JavaScript is disabled in your browser. Please enable JavaScript to view this website.
AB150402

Anti-Histone H2A.Z antibody [EPR6171(2)(B)] - ChIP Grade

5

(6 Reviews)

|

(16 Publications)

Rabbit Recombinant Monoclonal H2A.Z antibody. Suitable for IHC-P, ChIP, WB, ICC/IF, Flow Cyt (Intra) and reacts with Mouse, Rat, Human samples. Cited in 16 publications.

View Alternative Names

H2AFZ, H2AZ, H2AZ1, Histone H2A.Z, H2A/z

18 Images
Immunohistochemistry (Formalin/PFA-fixed paraffin-embedded sections) - Anti-Histone H2A.Z antibody [EPR6171(2)(B)] - ChIP Grade (AB150402)
  • IHC-P

Unknown

Immunohistochemistry (Formalin/PFA-fixed paraffin-embedded sections) - Anti-Histone H2A.Z antibody [EPR6171(2)(B)] - ChIP Grade (AB150402)

Immunohistochemical analysis of paraffin embedded human prostate hyperplasia tissue using ab150402 showing positive staining.

Perform heat mediated antigen retrieval with citrate buffer pH 6 before commencing with IHC staining protocol.

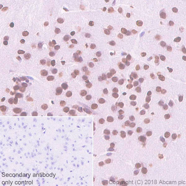
Flow Cytometry (Intracellular) - Anti-Histone H2A.Z antibody [EPR6171(2)(B)] - ChIP Grade (AB150402)
  • Flow Cyt (Intra)

Unknown

Flow Cytometry (Intracellular) - Anti-Histone H2A.Z antibody [EPR6171(2)(B)] - ChIP Grade (AB150402)

Intracellular Flow Cytometry analysis of HeLa (human cervix adenocarcinoma) cells labeling Histone H2A.Z (red) with purified ab150402 at a 1/2500 dilution. Cells were fixed with 80% methanol and permeabilized with 0.1% Tween-20. A goat anti-rabbit IgG (Alexa Fluor® 488) (ab150077) was used as the secondary antibody at a 1/2000 dilution. Black - Rabbit monoclonal IgG (ab172730). Blue (unlabeled control) - Cells without incubation with the primary and secondary antibodies.

Immunohistochemistry (Formalin/PFA-fixed paraffin-embedded sections) - Anti-Histone H2A.Z antibody [EPR6171(2)(B)] - ChIP Grade (AB150402)
  • IHC-P

Unknown

Immunohistochemistry (Formalin/PFA-fixed paraffin-embedded sections) - Anti-Histone H2A.Z antibody [EPR6171(2)(B)] - ChIP Grade (AB150402)

Immunohistochemistry (Formalin/PFA-fixed paraffin-embedded sections) analysis of Human breast tissue sections labeling Histone H2A.Z with purified ab150402 at 1/2000 dilution (1.09 μg/ml). Heat mediated antigen retrieval was performed using heat mediated antigen retrieval using ab93684 (Tris/EDTA buffer, pH 9.0). ImmunoHistoProbe one step HRP Polymer (ready to use) was used as the secondary antibody. Negative control : PBS instead of the primary antibody. Hematoxylin was used as a counterstain.

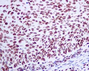
Immunohistochemistry (Formalin/PFA-fixed paraffin-embedded sections) - Anti-Histone H2A.Z antibody [EPR6171(2)(B)] - ChIP Grade (AB150402)
  • IHC-P

Unknown

Immunohistochemistry (Formalin/PFA-fixed paraffin-embedded sections) - Anti-Histone H2A.Z antibody [EPR6171(2)(B)] - ChIP Grade (AB150402)

Immunohistochemical analysis of paraffin-embedded human lung carcinoma tissue labeling Histone H2A.Z with ab150402 (unpurified) at 1/250 dilution.

Perform heat mediated antigen retrieval with citrate buffer pH 6 before commencing with IHC staining protocol.

Immunocytochemistry/ Immunofluorescence - Anti-Histone H2A.Z antibody [EPR6171(2)(B)] - ChIP Grade (AB150402)
  • ICC/IF

Unknown

Immunocytochemistry/ Immunofluorescence - Anti-Histone H2A.Z antibody [EPR6171(2)(B)] - ChIP Grade (AB150402)

Immunofluorescent analysis of HepG2 (Human liver hepatocellular carcinoma cell line) cells labeling Histone H2A.Z with ab150402 (unpurified) at 1/100 dilution.

Immunohistochemistry (Formalin/PFA-fixed paraffin-embedded sections) - Anti-Histone H2A.Z antibody [EPR6171(2)(B)] - ChIP Grade (AB150402)
  • IHC-P

Unknown

Immunohistochemistry (Formalin/PFA-fixed paraffin-embedded sections) - Anti-Histone H2A.Z antibody [EPR6171(2)(B)] - ChIP Grade (AB150402)

Immunohistochemical analysis of paraffin-embedded human colon tissue labeling Histone H2A.Z with ab150402 (unpurified) at 1/250 dilution.

Perform heat mediated antigen retrieval with citrate buffer pH 6 before commencing with IHC staining protocol.

Immunocytochemistry/ Immunofluorescence - Anti-Histone H2A.Z antibody [EPR6171(2)(B)] - ChIP Grade (AB150402)
  • ICC/IF

Unknown

Immunocytochemistry/ Immunofluorescence - Anti-Histone H2A.Z antibody [EPR6171(2)(B)] - ChIP Grade (AB150402)

Immunocytochemistry/ Immunofluorescence analysis of HeLa (Human cervix adenocarcinoma epithelial cell) cells labeling Histone H2A.Z with purified ab150402 at 1/200 dilution (10 μg/ml). Cells were fixed in 100% Methanol. Cells were counterstained with ab195889 Anti-alpha Tubulin antibody [DM1A] - Microtubule Marker (Alexa Fluor® 594) at 1 : 200 (2.5 μg/ml). Goat anti rabbit IgG (Alexa Fluor® 488, ab150077) was used as the secondary antibody at 1/1000 (2 μg/ml) dilution. DAPI (blue) was used as nuclear counterstain. PBS instead of the primary antibody was used as the secondary antibody only control.

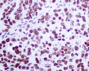
Immunohistochemistry (Formalin/PFA-fixed paraffin-embedded sections) - Anti-Histone H2A.Z antibody [EPR6171(2)(B)] - ChIP Grade (AB150402)
  • IHC-P

Unknown

Immunohistochemistry (Formalin/PFA-fixed paraffin-embedded sections) - Anti-Histone H2A.Z antibody [EPR6171(2)(B)] - ChIP Grade (AB150402)

Immunohistochemical analysis of paraffin embedded human cervical carcinoma tissue using ab150402 (unpurified) showing positive staining.

Perform heat mediated antigen retrieval with citrate buffer pH 6 before commencing with IHC staining protocol.

Immunohistochemistry (Formalin/PFA-fixed paraffin-embedded sections) - Anti-Histone H2A.Z antibody [EPR6171(2)(B)] - ChIP Grade (AB150402)
  • IHC-P

Unknown

Immunohistochemistry (Formalin/PFA-fixed paraffin-embedded sections) - Anti-Histone H2A.Z antibody [EPR6171(2)(B)] - ChIP Grade (AB150402)

Immunohistochemical analysis of paraffin embedded normal human kidney tissue using ab150402 (unpurified) showing positive staining.

Perform heat mediated antigen retrieval with citrate buffer pH 6 before commencing with IHC staining protocol.

Immunohistochemistry (Formalin/PFA-fixed paraffin-embedded sections) - Anti-Histone H2A.Z antibody [EPR6171(2)(B)] - ChIP Grade (AB150402)
  • IHC-P

Unknown

Immunohistochemistry (Formalin/PFA-fixed paraffin-embedded sections) - Anti-Histone H2A.Z antibody [EPR6171(2)(B)] - ChIP Grade (AB150402)

Immunohistochemical analysis of paraffin embedded human ovarian carcinoma tissue using ab150402 (unpurified) showing positive staining.

Perform heat mediated antigen retrieval with citrate buffer pH 6 before commencing with IHC staining protocol.

ChIP - Anti-Histone H2A.Z antibody [EPR6171(2)(B)] - ChIP Grade (AB150402)
  • ChIP

Lab

ChIP - Anti-Histone H2A.Z antibody [EPR6171(2)(B)] - ChIP Grade (AB150402)

Chromatin was prepared from HeLa (Human epithelial cell line from cervix adenocarcinoma) cells according to the Abcam X-ChIP protocol. Cells were fixed with formaldehyde for 10 minutes. The ChIP was performed with 25μg of chromatin, 2μg of ab150402 (unpurified) (blue), and 20μl of Anti rabbit IgG sepharose beads. 2μg of rabbit normal IgG was added to the beads control (yellow). The immunoprecipitated DNA was quantified by real time PCR (Sybr green approach). Primers and probes are located in the first kb of the transcribed region.

ChIP - Anti-Histone H2A.Z antibody [EPR6171(2)(B)] - ChIP Grade (AB150402)
  • ChIP

Unknown

ChIP - Anti-Histone H2A.Z antibody [EPR6171(2)(B)] - ChIP Grade (AB150402)

Chromatin was prepared from HeLa cells according to the Abcam X-ChIP protocol*. Cells were fixed with formaldehyde for 10 minutes.
The ChIP was performed with 25 μg of chromatin, 2 μg of ab150402 (red), and 20 μl of Protein A/G sepharose beads. 2 μg of rabbit normal IgG was added to the beads control (gray). The immunoprecipitated DNA was quantified by real time PCR (Taqman approach for active and inactive loci, Sybr green approach for heterochromatic loci).
Primers and probes are located in the first kb of the transcribed region.
*http : //www.abcam.com/resources?keywords=X%20ChIP%20protocol

Immunohistochemistry (Formalin/PFA-fixed paraffin-embedded sections) - Anti-Histone H2A.Z antibody [EPR6171(2)(B)] - ChIP Grade (AB150402)
  • IHC-P

Unknown

Immunohistochemistry (Formalin/PFA-fixed paraffin-embedded sections) - Anti-Histone H2A.Z antibody [EPR6171(2)(B)] - ChIP Grade (AB150402)

Immunohistochemistry (Formalin/PFA-fixed paraffin-embedded sections) analysis of Mouse cerebrum tissue sections labeling Histone H2A.Z with purified ab150402 at 1/2000 dilution (1.09 μg/ml). Heat mediated antigen retrieval was performed using ab93684 (Tris/EDTA buffer, pH 9.0). ImmunoHistoProbe one step HRP Polymer (ready to use) was used as the secondary antibody. Negative control : PBS instead of the primary antibody. Hematoxylin was used as a counterstain.

Immunohistochemistry (Formalin/PFA-fixed paraffin-embedded sections) - Anti-Histone H2A.Z antibody [EPR6171(2)(B)] - ChIP Grade (AB150402)
  • IHC-P

Unknown

Immunohistochemistry (Formalin/PFA-fixed paraffin-embedded sections) - Anti-Histone H2A.Z antibody [EPR6171(2)(B)] - ChIP Grade (AB150402)

Immunohistochemistry (Formalin/PFA-fixed paraffin-embedded sections) analysis of Rat cerebrum tissue sections labeling Histone H2A.Z with purified ab150402 at 1 : 2000 dilution (1.09 μg/ml). Heat mediated antigen retrieval was performed using ab93684 (Tris/EDTA buffer, pH 9.0). ImmunoHistoProbe one step HRP Polymer (ready to use) was used as the secondary antibody. Negative control : PBS instead of the primary antibody. Hematoxylin was used as a counterstain.

Western blot - Anti-Histone H2A.Z antibody [EPR6171(2)(B)] - ChIP Grade (AB150402)
  • WB

Lab

Western blot - Anti-Histone H2A.Z antibody [EPR6171(2)(B)] - ChIP Grade (AB150402)

Blocking buffer : 5% NFDM/TBST.

All lanes:

Western blot - Anti-Histone H2A.Z antibody [EPR6171(2)(B)] - ChIP Grade (ab150402) at 1/1000 dilution

Lane 1:

HeLa (Human cervix adenocarcinoma epithelial cell) whole cell lysates prepared in RIPA lysis method at 15 µg

Lane 2:

HeLa (Human cervix adenocarcinoma epithelial cell) whole cell lysates prepared in 1% SDS Hot lysis method at 15 µg

Lane 3:

PC-12 (Rat adrenal gland pheochromocytoma) whole cell lysates prepared in RIPA lysis method at 15 µg

Lane 4:

PC-12 (Rat adrenal gland pheochromocytoma) whole cell lysates prepared in 1% SDS Hot lysis method at 15 µg

Secondary

All lanes:

Western blot - Goat Anti-Rabbit IgG H&L (HRP) (<a href='/en-us/products/secondary-antibodies/goat-rabbit-igg-h-l-hrp-ab97051'>ab97051</a>) at 1/20000 dilution

Predicted band size: 14 kDa

Observed band size: 13 kDa

false

Western blot - Anti-Histone H2A.Z antibody [EPR6171(2)(B)] - ChIP Grade (AB150402)
  • WB

AbReview47197****

Western blot - Anti-Histone H2A.Z antibody [EPR6171(2)(B)] - ChIP Grade (AB150402)

All lanes:

Western blot - Anti-Histone H2A.Z antibody [EPR6171(2)(B)] - ChIP Grade (ab150402) at 1/1000 dilution

Lane 1:

Recombinant Human octamers containing H2A at 1 µg

Lane 2:

Recombinant Human octamers containing H2A at 0.5 µg

Lane 3:

Native recombinant octamers K562 cells at 3 µg

Lane 4:

Native recombinant octamers K562 cells at 1.5 µg

Lane 5:

Recombinant Human octamers containing H2A.Z.2.1 at 0.5 µg

Lane 6:

Recombinant Human octamers containing H2A.Z.1 at 0.5 µg

Secondary

All lanes:

HRP-conjugated donkey anti-rabbit IgG polyclonal at 1/10000 dilution

Predicted band size: 14 kDa

Observed band size: 15 kDa

true

Exposure time: 5min

This image is courtesy of an Abreview submitted by Ragnhild Eskeland

Western blot - Anti-Histone H2A.Z antibody [EPR6171(2)(B)] - ChIP Grade (AB150402)
  • WB

Lab

Western blot - Anti-Histone H2A.Z antibody [EPR6171(2)(B)] - ChIP Grade (AB150402)

All lanes:

Western blot - Anti-Histone H2A.Z antibody [EPR6171(2)(B)] - ChIP Grade (ab150402) at 1/5000 dilution

Lane 1:

HeLa (Human cervix adenocarcinoma epithelial cell) whole cell lysates at 15 µg

Lane 2:

PC-12 (Rat adrenal gland pheochromocytoma) whole cell lysates at 15 µg

Lane 3:

Neuro-2a (Mouse neuroblastoma neuroblast) whole cell lysates at 15 µg

Lane 4:

RAW 264.7 (Mouse Abelson murine leukemia virus-induced tumor macrophage) whole cell lysates at 15 µg

Lane 5:

C6 (Rat glial tumor glial cell) whole cell lysates at 15 µg

Secondary

All lanes:

Western blot - Goat Anti-Rabbit IgG H&L (HRP) (<a href='/en-us/products/secondary-antibodies/goat-rabbit-igg-h-l-hrp-ab97051'>ab97051</a>) at 1/20000 dilution

Predicted band size: 14 kDa

Observed band size: 13 kDa

false

Western blot - Anti-Histone H2A.Z antibody [EPR6171(2)(B)] - ChIP Grade (AB150402)
  • WB

CiteAb

Western blot - Anti-Histone H2A.Z antibody [EPR6171(2)(B)] - ChIP Grade (AB150402)

Histone H2A.Z western blot using anti-Histone H2A.Z antibody [EPR6171(2)(B)] - ChIP Grade ab150402. Publication image and figure legend from Lowe, D. J., Herzog, M., et al., 2020, Sci Rep, PubMed 32042076.

ab150402 was used in this publication in western blot. This may not be the same as the application(s) guaranteed by Abcam. For a full list of applications guaranteed by Abcam for ab150402 please see the product overview.

Chronic γ-radiation reduces histone levels. (a) Western blot analyses of histone H2AX and γH2AX in primary fibroblasts exposed to various dose-rates of chronic γ-radiation for 7 days. Cells irradiated with a single acute dose of 4 Gy X-ray were included as control. (b) Effect of chronic γ-irradiation on H2AX levels in three different isogenic primary cell types from a different donor to that used in (a) at the same dose rates as in (a). (c) Immunoblots of other histones in chronically irradiated primary fibroblasts. (d) All significant histone level changes detected by SILAC LC-MS/MS protein analyses of samples from primary fibroblasts exposed or mock-exposed to chronic γ-radiation for 7 days.

false

  • 665 Alexa Fluor® 647

    Alexa Fluor® 647 Anti-Histone H2A.Z antibody [EPR6171(2)(B)] - Nuclear Marker

  • Carrier free

    Anti-Histone H2A.Z antibody [EPR6171(2)(B)] - BSA and Azide free

Key facts

Host species

Rabbit

Clonality

Monoclonal

Clone number

EPR6171(2)(B)

Isotype

IgG

Carrier free

No

Reacts with

Mouse, Rat, Human

Applications

ICC/IF, IHC-P, ChIP, WB, Flow Cyt (Intra)

applications

Immunogen

The exact immunogen used to generate this antibody is proprietary information.

Reactivity data

{ "title": "Reactivity Data", "filters": { "stats": ["", "Species", "Dilution Info", "Notes"], "tabs": { "all-applications": {"fullname" : "All Applications", "shortname": "All Applications"}, "IHCP" : {"fullname" : "Immunohistochemistry (Formalin/PFA-fixed paraffin-embedded sections)", "shortname":"IHC-P"}, "ChIP" : {"fullname" : "ChIP", "shortname":"ChIP"}, "WB" : {"fullname" : "Western blot", "shortname":"WB"}, "ICCIF" : {"fullname" : "Immunocytochemistry/ Immunofluorescence", "shortname":"ICC/IF"}, "FlowCytIntra" : {"fullname" : "Flow Cytometry (Intracellular)", "shortname":"Flow Cyt (Intra)"} }, "product-promise": { "all": "all", "testedAndGuaranteed": "tested", "guaranteed": "expected", "predicted": "predicted", "notRecommended": "not-recommended" } }, "values": { "Human": { "IHCP-species-checked": "testedAndGuaranteed", "IHCP-species-dilution-info": "1/2000", "IHCP-species-notes": "<p><strong>For unpurified format use at 1/250 - 1/500 dilution.</strong></p> Perform heat-mediated antigen retrieval with citrate buffer pH 6 before commencing with IHC staining protocol.", "ChIP-species-checked": "testedAndGuaranteed", "ChIP-species-dilution-info": "2 µg for 25 µg chromatin", "ChIP-species-notes": "<p></p>", "WB-species-checked": "testedAndGuaranteed", "WB-species-dilution-info": "1/1000 - 1/10000", "WB-species-notes": "<p></p>", "ICCIF-species-checked": "testedAndGuaranteed", "ICCIF-species-dilution-info": "1/100 - 1/250", "ICCIF-species-notes": "<p></p>", "FlowCytIntra-species-checked": "testedAndGuaranteed", "FlowCytIntra-species-dilution-info": "1/2500", "FlowCytIntra-species-notes": "<p></p>" }, "Mouse": { "IHCP-species-checked": "testedAndGuaranteed", "IHCP-species-dilution-info": "1/2000", "IHCP-species-notes": "<p><strong>For unpurified format use at 1/250 - 1/500 dilution.</strong></p> Perform heat-mediated antigen retrieval with citrate buffer pH 6 before commencing with IHC staining protocol.", "ChIP-species-checked": "guaranteed", "ChIP-species-dilution-info": "", "ChIP-species-notes": "", "WB-species-checked": "guaranteed", "WB-species-dilution-info": "", "WB-species-notes": "", "ICCIF-species-checked": "guaranteed", "ICCIF-species-dilution-info": "", "ICCIF-species-notes": "", "FlowCytIntra-species-checked": "guaranteed", "FlowCytIntra-species-dilution-info": "", "FlowCytIntra-species-notes": "" }, "Rat": { "IHCP-species-checked": "testedAndGuaranteed", "IHCP-species-dilution-info": "1/2000", "IHCP-species-notes": "<p><strong>For unpurified format use at 1/250 - 1/500 dilution.</strong></p> Perform heat-mediated antigen retrieval with citrate buffer pH 6 before commencing with IHC staining protocol.", "ChIP-species-checked": "guaranteed", "ChIP-species-dilution-info": "", "ChIP-species-notes": "", "WB-species-checked": "guaranteed", "WB-species-dilution-info": "", "WB-species-notes": "", "ICCIF-species-checked": "guaranteed", "ICCIF-species-dilution-info": "", "ICCIF-species-notes": "", "FlowCytIntra-species-checked": "guaranteed", "FlowCytIntra-species-dilution-info": "", "FlowCytIntra-species-notes": "" } } }

Product details

Patented technology
Our RabMAb® technology is a patented hybridoma-based technology for making rabbit monoclonal antibodies. For details on our patents, please refer to RabMAb® patents.

What are the advantages of a recombinant monoclonal antibody?
This product is a recombinant monoclonal antibody, which offers several advantages including:

  • - High batch-to-batch consistency and reproducibility
  • - Improved sensitivity and specificity
  • - Long-term security of supply
  • - Animal-free batch production

For more information, read more on recombinant antibodies.

Properties and storage information

Form
Liquid
Purification technique
Affinity purification Protein A
Storage buffer
Preservative: 0.01% Sodium azide Constituents: PBS, 40% Glycerol (glycerin, glycerine), 0.05% BSA
Shipped at conditions
Blue Ice
Appropriate short-term storage duration
1-2 weeks
Appropriate short-term storage conditions
+4°C
Appropriate long-term storage conditions
-20°C
Aliquoting information
Upon delivery aliquot
Storage information
Avoid freeze / thaw cycle

Product protocols

For this product, it's our understanding that no specific protocols are required. You can visit:

Target data

Variant histone H2A which replaces conventional H2A in a subset of nucleosomes. Nucleosomes wrap and compact DNA into chromatin, limiting DNA accessibility to the cellular machineries which require DNA as a template. Histones thereby play a central role in transcription regulation, DNA repair, DNA replication and chromosomal stability. DNA accessibility is regulated via a complex set of post-translational modifications of histones, also called histone code, and nucleosome remodeling. May be involved in the formation of constitutive heterochromatin. May be required for chromosome segregation during cell division.
See full target information H2AZ1

Publications (16)

Recent publications for all applications. Explore the full list and refine your search

Proceedings of the National Academy of Sciences of the United States of America 121:e2315860121 PubMed38408244

2024

Host-encoded CTCF regulates human cytomegalovirus latency via chromatin looping.

Applications

Unspecified application

Species

Unspecified reactive species

Ian J Groves,Stephen M Matthews,Christine M O'Connor

Cell reports 43:113707 PubMed38306270

2024

H2A.Z histone variants facilitate HDACi-dependent removal of H3.3K27M mutant protein in pediatric high-grade glioma cells.

Applications

Unspecified application

Species

Unspecified reactive species

Katarzyna B Leszczynska,Amanda Freitas-Huhtamäki,Chinchu Jayaprakash,Monika Dzwigonska,Francisca N L Vitorino,Cynthia Horth,Kamil Wojnicki,Bartlomiej Gielniewski,Paulina Szadkowska,Beata Kaza,Javad Nazarian,Maciej K Ciolkowski,Joanna Trubicka,Wieslawa Grajkowska,Benjamin A Garcia,Jacek Majewski,Bozena Kaminska,Jakub Mieczkowski

International journal of biological sciences 19:3266-3284 PubMed37416763

2023

Loss of MIR503HG facilitates papillary renal cell carcinoma associated lymphatic metastasis by triggering NOTCH1/VEGFC signaling.

Applications

Unspecified application

Species

Unspecified reactive species

Yiqiu Wang,Xinyi Zheng,Wenjie Huang,Jiayi Lu,Naiqiao Hou,Jiabao Qi,Junjie Ma,Wei Xue,Junhua Zheng,Wei Zhai

Communications biology 6:215 PubMed36823213

2023

MacroH2A histone variants modulate enhancer activity to repress oncogenic programs and cellular reprogramming.

Applications

Unspecified application

Species

Unspecified reactive species

Wazim Mohammed Ismail,Amelia Mazzone,Flavia G Ghiraldini,Jagneet Kaur,Manvir Bains,Amik Munankarmy,Monique S Bagwell,Stephanie L Safgren,John Moore-Weiss,Marina Buciuc,Lynzie Shimp,Kelsey A Leach,Luis F Duarte,Chandandeep S Nagi,Saul Carcamo,Chi-Yeh Chung,Dan Hasson,Neda Dadgar,Jian Zhong,Jeong-Heon Lee,Fergus J Couch,Alexander Revzin,Tamas Ordog,Emily Bernstein,Alexandre Gaspar-Maia

American journal of human genetics 110:460-474 PubMed36773604

2023

Inherited mutations affecting the SRCAP complex are central in moderate-penetrance predisposition to uterine leiomyomas.

Applications

Unspecified application

Species

Unspecified reactive species

Niko Välimäki,Vilja Jokinen,Tatiana Cajuso,Heli Kuisma,Aurora Taira,Olivia Dagnaud,Sini Ilves,Jaana Kaukomaa,Annukka Pasanen,Kimmo Palin,Oskari Heikinheimo,Ralf Bützow,Lauri A Aaltonen,Auli Karhu

Nature 613:195-202 PubMed36544023

2022

BRD8 maintains glioblastoma by epigenetic reprogramming of the p53 network.

Applications

Unspecified application

Species

Unspecified reactive species

Xueqin Sun,Olaf Klingbeil,Bin Lu,Caizhi Wu,Carlos Ballon,Meng Ouyang,Xiaoli S Wu,Ying Jin,Yon Hwangbo,Yu-Han Huang,Tim D D Somerville,Kenneth Chang,Jung Park,Taemoon Chung,Scott K Lyons,Junwei Shi,Hannes Vogel,Michael Schulder,Christopher R Vakoc,Alea A Mills

Advanced science (Weinheim, Baden-Wurttemberg, Germany) 9:e2200057 PubMed35717671

2022

Hierarchical Accumulation of Histone Variant H2A.Z Regulates Transcriptional States and Histone Modifications in Early Mammalian Embryos.

Applications

Unspecified application

Species

Unspecified reactive species

Xin Liu,Jingjing Zhang,Jilong Zhou,Guowei Bu,Wei Zhu,Hainan He,Qiaoran Sun,Zhisheng Yu,Wenjing Xiong,Liyan Wang,Danya Wu,Chengli Dou,Longtao Yu,Kai Zhou,Shangke Wang,Zhengang Fan,Tingting Wang,Ruifeng Hu,Taotao Hu,Xia Zhang,Yi-Liang Miao

Medical science monitor : international medical journal of experimental and clinical research 28:e933447 PubMed35027526

2022

H2A Histone Family Member Z (H2AFZ) Serves as a Prognostic Biomarker in Lung Adenocarcinoma: Bioinformatic Analysis and Experimental Validation.

Applications

Unspecified application

Species

Unspecified reactive species

Zongkuo Li,Menglong Hu,Jinhuan Qiu,Junkai Feng,Ruizhen Zhang,Huifang Wu,Guiming Hu,Jingli Ren

Journal of immunology (Baltimore, Md. : 1950) 207:2976-2991 PubMed34810221

2021

RUNX1 Regulates a Transcription Program That Affects the Dynamics of Cell Cycle Entry of Naive Resting B Cells.

Applications

Unspecified application

Species

Unspecified reactive species

Inesa Thomsen,Natalia Kunowska,Roshni de Souza,Anne-Marie Moody,Greg Crawford,Yi-Fang Wang,Sanjay Khadayate,Chad Whilding,Jessica Strid,Mohammad M Karimi,Alexis R Barr,Niall Dillon,Pierangela Sabbattini

Cell 184:3915-3935.e21 PubMed34174187

2021

The single-cell epigenomic and transcriptional landscape of immunity to influenza vaccination.

Applications

Unspecified application

Species

Unspecified reactive species

Florian Wimmers,Michele Donato,Alex Kuo,Tal Ashuach,Shakti Gupta,Chunfeng Li,Mai Dvorak,Mariko Hinton Foecke,Sarah E Chang,Thomas Hagan,Sanne E De Jong,Holden T Maecker,Robbert van der Most,Peggie Cheung,Mario Cortese,Steven E Bosinger,Mark Davis,Nadine Rouphael,Shankar Subramaniam,Nir Yosef,Paul J Utz,Purvesh Khatri,Bali Pulendran
View all publications

Product promise

We are committed to supporting your work with high-quality reagents, and we're here for you every step of the way. In the unlikely event that one of our products does not perform as expected, you're protected by our Product Promise.
For full details, please see our Terms & Conditions

Please note: All products are 'FOR RESEARCH USE ONLY. NOT FOR USE IN DIAGNOSTIC OR THERAPEUTIC PROCEDURES'.

For licensing inquiries, please contact partnerships@abcam.com