JavaScript is disabled in your browser. Please enable JavaScript to view this website.
AB124781

Anti-Histone H2A antibody [EPR895] - Nuclear Marker

  • RabMAb
  • Recombinant
  • Lab Essentials
  • 20ul selling size
  • What is this?

5

(5 Reviews)

|

(44 Publications)

Anti-Histone H2A antibody [EPR895] - Nuclear Marker (ab124781) is a rabbit monoclonal antibody detecting Histone H2A in Western Blot, Flow Cytometry (Intra), IP, IHC-P, ICC/IF. Suitable for Human, Mouse, Rat.

- Biophysical QC for unrivalled batch-batch consistency
- Over 30 publications

View Alternative Names

H2AFX, H2AX, Histone H2AX, H2a/x, Histone H2A.X, H2AFR, HIST1H2AA, H2AC1, Histone H2A type 1-A, H2A-clustered histone 1, Histone H2A/r, H2AFO, HIST2H2AA, HIST2H2AA3, H2AC19, HIST2H2AA4, H2AC18, Histone H2A type 2-A, H2A-clustered histone 18, H2A-clustered histone 19, Histone H2A.2, Histone H2A/o

12 Images
Immunohistochemistry (Formalin/PFA-fixed paraffin-embedded sections) - Anti-Histone H2A antibody [EPR895] - Nuclear Marker (AB124781)
  • IHC-P

Lab

Immunohistochemistry (Formalin/PFA-fixed paraffin-embedded sections) - Anti-Histone H2A antibody [EPR895] - Nuclear Marker (AB124781)

Immunohistochemistry (Formalin/PFA-fixed paraffin-embedded sections) analysis of human liver tissue labelling Histone H2A with unpurified ab124781 at 1/500. Heat mediated antigen retrieval was performed using Tris/EDTA buffer, pH 9. A prediluted HRP-polymer conjugated anti-rabbit IgG was used as the secondary antibody. Counterstained with hematoxylin.

Immunocytochemistry/ Immunofluorescence - Anti-Histone H2A antibody [EPR895] - Nuclear Marker (AB124781)
  • ICC/IF

Lab

Immunocytochemistry/ Immunofluorescence - Anti-Histone H2A antibody [EPR895] - Nuclear Marker (AB124781)

Immunocytochemistry/Immunofluorescence analysis of HeLa cells labelling Histone H2A with purified ab124781 at a dilution of 1/1000. Cells were fixed with either 4% PFA (top) or 100% methanol (bottom) and permeabilized with 0.1% TritonX-100. ab150077, an Alexa Fluor® 488-conjugated goat anti-rabbit IgG (1/1000) was used as the secondary antibody.

ab7291 mouse anti-Tubulin (1/1000) followed by ab150120, an Alexa Fluor® 594-conjugated goat anti-mouse IgG (1/1000) were used to label tubulin. DAPI was used as the nulear counterstain.

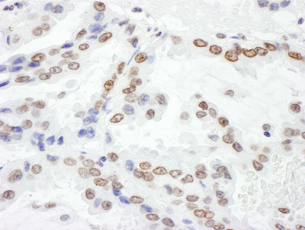
Immunohistochemistry (Formalin/PFA-fixed paraffin-embedded sections) - Anti-Histone H2A antibody [EPR895] - Nuclear Marker (AB124781)
  • IHC-P

Lab

Immunohistochemistry (Formalin/PFA-fixed paraffin-embedded sections) - Anti-Histone H2A antibody [EPR895] - Nuclear Marker (AB124781)

Immunohistochemistry (Formalin/PFA-fixed paraffin-embedded sections) analysis of human liver tissue labelling Histone H2A with purified ab124781 at 1/500. Heat mediated antigen retrieval was performed using Tris/EDTA buffer, pH 9. A prediluted HRP-polymer conjugated anti-rabbit IgG was used as the secondary antibody. Counterstained with hematoxylin.

Flow Cytometry (Intracellular) - Anti-Histone H2A antibody [EPR895] - Nuclear Marker (AB124781)
  • Flow Cyt (Intra)

Lab

Flow Cytometry (Intracellular) - Anti-Histone H2A antibody [EPR895] - Nuclear Marker (AB124781)

Intracellular Flow Cytometry analysis of HeLa (human cervix adenocarcinoma) cells labeling Histone H2A with purified ab124781 at 1/100 dilution (10ug/ml) (red). Cells were fixed with 4% paraformaldehyde and permeabilised with 90% methanol. A Goat anti rabbit IgG (Alexa Fluor® 488) (1/2000 dilution) was used as the secondary antibody. Rabbit monoclonal IgG (Black) was used as the isotype control, cells without incubation with primary antibody and secondary antibody (Blue) was used as the unlabeled control.

Immunoprecipitation - Anti-Histone H2A antibody [EPR895] - Nuclear Marker (AB124781)
  • IP

Lab

Immunoprecipitation - Anti-Histone H2A antibody [EPR895] - Nuclear Marker (AB124781)

Histone H2A.X was immunoprecipitated using 5ug of ab124781 from 200ul of HeLa whole cell extract lysate diluted to 0.5mg/ml in RIPA and 50ul of Protein G magnetic beads. No antibody was added to the control (-).

The antibody was incubated under agitation with the Protein G beads for 10min, HeLa whole cell extract lysate diluted in RIPA buffer was added to each sample and incubated for a further 10min under agitation.

Proteins were eluted by addition of 40μl SDS loading buffer and incubated for 10min at 70°C. 10μl of each sample was separated on a SDS PAGE gel, transferred to a nitrocellulose membrane, blocked with 5% BSA and probed with ab124781 at 1ug/ml. The Secondary antibody was Mouse monoclonal SB62a Anti-Rabbit IgG light chain (HRP) (ab99697) at 1/10,000 dilution.

Band : 15kDa; Histone H2A.X

All lanes:

Immunoprecipitation - Anti-Histone H2A antibody [EPR895] - Nuclear Marker (ab124781)

Predicted band size: 15 kDa

true

Exposure time: 20min

Western blot - Anti-Histone H2A antibody [EPR895] - Nuclear Marker (AB124781)
  • WB

Lab

Western blot - Anti-Histone H2A antibody [EPR895] - Nuclear Marker (AB124781)

Blocking and diluting buffer and concentration : 5% NFDM/TBST.

In Western blot, Anti-GAPDH antibody [EPR16891] - Loading Control (ab181602) staining at 1/1000000 dilution.

In Western blot, Anti-Histone H2A.X antibody [EPR895] - Nuclear Marker (ab124781) staining at 1/2000 dilution.

The identity of the bands between 25kDa and 50kDa are unknown.

All lanes:

Western blot - Anti-gamma H2A.X (phospho S139) antibody [EP854(2)Y] (<a href='/en-us/products/primary-antibodies/gamma-h2ax-phospho-s139-antibody-ep8542y-ab81299'>ab81299</a>) at 1/1000 dilution

Lane 1:

Untreated Jurkat (Human T cell leukemia T lymphocyte) whole cell lysate at 20 µg

Lane 2:

Jurkat treated with 25µM etoposide for 8 hours whole cell lysate at 20 µg

Lane 3:

Jurkat treated with 25µM etoposide for 8 hours whole cell lysate 20µg, then the membrane treated with Alkaline Phosphatase for 1 hour at 20 µg

Secondary

All lanes:

Western blot - Goat Anti-Rabbit IgG H&L (HRP) (<a href='/en-us/products/secondary-antibodies/goat-rabbit-igg-h-l-hrp-ab97051'>ab97051</a>) at 1/20000 dilution

Observed band size: 15 kDa

false

Exposure time: 60s

Western blot - Anti-Histone H2A antibody [EPR895] - Nuclear Marker (AB124781)
  • WB

Lab

Western blot - Anti-Histone H2A antibody [EPR895] - Nuclear Marker (AB124781)

~22kDa band may be the monoubiquitinated form of histone H2A

Blocking buffer and concentration : 5% NFDM/TBST.

Diluting buffer and concentration : 5% NFDM /TBST.

All lanes:

Western blot - Anti-Histone H2A antibody [EPR895] - Nuclear Marker (ab124781) at 1/2000 dilution

Lane 1:

Raji cell lysate at 20 µg

Lane 2:

HEK293 cell lysate at 20 µg

Lane 3:

Mouse kidney tissue lysate at 20 µg

Lane 4:

Rat kidney tissue lysate at 20 µg

Secondary

All lanes:

Peroxidase-conjugated goat anti-rabbit IgG (H+L) at 1/1000 dilution

Predicted band size: 15 kDa

Observed band size: 14 kDa,22 kDa

false

Western blot - Anti-Histone H2A antibody [EPR895] - Nuclear Marker (AB124781)
  • WB

Lab

Western blot - Anti-Histone H2A antibody [EPR895] - Nuclear Marker (AB124781)

Blocking buffer and concentration : 5% NFDM/TBST.

Diluting buffer and concentration : 5% NFDM /TBST.

All lanes:

Western blot - Anti-Histone H2A antibody [EPR895] - Nuclear Marker (ab124781) at 1/3000 dilution

Lane 1:

Raji cell lysate at 20 µg

Lane 2:

HEK293 cell lysate at 20 µg

Lane 3:

Mouse kidney tissue lysate at 20 µg

Lane 4:

Rat kidney tissue lysate at 20 µg

Secondary

All lanes:

Peroxidase-conjugated goat anti-rabbit IgG (H+L) at 1/1000 dilution

Predicted band size: 15 kDa

Observed band size: 14 kDa,22 kDa

false

Western blot - Anti-Histone H2A antibody [EPR895] - Nuclear Marker (AB124781)
  • WB

Unknown

Western blot - Anti-Histone H2A antibody [EPR895] - Nuclear Marker (AB124781)

All lanes:

Western blot - Anti-Histone H2A antibody [EPR895] - Nuclear Marker (ab124781) at 1/1000 dilution

Lane 1:

Raji lysate at 10 µg

Lane 2:

Fetal kidney lysate at 10 µg

Lane 3:

Human heart lysate at 10 µg

Secondary

All lanes:

HRP labelled Goat anti Rabbit IgG at 1/2000 dilution

Predicted band size: 15 kDa

Observed band size: 14 kDa

false

Western blot - Anti-Histone H2A antibody [EPR895] - Nuclear Marker (AB124781)
  • WB

Lab

Western blot - Anti-Histone H2A antibody [EPR895] - Nuclear Marker (AB124781)

Blocking and diluting buffer and concentration : 5% NFDM/TBST.

In Western blot, Anti-GAPDH antibody [EPR16891] - Loading Control (ab181602) staining at 1/1000000 dilution.

In Western blot, Anti-Histone H2A.X antibody [EPR895] - Nuclear Marker (ab124781) staining at 1/2000 dilution.

The identity of the bands between 37kDa and 50kDa are unknown.

All lanes:

Western blot - Anti-gamma H2A.X (phospho S139) antibody [EP854(2)Y] (<a href='/en-us/products/primary-antibodies/gamma-h2ax-phospho-s139-antibody-ep8542y-ab81299'>ab81299</a>) at 1/1000 dilution

Lane 1:

Untreated NIH/3T3 (Mouse embryonic fibroblast) whole cell lysate at 20 µg

Lane 2:

NIH/3T3 treated with 30µg/ml etoposide for 4 hours, 500ng/ml Trichostatin A(TSA) was then added for additional 4 hours whole cell lysate at 20 µg

Lane 3:

NIH/3T3 treated with 30µg/ml etoposide for 4 hours, 500ng/ml Trichostatin A(TSA) was then added for additional 4 hours whole cell lysate 20µg, then the membrane treated with Alkaline Phosphatase for 1 hour at 20 µg

Secondary

All lanes:

Western blot - Goat Anti-Rabbit IgG H&L (HRP) (<a href='/en-us/products/secondary-antibodies/goat-rabbit-igg-h-l-hrp-ab97051'>ab97051</a>) at 1/20000 dilution

Observed band size: 15 kDa

false

Exposure time: 180s

Western blot - Anti-Histone H2A antibody [EPR895] - Nuclear Marker (AB124781)
  • WB

Lab

Western blot - Anti-Histone H2A antibody [EPR895] - Nuclear Marker (AB124781)

Blocking and diluting buffer and concentration : 5% NFDM/TBST.

In Western blot, Anti-GAPDH antibody [EPR16891] - Loading Control (ab181602) staining at 1/1000000 dilution.

In Western blot, Anti-Histone H2A.X antibody [EPR895] - Nuclear Marker (ab124781) staining at 1/2000 dilution.

The identity of the bands between 20kDa and 75kDa are unknown.

All lanes:

Western blot - Anti-gamma H2A.X (phospho S139) antibody [EP854(2)Y] (<a href='/en-us/products/primary-antibodies/gamma-h2ax-phospho-s139-antibody-ep8542y-ab81299'>ab81299</a>) at 1/1000 dilution

Lane 1:

Untreated PC-12 (Rat adrenal gland pheochromocytoma) whole cell lysate at 20 µg

Lane 2:

PC-12 treated with 3µM etoposide for 1-hour whole cell lysate at 20 µg

Lane 3:

PC-12 treated with 3µM etoposide for 1-hour whole cell lysate 20µg, then the membrane treated with Alkaline Phosphatase for 1 hour at 20 µg

Secondary

All lanes:

Western blot - Goat Anti-Rabbit IgG H&L (HRP) (<a href='/en-us/products/secondary-antibodies/goat-rabbit-igg-h-l-hrp-ab97051'>ab97051</a>) at 1/20000 dilution

Observed band size: 15 kDa

false

Exposure time: 3s

Western blot - Anti-Histone H2A antibody [EPR895] - Nuclear Marker (AB124781)
  • WB

Lab

Western blot - Anti-Histone H2A antibody [EPR895] - Nuclear Marker (AB124781)

Blocking and diluting buffer and concentration : 5% NFDM/TBST

Anti-His tag antibody (ab213204) did not detect the 14 kDa protein, indicating that the His tag may have been cleaved from the 14 kDa protein.

All lanes:

Western blot - Anti-Histone H2A antibody [EPR895] - Nuclear Marker (ab124781) at 1/1000 dilution

Lane 1:

293T cells transfected with an empty vector containing a His tag whole cell lysate at 20 µg

Lane 2:

293T cells transfected with a full-length human Histone H2AX (P16104) expression vector containing a His-tag whole cell lysate at 20 µg

Lane 3:

293T cells transfected with a full-length human Histone H2A type 1-A (Q96QV6) Expression vector containing a His-tag whole cell lysate at 20 µg

Lane 4:

293T cells transfected with a full-length human Histone H2A type 2-A (Q6FI13) expression vector containing a His-tag whole cell lysate at 20 µg

Secondary

All lanes:

Western blot - Goat Anti-Rabbit IgG H&L (HRP) (<a href='/en-us/products/secondary-antibodies/goat-rabbit-igg-h-l-hrp-ab97051'>ab97051</a>) at 1/20000 dilution

Observed band size: 22 kDa

false

Exposure time: 60s

  • Carrier free

    Anti-Histone H2A antibody [EPR895] - BSA and Azide free

  • 519 Alexa Fluor® 488

    Alexa Fluor® 488 Anti-Histone H2A antibody [EPR895] - Nuclear Marker

  • 665 Alexa Fluor® 647

    Alexa Fluor® 647 Anti-Histone H2A antibody [EPR895] - Nuclear Marker

Key facts

Host species

Rabbit

Clonality

Monoclonal

Clone number

EPR895

Isotype

IgG

Carrier free

No

Reacts with

Mouse, Rat, Human

Applications

IP, WB, ICC/IF, Flow Cyt (Intra), IHC-P

applications

Immunogen

The exact immunogen used to generate this antibody is proprietary information.

Specificity

This antibody does not work in ICC/IF on PFA fixed cells but does work on methanol fixed cells. The immunogen binds to canonical H2A proteins as well as other H2A variants including H2A.X. For Histone H2A.X specific antibody, please use ab229914.

Reactivity data

{ "title": "Reactivity Data", "filters": { "stats": ["", "Species", "Dilution Info", "Notes"], "tabs": { "all-applications": {"fullname" : "All Applications", "shortname": "All Applications"}, "IHCP" : {"fullname" : "Immunohistochemistry (Formalin/PFA-fixed paraffin-embedded sections)", "shortname":"IHC-P"}, "IP" : {"fullname" : "Immunoprecipitation", "shortname":"IP"}, "WB" : {"fullname" : "Western blot", "shortname":"WB"}, "ICCIF" : {"fullname" : "Immunocytochemistry/ Immunofluorescence", "shortname":"ICC/IF"}, "FlowCytIntra" : {"fullname" : "Flow Cytometry (Intracellular)", "shortname":"Flow Cyt (Intra)"} }, "product-promise": { "all": "all", "testedAndGuaranteed": "tested", "guaranteed": "expected", "predicted": "predicted", "notRecommended": "not-recommended" } }, "values": { "Human": { "IHCP-species-checked": "testedAndGuaranteed", "IHCP-species-dilution-info": "1/500 - 1/1000", "IHCP-species-notes": "<p><a href='/en-us/products/primary-antibodies/rabbit-igg-monoclonal-epr25a-isotype-control-ab172730'>ab172730</a> - Rabbit monoclonal IgG, is suitable for use as an isotype control with this antibody.</p> Perform heat-mediated antigen retrieval before commencing with IHC staining protocol.", "IP-species-checked": "testedAndGuaranteed", "IP-species-dilution-info": "5 µg/mL", "IP-species-notes": "<p></p>", "WB-species-checked": "testedAndGuaranteed", "WB-species-dilution-info": "1/1000 - 1/10000", "WB-species-notes": "<p></p>", "ICCIF-species-checked": "testedAndGuaranteed", "ICCIF-species-dilution-info": "1/1000", "ICCIF-species-notes": "<p>ab124781 does not work on PFA fixed cells but does work on methanol fixed cells.</p>", "FlowCytIntra-species-checked": "testedAndGuaranteed", "FlowCytIntra-species-dilution-info": "", "FlowCytIntra-species-notes": "<p></p>" }, "Mouse": { "IHCP-species-checked": "guaranteed", "IHCP-species-dilution-info": "", "IHCP-species-notes": "", "IP-species-checked": "guaranteed", "IP-species-dilution-info": "", "IP-species-notes": "", "WB-species-checked": "testedAndGuaranteed", "WB-species-dilution-info": "1/1000 - 1/10000", "WB-species-notes": "<p></p>", "ICCIF-species-checked": "guaranteed", "ICCIF-species-dilution-info": "", "ICCIF-species-notes": "", "FlowCytIntra-species-checked": "guaranteed", "FlowCytIntra-species-dilution-info": "", "FlowCytIntra-species-notes": "" }, "Rat": { "IHCP-species-checked": "guaranteed", "IHCP-species-dilution-info": "", "IHCP-species-notes": "", "IP-species-checked": "guaranteed", "IP-species-dilution-info": "", "IP-species-notes": "", "WB-species-checked": "testedAndGuaranteed", "WB-species-dilution-info": "1/1000 - 1/10000", "WB-species-notes": "<p></p>", "ICCIF-species-checked": "guaranteed", "ICCIF-species-dilution-info": "", "ICCIF-species-notes": "", "FlowCytIntra-species-checked": "guaranteed", "FlowCytIntra-species-dilution-info": "", "FlowCytIntra-species-notes": "" }, "Recombinant full length protein - Human": { "IHCP-species-checked": "notRecommended", "IHCP-species-dilution-info": "", "IHCP-species-notes": "", "IP-species-checked": "notRecommended", "IP-species-dilution-info": "", "IP-species-notes": "", "WB-species-checked": "testedAndGuaranteed", "WB-species-dilution-info": "1/1000 - 1/10000", "WB-species-notes": "<p></p>", "ICCIF-species-checked": "notRecommended", "ICCIF-species-dilution-info": "", "ICCIF-species-notes": "", "FlowCytIntra-species-checked": "notRecommended", "FlowCytIntra-species-dilution-info": "", "FlowCytIntra-species-notes": "" } } }

Product details

What is this antibody validated in?
Anti-Histone H2A antibody [EPR895] - Nuclear Marker (ab124781) is a rabbit recombinant monoclonal antibody and is validated for use in Western Blot (WB), Flow Cytometry (Intra), Flow Cytometry (Flow Cyt), Immunoprecipitation (IP), Immunohistochemistry (IHC-P), Immunocytochemistry/immunofluorescence (ICC/IF) in Human, Mouse, Rat samples.

Trusted by the scientific community
Anti-Histone H2A [EPR895] - Nuclear Marker (ab124781) was first used in a scientific publication in 2012 and has been cited over 30 times in peer-reviewed journals.

Trial sizes available!
Test your antibody or perform pre-screening before committing to a larger quantity. Sold in 10µl. Discover our selection of trial-size antibodies.

Other related products
We have a range of other formats of antibody clone [EPR895] also available for your convenience: ab124781, Carrier free - ab217838, Alexa Fluor® 488 - ab218347, Alexa Fluor® 647 - ab300736, PE - ab314274

Patented technology
Our RabMAb® technology is a patented hybridoma-based technology for making rabbit monoclonal antibodies. For details on our patents, please refer to RabMAb® patents.

What are the advantages of a recombinant monoclonal antibody?
This product is a recombinant monoclonal antibody, which offers several advantages including:

  • - High batch-to-batch consistency and reproducibility
  • - Improved sensitivity and specificity
  • - Long-term security of supply
  • - Animal-free batch production

For more information, read more on recombinant antibodies.

Properties and storage information

Form
Liquid
Purification technique
Affinity purification Protein A
Storage buffer
pH: 7.2 - 7.4 Preservative: 0.01% Sodium azide Constituents: PBS, 40% Glycerol (glycerin, glycerine), 0.05% BSA
Shipped at conditions
Blue Ice
Appropriate short-term storage duration
1-2 weeks
Appropriate short-term storage conditions
+4°C
Appropriate long-term storage conditions
-20°C
Aliquoting information
Upon delivery aliquot
Storage information
Stable for 12 months at -20°C

Product protocols

For this product, it's our understanding that no specific protocols are required. You can visit:

Target data

Variant histone H2A which replaces conventional H2A in a subset of nucleosomes. Nucleosomes wrap and compact DNA into chromatin, limiting DNA accessibility to the cellular machineries which require DNA as a template. Histones thereby play a central role in transcription regulation, DNA repair, DNA replication and chromosomal stability. DNA accessibility is regulated via a complex set of post-translational modifications of histones, also called histone code, and nucleosome remodeling. Required for checkpoint-mediated arrest of cell cycle progression in response to low doses of ionizing radiation and for efficient repair of DNA double strand breaks (DSBs) specifically when modified by C-terminal phosphorylation.
See full target information H2AX

Additional targets

H2AC18,H2AC1

Publications (44)

Recent publications for all applications. Explore the full list and refine your search

Chinese medicine 20:71 PubMed40420092

2025

Evodiamine induces ferroptosis in prostate cancer cells by inhibiting TRIM26-mediated stabilization of GPX4.

Applications

Unspecified application

Species

Unspecified reactive species

Lanlan Li,Jianzhong Lu,Shengjun Fu,Wenyan Li,Ying Wang,Ke Wang,Yan Tao,Shanhui Liu

Cell death & disease 16:305 PubMed40240356

2025

USP28 promotes PARP inhibitor resistance by enhancing SOX9-mediated DNA damage repair in ovarian cancer.

Applications

Unspecified application

Species

Unspecified reactive species

Fang Han,Gonghua Qi,Rongrong Li,Jiali Peng,Shi Yan,Cunzhong Yuan,Beihua Kong,Hanlin Ma

Clinical and translational medicine 15:e70123 PubMed39748197

2025

Titin gene mutations enhance radiotherapy efficacy via modulation of tumour immune microenvironment in rectum adenocarcinoma.

Applications

Unspecified application

Species

Unspecified reactive species

Hengchang Liu,Jialiang Liu,Xu Guan,Zhixun Zhao,Pu Cheng,Haipeng Chen,Zheng Jiang,Xishan Wang

Journal of nanobiotechnology 22:803 PubMed39734237

2024

Targeting AURKA with multifunctional nanoparticles in CRPC therapy.

Applications

Unspecified application

Species

Unspecified reactive species

Bin Deng,Binghu Ke,Qixing Tian,Yukui Gao,Qiliang Zhai,Wenqiang Zhang

World journal of gastrointestinal oncology 16:4716-4727 PubMed39678812

2024

Enhancing the radiosensitivity of colorectal cancer cells by reducing spermine synthase through promoting autophagy and DNA damage.

Applications

Unspecified application

Species

Unspecified reactive species

Yu-Bin Guo,Yue-Ming Wu,Zhi-Zhao Lin

Thoracic cancer 15:1082-1094 PubMed38553795

2024

Circ-POSTN promotes the progression and reduces radiosensitivity in esophageal cancer by regulating the miR-876-5p/FYN axis.

Applications

Unspecified application

Species

Unspecified reactive species

Alan Chu,Chen Sun,Zongwen Liu,Shijia Liu,Mengxi Li,Rui Song,Lanlan Gan,Yongtai Wang,Ruitai Fan

Cell death & disease 15:30 PubMed38212646

2024

Low androgen signaling rescues genome integrity with innate immune response by reducing fertility in humans.

Applications

Unspecified application

Species

Unspecified reactive species

J Zimmer,L Mueller,P Frank-Herrmann,J Rehnitz,J E Dietrich,M Bettendorf,T Strowitzki,M Krivega

Investigative ophthalmology & visual science 64:6 PubMed38051262

2023

HO-1-Mediated Autophagic Restoration Protects Lens Epithelial Cells Against Oxidative Stress and Cellular Senescence.

Applications

Unspecified application

Species

Unspecified reactive species

Lijun Wang,Wei Lou,Yao Zhang,Ziang Chen,Yang Huang,Haiying Jin

Aging 15:14617-14650 PubMed37870748

2023

Integrated analysis and validation of the TRIM28-H2AX-CDK4 diagnostic model assists to predict the progression of HCC.

Applications

Unspecified application

Species

Unspecified reactive species

Qifei Tian,Guofang Lu,Ying Ma,Lingling Ma,Yulong Shang,Ni Guo,Yan Huang,Lin Zhu,Rui Du

Chemico-biological interactions 384:110702 PubMed37717644

2023

Modulation of paraoxonase-2 in human dermal fibroblasts by UVA-induced oxidative stress: A new potential marker of skin photodamage.

Applications

Unspecified application

Species

Unspecified reactive species

Camilla Morresi,Alessia Luccarini,Fabio Marcheggiani,Gianna Ferretti,Elisabetta Damiani,Tiziana Bacchetti
View all publications

Product promise

We are committed to supporting your work with high-quality reagents, and we're here for you every step of the way. In the unlikely event that one of our products does not perform as expected, you're protected by our Product Promise.
For full details, please see our Terms & Conditions

Please note: All products are 'FOR RESEARCH USE ONLY. NOT FOR USE IN DIAGNOSTIC OR THERAPEUTIC PROCEDURES'.

For licensing inquiries, please contact partnerships@abcam.com