JavaScript is disabled in your browser. Please enable JavaScript to view this website.
AB177179

Anti-Histone H3 (acetyl K36) antibody [EPR16992]

Be the first to review this product! Submit a review

|

(8 Publications)

Rabbit Recombinant Monoclonal H3 acetyl K36 antibody. Suitable for WB, PepArr, ICC/IF, IHC-P and reacts with Mouse, Human, Rat samples. Cited in 8 publications.

View Alternative Names

H3FA, HIST1H3A, H3C2, H3FL, HIST1H3B, H3C3, H3FC HIST1H3C, H3C4, H3FB, HIST1H3D, H3C6, H3FD, HIST1H3E, H3C7, H3FI, HIST1H3F, H3C8, H3FH, HIST1H3G, H3C10, H3FK, HIST1H3H, H3C11, H3FF, HIST1H3I, H3C12, H3FJ, HIST1H3J, H3C1, H3FC, HIST1H3C, Histone H3.1, Histone H3/a, Histone H3/b, Histone H3/c, Histone H3/d, Histone H3/f, Histone H3/h, Histone H3/i, Histone H3/j, Histone H3/k, Histone H3/l, H3K36ac

7 Images
Immunocytochemistry/ Immunofluorescence - Anti-Histone H3 (acetyl K36) antibody [EPR16992] (AB177179)
  • ICC/IF

Unknown

Immunocytochemistry/ Immunofluorescence - Anti-Histone H3 (acetyl K36) antibody [EPR16992] (AB177179)

Immunofluorescent analysis of 4% paraformaldehyde-fixed 0.1% Triton X-100 permeabilized HeLa cells labeling Histone H3 (acetyl K36) with ab177179 at 1/100 dilution followed by Goat anti-rabbit Alexa Fluor® 488 (IgG) (ab150077) secondary antibody at 1/400 dilution (green). Nuclear staining on HeLa cell line is observed. The expression increased after treatment with TSA (50 μg/ml) for 4 hours. The nuclear counter stain is DAPI (blue). Tubulin is detected with ab7291 (anti-Tubulin mouse mAb) at 1/500 dilution and ab150120 (goat anti-mouse AlexaFluor®594 secondary) at 1/500 dilution (red).
The negative controls are as follows;
1. ab177179 at 1/100 dilution followed by ab150120 (goat anti-mouse AlexaFluor®594 secondary) at 1/500 dilution.
2. ab7291 (anti-Tubulin mouse mAb) at 1/500 dilution followed by ab150077 (goat anti-rabbit Alexa Fluor®488 (IgG H&L) at 1/400 dilution.

Immunohistochemistry (Formalin/PFA-fixed paraffin-embedded sections) - Anti-Histone H3 (acetyl K36) antibody [EPR16992] (AB177179)
  • IHC-P

Supplier Data

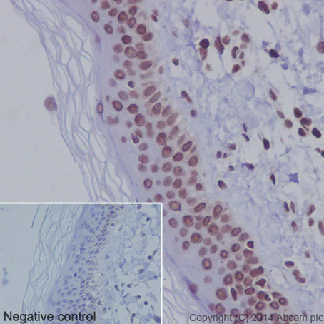
Immunohistochemistry (Formalin/PFA-fixed paraffin-embedded sections) - Anti-Histone H3 (acetyl K36) antibody [EPR16992] (AB177179)

Immunohistochemical analysis of paraffin-embedded Human skin tissue labeling Histone H3 (acetyl K36) with ab177179 at 1/100 dilution followed by prediluted Goat Anti-Rabbit IgG H&L (HRP). Nucleus staining on Human skin tissue is observed. Counter stained with Hematoxylin.
Negative control : Using PBS instead of primary ab secondary ab is prediluted Goat Anti-Rabbit IgG H&L (HRP).

Perform heat mediated antigen retrieval with Tris/EDTA buffer pH 9.0 before commencing with IHC staining protocol.

Immunohistochemistry (Formalin/PFA-fixed paraffin-embedded sections) - Anti-Histone H3 (acetyl K36) antibody [EPR16992] (AB177179)
  • IHC-P

Supplier Data

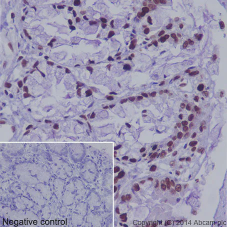
Immunohistochemistry (Formalin/PFA-fixed paraffin-embedded sections) - Anti-Histone H3 (acetyl K36) antibody [EPR16992] (AB177179)

Immunohistochemical analysis of paraffin-embedded Mouse colon tissue labeling Histone H3 (acetyl K36) with ab177179 at 1/100 dilution followed by prediluted Goat Anti-Rabbit IgG H&L (HRP). Nucleus staining on glandular epithelium of mouse colon tissue is observed. Counter stained with Hematoxylin.
Negative control : Using PBS instead of primary ab secondary ab is prediluted Goat Anti-Rabbit IgG H&L (HRP).

Perform heat mediated antigen retrieval with Tris/EDTA buffer pH 9.0 before commencing with IHC staining protocol.

Immunohistochemistry (Formalin/PFA-fixed paraffin-embedded sections) - Anti-Histone H3 (acetyl K36) antibody [EPR16992] (AB177179)
  • IHC-P

Supplier Data

Immunohistochemistry (Formalin/PFA-fixed paraffin-embedded sections) - Anti-Histone H3 (acetyl K36) antibody [EPR16992] (AB177179)

Immunohistochemical analysis of paraffin-embedded Rat colon tissue labeling Histone H3 (acetyl K36) with ab177179 at 1/100 dilution followed by prediluted Goat Anti-Rabbit IgG H&L (HRP). Nucleus staining on glandular epithelium of rat colon tissue is observed. Counter stained with Hematoxylin.

Negative control : Using PBS instead of primary ab secondary ab is prediluted Goat Anti-Rabbit IgG H&L (HRP).

Perform heat mediated antigen retrieval with Tris/EDTA buffer pH 9.0 before commencing with IHC staining protocol.

Western blot - Anti-Histone H3 (acetyl K36) antibody [EPR16992] (AB177179)
  • WB

Supplier Data

Western blot - Anti-Histone H3 (acetyl K36) antibody [EPR16992] (AB177179)

Blocking/Dilution buffer : 5% NFDM/TBST.

All lanes:

Western blot - Anti-Histone H3 (acetyl K36) antibody [EPR16992] (ab177179) at 1/1000 dilution

Lane 1:

HeLa treated with Sodium butyrate extract lysates at 10 µg

Lane 2:

Untreated Hela extract lysates at 10 µg

Secondary

All lanes:

Goat Anti-Rabbit IgG, (H+L),Peroxidase conjugated at 1/1000 dilution

Predicted band size: 15 kDa

false

Western blot - Anti-Histone H3 (acetyl K36) antibody [EPR16992] (AB177179)
  • WB

Supplier Data

Western blot - Anti-Histone H3 (acetyl K36) antibody [EPR16992] (AB177179)

Blocking/Dilution buffer : 5% NFDM/TBST.

All lanes:

Western blot - Anti-Histone H3 (acetyl K36) antibody [EPR16992] (ab177179) at 1/1000 dilution

Lane 1:

NIH/3T3 treated with Trichostatin A whole cell lysates at 10 µg

Lane 2:

Untreated NIH/3T3 whole cell lysates at 10 µg

Secondary

All lanes:

Goat Anti-Rabbit IgG, (H+L),Peroxidase conjugated at 1/1000 dilution

Predicted band size: 15 kDa

Observed band size: 15 kDa

false

Peptide Array - Anti-Histone H3 (acetyl K36) antibody [EPR16992] (AB177179)
  • PepArr

Supplier Data

Peptide Array - Anti-Histone H3 (acetyl K36) antibody [EPR16992] (AB177179)

ab177179 was tested in Peptide Array against 501 different modified and unmodified histone peptides; each peptide is printed on the array at six concentrations (each in triplicate).
Circle area represents affinity between the antibody and a peptide : all antigen-containing peptides are displayed as red circles, all other peptides as blue circles. The affinity is calculated as area under curve when antibody binding values are plotted against the corresponding peptide concentration. Each circle area is normalized to the peptide with the strongest affinity.
The complete dataset, including full list of all peptides and information on the position of each peptide in the diagram, is available under the Product Protocol section.

  • Carrier free

    Anti-Histone H3 (acetyl K36) antibody [EPR16992] - BSA and Azide free

Key facts

Host species

Rabbit

Clonality

Monoclonal

Clone number

EPR16992

Isotype

IgG

Carrier free

No

Reacts with

Mouse, Rat, Human

Applications

ICC/IF, IHC-P, PepArr, WB

applications

Immunogen

The exact immunogen used to generate this antibody is proprietary information.

Reactivity data

{ "title": "Reactivity Data", "filters": { "stats": ["", "Species", "Dilution Info", "Notes"], "tabs": { "all-applications": {"fullname" : "All Applications", "shortname": "All Applications"}, "WB" : {"fullname" : "Western blot", "shortname":"WB"}, "PepArr" : {"fullname" : "Peptide Array", "shortname":"PepArr"}, "ICCIF" : {"fullname" : "Immunocytochemistry/ Immunofluorescence", "shortname":"ICC/IF"}, "IHCP" : {"fullname" : "Immunohistochemistry (Formalin/PFA-fixed paraffin-embedded sections)", "shortname":"IHC-P"} }, "product-promise": { "all": "all", "testedAndGuaranteed": "tested", "guaranteed": "expected", "predicted": "predicted", "notRecommended": "not-recommended" } }, "values": { "Human": { "WB-species-checked": "testedAndGuaranteed", "WB-species-dilution-info": "1/1000", "WB-species-notes": "<p></p>", "PepArr-species-checked": "testedAndGuaranteed", "PepArr-species-dilution-info": "", "PepArr-species-notes": "<p></p>", "ICCIF-species-checked": "testedAndGuaranteed", "ICCIF-species-dilution-info": "1/100", "ICCIF-species-notes": "<p></p>", "IHCP-species-checked": "testedAndGuaranteed", "IHCP-species-dilution-info": "1/100", "IHCP-species-notes": "<p></p> Perform heat-mediated antigen retrieval with Tris/EDTA buffer pH 9.0 before commencing with IHC staining protocol." }, "Mouse": { "WB-species-checked": "testedAndGuaranteed", "WB-species-dilution-info": "1/1000", "WB-species-notes": "<p></p>", "PepArr-species-checked": "guaranteed", "PepArr-species-dilution-info": "", "PepArr-species-notes": "", "ICCIF-species-checked": "guaranteed", "ICCIF-species-dilution-info": "", "ICCIF-species-notes": "", "IHCP-species-checked": "testedAndGuaranteed", "IHCP-species-dilution-info": "1/100", "IHCP-species-notes": "<p></p> Perform heat-mediated antigen retrieval with Tris/EDTA buffer pH 9.0 before commencing with IHC staining protocol." }, "Rat": { "WB-species-checked": "guaranteed", "WB-species-dilution-info": "", "WB-species-notes": "", "PepArr-species-checked": "guaranteed", "PepArr-species-dilution-info": "", "PepArr-species-notes": "", "ICCIF-species-checked": "guaranteed", "ICCIF-species-dilution-info": "", "ICCIF-species-notes": "", "IHCP-species-checked": "testedAndGuaranteed", "IHCP-species-dilution-info": "1/100", "IHCP-species-notes": "<p></p> Perform heat-mediated antigen retrieval with Tris/EDTA buffer pH 9.0 before commencing with IHC staining protocol." } } }

Product details

Patented technology
Our RabMAb® technology is a patented hybridoma-based technology for making rabbit monoclonal antibodies. For details on our patents, please refer to RabMAb® patents.

What are the advantages of a recombinant monoclonal antibody?
This product is a recombinant monoclonal antibody, which offers several advantages including:

  • - High batch-to-batch consistency and reproducibility
  • - Improved sensitivity and specificity
  • - Long-term security of supply
  • - Animal-free batch production

For more information, read more on recombinant antibodies.

Properties and storage information

Form
Liquid
Purification technique
Affinity purification Protein A
Storage buffer
Preservative: 0.01% Sodium azide Constituents: PBS, 40% Glycerol (glycerin, glycerine), 0.05% BSA
Shipped at conditions
Blue Ice
Appropriate short-term storage duration
1-2 weeks
Appropriate short-term storage conditions
+4°C
Appropriate long-term storage conditions
-20°C
Aliquoting information
Upon delivery aliquot
Storage information
Avoid freeze / thaw cycle

Product protocols

For this product, it's our understanding that no specific protocols are required. You can visit:

Target data

The protein expressed by gene H3C1 is a core component of the nucleosome, which is essential for wrapping and compacting DNA into chromatin. This process restricts DNA accessibility to cellular machineries that use DNA as a template. Consequently, histones are central to transcription regulation, DNA repair, DNA replication, and chromosomal stability. DNA accessibility is regulated through a complex set of post-translational modifications of histones, known as the histone code, and through nucleosome remodeling. This supplementary information is collated from multiple sources and compiled automatically.
See full target information H3C1 acetyl K36

Publications (8)

Recent publications for all applications. Explore the full list and refine your search

Journal of nanobiotechnology 21:280 PubMed37598147

2023

Targeting macrophage M1 polarization suppression through PCAF inhibition alleviates autoimmune arthritis via synergistic NF-κB and H3K9Ac blockade.

Applications

Unspecified application

Species

Unspecified reactive species

Jinteng Li,Feng Ye,Xiaojun Xu,Peitao Xu,Peng Wang,Guan Zheng,Guiwen Ye,Wenhui Yu,Zepeng Su,Jiajie Lin,Yunshu Che,Zhidong Liu,Pei Feng,Qian Cao,Dateng Li,Zhongyu Xie,Yanfeng Wu,Huiyong Shen

Nature metabolism 4:693-710 PubMed35760868

2022

Cancer-associated fibroblasts require proline synthesis by PYCR1 for the deposition of pro-tumorigenic extracellular matrix.

Applications

Unspecified application

Species

Unspecified reactive species

Emily J Kay,Karla Paterson,Carla Riera-Domingo,David Sumpton,J Henry M Däbritz,Saverio Tardito,Claudia Boldrini,Juan R Hernandez-Fernaud,Dimitris Athineos,Sandeep Dhayade,Ekaterina Stepanova,Enio Gjerga,Lisa J Neilson,Sergio Lilla,Ann Hedley,Grigorios Koulouras,Grace McGregor,Craig Jamieson,Radia Marie Johnson,Morag Park,Kristina Kirschner,Crispin Miller,Jurre J Kamphorst,Fabricio Loayza-Puch,Julio Saez-Rodriguez,Massimiliano Mazzone,Karen Blyth,Michele Zagnoni,Sara Zanivan

The New phytologist 235:2350-2364 PubMed35653584

2022

The Fng3 ING protein regulates H3 acetylation and H4 deacetylation by interacting with two distinct histone-modifying complexes.

Applications

Unspecified application

Species

Unspecified reactive species

Huaijian Xu,Meng Ye,Aliang Xia,Hang Jiang,Panpan Huang,Huiquan Liu,Rui Hou,Qinhu Wang,Dongao Li,Jin-Rong Xu,Cong Jiang

Epigenetics & chromatin 15:2 PubMed34991687

2022

Chromatin alterations during the epididymal maturation of mouse sperm refine the paternally inherited epigenome.

Applications

Unspecified application

Species

Unspecified reactive species

Yudhishtar S Bedi,Alexis N Roach,Kara N Thomas,Nicole A Mehta,Michael C Golding

Cell chemical biology 28:1772-1779.e4 PubMed34186032

2021

Mapping the residue specificities of epigenome enzymes by yeast surface display.

Applications

Unspecified application

Species

Unspecified reactive species

Alison C Waldman,Balaji M Rao,Albert J Keung

eLife 10: PubMed33522486

2021

Surprising phenotypic diversity of cancer-associated mutations of Gly 34 in the histone H3 tail.

Applications

Unspecified application

Species

Unspecified reactive species

Brandon R Lowe,Rajesh K Yadav,Ryan A Henry,Patrick Schreiner,Atsushi Matsuda,Alfonso G Fernandez,David Finkelstein,Margaret Campbell,Satish Kallappagoudar,Carolyn M Jablonowski,Andrew J Andrews,Yasushi Hiraoka,Janet F Partridge

Cell biology international 44:166-176 PubMed31393052

2019

RNA-binding protein SFPQ cooperates with HDAC1 to suppress CD40 transcription in pulmonary adventitial fibroblasts.

Applications

Unspecified application

Species

Unspecified reactive species

Yan-Yun Pan,Jin-Xiu Yang,Wei Mao,Xing-Xiang Wang

Acta neuropathologica communications 6:123 PubMed30419952

2018

SETD2 mutations in primary central nervous system tumors.

Applications

Unspecified application

Species

Unspecified reactive species

Angela N Viaene,Mariarita Santi,Jason Rosenbaum,Marilyn M Li,Lea F Surrey,MacLean P Nasrallah
View all publications
peptideArrayWebsite
en

Product promise

We are committed to supporting your work with high-quality reagents, and we're here for you every step of the way. In the unlikely event that one of our products does not perform as expected, you're protected by our Product Promise.
For full details, please see our Terms & Conditions

Please note: All products are 'FOR RESEARCH USE ONLY. NOT FOR USE IN DIAGNOSTIC OR THERAPEUTIC PROCEDURES'.

For licensing inquiries, please contact partnerships@abcam.com