JavaScript is disabled in your browser. Please enable JavaScript to view this website.
AB32129

Anti-Histone H3 (acetyl K9) antibody [Y28] - ChIP Grade

  • BOND RX™ Validated
  • RabMAb
  • Advanced Validation
  • Recombinant
  • 20ul selling size
  • What is this?

5

(7 Reviews)

|

(85 Publications)

Anti-Histone H3 (acetyl K9) antibody [Y28] - ChIP Grade (ab32129) is a rabbit monoclonal antibody detecting Histone H3 in Western Blot, Flow Cytometry (Intra), Flow Cytometry, IP, IHC-P, ICC/IF, ChIP, PepArr. Suitable for Human, Mouse, Rat.

- Biophysical QC for unrivalled batch-batch consistency
- Over 40 publications
- Trusted since 2006

View Alternative Names

H3FA, HIST1H3A, H3C2, H3FL, HIST1H3B, H3C3, H3FC HIST1H3C, H3C4, H3FB, HIST1H3D, H3C6, H3FD, HIST1H3E, H3C7, H3FI, HIST1H3F, H3C8, H3FH, HIST1H3G, H3C10, H3FK, HIST1H3H, H3C11, H3FF, HIST1H3I, H3C12, H3FJ, HIST1H3J, H3C1, H3FC, HIST1H3C, Histone H3.1, Histone H3/a, Histone H3/b, Histone H3/c, Histone H3/d, Histone H3/f, Histone H3/h, Histone H3/i, Histone H3/j, Histone H3/k, Histone H3/l, H3K9ac

19 Images
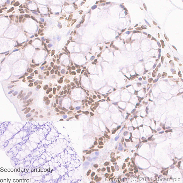
Immunohistochemistry (Formalin/PFA-fixed paraffin-embedded sections) - Anti-Histone H3 (acetyl K9) antibody [Y28] - ChIP Grade (AB32129)
  • IHC-P

Lab

Immunohistochemistry (Formalin/PFA-fixed paraffin-embedded sections) - Anti-Histone H3 (acetyl K9) antibody [Y28] - ChIP Grade (AB32129)

Immunohistochemical analysis of Paraffin-embedded sections human colorectal carcinoma tissue labelling Histone H3 (acetyl K9) with ab32129 at 1/2000 dilution, followed by a ready to use secondary Rabbit specific IHC polymer detection kit HRP/DAB (ab209101). Staining on human colorectal carcinoma tissue is observed. Counter stained with Haematoxylin. Secondary antibody only control : Used PBS instead of primary antibody, secondary antibody is ready to use Rabbit specific IHC polymer detection kit HRP/DAB (ab209101). Heat mediated antigen retrieval using Bond™ Epitope Retrieval Solution 2 (pH 9.0). The immunostaining was performed on a Leica Biosystems BOND® RX instrument.

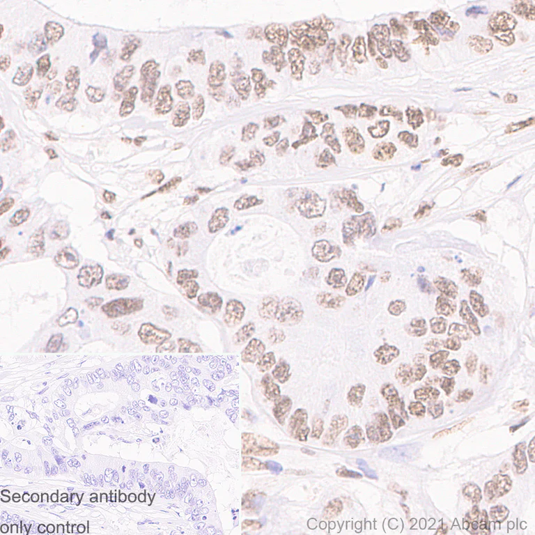
Immunohistochemistry (Formalin/PFA-fixed paraffin-embedded sections) - Anti-Histone H3 (acetyl K9) antibody [Y28] - ChIP Grade (AB32129)
  • IHC-P

Lab

Immunohistochemistry (Formalin/PFA-fixed paraffin-embedded sections) - Anti-Histone H3 (acetyl K9) antibody [Y28] - ChIP Grade (AB32129)

Immunohistochemical analysis of Paraffin-embedded sections human cerebrum tissue labelling Histone H3 (acetyl K9) with ab32129 at 1/2000 dilution, followed by a ready to use secondary Rabbit specific IHC polymer detection kit HRP/DAB (ab209101). Staining on human cerebrum tissue is observed. Counter stained with Haematoxylin. Secondary antibody only control : Used PBS instead of primary antibody, secondary antibody is ready to use Rabbit specific IHC polymer detection kit HRP/DAB (ab209101). Heat mediated antigen retrieval using Bond™ Epitope Retrieval Solution 2 (pH 9.0). The immunostaining was performed on a Leica Biosystems BOND® RX instrument.

Immunocytochemistry/ Immunofluorescence - Anti-Histone H3 (acetyl K9) antibody [Y28] - ChIP Grade (AB32129)
  • ICC/IF

Lab

Immunocytochemistry/ Immunofluorescence - Anti-Histone H3 (acetyl K9) antibody [Y28] - ChIP Grade (AB32129)

Immunocytochemistry/ Immunofluorescence analysis of HeLa (human cervix adenocarcinoma epithelial cell) cells labeling Histone H3 with purified ab32129 at 1/250 dilution (4 μg/mL). Cells were fixed in 100% Methanol and permeabilized with None. Cells were counterstained with ab195889 Anti-alpha Tubulin antibody [DM1A] - Microtubule Marker (Alexa Fluor® 594) 1/200 (2.5 μg/mL). Goat anti rabbit IgG (Alexa Fluor® 488, ab150077) was used as the secondary antibody at 1/1000 (2 μg/mL) dilution. DAPI (blue) was used as nuclear counterstain. ab195889 Anti-alpha Tubulin antibody [DM1A] - Microtubule Marker (Alexa Fluor® 594) 1/200 (2.5 μg/mL) was used as the secondary antibody only control.

Flow Cytometry (Intracellular) - Anti-Histone H3 (acetyl K9) antibody [Y28] - ChIP Grade (AB32129)
  • Flow Cyt (Intra)

Unknown

Flow Cytometry (Intracellular) - Anti-Histone H3 (acetyl K9) antibody [Y28] - ChIP Grade (AB32129)

Intracellular Flow Cytometry analysis of HeLa (human cervix adenocarcinoma) treated (Red)/untreated (Green) with 500ng/ml Trichostatin A for 4 hours with purified ab32129 at 1/230 dilution. The secondary antibody was Goat anti rabbit IgG (Alexa Fluorr® 488) at 1/2000 dilution. A Rabbit monoclonal IgG (Black) was used as the isotype control and cells without incubation with primary antibody and secondary antibody (Blue) were used as unlabeled control.

ChIP-sequencing - Anti-Histone H3 (acetyl K9) antibody [Y28] - ChIP Grade (AB32129)
  • ChIP-seq

Lab

ChIP-sequencing - Anti-Histone H3 (acetyl K9) antibody [Y28] - ChIP Grade (AB32129)

Chromatin was prepared from HeLa cells. Cells were fixed with 1% formaldehyde for 10 minutes. ChIP was performed with 107 HeLa cells and 4 μg of Anti-Histone H3 (acetyl K9) antibody [Y28] - ChIP Grade (ab32129). ChIP DNA was sequenced on the Illumina NovaSeq 6000 to a depth of 30 million reads. Additional screenshots of mapped reads can be downloaded here.

ChIP - Anti-Histone H3 (acetyl K9) antibody [Y28] - ChIP Grade (AB32129)
  • ChIP

Unknown

ChIP - Anti-Histone H3 (acetyl K9) antibody [Y28] - ChIP Grade (AB32129)

Chromatin was prepared from HeLa cells according to the Abcam X-ChIP protocol. Cells were fixed with formaldehyde for 10min.
The ChIP was performed with 25 μg of chromatin, 2 μg of ab32129 (red), and 20 μl of Protein A/G sepharose beads. No antibody was added to the beads control (grey). The immunoprecipitated DNA was quantified by real time PCR (Taqman approach).
Primers and probes are located in the first kb of the transcribed region.

ChIP-sequencing - Anti-Histone H3 (acetyl K9) antibody [Y28] - ChIP Grade (AB32129)
  • ChIP-seq

Supplier Data

ChIP-sequencing - Anti-Histone H3 (acetyl K9) antibody [Y28] - ChIP Grade (AB32129)

Chromatin was prepared from HeLa cells. Cells were fixed with 1% formaldehyde for 10 minutes. ChIP was performed with 30 µg of chromatin and 4 µg of Anti-Histone H3 (acetyl K9) antibody [Y28] - ChIP Grade (ab32129). ChIP DNA was sequenced on the Illumina NextSeq 500 to a depth of 30 million reads. ChIP-Seq validation performed by Active Motif, Carlsbad, CA. Additional screenshots of mapped reads can be downloaded here.

Immunoprecipitation - Anti-Histone H3 (acetyl K9) antibody [Y28] - ChIP Grade (AB32129)
  • IP

Lab

Immunoprecipitation - Anti-Histone H3 (acetyl K9) antibody [Y28] - ChIP Grade (AB32129)

ab32129 (purified) at 1/30 dilution (20 μg/ml) immunoprecipitating Histone H3 acetyl K9 in TSA treated HeLa whole cell lysate.
Lane 1 (input) : HeLa (human cervix adenocarcinoma epithelial cell) treated with 500ng/ml TSA for 4h whole cell lysate 10μg
Lane 2 (+) : ab32129 & TSA treated HeLa whole cell lysate
Lane 3 (-) : Rabbit monoclonal IgG (ab172730) instead of ab32129 in TSA treated HeLa whole cell lysate
For western blotting, ab32129 at 1/500 and veriBlot for IP secondary antibody (HRP) (ab131366) was used at 1/1000 dilution.
Blocking and diluting buffer : 5% NFDM /TBST.

All lanes:

Immunoprecipitation - Anti-Histone H3 (acetyl K9) antibody [Y28] - ChIP Grade (ab32129)

Predicted band size: 15 kDa

false

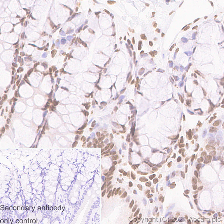
Immunohistochemistry (Formalin/PFA-fixed paraffin-embedded sections) - Anti-Histone H3 (acetyl K9) antibody [Y28] - ChIP Grade (AB32129)
  • IHC-P

Lab

Immunohistochemistry (Formalin/PFA-fixed paraffin-embedded sections) - Anti-Histone H3 (acetyl K9) antibody [Y28] - ChIP Grade (AB32129)

Immunohistochemical analysis of Paraffin-embedded sections mouse colon tissue labelling Histone H3 (acetyl K9) with ab32129 at 1/6000 dilution, followed by a ready to use secondary Rabbit specific IHC polymer detection kit HRP/DAB (ab209101). Staining on mouse colon tissue is observed. Counter stained with Haematoxylin. Secondary antibody only control : Used PBS instead of primary antibody, secondary antibody is ready to use Rabbit specific IHC polymer detection kit HRP/DAB (ab209101). Heat mediated antigen retrieval using Bond™ Epitope Retrieval Solution 2 (pH 9.0). The immunostaining was performed on a Leica Biosystems BOND® RX instrument.

Immunohistochemistry (Formalin/PFA-fixed paraffin-embedded sections) - Anti-Histone H3 (acetyl K9) antibody [Y28] - ChIP Grade (AB32129)
  • IHC-P

Lab

Immunohistochemistry (Formalin/PFA-fixed paraffin-embedded sections) - Anti-Histone H3 (acetyl K9) antibody [Y28] - ChIP Grade (AB32129)

Immunohistochemical analysis of Paraffin-embedded sections rat colon tissue labelling Histone H3 (acetyl K9) with ab32129 at 1/6000 dilution, followed by a ready to use secondary Rabbit specific IHC polymer detection kit HRP/DAB (ab209101). Staining on rat colon tissue is observed. Counter stained with Haematoxylin. Secondary antibody only control : Used PBS instead of primary antibody, secondary antibody is ready to use Rabbit specific IHC polymer detection kit HRP/DAB (ab209101). Heat mediated antigen retrieval using Bond™ Epitope Retrieval Solution 2 (pH 9.0). The immunostaining was performed on a Leica Biosystems BOND® RX instrument.

Western blot - Anti-Histone H3 (acetyl K9) antibody [Y28] - ChIP Grade (AB32129)
  • WB

Lab

Western blot - Anti-Histone H3 (acetyl K9) antibody [Y28] - ChIP Grade (AB32129)

Blocking and diluting buffer and concentration : 5% NFDM/TBST. ab181602 was used as GAPDH loading control. ab176842 was for Histone H3 detection.

All lanes:

Western blot - Anti-Histone H3 (acetyl K9) antibody [Y28] - ChIP Grade (ab32129) at 1/10000 dilution

Lane 1:

HeLa (Human cervix adenocarcinoma epithelial cell) whole cell lysate at 15 µg

Lane 2:

HeLa (Human cervix adenocarcinoma epithelial cell) treated with 500ng/ml Trichostatin A for 4 hours whole cell lysate at 15 µg

Secondary

All lanes:

Western blot - Goat Anti-Rabbit IgG H&L (HRP) (<a href='/en-us/products/secondary-antibodies/goat-rabbit-igg-h-l-hrp-ab97051'>ab97051</a>) at 1/20000 dilution

Predicted band size: 15 kDa

Observed band size: 15 kDa

false

ChIC/CUT&RUN sequencing - Anti-Histone H3 (acetyl K9) antibody [Y28] - ChIP Grade (AB32129)
  • ChIC/CUT&RUN-seq

Lab

ChIC/CUT&RUN sequencing - Anti-Histone H3 (acetyl K9) antibody [Y28] - ChIP Grade (AB32129)

ChIC/CUT&RUN was performed using a pAG-MNase at a final concentration of 700 ng/mL, 2.5 x 10^5 HeLa (Human epithelial cell line from cervix adenocarcinoma) cells and 5 µg of ab32129 [Y28]. The resulting DNA was sequenced on the Illumina NovaSeq 6000 to a depth of 10 million reads. The negative IgG control ab172730 is also shown.

The University of Geneva owns patents relevant to ChIC (Chromatin Immuno-Cleavage) methods.

ChIC/CUT&RUN sequencing - Anti-Histone H3 (acetyl K9) antibody [Y28] - ChIP Grade (AB32129)
  • ChIC/CUT&RUN-seq

Lab

ChIC/CUT&RUN sequencing - Anti-Histone H3 (acetyl K9) antibody [Y28] - ChIP Grade (AB32129)

ChIC/CUT&RUN was performed using a pAG-MNase at a final concentration of 700 ng/mL, 2.5 x 10^5 HeLa (Human epithelial cell line from cervix adenocarcinoma) cells and 5 µg of ab32129 [Y28]. The resulting DNA was sequenced on the Illumina NovaSeq 6000 to a depth of 10 million reads. The negative IgG control ab172730 is also shown.

The University of Geneva owns patents relevant to ChIC (Chromatin Immuno-Cleavage) methods.

ChIC/CUT&RUN sequencing - Anti-Histone H3 (acetyl K9) antibody [Y28] - ChIP Grade (AB32129)
  • ChIC/CUT&RUN-seq

Lab

ChIC/CUT&RUN sequencing - Anti-Histone H3 (acetyl K9) antibody [Y28] - ChIP Grade (AB32129)

ChIC/CUT&RUN was performed using a pAG-MNase at a final concentration of 700 ng/mL, 2.5 x 10^5 HeLa (Human epithelial cell line from cervix adenocarcinoma) cells and 5 µg of ab32129 [Y28]. The resulting DNA was sequenced on the Illumina NovaSeq 6000 to a depth of 10 million reads. The negative IgG control ab172730 is also shown.

The University of Geneva owns patents relevant to ChIC (Chromatin Immuno-Cleavage) methods.

Western blot - Anti-Histone H3 (acetyl K9) antibody [Y28] - ChIP Grade (AB32129)
  • WB

Lab

Western blot - Anti-Histone H3 (acetyl K9) antibody [Y28] - ChIP Grade (AB32129)

Blocking and diluting buffer and concentration : 5% NFDM/TBST. ab181602 was used as GAPDH loading control. ab176842 was for Histone H3 detection.

All lanes:

Western blot - Anti-Histone H3 (acetyl K9) antibody [Y28] - ChIP Grade (ab32129) at 1/10000 dilution

Lane 1:

C6 (Rat glial tumor glial cell) whole cell lysate at 15 µg

Lane 2:

C6 (Rat glial tumor glial cell) treated with 500ng/ml Trichostatin A for 4 hours whole cell lysate at 15 µg

Secondary

All lanes:

Western blot - Goat Anti-Rabbit IgG H&L (HRP) (<a href='/en-us/products/secondary-antibodies/goat-rabbit-igg-h-l-hrp-ab97051'>ab97051</a>) at 1/20000 dilution

Predicted band size: 15 kDa

Observed band size: 15 kDa

false

Western blot - Anti-Histone H3 (acetyl K9) antibody [Y28] - ChIP Grade (AB32129)
  • WB

Lab

Western blot - Anti-Histone H3 (acetyl K9) antibody [Y28] - ChIP Grade (AB32129)

Blocking and diluting buffer and concentration : 5% NFDM/TBST. ab181602 was used as GAPDH loading control. ab176842 was for Histone H3 detection.

All lanes:

Western blot - Anti-Histone H3 (acetyl K9) antibody [Y28] - ChIP Grade (ab32129) at 1/10000 dilution

Lane 1:

NIH/3T3 (Mouse embryonic fibroblast) whole cell lysate at 15 µg

Lane 2:

NIH/3T3 (Mouse embryonic fibroblast) treated with 500ng/ml Trichostatin A for 4 hours whole cell lysate at 15 µg

Secondary

All lanes:

Western blot - Goat Anti-Rabbit IgG H&L (HRP) (<a href='/en-us/products/secondary-antibodies/goat-rabbit-igg-h-l-hrp-ab97051'>ab97051</a>) at 1/20000 dilution

Predicted band size: 15 kDa

Observed band size: 15 kDa

false

CUT&Tag sequencing - Anti-Histone H3 (acetyl K9) antibody [Y28] - ChIP Grade (AB32129)
  • CUT&Tag-seq

Supplier Data

CUT&Tag sequencing - Anti-Histone H3 (acetyl K9) antibody [Y28] - ChIP Grade (AB32129)

CUT&Tag-seq was performed using 200,000 Oli-neu (Oligodendrocyte progenitor) cells. Cells were permeabilized with 0.05% Digitonin and 0.01% NP-40 for 3 minutes. A 1 : 100 dilution of Recombinant Anti-Histone H3 (acetyl K9) antibody [Y28] - ChIP Grade (ab32129) was used, along with a Guinea pig anti-rabbit Secondary. DNA was seg using Illumina NovaSeq S Prime to a depth of 24 million reads.

This image is courtesy of Dr Marek Bartosovic, Gonçalo Castelo-Branco Group, Karolinska Institutet.

This experiment and image is courtesy of Dr Marek Bartosovic, Gonçalo Castelo-Branco Group, Karolinska Institutet.

CUT&Tag - Anti-Histone H3 (acetyl K9) antibody [Y28] - ChIP Grade (AB32129)
  • CUT&Tag

Supplier Data

CUT&Tag - Anti-Histone H3 (acetyl K9) antibody [Y28] - ChIP Grade (AB32129)

CUT&Tag-seq was performed using 200,000 Oli-neu (Oligodendrocyte progenitor) cells. Cells were permeabilized with 0.05% Digitonin and 0.01% NP-40 for 3 minutes. A 1 : 100 dilution of Recombinant Anti-Histone H3 (acetyl K9) antibody [Y28] - ChIP Grade (ab32129) was used, along with a Guinea pig anti-rabbit Secondary. DNA was seg using Illumina NovaSeq S Prime to a depth of 24 million reads. This image is courtesy of Dr Marek Bartosovic, Gonçalo Castelo-Branco Group, Karolinska Institutet. The University of Geneva owns patents relevant to ChIC (Chromatin Immuno-Cleavage) methods.

This experiment and image is courtesy of Dr Marek Bartosovic, Gonçalo Castelo-Branco Group, Karolinska Institutet

Peptide Array - Anti-Histone H3 (acetyl K9) antibody [Y28] - ChIP Grade (AB32129)
  • PepArr

Lab

Peptide Array - Anti-Histone H3 (acetyl K9) antibody [Y28] - ChIP Grade (AB32129)

ab32129 was tested in Peptide array against 501 different modified and unmodified histone peptides; each peptide is printed on the array at six concentrations (each in triplicate).
Circle area represents affinity between the antibody and a peptide : all antigen-containing peptides are displayed as red circles, all other peptides as blue circles. The affinity is calculated as area under curve when antibody binding values are plotted against the corresponding peptide concentration. Each circle area is normalized to the peptide with the strongest affinity.

The complete dataset, including full list of all peptides and information on the position of each peptide in the diagram, is available under the Product Protocol section.

Please note this antibody has weak cross-reactivity with H3R8me1 and H3K4me3 in peptide array. Further optimization may be needed to minimize the cross-reactivity in assays similar to peptide array.

  • Carrier free

    Anti-Histone H3 (acetyl K9) antibody [Y28] - ChIP Grade - BSA and Azide free

  • 665 Alexa Fluor® 647

    Alexa Fluor® 647 Anti-Histone H3 (acetyl K9) antibody [Y28]

  • 519 Alexa Fluor® 488

    Alexa Fluor® 488 Anti-Histone H3 (acetyl K9) antibody [Y28]

Key facts

Host species

Rabbit

Clonality

Monoclonal

Clone number

Y28

Isotype

IgG

Carrier free

No

Reacts with

Mouse, Rat, Human

Applications

Flow Cyt (Intra), WB, ICC/IF, ChIP-seq, IHC-P, ChIC/CUT&RUN-seq, IP, PepArr, CUT&Tag, ChIP

applications

Immunogen

The exact immunogen used to generate this antibody is proprietary information.

Specificity

This antibody has weak cross-reactivity with H3R8me1 and H3K4me3 in peptide array. Further optimization may be needed to minimize the cross-reactivity in assays similar to peptide array

Reactivity data

{ "title": "Reactivity Data", "filters": { "stats": ["", "Species", "Dilution Info", "Notes"], "tabs": { "all-applications": {"fullname" : "All Applications", "shortname": "All Applications"}, "CUTTag" : {"fullname" : "CUT&Tag", "shortname":"CUT&Tag"}, "PepArr" : {"fullname" : "Peptide Array", "shortname":"PepArr"}, "IHCP" : {"fullname" : "Immunohistochemistry (Formalin/PFA-fixed paraffin-embedded sections)", "shortname":"IHC-P"}, "IP" : {"fullname" : "Immunoprecipitation", "shortname":"IP"}, "ChIP" : {"fullname" : "ChIP", "shortname":"ChIP"}, "WB" : {"fullname" : "Western blot", "shortname":"WB"}, "ICCIF" : {"fullname" : "Immunocytochemistry/ Immunofluorescence", "shortname":"ICC/IF"}, "ChIPseq" : {"fullname" : "ChIP-sequencing", "shortname":"ChIP-seq"}, "FlowCytIntra" : {"fullname" : "Flow Cytometry (Intracellular)", "shortname":"Flow Cyt (Intra)"}, "ChICCUTRUNseq" : {"fullname" : "ChIC/CUT&RUN sequencing", "shortname":"ChIC/CUT&RUN-seq"} }, "product-promise": { "all": "all", "testedAndGuaranteed": "tested", "guaranteed": "expected", "predicted": "predicted", "notRecommended": "not-recommended" } }, "values": { "Human": { "CUTTag-species-checked": "guaranteed", "CUTTag-species-dilution-info": "", "CUTTag-species-notes": "", "PepArr-species-checked": "testedAndGuaranteed", "PepArr-species-dilution-info": "", "PepArr-species-notes": "<p></p>", "IHCP-species-checked": "testedAndGuaranteed", "IHCP-species-dilution-info": "1/50 - 1/200", "IHCP-species-notes": "<p></p> Perform heat-mediated antigen retrieval with citrate buffer pH 6 before commencing with IHC staining protocol.", "IP-species-checked": "testedAndGuaranteed", "IP-species-dilution-info": "1/30", "IP-species-notes": "<p></p>", "ChIP-species-checked": "testedAndGuaranteed", "ChIP-species-dilution-info": "2 µg for 25 µg chromatin", "ChIP-species-notes": "<p></p>", "WB-species-checked": "testedAndGuaranteed", "WB-species-dilution-info": "1/500", "WB-species-notes": "<p></p>", "ICCIF-species-checked": "testedAndGuaranteed", "ICCIF-species-dilution-info": "1/250", "ICCIF-species-notes": "<p></p>", "ChIPseq-species-checked": "testedAndGuaranteed", "ChIPseq-species-dilution-info": "4 µg for 30 µg chromatin", "ChIPseq-species-notes": "<p></p>", "FlowCytIntra-species-checked": "testedAndGuaranteed", "FlowCytIntra-species-dilution-info": "", "FlowCytIntra-species-notes": "<p></p>", "ChICCUTRUNseq-species-checked": "testedAndGuaranteed", "ChICCUTRUNseq-species-dilution-info": "5 µg", "ChICCUTRUNseq-species-notes": "<p></p>" }, "Mouse": { "CUTTag-species-checked": "testedAndGuaranteed", "CUTTag-species-dilution-info": "1/100", "CUTTag-species-notes": "<p></p>", "PepArr-species-checked": "guaranteed", "PepArr-species-dilution-info": "", "PepArr-species-notes": "", "IHCP-species-checked": "testedAndGuaranteed", "IHCP-species-dilution-info": "1/50 - 1/200", "IHCP-species-notes": "<p></p> Perform heat-mediated antigen retrieval with citrate buffer pH 6 before commencing with IHC staining protocol.", "IP-species-checked": "guaranteed", "IP-species-dilution-info": "", "IP-species-notes": "", "ChIP-species-checked": "guaranteed", "ChIP-species-dilution-info": "", "ChIP-species-notes": "", "WB-species-checked": "testedAndGuaranteed", "WB-species-dilution-info": "1/500", "WB-species-notes": "<p></p>", "ICCIF-species-checked": "guaranteed", "ICCIF-species-dilution-info": "", "ICCIF-species-notes": "", "ChIPseq-species-checked": "guaranteed", "ChIPseq-species-dilution-info": "", "ChIPseq-species-notes": "", "FlowCytIntra-species-checked": "guaranteed", "FlowCytIntra-species-dilution-info": "", "FlowCytIntra-species-notes": "", "ChICCUTRUNseq-species-checked": "guaranteed", "ChICCUTRUNseq-species-dilution-info": "", "ChICCUTRUNseq-species-notes": "" }, "Rat": { "CUTTag-species-checked": "guaranteed", "CUTTag-species-dilution-info": "", "CUTTag-species-notes": "", "PepArr-species-checked": "guaranteed", "PepArr-species-dilution-info": "", "PepArr-species-notes": "", "IHCP-species-checked": "testedAndGuaranteed", "IHCP-species-dilution-info": "1/50 - 1/200", "IHCP-species-notes": "<p></p> Perform heat-mediated antigen retrieval with citrate buffer pH 6 before commencing with IHC staining protocol.", "IP-species-checked": "guaranteed", "IP-species-dilution-info": "", "IP-species-notes": "", "ChIP-species-checked": "guaranteed", "ChIP-species-dilution-info": "", "ChIP-species-notes": "", "WB-species-checked": "testedAndGuaranteed", "WB-species-dilution-info": "1/500", "WB-species-notes": "<p></p>", "ICCIF-species-checked": "guaranteed", "ICCIF-species-dilution-info": "", "ICCIF-species-notes": "", "ChIPseq-species-checked": "guaranteed", "ChIPseq-species-dilution-info": "", "ChIPseq-species-notes": "", "FlowCytIntra-species-checked": "guaranteed", "FlowCytIntra-species-dilution-info": "", "FlowCytIntra-species-notes": "", "ChICCUTRUNseq-species-checked": "guaranteed", "ChICCUTRUNseq-species-dilution-info": "", "ChICCUTRUNseq-species-notes": "" } } }

Product details

What is this antibody validated in?
Anti-Histone H3 (acetyl K9) antibody [Y28] - ChIP Grade (ab32129) is a rabbit recombinant monoclonal antibody and is validated for use in Western Blot (WB), Flow Cytometry (Intra), Flow Cytometry (Flow Cyt), Immunoprecipitation (IP), Immunohistochemistry (IHC-P), Immunocytochemistry/immunofluorescence (ICC/IF), ChIP, Peptide Array in Human, Mouse, Rat samples.

What is the molecular weight of Histone H3?
Anti-Histone H3 (acetyl K9) [Y28] - ChIP Grade (ab32129) specifically detects a band for Histone H3 (UniProt: P68431) at a molecular weight of 15kDa.

Trusted by the scientific community
Anti-Histone H3 (acetyl K9) [Y28] - ChIP Grade (ab32129) was first used in a scientific publication in 2006 and has been cited over 40 times in peer-reviewed journals.

Reviewed by scientists
Anti-Histone H3 (acetyl K9) [Y28] - ChIP Grade (ab32129) has over 5 independent reviews from customers.

Trial sizes available!
Test your antibody or perform pre-screening before committing to a larger quantity. Sold in 10µl. Discover our selection of trial-size antibodies.

Other related products
We have a range of other formats of antibody clone [Y28] also available for your convenience: ab32129, Alexa Fluor® 488 - ab200986, Alexa Fluor® 647 - ab200989, Carrier free - ab203951

Patented technology
Our RabMAb® technology is a patented hybridoma-based technology for making rabbit monoclonal antibodies. For details on our patents, please refer to RabMAb® patents.

What are the advantages of a recombinant monoclonal antibody?
This product is a recombinant monoclonal antibody, which offers several advantages including:

  • - High batch-to-batch consistency and reproducibility
  • - Improved sensitivity and specificity
  • - Long-term security of supply
  • - Animal-free batch production

For more information, read more on recombinant antibodies.

Properties and storage information

Form
Liquid
Purification technique
Affinity purification Protein A
Storage buffer
pH: 7.2 - 7.4 Preservative: 0.01% Sodium azide Constituents: PBS, 40% Glycerol (glycerin, glycerine), 0.05% BSA
Shipped at conditions
Blue Ice
Appropriate short-term storage duration
1-2 weeks
Appropriate short-term storage conditions
+4°C
Appropriate long-term storage conditions
-20°C
Aliquoting information
Upon delivery aliquot
Storage information
Avoid freeze / thaw cycle

Product protocols

For this product, it's our understanding that no specific protocols are required. You can visit:

Target data

The protein expressed by gene H3C1 is a core component of the nucleosome, which is essential for wrapping and compacting DNA into chromatin. This process restricts DNA accessibility to cellular machineries that use DNA as a template. Consequently, histones are central to transcription regulation, DNA repair, DNA replication, and chromosomal stability. DNA accessibility is regulated through a complex set of post-translational modifications of histones, known as the histone code, and through nucleosome remodeling. This supplementary information is collated from multiple sources and compiled automatically.
See full target information H3C1 acetyl K9

Publications (85)

Recent publications for all applications. Explore the full list and refine your search

Nature genetics 57:2264-2275 PubMed40890361

2025

Chromatin dynamics of a large-sized genome provides insights into polyphenism and X0 dosage compensation of locusts.

Applications

Unspecified application

Species

Unspecified reactive species

Qing Liu,Feng Jiang,Ran Li,Shanlin Liu,Wenjing Fang,Xiao Li,Ting Hu,Lianyun Feng,Jie Zhang,Zhikang Liu,Jing He,Wei Guo,Xianhui Wang,Zongyi Sun,Jingjing Li,Yunan Gao,Jiacheng Yi,Qiye Li,Xiaoxiao Wang,Liya Wei,Le Kang

Communications biology 8:1209 PubMed40804340

2025

rTMS ameliorates cerebral ischemia-reperfusion injury by inhibiting Golgi apparatus stress through epigenetic modulation of Gli2.

Applications

Unspecified application

Species

Unspecified reactive species

Chunjiao Zhu,Yongmei Fan,Wenna Peng

Nature communications 16:5313 PubMed40537528

2025

Herpes simplex virus type 1 reshapes host chromatin architecture via transcription machinery hijacking.

Applications

Unspecified application

Species

Unspecified reactive species

Esther González-Almela,Alvaro Castells-Garcia,François Le Dily,Manuel Fernández Merino,Davide Carnevali,Pol Cusco,Luciano Di Croce,Maria Pia Cosma

Nature communications 16:4668 PubMed40394068

2025

Targeting epigenetic regulators to overcome drug resistance in the emerging human fungal pathogen Candida auris.

Applications

Unspecified application

Species

Unspecified reactive species

Yuping Zhang,Lingbing Zeng,Xinhua Huang,Yuanyuan Wang,Guangsheng Chen,Munika Moses,Yun Zou,Sichu Xiong,Wenwen Xue,Yanmei Dong,Yueru Tian,Ming Guan,Lingfei Hu,Zhe Yin,Dongsheng Zhou,Xiaotian Huang,Changbin Chen

Frontiers in physiology 16:1520246 PubMed40265153

2025

Regulatory mechanism of ABCB1 transcriptional repression by HDAC5 in rat hepatocytes under hypoxic environment.

Applications

Unspecified application

Species

Unspecified reactive species

Ziqin Wei,Hongfang Mu,Fangfang Qiu,Minghui Zhao,Xiaojing Zhang,Wenbin Li,Hai Jia,Rong Wang

PeerJ 13:e19215 PubMed40183048

2025

Temporal and spatial distribution of histone acetylation in mouse molar development.

Applications

Unspecified application

Species

Unspecified reactive species

Wen Du,Wanyi Luo,Liwei Zheng,Xuedong Zhou,Wei Du

Acta biochimica et biophysica Sinica 57:1660-1669 PubMed40065721

2025

HDAC11 in ovarian granulosa cells coordinates LH in the maturation of oocytes in Tan sheep.

Applications

Unspecified application

Species

Unspecified reactive species

Jiaqi Shi,Donghuan Lv,Yaxiu Xu,Xiangyan Wang,Zhipeng Qi,Yujie Yan,Jinghua Wang,Hongyuan Song,Hui Yang,Luguo Jin,Zhengyi Yang,Xiaoning Yang,Xiumei Kang,Xinfeng Liu,Zhuming Zhang,Chao Wang

Investigative ophthalmology & visual science 66:56 PubMed39982392

2025

Oridonin Preserves Retinal Pigmented Epithelial Cell Tight Junctions and Ameliorates Choroidal Neovascularization.

Applications

Unspecified application

Species

Unspecified reactive species

Juming Zhu,Dongmei Ding,Tao Sun,Yuting Zhang,Huizi Miao,Yunjie Gu,Ming Dai,Manhui Zhu

Journal of cachexia, sarcopenia and muscle 16:e13734 PubMed39971710

2025

SIRT6 Ameliorates Cancer Cachexia-Associated Adipose Wasting by Suppressing TNFR2 Signalling in Mice.

Applications

Unspecified application

Species

Unspecified reactive species

Kang Xu,Yida Wang,Fang Wang,Yannan Guo,Yu Ren,Vivien Low,Sungyun Cho,Qingfei Liu,Ying Qiu,Xue Li,Kang Yu,Zhongchi Li,Zhao Wang

Nature 639:232-240 PubMed39939761

2025

UM171 glues asymmetric CRL3-HDAC1/2 assembly to degrade CoREST corepressors.

Applications

Unspecified application

Species

Unspecified reactive species

Megan J R Yeo,Olivia Zhang,Xiaowen Xie,Eunju Nam,N Connor Payne,Pallavi M Gosavi,Hui Si Kwok,Irtiza Iram,Ceejay Lee,Jiaming Li,Nicholas J Chen,Khanh Nguyen,Hanjie Jiang,Zhipeng A Wang,Kwangwoon Lee,Haibin Mao,Stefan A Harry,Idris A Barakat,Mariko Takahashi,Amanda L Waterbury,Marco Barone,Andrea Mattevi,Steven A Carr,Namrata D Udeshi,Liron Bar-Peled,Philip A Cole,Ralph Mazitschek,Brian B Liau,Ning Zheng
View all publications
peptideArrayWebsite
en

Product promise

We are committed to supporting your work with high-quality reagents, and we're here for you every step of the way. In the unlikely event that one of our products does not perform as expected, you're protected by our Product Promise.
For full details, please see our Terms & Conditions

Please note: All products are 'FOR RESEARCH USE ONLY. NOT FOR USE IN DIAGNOSTIC OR THERAPEUTIC PROCEDURES'.

For licensing inquiries, please contact partnerships@abcam.com