JavaScript is disabled in your browser. Please enable JavaScript to view this website.
AB309354

Anti-Histone H2A (symmetric di methyl R3)+Histone H4 (symmetric di methyl R3) antibody [EPR27303-14]

  • BOND RX™ Validated
  • 20ul selling size
  • RabMAb
  • Advanced Validation
  • Recombinant
  • What is this?

Be the first to review this product! Submit a review

|

(0 Publication)

Rabbit Recombinant Monoclonal Histone H4 symmetric di methyl R3 antibody. Suitable for PepArr, WB, IHC-P, ICC/IF, Flow Cyt (Intra), IP, IHC-Fr and reacts with Synthetic peptide, Human, Mouse, Rat samples.

View Alternative Names

H4/A, H4FA, HIST1H4A, H4C2, H4/I, H4FI, HIST1H4B, H4C3, H4/G, H4FG, HIST1H4C, H4C4, H4/B, H4FB, HIST1H4D, H4C5, H4/J, H4FJ, HIST1H4E, H4C6, H4/C, H4FC, HIST1H4F, H4C8, H4/H, H4FH, HIST1H4H, H4C9, H4/M, H4FM, HIST1H4I, H4C11, H4/E, H4FE, HIST1H4J, H4C12, H4/D, H4FD, HIST1H4K, H4C13, H4/K, H4FK, HIST1H4L, H4C14, H4/N, H4F2, H4FN, HIST2H4, HIST2H4A, H4C15, H4/O, H4FO, HIST2H4B, H4C16, H4-16, HIST4H4, H4C1, Histone H4, H4R3me2, H4R3me, H4R3

17 Images
Flow Cytometry (Intracellular) - Anti-Histone H2A (symmetric di methyl R3)+Histone H4 (symmetric di methyl R3) antibody [EPR27303-14] (AB309354)
  • Flow Cyt (Intra)

Supplier Data

Flow Cytometry (Intracellular) - Anti-Histone H2A (symmetric di methyl R3)+Histone H4 (symmetric di methyl R3) antibody [EPR27303-14] (AB309354)

Flow cytometric analysis of 4% paraformaldehyde fixed 90% methanol permeabilized HeLa (human cervical adenocarcinoma epithelial cell) cells labelling Histone H2A (symmetric di methyl R3) + Histone H4 (symmetric di methyl R3) with ab309354 at 1/500 dilution (0.1 ug)/Red (Red) compared with a Rabbit monoclonal IgG (ab172730) (Black) isotype control and an unlabelled control (cells without incubation with primary antibody and secondary antibody) (Blue). A Goat Anti-Rabbit IgG (Alexa Fluor® 488, ab150081) at 1/5000 dilution was used as the secondary antibody.

Immunocytochemistry/ Immunofluorescence - Anti-Histone H2A (symmetric di methyl R3)+Histone H4 (symmetric di methyl R3) antibody [EPR27303-14] (AB309354)
  • ICC/IF

Supplier Data

Immunocytochemistry/ Immunofluorescence - Anti-Histone H2A (symmetric di methyl R3)+Histone H4 (symmetric di methyl R3) antibody [EPR27303-14] (AB309354)

Immunofluorescent analysis of 100% methanol-fixed, 0.1% TritonX-100 permeabilized HeLa (human cervix adenocarcinoma epithelial cell) cells labelling Histone H2A (symmetric di methyl R3) + Histone H4 (symmetric di methyl R3) with ab309354 at 1/50 (9.14 ug/ml) dilution, followed by ab150081 Goat Anti-Rabbit IgG H&L (Alexa Fluor® 488) preadsorbed antibody at 1/1000 2 ug/ml dilution (Green). Confocal image showing nuclear staining in HeLa cell line.Image was taken with a confocal microscope(Leica-Microsystems, TCS SP8). is observed. ab195889 Anti-alpha Tubulin mouse monoclonal antibody - Microtubule Marker (Alexa Fluor® 594) was used to counterstain tubulin at 1/200 2.5ug/ml dilution (Red). The Nuclear counterstain was DAPI (Blue). Secondary antibody only control : Secondary antibody is ab150081 Goat Anti-Rabbit IgG H&L (Alexa Fluor® 488) preadsorbed at 1/1000 2 ug/ml dilution.

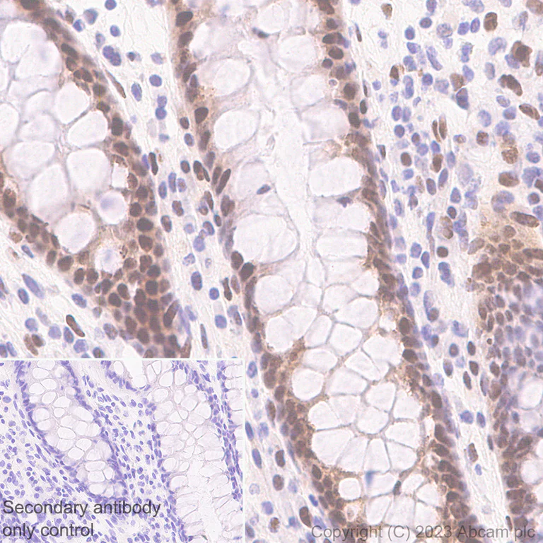
Immunohistochemistry (Formalin/PFA-fixed paraffin-embedded sections) - Anti-Histone H2A (symmetric di methyl R3) + Histone H4 (symmetric di methyl R3) antibody [EPR27303-14] (AB309354)
  • IHC-P

Supplier Data

Immunohistochemistry (Formalin/PFA-fixed paraffin-embedded sections) - Anti-Histone H2A (symmetric di methyl R3) + Histone H4 (symmetric di methyl R3) antibody [EPR27303-14] (AB309354)

Immunohistochemical analysis of paraffin-embedded Human colon tissue labeling Histone H2A (symmetric di methyl R3) + Histone H4 (symmetric di methyl R3) with ab309354 at 1/500 (0.914 ug/ml) followed by a ready to use LeicaDS9800 (Bond™ Polymer Refine Detection). Nuclear staining on human colon.The section was incubated with ab309354 for 30 mins at room temperature, incubate slides with 3% Hydrogen Peroxide for 10 mins at room temperature after secondary antibody incubation to reduce the background.The immunostaining was performed on a Leica Biosystems BOND® RX instrument Counterstained with Hematoxylin. Secondary antibody only control : Secondary antibody is a ready to use LeicaDS9800 (Bond™ Polymer Refine Detection). Heat mediated antigen retrieval was performed with Tris-EDTA buffer (pH 9.0, Epitope Retrieval Solution2) for 20 mins

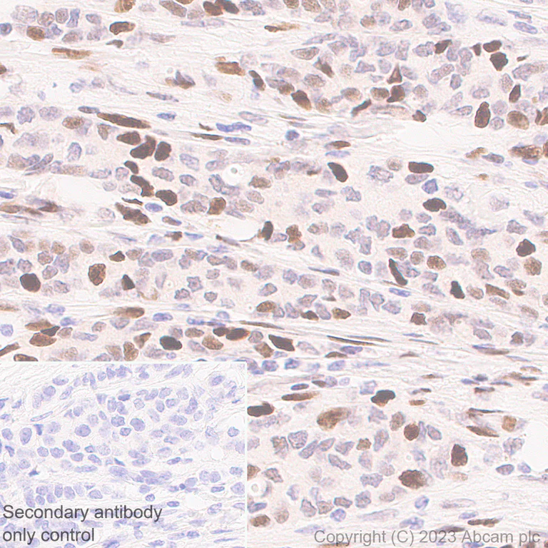
Immunohistochemistry (Formalin/PFA-fixed paraffin-embedded sections) - Anti-Histone H2A (symmetric di methyl R3) + Histone H4 (symmetric di methyl R3) antibody [EPR27303-14] (AB309354)
  • IHC-P

Supplier Data

Immunohistochemistry (Formalin/PFA-fixed paraffin-embedded sections) - Anti-Histone H2A (symmetric di methyl R3) + Histone H4 (symmetric di methyl R3) antibody [EPR27303-14] (AB309354)

Immunohistochemical analysis of paraffin-embedded Human breast cancer tissue labeling Histone H2A (symmetric di methyl R3) + Histone H4 (symmetric di methyl R3) with ab309354 at 1/500 (0.914 ug/ml) followed by a ready to use LeicaDS9800 (Bond™ Polymer Refine Detection). Nuclear staining on human breast cancer.The section was incubated with ab309354 for 30 mins at room temperature, incubate slides with 3% Hydrogen Peroxide for 10 mins at room temperature after secondary antibody incubation to reduce the background.The immunostaining was performed on a Leica Biosystems BOND® RX instrument Counterstained with Hematoxylin. Secondary antibody only control : Secondary antibody is a ready to use LeicaDS9800 (Bond™ Polymer Refine Detection). Heat mediated antigen retrieval was performed with Tris-EDTA buffer (pH 9.0, Epitope Retrieval Solution2) for 20 mins

Immunoprecipitation - Anti-Histone H2A (symmetric di methyl R3)+Histone H4 (symmetric di methyl R3) antibody [EPR27303-14] (AB309354)
  • IP

Supplier Data

Immunoprecipitation - Anti-Histone H2A (symmetric di methyl R3)+Histone H4 (symmetric di methyl R3) antibody [EPR27303-14] (AB309354)

Histone H2A (symmetric di methyl R3) + Histone H4 (symmetric di methyl R3) was immunoprecipitated from 0.35 mg HeLa (human cervix adenocarcinoma epithelial cell) whole cell lysate with ab309354 at 1/30 dilution (2ug in 0.35mg lysates). Western blot was performed on the immunoprecipitate using ab309354 at 1/1000 dilution. VeriBlot for IP secondary antibody(HRP)(ab131366) was used at 1/5000 dilution. Lane 1 : HeLa (human cervix adenocarcinoma epithelial cell) whole cell lysate Lane 2 : ab309354 IP in HeLa (human cervix adenocarcinoma epithelial cell) whole cell lysate Lane 3 : Rabbit monoclonal IgG (ab172730) instead of ab309354 in HeLa whole cell lysate Blocking and dilution buffer and concentration : 5% NFDM/TBST. Exposure time : 180 seconds

All lanes:

Immunoprecipitation - Anti-Histone H2A (symmetric di methyl R3)+Histone H4 (symmetric di methyl R3) antibody [EPR27303-14] (ab309354) at 1/30 dilution

All lanes:

HeLa (human cervix adenocarcinoma epithelial cell) whole cell lysate

Secondary

All lanes:

Immunoprecipitation - VeriBlot for IP Detection Reagent (HRP) (<a href='/en-us/products/reagents/veriblot-for-ip-detection-reagent-hrp-ab131366'>ab131366</a>) at 1/5000 dilution

false

Exposure time: 180s

Immunohistochemistry (Frozen sections) - Anti-Histone H2A (symmetric di methyl R3)+Histone H4 (symmetric di methyl R3) antibody [EPR27303-14] (AB309354)
  • IHC-Fr

Supplier Data

Immunohistochemistry (Frozen sections) - Anti-Histone H2A (symmetric di methyl R3)+Histone H4 (symmetric di methyl R3) antibody [EPR27303-14] (AB309354)

Immunohistochemical analysis of 4% PFA-fixed, 0.2% Triton X-100 permeabilized frozen Mouse colon (fresh) tissue labeling Histone H2A (symmetric di methyl R3) + Histone H4 (symmetric di methyl R3) with ab309354 at 1/50 (9.14 ug/ml) dilution followed by ab150081 Goat Anti-Rabbit IgG H&L (Alexa Fluor® 488) preadsorbed at 1/1000 2 ug/mL dilution (Green). Confocal image showing positive staining on mouse colon. The nuclear counterstain was DAPI (Blue). The section was incubated with ab309354 for 60 mins at room temperature. The section was then mounted using Fluoromount®.The immunostaining was performed on a Leica Biosystems BOND® RX instrument. Image was taken with a confocal microscope (Leica-Microsystems, TCS SP8). is observed. The nuclear counterstain was DAPI (Blue). Secondary antibody control : Secondary antibody is ab150081 Goat Anti-Rabbit IgG H&L (Alexa Fluor® 488) preadsorbedat 1/1000 2 ug/mL dilution.<\p> <\p>

Immunohistochemistry (Frozen sections) - Anti-Histone H2A (symmetric di methyl R3)+Histone H4 (symmetric di methyl R3) antibody [EPR27303-14] (AB309354)
  • IHC-Fr

Supplier Data

Immunohistochemistry (Frozen sections) - Anti-Histone H2A (symmetric di methyl R3)+Histone H4 (symmetric di methyl R3) antibody [EPR27303-14] (AB309354)

Immunohistochemical analysis of 4% PFA-fixed, 0.2% Triton X-100 permeabilized frozen Mouse pancreas (fresh) tissue labeling Histone H2A (symmetric di methyl R3) + Histone H4 (symmetric di methyl R3) with ab309354 at 1/50 (9.14 ug/ml) dilution followed by ab150081 Goat Anti-Rabbit IgG H&L (Alexa Fluor® 488) preadsorbed at 1/1000 2 ug/mL dilution (Green). Confocal image showing positive staining on mouse pancreas. The nuclear counterstain was DAPI (Blue). The section was incubated with ab309354 for 60 mins at room temperature. The section was then mounted using Fluoromount®.The immunostaining was performed on a Leica Biosystems BOND® RX instrument. Image was taken with a confocal microscope (Leica-Microsystems, TCS SP8). is observed. The nuclear counterstain was DAPI (Blue). Secondary antibody control : Secondary antibody is ab150081 Goat Anti-Rabbit IgG H&L (Alexa Fluor® 488) preadsorbedat 1/1000 2 ug/mL dilution.<\p> <\p>

Immunohistochemistry (Frozen sections) - Anti-Histone H2A (symmetric di methyl R3)+Histone H4 (symmetric di methyl R3) antibody [EPR27303-14] (AB309354)
  • IHC-Fr

Supplier Data

Immunohistochemistry (Frozen sections) - Anti-Histone H2A (symmetric di methyl R3)+Histone H4 (symmetric di methyl R3) antibody [EPR27303-14] (AB309354)

Immunohistochemical analysis of 4% PFA-fixed, 0.2% Triton X-100 permeabilized frozen Rat colon (fresh) tissue labeling Histone H2A (symmetric di methyl R3) + Histone H4 (symmetric di methyl R3) with ab309354 at 1/50 (9.14 ug/ml) dilution followed by ab150081 Goat Anti-Rabbit IgG H&L (Alexa Fluor® 488) preadsorbed at 1/1000 2 ug/mL dilution (Green). Confocal image showing positive staining on rat colon. The nuclear counterstain was DAPI (Blue). The section was incubated with ab309354 for 60 mins at room temperature. The section was then mounted using Fluoromount®.The immunostaining was performed on a Leica Biosystems BOND® RX instrument. Image was taken with a confocal microscope (Leica-Microsystems, TCS SP8). is observed. The nuclear counterstain was DAPI (Blue). Secondary antibody control : Secondary antibody is ab150081 Goat Anti-Rabbit IgG H&L (Alexa Fluor® 488) preadsorbedat 1/1000 2 ug/mL dilution.<\p> <\p>

Immunohistochemistry (Frozen sections) - Anti-Histone H2A (symmetric di methyl R3)+Histone H4 (symmetric di methyl R3) antibody [EPR27303-14] (AB309354)
  • IHC-Fr

Supplier Data

Immunohistochemistry (Frozen sections) - Anti-Histone H2A (symmetric di methyl R3)+Histone H4 (symmetric di methyl R3) antibody [EPR27303-14] (AB309354)

Immunohistochemical analysis of 4% PFA-fixed, 0.2% Triton X-100 permeabilized frozen Rat pancreas (fresh) tissue labeling Histone H2A (symmetric di methyl R3) + Histone H4 (symmetric di methyl R3) with ab309354 at 1/50 (9.14 ug/ml) dilution followed by ab150081 Goat Anti-Rabbit IgG H&L (Alexa Fluor® 488) preadsorbed at 1/1000 2 ug/mL dilution (Green). Confocal image showing positive staining on rat pancreas. The nuclear counterstain was DAPI (Blue). The section was incubated with ab309354 for 60 mins at room temperature. The section was then mounted using Fluoromount®.The immunostaining was performed on a Leica Biosystems BOND® RX instrument. Image was taken with a confocal microscope (Leica-Microsystems, TCS SP8). is observed. The nuclear counterstain was DAPI (Blue). Secondary antibody control : Secondary antibody is ab150081 Goat Anti-Rabbit IgG H&L (Alexa Fluor® 488) preadsorbedat 1/1000 2 ug/mL dilution.<\p> <\p>

Immunocytochemistry/ Immunofluorescence - Anti-Histone H2A (symmetric di methyl R3)+Histone H4 (symmetric di methyl R3) antibody [EPR27303-14] (AB309354)
  • ICC/IF

Supplier Data

Immunocytochemistry/ Immunofluorescence - Anti-Histone H2A (symmetric di methyl R3)+Histone H4 (symmetric di methyl R3) antibody [EPR27303-14] (AB309354)

Immunofluorescent analysis of 100% methanol-fixed, 0.1% TritonX-100 permeabilized MEF (mus musculus Embryo Fibroblast) cells labelling Histone H2A (symmetric di methyl R3) + Histone H4 (symmetric di methyl R3) with ab309354 at 1/50 (9.14 ug/ml) dilution, followed by ab150081 Goat Anti-Rabbit IgG H&L (Alexa Fluor® 488) preadsorbed antibody at 1/1000 2 ug/ml dilution (Green). Confocal image showing nuclear staining in MEF cell line.Image was taken with a confocal microscope(Leica-Microsystems, TCS SP8). is observed. ab195889 Anti-alpha Tubulin mouse monoclonal antibody - Microtubule Marker (Alexa Fluor® 594) was used to counterstain tubulin at 1/200 2.5ug/ml dilution (Red). The Nuclear counterstain was DAPI (Blue). Secondary antibody only control : Secondary antibody is ab150081 Goat Anti-Rabbit IgG H&L (Alexa Fluor® 488) preadsorbed at 1/1000 2 ug/ml dilution.

Flow Cytometry (Intracellular) - Anti-Histone H2A (symmetric di methyl R3)+Histone H4 (symmetric di methyl R3) antibody [EPR27303-14] (AB309354)
  • Flow Cyt (Intra)

Supplier Data

Flow Cytometry (Intracellular) - Anti-Histone H2A (symmetric di methyl R3)+Histone H4 (symmetric di methyl R3) antibody [EPR27303-14] (AB309354)

Flow cytometric analysis of 4% paraformaldehyde fixed 90% methanol permeabilized MEF (mouse embryo fibroblast) cells labelling Histone H2A (symmetric di methyl R3) + Histone H4 (symmetric di methyl R3) with ab309354 at 1/500 dilution (0.1 ug)/Red (Red) compared with a Rabbit monoclonal IgG (ab172730) (Black) isotype control and an unlabelled control (cells without incubation with primary antibody and secondary antibody) (Blue). A Goat Anti-Rabbit IgG (Alexa Fluor® 488, ab150081) at 1/5000 dilution was used as the secondary antibody.

Immunoprecipitation - Anti-Histone H2A (symmetric di methyl R3)+Histone H4 (symmetric di methyl R3) antibody [EPR27303-14] (AB309354)
  • IP

Supplier Data

Immunoprecipitation - Anti-Histone H2A (symmetric di methyl R3)+Histone H4 (symmetric di methyl R3) antibody [EPR27303-14] (AB309354)

Histone H2A (symmetric di methyl R3) + Histone H4 (symmetric di methyl R3) was immunoprecipitated from 0.35 mg MEF (mouse embryonic fibroblast (immortalized)) whole cell lysate with ab309354 at 1/30 dilution (2ug in 0.35mg lysates). Western blot was performed on the immunoprecipitate using ab309354 at 1/1000 dilution. VeriBlot for IP secondary antibody(HRP)(ab131366) was used at 1/5000 dilution. Lane 1 : MEF (mouse embryonic fibroblast (immortalized)) whole cell lysate Lane 2 : ab309354 IP in MEF (mouse embryonic fibroblast (immortalized)) whole cell lysate Lane 3 : Rabbit monoclonal IgG (ab172730) instead of ab309354 in MEF whole cell lysate Blocking and dilution buffer and concentration : 5% NFDM/TBST. Exposure time : 180 seconds

All lanes:

Immunoprecipitation - Anti-Histone H2A (symmetric di methyl R3)+Histone H4 (symmetric di methyl R3) antibody [EPR27303-14] (ab309354) at 1/30 dilution

All lanes:

MEF (mouse embryonic fibroblast (immortalized)) whole cell lysate

Secondary

All lanes:

Immunoprecipitation - VeriBlot for IP Detection Reagent (HRP) (<a href='/en-us/products/reagents/veriblot-for-ip-detection-reagent-hrp-ab131366'>ab131366</a>) at 1/5000 dilution

false

Exposure time: 180s

Western blot - Anti-Histone H2A (symmetric di methyl R3)+Histone H4 (symmetric di methyl R3) antibody [EPR27303-14] (AB309354)
  • WB

Supplier Data

Western blot - Anti-Histone H2A (symmetric di methyl R3)+Histone H4 (symmetric di methyl R3) antibody [EPR27303-14] (AB309354)

Blocking and diluting buffer and concentration : 5% NFDM/TBST.

The expression of Histone H2A (symmetric di methyl R3) + Histone H4 (symmetric di methyl R3) is downregulated in response to EPZ015666 treatment (PMID : 31249870).

In Western blot, anti-GAPDH antibody (ab181602) loading control staining at 1/200000 dilution.

This blot was developed using a high sensitivity ECL substrate. The high-sensitivity ECL substrate used allows for the detection of proteins in the mid-femtogram range.

All lanes:

Western blot - Anti-Histone H2A (symmetric di methyl R3)+Histone H4 (symmetric di methyl R3) antibody [EPR27303-14] (ab309354) at 1/1000 dilution

Lane 1:

Untreated U-2 OS (human bone osteosarcoma epithelial cell) whole cell lysate at 20 µg

Lane 2:

U-2 OS treated with 5 uM EPZ015666 for 72 hours whole cell lysate at 20 µg

Lane 3:

HeLa (human cervix adenocarcinoma epithelial cell) whole cell lysate at 20 µg

Lane 4:

MEF (mouse embryonic fibroblast (immortalized)) whole cell lysate at 20 µg

Lane 5:

C6 (rat glial tumor glial cell) whole cell lysate at 20 µg

Secondary

All lanes:

Western blot - Goat Anti-Rabbit IgG H&L (HRP) (<a href='/en-us/products/secondary-antibodies/goat-rabbit-igg-h-l-hrp-ab97051'>ab97051</a>) at 1/100000 dilution

Observed band size: 15 kDa

true

Exposure time: 180s

Western blot - Anti-Histone H2A (symmetric di methyl R3)+Histone H4 (symmetric di methyl R3) antibody [EPR27303-14] (AB309354)
  • WB

Supplier Data

Western blot - Anti-Histone H2A (symmetric di methyl R3)+Histone H4 (symmetric di methyl R3) antibody [EPR27303-14] (AB309354)

Blocking and diluting buffer and concentration : 5% NFDM/TBST The expression of Histone H2A (symmetric di methyl R3) + Histone H4 (symmetric di methyl R3) is downregulated in response to EPZ015666 treatment (PMID : 31249870). In Western blot, anti-GAPDH antibody (ab181602) loading control staining at 1/200000 dilution. Exposure time : 180 seconds

All lanes:

Western blot - Anti-Histone H2A (symmetric di methyl R3)+Histone H4 (symmetric di methyl R3) antibody [EPR27303-14] (ab309354) at 1/1000 dilution

Lane 1:

Untreated HCT116 (human colorectal carcinoma epithelial cell) whole cell lysate at 20 µg

Lane 2:

HCT116 treated with 5 uM EPZ015666 for 72 hours whole cell lysate at 20 µg

Secondary

All lanes:

Western blot - Goat Anti-Rabbit IgG H&L (HRP) (<a href='/en-us/products/secondary-antibodies/goat-rabbit-igg-h-l-hrp-ab97051'>ab97051</a>) at 1/100000 dilution

Observed band size: 15 kDa

false

Exposure time: 180s

Western blot - Anti-Histone H2A (symmetric di methyl R3)+Histone H4 (symmetric di methyl R3) antibody [EPR27303-14] (AB309354)
  • WB

Supplier Data

Western blot - Anti-Histone H2A (symmetric di methyl R3)+Histone H4 (symmetric di methyl R3) antibody [EPR27303-14] (AB309354)

Blocking and diluting buffer and concentration : 5% NFDM/TBST.

This blot was developed using a high sensitivity ECL substrate. The high-sensitivity ECL substrate used allows for the detection of proteins in the mid-femtogram range.

In Western blot, anti-GAPDH antibody (ab181602) loading control staining at 1/200000 dilution.

All lanes:

Western blot - Anti-Histone H2A (symmetric di methyl R3)+Histone H4 (symmetric di methyl R3) antibody [EPR27303-14] (ab309354) at 1/1000 dilution

Lane 1:

HeLa (human cervix adenocarcinoma epithelial cell) hitone lysate at 20 µg

Lane 2:

NIH/3T3 (mouse embryonic fibroblast) histone lysate at 20 µg

Lanes 3 - 4:

NIH/3T3 (mouse embryonic fibroblast) histone lysate

Secondary

All lanes:

Western blot - Goat Anti-Rabbit IgG H&L (HRP) (<a href='/en-us/products/secondary-antibodies/goat-rabbit-igg-h-l-hrp-ab97051'>ab97051</a>) at 1/100000 dilution

Observed band size: 15 kDa

true

Exposure time: 180s

Western blot - Anti-Histone H2A (symmetric di methyl R3)+Histone H4 (symmetric di methyl R3) antibody [EPR27303-14] (AB309354)
  • WB

Supplier Data

Western blot - Anti-Histone H2A (symmetric di methyl R3)+Histone H4 (symmetric di methyl R3) antibody [EPR27303-14] (AB309354)

Blocking and diluting buffer and concentration : 5% NFDM/TBST In Western blot, anti-GAPDH antibody (ab181602) loading control staining at 1/200000 dilution. Exposure time : 103 seconds

All lanes:

Western blot - Anti-Histone H2A (symmetric di methyl R3)+Histone H4 (symmetric di methyl R3) antibody [EPR27303-14] (ab309354) at 1/1000 dilution

All lanes:

Mouse colon tissue lysate at 20 µg

Secondary

All lanes:

Western blot - Goat Anti-Rabbit IgG H&L (HRP) (<a href='/en-us/products/secondary-antibodies/goat-rabbit-igg-h-l-hrp-ab97051'>ab97051</a>) at 1/100000 dilution

Observed band size: 15 kDa

false

Exposure time: 103s

Peptide Array - Anti-Histone H2A (symmetric di methyl R3)+Histone H4 (symmetric di methyl R3) antibody [EPR27303-14] (AB309354)
  • PepArr

Supplier Data

Peptide Array - Anti-Histone H2A (symmetric di methyl R3)+Histone H4 (symmetric di methyl R3) antibody [EPR27303-14] (AB309354)

Peptide array analysis of ab309354 at 0.1ug/ml (0.1 ug/ml) followed by a Goat Anti-Rabbit IgG (H+L) Fluo 647nm conjugated at 1 : 50000 dilution. ab309354 was tested in Peptide Array against 501 different modified and unmodified histone peptides; each peptide is printed on the array at six concentrations (each in triplicate).Circle area represents affinity between the antibody and a peptide : all antigen-containing peptides are displayed as red circles all other peptides as blue circles. The affinity is calculated as the area under the curve when antibody binding values are plotted against the corresponding peptide concentration. Each circle area is normalized to the peptide with the strongest affinity.The complete dataset including a full list of all peptides and information on the position of each peptide in the diagram can be downloaded here.

  • Carrier free

    Anti-Histone H2A (me2sR3) + Histone H4 (me2sR3) antibody [EPR27303-14] - BSA and Azide free

Key facts

Host species

Rabbit

Clonality

Monoclonal

Clone number

EPR27303-14

Isotype

IgG

Carrier free

No

Reacts with

Human, Mouse, Rat

Applications

Flow Cyt (Intra), ICC/IF, IHC-Fr, WB, IHC-P, IP, PepArr

applications

Immunogen

The exact immunogen used to generate this antibody is proprietary information.

Reactivity data

{ "title": "Reactivity Data", "filters": { "stats": ["", "Species", "Dilution Info", "Notes"], "tabs": { "all-applications": {"fullname" : "All Applications", "shortname": "All Applications"}, "PepArr" : {"fullname" : "Peptide Array", "shortname":"PepArr"}, "WB" : {"fullname" : "Western blot", "shortname":"WB"}, "IHCP" : {"fullname" : "Immunohistochemistry (Formalin/PFA-fixed paraffin-embedded sections)", "shortname":"IHC-P"}, "ICCIF" : {"fullname" : "Immunocytochemistry/ Immunofluorescence", "shortname":"ICC/IF"}, "FlowCytIntra" : {"fullname" : "Flow Cytometry (Intracellular)", "shortname":"Flow Cyt (Intra)"}, "IP" : {"fullname" : "Immunoprecipitation", "shortname":"IP"}, "IHCFr" : {"fullname" : "Immunohistochemistry (Frozen sections)", "shortname":"IHC-Fr"} }, "product-promise": { "all": "all", "testedAndGuaranteed": "tested", "guaranteed": "expected", "predicted": "predicted", "notRecommended": "not-recommended" } }, "values": { "Human": { "PepArr-species-checked": "guaranteed", "PepArr-species-dilution-info": "", "PepArr-species-notes": "", "WB-species-checked": "testedAndGuaranteed", "WB-species-dilution-info": "1/1000", "WB-species-notes": "<p></p>", "IHCP-species-checked": "testedAndGuaranteed", "IHCP-species-dilution-info": "1/500", "IHCP-species-notes": "<p></p> Perform heat-mediated antigen retrieval with Tris/EDTA buffer pH 9.0 before commencing with IHC staining protocol.", "ICCIF-species-checked": "testedAndGuaranteed", "ICCIF-species-dilution-info": "1/50", "ICCIF-species-notes": "<p></p>", "FlowCytIntra-species-checked": "testedAndGuaranteed", "FlowCytIntra-species-dilution-info": "1/500", "FlowCytIntra-species-notes": "<p></p>", "IP-species-checked": "testedAndGuaranteed", "IP-species-dilution-info": "1/30", "IP-species-notes": "<p></p>", "IHCFr-species-checked": "guaranteed", "IHCFr-species-dilution-info": "", "IHCFr-species-notes": "" }, "Mouse": { "PepArr-species-checked": "guaranteed", "PepArr-species-dilution-info": "", "PepArr-species-notes": "", "WB-species-checked": "testedAndGuaranteed", "WB-species-dilution-info": "1/1000", "WB-species-notes": "<p></p>", "IHCP-species-checked": "notRecommended", "IHCP-species-dilution-info": "", "IHCP-species-notes": "<p></p>", "ICCIF-species-checked": "testedAndGuaranteed", "ICCIF-species-dilution-info": "1/50", "ICCIF-species-notes": "<p></p>", "FlowCytIntra-species-checked": "testedAndGuaranteed", "FlowCytIntra-species-dilution-info": "1/500", "FlowCytIntra-species-notes": "<p></p>", "IP-species-checked": "testedAndGuaranteed", "IP-species-dilution-info": "1/30", "IP-species-notes": "<p></p>", "IHCFr-species-checked": "testedAndGuaranteed", "IHCFr-species-dilution-info": "1/50", "IHCFr-species-notes": "<p></p>" }, "Rat": { "PepArr-species-checked": "guaranteed", "PepArr-species-dilution-info": "", "PepArr-species-notes": "", "WB-species-checked": "testedAndGuaranteed", "WB-species-dilution-info": "1/1000", "WB-species-notes": "<p></p>", "IHCP-species-checked": "notRecommended", "IHCP-species-dilution-info": "", "IHCP-species-notes": "<p></p>", "ICCIF-species-checked": "guaranteed", "ICCIF-species-dilution-info": "", "ICCIF-species-notes": "", "FlowCytIntra-species-checked": "guaranteed", "FlowCytIntra-species-dilution-info": "", "FlowCytIntra-species-notes": "", "IP-species-checked": "guaranteed", "IP-species-dilution-info": "", "IP-species-notes": "", "IHCFr-species-checked": "testedAndGuaranteed", "IHCFr-species-dilution-info": "1/50", "IHCFr-species-notes": "<p></p>" }, "Synthetic peptide": { "PepArr-species-checked": "testedAndGuaranteed", "PepArr-species-dilution-info": "0.1 µg/mL", "PepArr-species-notes": "<p></p>", "WB-species-checked": "notRecommended", "WB-species-dilution-info": "", "WB-species-notes": "", "IHCP-species-checked": "notRecommended", "IHCP-species-dilution-info": "", "IHCP-species-notes": "", "ICCIF-species-checked": "notRecommended", "ICCIF-species-dilution-info": "", "ICCIF-species-notes": "", "FlowCytIntra-species-checked": "notRecommended", "FlowCytIntra-species-dilution-info": "", "FlowCytIntra-species-notes": "", "IP-species-checked": "notRecommended", "IP-species-dilution-info": "", "IP-species-notes": "", "IHCFr-species-checked": "notRecommended", "IHCFr-species-dilution-info": "", "IHCFr-species-notes": "" } } }

Product details

Patented technology
Our RabMAb® technology is a patented hybridoma-based technology for making rabbit monoclonal antibodies. For details on our patents, please refer to RabMAb® patents.

What are the advantages of a recombinant monoclonal antibody?
This product is a recombinant monoclonal antibody, which offers several advantages including:

  • - High batch-to-batch consistency and reproducibility
  • - Improved sensitivity and specificity
  • - Long-term security of supply
  • - Animal-free batch production

For more information, read more on recombinant antibodies.

Properties and storage information

Form
Liquid
Purification technique
Affinity purification Protein A
Storage buffer
pH: 7.2 - 7.4 Preservative: 0.01% Sodium azide Constituents: PBS, 40% Glycerol (glycerin, glycerine), 0.05% BSA
Shipped at conditions
Blue Ice
Appropriate short-term storage duration
1-2 weeks
Appropriate short-term storage conditions
+4°C
Appropriate long-term storage conditions
-20°C
Aliquoting information
Upon delivery aliquot
Storage information
Avoid freeze / thaw cycle

Product protocols

For this product, it's our understanding that no specific protocols are required. You can visit:

Target data

Core component of nucleosome. Nucleosomes wrap and compact DNA into chromatin, limiting DNA accessibility to the cellular machineries which require DNA as a template. Histones thereby play a central role in transcription regulation, DNA repair, DNA replication and chromosomal stability. DNA accessibility is regulated via a complex set of post-translational modifications of histones, also called histone code, and nucleosome remodeling.
See full target information H4C1 symmetric di methyl R3

Additional targets

H2AC4 symmetric di methyl R3

Product promise

We are committed to supporting your work with high-quality reagents, and we're here for you every step of the way. In the unlikely event that one of our products does not perform as expected, you're protected by our Product Promise.
For full details, please see our Terms & Conditions

Please note: All products are 'FOR RESEARCH USE ONLY. NOT FOR USE IN DIAGNOSTIC OR THERAPEUTIC PROCEDURES'.

For licensing inquiries, please contact partnerships@abcam.com