JavaScript is disabled in your browser. Please enable JavaScript to view this website.
AB52484

Anti-Histone H2B antibody [mAbcam 52484] - ChIP Grade

4

(13 Reviews)

|

(58 Publications)

Anti-Histone H2B antibody [mAbcam 52484] - ChIP Grade (ab52484) is a mouse monoclonal antibody detecting Histone H2B in Western Blot, Flow Cytometry (Intra), Flow Cytometry, IP, IHC-P, ICC/IF, ChIP. Suitable for Human, Mouse, Rat.

- Over 40 publications
- Trusted since 2008

View Alternative Names

H2BFF, HIST1H2BB, H2BC3, Histone H2B type 1-B, H2B-clustered histone 3, Histone H2B.1, Histone H2B.f, H2B/f

20 Images
Immunocytochemistry/ Immunofluorescence - Anti-Histone H2B antibody [mAbcam 52484] - ChIP Grade (AB52484)
  • ICC/IF

Lab

Immunocytochemistry/ Immunofluorescence - Anti-Histone H2B antibody [mAbcam 52484] - ChIP Grade (AB52484)

HeLa cells were fixed in 100% methanol and permeabilized with 0.1% Triton X-100. Primary antibody, ab52484 at 1 : 2000 was incubated overnight at 4° C, followed by AlexaFluor® 488-conjugated Goat anti-mouse secondary antibody (ab150117) at 1/1000 dilution at RT for 45 min. ab179513 Anti-beta Tubulin, used as a counterstain at 1/200 dilution, was co-incubated with ab52484 overnight at 4° C, followed by Alexa Fluor® 594 Goat Anti-Rabbit secondary (ab150080) at 1/1000 dilution at RT for 45 min. Nucleus were visualized using DAPI.

Flow Cytometry (Intracellular) - Anti-Histone H2B antibody [mAbcam 52484] - ChIP Grade (AB52484)
  • Flow Cyt (Intra)

Lab

Flow Cytometry (Intracellular) - Anti-Histone H2B antibody [mAbcam 52484] - ChIP Grade (AB52484)

Flow cytometric analysis of HeLa (Human cervix adenocarcinoma epithelial cell) cells labelling Histone H2B with ab52484 at 1/1000 dilution (0.1µg) (Red) compared with a Mouse monoclonal IgG (Black) isotype control and an unlabelled control (cells without incubation with primary antibody and secondary antibody) (Blue). Goat anti mouse IgG (Alexa Fluor® 488, ab150113) at 1/2000 dilution was used as the secondary antibody.

Immunohistochemistry (Formalin/PFA-fixed paraffin-embedded sections) - Anti-Histone H2B antibody [mAbcam 52484] - ChIP Grade (AB52484)
  • IHC-P

Supplier Data

Immunohistochemistry (Formalin/PFA-fixed paraffin-embedded sections) - Anti-Histone H2B antibody [mAbcam 52484] - ChIP Grade (AB52484)

IHC image of Histone H2B staining in human breast carcinoma FFPE section, performed on a BondTM system using the standard protocol F. The section was pre-treated using heat mediated antigen retrieval with sodium citrate buffer (pH6, epitope retrieval solution 1) for 20 mins. The section was then incubated with ab52484, 1µg/ml, for 15 mins at room temperature and detected using an HRP conjugated compact polymer system. DAB was used as the chromogen. The section was then counterstained with haematoxylin and mounted with DPX.

Immunocytochemistry/ Immunofluorescence - Anti-Histone H2B antibody [mAbcam 52484] - ChIP Grade (AB52484)
  • ICC/IF

Supplier Data

Immunocytochemistry/ Immunofluorescence - Anti-Histone H2B antibody [mAbcam 52484] - ChIP Grade (AB52484)

ICC/IF image of ab52484 stained human HeLa cells. The cells were 4% PFA fixed (10 min), permabilised in 0.1% PBS-Tween (20 min) and incubated with the antibody (ab52484, 1μg/ml) for 1h at room temperature. 1%BSA / 10% normal goat serum / 0.3M glycine was used to block non-specific protein-protein interactions. The secondary antibody (green) was Alexa Fluor® 488 goat anti-mouse IgG (H+L) used at a 1/1000 dilution for 1h. Alexa Fluor® 594 WGA was used to label plasma membranes (red). DAPI was used to stain the cell nuclei (blue).

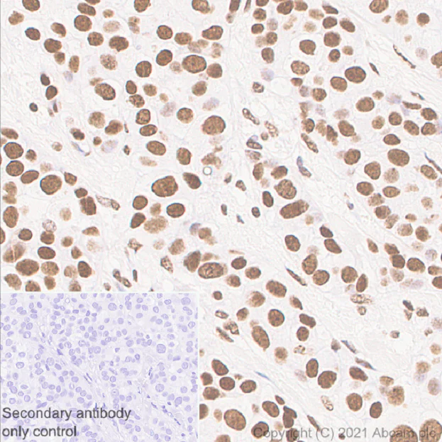
Immunohistochemistry (Formalin/PFA-fixed paraffin-embedded sections) - Anti-Histone H2B antibody [mAbcam 52484] - ChIP Grade (AB52484)
  • IHC-P

Lab

Immunohistochemistry (Formalin/PFA-fixed paraffin-embedded sections) - Anti-Histone H2B antibody [mAbcam 52484] - ChIP Grade (AB52484)

Nuclear staining in human breast cancer. The section was heat mediated antigen retrieval with Citrate buffer (pH 6.0, epitope retrieval solution 1) for 20 mins. The section was incubated with ab52484 at 1 : 20000 (0.053 μg/ml) for 10 mins at room temperature, followed by anti-mouse IgG1 antibody (ab125913) for 8 mins during the LeicaDS9800 kit staining procedure. The immunostaining was performed on a Leica Biosystems BOND® RX instrument

Flow Cytometry (Intracellular) - Anti-Histone H2B antibody [mAbcam 52484] - ChIP Grade (AB52484)
  • Flow Cyt (Intra)

Supplier Data

Flow Cytometry (Intracellular) - Anti-Histone H2B antibody [mAbcam 52484] - ChIP Grade (AB52484)

Overlay histogram showing HeLa cells stained with ab52484 (red line). The cells were fixed with 80% methanol (5 min) and then permeabilized with 0.1% PBS-Tween for 20 min. The cells were then incubated in 1x PBS / 10% normal goat serum / 0.3M glycine to block non-specific protein-protein interactions followed by the antibody (ab52484, 1μg/1x106 cells) for 30 min at 22°C. The secondary antibody used was DyLight® 488 goat anti-mouse IgG (H+L) (ab96879) at 1/500 dilution for 30 min at 22°C. Isotype control antibody (black line) was mouse IgG1 [ICIGG1] (ab91353, 2μg/1x106 cells) used under the same conditions. Acquisition of >5,000 events was performed.

ChIP - Anti-Histone H2B antibody [mAbcam 52484] - ChIP Grade (AB52484)
  • ChIP

Lab

ChIP - Anti-Histone H2B antibody [mAbcam 52484] - ChIP Grade (AB52484)

Chromatin was prepared from HeLa cells according to the Abcam X-ChIP protocol*. Cells were fixed with formaldehyde for 10min. The ChIP was performed with 25 µg of chromatin, 2 µg of ab52484 (red), or 2 µg of mouse IgG1 ab18443 (gray) and 25 µl of Protein A/G Dynabeads. The immunoprecipitated DNA was quantified by real time PCR (Sybr green approach).

Immunoprecipitation - Anti-Histone H2B antibody [mAbcam 52484] - ChIP Grade (AB52484)
  • IP

Lab

Immunoprecipitation - Anti-Histone H2B antibody [mAbcam 52484] - ChIP Grade (AB52484)

Histone H2B was immunoprecipitated from 0.35 mg HeLa (human cervix adenocarcinoma epithelial cell) whole cell lysate with ab52484 at 1/30 dilution (2ug in 0.35mg lysates). Western blot was performed on the immunoprecipitate using ab52484 at 1/1000 dilution. VeriBlot for IP secondary antibody(HRP)(ab131366) was used at 1/5000 dilution.  Lane 1 : HeLa (human cervix adenocarcinoma epithelial cell) whole cell lysate  10 ug Lane 2 : ab52484 IP in HeLa (human cervix adenocarcinoma epithelial cell) whole cell lysate Lane 3 : Mouse monoclonal IgG (ab18443) instead of ab52484 in HeLa whole cell lysate Blocking and dilution buffer and concentration : 5% NFDM/TBST. Exposure time : 32 seconds.

All lanes:

Immunoprecipitation - Anti-Histone H2B antibody [mAbcam 52484] - ChIP Grade (ab52484) at 1/30 dilution

All lanes:

HeLa (human cervix adenocarcinoma epithelial cell), whole cell lysate

Secondary

All lanes:

Immunoprecipitation - VeriBlot for IP Detection Reagent (HRP) (<a href='/en-us/products/reagents/veriblot-for-ip-detection-reagent-hrp-ab131366'>ab131366</a>) at 1/5000 dilution

Predicted band size: 14 kDa

Observed band size: 15 kDa

false

Immunoprecipitation - Anti-Histone H2B antibody [mAbcam 52484] - ChIP Grade (AB52484)
  • IP

Supplier Data

Immunoprecipitation - Anti-Histone H2B antibody [mAbcam 52484] - ChIP Grade (AB52484)

Histone H2B was immunoprecipitated using 0.5mg Hela whole cell extract, 5µg of Mouse monoclonal to Histone H2B and 50µl of protein G magnetic beads (+). No antibody was added to the control (-).
The antibody was incubated under agitation with Protein G beads for 10min, Hela whole cell extract lysate diluted in RIPA buffer was added to each sample and incubated for a further 10min under agitation.
Proteins were eluted by addition of 40µl SDS loading buffer and incubated for 10min at 70oC; 10µl of each sample was separated on a SDS PAGE gel, transferred to a nitrocellulose membrane, blocked with 5% BSA and probed with ab52484.
Secondary : Protein G-HRP at 1/500 dilution.
Band : 17kDa; Histone H2B; non specific bands - 26kDa : We are unsure as to the identity of this extra band.

All lanes:

Immunoprecipitation - Anti-Histone H2B antibody [mAbcam 52484] - ChIP Grade (ab52484)

Predicted band size: 14 kDa

false

ChIP - Anti-Histone H2B antibody [mAbcam 52484] - ChIP Grade (AB52484)
  • ChIP

Supplier Data

ChIP - Anti-Histone H2B antibody [mAbcam 52484] - ChIP Grade (AB52484)

Chromatin was prepared from HeLa cells according to the Abcam X-ChIP protocol. Cells were fixed with formaldehyde for 10min. The ChIP was performed with 25μg of chromatin, 5μg of ab52484 (blue), and 20μl of Protein A/G sepharose beads. No antibody was added to the beads control (yellow). The immunoprecipitated DNA was quantified by real time PCR (Taqman approach). Primers and probes are located in the first kb of the transcribed region.

Immunohistochemistry (Formalin/PFA-fixed paraffin-embedded sections) - Anti-Histone H2B antibody [mAbcam 52484] - ChIP Grade (AB52484)
  • IHC-P

Lab

Immunohistochemistry (Formalin/PFA-fixed paraffin-embedded sections) - Anti-Histone H2B antibody [mAbcam 52484] - ChIP Grade (AB52484)

Nuclear staining in mouse lung. The section was heat mediated antigen retrieval with Citrate buffer (pH 6.0, epitope retrieval solution 1) for 20 mins. The section was incubated with ab52484 (1 : 50000 (0.021 μg/ml)) for 10 mins at room temperature, followed by anti-mouse IgG1 antibody (ab125913) for 8 mins during the LeicaDS9800 kit staining procedure. The immunostaining was performed on a Leica Biosystems BOND® RX instrument

Flow Cytometry (Intracellular) - Anti-Histone H2B antibody [mAbcam 52484] - ChIP Grade (AB52484)
  • Flow Cyt (Intra)

Lab

Flow Cytometry (Intracellular) - Anti-Histone H2B antibody [mAbcam 52484] - ChIP Grade (AB52484)

Flow cytometric analysis of NIH/3T3 (mouse embryonic fibroblast) cells labelling Histone H2B with ab52484 at 1/100 dilution (1µg) (Red) compared with a Mouse monoclonal IgG (Black) isotype control and an unlabelled control (cells without incubation with primary antibody and secondary antibody) (Blue). Goat anti mouse IgG (Alexa Fluor® 488, ab150113) at 1/2000 dilution was used as the secondary antibody.

Immunocytochemistry/ Immunofluorescence - Anti-Histone H2B antibody [mAbcam 52484] - ChIP Grade (AB52484)
  • ICC/IF

Lab

Immunocytochemistry/ Immunofluorescence - Anti-Histone H2B antibody [mAbcam 52484] - ChIP Grade (AB52484)

NIH/3T3 cells were fixed in 100% methanol and permeabilized with 0.1% Triton X-100. Primary antibody, ab52484 at 1 : 2000 was incubated overnight at 4° C, followed by AlexaFluor® 488-conjugated Goat anti-mouse secondary antibody (ab150117) at 1/1000 dilution at RT for 45 min. ab179513 Anti-beta Tubulin, used as a counterstain at 1/200 dilution, was co-incubated with ab52484 overnight at 4° C, followed by Alexa Fluor® 594 Goat Anti-Rabbit secondary (ab150080) at 1/1000 dilution at RT for 45 min. Nucleus were visualized using DAPI.

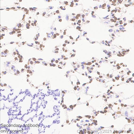
Immunohistochemistry (Formalin/PFA-fixed paraffin-embedded sections) - Anti-Histone H2B antibody [mAbcam 52484] - ChIP Grade (AB52484)
  • IHC-P

Lab

Immunohistochemistry (Formalin/PFA-fixed paraffin-embedded sections) - Anti-Histone H2B antibody [mAbcam 52484] - ChIP Grade (AB52484)

Nuclear staining in rat lung. The section was heat mediated antigen retrieval with Citrate buffer (pH 6.0, epitope retrieval solution 1) for 20 mins. The section was incubated with ab52484 (1 : 50000 (0.021 μg/ml)) for 10 mins at room temperature, followed by anti-mouse IgG1 antibody (ab125913) for 8 mins during the LeicaDS9800 kit staining procedure. The immunostaining was performed on a Leica Biosystems BOND® RX instrument

Immunoprecipitation - Anti-Histone H2B antibody [mAbcam 52484] - ChIP Grade (AB52484)
  • IP

Lab

Immunoprecipitation - Anti-Histone H2B antibody [mAbcam 52484] - ChIP Grade (AB52484)

Histone H2B was immunoprecipitated from 0.35 mg NIH/3T3 (mouse embryonic fibroblast), whole cell lysate with ab52484 at 1/30 dilution (2ug in 0.35mg lysates). Western blot was performed on the immunoprecipitate using ab52484 at 1/1000 dilution. VeriBlot for IP secondary antibody(HRP) (ab131366) was used at 1/5000 dilution.  Lane 1 : NIH/3T3 (mouse embryonic fibroblast), whole cell lysate 10 μg Lane 2 : ab52484 IP in NIH/3T3 (mouse embryonic fibroblast), whole cell lysate 10 μg Lane 3 : Mouse monoclonal IgG (ab18443) instead of ab52484 in NIH/3T3 whole cell lysate Blocking and dilution buffer and concentration : 5% NFDM/TBST. Exposure time : 32 seconds.

All lanes:

Immunoprecipitation - Anti-Histone H2B antibody [mAbcam 52484] - ChIP Grade (ab52484) at 1/30 dilution

All lanes:

NIH/3T3 (mouse embryonic fibroblast), whole cell lysate

Secondary

All lanes:

Immunoprecipitation - VeriBlot for IP Detection Reagent (HRP) (<a href='/en-us/products/reagents/veriblot-for-ip-detection-reagent-hrp-ab131366'>ab131366</a>) at 1/5000 dilution

false

Western blot - Anti-Histone H2B antibody [mAbcam 52484] - ChIP Grade (AB52484)
  • WB

Lab

Western blot - Anti-Histone H2B antibody [mAbcam 52484] - ChIP Grade (AB52484)

All lanes:

Western blot - Anti-Histone H2B antibody [mAbcam 52484] - ChIP Grade (ab52484) at 1/1000 dilution

Lane 1:

HeLa (human cervix adenocarcinoma epithelial cell), whole cell lysate at 20 µg

Lane 2:

293T (human embryonic kidney epithelial cell), whole cell lysate at 20 µg

Lane 3:

MEF (mouse embryonic fibroblast (immortalized)), whole cell lysate at 20 µg

Lane 4:

PC-12 (rat adrenal gland pheochromocytoma), whole cell lysate at 20 µg

Lane 5:

Human heart tissue lysate at 20 µg

Lane 6:

Mouse heart tissue lysate at 20 µg

Secondary

All lanes:

Peroxidase-Conjugated Goat anti-Mouse IgG (H+L) at 1/5000 dilution

Predicted band size: 14 kDa

Observed band size: 15 kDa

false

Exposure time: 3.25s

Western blot - Anti-Histone H2B antibody [mAbcam 52484] - ChIP Grade (AB52484)
  • WB

Supplier Data

Western blot - Anti-Histone H2B antibody [mAbcam 52484] - ChIP Grade (AB52484)

This image was generated using a
previous batch manufactured using hybridoma production method

All lanes:

Western blot - Anti-Histone H2B antibody [mAbcam 52484] - ChIP Grade (ab52484) at 5 µg/mL

Lane 1:

Marker

Lane 2:

Zebrafish brain homogenate at 20 µg

Lane 3:

Zebrafish heart homogenate at 10 µg

Lane 4:

Zebrafish liver homogenate at 10 µg

Lane 5:

Zebrafish skeletal muscle homogenate at 10 µg

Lane 6:

HeLa (Human epithelial carcinoma cell line) Whole Cell Lysate at 10 µg

Secondary

All lanes:

Goat polyclonal to Mouse IgG – H&L – Pre-Adsorbed (HRP) at 1/6000 dilution

Predicted band size: 14 kDa

Observed band size: 17 kDa

true

Exposure time: 1min

Western blot - Anti-Histone H2B antibody [mAbcam 52484] - ChIP Grade (AB52484)
  • WB

Supplier Data

Western blot - Anti-Histone H2B antibody [mAbcam 52484] - ChIP Grade (AB52484)

All lanes:

Western blot - Anti-Histone H2B antibody [mAbcam 52484] - ChIP Grade (ab52484) at 1 µg/mL

Lane 1:

NIH 3T3 (Mouse embryonic fibroblast cell line) Whole Cell Lysate at 10 µg

Lane 2:

PC12 (Rat adrenal pheochromocytoma cell line) Whole Cell Lysate at 10 µg

Secondary

All lanes:

Western blot - Goat Anti-Mouse IgG H&L (HRP) preadsorbed (<a href='/en-us/products/secondary-antibodies/goat-mouse-igg-h-l-hrp-preadsorbed-ab97040'>ab97040</a>) at 1/5000 dilution

Predicted band size: 14 kDa

Observed band size: 17 kDa

true

Exposure time: 1min

Immunocytochemistry/ Immunofluorescence - Anti-Histone H2B antibody [mAbcam 52484] - ChIP Grade (AB52484)
  • ICC/IF

AbReview37080****

Immunocytochemistry/ Immunofluorescence - Anti-Histone H2B antibody [mAbcam 52484] - ChIP Grade (AB52484)

This image was generated using a previous batch manufactured using hybridoma production method.

ab52484 staining Histone H2B in Fruit fly (Drosophila melanogaster) embryo cells by ICC/IF (Immunocytochemistry/immunofluorescence). Embryos were washed in 1x PBS + 0.1% Trition, cells were fixed with heat, and blocked with 10% BSA for 12 hours at 4°C. Samples were incubated with primary antibody (1/1000) for 24 hours. An Alexa Fluor®594-conjugated Rabbit anti-mouse IgG polyclonal (1/5000) was used as the secondary antibody.

This image is courtesy of an anonymous Abreview

Western blot - Anti-Histone H2B antibody [mAbcam 52484] - ChIP Grade (AB52484)
  • WB

Supplier Data

Western blot - Anti-Histone H2B antibody [mAbcam 52484] - ChIP Grade (AB52484)

All lanes:

Western blot - Anti-Histone H2B antibody [mAbcam 52484] - ChIP Grade (ab52484) at 5 µg/mL

Lane 1:

Histone H1 recombinant protein at 0.1 µg

Lane 2:

Histone H2A recombinant protein at 0.1 µg

Lane 3:

Histone H2B recombinant protein at 0.1 µg

Lane 4:

Histone H3 recombinant protein at 0.1 µg

Lane 5:

Histone H4 recombinant protein at 0.1 µg

Secondary

All lanes:

Rabbit polyclonal to Mouse IgG - H&L (HRP) at 1/3000 dilution

Predicted band size: 14 kDa

Observed band size: 17 kDa

false

  • 519 Alexa Fluor® 488

    Alexa Fluor® 488 Anti-Histone H2B antibody [mAbcam 52484]

  • HRP

    HRP Anti-Histone H2B antibody [mAbcam 52484]

  • 665 Alexa Fluor® 647

    Alexa Fluor® 647 Anti-Histone H2B antibody [mAbcam 52484]

Key facts

Host species

Mouse

Clonality

Monoclonal

Clone number

mAbcam 52484

Isotype

IgG1

Carrier free

No

Reacts with

Mouse, Rat, Human

Applications

ICC/IF, IHC-P, IP, Flow Cyt (Intra), WB, ChIP

applications

Immunogen

The exact immunogen used to generate this antibody is proprietary information.

Reactivity data

{ "title": "Reactivity Data", "filters": { "stats": ["", "Species", "Dilution Info", "Notes"], "tabs": { "all-applications": {"fullname" : "All Applications", "shortname": "All Applications"}, "IHCP" : {"fullname" : "Immunohistochemistry (Formalin/PFA-fixed paraffin-embedded sections)", "shortname":"IHC-P"}, "IP" : {"fullname" : "Immunoprecipitation", "shortname":"IP"}, "ChIP" : {"fullname" : "ChIP", "shortname":"ChIP"}, "FlowCytIntra" : {"fullname" : "Flow Cytometry (Intracellular)", "shortname":"Flow Cyt (Intra)"}, "WB" : {"fullname" : "Western blot", "shortname":"WB"}, "ICCIF" : {"fullname" : "Immunocytochemistry/ Immunofluorescence", "shortname":"ICC/IF"} }, "product-promise": { "all": "all", "testedAndGuaranteed": "tested", "guaranteed": "expected", "predicted": "predicted", "notRecommended": "not-recommended" } }, "values": { "Human": { "IHCP-species-checked": "testedAndGuaranteed", "IHCP-species-dilution-info": "1/20000", "IHCP-species-notes": "<p></p> Perform heat-mediated antigen retrieval before commencing with IHC staining protocol.", "IP-species-checked": "testedAndGuaranteed", "IP-species-dilution-info": "1/30", "IP-species-notes": "<p></p>", "ChIP-species-checked": "testedAndGuaranteed", "ChIP-species-dilution-info": "2 µg for 25 µL chromatin", "ChIP-species-notes": "<p></p>", "FlowCytIntra-species-checked": "testedAndGuaranteed", "FlowCytIntra-species-dilution-info": "1/100", "FlowCytIntra-species-notes": "<p><a href='/en-us/products/primary-antibodies/mouse-igg1-kappa-monoclonal-15-6e10a7-isotype-control-ab170190'>ab170190</a> - Mouse monoclonal IgG1, is suitable for use as an isotype control with this antibody.</p>", "WB-species-checked": "testedAndGuaranteed", "WB-species-dilution-info": "1/1000", "WB-species-notes": "<p></p>", "ICCIF-species-checked": "testedAndGuaranteed", "ICCIF-species-dilution-info": "1/2000", "ICCIF-species-notes": "<p></p>" }, "Mouse": { "IHCP-species-checked": "testedAndGuaranteed", "IHCP-species-dilution-info": "1/50000", "IHCP-species-notes": "<p></p> Perform heat-mediated antigen retrieval before commencing with IHC staining protocol.", "IP-species-checked": "testedAndGuaranteed", "IP-species-dilution-info": "1/50", "IP-species-notes": "<p></p>", "ChIP-species-checked": "guaranteed", "ChIP-species-dilution-info": "", "ChIP-species-notes": "", "FlowCytIntra-species-checked": "testedAndGuaranteed", "FlowCytIntra-species-dilution-info": "1/100", "FlowCytIntra-species-notes": "<p><a href='/en-us/products/primary-antibodies/mouse-igg1-kappa-monoclonal-15-6e10a7-isotype-control-ab170190'>ab170190</a> - Mouse monoclonal IgG1, is suitable for use as an isotype control with this antibody.</p>", "WB-species-checked": "testedAndGuaranteed", "WB-species-dilution-info": "1-5 µg/mL", "WB-species-notes": "<p></p>", "ICCIF-species-checked": "testedAndGuaranteed", "ICCIF-species-dilution-info": "1/2000", "ICCIF-species-notes": "<p></p>" }, "Rat": { "IHCP-species-checked": "testedAndGuaranteed", "IHCP-species-dilution-info": "1/50000", "IHCP-species-notes": "<p></p> Perform heat-mediated antigen retrieval before commencing with IHC staining protocol.", "IP-species-checked": "guaranteed", "IP-species-dilution-info": "", "IP-species-notes": "", "ChIP-species-checked": "guaranteed", "ChIP-species-dilution-info": "", "ChIP-species-notes": "", "FlowCytIntra-species-checked": "guaranteed", "FlowCytIntra-species-dilution-info": "", "FlowCytIntra-species-notes": "", "WB-species-checked": "testedAndGuaranteed", "WB-species-dilution-info": "1/1000", "WB-species-notes": "<p></p>", "ICCIF-species-checked": "guaranteed", "ICCIF-species-dilution-info": "", "ICCIF-species-notes": "" }, "Caenorhabditis elegans": { "IHCP-species-checked": "predicted", "IHCP-species-dilution-info": "", "IHCP-species-notes": "", "IP-species-checked": "predicted", "IP-species-dilution-info": "", "IP-species-notes": "", "ChIP-species-checked": "predicted", "ChIP-species-dilution-info": "", "ChIP-species-notes": "", "FlowCytIntra-species-checked": "predicted", "FlowCytIntra-species-dilution-info": "", "FlowCytIntra-species-notes": "", "WB-species-checked": "predicted", "WB-species-dilution-info": "", "WB-species-notes": "", "ICCIF-species-checked": "predicted", "ICCIF-species-dilution-info": "", "ICCIF-species-notes": "" }, "Chicken": { "IHCP-species-checked": "predicted", "IHCP-species-dilution-info": "", "IHCP-species-notes": "", "IP-species-checked": "predicted", "IP-species-dilution-info": "", "IP-species-notes": "", "ChIP-species-checked": "predicted", "ChIP-species-dilution-info": "", "ChIP-species-notes": "", "FlowCytIntra-species-checked": "predicted", "FlowCytIntra-species-dilution-info": "", "FlowCytIntra-species-notes": "", "WB-species-checked": "predicted", "WB-species-dilution-info": "", "WB-species-notes": "", "ICCIF-species-checked": "predicted", "ICCIF-species-dilution-info": "", "ICCIF-species-notes": "" }, "Cow": { "IHCP-species-checked": "predicted", "IHCP-species-dilution-info": "", "IHCP-species-notes": "", "IP-species-checked": "predicted", "IP-species-dilution-info": "", "IP-species-notes": "", "ChIP-species-checked": "predicted", "ChIP-species-dilution-info": "", "ChIP-species-notes": "", "FlowCytIntra-species-checked": "predicted", "FlowCytIntra-species-dilution-info": "", "FlowCytIntra-species-notes": "", "WB-species-checked": "predicted", "WB-species-dilution-info": "", "WB-species-notes": "", "ICCIF-species-checked": "predicted", "ICCIF-species-dilution-info": "", "ICCIF-species-notes": "" }, "Drosophila melanogaster": { "IHCP-species-checked": "predicted", "IHCP-species-dilution-info": "", "IHCP-species-notes": "", "IP-species-checked": "predicted", "IP-species-dilution-info": "", "IP-species-notes": "", "ChIP-species-checked": "predicted", "ChIP-species-dilution-info": "", "ChIP-species-notes": "", "FlowCytIntra-species-checked": "predicted", "FlowCytIntra-species-dilution-info": "", "FlowCytIntra-species-notes": "", "WB-species-checked": "predicted", "WB-species-dilution-info": "", "WB-species-notes": "", "ICCIF-species-checked": "predicted", "ICCIF-species-dilution-info": "", "ICCIF-species-notes": "" }, "Orangutan": { "IHCP-species-checked": "predicted", "IHCP-species-dilution-info": "", "IHCP-species-notes": "", "IP-species-checked": "predicted", "IP-species-dilution-info": "", "IP-species-notes": "", "ChIP-species-checked": "predicted", "ChIP-species-dilution-info": "", "ChIP-species-notes": "", "FlowCytIntra-species-checked": "predicted", "FlowCytIntra-species-dilution-info": "", "FlowCytIntra-species-notes": "", "WB-species-checked": "predicted", "WB-species-dilution-info": "", "WB-species-notes": "", "ICCIF-species-checked": "predicted", "ICCIF-species-dilution-info": "", "ICCIF-species-notes": "" }, "Recombinant full length protein - Human": { "IHCP-species-checked": "notRecommended", "IHCP-species-dilution-info": "", "IHCP-species-notes": "", "IP-species-checked": "notRecommended", "IP-species-dilution-info": "", "IP-species-notes": "", "ChIP-species-checked": "notRecommended", "ChIP-species-dilution-info": "", "ChIP-species-notes": "", "FlowCytIntra-species-checked": "notRecommended", "FlowCytIntra-species-dilution-info": "", "FlowCytIntra-species-notes": "", "WB-species-checked": "guaranteed", "WB-species-dilution-info": "1-5 µg/mL", "WB-species-notes": "<p></p>", "ICCIF-species-checked": "notRecommended", "ICCIF-species-dilution-info": "", "ICCIF-species-notes": "" }, "Xenopus laevis": { "IHCP-species-checked": "predicted", "IHCP-species-dilution-info": "", "IHCP-species-notes": "", "IP-species-checked": "predicted", "IP-species-dilution-info": "", "IP-species-notes": "", "ChIP-species-checked": "predicted", "ChIP-species-dilution-info": "", "ChIP-species-notes": "", "FlowCytIntra-species-checked": "predicted", "FlowCytIntra-species-dilution-info": "", "FlowCytIntra-species-notes": "", "WB-species-checked": "predicted", "WB-species-dilution-info": "", "WB-species-notes": "", "ICCIF-species-checked": "predicted", "ICCIF-species-dilution-info": "", "ICCIF-species-notes": "" }, "Zebrafish": { "IHCP-species-checked": "predicted", "IHCP-species-dilution-info": "", "IHCP-species-notes": "", "IP-species-checked": "predicted", "IP-species-dilution-info": "", "IP-species-notes": "", "ChIP-species-checked": "predicted", "ChIP-species-dilution-info": "", "ChIP-species-notes": "", "FlowCytIntra-species-checked": "predicted", "FlowCytIntra-species-dilution-info": "", "FlowCytIntra-species-notes": "", "WB-species-checked": "predicted", "WB-species-dilution-info": "", "WB-species-notes": "", "ICCIF-species-checked": "predicted", "ICCIF-species-dilution-info": "", "ICCIF-species-notes": "" } } }

Product details

What is this antibody validated in?
Anti-Histone H2B antibody [mAbcam 52484] - ChIP Grade (ab52484) is a mouse recombinant monoclonal antibody and is validated for use in Western Blot (WB), Flow Cytometry (Intra), Flow Cytometry (Flow Cyt), Immunoprecipitation (IP), Immunohistochemistry (IHC-P), Immunocytochemistry/immunofluorescence (ICC/IF), ChIP in Human, Mouse, Rat samples.

What is the molecular weight of Histone H2B?
Anti-Histone H2B [mAbcam 52484] - ChIP Grade (ab52484) specifically detects a band for Histone H2B (UniProt: P33778) at a molecular weight of 15kDa.

Trusted by the scientific community
Anti-Histone H2B [mAbcam 52484] - ChIP Grade (ab52484) was first used in a scientific publication in 2008 and has been cited over 40 times in peer-reviewed journals.

Reviewed by scientists
Anti-Histone H2B [mAbcam 52484] - ChIP Grade (ab52484) has over 10 independent reviews from customers.

Other related products
We have a range of other formats of antibody clone [mAbcam 52484] also available for your convenience: ab52484, Alexa Fluor® 647 - ab202567, Alexa Fluor® 488 - ab204258, HRP - ab204463, Carrier free - ab237964

Want a custom formulation?
This antibody clone is manufactured by Abcam. If you require a custom buffer formulation or conjugation for your experiments, please contact orders@abcam.com

What are the advantages of a recombinant monoclonal antibody?
This product is a recombinant monoclonal antibody, which offers several advantages including:

  • - High batch-to-batch consistency and reproducibility
  • - Improved sensitivity and specificity
  • - Long-term security of supply
  • - Animal-free batch production

For more information, read more on recombinant antibodies.

Properties and storage information

Form
Liquid
Purification technique
Affinity purification Protein A
Storage buffer
Preservative: 0.01% Sodium azide Constituents: PBS, 40% Glycerol (glycerin, glycerine), 0.05% BSA
Shipped at conditions
Blue Ice
Appropriate short-term storage duration
1-2 weeks
Appropriate short-term storage conditions
+4°C
Appropriate long-term storage conditions
-20°C
Aliquoting information
Upon delivery aliquot
Storage information
Avoid freeze / thaw cycle

Product protocols

For this product, it's our understanding that no specific protocols are required. You can visit:

Target data

Core component of nucleosome. Nucleosomes wrap and compact DNA into chromatin, limiting DNA accessibility to the cellular machineries which require DNA as a template. Histones thereby play a central role in transcription regulation, DNA repair, DNA replication and chromosomal stability. DNA accessibility is regulated via a complex set of post-translational modifications of histones, also called histone code, and nucleosome remodeling.
See full target information H2BC3

Publications (58)

Recent publications for all applications. Explore the full list and refine your search

Clinical and translational medicine 15:e70324 PubMed40341781

2025

USP22 promotes the proliferation and Sorafenib resistance of hepatocellular carcinoma cells via its deubiquitinase activity.

Applications

Unspecified application

Species

Unspecified reactive species

Xiaochen Wang,Yijie Su,Bei Lan,Xuanyuan Li,Bodi Zhang,Liang Zhang,Yingmei Wang,Chunze Zhang,Chenghao Xuan

Theranostics 14:6110-6137 PubMed39431007

2024

Single-cell profiling of brain pericyte heterogeneity following ischemic stroke unveils distinct pericyte subtype-targeted neural reprogramming potential and its underlying mechanisms.

Applications

Unspecified application

Species

Unspecified reactive species

Allison Loan,Nidaa Awaja,Margarita Lui,Charvi Syal,Yiren Sun,Sailendra N Sarma,Ragav Chona,William B Johnston,Alex Cordova,Devansh Saraf,Anabella Nakhlé,Kaela O'Connor,Jacob Thomas,Joseph Leung,Matthew Seegobin,Ling He,Fredric E Wondisford,David J Picketts,Eve C Tsai,Hing Man Chan,Jing Wang

Cell reports 43:114462 PubMed39002538

2024

Mechanomemory of nucleoplasm and RNA polymerase II after chromatin stretching by a microinjected magnetic nanoparticle force.

Applications

Unspecified application

Species

Unspecified reactive species

Fazlur Rashid,Sadia Amin Kabbo,Ning Wang

Retrovirology 21:13 PubMed38898526

2024

Comparative analysis of retroviral Gag-host cell interactions: focus on the nuclear interactome.

Applications

Unspecified application

Species

Unspecified reactive species

Gregory S Lambert,Breanna L Rice,Rebecca J Kaddis Maldonado,Jordan Chang,Leslie J Parent

Nucleic acids research 52:5698-5719 PubMed38587186

2024

ARID1A regulates DNA repair through chromatin organization and its deficiency triggers DNA damage-mediated anti-tumor immune response.

Applications

Unspecified application

Species

Unspecified reactive species

Ali Bakr,Giuditta Della Corte,Olivera Veselinov,Simge Kelekçi,Mei-Ju May Chen,Yu-Yu Lin,Gianluca Sigismondo,Marika Iacovone,Alice Cross,Rabail Syed,Yunhee Jeong,Etienne Sollier,Chun-Shan Liu,Pavlo Lutsik,Jeroen Krijgsveld,Dieter Weichenhan,Christoph Plass,Odilia Popanda,Peter Schmezer

Nature microbiology 9:988-1006 PubMed38538832

2024

FEAR antiviral response pathway is independent of interferons and countered by poxvirus proteins.

Applications

Unspecified application

Species

Unspecified reactive species

Emily A Rex,Dahee Seo,Sruthi Chappidi,Chelsea Pinkham,Sabrynna Brito Oliveira,Aaron Embry,David Heisler,Yang Liu,Moiz Munir,Karolin Luger,Neal M Alto,Flávio Guimarães da Fonseca,Robert Orchard,Dustin C Hancks,Don B Gammon

American journal of physiology. Lung cellular and molecular physiology 326:L239-L251 PubMed38086040

2023

Combined repetitive inhalant endotoxin and collagen-induced arthritis drive inflammatory lung disease and arthritis severity in a testosterone-dependent manner.

Applications

Unspecified application

Species

Unspecified reactive species

Jill A Poole,Geoffrey M Thiele,Elizabeth Ramler,Amy J Nelson,Michael J Duryee,Aaron D Schwab,Angela Gleason,Carlos D Hunter,Rohit Gaurav,Todd A Wyatt,Bryant R England,Ted R Mikuls

Nature communications 14:2813 PubMed37198164

2023

Small-sample learning reveals propionylation in determining global protein homeostasis.

Applications

Unspecified application

Species

Unspecified reactive species

Ke Shui,Chenwei Wang,Xuedi Zhang,Shanshan Ma,Qinyu Li,Wanshan Ning,Weizhi Zhang,Miaomiao Chen,Di Peng,Hui Hu,Zheng Fang,Anyuan Guo,Guanjun Gao,Mingliang Ye,Luoying Zhang,Yu Xue

Cancer cell 41:757-775.e10 PubMed37037615

2023

Neutrophil extracellular traps formed during chemotherapy confer treatment resistance via TGF-β activation.

Applications

Unspecified application

Species

Unspecified reactive species

Alexandra Mousset,Enora Lecorgne,Isabelle Bourget,Pascal Lopez,Kitti Jenovai,Julien Cherfils-Vicini,Chloé Dominici,Géraldine Rios,Cédric Girard-Riboulleau,Bodu Liu,David L Spector,Sidse Ehmsen,Shufang Renault,Caroline Hego,Fatima Mechta-Grigoriou,François-Clément Bidard,Mikkel Green Terp,Mikala Egeblad,Cédric Gaggioli,Jean Albrengues

International journal of molecular sciences 24: PubMed36835515

2023

Anti-DNA-IgM Favors the Detection of NET-Associated Extracellular DNA.

Applications

Unspecified application

Species

Unspecified reactive species

Han Wang,Antonia Margarethe Stehr,Jeeshan Singh,Leticija Zlatar,Arndt Hartmann,Katja Evert,Elisabeth Naschberger,Saskia von Stillfried,Peter Boor,Luis E Muñoz,Jasmin Knopf,Michael Stürzl,Martin Herrmann
View all publications

Product promise

We are committed to supporting your work with high-quality reagents, and we're here for you every step of the way. In the unlikely event that one of our products does not perform as expected, you're protected by our Product Promise.
For full details, please see our Terms & Conditions

Please note: All products are 'FOR RESEARCH USE ONLY. NOT FOR USE IN DIAGNOSTIC OR THERAPEUTIC PROCEDURES'.

For licensing inquiries, please contact partnerships@abcam.com