JavaScript is disabled in your browser. Please enable JavaScript to view this website.
AB177186

Anti-Histone H2A (mono methyl R3) + Histone H4 (mono methyl R3) antibody [EPR16995]

Be the first to review this product! Submit a review

|

(1 Publication)

Rabbit Recombinant Monoclonal H2A mono methyl R3 antibody. Suitable for IHC-P, WB, PepArr, ICC/IF and reacts with Mouse, Rat, Human samples. Cited in 1 publication.

View Alternative Names

H2AFM, HIST1H2AB, H2AC8, H2AFA, HIST1H2AE, H2AC4, Histone H2A type 1-B/E, Histone H2A.2, Histone H2A/a, Histone H2A/m, H2AR3me, H2AR3me1, H2AR3

7 Images
Western blot - Anti-Histone H2A (mono methyl R3) + Histone H4 (mono methyl R3) antibody [EPR16995] (AB177186)
  • WB

Supplier Data

Western blot - Anti-Histone H2A (mono methyl R3) + Histone H4 (mono methyl R3) antibody [EPR16995] (AB177186)

Blocking/Dilution buffer : 5% NFDM/TBST.

All lanes:

Western blot - Anti-Histone H2A (mono methyl R3) + Histone H4 (mono methyl R3) antibody [EPR16995] (ab177186) at 1/1000 dilution

All lanes:

HeLa (human epithelial cells from cervix adenocarcinoma) cell lysate at 10 µg

Secondary

All lanes:

Goat Anti-Rabbit IgG, (H+L), Peroxidase conjugated at 1/1000 dilution

Observed band size: 11 kDa

false

Exposure time: 10s

Western blot - Anti-Histone H2A (mono methyl R3) + Histone H4 (mono methyl R3) antibody [EPR16995] (AB177186)
  • WB

Supplier Data

Western blot - Anti-Histone H2A (mono methyl R3) + Histone H4 (mono methyl R3) antibody [EPR16995] (AB177186)

Blocking/Dilution buffer : 5% NFDM/TBST.

All lanes:

Western blot - Anti-Histone H2A (mono methyl R3) + Histone H4 (mono methyl R3) antibody [EPR16995] (ab177186) at 1/1000 dilution

All lanes:

NIH/3T3 (mouse embyro fibroblast cells) cell lysate at 10 µg

Secondary

All lanes:

Goat Anti-Rabbit IgG, (H+L), Peroxidase conjugated at 1/1000 dilution

Observed band size: 11 kDa

false

Exposure time: 3s

Peptide Array - Anti-Histone H2A (mono methyl R3) + Histone H4 (mono methyl R3) antibody [EPR16995] (AB177186)
  • PepArr

Supplier Data

Peptide Array - Anti-Histone H2A (mono methyl R3) + Histone H4 (mono methyl R3) antibody [EPR16995] (AB177186)

ab177186 was tested in Peptide Array against human synthetic peptides to different Histone modifications. Six dilutions of each peptide are printed on to the Peptide Array in triplicate and results are averaged before being plotted on to a graph. Results show strong binding to histone H2A R3me1peptide (ab28756) and H4 R3me1peptide(ab17770), indicating that this antibody specifically recognises the histone H2A R3me1peptide (ab28756) and H4 R3me1peptide(ab17770).

ab28756 - H2A R3me1
ab17770 - H4 R3me1
ab178994 - H2A unmod(1-30)
ab179297 - H4 unmod(1-30)

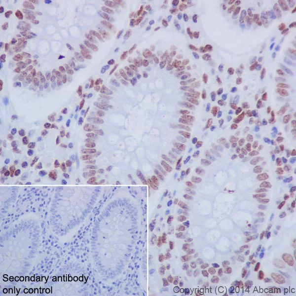
Immunohistochemistry (Formalin/PFA-fixed paraffin-embedded sections) - Anti-Histone H2A (mono methyl R3) + Histone H4 (mono methyl R3) antibody [EPR16995] (AB177186)
  • IHC-P

Supplier Data

Immunohistochemistry (Formalin/PFA-fixed paraffin-embedded sections) - Anti-Histone H2A (mono methyl R3) + Histone H4 (mono methyl R3) antibody [EPR16995] (AB177186)

Immunohistochemical analysis of paraffin-embedded Human colon tissue labeling Histone H2A (mono methyl R3) + Histone H4 (mono methyl R3) with ab177186 at 1/2000 dilution followed by Goat Anti-Rabbit IgG H&L (HRP) (ab97051) secondary antibody at 1/500 dilution. Nucleus staining on Human colon tissue is observed. Counter stained with Hematoxylin.

Secondary antibody only control : Used PBS instead of primary antibody secondary antibody is Goat Anti-Rabbit IgG H&L (HRP) (ab97051) at 1/500 dilution.

Perform heat mediated antigen retrieval with citrate buffer pH 6 before commencing with IHC staining protocol.

Immunohistochemistry (Formalin/PFA-fixed paraffin-embedded sections) - Anti-Histone H2A (mono methyl R3) + Histone H4 (mono methyl R3) antibody [EPR16995] (AB177186)
  • IHC-P

Supplier Data

Immunohistochemistry (Formalin/PFA-fixed paraffin-embedded sections) - Anti-Histone H2A (mono methyl R3) + Histone H4 (mono methyl R3) antibody [EPR16995] (AB177186)

Immunohistochemical analysis of paraffin-embedded Mouse colon tissue labeling Histone H2A (mono methyl R3) + Histone H4 (mono methyl R3) with ab177186 at 1/2000 dilution followed by Goat Anti-Rabbit IgG H&L (HRP) (ab97051) secondary antibody at 1/500 dilution. Nucleus staining on mouse colon tissue is observed. Counter stained with Hematoxylin.

Secondary antibody only control : Used PBS instead of primary antibody secondary antibody is Goat Anti-Rabbit IgG H&L (HRP) (ab97051) at 1/500 dilution.

Perform heat mediated antigen retrieval with citrate buffer pH 6 before commencing with IHC staining protocol.

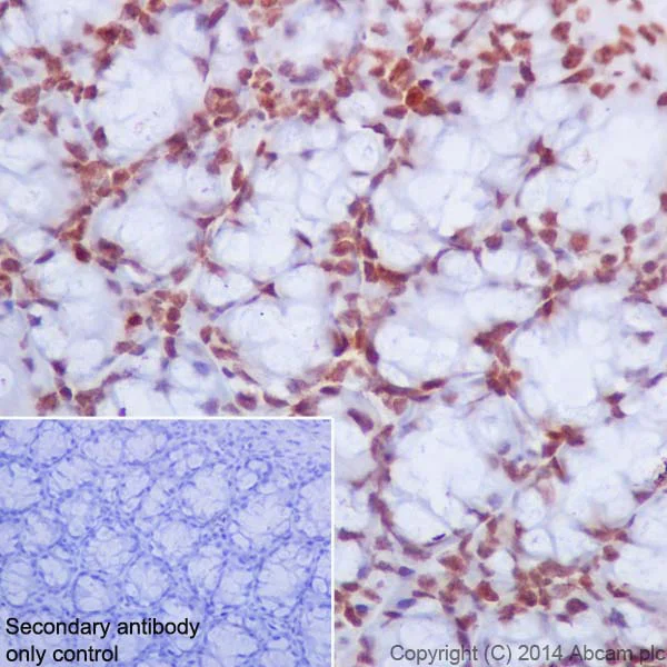
Immunohistochemistry (Formalin/PFA-fixed paraffin-embedded sections) - Anti-Histone H2A (mono methyl R3) + Histone H4 (mono methyl R3) antibody [EPR16995] (AB177186)
  • IHC-P

Supplier Data

Immunohistochemistry (Formalin/PFA-fixed paraffin-embedded sections) - Anti-Histone H2A (mono methyl R3) + Histone H4 (mono methyl R3) antibody [EPR16995] (AB177186)

Immunohistochemical analysis of paraffin-embedded Rat colon tissue labeling Histone H2A (mono methyl R3) + Histone H4 (mono methyl R3) with ab177186 at 1/2000 dilution followed by Goat Anti-Rabbit IgG H&L (HRP) (ab97051) secondary antibody at 1/500 dilution. Nucleus staining on rat colon tissue is observed. Counter stained with Hematoxylin.

Secondary antibody only control : Used PBS instead of primary antibody secondary antibody is Goat Anti-Rabbit IgG H&L (HRP) (ab97051) at 1/500 dilution.

Perform heat mediated antigen retrieval with citrate buffer pH 6 before commencing with IHC staining protocol.

Immunocytochemistry/ Immunofluorescence - Anti-Histone H2A (mono methyl R3) + Histone H4 (mono methyl R3) antibody [EPR16995] (AB177186)
  • ICC/IF

Supplier Data

Immunocytochemistry/ Immunofluorescence - Anti-Histone H2A (mono methyl R3) + Histone H4 (mono methyl R3) antibody [EPR16995] (AB177186)

Immunofluorescent analysis of 4% paraformaldehyde-fixed 0.1% Triton X-100 permeabilized HeLa (Human epithelial cells from cervix adenocarcinoma) cells labeling Histone H2A (mono methyl R3) + Histone H4 (mono methyl R3) with ab177186 at 1/2000 dilution followed by Goat anti-rabbit IgG (Alexa Fluor® 488) (ab150077) secondary antibody at 1/500 dilution (green). Confocal image showing nuclear staining on HeLa cell line. The nuclear counter stain is DAPI (blue). Tubulin is detected with ab7291 (anti-Tubulin mouse mAb) at 1/1000 dilution and ab150120 (AlexaFluor®594 Goat anti-Mouse secondary) at 1/500 dilution (red).
The negative controls are as follows :
-ve control 1 : ab177186 at 1/4000 dilution followed by ab150120 (AlexaFluor®594 Goat anti-Mouse secondary) at 1/500 dilution.
-ve control 2 : ab7291 (anti-Tubulin mouse mAb) at 1/1000 dilution followed by ab150077 (Alexa Fluor®488 Goat Anti-Rabbit IgG H&L) at 1/500 dilution.

  • Carrier free

    Anti-Histone H2A (mono methyl R3) + H4 (mono methyl R3) antibody [EPR16995] - BSA and Azide free

Key facts

Host species

Rabbit

Clonality

Monoclonal

Clone number

EPR16995

Isotype

IgG

Carrier free

No

Reacts with

Mouse, Rat, Human

Applications

WB, IHC-P, ICC/IF, PepArr

applications

Immunogen

The exact immunogen used to generate this antibody is proprietary information.

Reactivity data

{ "title": "Reactivity Data", "filters": { "stats": ["", "Species", "Dilution Info", "Notes"], "tabs": { "all-applications": {"fullname" : "All Applications", "shortname": "All Applications"}, "IHCP" : {"fullname" : "Immunohistochemistry (Formalin/PFA-fixed paraffin-embedded sections)", "shortname":"IHC-P"}, "WB" : {"fullname" : "Western blot", "shortname":"WB"}, "PepArr" : {"fullname" : "Peptide Array", "shortname":"PepArr"}, "ICCIF" : {"fullname" : "Immunocytochemistry/ Immunofluorescence", "shortname":"ICC/IF"} }, "product-promise": { "all": "all", "testedAndGuaranteed": "tested", "guaranteed": "expected", "predicted": "predicted", "notRecommended": "not-recommended" } }, "values": { "Human": { "IHCP-species-checked": "testedAndGuaranteed", "IHCP-species-dilution-info": "1/2000", "IHCP-species-notes": "<p></p> Perform heat-mediated antigen retrieval with citrate buffer pH 6 before commencing with IHC staining protocol.", "WB-species-checked": "testedAndGuaranteed", "WB-species-dilution-info": "1/1000", "WB-species-notes": "<p></p>", "PepArr-species-checked": "testedAndGuaranteed", "PepArr-species-dilution-info": "0.025 µg/mL", "PepArr-species-notes": "<p></p>", "ICCIF-species-checked": "testedAndGuaranteed", "ICCIF-species-dilution-info": "1/2000", "ICCIF-species-notes": "<p></p>" }, "Mouse": { "IHCP-species-checked": "testedAndGuaranteed", "IHCP-species-dilution-info": "1/2000", "IHCP-species-notes": "<p></p> Perform heat-mediated antigen retrieval with citrate buffer pH 6 before commencing with IHC staining protocol.", "WB-species-checked": "testedAndGuaranteed", "WB-species-dilution-info": "1/1000", "WB-species-notes": "<p></p>", "PepArr-species-checked": "guaranteed", "PepArr-species-dilution-info": "", "PepArr-species-notes": "", "ICCIF-species-checked": "guaranteed", "ICCIF-species-dilution-info": "", "ICCIF-species-notes": "" }, "Rat": { "IHCP-species-checked": "testedAndGuaranteed", "IHCP-species-dilution-info": "1/2000", "IHCP-species-notes": "<p></p> Perform heat-mediated antigen retrieval with citrate buffer pH 6 before commencing with IHC staining protocol.", "WB-species-checked": "guaranteed", "WB-species-dilution-info": "", "WB-species-notes": "", "PepArr-species-checked": "guaranteed", "PepArr-species-dilution-info": "", "PepArr-species-notes": "", "ICCIF-species-checked": "guaranteed", "ICCIF-species-dilution-info": "", "ICCIF-species-notes": "" } } }

Product details

Patented technology
Our RabMAb® technology is a patented hybridoma-based technology for making rabbit monoclonal antibodies. For details on our patents, please refer to RabMAb® patents.

Properties and storage information

Form
Liquid
Purification technique
Affinity purification Protein A
Storage buffer
Preservative: 0.01% Sodium azide Constituents: PBS, 40% Glycerol (glycerin, glycerine), 0.05% BSA
Shipped at conditions
Blue Ice
Appropriate short-term storage duration
1-2 weeks
Appropriate short-term storage conditions
+4°C
Appropriate long-term storage conditions
-20°C
Aliquoting information
Upon delivery aliquot
Storage information
Avoid freeze / thaw cycle

Product protocols

For this product, it's our understanding that no specific protocols are required. You can visit:

Target data

Core component of nucleosome. Nucleosomes wrap and compact DNA into chromatin, limiting DNA accessibility to the cellular machineries which require DNA as a template. Histones thereby play a central role in transcription regulation, DNA repair, DNA replication and chromosomal stability. DNA accessibility is regulated via a complex set of post-translational modifications of histones, also called histone code, and nucleosome remodeling.
See full target information H2AC4 mono methyl R3

Publications (1)

Recent publications for all applications. Explore the full list and refine your search

iScience 26:105935 PubMed36685041

2023

A p53-TLR3 axis ameliorates pulmonary hypertension by inducing BMPR2 via IRF3.

Applications

Unspecified application

Species

Unspecified reactive species

Aneel R Bhagwani,Mehboob Ali,Bryce Piper,Mingjun Liu,Jaylen Hudson,Neil Kelly,Srimathi Bogamuwa,Hu Yang,James D Londino,Joseph S Bednash,Daniela Farkas,Rama K Mallampalli,Mark R Nicolls,John J Ryan,A A Roger Thompson,Stephen Y Chan,Delphine Gomez,Elena A Goncharova,Laszlo Farkas
View all publications

Product promise

We are committed to supporting your work with high-quality reagents, and we're here for you every step of the way. In the unlikely event that one of our products does not perform as expected, you're protected by our Product Promise.
For full details, please see our Terms & Conditions

Associated Products

Select an associated product type
Alternative Product
Primary Antibodies

AB222765

Anti-Histone H2A (phospho S1) + Histone H4 (phospho S1) antibody [RM216]

primary-antibodies

histone-h2a-phospho-s1-histone-h4-phospho-s1-antibody-rm216-ab222765

0

(0 reviews)

Please note: All products are 'FOR RESEARCH USE ONLY. NOT FOR USE IN DIAGNOSTIC OR THERAPEUTIC PROCEDURES'.

For licensing inquiries, please contact partnerships@abcam.com