JavaScript is disabled in your browser. Please enable JavaScript to view this website.
AB177787

Anti-Histone H2B (mono methyl K116) antibody [EPR17700]

Be the first to review this product! Submit a review

|

(1 Publication)

Rabbit Recombinant Monoclonal H2B mono methyl K116 antibody. Suitable for WB, PepArr, ICC/IF, IHC-P and reacts with Mouse, Human, Rat samples. Cited in 1 publication.

View Alternative Names

H2BFQ, HIST2H2BE, H2BC21, Histone H2B type 2-E, H2B-clustered histone 21, Histone H2B-GL105, Histone H2B.q, H2B/q, H2BK116me, H2BK116me1, H2BK116

7 Images
Immunocytochemistry/ Immunofluorescence - Anti-Histone H2B (mono methyl K116) antibody [EPR17700] (AB177787)
  • ICC/IF

Supplier Data

Immunocytochemistry/ Immunofluorescence - Anti-Histone H2B (mono methyl K116) antibody [EPR17700] (AB177787)

Immunofluorescent analysis of 4% paraformaldehyde-fixed 0.1% Triton X-100 permeabilized HeLa (Human epithelial cells from cervix adenocarcinoma) cells labeling Histone H2B (mono methyl K116) with ab177787 at 1/2000 dilution followed by Goat anti-rabbit IgG (Alexa Fluor® 488) (ab150077) secondary antibody at 1/500 dilution (green). Confocal image showing nuclear staining on HeLa cell line. The nuclear counter stain is DAPI (blue). Tubulin is detected with ab7291 (anti-Tubulin mouse mAb) at 1/1000 dilution and ab150120 (AlexaFluor®594 Goat anti-Mouse secondary) at 1/500 dilution (red).
The negative controls are as follows :
Negative control 1 : ab177787 at 1/2000 dilution followed by ab150120 (AlexaFluor®594 Goat anti-Mouse secondary) at 1/500 dilution.
Negative control 2 : ab7291 (anti-Tubulin mouse mAb) at 1/1000 dilution followed by ab150077 (Alexa Fluor®488 Goat Anti-Rabbit IgG H&L) at 1/500 dilution.

Immunohistochemistry (Formalin/PFA-fixed paraffin-embedded sections) - Anti-Histone H2B (mono methyl K116) antibody [EPR17700] (AB177787)
  • IHC-P

Supplier Data

Immunohistochemistry (Formalin/PFA-fixed paraffin-embedded sections) - Anti-Histone H2B (mono methyl K116) antibody [EPR17700] (AB177787)

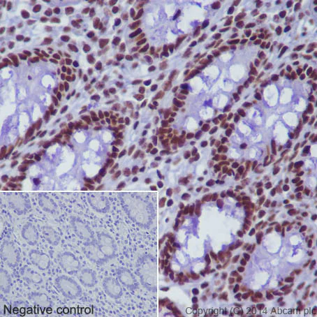
Immunohistochemical analysis of paraffin-embedded Human colon tissue labeling Histone H2B (mono methyl K116) with ab177787 at 1/2000 dilution followed by Goat Anti-Rabbit IgG H&L (HRP) (ab97051) secondary at 1/500 dilution. Nucleus staining on glandular epithelium of human colon tissue is observed. Counter stained with Hematoxylin.

Negative control : Using PBS instead of primary antibody secondary antibody is Goat Anti-Rabbit IgG H&L (HRP) (ab97051) at 1/500 dilution.

Perform heat mediated antigen retrieval with Tris/EDTA buffer pH 9.0 before commencing with IHC staining protocol.

Immunohistochemistry (Formalin/PFA-fixed paraffin-embedded sections) - Anti-Histone H2B (mono methyl K116) antibody [EPR17700] (AB177787)
  • IHC-P

Supplier Data

Immunohistochemistry (Formalin/PFA-fixed paraffin-embedded sections) - Anti-Histone H2B (mono methyl K116) antibody [EPR17700] (AB177787)

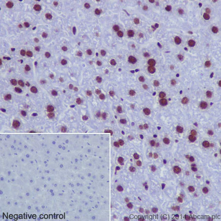
Immunohistochemical analysis of paraffin-embedded Mouse liver tissue labeling Histone H2B (mono methyl K116) with ab177787 at 1/2000 dilution followed by Goat Anti-Rabbit IgG H&L (HRP) (ab97051) secondary at 1/500 dilution. Nucleus staining on mouse liver tissue is observed. Counter stained with Hematoxylin.

Negative control : Using PBS instead of primary antibody secondary antibody is Goat Anti-Rabbit IgG H&L (HRP) (ab97051) at 1/500 dilution.

Perform heat mediated antigen retrieval with Tris/EDTA buffer pH 9.0 before commencing with IHC staining protocol.

Immunohistochemistry (Formalin/PFA-fixed paraffin-embedded sections) - Anti-Histone H2B (mono methyl K116) antibody [EPR17700] (AB177787)
  • IHC-P

Supplier Data

Immunohistochemistry (Formalin/PFA-fixed paraffin-embedded sections) - Anti-Histone H2B (mono methyl K116) antibody [EPR17700] (AB177787)

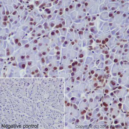
Immunohistochemical analysis of paraffin-embedded Rat pancreas tissue labeling Histone H2B (mono methyl K116) with ab177787 at 1/2000 dilution followed by Goat Anti-Rabbit IgG H&L (HRP) (ab97051) secondary at 1/500 dilution. Nucleus staining on rat pancreas tissue is observed. Counter stained with Hematoxylin.

Negative control : Using PBS instead of primary antibody secondary antibody is Goat Anti-Rabbit IgG H&L (HRP) (ab97051) at 1/500 dilution.

Perform heat mediated antigen retrieval with Tris/EDTA buffer pH 9.0 before commencing with IHC staining protocol.

Western blot - Anti-Histone H2B (mono methyl K116) antibody [EPR17700] (AB177787)
  • WB

Supplier Data

Western blot - Anti-Histone H2B (mono methyl K116) antibody [EPR17700] (AB177787)

Blocking/Dilution buffer : 5% BSA/TBST.

ab177787 detects in HeLa cells a weaker signal than in NIH/3T3 cells. In the HeLa WB, a 5-fold more sensitive ECL substrate was used.

All lanes:

Western blot - Anti-Histone H2B (mono methyl K116) antibody [EPR17700] (ab177787) at 1/5000 dilution

All lanes:

HeLa (Human epithelial cells from cervix adenocarcinoma) whole cell lysate at 10 µg

Secondary

All lanes:

Goat Anti-Rabbit IgG, (H+L), Peroxidase conjugated at 1/1000 dilution

Predicted band size: 14 kDa

Observed band size: 14 kDa

false

Western blot - Anti-Histone H2B (mono methyl K116) antibody [EPR17700] (AB177787)
  • WB

Supplier Data

Western blot - Anti-Histone H2B (mono methyl K116) antibody [EPR17700] (AB177787)

Blocking/Dilution buffer : 5% BSA/TBST.

All lanes:

Western blot - Anti-Histone H2B (mono methyl K116) antibody [EPR17700] (ab177787) at 1/5000 dilution

All lanes:

NIH/3T3 (Mouse embyro fibroblast cells) whole cell lysate at 10 µg

Secondary

All lanes:

Goat Anti-Rabbit IgG, (H+L), Peroxidase conjugated at 1/1000 dilution

Predicted band size: 14 kDa

Observed band size: 14 kDa

false

Peptide Array - Anti-Histone H2B (mono methyl K116) antibody [EPR17700] (AB177787)
  • PepArr

Supplier Data

Peptide Array - Anti-Histone H2B (mono methyl K116) antibody [EPR17700] (AB177787)

ab177787 was tested in Peptide array against 501 different modified and unmodified histone peptides; each peptide is printed on the array at six concentrations (each in triplicate).
Circle area represents affinity between the antibody and a peptide : all antigen-containing peptides are displayed as red circles, all other peptides as blue circles. The affinity is calculated as area under curve when antibody binding values are plotted against the corresponding peptide concentration. Each circle area is normalized to the peptide with the strongest affinity.
The complete dataset, including full list of all peptides and information on the position of each peptide in the diagram, is available under the Product Protocol section.

  • Carrier free

    Anti-Histone H2B (mono methyl K116) antibody [EPR17700] - BSA and Azide free

Key facts

Host species

Rabbit

Clonality

Monoclonal

Clone number

EPR17700

Isotype

IgG

Carrier free

No

Reacts with

Mouse, Rat, Human

Applications

ICC/IF, WB, IHC-P, PepArr

applications

Immunogen

The exact immunogen used to generate this antibody is proprietary information.

Reactivity data

{ "title": "Reactivity Data", "filters": { "stats": ["", "Species", "Dilution Info", "Notes"], "tabs": { "all-applications": {"fullname" : "All Applications", "shortname": "All Applications"}, "WB" : {"fullname" : "Western blot", "shortname":"WB"}, "PepArr" : {"fullname" : "Peptide Array", "shortname":"PepArr"}, "ICCIF" : {"fullname" : "Immunocytochemistry/ Immunofluorescence", "shortname":"ICC/IF"}, "IHCP" : {"fullname" : "Immunohistochemistry (Formalin/PFA-fixed paraffin-embedded sections)", "shortname":"IHC-P"} }, "product-promise": { "all": "all", "testedAndGuaranteed": "tested", "guaranteed": "expected", "predicted": "predicted", "notRecommended": "not-recommended" } }, "values": { "Human": { "WB-species-checked": "testedAndGuaranteed", "WB-species-dilution-info": "1/5000", "WB-species-notes": "<p></p>", "PepArr-species-checked": "testedAndGuaranteed", "PepArr-species-dilution-info": "", "PepArr-species-notes": "<p></p>", "ICCIF-species-checked": "testedAndGuaranteed", "ICCIF-species-dilution-info": "1/2000", "ICCIF-species-notes": "<p></p>", "IHCP-species-checked": "testedAndGuaranteed", "IHCP-species-dilution-info": "1/2000", "IHCP-species-notes": "<p></p>" }, "Mouse": { "WB-species-checked": "testedAndGuaranteed", "WB-species-dilution-info": "1/5000", "WB-species-notes": "<p></p>", "PepArr-species-checked": "guaranteed", "PepArr-species-dilution-info": "", "PepArr-species-notes": "", "ICCIF-species-checked": "guaranteed", "ICCIF-species-dilution-info": "", "ICCIF-species-notes": "", "IHCP-species-checked": "testedAndGuaranteed", "IHCP-species-dilution-info": "1/2000", "IHCP-species-notes": "<p></p>" }, "Rat": { "WB-species-checked": "guaranteed", "WB-species-dilution-info": "", "WB-species-notes": "", "PepArr-species-checked": "guaranteed", "PepArr-species-dilution-info": "", "PepArr-species-notes": "", "ICCIF-species-checked": "guaranteed", "ICCIF-species-dilution-info": "", "ICCIF-species-notes": "", "IHCP-species-checked": "testedAndGuaranteed", "IHCP-species-dilution-info": "1/2000", "IHCP-species-notes": "<p></p>" } } }

Product details

Patented technology
Our RabMAb® technology is a patented hybridoma-based technology for making rabbit monoclonal antibodies. For details on our patents, please refer to RabMAb® patents.

What are the advantages of a recombinant monoclonal antibody?
This product is a recombinant monoclonal antibody, which offers several advantages including:

  • - High batch-to-batch consistency and reproducibility
  • - Improved sensitivity and specificity
  • - Long-term security of supply
  • - Animal-free batch production

For more information, read more on recombinant antibodies.

Properties and storage information

Form
Liquid
Purification technique
Affinity purification Protein A
Storage buffer
Preservative: 0.01% Sodium azide Constituents: PBS, 40% Glycerol (glycerin, glycerine), 0.05% BSA
Shipped at conditions
Blue Ice
Appropriate short-term storage duration
1-2 weeks
Appropriate short-term storage conditions
+4°C
Appropriate long-term storage conditions
-20°C
Aliquoting information
Upon delivery aliquot
Storage information
Avoid freeze / thaw cycle

Product protocols

For this product, it's our understanding that no specific protocols are required. You can visit:

Target data

Core component of nucleosome. Nucleosomes wrap and compact DNA into chromatin, limiting DNA accessibility to the cellular machineries which require DNA as a template. Histones thereby play a central role in transcription regulation, DNA repair, DNA replication and chromosomal stability. DNA accessibility is regulated via a complex set of post-translational modifications of histones, also called histone code, and nucleosome remodeling.. Has broad antibacterial activity. May contribute to the formation of the functional antimicrobial barrier of the colonic epithelium, and to the bactericidal activity of amniotic fluid.
See full target information H2BC21 mono methyl K116

Publications (1)

Recent publications for all applications. Explore the full list and refine your search

Nucleic acids research 46:5809-5821 PubMed29931370

2018

Long noncoding RNA OCC-1 suppresses cell growth through destabilizing HuR protein in colorectal cancer.

Applications

Unspecified application

Species

Unspecified reactive species

Yang Lan,Xuewei Xiao,Zhengchi He,Yu Luo,Chuanfang Wu,Ling Li,Xu Song
View all publications
peptideArrayWebsite
en

Product promise

We are committed to supporting your work with high-quality reagents, and we're here for you every step of the way. In the unlikely event that one of our products does not perform as expected, you're protected by our Product Promise.
For full details, please see our Terms & Conditions

Please note: All products are 'FOR RESEARCH USE ONLY. NOT FOR USE IN DIAGNOSTIC OR THERAPEUTIC PROCEDURES'.

For licensing inquiries, please contact partnerships@abcam.com