification technique
Affinity purification Protein A
Storage buffer
pH: 7.2 - 7.4 Preservative: 0.01% Sodium azide Constituents: PBS, 40% Glycerol (glycerin, glycerine), 0.05% BSA
Shipped at conditions
Blue Ice
Appropriate short-term storage duration
1-2 weeks
Appropriate short-term storage conditions
+4°C
Appropriate long-term storage conditions
-20°C
Aliquoting information
Upon delivery aliquot
Storage information
Avoid freeze / thaw cycle

Product protocols

For this product, it's our understanding that no specific protocols are required. You can visit:

Target data

Core component of nucleosome which plays a central role in DNA double strand break (DSB) repair. Nucleosomes wrap and compact DNA into chromatin, limiting DNA accessibility to the cellular machineries which require DNA as a template. Histones thereby play a central role in transcription regulation, DNA repair, DNA replication and chromosomal stability. DNA accessibility is regulated via a complex set of post-translational modifications of histones, also called histone code, and nucleosome remodeling.
See full target information HTA2

Publications (4)

Recent publications for all applications. Explore the full list and refine your search

PLoS pathogens 20:e1012553 PubMed39312577

2024

The novel roles of RNA m6A modification in regulating the development, infection, and oxidative DNA damage repair of Phytophthora sojae.

Applications

Unspecified application

Species

Unspecified reactive species

Fan Zhang,Borui Zhang,Tongshan Cui,Shanshan Chen,Can Zhang,Zhiwen Wang,Xili Liu

Genetics 225: PubMed37440469

2023

Opi1-mediated transcriptional modulation orchestrates genotoxic stress response in budding yeast.

Applications

Unspecified application

Species

Unspecified reactive species

Giovanna Marques Panessa,Eduardo Tassoni-Tsuchida,Marina Rodrigues Pires,Rodrigo Rodrigues Felix,Rafaella Jekabson,Nadja Cristhina de Souza-Pinto,Fernanda Marques da Cunha,Onn Brandman,José Renato Rosa Cussiol

PLoS genetics 16:e1009185 PubMed33137093

2020

Opposing functions of Fng1 and the Rpd3 HDAC complex in H4 acetylation in Fusarium graminearum.

Applications

Unspecified application

Species

Unspecified reactive species

Hang Jiang,Aliang Xia,Meng Ye,Jingyi Ren,Dongao Li,Huiquan Liu,Qinhu Wang,Ping Lu,Chunlan Wu,Jin-Rong Xu,Cong Jiang

PLoS computational biology 13:e1005653 PubMed28719601

2017

CLIC, a tool for expanding biological pathways based on co-expression across thousands of datasets.

Applications

Unspecified application

Species

Unspecified reactive species

Yang Li,Alexis A Jourdain,Sarah E Calvo,Jun S Liu,Vamsi K Mootha
View all publications
peptideArrayWebsite
en

Product promise

We are committed to supporting your work with high-quality reagents, and we're here for you every step of the way. In the unlikely event that one of our products does not perform as expected, you're protected by our Product Promise.
For full details, please see our Terms & Conditions

Please note: All products are 'FOR RESEARCH USE ONLY. NOT FOR USE IN DIAGNOSTIC OR THERAPEUTIC PROCEDURES'.

For licensing inquiries, please contact partnerships@abcam.com