JavaScript is disabled in your browser. Please enable JavaScript to view this website.
AB249945

Anti-Histone H3 (acetyl K36) antibody [EPR16992] - BSA and Azide free

Be the first to review this product! Submit a review

|

(1 Publication)

Rabbit Recombinant Monoclonal H3 acetyl K36 antibody. Carrier free. Suitable for ICC/IF, WB, PepArr, IHC-P and reacts with Human, Mouse, Rat samples. Cited in 1 publication.

View Alternative Names

H3FA, HIST1H3A, H3C2, H3FL, HIST1H3B, H3C3, H3FC HIST1H3C, H3C4, H3FB, HIST1H3D, H3C6, H3FD, HIST1H3E, H3C7, H3FI, HIST1H3F, H3C8, H3FH, HIST1H3G, H3C10, H3FK, HIST1H3H, H3C11, H3FF, HIST1H3I, H3C12, H3FJ, HIST1H3J, H3C1, H3FC, HIST1H3C, Histone H3.1, Histone H3/a, Histone H3/b, Histone H3/c, Histone H3/d, Histone H3/f, Histone H3/h, Histone H3/i, Histone H3/j, Histone H3/k, Histone H3/l, H3K36ac

7 Images
Immunohistochemistry (Formalin/PFA-fixed paraffin-embedded sections) - Anti-Histone H3 (acetyl K36) antibody [EPR16992] - BSA and Azide free (AB249945)
  • IHC-P

Supplier Data

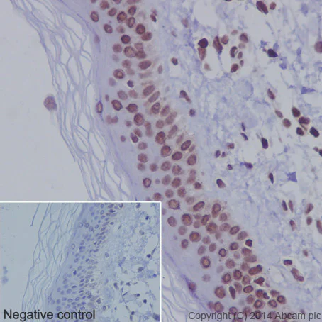
Immunohistochemistry (Formalin/PFA-fixed paraffin-embedded sections) - Anti-Histone H3 (acetyl K36) antibody [EPR16992] - BSA and Azide free (AB249945)

This data was developed using ab177179, the same antibody clone in a different buffer formulation.

Immunohistochemical analysis of paraffin-embedded Human skin tissue labeling Histone H3 (acetyl K36) with ab177179 at 1/100 dilution, followed by prediluted Goat Anti-Rabbit IgG H&L (HRP). Nucleus staining on Human skin tissue is observed. Counter stained with Hematoxylin.
Negative control : Using PBS instead of primary ab, secondary ab is prediluted Goat Anti-Rabbit IgG H&L (HRP).

Perform heat mediated antigen retrieval with Tris/EDTA buffer pH 9.0 before commencing with IHC staining protocol.

Immunocytochemistry/ Immunofluorescence - Anti-Histone H3 (acetyl K36) antibody [EPR16992] - BSA and Azide free (AB249945)
  • ICC/IF

Unknown

Immunocytochemistry/ Immunofluorescence - Anti-Histone H3 (acetyl K36) antibody [EPR16992] - BSA and Azide free (AB249945)

This data was developed using ab177179, the same antibody clone in a different buffer formulation.

Immunofluorescent analysis of 4% paraformaldehyde-fixed, 0.1% Triton X-100 permeabilized HeLa cells labeling Histone H3 (acetyl K36) with ab177179 at 1/100 dilution, followed by Goat anti-rabbit Alexa Fluor® 488 (IgG) (ab150077) secondary antibody at 1/400 dilution (green). Nuclear staining on HeLa cell line is observed. The expression increased after treatment with TSA (50 μg/ml) for 4 hours. The nuclear counter stain is DAPI (blue). Tubulin is detected with ab7291 (anti-Tubulin mouse mAb) at 1/500 dilution and ab150120 (goat anti-mouse AlexaFluor®594 secondary) at 1/500 dilution (red).
The negative controls are as follows;
1. ab177179 at 1/100 dilution followed by ab150120 (goat anti-mouse AlexaFluor®594 secondary) at 1/500 dilution.
2. ab7291 (anti-Tubulin mouse mAb) at 1/500 dilution followed by ab150077 (goat anti-rabbit Alexa Fluor®488 (IgG H&L) at 1/400 dilution.

Immunohistochemistry (Formalin/PFA-fixed paraffin-embedded sections) - Anti-Histone H3 (acetyl K36) antibody [EPR16992] - BSA and Azide free (AB249945)
  • IHC-P

Supplier Data

Immunohistochemistry (Formalin/PFA-fixed paraffin-embedded sections) - Anti-Histone H3 (acetyl K36) antibody [EPR16992] - BSA and Azide free (AB249945)

This data was developed using ab177179, the same antibody clone in a different buffer formulation.

Immunohistochemical analysis of paraffin-embedded Rat colon tissue labeling Histone H3 (acetyl K36) with ab177179 at 1/100 dilution, followed by prediluted Goat Anti-Rabbit IgG H&L (HRP). Nucleus staining on glandular epithelium of rat colon tissue is observed. Counter stained with Hematoxylin.

Negative control : Using PBS instead of primary ab, secondary ab is prediluted Goat Anti-Rabbit IgG H&L (HRP).

Perform heat mediated antigen retrieval with Tris/EDTA buffer pH 9.0 before commencing with IHC staining protocol.

Immunohistochemistry (Formalin/PFA-fixed paraffin-embedded sections) - Anti-Histone H3 (acetyl K36) antibody [EPR16992] - BSA and Azide free (AB249945)
  • IHC-P

Supplier Data

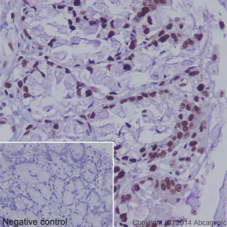
Immunohistochemistry (Formalin/PFA-fixed paraffin-embedded sections) - Anti-Histone H3 (acetyl K36) antibody [EPR16992] - BSA and Azide free (AB249945)

This data was developed using ab177179, the same antibody clone in a different buffer formulation.

Immunohistochemical analysis of paraffin-embedded Mouse colon tissue labeling Histone H3 (acetyl K36) with ab177179 at 1/100 dilution, followed by prediluted Goat Anti-Rabbit IgG H&L (HRP). Nucleus staining on glandular epithelium of mouse colon tissue is observed. Counter stained with Hematoxylin.
Negative control : Using PBS instead of primary ab, secondary ab is prediluted Goat Anti-Rabbit IgG H&L (HRP).

Perform heat mediated antigen retrieval with Tris/EDTA buffer pH 9.0 before commencing with IHC staining protocol.

Western blot - Anti-Histone H3 (acetyl K36) antibody [EPR16992] - BSA and Azide free (AB249945)
  • WB

Supplier Data

Western blot - Anti-Histone H3 (acetyl K36) antibody [EPR16992] - BSA and Azide free (AB249945)

This data was developed using ab177179, the same antibody clone in a different buffer formulation.

Blocking and dilution buffer : 5% NFDM/TBST.

All lanes:

Western blot - Anti-Histone H3 (acetyl K36) antibody [EPR16992] (<a href='/en-us/products/primary-antibodies/histone-h3-acetyl-k36-antibody-epr16992-ab177179'>ab177179</a>) at 1/1000 dilution

Lane 1:

HeLa treated with Sodium butyrate extract lysates at 10 µg

Lane 2:

Untreated Hela extract lysates at 10 µg

Secondary

All lanes:

Goat Anti-Rabbit IgG, (H+L),Peroxidase conjugated at 1/1000 dilution

Predicted band size: 15 kDa

false

Western blot - Anti-Histone H3 (acetyl K36) antibody [EPR16992] - BSA and Azide free (AB249945)
  • WB

Supplier Data

Western blot - Anti-Histone H3 (acetyl K36) antibody [EPR16992] - BSA and Azide free (AB249945)

This data was developed using ab177179, the same antibody clone in a different buffer formulation.

Blocking and dilution buffer : 5% NFDM/TBST.

All lanes:

Western blot - Anti-Histone H3 (acetyl K36) antibody [EPR16992] (<a href='/en-us/products/primary-antibodies/histone-h3-acetyl-k36-antibody-epr16992-ab177179'>ab177179</a>) at 1/1000 dilution

Lane 1:

NIH/3T3 treated with Trichostatin A whole cell lysates at 10 µg

Lane 2:

Untreated NIH/3T3 whole cell lysates at 10 µg

Secondary

All lanes:

Goat Anti-Rabbit IgG, (H+L),Peroxidase conjugated at 1/1000 dilution

Predicted band size: 15 kDa

Observed band size: 15 kDa

false

Peptide Array - Anti-Histone H3 (acetyl K36) antibody [EPR16992] - BSA and Azide free (AB249945)
  • PepArr

Supplier Data

Peptide Array - Anti-Histone H3 (acetyl K36) antibody [EPR16992] - BSA and Azide free (AB249945)

This data was developed using ab177179, the same antibody clone in a different buffer formulation.

ab177179 was tested in Peptide Array against 501 different modified and unmodified histone peptides; each peptide is printed on the array at six concentrations (each in triplicate).
Circle area represents affinity between the antibody and a peptide : all antigen-containing peptides are displayed as red circles, all other peptides as blue circles. The affinity is calculated as area under curve when antibody binding values are plotted against the corresponding peptide concentration. Each circle area is normalized to the peptide with the strongest affinity.
The complete dataset, including full list of all peptides and information on the position of each peptide in the diagram, is available under the Product Protocol section.

Key facts

Host species

Rabbit

Clonality

Monoclonal

Clone number

EPR16992

Isotype

IgG

Carrier free

Yes

Reacts with

Mouse, Rat, Human

Applications

PepArr, WB, ICC/IF, IHC-P

applications

Immunogen

The exact immunogen used to generate this antibody is proprietary information.

Reactivity data

{ "title": "Reactivity Data", "filters": { "stats": ["", "Species", "Dilution Info", "Notes"], "tabs": { "all-applications": {"fullname" : "All Applications", "shortname": "All Applications"}, "ICCIF" : {"fullname" : "Immunocytochemistry/ Immunofluorescence", "shortname":"ICC/IF"}, "WB" : {"fullname" : "Western blot", "shortname":"WB"}, "PepArr" : {"fullname" : "Peptide Array", "shortname":"PepArr"}, "IHCP" : {"fullname" : "Immunohistochemistry (Formalin/PFA-fixed paraffin-embedded sections)", "shortname":"IHC-P"} }, "product-promise": { "all": "all", "testedAndGuaranteed": "tested", "guaranteed": "expected", "predicted": "predicted", "notRecommended": "not-recommended" } }, "values": { "Human": { "ICCIF-species-checked": "testedAndGuaranteed", "ICCIF-species-dilution-info": "", "ICCIF-species-notes": "<p></p>", "WB-species-checked": "testedAndGuaranteed", "WB-species-dilution-info": "", "WB-species-notes": "<p></p>", "PepArr-species-checked": "testedAndGuaranteed", "PepArr-species-dilution-info": "", "PepArr-species-notes": "<p></p>", "IHCP-species-checked": "testedAndGuaranteed", "IHCP-species-dilution-info": "", "IHCP-species-notes": "<p></p>" }, "Mouse": { "ICCIF-species-checked": "guaranteed", "ICCIF-species-dilution-info": "", "ICCIF-species-notes": "", "WB-species-checked": "testedAndGuaranteed", "WB-species-dilution-info": "", "WB-species-notes": "<p></p>", "PepArr-species-checked": "guaranteed", "PepArr-species-dilution-info": "", "PepArr-species-notes": "", "IHCP-species-checked": "testedAndGuaranteed", "IHCP-species-dilution-info": "", "IHCP-species-notes": "<p></p>" }, "Rat": { "ICCIF-species-checked": "guaranteed", "ICCIF-species-dilution-info": "", "ICCIF-species-notes": "", "WB-species-checked": "guaranteed", "WB-species-dilution-info": "", "WB-species-notes": "", "PepArr-species-checked": "guaranteed", "PepArr-species-dilution-info": "", "PepArr-species-notes": "", "IHCP-species-checked": "testedAndGuaranteed", "IHCP-species-dilution-info": "", "IHCP-species-notes": "<p></p>" } } }

Product details

ab249945 is the carrier-free version of ab177179.

Patented technology
Our RabMAb® technology is a patented hybridoma-based technology for making rabbit monoclonal antibodies. For details on our patents, please refer to RabMAb® patents.

What are the advantages of a recombinant monoclonal antibody?
This product is a recombinant monoclonal antibody, which offers several advantages including:

  • - High batch-to-batch consistency and reproducibility
  • - Improved sensitivity and specificity
  • - Long-term security of supply
  • - Animal-free batch production

For more information, read more on recombinant antibodies.

Conjugation ready
Our carrier-free antibodies are typically supplied in a PBS-only formulation, purified and free of BSA, sodium azide and glycerol. This conjugation-ready format is designed for use with fluorochromes, metal isotopes, oligonucleotides, and enzymes, which makes them ideal for antibody labelling, functional and cell-based assays, flow-based assays (e.g. mass cytometry) and Multiplex Imaging applications.

Use our conjugation kits for antibody conjugates that are ready-to-use in as little as 20 minutes with 1 minute hands-on-time and 100% antibody recovery: available for fluorescent dyes, HRP, biotin and gold.

Compatibility
This product is compatible with the Maxpar® Antibody Labeling Kit from Fluidigm, without the need for antibody preparation. Maxpar® is a trademark of Fluidigm Canada Inc.

Properties and storage information

Form
Liquid
Purification technique
Affinity purification Protein A
Storage buffer
pH: 7.2 - 7.4 Constituents: PBS
Shipped at conditions
Blue Ice
Appropriate short-term storage conditions
+4°C
Appropriate long-term storage conditions
+4°C
Storage information
Do Not Freeze

Product protocols

For this product, it's our understanding that no specific protocols are required. You can visit:

Target data

The protein expressed by gene H3C1 is a core component of the nucleosome, which is essential for wrapping and compacting DNA into chromatin. This process restricts DNA accessibility to cellular machineries that use DNA as a template. Consequently, histones are central to transcription regulation, DNA repair, DNA replication, and chromosomal stability. DNA accessibility is regulated through a complex set of post-translational modifications of histones, known as the histone code, and through nucleosome remodeling. This supplementary information is collated from multiple sources and compiled automatically.
See full target information H3C1 acetyl K36

Publications (1)

Recent publications for all applications. Explore the full list and refine your search

Cell death discovery 7:357 PubMed34785642

2021

UBE2S promotes cell chemoresistance through PTEN-AKT signaling in hepatocellular carcinoma.

Applications

Unspecified application

Species

Unspecified reactive species

Liang Gui,Sicai Zhang,Yongzi Xu,Hongwei Zhang,Ying Zhu,Lianbao Kong
View all publications
peptideArrayWebsite
en

Product promise

We are committed to supporting your work with high-quality reagents, and we're here for you every step of the way. In the unlikely event that one of our products does not perform as expected, you're protected by our Product Promise.
For full details, please see our Terms & Conditions

Please note: All products are 'FOR RESEARCH USE ONLY. NOT FOR USE IN DIAGNOSTIC OR THERAPEUTIC PROCEDURES'.

For licensing inquiries, please contact partnerships@abcam.com