JavaScript is disabled in your browser. Please enable JavaScript to view this website.
AB256544

Anti-Histone H2A.X antibody [EPR22820-23] - ChIP Grade - BSA and Azide free

  • BOND RX™ Validated
  • RabMAb
  • Advanced Validation
  • Recombinant
  • KO Validated
  • What is this?

Be the first to review this product! Submit a review

|

(0 Publication)

Rabbit Recombinant Monoclonal H2A.X antibody. Carrier free. Suitable for IP, ChIP, WB, PepArr, IHC-P, ICC/IF, Flow Cyt (Intra) and reacts with Human samples.

View Alternative Names

H2AFX, H2AX, Histone H2AX, H2a/x, Histone H2A.X

8 Images
Immunohistochemistry (Formalin/PFA-fixed paraffin-embedded sections) - Anti-Histone H2A.X antibody [EPR22820-23] - ChIP Grade - BSA and Azide free (AB256544)
  • IHC-P

Unknown

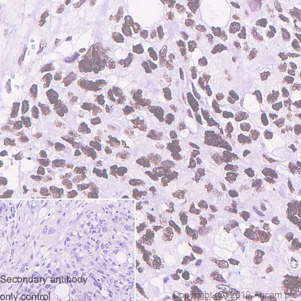
Immunohistochemistry (Formalin/PFA-fixed paraffin-embedded sections) - Anti-Histone H2A.X antibody [EPR22820-23] - ChIP Grade - BSA and Azide free (AB256544)

Immunohistochemical analysis of paraffin-embedded Human breast carcinoma tissue labeling Histone H2A.X with ab229914 at 1/200 dilution (2.56 ug/ml) followed by a ready to use Rabbit specific IHC polymer detection kit HRP/DAB (ab209101). Nuclear staining on the human breast carcinoma (PMID/ 27006338). The section was incubated with ab229914 for 15 mins at room temperature. The immunostaining was performed on a Leica Biosystems BOND® RX instrument. Counterstained with Hematoxylin.

Secondary antibody only control : Secondary antibody is a ready to use Rabbit specific IHC polymer detection kit HRP/DAB (ab209101)

Heat mediated antigen retrieval with Tris-EDTA buffer (pH 9.0, epitope retrieval solution 2) for 20 mins.

This data was developed using the same antibody clone in a different buffer formulation containing PBS, BSA, glycerol, and sodium azide (ab229914).

Immunocytochemistry/ Immunofluorescence - Anti-Histone H2A.X antibody [EPR22820-23] - ChIP Grade - BSA and Azide free (AB256544)
  • ICC/IF

Unknown

Immunocytochemistry/ Immunofluorescence - Anti-Histone H2A.X antibody [EPR22820-23] - ChIP Grade - BSA and Azide free (AB256544)

Immunofluorescent analysis of 4% Paraformaldehyde-fixed, 0.1% TritonX-100 permeabilized HeLa (human cervix adenocarcinoma epithelial cell) cells labelling Histone H2A.X with ab229914 at 1/100 dilution, followed by ab229914 anti- Histone H2A.X ab150077 AlexaFluor®488 Goat anti-Rabbit secondary antibody at 1/1000 dilution (Green). Confocal image showing nuclear staining in HeLa cell line is observed. ab195889 Anti-alpha Tubulin antibody [DM1A] - Microtubule Marker (Alexa Fluor® 594) was used to counterstain tubulin at 1/200 dilution (Red). The Nuclear counterstain was DAPI (Blue).

Secondary antibody only control : Secondary antibody is ab150077 AlexaFluor®488 Goat anti-Rabbit secondary at 1/1000 dilution.

This data was developed using the same antibody clone in a different buffer formulation containing PBS, BSA, glycerol, and sodium azide (ab229914).

Immunohistochemistry (Formalin/PFA-fixed paraffin-embedded sections) - Anti-Histone H2A.X antibody [EPR22820-23] - ChIP Grade - BSA and Azide free (AB256544)
  • IHC-P

Unknown

Immunohistochemistry (Formalin/PFA-fixed paraffin-embedded sections) - Anti-Histone H2A.X antibody [EPR22820-23] - ChIP Grade - BSA and Azide free (AB256544)

Immunohistochemical analysis of paraffin-embedded Human testis tissue labeling Histone H2A.X with ab229914 at 1/200 dilution (2.56 ug/ml) followed by a ready to use Rabbit specific IHC polymer detection kit HRP/DAB (ab209101). Nuclear staining on the human testis (PMID/ 24059746). The section was incubated with ab229914 for 15 mins at room temperature. The immunostaining was performed on a Leica Biosystems BOND® RX instrument. Counterstained with Hematoxylin.

Secondary antibody only control : Secondary antibody is a ready to use Rabbit specific IHC polymer detection kit HRP/DAB (ab209101).

Heat mediated antigen retrieval with Tris-EDTA buffer (pH 9.0, epitope retrieval solution 2) for 20 mins.

This data was developed using the same antibody clone in a different buffer formulation containing PBS, BSA, glycerol, and sodium azide (ab229914).

Flow Cytometry (Intracellular) - Anti-Histone H2A.X antibody [EPR22820-23] - ChIP Grade - BSA and Azide free (AB256544)
  • Flow Cyt (Intra)

Unknown

Flow Cytometry (Intracellular) - Anti-Histone H2A.X antibody [EPR22820-23] - ChIP Grade - BSA and Azide free (AB256544)

Intracellular flow cytometric analysis of 4% paraformaldehyde fixed, 90% methanol permeabilized HeLa (human cervix adenocarcinoma epithelial cell) cells labelling Histone H2A.X with ab229914 at 1/50 dilution (Red), compared with a Rabbit monoclonal IgG (ab172730) isotype control (Black)and an unlabelled control (cells without incubation with primary antibody and secondary antibody) (Blue). A Goat anti rabbit IgG (Alexa Fluor® 488, ab150077) at 1/2000 dilution was used as the secondary antibody.

This data was developed using the same antibody clone in a different buffer formulation containing PBS, BSA, glycerol, and sodium azide (ab229914).

Immunoprecipitation - Anti-Histone H2A.X antibody [EPR22820-23] - ChIP Grade - BSA and Azide free (AB256544)
  • IP

Unknown

Immunoprecipitation - Anti-Histone H2A.X antibody [EPR22820-23] - ChIP Grade - BSA and Azide free (AB256544)

Histone H2A.X was immunoprecipitated from 0.35 mg HeLa (human cervix adenocarcinoma epithelial cell) whole cell lysate with ab229914 at 1/30 dilution (2ug in 0.35mg lysates). Western blot was performed on the immunoprecipitate using ab229914 at 1/1000 dilution. VeriBlot for IP Detection Reagent (HRP) (ab131366) was used at 1/5000 dilution.

Lane 1 : HeLa (human cervix adenocarcinoma epithelial cell) whole cell lysate

Lane 2 : ab229914 IP in HeLa whole cell lysate

Lane 3 : Rabbit monoclonal IgG (ab172730) instead of ab229914 in HeLa whole cell lysate

Blocking and dilution buffer and concentration/ 5% NFDM/TBST.

Exposure time/ 30 seconds.

This data was developed using the same antibody clone in a different buffer formulation containing PBS, BSA, glycerol, and sodium azide (ab229914).

All lanes:

Immunoprecipitation - Anti-Histone H2A.X antibody [EPR22820-23] - ChIP Grade (<a href='/en-us/products/primary-antibodies/histone-h2ax-antibody-epr22820-23-chip-grade-ab229914'>ab229914</a>)

Predicted band size: 15 kDa

false

ChIP - Anti-Histone H2A.X antibody [EPR22820-23] - ChIP Grade - BSA and Azide free (AB256544)
  • ChIP

Unknown

ChIP - Anti-Histone H2A.X antibody [EPR22820-23] - ChIP Grade - BSA and Azide free (AB256544)

Chromatin was prepared from HeLa cells according to the Abcam X-ChIP protocol*. Cells were fixed with formaldehyde for 10min.

The ChIP was performed with 25 μg of chromatin, 5 μg of ab229914 (red), or 5 μg of rabbit normal IgG ab172730 (gray) and 20μl of Protein A/G sepharose beads. The immunoprecipitated DNA was quantified by real time PCR (Taqman approach for active and inactive loci, Sybr green approach for heterochromatic loci).

Primers and probes are located in the first kb of the transcribed region.

This data was developed using the same antibody clone in a different buffer formulation containing PBS, BSA, glycerol, and sodium azide (ab229914).

Western blot - Anti-Histone H2A.X antibody [EPR22820-23] - ChIP Grade - BSA and Azide free (AB256544)
  • WB

Lab

Western blot - Anti-Histone H2A.X antibody [EPR22820-23] - ChIP Grade - BSA and Azide free (AB256544)

ab229914 was shown to specifically react with Histone H2A.X in wild-type HAP1 cells as signal was lost in Histone H2A.X knockout cells. Wild-type and Histone H2A.X knockout samples were subjected to SDS-PAGE. ab229914 and ab181602 (Rabbit anti-GAPDH loading control) were incubated 1 hour at room temperature at 1/1000 dilution and 1/200,000 dilution respectively. Blots were developed with Goat Anti-Rabbit IgG, (H+L), Peroxidase conjugated (ab97051) secondary antibody at 1/100,000 dilution for 1 hour at room temperature before imaging. The blot was developed on a BIO-RAD® ChemiDoc™ MP instrument using the ECL technique. Blocking/Diluting buffer and concentration : 5% NFDM/TBST Exposure Time : 37 seconds.

This data was developed using the same antibody clone in a different buffer formulation containing PBS, BSA, glycerol, and sodium azide (ab229914).

All lanes:

Western blot - Anti-Histone H2A.X antibody [EPR22820-23] - ChIP Grade (<a href='/en-us/products/primary-antibodies/histone-h2ax-antibody-epr22820-23-chip-grade-ab229914'>ab229914</a>) at 1/1000 dilution

Lane 1:

Wild-type HAP1 whole cell lysate at 20 µg

Lane 2:

Histone H2A.X knockout HAP1 whole cell lysate at 20 µg

Secondary

All lanes:

Western blot - Goat Anti-Rabbit IgG H&L (HRP) (<a href='/en-us/products/secondary-antibodies/goat-rabbit-igg-h-l-hrp-ab97051'>ab97051</a>) at 1/20000 dilution

Predicted band size: 15 kDa

Observed band size: 16 kDa

false

Peptide Array - Anti-Histone H2A.X antibody [EPR22820-23] - ChIP Grade - BSA and Azide free (AB256544)
  • PepArr

Unknown

Peptide Array - Anti-Histone H2A.X antibody [EPR22820-23] - ChIP Grade - BSA and Azide free (AB256544)

All batches of ab229914 are tested in Peptide Array against 501 different modified and unmodified histone peptides; each peptide is printed on the array at six concentrations (each in triplicate).

Circle area represents affinity between the antibody and a peptide : all antigen-containing peptides are displayed as red circles, all other peptides as blue circles. The affinity is calculated as area under curve when antibody binding values are plotted against the corresponding peptide concentration. Each circle area is normalized to the peptide with the strongest affinity.

The complete dataset, including full list of all peptides and information on the position of each peptide in the diagram, is available under the Product Protocol section.

This data was developed using the same antibody clone in a different buffer formulation containing PBS, BSA, glycerol, and sodium azide (ab229914).

Key facts

Host species

Rabbit

Clonality

Monoclonal

Clone number

EPR22820-23

Isotype

IgG

Carrier free

Yes

Reacts with

Human

Applications

IHC-P, ChIP, ICC/IF, Flow Cyt (Intra), PepArr, IP, WB

applications

Immunogen

The exact immunogen used to generate this antibody is proprietary information.

Reactivity data

{ "title": "Reactivity Data", "filters": { "stats": ["", "Species", "Dilution Info", "Notes"], "tabs": { "all-applications": {"fullname" : "All Applications", "shortname": "All Applications"}, "IP" : {"fullname" : "Immunoprecipitation", "shortname":"IP"}, "ChIP" : {"fullname" : "ChIP", "shortname":"ChIP"}, "WB" : {"fullname" : "Western blot", "shortname":"WB"}, "PepArr" : {"fullname" : "Peptide Array", "shortname":"PepArr"}, "IHCP" : {"fullname" : "Immunohistochemistry (Formalin/PFA-fixed paraffin-embedded sections)", "shortname":"IHC-P"}, "ICCIF" : {"fullname" : "Immunocytochemistry/ Immunofluorescence", "shortname":"ICC/IF"}, "FlowCytIntra" : {"fullname" : "Flow Cytometry (Intracellular)", "shortname":"Flow Cyt (Intra)"} }, "product-promise": { "all": "all", "testedAndGuaranteed": "tested", "guaranteed": "expected", "predicted": "predicted", "notRecommended": "not-recommended" } }, "values": { "Human": { "IP-species-checked": "testedAndGuaranteed", "IP-species-dilution-info": "", "IP-species-notes": "<p></p>", "ChIP-species-checked": "testedAndGuaranteed", "ChIP-species-dilution-info": "", "ChIP-species-notes": "<p></p>", "WB-species-checked": "testedAndGuaranteed", "WB-species-dilution-info": "", "WB-species-notes": "<p></p>", "PepArr-species-checked": "testedAndGuaranteed", "PepArr-species-dilution-info": "", "PepArr-species-notes": "<p></p>", "IHCP-species-checked": "testedAndGuaranteed", "IHCP-species-dilution-info": "", "IHCP-species-notes": "<p></p>", "ICCIF-species-checked": "testedAndGuaranteed", "ICCIF-species-dilution-info": "", "ICCIF-species-notes": "<p></p>", "FlowCytIntra-species-checked": "testedAndGuaranteed", "FlowCytIntra-species-dilution-info": "", "FlowCytIntra-species-notes": "<p></p>" } } }

Product details

ab256544 is the carrier-free version of ab229914.

Patented technology
Our RabMAb® technology is a patented hybridoma-based technology for making rabbit monoclonal antibodies. For details on our patents, please refer to RabMAb® patents.

What are the advantages of a recombinant monoclonal antibody?
This product is a recombinant monoclonal antibody, which offers several advantages including:

  • - High batch-to-batch consistency and reproducibility
  • - Improved sensitivity and specificity
  • - Long-term security of supply
  • - Animal-free batch production

For more information, read more on recombinant antibodies.

Conjugation ready
Our carrier-free antibodies are typically supplied in a PBS-only formulation, purified and free of BSA, sodium azide and glycerol. This conjugation-ready format is designed for use with fluorochromes, metal isotopes, oligonucleotides, and enzymes, which makes them ideal for antibody labelling, functional and cell-based assays, flow-based assays (e.g. mass cytometry) and Multiplex Imaging applications.

Use our conjugation kits for antibody conjugates that are ready-to-use in as little as 20 minutes with 1 minute hands-on-time and 100% antibody recovery: available for fluorescent dyes, HRP, biotin and gold.

Compatibility
This product is compatible with the Maxpar® Antibody Labeling Kit from Fluidigm, without the need for antibody preparation. Maxpar® is a trademark of Fluidigm Canada Inc.

Properties and storage information

Form
Liquid
Purification technique
Affinity purification Protein A
Storage buffer
pH: 7.2 - 7.4 Constituents: PBS
Shipped at conditions
Blue Ice
Appropriate short-term storage conditions
+4°C
Appropriate long-term storage conditions
+4°C
Storage information
Do Not Freeze

Product protocols

For this product, it's our understanding that no specific protocols are required. You can visit:

Target data

The protein expressed by the H2AX gene is a variant histone H2A that replaces conventional H2A in certain nucleosomes, which are responsible for wrapping and compacting DNA into chromatin. This compaction limits DNA accessibility to cellular machineries that require DNA as a template, placing histones at the center of transcription regulation, DNA repair, DNA replication, and chromosomal stability. DNA accessibility is controlled through a complex array of post-translational histone modifications, known as the histone code, and nucleosome remodeling. The H2AX protein is essential for the checkpoint-mediated arrest of cell cycle progression in response to low doses of ionizing radiation and for the efficient repair of DNA double strand breaks (DSBs), particularly when it undergoes C-terminal phosphorylation. This supplementary information is collated from multiple sources and compiled automatically.
See full target information H2AX
peptideArrayWebsite
en

Product promise

We are committed to supporting your work with high-quality reagents, and we're here for you every step of the way. In the unlikely event that one of our products does not perform as expected, you're protected by our Product Promise.
For full details, please see our Terms & Conditions

Please note: All products are 'FOR RESEARCH USE ONLY. NOT FOR USE IN DIAGNOSTIC OR THERAPEUTIC PROCEDURES'.

For licensing inquiries, please contact partnerships@abcam.com