JavaScript is disabled in your browser. Please enable JavaScript to view this website.
AB229914

Anti-Histone H2A.X antibody [EPR22820-23] - ChIP Grade

  • BOND RX™ Validated
  • 20ul selling size
  • RabMAb
  • Advanced Validation
  • Recombinant
  • KO Validated
  • What is this?

Be the first to review this product! Submit a review

|

(43 Publications)

Anti-Histone H2A.X antibody [EPR22820-23] - ChIP Grade (ab229914) is a rabbit monoclonal antibody detecting Histone H2A.X in Western Blot, Flow Cytometry (Intra), Flow Cytometry, IP, IHC-P, ICC/IF, ChIP, PepArr. Suitable for Human.

- KO validated for confirmed specificity
- Biophysical QC for unrivalled batch-batch consistency
- Over 20 publications

View Alternative Names

H2AFX, H2AX, Histone H2AX, H2a/x, Histone H2A.X

10 Images
Immunocytochemistry/ Immunofluorescence - Anti-Histone H2A.X antibody [EPR22820-23] - ChIP Grade (AB229914)
  • ICC/IF

Unknown

Immunocytochemistry/ Immunofluorescence - Anti-Histone H2A.X antibody [EPR22820-23] - ChIP Grade (AB229914)

Immunofluorescent analysis of 4% Paraformaldehyde-fixed, 0.1% TritonX-100 permeabilized HeLa (human cervix adenocarcinoma epithelial cell) cells labelling Histone H2A.X with ab229914 at 1/100 dilution, followed by ab229914 anti- Histone H2A.X ab150077 AlexaFluor®488 Goat anti-Rabbit secondary antibody at 1/1000 dilution (Green). Confocal image showing nuclear staining in HeLa cell line is observed. ab195889 Anti-alpha Tubulin antibody [DM1A] - Microtubule Marker (Alexa Fluor® 594) was used to counterstain tubulin at 1/200 dilution (Red). The Nuclear counterstain was DAPI (Blue).

Secondary antibody only control : Secondary antibody is ab150077 AlexaFluor®488 Goat anti-Rabbit secondary at 1/1000 dilution.

Flow Cytometry (Intracellular) - Anti-Histone H2A.X antibody [EPR22820-23] - ChIP Grade (AB229914)
  • Flow Cyt (Intra)

Unknown

Flow Cytometry (Intracellular) - Anti-Histone H2A.X antibody [EPR22820-23] - ChIP Grade (AB229914)

Intracellular flow cytometric analysis of 4% paraformaldehyde fixed, 90% methanol permeabilized HeLa (human cervix adenocarcinoma epithelial cell) cells labelling Histone H2A.X with ab229914 at 1/50 dilution (Red), compared with a Rabbit monoclonal IgG (ab172730) isotype control (Black)and an unlabelled control (cells without incubation with primary antibody and secondary antibody) (Blue). A Goat anti rabbit IgG (Alexa Fluor� 488, ab150077) at 1/2000 dilution was used as the secondary antibody.

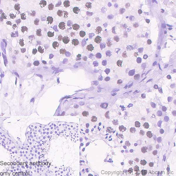
Immunohistochemistry (Formalin/PFA-fixed paraffin-embedded sections) - Anti-Histone H2A.X antibody [EPR22820-23] - ChIP Grade (AB229914)
  • IHC-P

Unknown

Immunohistochemistry (Formalin/PFA-fixed paraffin-embedded sections) - Anti-Histone H2A.X antibody [EPR22820-23] - ChIP Grade (AB229914)

Immunohistochemical analysis of paraffin-embedded Human testis tissue labeling Histone H2A.X with ab229914 at 1/200 dilution (2.56 ug/ml) followed by a ready to use Rabbit specific IHC polymer detection kit HRP/DAB (ab209101). Nuclear staining on the human testis (PMID/ 24059746). The section was incubated with ab229914 for 15 mins at room temperature. The immunostaining was performed on a Leica Biosystems BOND® RX instrument. Counterstained with Hematoxylin.

Secondary antibody only control : Secondary antibody is a ready to use Rabbit specific IHC polymer detection kit HRP/DAB (ab209101)

Heat mediated antigen retrieval with Tris-EDTA buffer (pH 9.0, epitope retrieval solution 2) for 20 mins.

Immunohistochemistry (Formalin/PFA-fixed paraffin-embedded sections) - Anti-Histone H2A.X antibody [EPR22820-23] - ChIP Grade (AB229914)
  • IHC-P

Unknown

Immunohistochemistry (Formalin/PFA-fixed paraffin-embedded sections) - Anti-Histone H2A.X antibody [EPR22820-23] - ChIP Grade (AB229914)

Immunohistochemical analysis of paraffin-embedded Human breast carcinoma tissue labeling Histone H2A.X with ab229914 at 1/200 dilution (2.56 ug/ml) followed by a ready to use Rabbit specific IHC polymer detection kit HRP/DAB (ab209101). Nuclear staining on the human breast carcinoma (PMID/ 27006338). The section was incubated with ab229914 for 15 mins at room temperature. The immunostaining was performed on a Leica Biosystems BOND® RX instrument. Counterstained with Hematoxylin.

Secondary antibody only control : Secondary antibody is a ready to use Rabbit specific IHC polymer detection kit HRP/DAB (ab209101)

.

Heat mediated antigen retrieval with Tris-EDTA buffer (pH 9.0, epitope retrieval solution 2) for 20 mins.

Immunoprecipitation - Anti-Histone H2A.X antibody [EPR22820-23] - ChIP Grade (AB229914)
  • IP

Unknown

Immunoprecipitation - Anti-Histone H2A.X antibody [EPR22820-23] - ChIP Grade (AB229914)

Histone H2A.X was immunoprecipitated from 0.35 mg HeLa (human cervix adenocarcinoma epithelial cell) whole cell lysate with ab229914 at 1/30 dilution (2ug in 0.35mg lysates). Western blot was performed on the immunoprecipitate using ab229914 at 1/1000 dilution. VeriBlot for IP Detection Reagent (HRP) (ab131366) was used at 1/5000 dilution.

Lane 1 : HeLa (human cervix adenocarcinoma epithelial cell) whole cell lysate

Lane 2 : ab229914 IP in HeLa whole cell lysate

Lane 3 : Rabbit monoclonal IgG (ab172730) instead of ab229914 in HeLa whole cell lysate

Blocking and dilution buffer and concentration/ 5% NFDM/TBST.

Exposure time/ 30 seconds.

All lanes:

Immunoprecipitation - Anti-Histone H2A.X antibody [EPR22820-23] - ChIP Grade (ab229914)

Predicted band size: 15 kDa

false

ChIP - Anti-Histone H2A.X antibody [EPR22820-23] - ChIP Grade (AB229914)
  • ChIP

Unknown

ChIP - Anti-Histone H2A.X antibody [EPR22820-23] - ChIP Grade (AB229914)

Chromatin was prepared from HeLa cells according to the Abcam X-ChIP protocol*. Cells were fixed with formaldehyde for 10min.

The ChIP was performed with 25 μg of chromatin, 5 μg of ab229914 (red), or 5 μg of rabbit normal IgG ab172730 (gray) and 20μl of Protein A/G sepharose beads. The immunoprecipitated DNA was quantified by real time PCR (Taqman approach for active and inactive loci, Sybr green approach for heterochromatic loci).

Primers and probes are located in the first kb of the transcribed region.

*http : //www.abcam.com/resources?keywords=X%20ChIP%20protocol.

Western blot - Anti-Histone H2A.X antibody [EPR22820-23] - ChIP Grade (AB229914)
  • WB

Lab

Western blot - Anti-Histone H2A.X antibody [EPR22820-23] - ChIP Grade (AB229914)

ab229914 was shown to specifically react with Histone H2A.X in wild-type HAP1 cells as signal was lost in Histone H2A.X knockout cells. Wild-type and Histone H2A.X knockout samples were subjected to SDS-PAGE. ab229914 and ab181602 (Rabbit anti-GAPDH loading control) were incubated 1 hour at room temperature at 1/1000 dilution and 1/200,000 dilution respectively. Blots were developed with Goat Anti-Rabbit IgG, (H+L), Peroxidase conjugated (ab97051) secondary antibody at 1/100,000 dilution for 1 hour at room temperature before imaging. The blot was developed on a BIO-RAD® ChemiDoc™ MP instrument using the ECL technique. Blocking/Diluting buffer and concentration : 5% NFDM/TBST Exposure Time : 37 seconds

All lanes:

Western blot - Anti-Histone H2A.X antibody [EPR22820-23] - ChIP Grade (ab229914) at 1/1000 dilution

Lane 1:

Wild-type HAP1 whole cell lysate at 20 µg

Lane 2:

Histone H2A.X knockout HAP1 whole cell lysate at 20 µg

Secondary

All lanes:

Western blot - Goat Anti-Rabbit IgG H&L (HRP) (<a href='/en-us/products/secondary-antibodies/goat-rabbit-igg-h-l-hrp-ab97051'>ab97051</a>) at 1/20000 dilution

Predicted band size: 15 kDa

Observed band size: 16 kDa

false

Western blot - Anti-Histone H2A.X antibody [EPR22820-23] - ChIP Grade (AB229914)
  • WB

Lab

Western blot - Anti-Histone H2A.X antibody [EPR22820-23] - ChIP Grade (AB229914)

A 25-kDa band, likely to be ubiquitinated H2A.X, is observed. The molecular weights are consistent with what have been described in the literature (PMID : 24603765)

All lanes:

Western blot - Anti-Histone H2A.X antibody [EPR22820-23] - ChIP Grade (ab229914) at 1/1000 dilution

All lanes:

HEK-293 (human embryonic kidney epithelial cell), histone extract at 20 µg

Secondary

All lanes:

Western blot - Goat Anti-Rabbit IgG H&L (HRP) (<a href='/en-us/products/secondary-antibodies/goat-rabbit-igg-h-l-hrp-ab97051'>ab97051</a>) at 1/100000 dilution

Predicted band size: 15 kDa

Observed band size: 16 kDa,25 kDa

false

Western blot - Anti-Histone H2A.X antibody [EPR22820-23] - ChIP Grade (AB229914)
  • WB

Lab

Western blot - Anti-Histone H2A.X antibody [EPR22820-23] - ChIP Grade (AB229914)

This blot was developed using a higher sensitivity ECL substrate.

All lanes:

Western blot - Anti-Histone H2A.X antibody [EPR22820-23] - ChIP Grade (ab229914) at 1/1000 dilution

Lane 1:

Human brain tissue lysate at 20 µg

Lane 2:

HeLa (human cervix adenocarcinoma epithelial cell), whole cell lysate at 20 µg

Lane 3:

293T (human embryonic kidney epithelial cell), whole cell lysate at 20 µg

Secondary

Lane 1:

VeriBlot for IP secondary antibody (HRP) at 1/1000 dilution

Lanes 2 - 3:

Western blot - Goat Anti-Rabbit IgG H&L (HRP) (<a href='/en-us/products/secondary-antibodies/goat-rabbit-igg-h-l-hrp-ab97051'>ab97051</a>) at 1/100000 dilution

Predicted band size: 15 kDa

Observed band size: 16 kDa,25 kDa

false

Peptide Array - Anti-Histone H2A.X antibody [EPR22820-23] - ChIP Grade (AB229914)
  • PepArr

Unknown

Peptide Array - Anti-Histone H2A.X antibody [EPR22820-23] - ChIP Grade (AB229914)

All batches of ab229914 are tested in Peptide Array against 501 different modified and unmodified histone peptides; each peptide is printed on the array at six concentrations (each in triplicate).

Circle area represents affinity between the antibody and a peptide : all antigen-containing peptides are displayed as red circles, all other peptides as blue circles. The affinity is calculated as area under curve when antibody binding values are plotted against the corresponding peptide concentration. Each circle area is normalized to the peptide with the strongest affinity.

The complete dataset, including full list of all peptides and information on the position of each peptide in the diagram, is available under the Product Protocol section.

  • Carrier free

    Anti-Histone H2A.X antibody [EPR22820-23] - ChIP Grade - BSA and Azide free

  • 519 Alexa Fluor® 488

    Alexa Fluor® 488 Anti-Histone H2A.X antibody [EPR22820-23]

  • 665 Alexa Fluor® 647

    Alexa Fluor® 647 Anti-Histone H2A.X antibody [EPR22820-23]

  • 578 PE

    PE Anti-Histone H2A.X antibody [EPR22820-23] - ChIP Grade

Key facts

Host species

Rabbit

Clonality

Monoclonal

Clone number

EPR22820-23

Isotype

IgG

Carrier free

No

Reacts with

Human

Applications

IP, ChIP, WB, ICC/IF, PepArr, Flow Cyt (Intra), IHC-P

applications

Immunogen

The exact immunogen used to generate this antibody is proprietary information.

Reactivity data

{ "title": "Reactivity Data", "filters": { "stats": ["", "Species", "Dilution Info", "Notes"], "tabs": { "all-applications": {"fullname" : "All Applications", "shortname": "All Applications"}, "IP" : {"fullname" : "Immunoprecipitation", "shortname":"IP"}, "ChIP" : {"fullname" : "ChIP", "shortname":"ChIP"}, "WB" : {"fullname" : "Western blot", "shortname":"WB"}, "PepArr" : {"fullname" : "Peptide Array", "shortname":"PepArr"}, "IHCP" : {"fullname" : "Immunohistochemistry (Formalin/PFA-fixed paraffin-embedded sections)", "shortname":"IHC-P"}, "ICCIF" : {"fullname" : "Immunocytochemistry/ Immunofluorescence", "shortname":"ICC/IF"}, "FlowCytIntra" : {"fullname" : "Flow Cytometry (Intracellular)", "shortname":"Flow Cyt (Intra)"} }, "product-promise": { "all": "all", "testedAndGuaranteed": "tested", "guaranteed": "expected", "predicted": "predicted", "notRecommended": "not-recommended" } }, "values": { "Human": { "IP-species-checked": "testedAndGuaranteed", "IP-species-dilution-info": "1/30", "IP-species-notes": "<p></p>", "ChIP-species-checked": "testedAndGuaranteed", "ChIP-species-dilution-info": "5 µg for 25 µg chromatin", "ChIP-species-notes": "<p></p>", "WB-species-checked": "testedAndGuaranteed", "WB-species-dilution-info": "1/1000", "WB-species-notes": "<p></p>", "PepArr-species-checked": "testedAndGuaranteed", "PepArr-species-dilution-info": "0.1 µg/mL", "PepArr-species-notes": "<p></p>", "IHCP-species-checked": "testedAndGuaranteed", "IHCP-species-dilution-info": "1/200", "IHCP-species-notes": "<p></p>", "ICCIF-species-checked": "testedAndGuaranteed", "ICCIF-species-dilution-info": "1/100", "ICCIF-species-notes": "<p></p>", "FlowCytIntra-species-checked": "testedAndGuaranteed", "FlowCytIntra-species-dilution-info": "1/50", "FlowCytIntra-species-notes": "<p></p>" } } }

Product details

What is this antibody validated in?
Anti-Histone H2A.X antibody [EPR22820-23] - ChIP Grade (ab229914) is a rabbit recombinant monoclonal antibody and is validated for use in Western Blot (WB), Flow Cytometry (Intra), Flow Cytometry (Flow Cyt), Immunoprecipitation (IP), Immunohistochemistry (IHC-P), Immunocytochemistry/immunofluorescence (ICC/IF), ChIP, Peptide Array in Human samples.

What is the molecular weight of Histone H2A.X?
Anti-Histone H2A.X [EPR22820-23] - ChIP Grade (ab229914) specifically detects a band for Histone H2A.X (UniProt: P16104) at a molecular weight of 15kDa.

Trusted by the scientific community
Anti-Histone H2A.X [EPR22820-23] - ChIP Grade (ab229914) was first used in a scientific publication in 2019 and has been cited over 20 times in peer-reviewed journals.

Trial sizes available!
Test your antibody or perform pre-screening before committing to a larger quantity. Sold in 10µl. Discover our selection of trial-size antibodies.

Specificity confirmed
The specificity of Anti-Histone H2A.X antibody [EPR22820-23] - ChIP Grade (ab229914) has been confirmed by Western blot testing in H2AX Knockout HAP1 cells.

Other related products
We have a range of other formats of antibody clone [EPR22820-23] also available for your convenience: ab229914, Carrier free - ab256544, Alexa Fluor® 647 - ab302969, Alexa Fluor® 488 - ab307464, PE - ab314253

Patented technology
Our RabMAb® technology is a patented hybridoma-based technology for making rabbit monoclonal antibodies. For details on our patents, please refer to RabMAb® patents.

What are the advantages of a recombinant monoclonal antibody?
This product is a recombinant monoclonal antibody, which offers several advantages including:

  • - High batch-to-batch consistency and reproducibility
  • - Improved sensitivity and specificity
  • - Long-term security of supply
  • - Animal-free batch production

For more information, read more on recombinant antibodies.

Properties and storage information

Form
Liquid
Purification technique
Affinity purification Protein A
Storage buffer
pH: 7.2 - 7.4 Preservative: 0.01% Sodium azide Constituents: PBS, 40% Glycerol (glycerin, glycerine), 0.05% BSA
Shipped at conditions
Blue Ice
Appropriate short-term storage duration
1-2 weeks
Appropriate short-term storage conditions
+4°C
Appropriate long-term storage conditions
-20°C
Aliquoting information
Upon delivery aliquot
Storage information
Avoid freeze / thaw cycle

Product protocols

For this product, it's our understanding that no specific protocols are required. You can visit:

Target data

The protein expressed by the H2AX gene is a variant histone H2A that replaces conventional H2A in certain nucleosomes, which are responsible for wrapping and compacting DNA into chromatin. This compaction limits DNA accessibility to cellular machineries that require DNA as a template, placing histones at the center of transcription regulation, DNA repair, DNA replication, and chromosomal stability. DNA accessibility is controlled through a complex array of post-translational histone modifications, known as the histone code, and nucleosome remodeling. The H2AX protein is essential for the checkpoint-mediated arrest of cell cycle progression in response to low doses of ionizing radiation and for the efficient repair of DNA double strand breaks (DSBs), particularly when it undergoes C-terminal phosphorylation. This supplementary information is collated from multiple sources and compiled automatically.
See full target information H2AX

Publications (43)

Recent publications for all applications. Explore the full list and refine your search

Lipids in health and disease 24:312 PubMed41057877

2025

Chronic hypoxia induces liver injury via PKCδ/ASMase-driven ceramide accumulation and endoplasmic reticulum stress in rats.

Applications

Unspecified application

Species

Unspecified reactive species

Yujie Huang,Yu Ding,Xiaoyu Guo,Lingfang Huang,Xiangqiong Meng,Wenjun Jiang,Zejun Wang,Tian Yang,Minghai Zheng,Xiaoling Tan

Reproductive sciences (Thousand Oaks, Calif.) 32:2970-2984 PubMed40789984

2025

Kuntai Capsules Improve Premature Ovarian Failure by Regulating AMPK-Mediated Autophagy.

Applications

Unspecified application

Species

Unspecified reactive species

Xiaomin Ye,Miao Chen,Jiajing Zhong,Haofan Chen,Xinmiao Lin

APMIS : acta pathologica, microbiologica, et immunologica Scandinavica 133:e70052 PubMed40671091

2025

Downregulation of lncRNA H19 Enhances Radiosensitivity in Colorectal Cancer by Inactivation of the ATR/CHK1 Signaling.

Applications

Unspecified application

Species

Unspecified reactive species

Yuting Liang,Wanlu Zhang,Ao Dungerile,Juping Wang,Runmei Wang

Scientific reports 15:19179 PubMed40450055

2025

c-Myc-dependent LAMP3 regulates the proliferation, metastasis and metabolic reprogramming of tongue squamous cell carcinoma.

Applications

Unspecified application

Species

Unspecified reactive species

Jing Feng,Wei He,Jin Fang

Nature communications 16:3419 PubMed40210858

2025

A TLK2-mediated calcium-driven cell death pathway links neuronal degeneration to nuclear envelope disruption.

Applications

Unspecified application

Species

Unspecified reactive species

Yajie Li,Huaiyuan Huang,Jingwen Gao,Jinhong Lu,Guifeng Kang,Yipeng Ge,Wencan Jiang,Xiang Cai,Guojun Zhang,Lei Liu

Genes and environment : the official journal of the Japanese Environmental Mutagen Society 46:27 PubMed39695810

2024

GATA1 activates HSD17B6 to improve efficiency of cisplatin in lung adenocarcinoma via DNA damage.

Applications

Unspecified application

Species

Unspecified reactive species

Xingxing Shao,Hailang Hou,Huijie Chen,Wan Xia,Xinpu Geng,Jindao Wang

Cell death discovery 10:462 PubMed39487119

2024

Targeting the HECTD3-p62 axis increases the radiosensitivity of triple negative breast cancer cells.

Applications

Unspecified application

Species

Unspecified reactive species

Maobo Huang,Wenjing Liu,Zhuo Cheng,Fubing Li,Yanjie Kong,Chuanyu Yang,Yu Tang,Dewei Jiang,Wenhui Li,Yudie Hu,Jinhui Hu,PemaTenzin Puno,Ceshi Chen

Noise & health 26:287-293 PubMed39345066

2024

Noise Exposure Promotes Alzheimer's Disease-Like Lesions and DNA Damage.

Applications

Unspecified application

Species

Unspecified reactive species

Xiao-Jie Dai,Jun-Hua Liao,Yi Jia,Rui Cao,Mei-Ning Zhou

PLoS pathogens 20:e1012553 PubMed39312577

2024

The novel roles of RNA m6A modification in regulating the development, infection, and oxidative DNA damage repair of Phytophthora sojae.

Applications

Unspecified application

Species

Unspecified reactive species

Fan Zhang,Borui Zhang,Tongshan Cui,Shanshan Chen,Can Zhang,Zhiwen Wang,Xili Liu

Experimental hematology & oncology 13:77 PubMed39103908

2024

Overexpression of ESYT3 improves radioimmune responses through activating cGAS-STING pathway in lung adenocarcinoma.

Applications

Unspecified application

Species

Unspecified reactive species

Zan Luo,Ying Li,Bin Xu,Tenghua Yu,Mingming Luo,PeiMeng You,Xing Niu,Junyu Li
View all publications
peptideArrayWebsite
en

Product promise

We are committed to supporting your work with high-quality reagents, and we're here for you every step of the way. In the unlikely event that one of our products does not perform as expected, you're protected by our Product Promise.
For full details, please see our Terms & Conditions

Please note: All products are 'FOR RESEARCH USE ONLY. NOT FOR USE IN DIAGNOSTIC OR THERAPEUTIC PROCEDURES'.

For licensing inquiries, please contact partnerships@abcam.com