JavaScript is disabled in your browser. Please enable JavaScript to view this website.
AB302877

Anti-Histone H3 (acetyl K27) antibody [EP16602] - ChIP Grade - BSA and Azide free

Be the first to review this product! Submit a review

|

(1 Publication)

Rabbit Recombinant Monoclonal H3 acetyl K27 antibody. Carrier free. Suitable for ICC/IF, ChIP, WB, PepArr, ChIP-seq, Flow Cyt (Intra), IHC-P, ChIC/CUT&RUN-seq and reacts with Human, Mouse, Rat, Synthetic peptide samples. Cited in 1 publication.

View Alternative Names

H3FA, HIST1H3A, H3C2, H3FL, HIST1H3B, H3C3, H3FC HIST1H3C, H3C4, H3FB, HIST1H3D, H3C6, H3FD, HIST1H3E, H3C7, H3FI, HIST1H3F, H3C8, H3FH, HIST1H3G, H3C10, H3FK, HIST1H3H, H3C11, H3FF, HIST1H3I, H3C12, H3FJ, HIST1H3J, H3FC, HIST1H3C, H3C1, Histone H3.1, Histone H3/a, Histone H3/b, Histone H3/c, Histone H3/d, Histone H3/f, Histone H3/h, Histone H3/i, Histone H3/j, Histone H3/k, Histone H3/l, H3K27ac

15 Images
Flow Cytometry (Intracellular) - Anti-Histone H3 (acetyl K27) antibody [EP16602] - ChIP Grade - BSA and Azide free (AB302877)
  • Flow Cyt (Intra)

Unknown

Flow Cytometry (Intracellular) - Anti-Histone H3 (acetyl K27) antibody [EP16602] - ChIP Grade - BSA and Azide free (AB302877)

This data was developed using ab177178, the same antibody clone in a different buffer formulation.

Intracellular Flow Cytometry analysis of HeLa (human cervix adenocarcinoma) treated with 500 ng/ml Trichostatin A for 4 hours (Red)/untreated (Green) at 1/1500 dilution. The secondary antibody was Goat anti rabbit IgG (Alexa Fluor®488) at 1/2000 dilution. Rabbit monoclonal IgG (ab172730) (Black) was used as the isotype control and cells without incubation with primary antibody and secondary antibody (Blue) were used as unlabeled control.

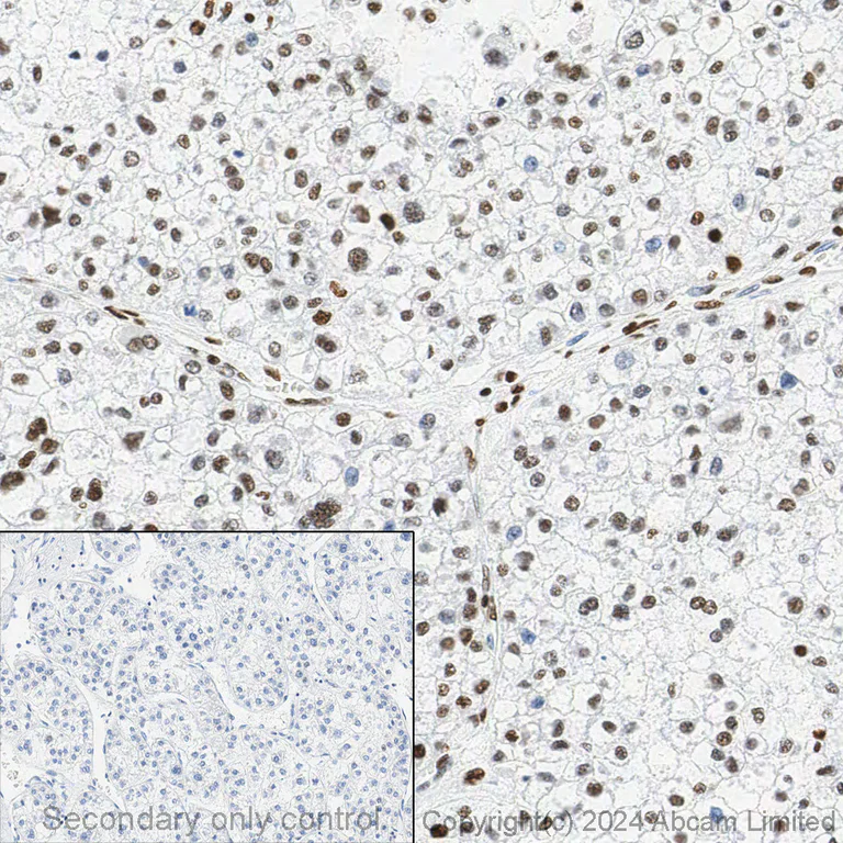
Immunohistochemistry (Formalin/PFA-fixed paraffin-embedded sections) - Anti-Histone H3 (acetyl K27) antibody [EP16602] - ChIP Grade - BSA and Azide free (AB302877)
  • IHC-P

Lab

Immunohistochemistry (Formalin/PFA-fixed paraffin-embedded sections) - Anti-Histone H3 (acetyl K27) antibody [EP16602] - ChIP Grade - BSA and Azide free (AB302877)

This data was developed using ab177178, the same antibody clone in a different buffer formulation.

Immunohistochemical analysis of paraffin-embedded human liver cancer tissue labeling Histone H3 (acetyl K27) with ab177178 at 1/1500 dilution, followed by Rabbit specific IHC polymer detection kit HRP/DAB (ab209101).

Nuclear staining on human liver cancer tissue is observed.

The section was incubated with ab177178 for 30 minutes at room temperature. The immunostaining staining was performed on a Leica Biosystems BOND® RX instrument. Counterstained with Hematoxylin.

Heat mediated antigen retrieval with Tris-EDTA buffer (pH 9.0, epitope retrieval solution 2) was performed for 20 minutes.

Immunocytochemistry/ Immunofluorescence - Anti-Histone H3 (acetyl K27) antibody [EP16602] - ChIP Grade - BSA and Azide free (AB302877)
  • ICC/IF

Lab

Immunocytochemistry/ Immunofluorescence - Anti-Histone H3 (acetyl K27) antibody [EP16602] - ChIP Grade - BSA and Azide free (AB302877)

This data was developed using ab177178, the same antibody clone in a different buffer formulation.

Immunofluorescent analysis of 4% paraformaldehyde-fixed, 0.1% Triton X-100 permeabilized HeLa (Human epithelial cell line from cervix adenocarcinoma) cells, labeling Histone H3 (acetyl K27) with ab177178 at 1/8000 dilution, followed by Goat Anti-Rabbit IgG (Alexa Fluor® 488) (ab150077) secondary antibody at 1/1000 dilution (green).

Confocal image showing increased nuclear staining in HeLa cells treated with TSA (500 ng/ml, 4 hours).

The nuclear counter stain is DAPI (blue).

Immunohistochemistry (Formalin/PFA-fixed paraffin-embedded sections) - Anti-Histone H3 (acetyl K27) antibody [EP16602] - ChIP Grade - BSA and Azide free (AB302877)
  • IHC-P

Lab

Immunohistochemistry (Formalin/PFA-fixed paraffin-embedded sections) - Anti-Histone H3 (acetyl K27) antibody [EP16602] - ChIP Grade - BSA and Azide free (AB302877)

This data was developed using ab177178, the same antibody clone in a different buffer formulation.

Immunohistochemical analysis of formalin fixed paraffin embedded human liver carcinoma labelling Histone H3 (acetyl K27) with ab177178 at a concentration of 0.1µg/ml. The immunostaining was performed on a Ventana DISCOVERY ULTRA (Roche Tissue Diagnostics) instrument with a OptiView DAB IHC Detection Kit. Heat mediated antigen retrieval was performed with DISCOVERY cell conditioning solution (CC1) 100°C, pH8.5 for 32mins.

ab177178 Anti-Histone H3 (acetyl K27) antibody [EP16602] was incubated for 16mins at 37°C. Sections were counterstained with Hematoxylin II. Image inset shows absence of staining in secondary antibody only control.

Customers are encouraged to optimise antigen retrieval conditions, antibody concentration, incubation times and temperature for best results in their own IHC assay workflow (automated and manual).

ChIP-sequencing - Anti-Histone H3 (acetyl K27) antibody [EP16602] - ChIP Grade - BSA and Azide free (AB302877)
  • ChIP-seq

Supplier Data

ChIP-sequencing - Anti-Histone H3 (acetyl K27) antibody [EP16602] - ChIP Grade - BSA and Azide free (AB302877)

This data was developed using ab177178, the same antibody clone in a different buffer formulation.

Chromatin was prepared from HeLa cells. Cells were fixed with 1% formaldehyde for 10 minutes. ChIP was performed with 107 HeLa cells and 4 μg of Anti-Histone H3 (acetyl K27) antibody [EP16602] - ChIP Grade (ab177178). ChIP DNA was sequenced on the Illumina NovaSeq 6000 to a depth of 30 million reads.

Additional screenshots of mapped reads can be downloaded here.

ChIP - Anti-Histone H3 (acetyl K27) antibody [EP16602] - ChIP Grade - BSA and Azide free (AB302877)
  • ChIP

Lab

ChIP - Anti-Histone H3 (acetyl K27) antibody [EP16602] - ChIP Grade - BSA and Azide free (AB302877)

This data was developed using ab177178, the same antibody clone in a different buffer formulation.

Chromatin was prepared from HeLa (Human epithelial cell line from cervix adenocarcinoma) cells according to the Abcam X-ChIP protocol. Cells were fixed with formaldehyde for 10 minutes. The ChIP was performed with 25μg of chromatin, 2μg of ab177178 (blue), and 20μl of Protein A/G Sepharose beads. 2μg of rabbit normal IgG was added to the beads as a control sample (yellow). The immunoprecipitated DNA was quantified by real time PCR (Taqman approach for active and inactive loci, Sybr green approach for heterochromatic loci).

Primers and probes are located in the first kb of the transcribed region.

*http : //www.abcam.com/resources?keywords=X%20ChIP%20protocol

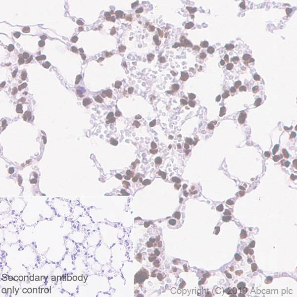
Immunohistochemistry (Formalin/PFA-fixed paraffin-embedded sections) - Anti-Histone H3 (acetyl K27) antibody [EP16602] - ChIP Grade - BSA and Azide free (AB302877)
  • IHC-P

Unknown

Immunohistochemistry (Formalin/PFA-fixed paraffin-embedded sections) - Anti-Histone H3 (acetyl K27) antibody [EP16602] - ChIP Grade - BSA and Azide free (AB302877)

This data was developed using ab177178, the same antibody clone in a different buffer formulation.

Immunohistochemical analysis of paraffin-embedded mouse lung tissue labeling Histone H3 (acetyl K27) with ab177178 at 1/10000 dilution, followed by Rabbit specific IHC polymer detection kit HRP/DAB (ab209101).

Nuclear staining on mouse lung tissue is observed.

The section was incubated with ab177178 for 30 minutes at room temperature. The immunostaining staining was performed on a Leica Biosystems BOND® RX instrument. Counterstained with Hematoxylin.

Heat mediated antigen retrieval with Tris-EDTA buffer (pH 9.0, epitope retrieval solution 2) was performed for 20 minutes.

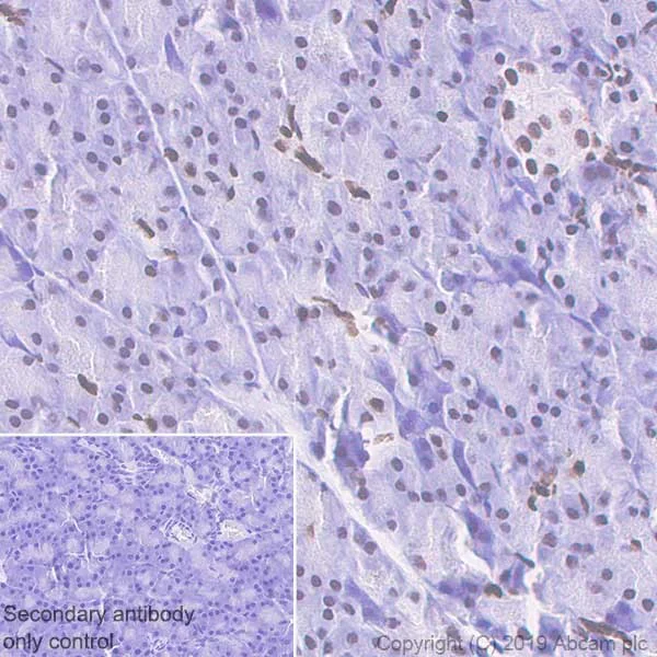
Immunohistochemistry (Formalin/PFA-fixed paraffin-embedded sections) - Anti-Histone H3 (acetyl K27) antibody [EP16602] - ChIP Grade - BSA and Azide free (AB302877)
  • IHC-P

Unknown

Immunohistochemistry (Formalin/PFA-fixed paraffin-embedded sections) - Anti-Histone H3 (acetyl K27) antibody [EP16602] - ChIP Grade - BSA and Azide free (AB302877)

This data was developed using ab177178, the same antibody clone in a different buffer formulation.

Immunohistochemical analysis of paraffin-embedded rat pancreas tissue labeling Histone H3 (acetyl K27) with ab177178 at 1/10000 dilution, followed by Rabbit specific IHC polymer detection kit HRP/DAB (ab209101).

Nuclear staining on rat pancreas is observed.

The section was incubated with ab177178 for 30 minutes at room temperature. The immunostaining staining was performed on a Leica Biosystems BOND® RX instrument. Counter stained with Hematoxylin.

Heat mediated antigen retrieval with Tris-EDTA buffer (pH 9.0, epitope retrieval solution 2) was performed for 20 minutes.

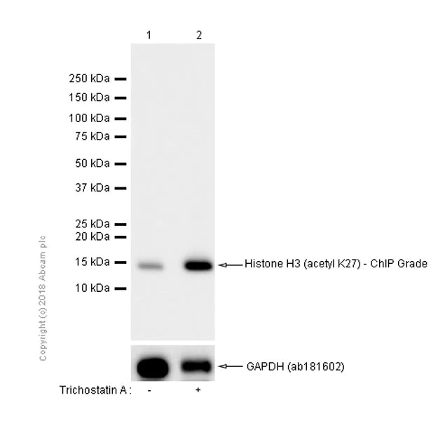
Western blot - Anti-Histone H3 (acetyl K27) antibody [EP16602] - ChIP Grade - BSA and Azide free (AB302877)
  • WB

Unknown

Western blot - Anti-Histone H3 (acetyl K27) antibody [EP16602] - ChIP Grade - BSA and Azide free (AB302877)

This data was developed using ab177178, the same antibody clone in a different buffer formulation.

All lanes:

Western blot - Anti-Histone H3 (acetyl K27) antibody [EP16602] - ChIP Grade (<a href='/en-us/products/primary-antibodies/histone-h3-acetyl-k27-antibody-ep16602-chip-grade-ab177178'>ab177178</a>) at 1/10000 dilution

Lane 1:

HeLa (Human cervix adenocarcinoma epithelial cell) whole cell lysate at 15 µg

Lane 2:

HeLa (Human cervix adenocarcinoma epithelial cell) treated with 500 ng/ml Trichostatin A for 4 hours whole cell lysate at 15 µg

Secondary

All lanes:

Western blot - Goat Anti-Rabbit IgG H&L (HRP) (<a href='/en-us/products/secondary-antibodies/goat-rabbit-igg-h-l-hrp-ab97051'>ab97051</a>) at 1/20000 dilution

Predicted band size: 15 kDa

Observed band size: 15 kDa

false

ChIC/CUT&RUN sequencing - Anti-Histone H3 (acetyl K27) antibody [EP16602] - ChIP Grade - BSA and Azide free (AB302877)
  • ChIC/CUT&RUN-seq

Lab

ChIC/CUT&RUN sequencing - Anti-Histone H3 (acetyl K27) antibody [EP16602] - ChIP Grade - BSA and Azide free (AB302877)

ChIC/CUT&RUN was performed using a pAG-MNase at a final concentration of 700 ng/mL, 2.5 x 10^5 HeLa (Human epithelial cell line from cervix adenocarcinoma) cells and 5 µg of ab177178 [EP16602]. The resulting DNA was sequenced on the Illumina NovaSeq 6000 to a depth of 10 million reads. The negative IgG control ab172730 is also shown.

The University of Geneva owns patents relevant to ChIC (Chromatin Immuno-Cleavage) methods.

This data was developed using the same antibody clone in a different buffer formulation (ab177178).

ChIC/CUT&RUN sequencing - Anti-Histone H3 (acetyl K27) antibody [EP16602] - ChIP Grade - BSA and Azide free (AB302877)
  • ChIC/CUT&RUN-seq

Lab

ChIC/CUT&RUN sequencing - Anti-Histone H3 (acetyl K27) antibody [EP16602] - ChIP Grade - BSA and Azide free (AB302877)

ChIC/CUT&RUN was performed using a pAG-MNase at a final concentration of 700 ng/mL, 2.5 x 10^5 HeLa (Human epithelial cell line from cervix adenocarcinoma) cells and 5 µg of ab177178 [EP16602]. The resulting DNA was sequenced on the Illumina NovaSeq 6000 to a depth of 10 million reads. The negative IgG control ab172730 is also shown.

The University of Geneva owns patents relevant to ChIC (Chromatin Immuno-Cleavage) methods.

This data was developed using the same antibody clone in a different buffer formulation (ab177178).

ChIC/CUT&RUN sequencing - Anti-Histone H3 (acetyl K27) antibody [EP16602] - ChIP Grade - BSA and Azide free (AB302877)
  • ChIC/CUT&RUN-seq

Lab

ChIC/CUT&RUN sequencing - Anti-Histone H3 (acetyl K27) antibody [EP16602] - ChIP Grade - BSA and Azide free (AB302877)

ChIC/CUT&RUN was performed using a pAG-MNase at a final concentration of 700 ng/mL, 2.5 x 10^5 HeLa (Human epithelial cell line from cervix adenocarcinoma) cells and 5 µg of ab177178 [EP16602]. The resulting DNA was sequenced on the Illumina NovaSeq 6000 to a depth of 10 million reads. The negative IgG control ab172730 is also shown.

The University of Geneva owns patents relevant to ChIC (Chromatin Immuno-Cleavage) methods.

This data was developed using the same antibody clone in a different buffer formulation (ab177178).

Western blot - Anti-Histone H3 (acetyl K27) antibody [EP16602] - ChIP Grade - BSA and Azide free (AB302877)
  • WB

Unknown

Western blot - Anti-Histone H3 (acetyl K27) antibody [EP16602] - ChIP Grade - BSA and Azide free (AB302877)

This data was developed using ab177178, the same antibody clone in a different buffer formulation.

All lanes:

Western blot - Anti-Histone H3 (acetyl K27) antibody [EP16602] - ChIP Grade (<a href='/en-us/products/primary-antibodies/histone-h3-acetyl-k27-antibody-ep16602-chip-grade-ab177178'>ab177178</a>) at 1/10000 dilution

Lane 1:

NIH/3T3 (Mouse embryonic fibroblast cell line) whole cell lysate at 15 µg

Lane 2:

NIH/3T3 (Mouse embryonic fibroblast cell line) treated with 500 ng/ml Trichostatin A for 4 hours whole cell lysate at 15 µg

Secondary

All lanes:

Western blot - Goat Anti-Rabbit IgG H&L (HRP) (<a href='/en-us/products/secondary-antibodies/goat-rabbit-igg-h-l-hrp-ab97051'>ab97051</a>) at 1/20000 dilution

Predicted band size: 15 kDa

Observed band size: 15 kDa

false

Western blot - Anti-Histone H3 (acetyl K27) antibody [EP16602] - ChIP Grade - BSA and Azide free (AB302877)
  • WB

Unknown

Western blot - Anti-Histone H3 (acetyl K27) antibody [EP16602] - ChIP Grade - BSA and Azide free (AB302877)

This data was developed using ab177178, the same antibody clone in a different buffer formulation.

All lanes:

Western blot - Anti-Histone H3 (acetyl K27) antibody [EP16602] - ChIP Grade (<a href='/en-us/products/primary-antibodies/histone-h3-acetyl-k27-antibody-ep16602-chip-grade-ab177178'>ab177178</a>) at 1/10000 dilution

Lane 1:

C6 (Rat glial tumor glial cell) whole cell lysate at 15 µg

Lane 2:

C6 (Rat glial tumor glial cell) treated with 500 ng/ml Trichostatin A for 4 hours whole cell lysate at 15 µg

Secondary

All lanes:

Western blot - Goat Anti-Rabbit IgG H&L (HRP) (<a href='/en-us/products/secondary-antibodies/goat-rabbit-igg-h-l-hrp-ab97051'>ab97051</a>) at 1/20000 dilution

Predicted band size: 15 kDa

Observed band size: 15 kDa

false

Peptide Array - Anti-Histone H3 (acetyl K27) antibody [EP16602] - ChIP Grade - BSA and Azide free (AB302877)
  • PepArr

Unknown

Peptide Array - Anti-Histone H3 (acetyl K27) antibody [EP16602] - ChIP Grade - BSA and Azide free (AB302877)

This data was developed using ab177178, the same antibody clone in a different buffer formulation.

ab177178 was tested in Peptide array against 501 different modified and unmodified histone peptides; each peptide is printed on the array at six concentrations (each in triplicate).

Circle area represents affinity between the antibody and a peptide : all antigen-containing peptides are displayed as red circles, all other peptides as blue circles. The affinity is calculated as area under curve when antibody binding values are plotted against the corresponding peptide concentration. Each circle area is normalized to the peptide with the strongest affinity.

The complete dataset, including full list of all peptides and information on the position of each peptide in the diagram, is available under the Product Protocol section.

  • Unconjugated

    Anti-Histone H3 (acetyl K27) antibody [EP16602] - ChIP Grade

  • Carrier free

    Anti-Histone H3 (acetyl K27) antibody [EP16602] – Ms IgG1 (Chimeric) – BSA and Azide Free

  • 565 Alexa Fluor® 555

    Alexa Fluor® 555 Anti-Histone H3 (acetyl K27) antibody [EP16602] - ChIP Grade

  • 660 APC

    APC Anti-Histone H3 (acetyl K27) antibody [EP16602] - ChIP Grade

  • 578 PE

    PE Anti-Histone H3 (acetyl K27) antibody [EP16602] - ChIP Grade

  • 617 Alexa Fluor® 594

    Alexa Fluor® 594 Anti-Histone H3 (acetyl K27) antibody [EP16602] - ChIP Grade

  • 775 Alexa Fluor® 750

    Alexa Fluor® 750 Anti-Histone H3 (acetyl K27) antibody [EP16602] - ChIP Grade

  • 665 Alexa Fluor® 647

    Alexa Fluor® 647 Anti-Histone H3 (acetyl K27) antibody [EP16602]

  • 519 Alexa Fluor® 488

    Alexa Fluor® 488 Anti-Histone H3 (acetyl K27) antibody [EP16602]

Key facts

Host species

Rabbit

Clonality

Monoclonal

Clone number

EP16602

Isotype

IgG

Carrier free

Yes

Reacts with

Human, Mouse, Rat

Applications

WB, ICC/IF, Flow Cyt (Intra), PepArr, ChIC/CUT&RUN-seq, ChIP, IHC-P, ChIP-seq

applications

Immunogen

The exact immunogen used to generate this antibody is proprietary information.

Specificity

ab177178 binds K27ac alone and also when S28 is phosphorylated

Reactivity data

{ "title": "Reactivity Data", "filters": { "stats": ["", "Species", "Dilution Info", "Notes"], "tabs": { "all-applications": {"fullname" : "All Applications", "shortname": "All Applications"}, "ICCIF" : {"fullname" : "Immunocytochemistry/ Immunofluorescence", "shortname":"ICC/IF"}, "ChIP" : {"fullname" : "ChIP", "shortname":"ChIP"}, "WB" : {"fullname" : "Western blot", "shortname":"WB"}, "PepArr" : {"fullname" : "Peptide Array", "shortname":"PepArr"}, "ChIPseq" : {"fullname" : "ChIP-sequencing", "shortname":"ChIP-seq"}, "FlowCytIntra" : {"fullname" : "Flow Cytometry (Intracellular)", "shortname":"Flow Cyt (Intra)"}, "IHCP" : {"fullname" : "Immunohistochemistry (Formalin/PFA-fixed paraffin-embedded sections)", "shortname":"IHC-P"}, "ChICCUTRUNseq" : {"fullname" : "ChIC/CUT&RUN sequencing", "shortname":"ChIC/CUT&RUN-seq"} }, "product-promise": { "all": "all", "testedAndGuaranteed": "tested", "guaranteed": "expected", "predicted": "predicted", "notRecommended": "not-recommended" } }, "values": { "Human": { "ICCIF-species-checked": "testedAndGuaranteed", "ICCIF-species-dilution-info": "", "ICCIF-species-notes": "<p></p>", "ChIP-species-checked": "testedAndGuaranteed", "ChIP-species-dilution-info": "", "ChIP-species-notes": "<p></p>", "WB-species-checked": "testedAndGuaranteed", "WB-species-dilution-info": "", "WB-species-notes": "<p></p>", "PepArr-species-checked": "guaranteed", "PepArr-species-dilution-info": "", "PepArr-species-notes": "", "ChIPseq-species-checked": "testedAndGuaranteed", "ChIPseq-species-dilution-info": "", "ChIPseq-species-notes": "<p></p>", "FlowCytIntra-species-checked": "testedAndGuaranteed", "FlowCytIntra-species-dilution-info": "", "FlowCytIntra-species-notes": "<p></p>", "IHCP-species-checked": "testedAndGuaranteed", "IHCP-species-dilution-info": "", "IHCP-species-notes": "<p></p>", "ChICCUTRUNseq-species-checked": "testedAndGuaranteed", "ChICCUTRUNseq-species-dilution-info": "", "ChICCUTRUNseq-species-notes": "<p></p>" }, "Mouse": { "ICCIF-species-checked": "guaranteed", "ICCIF-species-dilution-info": "", "ICCIF-species-notes": "", "ChIP-species-checked": "guaranteed", "ChIP-species-dilution-info": "", "ChIP-species-notes": "", "WB-species-checked": "testedAndGuaranteed", "WB-species-dilution-info": "", "WB-species-notes": "<p></p>", "PepArr-species-checked": "guaranteed", "PepArr-species-dilution-info": "", "PepArr-species-notes": "", "ChIPseq-species-checked": "guaranteed", "ChIPseq-species-dilution-info": "", "ChIPseq-species-notes": "", "FlowCytIntra-species-checked": "guaranteed", "FlowCytIntra-species-dilution-info": "", "FlowCytIntra-species-notes": "", "IHCP-species-checked": "testedAndGuaranteed", "IHCP-species-dilution-info": "", "IHCP-species-notes": "<p></p>", "ChICCUTRUNseq-species-checked": "guaranteed", "ChICCUTRUNseq-species-dilution-info": "", "ChICCUTRUNseq-species-notes": "" }, "Rat": { "ICCIF-species-checked": "guaranteed", "ICCIF-species-dilution-info": "", "ICCIF-species-notes": "", "ChIP-species-checked": "guaranteed", "ChIP-species-dilution-info": "", "ChIP-species-notes": "", "WB-species-checked": "testedAndGuaranteed", "WB-species-dilution-info": "", "WB-species-notes": "<p></p>", "PepArr-species-checked": "guaranteed", "PepArr-species-dilution-info": "", "PepArr-species-notes": "", "ChIPseq-species-checked": "guaranteed", "ChIPseq-species-dilution-info": "", "ChIPseq-species-notes": "", "FlowCytIntra-species-checked": "guaranteed", "FlowCytIntra-species-dilution-info": "", "FlowCytIntra-species-notes": "", "IHCP-species-checked": "testedAndGuaranteed", "IHCP-species-dilution-info": "", "IHCP-species-notes": "<p></p>", "ChICCUTRUNseq-species-checked": "guaranteed", "ChICCUTRUNseq-species-dilution-info": "", "ChICCUTRUNseq-species-notes": "" }, "Synthetic peptide": { "ICCIF-species-checked": "notRecommended", "ICCIF-species-dilution-info": "", "ICCIF-species-notes": "", "ChIP-species-checked": "notRecommended", "ChIP-species-dilution-info": "", "ChIP-species-notes": "", "WB-species-checked": "notRecommended", "WB-species-dilution-info": "", "WB-species-notes": "", "PepArr-species-checked": "testedAndGuaranteed", "PepArr-species-dilution-info": "", "PepArr-species-notes": "<p></p>", "ChIPseq-species-checked": "notRecommended", "ChIPseq-species-dilution-info": "", "ChIPseq-species-notes": "", "FlowCytIntra-species-checked": "notRecommended", "FlowCytIntra-species-dilution-info": "", "FlowCytIntra-species-notes": "", "IHCP-species-checked": "notRecommended", "IHCP-species-dilution-info": "", "IHCP-species-notes": "", "ChICCUTRUNseq-species-checked": "notRecommended", "ChICCUTRUNseq-species-dilution-info": "", "ChICCUTRUNseq-species-notes": "" } } }

Product details

ab302877 is a carrier free version of is ab177178.

Patented technology
Our RabMAb® technology is a patented hybridoma-based technology for making rabbit monoclonal antibodies. For details on our patents, please refer to RabMAb® patents.

What are the advantages of a recombinant monoclonal antibody?
This product is a recombinant monoclonal antibody, which offers several advantages including:

  • - High batch-to-batch consistency and reproducibility
  • - Improved sensitivity and specificity
  • - Long-term security of supply
  • - Animal-free batch production

For more information, read more on recombinant antibodies.

Conjugation ready
Our carrier-free antibodies are typically supplied in a PBS-only formulation, purified and free of BSA, sodium azide and glycerol. This conjugation-ready format is designed for use with fluorochromes, metal isotopes, oligonucleotides, and enzymes, which makes them ideal for antibody labelling, functional and cell-based assays, flow-based assays (e.g. mass cytometry) and Multiplex Imaging applications.

Use our conjugation kits for antibody conjugates that are ready-to-use in as little as 20 minutes with 1 minute hands-on-time and 100% antibody recovery: available for fluorescent dyes, HRP, biotin and gold.

Compatibility
This product is compatible with the Maxpar® Antibody Labeling Kit from Fluidigm, without the need for antibody preparation. Maxpar® is a trademark of Fluidigm Canada Inc.

Properties and storage information

Form
Liquid
Purification technique
Affinity purification Protein A
Storage buffer
pH: 7.2 - 7.4 Constituents: PBS
Shipped at conditions
Blue Ice
Appropriate short-term storage conditions
+4°C
Appropriate long-term storage conditions
+4°C
Storage information
Do Not Freeze

Product protocols

For this product, it's our understanding that no specific protocols are required. You can visit:

Target data

The protein expressed by gene H3C1 is a core component of the nucleosome, which is essential for wrapping and compacting DNA into chromatin. This process restricts DNA accessibility to cellular machineries that use DNA as a template. Consequently, histones are central to transcription regulation, DNA repair, DNA replication, and chromosomal stability. DNA accessibility is regulated through a complex set of post-translational modifications of histones, known as the histone code, and through nucleosome remodeling. This supplementary information is collated from multiple sources and compiled automatically.
See full target information H3C1 acetyl K27

Publications (1)

Recent publications for all applications. Explore the full list and refine your search

Environmental toxicology 40:140-151 PubMed39415627

2024

H3K27 Acetylation-Activated GLDC Accelerated the Advancement of Oral Squamous Cell Carcinoma by Suppressing the p53 Signaling Pathway.

Applications

Unspecified application

Species

Unspecified reactive species

Chen Xu,Qingfeng Xu,Haibing Yang
View all publications

Product promise

We are committed to supporting your work with high-quality reagents, and we're here for you every step of the way. In the unlikely event that one of our products does not perform as expected, you're protected by our Product Promise.
For full details, please see our Terms & Conditions

Please note: All products are 'FOR RESEARCH USE ONLY. NOT FOR USE IN DIAGNOSTIC OR THERAPEUTIC PROCEDURES'.

For licensing inquiries, please contact partnerships@abcam.com