JavaScript is disabled in your browser. Please enable JavaScript to view this website.
AB195467

Anti-Histone H2A (crotonyl K119) antibody [EPR18769]

Be the first to review this product! Submit a review

|

(1 Publication)

Rabbit Recombinant Monoclonal H2A crotonyl K119 antibody. Suitable for Dot, WB and reacts with Synthetic peptide, Human samples. Cited in 1 publication.

View Alternative Names

H2AFM, HIST1H2AB, H2AC8, H2AFA, HIST1H2AE, H2AC4, Histone H2A type 1-B/E, Histone H2A.2, Histone H2A/a, Histone H2A/m, H2AK119cr

2 Images
Western blot - Anti-Histone H2A (crotonyl K119) antibody [EPR18769] (AB195467)
  • WB

Supplier Data

Western blot - Anti-Histone H2A (crotonyl K119) antibody [EPR18769] (AB195467)

Blocking/Dilution buffer : 5% BSA/TBST.

All lanes:

Western blot - Anti-Histone H2A (crotonyl K119) antibody [EPR18769] (ab195467) at 1/1000 dilution

All lanes:

HeLa (Human epithelial cells from cervix adenocarcinoma) whole cell lysate at 10 µg

Secondary

All lanes:

Western blot - Goat Anti-Rabbit IgG H&L (HRP) (<a href='/en-us/products/secondary-antibodies/goat-rabbit-igg-h-l-hrp-ab97051'>ab97051</a>) at 1/100000 dilution

Predicted band size: 14 kDa

Observed band size: 14 kDa

false

Exposure time: 30s

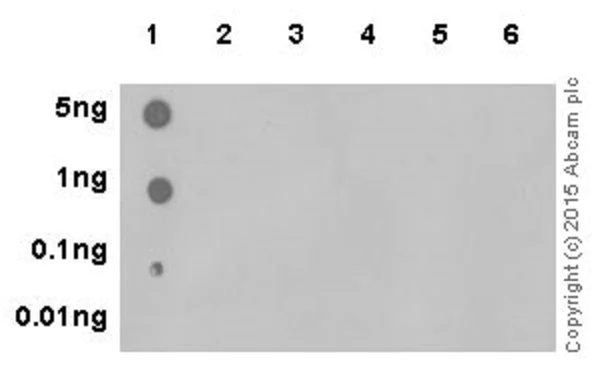
Dot Blot - Anti-Histone H2A (crotonyl K119) antibody [EPR18769] (AB195467)
  • Dot

Supplier Data

Dot Blot - Anti-Histone H2A (crotonyl K119) antibody [EPR18769] (AB195467)

Dot blot analysis of H2A K119 crotonyl peptide (Lane 1) H2A K119 ubiquitinate peptide (Lane 2) H2A.X K119 ubiquitinate peptide (Lane 3) H2A K118 formyl peptide (Lane 4) H2A.X unmodified peptide (Lane 5) and H2A unmodified peptide (Lane 6) labeled using ab195467 at 1/1000 dilution followed by Goat Anti-Rabbit IgG H+L (HRP) (ab97051) secondary antibody at 1/1000 dilution.

Blocking/Dilution buffer : 5% BSA/TBST.

Exposure time : 3 minutes.

  • Carrier free

    Anti-Histone H2A (crotonyl K119) antibody [EPR18769] - BSA and Azide free

Key facts

Host species

Rabbit

Clonality

Monoclonal

Clone number

EPR18769

Isotype

IgG

Carrier free

No

Reacts with

Human

Applications

Dot, WB

applications

Immunogen

The exact immunogen used to generate this antibody is proprietary information.

Reactivity data

{ "title": "Reactivity Data", "filters": { "stats": ["", "Species", "Dilution Info", "Notes"], "tabs": { "all-applications": {"fullname" : "All Applications", "shortname": "All Applications"}, "Dot" : {"fullname" : "Dot Blot", "shortname":"Dot"}, "WB" : {"fullname" : "Western blot", "shortname":"WB"} }, "product-promise": { "all": "all", "testedAndGuaranteed": "tested", "guaranteed": "expected", "predicted": "predicted", "notRecommended": "not-recommended" } }, "values": { "Human": { "Dot-species-checked": "guaranteed", "Dot-species-dilution-info": "", "Dot-species-notes": "", "WB-species-checked": "testedAndGuaranteed", "WB-species-dilution-info": "1/1000", "WB-species-notes": "<p></p>" }, "Synthetic peptide": { "Dot-species-checked": "testedAndGuaranteed", "Dot-species-dilution-info": "1/1000", "Dot-species-notes": "<p></p>", "WB-species-checked": "notRecommended", "WB-species-dilution-info": "", "WB-species-notes": "" } } }

Product details

Patented technology
Our RabMAb® technology is a patented hybridoma-based technology for making rabbit monoclonal antibodies. For details on our patents, please refer to RabMAb® patents.

What are the advantages of a recombinant monoclonal antibody?
This product is a recombinant monoclonal antibody, which offers several advantages including:

  • - High batch-to-batch consistency and reproducibility
  • - Improved sensitivity and specificity
  • - Long-term security of supply
  • - Animal-free batch production

For more information, read more on recombinant antibodies.

Properties and storage information

Form
Liquid
Purification technique
Affinity purification Protein A
Storage buffer
pH: 7.2 - 7.4 Preservative: 0.01% Sodium azide Constituents: PBS, 40% Glycerol (glycerin, glycerine), 0.05% BSA
Shipped at conditions
Blue Ice
Appropriate short-term storage duration
1-2 weeks
Appropriate short-term storage conditions
+4°C
Appropriate long-term storage conditions
-20°C
Aliquoting information
Upon delivery aliquot
Storage information
Avoid freeze / thaw cycle

Product protocols

For this product, it's our understanding that no specific protocols are required. You can visit:

Target data

Core component of nucleosome. Nucleosomes wrap and compact DNA into chromatin, limiting DNA accessibility to the cellular machineries which require DNA as a template. Histones thereby play a central role in transcription regulation, DNA repair, DNA replication and chromosomal stability. DNA accessibility is regulated via a complex set of post-translational modifications of histones, also called histone code, and nucleosome remodeling.
See full target information H2AC4 crotonyl K119

Publications (1)

Recent publications for all applications. Explore the full list and refine your search

Cells 12: PubMed37626845

2023

Sirtuin 6 Overexpression Improves Rotator Cuff Tendon-to-Bone Healing in the Aged.

Applications

Unspecified application

Species

Unspecified reactive species

Young Jae Moon,Baoning Cui,Se-Young Cho,Jae Won Hwang,Hee-Chung Chung,Joseph Kwon,Duwoon Kim,Kyu Yun Jang,Jung Ryul Kim,Sung Il Wang
View all publications

Product promise

We are committed to supporting your work with high-quality reagents, and we're here for you every step of the way. In the unlikely event that one of our products does not perform as expected, you're protected by our Product Promise.
For full details, please see our Terms & Conditions

Please note: All products are 'FOR RESEARCH USE ONLY. NOT FOR USE IN DIAGNOSTIC OR THERAPEUTIC PROCEDURES'.

For licensing inquiries, please contact partnerships@abcam.com