JavaScript is disabled in your browser. Please enable JavaScript to view this website.
AB249961

Anti-Histone H2A (hydroxyl Y39) antibody [EPR17683] - BSA and Azide free

Be the first to review this product! Submit a review

|

(1 Publication)

Rabbit Recombinant Monoclonal H2A hydroxy Y39 antibody. Carrier free. Suitable for WB, PepArr, IHC-P and reacts with Human, Mouse, Rat, Synthetic peptide samples. Cited in 1 publication.

View Alternative Names

H2AFM, HIST1H2AB, H2AC8, H2AFA, HIST1H2AE, H2AC4, Histone H2A type 1-B/E, Histone H2A.2, Histone H2A/a, Histone H2A/m, H2AY39y

5 Images
Immunohistochemistry (Formalin/PFA-fixed paraffin-embedded sections) - Anti-Histone H2A (hydroxyl Y39) antibody [EPR17683] - BSA and Azide free (AB249961)
  • IHC-P

Supplier Data

Immunohistochemistry (Formalin/PFA-fixed paraffin-embedded sections) - Anti-Histone H2A (hydroxyl Y39) antibody [EPR17683] - BSA and Azide free (AB249961)

This data was developed using ab177377, the same antibody clone in a different buffer formulation.

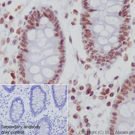
Immunohistochemical analysis of paraffin-embedded Human colon tissue labeling Histone H2A (hydroxyl Y39) with ab177377 at 1/4000 dilution, followed by Goat Anti-Rabbit IgG H&L (HRP) (ab97051) secondary antibody at 1/500 dilution. Nucleus staining on Human colon tissue is observed. Counter stained with Hematoxylin.

Secondary antibody only control : Used PBS instead of primary antibody, secondary antibody is Goat Anti-Rabbit IgG H&L (HRP) (ab97051) at 1/500 dilution.

Perform heat mediated antigen retrieval with Tris/EDTA buffer pH 9.0 before commencing with IHC staining protocol.

Immunohistochemistry (Formalin/PFA-fixed paraffin-embedded sections) - Anti-Histone H2A (hydroxyl Y39) antibody [EPR17683] - BSA and Azide free (AB249961)
  • IHC-P

Supplier Data

Immunohistochemistry (Formalin/PFA-fixed paraffin-embedded sections) - Anti-Histone H2A (hydroxyl Y39) antibody [EPR17683] - BSA and Azide free (AB249961)

This data was developed using ab177377, the same antibody clone in a different buffer formulation.

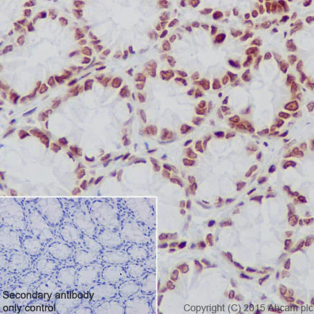
Immunohistochemical analysis of paraffin-embedded mouse colon tissue labeling Histone H2A (hydroxyl Y39) with ab177377 at 1/4000 dilution, followed by Goat Anti-Rabbit IgG H&L (HRP) (ab97051) secondary antibody at 1/500 dilution. Nucleus staining on mouse colon tissue is observed. Counter stained with Hematoxylin.

Secondary antibody only control : Used PBS instead of primary antibody, secondary antibody is Goat Anti-Rabbit IgG H&L (HRP) (ab97051) at 1/500 dilution.

Perform heat mediated antigen retrieval with Tris/EDTA buffer pH 9.0 before commencing with IHC staining protocol.

Immunohistochemistry (Formalin/PFA-fixed paraffin-embedded sections) - Anti-Histone H2A (hydroxyl Y39) antibody [EPR17683] - BSA and Azide free (AB249961)
  • IHC-P

Supplier Data

Immunohistochemistry (Formalin/PFA-fixed paraffin-embedded sections) - Anti-Histone H2A (hydroxyl Y39) antibody [EPR17683] - BSA and Azide free (AB249961)

This data was developed using ab177377, the same antibody clone in a different buffer formulation.

Immunohistochemical analysis of paraffin-embedded rat colon tissue labeling Histone H2A (hydroxyl Y39) with ab177377 at 1/4000 dilution, followed by Goat Anti-Rabbit IgG H&L (HRP) (ab97051) secondary antibody at 1/500 dilution. Nucleus staining on rat colon tissue is observed. Counter stained with Hematoxylin.

Secondary antibody only control : Used PBS instead of primary antibody, secondary antibody is Goat Anti-Rabbit IgG H&L (HRP) (ab97051) at 1/500 dilution.

Perform heat mediated antigen retrieval with Tris/EDTA buffer pH 9.0 before commencing with IHC staining protocol.

Western blot - Anti-Histone H2A (hydroxyl Y39) antibody [EPR17683] - BSA and Azide free (AB249961)
  • WB

Supplier Data

Western blot - Anti-Histone H2A (hydroxyl Y39) antibody [EPR17683] - BSA and Azide free (AB249961)

This data was developed using ab177377, the same antibody clone in a different buffer formulation.

Blocking and dilution buffer : 5% BSA /TBST.

All lanes:

Western blot - Anti-Histone H2A (hydroxyl Y39) antibody [EPR17683] (<a href='/en-us/products/primary-antibodies/histone-h2a-hydroxyl-y39-antibody-epr17683-ab177377'>ab177377</a>) at 1/2000 dilution

Lane 1:

HeLa (Human epithelial cells from cervix adenocarcinoma) cell lysate at 10 µg

Lane 2:

NIH/3T3 (Mouse embyro fibroblast cells) cell lysate at 10 µg

Secondary

All lanes:

Goat Anti-Rabbit IgG, (H+L), Peroxidase conjugated at 1/1000 dilution

Predicted band size: 14 kDa

Observed band size: 14 kDa

false

Exposure time: 1min

Peptide Array - Anti-Histone H2A (hydroxyl Y39) antibody [EPR17683] - BSA and Azide free (AB249961)
  • PepArr

Unknown

Peptide Array - Anti-Histone H2A (hydroxyl Y39) antibody [EPR17683] - BSA and Azide free (AB249961)

This data was developed using ab177377, the same antibody clone in a different buffer formulation.

ab177377 was tested in Peptide array against 501 different modified and unmodified histone peptides; each peptide is printed on the array at six concentrations (each in triplicate).
Circle area represents affinity between the antibody and a peptide : all antigen-containing peptides are displayed as red circles, all other peptides as blue circles. The affinity is calculated as area under curve when antibody binding values are plotted against the corresponding peptide concentration. Each circle area is normalized to the peptide with the strongest affinity.
The complete dataset, including full list of all peptides and information on the position of each peptide in the diagram, is available under the Product Protocol section.

  • Unconjugated

    Anti-Histone H2A (hydroxyl Y39) antibody [EPR17683]

Key facts

Host species

Rabbit

Clonality

Monoclonal

Clone number

EPR17683

Isotype

IgG

Carrier free

Yes

Reacts with

Human, Mouse, Rat

Applications

PepArr, WB, IHC-P

applications

Immunogen

The exact immunogen used to generate this antibody is proprietary information.

Reactivity data

{ "title": "Reactivity Data", "filters": { "stats": ["", "Species", "Dilution Info", "Notes"], "tabs": { "all-applications": {"fullname" : "All Applications", "shortname": "All Applications"}, "WB" : {"fullname" : "Western blot", "shortname":"WB"}, "PepArr" : {"fullname" : "Peptide Array", "shortname":"PepArr"}, "IHCP" : {"fullname" : "Immunohistochemistry (Formalin/PFA-fixed paraffin-embedded sections)", "shortname":"IHC-P"} }, "product-promise": { "all": "all", "testedAndGuaranteed": "tested", "guaranteed": "expected", "predicted": "predicted", "notRecommended": "not-recommended" } }, "values": { "Human": { "WB-species-checked": "testedAndGuaranteed", "WB-species-dilution-info": "", "WB-species-notes": "<p></p>", "PepArr-species-checked": "guaranteed", "PepArr-species-dilution-info": "", "PepArr-species-notes": "", "IHCP-species-checked": "testedAndGuaranteed", "IHCP-species-dilution-info": "", "IHCP-species-notes": "<p></p>" }, "Mouse": { "WB-species-checked": "testedAndGuaranteed", "WB-species-dilution-info": "", "WB-species-notes": "<p></p>", "PepArr-species-checked": "guaranteed", "PepArr-species-dilution-info": "", "PepArr-species-notes": "", "IHCP-species-checked": "testedAndGuaranteed", "IHCP-species-dilution-info": "", "IHCP-species-notes": "<p></p>" }, "Rat": { "WB-species-checked": "guaranteed", "WB-species-dilution-info": "", "WB-species-notes": "", "PepArr-species-checked": "guaranteed", "PepArr-species-dilution-info": "", "PepArr-species-notes": "", "IHCP-species-checked": "testedAndGuaranteed", "IHCP-species-dilution-info": "", "IHCP-species-notes": "<p></p>" }, "Synthetic peptide": { "WB-species-checked": "notRecommended", "WB-species-dilution-info": "", "WB-species-notes": "", "PepArr-species-checked": "testedAndGuaranteed", "PepArr-species-dilution-info": "", "PepArr-species-notes": "<p></p>", "IHCP-species-checked": "notRecommended", "IHCP-species-dilution-info": "", "IHCP-species-notes": "" } } }

Product details

ab249961 is the carrier-free version of ab177377.

Patented technology
Our RabMAb® technology is a patented hybridoma-based technology for making rabbit monoclonal antibodies. For details on our patents, please refer to RabMAb® patents.

What are the advantages of a recombinant monoclonal antibody?
This product is a recombinant monoclonal antibody, which offers several advantages including:

  • - High batch-to-batch consistency and reproducibility
  • - Improved sensitivity and specificity
  • - Long-term security of supply
  • - Animal-free batch production

For more information, read more on recombinant antibodies.

Conjugation ready
Our carrier-free antibodies are typically supplied in a PBS-only formulation, purified and free of BSA, sodium azide and glycerol. This conjugation-ready format is designed for use with fluorochromes, metal isotopes, oligonucleotides, and enzymes, which makes them ideal for antibody labelling, functional and cell-based assays, flow-based assays (e.g. mass cytometry) and Multiplex Imaging applications.

Use our conjugation kits for antibody conjugates that are ready-to-use in as little as 20 minutes with 1 minute hands-on-time and 100% antibody recovery: available for fluorescent dyes, HRP, biotin and gold.

Compatibility
This product is compatible with the Maxpar® Antibody Labeling Kit from Fluidigm, without the need for antibody preparation. Maxpar® is a trademark of Fluidigm Canada Inc.

Properties and storage information

Form
Liquid
Purification technique
Affinity purification Protein A
Storage buffer
pH: 7.2 - 7.4 Constituents: PBS
Shipped at conditions
Blue Ice
Appropriate short-term storage conditions
+4°C
Appropriate long-term storage conditions
+4°C
Storage information
Do Not Freeze

Product protocols

For this product, it's our understanding that no specific protocols are required. You can visit:

Target data

Core component of nucleosome. Nucleosomes wrap and compact DNA into chromatin, limiting DNA accessibility to the cellular machineries which require DNA as a template. Histones thereby play a central role in transcription regulation, DNA repair, DNA replication and chromosomal stability. DNA accessibility is regulated via a complex set of post-translational modifications of histones, also called histone code, and nucleosome remodeling.
See full target information H2AC4 hydroxy Y39

Publications (1)

Recent publications for all applications. Explore the full list and refine your search

Cell death discovery 7:357 PubMed34785642

2021

UBE2S promotes cell chemoresistance through PTEN-AKT signaling in hepatocellular carcinoma.

Applications

Unspecified application

Species

Unspecified reactive species

Liang Gui,Sicai Zhang,Yongzi Xu,Hongwei Zhang,Ying Zhu,Lianbao Kong
View all publications
peptideArrayWebsite
en

Product promise

We are committed to supporting your work with high-quality reagents, and we're here for you every step of the way. In the unlikely event that one of our products does not perform as expected, you're protected by our Product Promise.
For full details, please see our Terms & Conditions

Please note: All products are 'FOR RESEARCH USE ONLY. NOT FOR USE IN DIAGNOSTIC OR THERAPEUTIC PROCEDURES'.

For licensing inquiries, please contact partnerships@abcam.com