JavaScript is disabled in your browser. Please enable JavaScript to view this website.
AB237964

Anti-Histone H2B antibody [mAbcam 52484] - ChIP Grade - BSA and Azide free

Be the first to review this product! Submit a review

|

(1 Publication)

Mouse Monoclonal H2B antibody. Carrier free. Suitable for IP, ChIP, Flow Cyt (Intra), WB, IHC-P, ICC/IF and reacts with Human, Mouse, Rat samples. Cited in 1 publication.

View Alternative Names

H2BFF, HIST1H2BB, H2BC3, Histone H2B type 1-B, H2B-clustered histone 3, Histone H2B.1, Histone H2B.f, H2B/f

19 Images
Immunohistochemistry (Formalin/PFA-fixed paraffin-embedded sections) - Anti-Histone H2B antibody [mAbcam 52484] - ChIP Grade - BSA and Azide free (AB237964)
  • IHC-P

Supplier Data

Immunohistochemistry (Formalin/PFA-fixed paraffin-embedded sections) - Anti-Histone H2B antibody [mAbcam 52484] - ChIP Grade - BSA and Azide free (AB237964)

IHC image of Histone H2B staining in human breast carcinoma FFPE section, performed on a BondTM system using the standard protocol F. The section was pre-treated using heat mediated antigen retrieval with sodium citrate buffer (pH6, epitope retrieval solution 1) for 20 mins. The section was then incubated with ab52484, 1μg/ml, for 15 mins at room temperature and detected using an HRP conjugated compact polymer system. DAB was used as the chromogen. The section was then counterstained with haematoxylin and mounted with DPX.

This data was developed using the same antibody clone in a different buffer formulation containing PBS, L-arignine, and sodium azide (ab52484).

Immunohistochemistry (Formalin/PFA-fixed paraffin-embedded sections) - Anti-Histone H2B antibody [mAbcam 52484] - ChIP Grade - BSA and Azide free (AB237964)
  • IHC-P

Lab

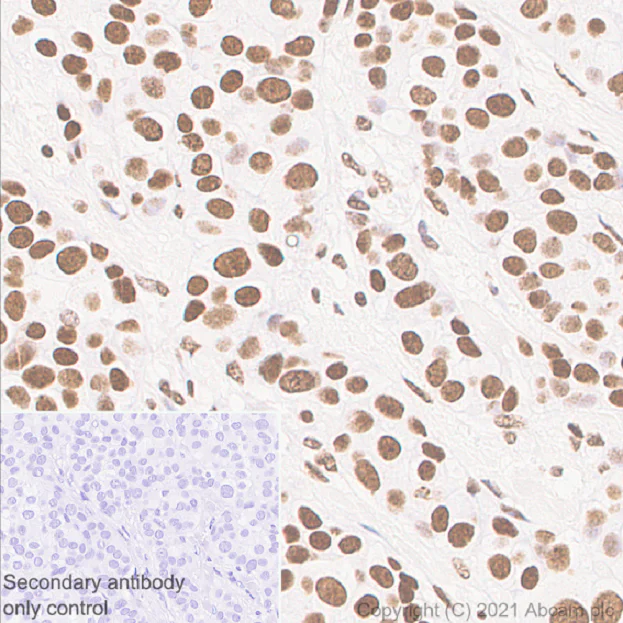
Immunohistochemistry (Formalin/PFA-fixed paraffin-embedded sections) - Anti-Histone H2B antibody [mAbcam 52484] - ChIP Grade - BSA and Azide free (AB237964)

This data was developed using the same antibody clone in a different buffer formulation (ab52484). Nuclear staining in human breast cancer. The section was heat mediated antigen retrieval with Citrate buffer (pH 6.0, epitope retrieval solution 1) for 20 mins. The section was incubated with ab52484 at 1 : 20000 (0.053 μg/ml) for 10 mins at room temperature, followed by anti-mouse IgG1 antibody (ab125913) for 8 mins during the LeicaDS9800 kit staining procedure. The immunostaining was performed on a Leica Biosystems BOND® RX instrument

Flow Cytometry (Intracellular) - Anti-Histone H2B antibody [mAbcam 52484] - ChIP Grade - BSA and Azide free (AB237964)
  • Flow Cyt (Intra)

Supplier Data

Flow Cytometry (Intracellular) - Anti-Histone H2B antibody [mAbcam 52484] - ChIP Grade - BSA and Azide free (AB237964)

Overlay histogram showing HeLa cells stained with ab52484 (red line). The cells were fixed with 80% methanol (5 min) and then permeabilized with 0.1% PBS-Tween for 20 min. The cells were then incubated in 1x PBS / 10% normal goat serum / 0.3M glycine to block non-specific protein-protein interactions followed by the antibody (ab52484, 1μg/1x106 cells) for 30 min at 22°C. The secondary antibody used was DyLight® 488 goat anti-mouse IgG (H+L) (ab96879) at 1/500 dilution for 30 min at 22°C. Isotype control antibody (black line) was mouse IgG1 [ICIGG1] (ab91353, 2μg/1x106 cells) used under the same conditions. Acquisition of >5,000 events was performed.

This data was developed using the same antibody clone in a different buffer formulation containing PBS, L-arignine, and sodium azide (ab52484).

Flow Cytometry (Intracellular) - Anti-Histone H2B antibody [mAbcam 52484] - ChIP Grade - BSA and Azide free (AB237964)
  • Flow Cyt (Intra)

Lab

Flow Cytometry (Intracellular) - Anti-Histone H2B antibody [mAbcam 52484] - ChIP Grade - BSA and Azide free (AB237964)

This data was developed using the same antibody clone in a different buffer formulation (ab52484). Flow cytometric analysis of HeLa (Human cervix adenocarcinoma epithelial cell) cells labelling Histone H2B with ab52484 at 1/1000 dilution (0.1µg) (Red) compared with a Mouse monoclonal IgG (Black) isotype control and an unlabelled control (cells without incubation with primary antibody and secondary antibody) (Blue). Goat anti mouse IgG (Alexa Fluor® 488, ab150113) at 1/2000 dilution was used as the secondary antibody.

Immunocytochemistry/ Immunofluorescence - Anti-Histone H2B antibody [mAbcam 52484] - ChIP Grade - BSA and Azide free (AB237964)
  • ICC/IF

Lab

Immunocytochemistry/ Immunofluorescence - Anti-Histone H2B antibody [mAbcam 52484] - ChIP Grade - BSA and Azide free (AB237964)

This data was developed using the same antibody clone in a different buffer formulation (ab52484). HeLa cells were fixed in 100% methanol and permeabilized with 0.1% Triton X-100. Primary antibody, ab52484 at 1 : 2000 was incubated overnight at 4° C, followed by AlexaFluor® 488-conjugated Goat anti-mouse secondary antibody (ab150117) at 1/1000 dilution at RT for 45 min. ab179513 Anti-beta Tubulin, used as a counterstain at 1/200 dilution, was co-incubated with ab52484 overnight at 4° C, followed by Alexa Fluor® 594 Goat Anti-Rabbit secondary (ab150080) at 1/1000 dilution at RT for 45 min. Nucleus were visualized using DAPI.

ChIP - Anti-Histone H2B antibody [mAbcam 52484] - ChIP Grade - BSA and Azide free (AB237964)
  • ChIP

Lab

ChIP - Anti-Histone H2B antibody [mAbcam 52484] - ChIP Grade - BSA and Azide free (AB237964)

This data was developed using the same antibody clone in a different buffer formulation (ab52484). Chromatin was prepared from HeLa cells according to the Abcam X-ChIP protocol*. Cells were fixed with formaldehyde for 10min. The ChIP was performed with 25 µg of chromatin, 2 µg of ab52484 (red), or 2 µg of mouse IgG1 ab18443 (gray) and 25 µl of Protein A/G Dynabeads. The immunoprecipitated DNA was quantified by real time PCR (Sybr green approach).

Immunoprecipitation - Anti-Histone H2B antibody [mAbcam 52484] - ChIP Grade - BSA and Azide free (AB237964)
  • IP

Lab

Immunoprecipitation - Anti-Histone H2B antibody [mAbcam 52484] - ChIP Grade - BSA and Azide free (AB237964)

This data was developed using the same antibody clone in a different buffer formulation (ab52484). Histone H2B was immunoprecipitated from 0.35 mg HeLa (human cervix adenocarcinoma epithelial cell) whole cell lysate with ab52484 at 1/30 dilution (2ug in 0.35mg lysates). Western blot was performed on the immunoprecipitate using ab52484 at 1/1000 dilution. VeriBlot for IP secondary antibody(HRP)(ab131366) was used at 1/5000 dilution.  Lane 1 : HeLa (human cervix adenocarcinoma epithelial cell) whole cell lysate  10 ug Lane 2 : ab52484 IP in HeLa (human cervix adenocarcinoma epithelial cell) whole cell lysate Lane 3 : Mouse monoclonal IgG (ab18443) instead of ab52484 in HeLa whole cell lysate Blocking and dilution buffer and concentration : 5% NFDM/TBST. Exposure time : 32 seconds.

All lanes:

Immunoprecipitation - Anti-Histone H2B antibody [mAbcam 52484] - ChIP Grade (<a href='/en-us/products/primary-antibodies/histone-h2b-antibody-mabcam-52484-chip-grade-ab52484'>ab52484</a>) at 1/30 dilution

All lanes:

HeLa (human cervix adenocarcinoma epithelial cell), whole cell lysate

Secondary

All lanes:

Immunoprecipitation - VeriBlot for IP Detection Reagent (HRP) (<a href='/en-us/products/reagents/veriblot-for-ip-detection-reagent-hrp-ab131366'>ab131366</a>) at 1/5000 dilution

Predicted band size: 14 kDa

Observed band size: 15 kDa

false

Immunocytochemistry/ Immunofluorescence - Anti-Histone H2B antibody [mAbcam 52484] - ChIP Grade - BSA and Azide free (AB237964)
  • ICC/IF

Lab

Immunocytochemistry/ Immunofluorescence - Anti-Histone H2B antibody [mAbcam 52484] - ChIP Grade - BSA and Azide free (AB237964)

This data was developed using the same antibody clone in a different buffer formulation (ab52484). NIH/3T3 cells were fixed in 100% methanol and permeabilized with 0.1% Triton X-100. Primary antibody, ab52484 at 1 : 2000 was incubated overnight at 4° C, followed by AlexaFluor® 488-conjugated Goat anti-mouse secondary antibody (ab150117) at 1/1000 dilution at RT for 45 min. ab179513 Anti-beta Tubulin, used as a counterstain at 1/200 dilution, was co-incubated with ab52484 overnight at 4° C, followed by Alexa Fluor® 594 Goat Anti-Rabbit secondary (ab150080) at 1/1000 dilution at RT for 45 min. Nucleus were visualized using DAPI.

Flow Cytometry (Intracellular) - Anti-Histone H2B antibody [mAbcam 52484] - ChIP Grade - BSA and Azide free (AB237964)
  • Flow Cyt (Intra)

Lab

Flow Cytometry (Intracellular) - Anti-Histone H2B antibody [mAbcam 52484] - ChIP Grade - BSA and Azide free (AB237964)

This data was developed using the same antibody clone in a different buffer formulation (ab52484). Flow cytometric analysis of NIH/3T3 (mouse embryonic fibroblast) cells labelling Histone H2B with ab52484 at 1/100 dilution (1µg) (Red) compared with a Mouse monoclonal IgG (Black) isotype control and an unlabelled control (cells without incubation with primary antibody and secondary antibody) (Blue). Goat anti mouse IgG (Alexa Fluor® 488, ab150113) at 1/2000 dilution was used as the secondary antibody.

Immunohistochemistry (Formalin/PFA-fixed paraffin-embedded sections) - Anti-Histone H2B antibody [mAbcam 52484] - ChIP Grade - BSA and Azide free (AB237964)
  • IHC-P

Lab

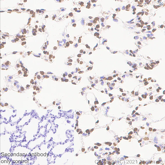
Immunohistochemistry (Formalin/PFA-fixed paraffin-embedded sections) - Anti-Histone H2B antibody [mAbcam 52484] - ChIP Grade - BSA and Azide free (AB237964)

This data was developed using the same antibody clone in a different buffer formulation (ab52484). Nuclear staining in mouse lung. The section was heat mediated antigen retrieval with Citrate buffer (pH 6.0, epitope retrieval solution 1) for 20 mins. The section was incubated with ab52484 (1 : 50000 (0.021 μg/ml)) for 10 mins at room temperature, followed by anti-mouse IgG1 antibody (ab125913) for 8 mins during the LeicaDS9800 kit staining procedure. The immunostaining was performed on a Leica Biosystems BOND® RX instrument

Immunohistochemistry (Formalin/PFA-fixed paraffin-embedded sections) - Anti-Histone H2B antibody [mAbcam 52484] - ChIP Grade - BSA and Azide free (AB237964)
  • IHC-P

Lab

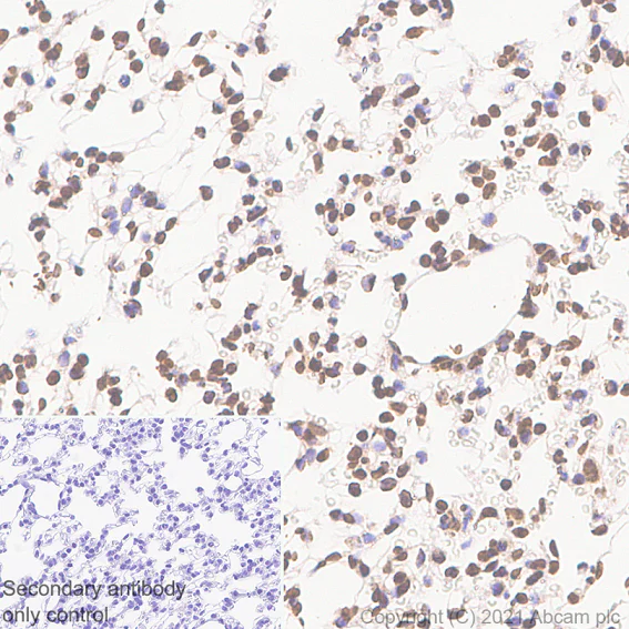
Immunohistochemistry (Formalin/PFA-fixed paraffin-embedded sections) - Anti-Histone H2B antibody [mAbcam 52484] - ChIP Grade - BSA and Azide free (AB237964)

This data was developed using the same antibody clone in a different buffer formulation (ab52484). Nuclear staining in rat lung. The section was heat mediated antigen retrieval with Citrate buffer (pH 6.0, epitope retrieval solution 1) for 20 mins. The section was incubated with ab52484 (1 : 50000 (0.021 μg/ml)) for 10 mins at room temperature, followed by anti-mouse IgG1 antibody (ab125913) for 8 mins during the LeicaDS9800 kit staining procedure. The immunostaining was performed on a Leica Biosystems BOND® RX instrument

Immunoprecipitation - Anti-Histone H2B antibody [mAbcam 52484] - ChIP Grade - BSA and Azide free (AB237964)
  • IP

Lab

Immunoprecipitation - Anti-Histone H2B antibody [mAbcam 52484] - ChIP Grade - BSA and Azide free (AB237964)

This data was developed using the same antibody clone in a different buffer formulation (ab52484). Histone H2B was immunoprecipitated from 0.35 mg NIH/3T3 (mouse embryonic fibroblast), whole cell lysate with ab52484 at 1/30 dilution (2ug in 0.35mg lysates). Western blot was performed on the immunoprecipitate using ab52484 at 1/1000 dilution. VeriBlot for IP secondary antibody(HRP) (ab131366) was used at 1/5000 dilution.  Lane 1 : NIH/3T3 (mouse embryonic fibroblast), whole cell lysate 10 μg Lane 2 : ab52484 IP in NIH/3T3 (mouse embryonic fibroblast), whole cell lysate 10 μg Lane 3 : Mouse monoclonal IgG (ab18443) instead of ab52484 in NIH/3T3 whole cell lysate Blocking and dilution buffer and concentration : 5% NFDM/TBST. Exposure time : 32 seconds.

All lanes:

Immunoprecipitation - Anti-Histone H2B antibody [mAbcam 52484] - ChIP Grade (<a href='/en-us/products/primary-antibodies/histone-h2b-antibody-mabcam-52484-chip-grade-ab52484'>ab52484</a>) at 1/30 dilution

All lanes:

NIH/3T3 (mouse embryonic fibroblast), whole cell lysate

Secondary

All lanes:

Immunoprecipitation - VeriBlot for IP Detection Reagent (HRP) (<a href='/en-us/products/reagents/veriblot-for-ip-detection-reagent-hrp-ab131366'>ab131366</a>) at 1/5000 dilution

false

Western blot - Anti-Histone H2B antibody [mAbcam 52484] - ChIP Grade - BSA and Azide free (AB237964)
  • WB

Lab

Western blot - Anti-Histone H2B antibody [mAbcam 52484] - ChIP Grade - BSA and Azide free (AB237964)

This data was developed using the same antibody clone in a different buffer formulation (ab52484).

All lanes:

Western blot - Anti-Histone H2B antibody [mAbcam 52484] - ChIP Grade (<a href='/en-us/products/primary-antibodies/histone-h2b-antibody-mabcam-52484-chip-grade-ab52484'>ab52484</a>) at 1/1000 dilution

Lane 1:

HeLa (human cervix adenocarcinoma epithelial cell), whole cell lysate at 20 µg

Lane 2:

293T (human embryonic kidney epithelial cell), whole cell lysate at 20 µg

Lane 3:

MEF (mouse embryonic fibroblast (immortalized)), whole cell lysate at 20 µg

Lane 4:

PC-12 (rat adrenal gland pheochromocytoma), whole cell lysate at 20 µg

Lane 5:

Human heart tissue lysate at 20 µg

Lane 6:

Mouse heart tissue lysate at 20 µg

Secondary

All lanes:

Peroxidase-Conjugated Goat anti-Mouse IgG (H+L) at 1/5000 dilution

Predicted band size: 14 kDa

Observed band size: 15 kDa

false

Exposure time: 3.25s

Western blot - Anti-Histone H2B antibody [mAbcam 52484] - ChIP Grade - BSA and Azide free (AB237964)
  • WB

Supplier Data

Western blot - Anti-Histone H2B antibody [mAbcam 52484] - ChIP Grade - BSA and Azide free (AB237964)

This data was developed using the same antibody clone in a different buffer formulation containing PBS, L-arignine, and sodium azide (ab52484).

All lanes:

Western blot - Anti-Histone H2B antibody [mAbcam 52484] - ChIP Grade (<a href='/en-us/products/primary-antibodies/histone-h2b-antibody-mabcam-52484-chip-grade-ab52484'>ab52484</a>) at 1 µg/mL

Lane 1:

NIH 3T3 (Mouse embryonic fibroblast cell line) Whole Cell Lysate at 10 µg

Lane 2:

PC12 (Rat adrenal pheochromocytoma cell line) Whole Cell Lysate at 10 µg

Secondary

All lanes:

Western blot - Goat Anti-Mouse IgG H&L (HRP) preadsorbed (<a href='/en-us/products/secondary-antibodies/goat-mouse-igg-h-l-hrp-preadsorbed-ab97040'>ab97040</a>) at 1/5000 dilution

Predicted band size: 14 kDa

Observed band size: 17 kDa

true

Exposure time: 1min

Immunocytochemistry/ Immunofluorescence - Anti-Histone H2B antibody [mAbcam 52484] - ChIP Grade - BSA and Azide free (AB237964)
  • ICC/IF

Supplier Data

Immunocytochemistry/ Immunofluorescence - Anti-Histone H2B antibody [mAbcam 52484] - ChIP Grade - BSA and Azide free (AB237964)

ICC/IF image of ab52484 stained human HeLa cells. The cells were 4% PFA fixed (10 min), permabilised in 0.1% PBS-Tween (20 min) and incubated with the antibody (ab52484, 1μg/ml) for 1h at room temperature. 1%BSA / 10% normal goat serum / 0.3M glycine was used to block non-specific protein-protein interactions. The secondary antibody (green) was Alexa Fluor® 488 goat anti-mouse IgG (H+L) used at a 1/1000 dilution for 1h. Alexa Fluor® 594 WGA was used to label plasma membranes (red). DAPI was used to stain the cell nuclei (blue).

This data was developed using the same antibody clone in a different buffer formulation containing PBS, L-arignine, and sodium azide (ab52484).

ChIP - Anti-Histone H2B antibody [mAbcam 52484] - ChIP Grade - BSA and Azide free (AB237964)
  • ChIP

Supplier Data

ChIP - Anti-Histone H2B antibody [mAbcam 52484] - ChIP Grade - BSA and Azide free (AB237964)

Chromatin was prepared from HeLa cells according to the Abcam X-ChIP protocol. Cells were fixed with formaldehyde for 10min. The ChIP was performed with 25μg of chromatin, 5μg of ab52484 (blue), and 20μl of Protein A/G sepharose beads. No antibody was added to the beads control (yellow). The immunoprecipitated DNA was quantified by real time PCR (Taqman approach). Primers and probes are located in the first kb of the transcribed region.

This data was developed using the same antibody clone in a different buffer formulation containing PBS, L-arignine, and sodium azide (ab52484).

Immunoprecipitation - Anti-Histone H2B antibody [mAbcam 52484] - ChIP Grade - BSA and Azide free (AB237964)
  • IP

Supplier Data

Immunoprecipitation - Anti-Histone H2B antibody [mAbcam 52484] - ChIP Grade - BSA and Azide free (AB237964)

Histone H2B was immunoprecipitated using 0.5mg Hela whole cell extract, 5μg of Mouse monoclonal to Histone H2B and 50μl of protein G magnetic beads (+). No antibody was added to the control (-).
The antibody was incubated under agitation with Protein G beads for 10min, Hela whole cell extract lysate diluted in RIPA buffer was added to each sample and incubated for a further 10min under agitation.
Proteins were eluted by addition of 40μl SDS loading buffer and incubated for 10min at 70oC; 10μl of each sample was separated on a SDS PAGE gel, transferred to a nitrocellulose membrane, blocked with 5% BSA and probed with ab52484.
Secondary : Protein G-HRP at 1/500 dilution.
Band : 17kDa; Histone H2B; non specific bands - 26kDa : We are unsure as to the identity of this extra band.

This data was developed using the same antibody clone in a different buffer formulation containing PBS, L-arignine, and sodium azide (ab52484).

All lanes:

Immunoprecipitation - Anti-Histone H2B antibody [mAbcam 52484] - ChIP Grade (<a href='/en-us/products/primary-antibodies/histone-h2b-antibody-mabcam-52484-chip-grade-ab52484'>ab52484</a>)

Predicted band size: 14 kDa

false

Western blot - Anti-Histone H2B antibody [mAbcam 52484] - ChIP Grade - BSA and Azide free (AB237964)
  • WB

Supplier Data

Western blot - Anti-Histone H2B antibody [mAbcam 52484] - ChIP Grade - BSA and Azide free (AB237964)

This data was developed using the same antibody clone in a different buffer formulation containing PBS, L-arignine, and sodium azide (ab52484).

All lanes:

Western blot - Anti-Histone H2B antibody [mAbcam 52484] - ChIP Grade (<a href='/en-us/products/primary-antibodies/histone-h2b-antibody-mabcam-52484-chip-grade-ab52484'>ab52484</a>) at 5 µg/mL

Lane 1:

Histone H1 recombinant protein at 0.1 µg

Lane 2:

Histone H2A recombinant protein at 0.1 µg

Lane 3:

Histone H2B recombinant protein at 0.1 µg

Lane 4:

Histone H3 recombinant protein at 0.1 µg

Lane 5:

Histone H4 recombinant protein at 0.1 µg

Secondary

All lanes:

Rabbit polyclonal to Mouse IgG - H&L (HRP) at 1/3000 dilution

Predicted band size: 14 kDa

Observed band size: 17 kDa

false

Western blot - Anti-Histone H2B antibody [mAbcam 52484] - ChIP Grade - BSA and Azide free (AB237964)
  • WB

Supplier Data

Western blot - Anti-Histone H2B antibody [mAbcam 52484] - ChIP Grade - BSA and Azide free (AB237964)

This data was developed using the same antibody clone in a different buffer formulation containing PBS, L-arignine, and sodium azide (ab52484).

This image was generated using a
previous batch manufactured using hybridoma production method

All lanes:

Western blot - Anti-Histone H2B antibody [mAbcam 52484] - ChIP Grade (<a href='/en-us/products/primary-antibodies/histone-h2b-antibody-mabcam-52484-chip-grade-ab52484'>ab52484</a>) at 5 µg/mL

Lane 1:

Marker

Lane 2:

Zebrafish brain homogenate at 20 µg

Lane 3:

Zebrafish heart homogenate at 10 µg

Lane 4:

Zebrafish liver homogenate at 10 µg

Lane 5:

Zebrafish skeletal muscle homogenate at 10 µg

Lane 6:

HeLa (Human epithelial carcinoma cell line) Whole Cell Lysate at 10 µg

Secondary

All lanes:

Goat polyclonal to Mouse IgG – H&L – Pre-Adsorbed (HRP) at 1/6000 dilution

Predicted band size: 14 kDa

Observed band size: 17 kDa

true

Exposure time: 1min

  • 519 Alexa Fluor® 488

    Alexa Fluor® 488 Anti-Histone H2B antibody [mAbcam 52484]

  • HRP

    HRP Anti-Histone H2B antibody [mAbcam 52484]

  • 665 Alexa Fluor® 647

    Alexa Fluor® 647 Anti-Histone H2B antibody [mAbcam 52484]

Key facts

Host species

Mouse

Clonality

Monoclonal

Clone number

mAbcam 52484

Isotype

IgG1

Carrier free

Yes

Reacts with

Mouse, Rat, Human

Applications

IHC-P, IP, WB, ICC/IF, ChIP, Flow Cyt (Intra)

applications

Immunogen

The exact immunogen used to generate this antibody is proprietary information.

Reactivity data

{ "title": "Reactivity Data", "filters": { "stats": ["", "Species", "Dilution Info", "Notes"], "tabs": { "all-applications": {"fullname" : "All Applications", "shortname": "All Applications"}, "IP" : {"fullname" : "Immunoprecipitation", "shortname":"IP"}, "ChIP" : {"fullname" : "ChIP", "shortname":"ChIP"}, "FlowCytIntra" : {"fullname" : "Flow Cytometry (Intracellular)", "shortname":"Flow Cyt (Intra)"}, "WB" : {"fullname" : "Western blot", "shortname":"WB"}, "IHCP" : {"fullname" : "Immunohistochemistry (Formalin/PFA-fixed paraffin-embedded sections)", "shortname":"IHC-P"}, "ICCIF" : {"fullname" : "Immunocytochemistry/ Immunofluorescence", "shortname":"ICC/IF"} }, "product-promise": { "all": "all", "testedAndGuaranteed": "tested", "guaranteed": "expected", "predicted": "predicted", "notRecommended": "not-recommended" } }, "values": { "Human": { "IP-species-checked": "testedAndGuaranteed", "IP-species-dilution-info": "1/30", "IP-species-notes": "<p></p>", "ChIP-species-checked": "testedAndGuaranteed", "ChIP-species-dilution-info": "2 µg for 25 µg chromatin", "ChIP-species-notes": "<p></p>", "FlowCytIntra-species-checked": "testedAndGuaranteed", "FlowCytIntra-species-dilution-info": "1/100", "FlowCytIntra-species-notes": "<p></p>", "WB-species-checked": "testedAndGuaranteed", "WB-species-dilution-info": "1/1000", "WB-species-notes": "<p></p>", "IHCP-species-checked": "testedAndGuaranteed", "IHCP-species-dilution-info": "1/20000", "IHCP-species-notes": "<p></p>", "ICCIF-species-checked": "testedAndGuaranteed", "ICCIF-species-dilution-info": "1/2000", "ICCIF-species-notes": "<p></p>" }, "Mouse": { "IP-species-checked": "testedAndGuaranteed", "IP-species-dilution-info": "1/30", "IP-species-notes": "<p></p>", "ChIP-species-checked": "guaranteed", "ChIP-species-dilution-info": "", "ChIP-species-notes": "", "FlowCytIntra-species-checked": "testedAndGuaranteed", "FlowCytIntra-species-dilution-info": "1/100", "FlowCytIntra-species-notes": "<p></p>", "WB-species-checked": "testedAndGuaranteed", "WB-species-dilution-info": "1/1000", "WB-species-notes": "<p></p>", "IHCP-species-checked": "testedAndGuaranteed", "IHCP-species-dilution-info": "1/50000", "IHCP-species-notes": "<p></p>", "ICCIF-species-checked": "testedAndGuaranteed", "ICCIF-species-dilution-info": "1/2000", "ICCIF-species-notes": "<p></p>" }, "Rat": { "IP-species-checked": "guaranteed", "IP-species-dilution-info": "", "IP-species-notes": "", "ChIP-species-checked": "guaranteed", "ChIP-species-dilution-info": "", "ChIP-species-notes": "", "FlowCytIntra-species-checked": "guaranteed", "FlowCytIntra-species-dilution-info": "", "FlowCytIntra-species-notes": "", "WB-species-checked": "testedAndGuaranteed", "WB-species-dilution-info": "", "WB-species-notes": "<p></p>", "IHCP-species-checked": "testedAndGuaranteed", "IHCP-species-dilution-info": "1/50000", "IHCP-species-notes": "<p></p>", "ICCIF-species-checked": "guaranteed", "ICCIF-species-dilution-info": "", "ICCIF-species-notes": "" }, "Drosophila melanogaster": { "IP-species-checked": "predicted", "IP-species-dilution-info": "", "IP-species-notes": "", "ChIP-species-checked": "predicted", "ChIP-species-dilution-info": "", "ChIP-species-notes": "", "FlowCytIntra-species-checked": "predicted", "FlowCytIntra-species-dilution-info": "", "FlowCytIntra-species-notes": "", "WB-species-checked": "predicted", "WB-species-dilution-info": "", "WB-species-notes": "", "IHCP-species-checked": "predicted", "IHCP-species-dilution-info": "", "IHCP-species-notes": "", "ICCIF-species-checked": "predicted", "ICCIF-species-dilution-info": "", "ICCIF-species-notes": "" }, "Zebrafish": { "IP-species-checked": "predicted", "IP-species-dilution-info": "", "IP-species-notes": "", "ChIP-species-checked": "predicted", "ChIP-species-dilution-info": "", "ChIP-species-notes": "", "FlowCytIntra-species-checked": "predicted", "FlowCytIntra-species-dilution-info": "", "FlowCytIntra-species-notes": "", "WB-species-checked": "predicted", "WB-species-dilution-info": "", "WB-species-notes": "", "IHCP-species-checked": "predicted", "IHCP-species-dilution-info": "", "IHCP-species-notes": "", "ICCIF-species-checked": "predicted", "ICCIF-species-dilution-info": "", "ICCIF-species-notes": "" } } }

Product details

ab237964 is the carrier-free version of ab52484.

Want a custom formulation?
This antibody clone is manufactured by Abcam. If you require a custom buffer formulation or conjugation for your experiments, please contact orders@abcam.com

Conjugation ready
Our carrier-free antibodies are typically supplied in a PBS-only formulation, purified and free of BSA, sodium azide and glycerol. This conjugation-ready format is designed for use with fluorochromes, metal isotopes, oligonucleotides, and enzymes, which makes them ideal for antibody labelling, functional and cell-based assays, flow-based assays (e.g. mass cytometry) and Multiplex Imaging applications.

Use our conjugation kits for antibody conjugates that are ready-to-use in as little as 20 minutes with 1 minute hands-on-time and 100% antibody recovery: available for fluorescent dyes, HRP, biotin and gold.

Compatibility
This product is compatible with the Maxpar® Antibody Labeling Kit from Fluidigm, without the need for antibody preparation. Maxpar® is a trademark of Fluidigm Canada Inc.

What are the advantages of a recombinant monoclonal antibody?
This product is a recombinant monoclonal antibody, which offers several advantages including:

  • - High batch-to-batch consistency and reproducibility
  • - Improved sensitivity and specificity
  • - Long-term security of supply
  • - Animal-free batch production

For more information, read more on recombinant antibodies.

Properties and storage information

Form
Liquid
Purification technique
Affinity purification Protein A
Storage buffer
pH: 7.2 - 7.4 Constituents: 100% PBS
Shipped at conditions
Blue Ice
Appropriate short-term storage duration
1-2 weeks
Appropriate short-term storage conditions
+4°C
Appropriate long-term storage conditions
+4°C
Storage information
Do Not Freeze

Product protocols

For this product, it's our understanding that no specific protocols are required. You can visit:

Target data

Core component of nucleosome. Nucleosomes wrap and compact DNA into chromatin, limiting DNA accessibility to the cellular machineries which require DNA as a template. Histones thereby play a central role in transcription regulation, DNA repair, DNA replication and chromosomal stability. DNA accessibility is regulated via a complex set of post-translational modifications of histones, also called histone code, and nucleosome remodeling.
See full target information H2BC3

Publications (1)

Recent publications for all applications. Explore the full list and refine your search

Molecular neurobiology 59:6245-6259 PubMed35915387

2022

The Zinc Ionophore Clioquinol Reduces Parkinson's Disease Patient-Derived Brain Extracts-Induced Neurodegeneration.

Applications

Unspecified application

Species

Unspecified reactive species

Margaux Teil,Evelyne Doudnikoff,Marie-Laure Thiolat,Sylvain Bohic,Erwan Bezard,Benjamin Dehay
View all publications

Product promise

We are committed to supporting your work with high-quality reagents, and we're here for you every step of the way. In the unlikely event that one of our products does not perform as expected, you're protected by our Product Promise.
For full details, please see our Terms & Conditions

Please note: All products are 'FOR RESEARCH USE ONLY. NOT FOR USE IN DIAGNOSTIC OR THERAPEUTIC PROCEDURES'.

For licensing inquiries, please contact partnerships@abcam.com