JavaScript is disabled in your browser. Please enable JavaScript to view this website.
AB300641

Anti-Histone H3 (acetyl K4+K9+K14+K18+K23+K27) antibody [RM1045]

  • BOND RX™ Validated
  • 20ul selling size
  • Recombinant
  • Advanced Validation
  • RabMAb
  • What is this?

Be the first to review this product! Submit a review

|

(2 Publications)

Anti-Histone H3 (acetyl K4+K9+K14+K18+K23+K27) antibody [RM1045] is a Rabbit Recombinant Multiclonal antibody that is used in Histone H3 (acetyl K4+K9+K14+K18+K23+K27) Dot Blot, Flow Cytometry (Intra), ICC, IHC-Fr, IHC-P, IP, PepArr, Western Blot. Suitable for Human, Mouse, Rat samples.

Histone H3 acetylation at lysine residues K4, K9, K14, K18, K23, and K27 plays a crucial role in gene regulation by relaxing chromatin structure, making DNA more accessible for transcription. This acetylation promotes gene activation and facilitates various cellular processes such as DNA repair and replication. Additionally, it serves as a signal for other regulatory proteins involved in chromatin remodeling and gene expression

View Alternative Names

H3FA, HIST1H3A, H3C2, H3FL, HIST1H3B, H3C3, H3FC HIST1H3C, H3C4, H3FB, HIST1H3D, H3C6, H3FD, HIST1H3E, H3C7, H3FI, HIST1H3F, H3C8, H3FH, HIST1H3G, H3C10, H3FK, HIST1H3H, H3C11, H3FF, HIST1H3I, H3C12, H3FJ, HIST1H3J, HIST1H3C, H3FC, H3C1, Histone H3.1, Histone H3/a, Histone H3/b, Histone H3/c, Histone H3/d, Histone H3/f, Histone H3/h, Histone H3/i, Histone H3/j, Histone H3/k, Histone H3/l

16 Images
Flow Cytometry (Intracellular) - Anti-Histone H3 (acetyl K4+K9+K14+K18+K23+K27) antibody [RM1045] (AB300641)
  • Flow Cyt (Intra)

Supplier Data

Flow Cytometry (Intracellular) - Anti-Histone H3 (acetyl K4+K9+K14+K18+K23+K27) antibody [RM1045] (AB300641)

Flow cytometric analysis of 4% paraformaldehyde fixed 90% methanol permeabilized HeLa (human cervical adenocarcinoma epithelial cell) treated with 500ng/ml TSA for 4h (Red) / Untreated control (Green) cells labelling Histone H3(acetyl K4+K9+K14+K18+K23+K27) with ab300641 at 1/500 dilution (0.1ug) (Red) and Green (Red) compared with a Rabbit monoclonal IgG (ab172730) (Black) isotype control and an unlabelled control (cells without incubation with primary antibody and secondary antibody) (Blue). A Goat Anti-Rabbit IgG (Alexa Fluor® 488, ab150081) at 1/5000 dilution was used as the secondary antibody.

Immunocytochemistry/ Immunofluorescence - Anti-Histone H3 (acetyl K4+K9+K14+K18+K23+K27) antibody [RM1045] (AB300641)
  • ICC/IF

Supplier Data

Immunocytochemistry/ Immunofluorescence - Anti-Histone H3 (acetyl K4+K9+K14+K18+K23+K27) antibody [RM1045] (AB300641)

Immunofluorescent analysis of 4% Paraformaldehyde-fixed, 0.1% TritonX-100 permeabilized HeLa (human cervix adenocarcinoma epithelial cell) cells labelling Histone H3(acetyl K4+K9+K14+K18+K23+K27) with ab300641 at 1/50 (9.54 ug/ml) dilution, followed by ab150081 Goat Anti-Rabbit IgG H&L (Alexa Fluor® 488) preadsorbed antibody at 1/1000 2ug/mL dilution (Green). Confocal image showing increased nuclear staining in HeLa cells treated with 500 ng/mL TSA for 4 hours is observed. ab195889 Anti-alpha Tubulin mouse monoclonal antibody - Microtubule Marker (Alexa Fluor® 594) was used to counterstain tubulin at 1/200 2.5ug/ml dilution (Red). The Nuclear counterstain was DAPI (Blue). Secondary antibody only control : Secondary antibody is ab150081 Goat Anti-Rabbit IgG H&L (Alexa Fluor® 488) preadsorbed at 1/1000 2ug/mL dilution.

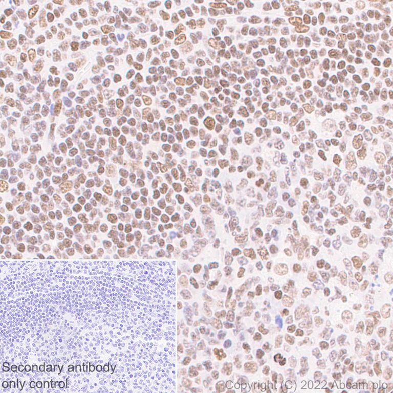
Immunohistochemistry (Formalin/PFA-fixed paraffin-embedded sections) - Anti-Histone H3 (acetyl K4+K9+K14+K18+K23+K27) antibody [RM1045] (AB300641)
  • IHC-P

Supplier Data

Immunohistochemistry (Formalin/PFA-fixed paraffin-embedded sections) - Anti-Histone H3 (acetyl K4+K9+K14+K18+K23+K27) antibody [RM1045] (AB300641)

Immunohistochemical analysis of paraffin-embedded Human tonsil tissue labeling Histone H3(acetyl K4+K9+K14+K18+K23+K27) with ab300641 at 1/2000 (0.239 ug/ml) followed by a LeicaDS9800 (Bond™ Polymer Refine Detection) was used at Ready to use dilution. Nuclear staining on human tonsil. The section was incubated with ab300641 for 30 mins at room temperature. The immunostaining was performed on a Leica Biosystems BOND® RX instrument Counterstained with Hematoxylin. Secondary antibody only control : Secondary antibody is LeicaDS9800 (Bond™ Polymer Refine Detection) was used at Ready to use dilution. Heat mediated antigen retrieval with Citrate buffer (pH 6.0, epitope retrieval solution 1) for 20 mins

Immunohistochemistry (Formalin/PFA-fixed paraffin-embedded sections) - Anti-Histone H3 (acetyl K4+K9+K14+K18+K23+K27) antibody [RM1045] (AB300641)
  • IHC-P

Supplier Data

Immunohistochemistry (Formalin/PFA-fixed paraffin-embedded sections) - Anti-Histone H3 (acetyl K4+K9+K14+K18+K23+K27) antibody [RM1045] (AB300641)

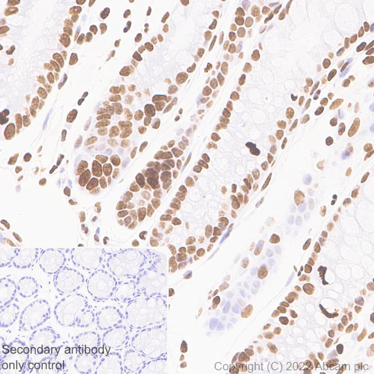
Immunohistochemical analysis of paraffin-embedded Human colon tissue labeling Histone H3(acetyl K4+K9+K14+K18+K23+K27) with ab300641 at 1/2000 (0.239 ug/ml) followed by a LeicaDS9800 (Bond™ Polymer Refine Detection) was used at Ready to use dilution. Nuclear staining on human colon. The section was incubated with ab300641 for 30 mins at room temperature. The immunostaining was performed on a Leica Biosystems BOND® RX instrument Counterstained with Hematoxylin. Secondary antibody only control : Secondary antibody is LeicaDS9800 (Bond™ Polymer Refine Detection) was used at Ready to use dilution. Heat mediated antigen retrieval with Citrate buffer (pH 6.0, epitope retrieval solution 1) for 20 mins

Immunohistochemistry (Formalin/PFA-fixed paraffin-embedded sections) - Anti-Histone H3 (acetyl K4+K9+K14+K18+K23+K27) antibody [RM1045] (AB300641)
  • IHC-P

Supplier Data

Immunohistochemistry (Formalin/PFA-fixed paraffin-embedded sections) - Anti-Histone H3 (acetyl K4+K9+K14+K18+K23+K27) antibody [RM1045] (AB300641)

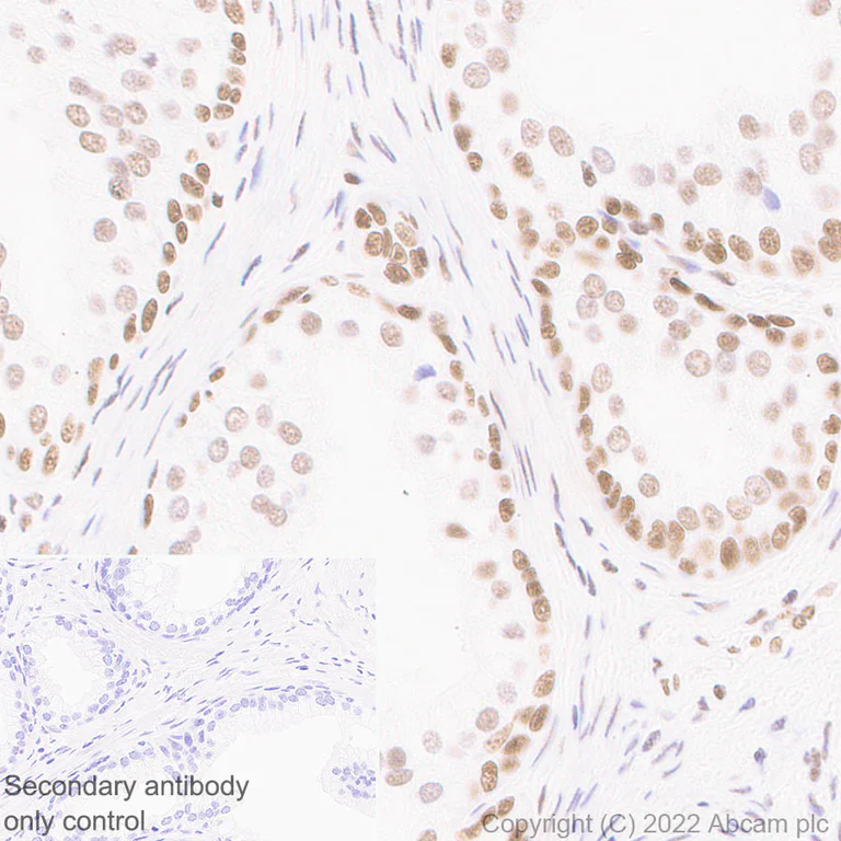
Immunohistochemical analysis of paraffin-embedded Human Prostatic hype tissue labeling Histone H3(acetyl K4+K9+K14+K18+K23+K27) with ab300641 at 1/2000 (0.239 ug/ml) followed by a LeicaDS9800 (Bond™ Polymer Refine Detection) was used at Ready to use dilution. Nuclear staining on human prostatic hyperplasia. The section was incubated with ab300641 for 30 mins at room temperature. The immunostaining was performed on a Leica Biosystems BOND® RX instrument Counterstained with Hematoxylin. Secondary antibody only control : Secondary antibody is LeicaDS9800 (Bond™ Polymer Refine Detection) was used at Ready to use dilution. Heat mediated antigen retrieval with Citrate buffer (pH 6.0, epitope retrieval solution 1) for 20 mins

Immunohistochemistry (Frozen sections) - Anti-Histone H3 (acetyl K4+K9+K14+K18+K23+K27) antibody [RM1045] (AB300641)
  • IHC-Fr

Supplier Data

Immunohistochemistry (Frozen sections) - Anti-Histone H3 (acetyl K4+K9+K14+K18+K23+K27) antibody [RM1045] (AB300641)

Immunohistochemical analysis of 4% PFA-fixed, 0.2% Triton X-100 permeabilized frozen Rat colon (fresh) tissue labeling Histone H3(acetyl K4+K9+K14+K18+K23+K27) with ab300641 at 1/500 (0.954 ug/ml) dilution followed by ab150081 Goat Anti-Rabbit IgG H&L (Alexa Fluor® 488) preadsorbed at 1/1000 2 ug/mL dilution (Green). Positive staining on rat colon is observed. The nuclear counterstain was DAPI (Blue). Secondary antibody control : Secondary antibody is ab150081 Goat Anti-Rabbit IgG H&L (Alexa Fluor® 488) preadsorbed at 1/1000 2 ug/mL dilution.

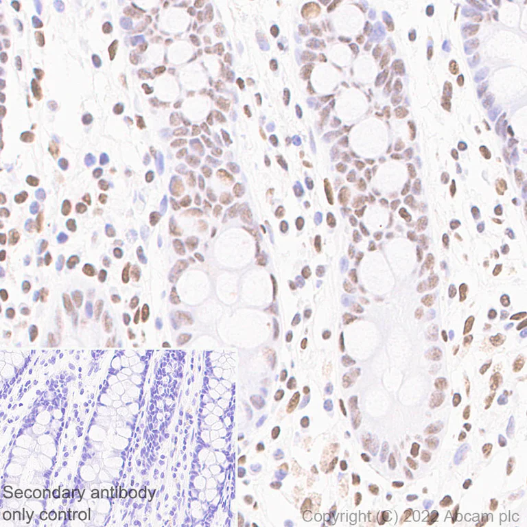
Immunohistochemistry (Formalin/PFA-fixed paraffin-embedded sections) - Anti-Histone H3 (acetyl K4+K9+K14+K18+K23+K27) antibody [RM1045] (AB300641)
  • IHC-P

Supplier Data

Immunohistochemistry (Formalin/PFA-fixed paraffin-embedded sections) - Anti-Histone H3 (acetyl K4+K9+K14+K18+K23+K27) antibody [RM1045] (AB300641)

Immunohistochemical analysis of paraffin-embedded Rat colon tissue labeling Histone H3(acetyl K4+K9+K14+K18+K23+K27) with ab300641 at 1/2000 (0.239 ug/ml) followed by a LeicaDS9800 (Bond™ Polymer Refine Detection) was used at Ready to use dilution. Nuclear staining on rat colon. The section was incubated with ab300641 for 30 mins at room temperature. The immunostaining was performed on a Leica Biosystems BOND® RX instrument Counterstained with Hematoxylin. Secondary antibody only control : Secondary antibody is LeicaDS9800 (Bond™ Polymer Refine Detection) was used at Ready to use dilution. Heat mediated antigen retrieval with Citrate buffer (pH 6.0, epitope retrieval solution 1) for 20 mins

Immunohistochemistry (Formalin/PFA-fixed paraffin-embedded sections) - Anti-Histone H3 (acetyl K4+K9+K14+K18+K23+K27) antibody [RM1045] (AB300641)
  • IHC-P

Supplier Data

Immunohistochemistry (Formalin/PFA-fixed paraffin-embedded sections) - Anti-Histone H3 (acetyl K4+K9+K14+K18+K23+K27) antibody [RM1045] (AB300641)

Immunohistochemical analysis of paraffin-embedded Mouse colon tissue labeling Histone H3(acetyl K4+K9+K14+K18+K23+K27) with ab300641 at 1/2000 (0.239 ug/ml) followed by a LeicaDS9800 (Bond™ Polymer Refine Detection) was used at Ready to use dilution. Nuclear staining on mouse colon. The section was incubated with ab300641 for 30 mins at room temperature. The immunostaining was performed on a Leica Biosystems BOND® RX instrument Counterstained with Hematoxylin. Secondary antibody only control : Secondary antibody is LeicaDS9800 (Bond™ Polymer Refine Detection) was used at Ready to use dilution. Heat mediated antigen retrieval with Citrate buffer (pH 6.0, epitope retrieval solution 1) for 20 mins

Immunohistochemistry (Frozen sections) - Anti-Histone H3 (acetyl K4+K9+K14+K18+K23+K27) antibody [RM1045] (AB300641)
  • IHC-Fr

Supplier Data

Immunohistochemistry (Frozen sections) - Anti-Histone H3 (acetyl K4+K9+K14+K18+K23+K27) antibody [RM1045] (AB300641)

Immunohistochemical analysis of 4% PFA-fixed, 0.2% Triton X-100 permeabilized frozen Mouse colon (fresh) tissue labeling Histone H3(acetyl K4+K9+K14+K18+K23+K27) with ab300641 at 1/500 (0.954 ug/ml) dilution followed by ab150081 Goat Anti-Rabbit IgG H&L (Alexa Fluor® 488) preadsorbed at 1/1000 2 ug/mL dilution (Green). Positive staining on mouse colon is observed. The nuclear counterstain was DAPI (Blue). Secondary antibody control : Secondary antibody is ab150081 Goat Anti-Rabbit IgG H&L (Alexa Fluor® 488) preadsorbed at 1/1000 2 ug/mL dilution.

Flow Cytometry (Intracellular) - Anti-Histone H3 (acetyl K4+K9+K14+K18+K23+K27) antibody [RM1045] (AB300641)
  • Flow Cyt (Intra)

Supplier Data

Flow Cytometry (Intracellular) - Anti-Histone H3 (acetyl K4+K9+K14+K18+K23+K27) antibody [RM1045] (AB300641)

Flow cytometric analysis of 4% paraformaldehyde fixed 90% methanol permeabilized NIH/3T3 (mouse embryonic fibroblast) treated with 500ng/ml TSA for 4h (Red) / Untreated control (Green) cells labelling Histone H3(acetyl K4+K9+K14+K18+K23+K27) with ab300641 at 1/500 dilution (0.1ug) (Red) and Green (Red) compared with a Rabbit monoclonal IgG (ab172730) (Black) isotype control and an unlabelled control (cells without incubation with primary antibody and secondary antibody) (Blue). A Goat Anti-Rabbit IgG (Alexa Fluor® 488, ab150081) at 1/5000 dilution was used as the secondary antibody.

Immunocytochemistry/ Immunofluorescence - Anti-Histone H3 (acetyl K4+K9+K14+K18+K23+K27) antibody [RM1045] (AB300641)
  • ICC/IF

Supplier Data

Immunocytochemistry/ Immunofluorescence - Anti-Histone H3 (acetyl K4+K9+K14+K18+K23+K27) antibody [RM1045] (AB300641)

Immunofluorescent analysis of 4% Paraformaldehyde-fixed, 0.1% TritonX-100 permeabilized NIH/3T3 (mouse embryonic fibroblast) cells labelling Histone H3(acetyl K4+K9+K14+K18+K23+K27) with ab300641 at 1/50 (9.54 ug/ml) dilution, followed by ab150081 Goat Anti-Rabbit IgG H&L (Alexa Fluor® 488) preadsorbed antibody at 1/1000 2ug/mL dilution (Green). Confocal image showing increased nuclear staining in NIH/3T3 cells treated with 500 ng/mL TSA for 4 hours is observed. ab195889 Anti-alpha Tubulin mouse monoclonal antibody - Microtubule Marker (Alexa Fluor® 594) was used to counterstain tubulin at 1/200 2.5ug/ml dilution (Red). The Nuclear counterstain was DAPI (Blue). Secondary antibody only control : Secondary antibody is ab150081 Goat Anti-Rabbit IgG H&L (Alexa Fluor® 488) preadsorbed at 1/1000 2ug/mL dilution.

Western blot - Anti-Histone H3 (acetyl K4+K9+K14+K18+K23+K27) antibody [RM1045] (AB300641)
  • WB

Supplier Data

Western blot - Anti-Histone H3 (acetyl K4+K9+K14+K18+K23+K27) antibody [RM1045] (AB300641)

All lanes:

Western blot - Anti-Histone H3 (acetyl K4+K9+K14+K18+K23+K27) antibody [RM1045] (ab300641) at 1/1000 dilution

Lane 1:

C6 (rat glial tumor glial cell) whole cell lysate at 20 µg

Lane 2:

C6 treated with /ml TSA for 4h whole cell lysate 20ug at 20 µg

Secondary

All lanes:

Western blot - Goat Anti-Rabbit IgG H&L (HRP) (<a href='/en-us/products/secondary-antibodies/goat-rabbit-igg-h-l-hrp-ab97051'>ab97051</a>) at 1/100000 dilution

false

Western blot - Anti-Histone H3 (acetyl K4+K9+K14+K18+K23+K27) antibody [RM1045] (AB300641)
  • WB

Supplier Data

Western blot - Anti-Histone H3 (acetyl K4+K9+K14+K18+K23+K27) antibody [RM1045] (AB300641)

All lanes:

Western blot - Anti-Histone H3 (acetyl K4+K9+K14+K18+K23+K27) antibody [RM1045] (ab300641) at 1/1000 dilution

Lane 1:

HeLa (human cervical adenocarcinoma epithelial cell) whole cell lysate at 20 µg

Lane 2:

HeLa treated with /ml TSA for 4h whole cell lysate at 20 µg

Secondary

All lanes:

Western blot - Goat Anti-Rabbit IgG H&L (HRP) (<a href='/en-us/products/secondary-antibodies/goat-rabbit-igg-h-l-hrp-ab97051'>ab97051</a>) at 1/100000 dilution

false

Western blot - Anti-Histone H3 (acetyl K4+K9+K14+K18+K23+K27) antibody [RM1045] (AB300641)
  • WB

Supplier Data

Western blot - Anti-Histone H3 (acetyl K4+K9+K14+K18+K23+K27) antibody [RM1045] (AB300641)

All lanes:

Western blot - Anti-Histone H3 (acetyl K4+K9+K14+K18+K23+K27) antibody [RM1045] (ab300641) at 1/1000 dilution

Lane 1:

NIH/3T3 (mouse embryonic fibroblast) whole cell lysate at 20 µg

Lane 2:

NIH/3T3 treated with /ml TSA for 4h whole cell lysate at 20 µg

Secondary

All lanes:

Western blot - Goat Anti-Rabbit IgG H&L (HRP) (<a href='/en-us/products/secondary-antibodies/goat-rabbit-igg-h-l-hrp-ab97051'>ab97051</a>) at 1/100000 dilution

false

Dot Blot - Anti-Histone H3 (acetyl K4+K9+K14+K18+K23+K27) antibody [RM1045] (AB300641)
  • Dot

Supplier Data

Dot Blot - Anti-Histone H3 (acetyl K4+K9+K14+K18+K23+K27) antibody [RM1045] (AB300641)

Dot blot analysis of Histone H3(acetyl K4+K9+K14+K18+K23+K27) using ab300641 at 1 : 1000 dilution (0.477 µg/ml) followed by a Goat Anti-Rabbit IgG, (H+L), Peroxidase conjugated (ab97051) at 1 : 10,000 dilution. Lane 1 : Histone H3 (acetyl K4) peptide Lane 2 : Histone H3 (acetyl K4) peptide Lane 3 : Histone H3 (acetyl K14) peptide Lane 4 : Histone H3 (acetyl K18) peptide Lane 5 : Histone H3 (acetyl K23) peptide Lane 6 : Histone H3 (acetyl K27) peptide Lane 7 : Histone H3 unmodified peptide Exposure time : 40 seconds. Blocking and diluting buffer and concentration : 5% NFDM/TBST

Peptide Array - Anti-Histone H3 (acetyl K4+K9+K14+K18+K23+K27) antibody [RM1045] (AB300641)
  • PepArr

Supplier Data

Peptide Array - Anti-Histone H3 (acetyl K4+K9+K14+K18+K23+K27) antibody [RM1045] (AB300641)

Peptide array analysis of ab300641 at 0.1ug/ml (0.1ug/ml) followed by a Goat Anti-Rabbit IgG (H+L) Fluo 647nm conjugated at 1 : 50000 dilution. All batches of ab300641 are tested in Peptide Array against 501 different modified and unmodified histone peptides; each peptide is printed on the array at six concentrations (each in triplicate).Circle area represents affinity between the antibody and a peptide : all antigen-containing peptides are displayed as red circles all other peptides as blue circles. The affinity is calculated as the area under the curve when antibody binding values are plotted against the corresponding peptide concentration. Each circle area is normalized to the peptide with the strongest affinity.The complete dataset including a full list of all peptides and information on the position of each peptide in the diagram can be downloaded here.

  • Carrier free

    Anti-Histone H3 (acetyl K4+K9+K14+K18+K23+K27) antibody [RM1045] - BSA and Azide free

Key facts

Host species

Rabbit

Clonality

Multiclonal

Clone number

RM1045

Isotype

IgG

Carrier free

No

Reacts with

Rat, Mouse, Human

Applications

ICC, IHC-P, Flow Cyt (Intra), Dot, IP, IHC-Fr, PepArr, WB

applications

Immunogen

This product was produced with the following immunogens:

The exact immunogen used to generate this antibody is proprietary information.

The exact immunogen used to generate this antibody is proprietary information.

The exact immunogen used to generate this antibody is proprietary information.

The exact immunogen used to generate this antibody is proprietary information.

Reactivity data

{ "title": "Reactivity Data", "filters": { "stats": ["", "Species", "Dilution Info", "Notes"], "tabs": { "all-applications": {"fullname" : "All Applications", "shortname": "All Applications"}, "ChIP" : {"fullname" : "ChIP", "shortname":"ChIP"}, "Dot" : {"fullname" : "Dot Blot", "shortname":"Dot"}, "PepArr" : {"fullname" : "Peptide Array", "shortname":"PepArr"}, "IP" : {"fullname" : "Immunoprecipitation", "shortname":"IP"}, "FlowCytIntra" : {"fullname" : "Flow Cytometry (Intracellular)", "shortname":"Flow Cyt (Intra)"}, "ICC" : {"fullname" : "Immunocytochemistry", "shortname":"ICC"}, "IHCFr" : {"fullname" : "Immunohistochemistry (Frozen sections)", "shortname":"IHC-Fr"}, "IHCP" : {"fullname" : "Immunohistochemistry (Formalin/PFA-fixed paraffin-embedded sections)", "shortname":"IHC-P"}, "WB" : {"fullname" : "Western blot", "shortname":"WB"} }, "product-promise": { "all": "all", "testedAndGuaranteed": "tested", "guaranteed": "expected", "predicted": "predicted", "notRecommended": "not-recommended" } }, "values": { "Human": { "ChIP-species-checked": "notRecommended", "ChIP-species-dilution-info": "2 µg", "ChIP-species-notes": "<p></p>", "Dot-species-checked": "guaranteed", "Dot-species-dilution-info": "", "Dot-species-notes": "", "PepArr-species-checked": "testedAndGuaranteed", "PepArr-species-dilution-info": "0.1 µg/mL", "PepArr-species-notes": "<p></p>", "IP-species-checked": "testedAndGuaranteed", "IP-species-dilution-info": "1/1000", "IP-species-notes": "<p></p>", "FlowCytIntra-species-checked": "testedAndGuaranteed", "FlowCytIntra-species-dilution-info": "1/500", "FlowCytIntra-species-notes": "<p></p>", "ICC-species-checked": "testedAndGuaranteed", "ICC-species-dilution-info": "1/50", "ICC-species-notes": "<p></p>", "IHCFr-species-checked": "guaranteed", "IHCFr-species-dilution-info": "", "IHCFr-species-notes": "", "IHCP-species-checked": "testedAndGuaranteed", "IHCP-species-dilution-info": "1/2000", "IHCP-species-notes": "<p></p>", "WB-species-checked": "testedAndGuaranteed", "WB-species-dilution-info": "1/1000", "WB-species-notes": "<p></p>" }, "Mouse": { "ChIP-species-checked": "notRecommended", "ChIP-species-dilution-info": "", "ChIP-species-notes": "", "Dot-species-checked": "guaranteed", "Dot-species-dilution-info": "", "Dot-species-notes": "", "PepArr-species-checked": "guaranteed", "PepArr-species-dilution-info": "", "PepArr-species-notes": "", "IP-species-checked": "testedAndGuaranteed", "IP-species-dilution-info": "1/1000", "IP-species-notes": "<p></p>", "FlowCytIntra-species-checked": "testedAndGuaranteed", "FlowCytIntra-species-dilution-info": "1/500", "FlowCytIntra-species-notes": "<p></p>", "ICC-species-checked": "testedAndGuaranteed", "ICC-species-dilution-info": "1/50", "ICC-species-notes": "<p></p>", "IHCFr-species-checked": "testedAndGuaranteed", "IHCFr-species-dilution-info": "1/500", "IHCFr-species-notes": "<p></p>", "IHCP-species-checked": "testedAndGuaranteed", "IHCP-species-dilution-info": "1/2000", "IHCP-species-notes": "<p></p>", "WB-species-checked": "testedAndGuaranteed", "WB-species-dilution-info": "1/1000", "WB-species-notes": "<p></p>" }, "Rat": { "ChIP-species-checked": "notRecommended", "ChIP-species-dilution-info": "", "ChIP-species-notes": "", "Dot-species-checked": "guaranteed", "Dot-species-dilution-info": "", "Dot-species-notes": "", "PepArr-species-checked": "guaranteed", "PepArr-species-dilution-info": "", "PepArr-species-notes": "", "IP-species-checked": "guaranteed", "IP-species-dilution-info": "", "IP-species-notes": "", "FlowCytIntra-species-checked": "guaranteed", "FlowCytIntra-species-dilution-info": "", "FlowCytIntra-species-notes": "", "ICC-species-checked": "guaranteed", "ICC-species-dilution-info": "", "ICC-species-notes": "", "IHCFr-species-checked": "testedAndGuaranteed", "IHCFr-species-dilution-info": "1/500", "IHCFr-species-notes": "<p></p>", "IHCP-species-checked": "testedAndGuaranteed", "IHCP-species-dilution-info": "1/2000", "IHCP-species-notes": "<p></p>", "WB-species-checked": "testedAndGuaranteed", "WB-species-dilution-info": "1/1000", "WB-species-notes": "<p></p>" }, "Synthetic peptide - Human": { "ChIP-species-checked": "notRecommended", "ChIP-species-dilution-info": "", "ChIP-species-notes": "", "Dot-species-checked": "testedAndGuaranteed", "Dot-species-dilution-info": "", "Dot-species-notes": "<p></p>", "PepArr-species-checked": "notRecommended", "PepArr-species-dilution-info": "", "PepArr-species-notes": "", "IP-species-checked": "notRecommended", "IP-species-dilution-info": "", "IP-species-notes": "", "FlowCytIntra-species-checked": "notRecommended", "FlowCytIntra-species-dilution-info": "", "FlowCytIntra-species-notes": "", "ICC-species-checked": "notRecommended", "ICC-species-dilution-info": "", "ICC-species-notes": "", "IHCFr-species-checked": "notRecommended", "IHCFr-species-dilution-info": "", "IHCFr-species-notes": "", "IHCP-species-checked": "notRecommended", "IHCP-species-dilution-info": "", "IHCP-species-notes": "", "WB-species-checked": "notRecommended", "WB-species-dilution-info": "", "WB-species-notes": "" } } }

Product details

What are recombinant multiclonals?
Recombinant multiclonals are a mixture of recombinant antibodies co-expressed from a library of heavy and light chains. They offer several advantages including:

  • - The sensitivity of polyclonal antibodies by recognising multiple epitopes
  • - High batch-to-batch consistency and reproducibility
  • - Improved sensitivity and specificity
  • - Long-term security of supply
  • - Animal-free batch production

View our range of recombinant multiclonal antibodies.

Patented technology
Our RabMAb® technology is a patented hybridoma-based technology for making rabbit monoclonal antibodies. For details on our patents, please refer to RabMAb® patents.

Properties and storage information

Form
Liquid
Purification technique
Affinity purification Protein A
Storage buffer
pH: 7.2 - 7.4 Preservative: 0.01% Sodium azide Constituents: PBS, 40% Glycerol (glycerin, glycerine), 0.05% BSA
Shipped at conditions
Blue Ice
Appropriate short-term storage duration
1-2 weeks
Appropriate short-term storage conditions
+4°C
Appropriate long-term storage conditions
-20°C
Aliquoting information
Upon delivery aliquot
Storage information
Avoid freeze / thaw cycle

Product protocols

For this product, it's our understanding that no specific protocols are required. You can visit:

Target data

Core component of nucleosome. Nucleosomes wrap and compact DNA into chromatin, limiting DNA accessibility to the cellular machineries which require DNA as a template. Histones thereby play a central role in transcription regulation, DNA repair, DNA replication and chromosomal stability. DNA accessibility is regulated via a complex set of post-translational modifications of histones, also called histone code, and nucleosome remodeling.
See full target information H3C1 acetyl K4 + K9 + K14 + K18 + K23 + K27

Publications (2)

Recent publications for all applications. Explore the full list and refine your search

Virology journal 22:189 PubMed40500754

2025

Lamin A/C promotes HBV transcription by modulating histone modification associated with cccDNA minichromosome in an HBx-dependent manner.

Applications

Unspecified application

Species

Unspecified reactive species

Linshan Jiang,Lanlang Peng,Hong Chen,Fangli Liao,Liping Yang,Yuanyuan Ye,Gaoli Zhang,Hua Sun,Qin Hu,Weixian Chen

PeerJ 13:e19215 PubMed40183048

2025

Temporal and spatial distribution of histone acetylation in mouse molar development.

Applications

Unspecified application

Species

Unspecified reactive species

Wen Du,Wanyi Luo,Liwei Zheng,Xuedong Zhou,Wei Du
View all publications

Product promise

We are committed to supporting your work with high-quality reagents, and we're here for you every step of the way. In the unlikely event that one of our products does not perform as expected, you're protected by our Product Promise.
For full details, please see our Terms & Conditions

Please note: All products are 'FOR RESEARCH USE ONLY. NOT FOR USE IN DIAGNOSTIC OR THERAPEUTIC PROCEDURES'.

For licensing inquiries, please contact partnerships@abcam.com