JavaScript is disabled in your browser. Please enable JavaScript to view this website.
AB177863

Anti-Histone H2A.X (acetyl K5) + Histone H2A (acetyl K5) antibody [EPR17589] - ChIP Grade

  • 20ul selling size
  • RabMAb
  • Advanced Validation
  • Recombinant
  • What is this?

Be the first to review this product! Submit a review

|

(2 Publications)

Rabbit Recombinant Monoclonal H2A.X acetyl K5 antibody. Suitable for ChIP, WB, PepArr, ICC/IF, IHC-P and reacts with Human, Mouse, Rat samples. Cited in 2 publications.

View Alternative Names

H2AFX, H2AX, Histone H2AX, H2a/x, Histone H2A.X, H2AK5ac, H2AXK5ac, H2A.XK5ac

8 Images
Immunohistochemistry (Formalin/PFA-fixed paraffin-embedded sections) - Anti-Histone H2A.X (acetyl K5) + Histone H2A (acetyl K5) antibody [EPR17589] - ChIP Grade (AB177863)
  • IHC-P

Supplier Data

Immunohistochemistry (Formalin/PFA-fixed paraffin-embedded sections) - Anti-Histone H2A.X (acetyl K5) + Histone H2A (acetyl K5) antibody [EPR17589] - ChIP Grade (AB177863)

Immunohistochemical analysis of paraffin-embedded human colon tissue labeling Histone H2A.X (acetyl K5) + Histone H2A (acetyl K5) with ab177863 at 1/400 dilution followed by Goat Anti-Rabbit IgG H&L (HRP) (ab97051) secondary antibody at 1/500 dilution. Nuclear staining on human colon tissue is observed. Counter stained with Hematoxylin.

Negative control : Used PBS instead of primary antibody secondary antibody is Goat Anti-Rabbit IgG H&L (HRP) (ab97051) at 1/500 dilution.

Perform heat mediated antigen retrieval with Tris/EDTA buffer pH 9.0 before commencing with IHC staining protocol.

Immunocytochemistry/ Immunofluorescence - Anti-Histone H2A.X (acetyl K5) + Histone H2A (acetyl K5) antibody [EPR17589] - ChIP Grade (AB177863)
  • ICC/IF

Supplier Data

Immunocytochemistry/ Immunofluorescence - Anti-Histone H2A.X (acetyl K5) + Histone H2A (acetyl K5) antibody [EPR17589] - ChIP Grade (AB177863)

Immunofluorescent analysis of 4% paraformaldehyde-fixed 0.1% Triton X-100 permeabilized HeLa (Human epithelial cells from cervix adenocarcinoma) cell line labeling Histone H2A.X (acetyl K5) + Histone H2A (acetyl K5) with ab177863 at 1/400 dilution followed by Goat Anti-Rabbit IgG H&L (Alexa Fluor® 488) (ab150077) secondary antibody at 1/500 dilution (green). Confocal image showing nuclear staining on HeLa cell line. Acetylation level increased after treatment with Trichostatin A (500 ng/ml) for 4 hours. The nuclear counter stain is DAPI (blue).

Tubulin is detected with Anti-alpha Tubulin mouse MAb (ab7291) at 1/1000 dilution followed by Goat Anti-Mouse IgG H&L (Alexa Fluor® 594) (ab150120) secondary antibody at 1/500 dilution (red).
The negative controls are as follows :
-ve control 1 : ab177863 at 1/400 dilution followed by Goat Anti-Mouse IgG H&L (Alexa Fluor® 594) (ab150120) secondary antibody at 1/500 dilution.
-ve control 2 : Anti-alpha Tubulin mouse MAb (ab7291) at 1/1000 dilution followed by Goat Anti-Rabbit IgG H&L (Alexa Fluor® 488) (ab150077) secondary antibody at 1/500 dilution.

ChIP - Anti-Histone H2A.X (acetyl K5) + Histone H2A (acetyl K5) antibody [EPR17589] - ChIP Grade (AB177863)
  • ChIP

Unknown

ChIP - Anti-Histone H2A.X (acetyl K5) + Histone H2A (acetyl K5) antibody [EPR17589] - ChIP Grade (AB177863)

Chromatin was prepared from HeLa (Human epithelial cells from cervix adenocarcinoma) cells according to the Abcam X-ChIP protocol. Cells were fixed with formaldehyde for 10 minutes. The ChIP was performed with 25μg of chromatin 2μg of ab177863(red) and 20μl of Anti rabbit IgG sepharose beads. 2μg of rabbit normal IgG was added to the beads control (grey). The immunoprecipitated DNA was quantified by real time PCR (Sybr green approach). Primers and probes are located in the first kb of the transcribed region.

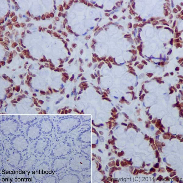
Immunohistochemistry (Formalin/PFA-fixed paraffin-embedded sections) - Anti-Histone H2A.X (acetyl K5) + Histone H2A (acetyl K5) antibody [EPR17589] - ChIP Grade (AB177863)
  • IHC-P

Supplier Data

Immunohistochemistry (Formalin/PFA-fixed paraffin-embedded sections) - Anti-Histone H2A.X (acetyl K5) + Histone H2A (acetyl K5) antibody [EPR17589] - ChIP Grade (AB177863)

Immunohistochemical analysis of paraffin-embedded mouse colon tissue labeling Histone H2A.X (acetyl K5) + Histone H2A (acetyl K5) with ab177863 at 1/400 dilution followed by Goat Anti-Rabbit IgG H&L (HRP) (ab97051) secondary antibody at 1/500 dilution. Nuclear staining on mouse colon tissue is observed. Counter stained with Hematoxylin.

Negative control : Used PBS instead of primary antibody secondary antibody is Goat Anti-Rabbit IgG H&L (HRP) (ab97051) at 1/500 dilution.

Perform heat mediated antigen retrieval with Tris/EDTA buffer pH 9.0 before commencing with IHC staining protocol.

Immunohistochemistry (Formalin/PFA-fixed paraffin-embedded sections) - Anti-Histone H2A.X (acetyl K5) + Histone H2A (acetyl K5) antibody [EPR17589] - ChIP Grade (AB177863)
  • IHC-P

Supplier Data

Immunohistochemistry (Formalin/PFA-fixed paraffin-embedded sections) - Anti-Histone H2A.X (acetyl K5) + Histone H2A (acetyl K5) antibody [EPR17589] - ChIP Grade (AB177863)

Immunohistochemical analysis of paraffin-embedded rat colon tissue labeling Histone H2A.X (acetyl K5) + Histone H2A (acetyl K5) with ab177863 at 1/400 dilution followed by Goat Anti-Rabbit IgG H&L (HRP) (ab97051) secondary antibody at 1/500 dilution. Nuclear staining on rat colon tissue is observed. Counter stained with Hematoxylin.

Negative control : Used PBS instead of primary antibody secondary antibody is Goat Anti-Rabbit IgG H&L (HRP) (ab97051) at 1/500 dilution.

Perform heat mediated antigen retrieval with Tris/EDTA buffer pH 9.0 before commencing with IHC staining protocol.

Western blot - Anti-Histone H2A.X (acetyl K5) + Histone H2A (acetyl K5) antibody [EPR17589] - ChIP Grade (AB177863)
  • WB

Supplier Data

Western blot - Anti-Histone H2A.X (acetyl K5) + Histone H2A (acetyl K5) antibody [EPR17589] - ChIP Grade (AB177863)

Blocking/Dilution buffer : 5% NFDM/TBST.

All lanes:

Western blot - Anti-Histone H2A.X (acetyl K5) + Histone H2A (acetyl K5) antibody [EPR17589] - ChIP Grade (ab177863) at 1/4000 dilution

Lane 1:

HeLa (Human epithelial cell line from cervix adenocarcinoma) treated with 500 ng/ml Trichostatin A for 4 hours. Whole cell lysates at 10 µg

Lane 2:

Untreated HeLa (Human epithelial cells from cervix adenocarcinoma) whole cell lysates at 10 µg

Lane 3:

NIH/3T3 (Mouse embryonic fibroblast cell line) treated with 500 ng/ml Trichostatin A for 4 hours. Whole cell lysates at 10 µg

Lane 4:

Untreated NIH/3T3 (Human epithelial cell line from cervix adenocarcinoma) whole cell lysates at 10 µg

Secondary

All lanes:

Goat Anti-Rabbit IgG, (H+L), Peroxidase conjugated at 1/1000 dilution

Predicted band size: 14 kDa,15 kDa

Observed band size: 14 kDa,15 kDa

false

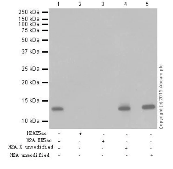
Western blot - Anti-Histone H2A.X (acetyl K5) + Histone H2A (acetyl K5) antibody [EPR17589] - ChIP Grade (AB177863)
  • WB

Supplier Data

Western blot - Anti-Histone H2A.X (acetyl K5) + Histone H2A (acetyl K5) antibody [EPR17589] - ChIP Grade (AB177863)

Blocking/Dilution buffer : 5% NFDM/TBST.

All lanes:

Western blot - Anti-Histone H2A.X (acetyl K5) + Histone H2A (acetyl K5) antibody [EPR17589] - ChIP Grade (ab177863) at 1/4000 dilution

Lane 1:

HeLa (Human epithelial cell line from cervix adenocarcinoma) cell line, treated with 500 ng/ml Trichostatin A for 4 hours Whole cell lysate at 10 µg

Lane 4:

HeLa (Human epithelial cell line from cervix adenocarcinoma) cell line, treated with 500 ng/ml Trichostatin A for 4 hours Whole cell lysate at 10 µg with Unmodified H2A.X

Lane 5:

HeLa (Human epithelial cell line from cervix adenocarcinoma) cell line, treated with 500 ng/ml Trichostatin A for 4 hours Whole cell lysate at 10 µg with Unmodified H2A

Secondary

All lanes:

Goat Anti-Rabbit IgG, (H+L), Peroxidase conjugated at 1/1000 dilution

Predicted band size: 14 kDa,15 kDa

Observed band size: 14 kDa,15 kDa

true

Peptide Array - Anti-Histone H2A.X (acetyl K5) + Histone H2A (acetyl K5) antibody [EPR17589] - ChIP Grade (AB177863)
  • PepArr

Supplier Data

Peptide Array - Anti-Histone H2A.X (acetyl K5) + Histone H2A (acetyl K5) antibody [EPR17589] - ChIP Grade (AB177863)

ab177863 was tested in Peptide Array against 501 different modified and unmodified histone peptides; each peptide is printed on the array at six concentrations (each in triplicate).
Circle area represents affinity between the antibody and a peptide : all antigen-containing peptides are displayed as red circles, all other peptides as blue circles. The affinity is calculated as area under curve when antibody binding values are plotted against the corresponding peptide concentration. Each circle area is normalized to the peptide with the strongest affinity.
The complete dataset, including full list of all peptides and information on the position of each peptide in the diagram, is available under the Product Protocol section.

  • Carrier free

    Anti-Histone H2A.X+Histone H2A (acetyl K5) antibody [EPR17589] - BSA and Azide free

Key facts

Host species

Rabbit

Clonality

Monoclonal

Clone number

EPR17589

Isotype

IgG

Carrier free

No

Reacts with

Mouse, Rat, Human

Applications

WB, IHC-P, ICC/IF, ChIP, PepArr

applications

Immunogen

The exact immunogen used to generate this antibody is proprietary information.

Reactivity data

{ "title": "Reactivity Data", "filters": { "stats": ["", "Species", "Dilution Info", "Notes"], "tabs": { "all-applications": {"fullname" : "All Applications", "shortname": "All Applications"}, "ChIP" : {"fullname" : "ChIP", "shortname":"ChIP"}, "WB" : {"fullname" : "Western blot", "shortname":"WB"}, "PepArr" : {"fullname" : "Peptide Array", "shortname":"PepArr"}, "ICCIF" : {"fullname" : "Immunocytochemistry/ Immunofluorescence", "shortname":"ICC/IF"}, "IHCP" : {"fullname" : "Immunohistochemistry (Formalin/PFA-fixed paraffin-embedded sections)", "shortname":"IHC-P"} }, "product-promise": { "all": "all", "testedAndGuaranteed": "tested", "guaranteed": "expected", "predicted": "predicted", "notRecommended": "not-recommended" } }, "values": { "Human": { "ChIP-species-checked": "testedAndGuaranteed", "ChIP-species-dilution-info": "2 µg for 25 µg chromatin", "ChIP-species-notes": "<p></p>", "WB-species-checked": "testedAndGuaranteed", "WB-species-dilution-info": "1/4000", "WB-species-notes": "<p></p>", "PepArr-species-checked": "testedAndGuaranteed", "PepArr-species-dilution-info": "", "PepArr-species-notes": "<p></p>", "ICCIF-species-checked": "testedAndGuaranteed", "ICCIF-species-dilution-info": "1/400", "ICCIF-species-notes": "<p></p>", "IHCP-species-checked": "testedAndGuaranteed", "IHCP-species-dilution-info": "1/400", "IHCP-species-notes": "<p></p>" }, "Mouse": { "ChIP-species-checked": "guaranteed", "ChIP-species-dilution-info": "", "ChIP-species-notes": "", "WB-species-checked": "testedAndGuaranteed", "WB-species-dilution-info": "1/4000", "WB-species-notes": "<p></p>", "PepArr-species-checked": "guaranteed", "PepArr-species-dilution-info": "", "PepArr-species-notes": "", "ICCIF-species-checked": "guaranteed", "ICCIF-species-dilution-info": "", "ICCIF-species-notes": "", "IHCP-species-checked": "testedAndGuaranteed", "IHCP-species-dilution-info": "1/400", "IHCP-species-notes": "<p></p>" }, "Rat": { "ChIP-species-checked": "guaranteed", "ChIP-species-dilution-info": "", "ChIP-species-notes": "", "WB-species-checked": "guaranteed", "WB-species-dilution-info": "", "WB-species-notes": "", "PepArr-species-checked": "guaranteed", "PepArr-species-dilution-info": "", "PepArr-species-notes": "", "ICCIF-species-checked": "guaranteed", "ICCIF-species-dilution-info": "", "ICCIF-species-notes": "", "IHCP-species-checked": "testedAndGuaranteed", "IHCP-species-dilution-info": "1/400", "IHCP-species-notes": "<p></p>" } } }

Product details

Patented technology
Our RabMAb® technology is a patented hybridoma-based technology for making rabbit monoclonal antibodies. For details on our patents, please refer to RabMAb® patents.

What are the advantages of a recombinant monoclonal antibody?
This product is a recombinant monoclonal antibody, which offers several advantages including:

  • - High batch-to-batch consistency and reproducibility
  • - Improved sensitivity and specificity
  • - Long-term security of supply
  • - Animal-free batch production

For more information, read more on recombinant antibodies.

Properties and storage information

Form
Liquid
Purification technique
Affinity purification Protein A
Storage buffer
Preservative: 0.01% Sodium azide Constituents: PBS, 40% Glycerol (glycerin, glycerine), 0.05% BSA
Shipped at conditions
Blue Ice
Appropriate short-term storage duration
1-2 weeks
Appropriate short-term storage conditions
+4°C
Appropriate long-term storage conditions
-20°C
Aliquoting information
Upon delivery aliquot
Storage information
Avoid freeze / thaw cycle

Product protocols

For this product, it's our understanding that no specific protocols are required. You can visit:

Target data

The protein expressed by the H2AX gene is a variant histone H2A that replaces conventional H2A in certain nucleosomes, which are responsible for wrapping and compacting DNA into chromatin. This compaction limits DNA accessibility to cellular machineries that require DNA as a template, placing histones at the center of transcription regulation, DNA repair, DNA replication, and chromosomal stability. DNA accessibility is controlled through a complex array of post-translational histone modifications, known as the histone code, and nucleosome remodeling. The H2AX protein is essential for the checkpoint-mediated arrest of cell cycle progression in response to low doses of ionizing radiation and for the efficient repair of DNA double strand breaks (DSBs), particularly when it undergoes C-terminal phosphorylation. This supplementary information is collated from multiple sources and compiled automatically.
See full target information H2AX acetyl K5

Publications (2)

Recent publications for all applications. Explore the full list and refine your search

Molecular metabolism 81:101903 PubMed38369012

2024

Acetyl-CoA synthetase (ACSS2) does not generate butyryl- and crotonyl-CoA.

Applications

Unspecified application

Species

Unspecified reactive species

Nour Zeaiter,Laura Belot,Valérie Cunin,Roland Abi Nahed,Malgorzata Tokarska-Schlattner,Audrey Le Gouellec,Carlo Petosa,Saadi Khochbin,Uwe Schlattner

NPJ biofilms and microbiomes 9:62 PubMed37666845

2023

Colonic phosphocholine is correlated with Candida tropicalis and promotes diarrhea and pathogen clearance.

Applications

Unspecified application

Species

Unspecified reactive species

Xihong Zhou,Yiwen He,Jingqing Chen,Xia Xiong,Jie Yin,Jing Liang,Can Peng,Chunxia Huang,Guiping Guan,Yulong Yin
View all publications
peptideArrayWebsite
en

Product promise

We are committed to supporting your work with high-quality reagents, and we're here for you every step of the way. In the unlikely event that one of our products does not perform as expected, you're protected by our Product Promise.
For full details, please see our Terms & Conditions

Please note: All products are 'FOR RESEARCH USE ONLY. NOT FOR USE IN DIAGNOSTIC OR THERAPEUTIC PROCEDURES'.

For licensing inquiries, please contact partnerships@abcam.com