JavaScript is disabled in your browser. Please enable JavaScript to view this website.
AB202118

Anti-Histone H2B (mono methyl K23) antibody [EPR17603]

Be the first to review this product! Submit a review

|

(1 Publication)

Rabbit Recombinant Monoclonal H2B mono methyl K23 antibody. Suitable for WB, PepArr, ICC/IF and reacts with Mouse, Human samples. Cited in 1 publication.

View Alternative Names

H2BFQ, HIST2H2BE, H2BC21, Histone H2B type 2-E, H2B-clustered histone 21, Histone H2B-GL105, Histone H2B.q, H2B/q, H2BK23me, H2BK23me1, H2BK23

5 Images
Immunocytochemistry/ Immunofluorescence - Anti-Histone H2B (mono methyl K23) antibody [EPR17603] (AB202118)
  • ICC/IF

Supplier Data

Immunocytochemistry/ Immunofluorescence - Anti-Histone H2B (mono methyl K23) antibody [EPR17603] (AB202118)

Immunofluorescent analysis of 4% paraformaldehyde-fixed 0.1% Triton X-100 permeabilized HeLa (Human epithelial cell line from cervix adenocarcinoma) cells labeling Histone H2B (mono methyl K23) with ab202118 at 1/4000 dilution followed by Goat anti-rabbit IgG (Alexa Fluor® 488) (ab150077) secondary antibody at 1/1000 dilution (green). Confocal image showing nuclear staining on HeLa cell line.

The nuclear counter stain is DAPI (blue). Tubulin is detected with ab195889 (Anti-alpha Tubulin antibody [DM1A] - Microtubule Marker (Alexa Fluor® 594)) at 1/200 dilution (red).

Secondary antibody only control : Used PBS instead of primary antibody secondary antibody is Goat anti-rabbit IgG (Alexa Fluor® 488) (ab150077) at 1/1000 dilution.

Immunocytochemistry/ Immunofluorescence - Anti-Histone H2B (mono methyl K23) antibody [EPR17603] (AB202118)
  • ICC/IF

Supplier Data

Immunocytochemistry/ Immunofluorescence - Anti-Histone H2B (mono methyl K23) antibody [EPR17603] (AB202118)

Immunofluorescent analysis of 4% paraformaldehyde-fixed 0.1% Triton X-100 permeabilized NIH/3T3 (Mouse embryonic fibroblast cell line) cells labeling Histone H2B (mono methyl K23) with ab202118 at 1/4000 dilution followed by Goat anti-rabbit IgG (Alexa Fluor® 488) (ab150077) secondary antibody at 1/1000 dilution (green). Confocal image showing nuclear staining on NIH/3T3 cell line.

The nuclear counter stain is DAPI (blue). Tubulin is detected with ab195889 (Anti-alpha Tubulin antibody [DM1A] - Microtubule Marker (Alexa Fluor® 594)) at 1/200 dilution (red).

Secondary antibody only control : Used PBS instead of primary antibody secondary antibody is Goat anti-rabbit IgG (Alexa Fluor® 488) (ab150077) at 1/1000 dilution.

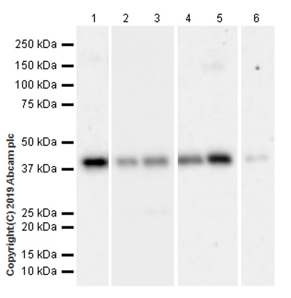
Western blot - Anti-Histone H2B (mono methyl K23) antibody [EPR17603] (AB202118)
  • WB

Supplier Data

Western blot - Anti-Histone H2B (mono methyl K23) antibody [EPR17603] (AB202118)

Blocking/Dilution buffer : 5% BSA/TBST.

All lanes:

Western blot - Anti-Histone H2B (mono methyl K23) antibody [EPR17603] (ab202118) at 1/1000 dilution

All lanes:

HeLa (Human epithelial cell line from cervix adenocarcinoma) whole cell lysate at 10 µg

Secondary

All lanes:

Western blot - Goat Anti-Rabbit IgG H&L (HRP) (<a href='/en-us/products/secondary-antibodies/goat-rabbit-igg-h-l-hrp-ab97051'>ab97051</a>) at 1/100000 dilution

Predicted band size: 14 kDa

Observed band size: 14 kDa

false

Exposure time: 30s

Western blot - Anti-Histone H2B (mono methyl K23) antibody [EPR17603] (AB202118)
  • WB

Supplier Data

Western blot - Anti-Histone H2B (mono methyl K23) antibody [EPR17603] (AB202118)

Blocking/Dilution buffer : 5% BSA/TBST.

All lanes:

Western blot - Anti-Histone H2B (mono methyl K23) antibody [EPR17603] (ab202118) at 1/1000 dilution

All lanes:

NIH/3T3 (Mouse embryonic fibroblast cell line) whole cell lysate at 10 µg

Secondary

All lanes:

Western blot - Goat Anti-Rabbit IgG H&L (HRP) (<a href='/en-us/products/secondary-antibodies/goat-rabbit-igg-h-l-hrp-ab97051'>ab97051</a>) at 1/100000 dilution

Predicted band size: 110 kDa,14 kDa

Observed band size: 14 kDa

false

Exposure time: 1min

Peptide Array - Anti-Histone H2B (mono methyl K23) antibody [EPR17603] (AB202118)
  • PepArr

Supplier Data

Peptide Array - Anti-Histone H2B (mono methyl K23) antibody [EPR17603] (AB202118)

ab202118 was tested in Peptide Array against 501 different modified and unmodified histone peptides; each peptide is printed on the array at six concentrations (each in triplicate).

Circle area represents affinity between the antibody and a peptide : all antigen-containing peptides are displayed as red circles, all other peptides as blue circles. The affinity is calculated as area under curve when antibody binding values are plotted against the corresponding peptide concentration. Each circle area is normalized to the peptide with the strongest affinity.

The complete dataset, including full list of all peptides and information on the position of each peptide in the diagram, is available under the Product Protocol section.

  • Carrier free

    Anti-Histone H2B (mono methyl K23) antibody [EPR17603] - BSA and Azide free

Key facts

Host species

Rabbit

Clonality

Monoclonal

Clone number

EPR17603

Isotype

IgG

Carrier free

No

Reacts with

Mouse, Human

Applications

WB, PepArr, ICC/IF

applications

Immunogen

The exact immunogen used to generate this antibody is proprietary information.

Reactivity data

{ "title": "Reactivity Data", "filters": { "stats": ["", "Species", "Dilution Info", "Notes"], "tabs": { "all-applications": {"fullname" : "All Applications", "shortname": "All Applications"}, "WB" : {"fullname" : "Western blot", "shortname":"WB"}, "PepArr" : {"fullname" : "Peptide Array", "shortname":"PepArr"}, "ICCIF" : {"fullname" : "Immunocytochemistry/ Immunofluorescence", "shortname":"ICC/IF"} }, "product-promise": { "all": "all", "testedAndGuaranteed": "tested", "guaranteed": "expected", "predicted": "predicted", "notRecommended": "not-recommended" } }, "values": { "Human": { "WB-species-checked": "testedAndGuaranteed", "WB-species-dilution-info": "1/1000", "WB-species-notes": "<p></p>", "PepArr-species-checked": "testedAndGuaranteed", "PepArr-species-dilution-info": "0.2 µg/mL", "PepArr-species-notes": "<p></p>", "ICCIF-species-checked": "testedAndGuaranteed", "ICCIF-species-dilution-info": "1/4000", "ICCIF-species-notes": "<p></p>" }, "Mouse": { "WB-species-checked": "testedAndGuaranteed", "WB-species-dilution-info": "1/1000", "WB-species-notes": "<p></p>", "PepArr-species-checked": "guaranteed", "PepArr-species-dilution-info": "", "PepArr-species-notes": "", "ICCIF-species-checked": "testedAndGuaranteed", "ICCIF-species-dilution-info": "1/4000", "ICCIF-species-notes": "<p></p>" } } }

Product details

Patented technology
Our RabMAb® technology is a patented hybridoma-based technology for making rabbit monoclonal antibodies. For details on our patents, please refer to RabMAb® patents.

What are the advantages of a recombinant monoclonal antibody?
This product is a recombinant monoclonal antibody, which offers several advantages including:

  • - High batch-to-batch consistency and reproducibility
  • - Improved sensitivity and specificity
  • - Long-term security of supply
  • - Animal-free batch production

For more information, read more on recombinant antibodies.

Properties and storage information

Form
Liquid
Purification technique
Affinity purification Protein A
Storage buffer
pH: 7.2 - 7.4 Preservative: 0.01% Sodium azide Constituents: PBS, 40% Glycerol (glycerin, glycerine), 0.05% BSA
Shipped at conditions
Blue Ice
Appropriate short-term storage duration
1-2 weeks
Appropriate short-term storage conditions
+4°C
Appropriate long-term storage conditions
-20°C
Aliquoting information
Upon delivery aliquot
Storage information
Avoid freeze / thaw cycle

Product protocols

For this product, it's our understanding that no specific protocols are required. You can visit:

Target data

Core component of nucleosome. Nucleosomes wrap and compact DNA into chromatin, limiting DNA accessibility to the cellular machineries which require DNA as a template. Histones thereby play a central role in transcription regulation, DNA repair, DNA replication and chromosomal stability. DNA accessibility is regulated via a complex set of post-translational modifications of histones, also called histone code, and nucleosome remodeling.. Has broad antibacterial activity. May contribute to the formation of the functional antimicrobial barrier of the colonic epithelium, and to the bactericidal activity of amniotic fluid.
See full target information H2BC21 mono methyl K23

Publications (1)

Recent publications for all applications. Explore the full list and refine your search

eLife 12: PubMed38739438

2024

Retinal metabolism displays evidence for uncoupling of glycolysis and oxidative phosphorylation via Cori-, Cahill-, and mini-Krebs-cycle.

Applications

Unspecified application

Species

Unspecified reactive species

Yiyi Chen,Laimdota Zizmare,Victor Calbiague,Lan Wang,Shirley Yu,Fritz W Herberg,Oliver Schmachtenberg,Francois Paquet-Durand,Christoph Trautwein
View all publications
peptideArrayWebsite
en

Product promise

We are committed to supporting your work with high-quality reagents, and we're here for you every step of the way. In the unlikely event that one of our products does not perform as expected, you're protected by our Product Promise.
For full details, please see our Terms & Conditions

Please note: All products are 'FOR RESEARCH USE ONLY. NOT FOR USE IN DIAGNOSTIC OR THERAPEUTIC PROCEDURES'.

For licensing inquiries, please contact partnerships@abcam.com