JavaScript is disabled in your browser. Please enable JavaScript to view this website.
AB177309

Anti-Histone H2A (phospho S1) + Histone H4 (phospho S1) antibody [EPR18184]

Be the first to review this product! Submit a review

|

(5 Publications)

Rabbit Recombinant Monoclonal H2A phospho S1 antibody. Suitable for Dot, WB, PepArr, ICC/IF, IHC-P and reacts with Synthetic peptide, Human, Mouse, Rat samples. Cited in 5 publications.

View Alternative Names

H2AFM, HIST1H2AB, H2AC8, H2AFA, HIST1H2AE, H2AC4, Histone H2A type 1-B/E, Histone H2A.2, Histone H2A/a, Histone H2A/m, H2AS1p

10 Images
Immunocytochemistry/ Immunofluorescence - Anti-Histone H2A (phospho S1) + Histone H4 (phospho S1) antibody [EPR18184] (AB177309)
  • ICC/IF

Supplier Data

Immunocytochemistry/ Immunofluorescence - Anti-Histone H2A (phospho S1) + Histone H4 (phospho S1) antibody [EPR18184] (AB177309)

Immunofluorescent analysis of 4% paraformaldehyde-fixed 0.1% Triton X-100 permeabilized HeLa (Human epithelial cells from cervix adenocarcinoma) cells labeling Histone H2A (phospho S1) + Histone H4 (phospho S1) with ab177309 at 1/4000 dilution followed by Goat Anti-Rabbit IgG (Alexa Fluor® 488) (ab150077) secondary antibody at 1/500 dilution (green). Confocal image showing nuclear staining on HeLa cell line. The nuclear counter stain is DAPI (blue).

Tubulin is detected with Anti-alpha Tubulin mouse MAb (ab7291) at 1/1000 dilution followed by Goat Anti-Mouse IgG H&L (Alexa Fluor® 594) (ab150120) secondary antibody at 1/500 dilution (red).

The negative controls are as follows :
-ve control 1 : ab177309 at 1/2000 dilution followed by Goat Anti-Mouse IgG H&L (Alexa Fluor® 594) (ab150120) secondary antibody at 1/500 dilution.
-ve control 2 : Anti-alpha Tubulin mouse MAb (ab7291) at 1/1000 dilution followed by Goat Anti-Rabbit IgG H&L (Alexa Fluor® 488) (ab150077) secondary antibody at 1/500 dilution.

Immunohistochemistry (Formalin/PFA-fixed paraffin-embedded sections) - Anti-Histone H2A (phospho S1) + Histone H4 (phospho S1) antibody [EPR18184] (AB177309)
  • IHC-P

Supplier Data

Immunohistochemistry (Formalin/PFA-fixed paraffin-embedded sections) - Anti-Histone H2A (phospho S1) + Histone H4 (phospho S1) antibody [EPR18184] (AB177309)

Immunohistochemical analysis of paraffin-embedded human cerebral cortex tissue labeling Histone H2A (phospho S1) + Histone H4 (phospho S1) with ab177309 at 1/500 dilution followed by Goat Anti-Rabbit IgG H&L (HRP) (ab97051) secondary antibody at 1/500 dilution.

Nuclear staining on neuron cells of human cerebral cortex is observed.

Counter stained with Hematoxylin.

Secondary antibody only control : Used PBS instead of primary antibody secondary antibody is Goat Anti-Rabbit IgG H&L (HRP) (ab97051) at 1/500 dilution.

Perform heat mediated antigen retrieval with Tris/EDTA buffer pH 9.0 before commencing with IHC staining protocol.

Immunohistochemistry (Formalin/PFA-fixed paraffin-embedded sections) - Anti-Histone H2A (phospho S1) + Histone H4 (phospho S1) antibody [EPR18184] (AB177309)
  • IHC-P

Supplier Data

Immunohistochemistry (Formalin/PFA-fixed paraffin-embedded sections) - Anti-Histone H2A (phospho S1) + Histone H4 (phospho S1) antibody [EPR18184] (AB177309)

Immunohistochemical analysis of paraffin-embedded human colon tissue labeling Histone H2A (phospho S1) + Histone H4 (phospho S1) with ab177309 at 1/500 dilution followed by Goat Anti-Rabbit IgG H&L (HRP) (ab97051) secondary antibody at 1/500 dilution.

Nuclear staining on human colon tissue is observed.

Counter stained with Hematoxylin.

Secondary antibody only control : Used PBS instead of primary antibody secondary antibody is Goat Anti-Rabbit IgG H&L (HRP) (ab97051) at 1/500 dilution.

Perform heat mediated antigen retrieval with Tris/EDTA buffer pH 9.0 before commencing with IHC staining protocol.

Immunohistochemistry (Formalin/PFA-fixed paraffin-embedded sections) - Anti-Histone H2A (phospho S1) + Histone H4 (phospho S1) antibody [EPR18184] (AB177309)
  • IHC-P

Supplier Data

Immunohistochemistry (Formalin/PFA-fixed paraffin-embedded sections) - Anti-Histone H2A (phospho S1) + Histone H4 (phospho S1) antibody [EPR18184] (AB177309)

Immunohistochemical analysis of paraffin-embedded rat brain tissue labeling Histone H2A (phospho S1) + Histone H4 (phospho S1) with ab177309 at 1/500 dilution followed by Goat Anti-Rabbit IgG H&L (HRP) (ab97051) secondary antibody at 1/500 dilution.

Nuclear staining on neuron cells of rat brain tissue is observed.

Counter stained with Hematoxylin.

Secondary antibody only control : Used PBS instead of primary antibody secondary antibody is Goat Anti-Rabbit IgG H&L (HRP) (ab97051) at 1/500 dilution.

Perform heat mediated antigen retrieval with Tris/EDTA buffer pH 9.0 before commencing with IHC staining protocol.

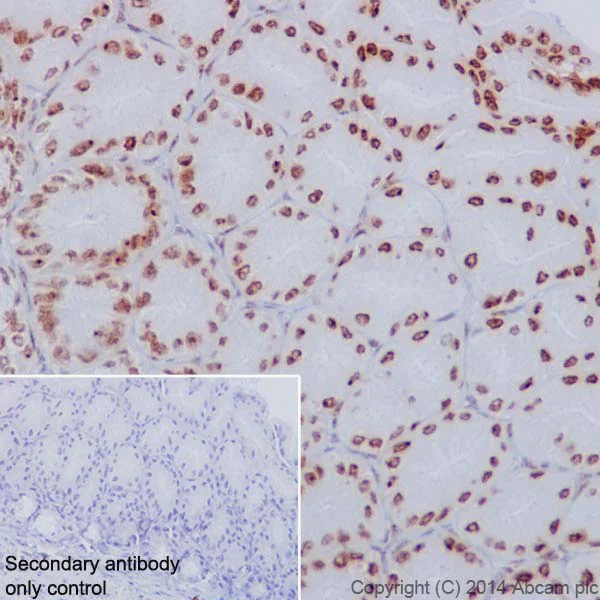
Immunohistochemistry (Formalin/PFA-fixed paraffin-embedded sections) - Anti-Histone H2A (phospho S1) + Histone H4 (phospho S1) antibody [EPR18184] (AB177309)
  • IHC-P

Supplier Data

Immunohistochemistry (Formalin/PFA-fixed paraffin-embedded sections) - Anti-Histone H2A (phospho S1) + Histone H4 (phospho S1) antibody [EPR18184] (AB177309)

Immunohistochemical analysis of paraffin-embedded mouse stomach tissue labeling Histone H2A (phospho S1) + Histone H4 (phospho S1) with ab177309 at 1/500 dilution followed by Goat Anti-Rabbit IgG H&L (HRP) (ab97051) secondary antibody at 1/500 dilution.

Nuclear staining on mouse stomach tissue is observed.

Counter stained with Hematoxylin.

Secondary antibody only control : Used PBS instead of primary antibody secondary antibody is Goat Anti-Rabbit IgG H&L (HRP) (ab97051) at 1/500 dilution.

Perform heat mediated antigen retrieval with Tris/EDTA buffer pH 9.0 before commencing with IHC staining protocol.

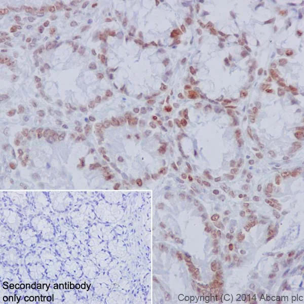
Immunohistochemistry (Formalin/PFA-fixed paraffin-embedded sections) - Anti-Histone H2A (phospho S1) + Histone H4 (phospho S1) antibody [EPR18184] (AB177309)
  • IHC-P

Supplier Data

Immunohistochemistry (Formalin/PFA-fixed paraffin-embedded sections) - Anti-Histone H2A (phospho S1) + Histone H4 (phospho S1) antibody [EPR18184] (AB177309)

Immunohistochemical analysis of paraffin-embedded rat colon tissue labeling Histone H2A (phospho S1) + Histone H4 (phospho S1) with ab177309 at 1/500 dilution followed by Goat Anti-Rabbit IgG H&L (HRP) (ab97051) secondary antibody at 1/500 dilution.

Nuclear staining on rat colon tissue is observed.

Counter stained with Hematoxylin.

Secondary antibody only control : Used PBS instead of primary antibody secondary antibody is Goat Anti-Rabbit IgG H&L (HRP) (ab97051) at 1/500 dilution.

Perform heat mediated antigen retrieval with Tris/EDTA buffer pH 9.0 before commencing with IHC staining protocol.

Immunohistochemistry (Formalin/PFA-fixed paraffin-embedded sections) - Anti-Histone H2A (phospho S1) + Histone H4 (phospho S1) antibody [EPR18184] (AB177309)
  • IHC-P

Supplier Data

Immunohistochemistry (Formalin/PFA-fixed paraffin-embedded sections) - Anti-Histone H2A (phospho S1) + Histone H4 (phospho S1) antibody [EPR18184] (AB177309)

Immunohistochemical analysis of paraffin-embedded mouse heart tissue labeling Histone H2A (phospho S1) + Histone H4 (phospho S1) with ab177309 at 1/500 dilution followed by Goat Anti-Rabbit IgG H&L (HRP) (ab97051) secondary antibody at 1/500 dilution.

Nuclear staining on mouse heart tissue is observed.

Counter stained with Hematoxylin.

Secondary antibody only control : Used PBS instead of primary antibody secondary antibody is Goat Anti-Rabbit IgG H&L (HRP) (ab97051) at 1/500 dilution.

Perform heat mediated antigen retrieval with Tris/EDTA buffer pH 9.0 before commencing with IHC staining protocol.

Western blot - Anti-Histone H2A (phospho S1) + Histone H4 (phospho S1) antibody [EPR18184] (AB177309)
  • WB

Supplier Data

Western blot - Anti-Histone H2A (phospho S1) + Histone H4 (phospho S1) antibody [EPR18184] (AB177309)

Blocking/Dilution buffer : 5% BSA/TBST.

All lanes:

Western blot - Anti-Histone H2A (phospho S1) + Histone H4 (phospho S1) antibody [EPR18184] (ab177309) at 1/500 dilution

Lane 1:

Untreated HeLa (Human epithelial cells from cervix adenocarcinoma) whole cell lysates at 10 µg

Lane 2:

HeLa (Human epithelial cells from cervix adenocarcinoma), treated with 1.5μg/ml Colcemid for 12 hours, whole cell lysate at 10 µg

Secondary

All lanes:

Goat Anti-Rabbit IgG, (H+L), Peroxidase conjugated at 1/1000 dilution

Predicted band size: 11 kDa

Observed band size: 11 kDa,14 kDa

true

Exposure time: 15s

Peptide Array - Anti-Histone H2A (phospho S1) + Histone H4 (phospho S1) antibody [EPR18184] (AB177309)
  • PepArr

Unknown

Peptide Array - Anti-Histone H2A (phospho S1) + Histone H4 (phospho S1) antibody [EPR18184] (AB177309)

ab177309 was tested in Peptide array against 501 different modified and unmodified histone peptides; each peptide is printed on the array at six concentrations (each in triplicate).
Circle area represents affinity between the antibody and a peptide : all antigen-containing peptides are displayed as red circles, all other peptides as blue circles. The affinity is calculated as area under curve when antibody binding values are plotted against the corresponding peptide concentration. Each circle area is normalized to the peptide with the strongest affinity.
The complete dataset, including full list of all peptides and information on the position of each peptide in the diagram, is available under the Product Protocol section.

Dot Blot - Anti-Histone H2A (phospho S1) + Histone H4 (phospho S1) antibody [EPR18184] (AB177309)
  • Dot

Supplier Data

Dot Blot - Anti-Histone H2A (phospho S1) + Histone H4 (phospho S1) antibody [EPR18184] (AB177309)

Dot blot analysis of Histone H2A (phospho S1) peptide (Lane 1) unmodified Histone H2A peptide (Lane 2) Histone H4 (phospho S1) peptide (Lane 3) and unmodified Histone H4 peptide (Lane 4) labeled using ab177309 at 1/1000 dilution followed by Goat Anti-Rabbit IgG (H+L) Peroxidase conjugated secondary antibody at 1/1000 dilution.

Blocking/Dilution buffer : 5% NFDM/TBST.

Exposure time : 3 minutes.

  • Carrier free

    Anti-Histone H2A (phospho S1) + Histone H4 (phospho S1) antibody [EPR18184] - BSA and Azide free

Key facts

Host species

Rabbit

Clonality

Monoclonal

Clone number

EPR18184

Isotype

IgG

Carrier free

No

Reacts with

Mouse, Rat, Human

Applications

IHC-P, PepArr, ICC/IF, Dot, WB

applications

Immunogen

The exact immunogen used to generate this antibody is proprietary information.

Reactivity data

{ "title": "Reactivity Data", "filters": { "stats": ["", "Species", "Dilution Info", "Notes"], "tabs": { "all-applications": {"fullname" : "All Applications", "shortname": "All Applications"}, "Dot" : {"fullname" : "Dot Blot", "shortname":"Dot"}, "WB" : {"fullname" : "Western blot", "shortname":"WB"}, "PepArr" : {"fullname" : "Peptide Array", "shortname":"PepArr"}, "ICCIF" : {"fullname" : "Immunocytochemistry/ Immunofluorescence", "shortname":"ICC/IF"}, "IHCP" : {"fullname" : "Immunohistochemistry (Formalin/PFA-fixed paraffin-embedded sections)", "shortname":"IHC-P"} }, "product-promise": { "all": "all", "testedAndGuaranteed": "tested", "guaranteed": "expected", "predicted": "predicted", "notRecommended": "not-recommended" } }, "values": { "Human": { "Dot-species-checked": "guaranteed", "Dot-species-dilution-info": "", "Dot-species-notes": "", "WB-species-checked": "testedAndGuaranteed", "WB-species-dilution-info": "1/500", "WB-species-notes": "<p></p>", "PepArr-species-checked": "guaranteed", "PepArr-species-dilution-info": "", "PepArr-species-notes": "", "ICCIF-species-checked": "testedAndGuaranteed", "ICCIF-species-dilution-info": "1/4000", "ICCIF-species-notes": "<p></p>", "IHCP-species-checked": "testedAndGuaranteed", "IHCP-species-dilution-info": "1/500", "IHCP-species-notes": "<p></p>" }, "Mouse": { "Dot-species-checked": "guaranteed", "Dot-species-dilution-info": "", "Dot-species-notes": "", "WB-species-checked": "guaranteed", "WB-species-dilution-info": "", "WB-species-notes": "", "PepArr-species-checked": "guaranteed", "PepArr-species-dilution-info": "", "PepArr-species-notes": "", "ICCIF-species-checked": "guaranteed", "ICCIF-species-dilution-info": "", "ICCIF-species-notes": "", "IHCP-species-checked": "testedAndGuaranteed", "IHCP-species-dilution-info": "1/500", "IHCP-species-notes": "<p></p>" }, "Rat": { "Dot-species-checked": "guaranteed", "Dot-species-dilution-info": "", "Dot-species-notes": "", "WB-species-checked": "guaranteed", "WB-species-dilution-info": "", "WB-species-notes": "", "PepArr-species-checked": "guaranteed", "PepArr-species-dilution-info": "", "PepArr-species-notes": "", "ICCIF-species-checked": "guaranteed", "ICCIF-species-dilution-info": "", "ICCIF-species-notes": "", "IHCP-species-checked": "testedAndGuaranteed", "IHCP-species-dilution-info": "1/500", "IHCP-species-notes": "<p></p>" }, "Synthetic peptide": { "Dot-species-checked": "testedAndGuaranteed", "Dot-species-dilution-info": "1/1000", "Dot-species-notes": "<p></p>", "WB-species-checked": "notRecommended", "WB-species-dilution-info": "", "WB-species-notes": "", "PepArr-species-checked": "testedAndGuaranteed", "PepArr-species-dilution-info": "", "PepArr-species-notes": "<p></p>", "ICCIF-species-checked": "notRecommended", "ICCIF-species-dilution-info": "", "ICCIF-species-notes": "", "IHCP-species-checked": "notRecommended", "IHCP-species-dilution-info": "", "IHCP-species-notes": "" } } }

Product details

Patented technology
Our RabMAb® technology is a patented hybridoma-based technology for making rabbit monoclonal antibodies. For details on our patents, please refer to RabMAb® patents.

What are the advantages of a recombinant monoclonal antibody?
This product is a recombinant monoclonal antibody, which offers several advantages including:

  • - High batch-to-batch consistency and reproducibility
  • - Improved sensitivity and specificity
  • - Long-term security of supply
  • - Animal-free batch production

For more information, read more on recombinant antibodies.

Properties and storage information

Form
Liquid
Purification technique
Affinity purification Protein A
Storage buffer
Preservative: 0.01% Sodium azide Constituents: PBS, 40% Glycerol (glycerin, glycerine), 0.05% BSA
Shipped at conditions
Blue Ice
Appropriate short-term storage duration
1-2 weeks
Appropriate short-term storage conditions
+4°C
Appropriate long-term storage conditions
-20°C
Aliquoting information
Upon delivery aliquot
Storage information
Avoid freeze / thaw cycle

Product protocols

For this product, it's our understanding that no specific protocols are required. You can visit:

Target data

Core component of nucleosome. Nucleosomes wrap and compact DNA into chromatin, limiting DNA accessibility to the cellular machineries which require DNA as a template. Histones thereby play a central role in transcription regulation, DNA repair, DNA replication and chromosomal stability. DNA accessibility is regulated via a complex set of post-translational modifications of histones, also called histone code, and nucleosome remodeling.
See full target information H2AC4 phospho S1

Publications (5)

Recent publications for all applications. Explore the full list and refine your search

Biomolecules 14: PubMed39334865

2024

Biochemical Characterisation of the Short Isoform of Histone N-Terminal Acetyltransferase NAA40.

Applications

Unspecified application

Species

Unspecified reactive species

Ariel Klavaris,Maria Kouma,Cem Ozdemir,Vicky Nicolaidou,Kyle M Miller,Costas Koufaris,Antonis Kirmizis

BMC biology 20:22 PubMed35057804

2022

Histone acetyltransferase NAA40 modulates acetyl-CoA levels and lipid synthesis.

Applications

Unspecified application

Species

Unspecified reactive species

Evelina Charidemou,Maria A Tsiarli,Andria Theophanous,Vural Yilmaz,Chrysoula Pitsouli,Katerina Strati,Julian L Griffin,Antonis Kirmizis

Oncogene 41:571-585 PubMed34785778

2021

Histone N-terminal acetyltransferase NAA40 links one-carbon metabolism to chemoresistance.

Applications

Unspecified application

Species

Unspecified reactive species

Christina Demetriadou,Anastasia Raoukka,Evelina Charidemou,Constantine Mylonas,Christina Michael,Swati Parekh,Costas Koufaris,Paris Skourides,Panagiotis Papageorgis,Peter Tessarz,Antonis Kirmizis

Environmental toxicology 35:1299-1307 PubMed32652857

2020

Acylglycerol kinase promotes the stemness of nasopharyngeal carcinoma cells by promoting β-catenin translocation to the nucleus through activating PI3K/Akt pathway.

Applications

Unspecified application

Species

Unspecified reactive species

Qi Zhao,Peng Sun,Songbing Qin,Jisheng Liu

Journal of morphology 280:1170-1184 PubMed31141207

2019

Ultrastructure of spermiogenesis and the distribution of spermatozoal nuclear histones in the Japanese mantis shrimp, Oratosquilla oratoria (Crustacea: Stomatopoda).

Applications

Unspecified application

Species

Unspecified reactive species

Tingrong Chen,Zhe Sun,Shumei Mu,Lingling Jiang,Chao Li,Lu Li,Mingshen Guo,Zhaohui Zhang,Xianjiang Kang
View all publications
peptideArrayWebsite
en

Product promise

We are committed to supporting your work with high-quality reagents, and we're here for you every step of the way. In the unlikely event that one of our products does not perform as expected, you're protected by our Product Promise.
For full details, please see our Terms & Conditions

Please note: All products are 'FOR RESEARCH USE ONLY. NOT FOR USE IN DIAGNOSTIC OR THERAPEUTIC PROCEDURES'.

For licensing inquiries, please contact partnerships@abcam.com