JavaScript is disabled in your browser. Please enable JavaScript to view this website.
AB176842

Anti-Histone H3 antibody [EPR16987] - Nuclear Marker and ChIP Grade

  • 20ul selling size
  • RabMAb
  • Recombinant
  • Lab Essentials
  • Advanced Validation
  • What is this?

5

(15 Reviews)

|

(107 Publications)

Anti-Histone H3 antibody [EPR16987] - Nuclear Marker and ChIP Grade (ab176842) is a rabbit monoclonal antibody for Western Blot, Flow Cytometry (Intra), IP, IHC-P, ICC/IF, ChIP, PepArr. Suitable for Drosophila, Human, Mouse, Rat, S.cerevisiae, S.pombe.

- Biophysical QC for unrivalled batch-batch consistency
- Over 70 publications

View Alternative Names

H3FA, HIST1H3A, H3C2, H3FL, HIST1H3B, H3C3, H3FC HIST1H3C, H3C4, H3FB, HIST1H3D, H3C6, H3FD, HIST1H3E, H3C7, H3FI, HIST1H3F, H3C8, H3FH, HIST1H3G, H3C10, H3FK, HIST1H3H, H3C11, H3FF, HIST1H3I, H3C12, H3FJ, HIST1H3J, HIST1H3C, H3FC, H3C1, Histone H3.1, Histone H3/a, Histone H3/b, Histone H3/c, Histone H3/d, Histone H3/f, Histone H3/h, Histone H3/i, Histone H3/j, Histone H3/k, Histone H3/l

40 Images
Immunohistochemistry (Formalin/PFA-fixed paraffin-embedded sections) - Anti-Histone H3 antibody [EPR16987] - Nuclear Marker and ChIP Grade (AB176842)
  • IHC-P

Supplier Data

Immunohistochemistry (Formalin/PFA-fixed paraffin-embedded sections) - Anti-Histone H3 antibody [EPR16987] - Nuclear Marker and ChIP Grade (AB176842)

Immunohistochemical analysis of paraffin-embedded Human colon tissue labeling Histone H3 with ab176842 at 1/500 dilution, followed by Goat Anti-Rabbit HRP (IgG; H&L) secondary antibody (ab97051) at 1/500 dilution. Nuclear staining on glandular epithelium of Human colon tissue is observed. Counter stained with Hematoxylin.

Negative control : Used PBS instead of primary antibody, secondary antibody Goat Anti-Rabbit IgG H&L (HRP) (ab97051) at 1/500 dilution.

Perform heat mediated antigen retrieval with Tris/EDTA buffer pH 9.0 before commencing with IHC staining protocol.

Immunocytochemistry/ Immunofluorescence - Anti-Histone H3 antibody [EPR16987] - Nuclear Marker and ChIP Grade (AB176842)
  • ICC/IF

Lab

Immunocytochemistry/ Immunofluorescence - Anti-Histone H3 antibody [EPR16987] - Nuclear Marker and ChIP Grade (AB176842)

Immunofluorescent analysis of 4% paraformaldehyde-fixed, 0.1% Triton X-100 permeabilized HeLa (Human epithelial cells from cervix adenocarcinoma) cells labeling Histone H3 with ab176842 at 1/2000 dilution, followed by Goat anti-rabbit Alexa Fluor® 488 (IgG) (ab150077) secondary antibody at 1/400 dilution (green). Confocal image showing nuclear staining on HeLa cell line. The nuclear counter stain is DAPI (blue). Tubulin is detected with ab7291 (anti-Tubulin mouse mAb) at 1/500 dilution and ab150120 (goat anti-mouse AlexaFluor®594 Goat secondary antibody) at 1/500 dilution (red).
The negative controls are as follows;
-ve control 1 : ab176842 at 1/2000 dilution followed by ab150120 (AlexaFluor®594 Goat anti-Mouse secondary) at 1/500 dilution.
-ve control 2 : ab7291 (anti-Tubulin mouse mAb) at 1/500 dilution followed by ab150077 (Alexa Fluor®488 Goat Anti-Rabbit IgG H&L) at 1/400 dilution.

Flow Cytometry (Intracellular) - Anti-Histone H3 antibody [EPR16987] - Nuclear Marker and ChIP Grade (AB176842)
  • Flow Cyt (Intra)

Lab

Flow Cytometry (Intracellular) - Anti-Histone H3 antibody [EPR16987] - Nuclear Marker and ChIP Grade (AB176842)

Intracellular Flow Cytometry analysis of HeLa (human cervix adenocarcinoma) cells labeling Histone H3 with purified ab176842 at 1/40 dilution (10ug/ml) (red). Cells were fixed with 4% paraformaldehyde and permeabilised with 90% methanol. A Goat anti rabbit IgG (Alexa Fluor® 488) (1/2000 dilution) was used as the secondary antibody. Rabbit monoclonal IgG (Black) was used as the isotype control, cells without incubation with primary antibody and secondary antibody (Blue) was used as the unlabeled control.

ChIP - Anti-Histone H3 antibody [EPR16987] - Nuclear Marker and ChIP Grade (AB176842)
  • ChIP

Unknown

ChIP - Anti-Histone H3 antibody [EPR16987] - Nuclear Marker and ChIP Grade (AB176842)

Chromatin was prepared from HeLa cells according to the Abcam X-ChIP protocol. Cells were fixed with formaldehyde for 10 minutes. The ChIP was performed with 25μg of chromatin, 2μg of ab176842 (red), and 20μl of Protein A/G sepharose beads. No antibody was added to the beads control (grey). The immunoprecipitated DNA was quantified by real time PCR (Taqman approach for active and inactive loci, Sybr green approach for heterochromatic loci). Primers and probes are located in the first kb of the transcribed region.

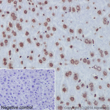
Immunohistochemistry (Formalin/PFA-fixed paraffin-embedded sections) - Anti-Histone H3 antibody [EPR16987] - Nuclear Marker and ChIP Grade (AB176842)
  • IHC-P

Supplier Data

Immunohistochemistry (Formalin/PFA-fixed paraffin-embedded sections) - Anti-Histone H3 antibody [EPR16987] - Nuclear Marker and ChIP Grade (AB176842)

Immunohistochemical analysis of paraffin-embedded Mouse liver tissue labeling Histone H3 with ab176842 at 1/500 dilution, followed by Goat Anti-Rabbit HRP (IgG H&L) secondary antibody (ab97051) at 1/500 dilution. Nuclear staining on mouse liver tissue is observed. Counter stained with Hematoxylin.

Negative control : Used PBS instead of primary antibody, secondary antibody Goat Anti-Rabbit IgG H&L (HRP) (ab97051) at 1/500 dilution.

Perform heat mediated antigen retrieval with Tris/EDTA buffer pH 9.0 before commencing with IHC staining protocol.

Immunohistochemistry (Formalin/PFA-fixed paraffin-embedded sections) - Anti-Histone H3 antibody [EPR16987] - Nuclear Marker and ChIP Grade (AB176842)
  • IHC-P

Supplier Data

Immunohistochemistry (Formalin/PFA-fixed paraffin-embedded sections) - Anti-Histone H3 antibody [EPR16987] - Nuclear Marker and ChIP Grade (AB176842)

Immunohistochemical analysis of paraffin-embedded Rat pancreas tissue labeling Histone H3 with ab176842 at 1/500 dilution, followed by Goat Anti-Rabbit HRP (IgG H&L) secondary antibody (ab97051) at 1/500 dilution. Nuclear staining on rat pancreas tissue is observed. Counter stained with Hematoxylin.

Negative control : Used PBS instead of primary antibody, secondary antibody Goat Anti-Rabbit IgG H&L (HRP) (ab97051) at 1/500 dilution.

Perform heat mediated antigen retrieval with Tris/EDTA buffer pH 9.0 before commencing with IHC staining protocol.

Western blot - Anti-Histone H3 antibody [EPR16987] - Nuclear Marker and ChIP Grade (AB176842)
  • WB

Supplier Data

Western blot - Anti-Histone H3 antibody [EPR16987] - Nuclear Marker and ChIP Grade (AB176842)

All lanes:

Western blot - Anti-RBCK1 antibody [EPR28157-53] (<a href='/en-us/products/primary-antibodies/rbck1-antibody-epr28157-53-ab309104'>ab309104</a>) at 1/1000 dilution

Lane 1:

HepG2 (human hepatocellar carcinoma epithelial cell) whole cell lysate at 20 µg

Lane 2:

HepG2 transfected with siRNA specifically targeti RBCK1 whole cell lysate at 20 µg

Secondary

All lanes:

Western blot - Goat Anti-Rabbit IgG H&L (HRP) (<a href='/en-us/products/secondary-antibodies/goat-rabbit-igg-h-l-hrp-ab97051'>ab97051</a>) at 1/100000 dilution

Observed band size: 57 kDa

false

Exposure time: 59s

Western blot - Anti-Histone H3 antibody [EPR16987] - Nuclear Marker and ChIP Grade (AB176842)
  • WB

Supplier Data

Western blot - Anti-Histone H3 antibody [EPR16987] - Nuclear Marker and ChIP Grade (AB176842)

Blocking and diluting buffer and concentration : 5% NFDM/TBST

Negative control : kidney (PMID : 11922625).

In Western blot, anti- H3 antibody (ab176842) loading control staining at 1/100000 dilution.

This blot was developed using a high sensitivity ECL substrate. The high-sensitivity ECL substrate used allows for the detection of proteins in the mid-femtogram range.

All lanes:

Western blot - Anti-DDX53/CT26 antibody [EPR27384-107] (<a href='/en-us/products/primary-antibodies/ddx53-ct26-antibody-epr27384-107-ab313333'>ab313333</a>) at 1/1000 dilution

Lane 1:

Human testis tissue nuclear fraction at 40 µg

Lane 2:

Human kidney tissue nuclear fraction at 40 µg

Secondary

All lanes:

Goat Anti-Rabbit IgG (HRP) with minimal cross-reactivity with human IgG at 1/2000 dilution

Observed band size: 74 kDa

true

Exposure time: 70s

Western blot - Anti-Histone H3 antibody [EPR16987] - Nuclear Marker and ChIP Grade (AB176842)
  • WB

Supplier Data

Western blot - Anti-Histone H3 antibody [EPR16987] - Nuclear Marker and ChIP Grade (AB176842)

Blocking and diluting buffer and concentration : 5% NFDM/TBST. This antibody does not cross-react with human BCAT1. In Western blot, anti-His antibody (ab213204) staining at 1/5000 dilution. In Western blot, anti-H3 antibody (ab176842) loading control staining at 1/100000 dilution. Exposure time : 1 second.

All lanes:

Western blot - Anti-BCAT2 antibody [EPR27488-72] (<a href='/en-us/products/primary-antibodies/bcat2-antibody-epr27488-72-ab307833'>ab307833</a>) at 1/1000 dilution

Lane 1:

293T (human embryonic kidney epithelial cell)cells transfected with an empty vector containing a his tag whole cell lysate at 20 µg

Lane 2:

293T cells transfected with a human BCAT2 expression vector containing a his tag whole cell lysate at 20 µg

Lane 3:

293T cells transfected with a human BCAT1 expression vector containing a his tag whole cell lysate at 20 µg

Secondary

All lanes:

Western blot - Goat Anti-Rabbit IgG H&L (HRP) (<a href='/en-us/products/secondary-antibodies/goat-rabbit-igg-h-l-hrp-ab97051'>ab97051</a>) at 1/20000 dilution

Predicted band size: 44 kDa

Observed band size: 37 kDa

false

Exposure time: 1s

Western blot - Anti-Histone H3 antibody [EPR16987] - Nuclear Marker and ChIP Grade (AB176842)
  • WB

Supplier Data

Western blot - Anti-Histone H3 antibody [EPR16987] - Nuclear Marker and ChIP Grade (AB176842)

The molecular weight observed is consistent with what has been described in the literature (PMID : 38240850).

The identity of the lower MW bands are unknown.

In Western blot, Anti-GAPDH antibody [EPR16891] - Loading Control (ab181602) staining at 1/200000 dilution.

In Western blot, Anti-Histone H3 antibody [EPR16987] - Nuclear Marker and ChIP Grade (ab176842) staining at 1/100000 dilution.

All lanes:

Western blot - Anti-SOX4 antibody [EPR28132-51] (<a href='/en-us/products/primary-antibodies/sox4-antibody-epr28132-51-ab316850'>ab316850</a>) at 1/1000 dilution

Lane 1:

DLD-1 (human colorectal adenocarcinoma epithelial cell) nuclear fraction at 20 µg

Lane 2:

DLD-1 cytoplasmic fraction at 20 µg

Secondary

All lanes:

Western blot - Goat Anti-Rabbit IgG H&L (HRP) (<a href='/en-us/products/secondary-antibodies/goat-rabbit-igg-h-l-hrp-ab97051'>ab97051</a>) at 1/20000 dilution

Observed band size: 70 kDa,36 kDa,15 kDa

false

Exposure time: 59s

Western blot - Anti-Histone H3 antibody [EPR16987] - Nuclear Marker and ChIP Grade (AB176842)
  • WB

Supplier Data

Western blot - Anti-Histone H3 antibody [EPR16987] - Nuclear Marker and ChIP Grade (AB176842)

Blocking and diluting buffer and concentration : 5% NFDM/TBST.

Puromycin is a naturally occurring aminonucleoside antibiotic that inhibits protein synthesis by ribosome-catalyzed incorporation into the C-terminus of elongating nascent chains, blocking further extension and resulting in premature termination of translation.

In Western blot, Anti-Histone H3 antibody [EPR16987] - Nuclear Marker and ChIP Grade (ab176842) staining at 1/100000 dilution.

Exposure time : Lane 1-2 : 1 second, Lane 3-4 : 6 seconds, Lane 5-6 : 3 seconds.

All lanes:

Western blot - Anti-Puromycin antibody [EPR27218-173] (<a href='/en-us/products/primary-antibodies/puromycin-antibody-epr27218-173-ab315887'>ab315887</a>) at 1/1000 dilution

Lane 1:

Untreated HeLa (human cervical adenocarcinoma epithelial cell) whole cell lysate at 20 µg

Lane 2:

HeLa treated with 1uM Puromycin for 30min whole cell lysate at 20 µg

Lane 3:

Untreated NIH/3T3 (mouse embryonic fibroblast) whole cell lysate at 20 µg

Lane 4:

NIH/3T3 treated with 1uM Puromycin for 30min whole cell lysate at 20 µg

Lane 5:

Untreated C6 (rat glial tumor glial cell) whole cell lysate at 20 µg

Lane 6:

C6 treated with 1uM Puromycin for 30min whole cell lysate at 20 µg

Secondary

All lanes:

Western blot - Goat Anti-Rabbit IgG H&L (HRP) (<a href='/en-us/products/secondary-antibodies/goat-rabbit-igg-h-l-hrp-ab97051'>ab97051</a>) at 1/20000 dilution

Observed band size: 10-250 kDa,15 kDa

false

Western blot - Anti-Histone H3 antibody [EPR16987] - Nuclear Marker and ChIP Grade (AB176842)
  • WB

Supplier Data

Western blot - Anti-Histone H3 antibody [EPR16987] - Nuclear Marker and ChIP Grade (AB176842)

Blocking and diluting buffer and concentration : 5% NFDM/TBST

Negative control : K562(PMID : 35134130)

The identity of the bands between 75 kDa and 25 kDa are unknown.

In Western blot, Anti-Histone H3 antibody [EPR16987] - Nuclear Marker and ChIP Grade (ab176842) staining at 1/100000 dilution.

All lanes:

Western blot - Anti-SEMA4A antibody [EPR27097-20] (<a href='/en-us/products/primary-antibodies/sema4a-antibody-epr27097-20-ab314648'>ab314648</a>) at 1/1000 dilution

Lane 1:

THP-1(human monocytic leukemia monocyte) membrane fraction at 50 µg

Lane 2:

THP-1 non-membrane fraction at 50 µg

Lane 3:

THP-1(human monocytic leukemia monocyte) whole cell lysate at 50 µg

Lane 4:

K562 (human chronic myelogenous leukemia lymphoblast) whole cell lysate at 50 µg

Secondary

All lanes:

Goat Anti-Rabbit IgG (HRP) with minimal cross-reactivity with human IgG at 1/5000 dilution

Observed band size: 84 kDa,15 kDa

false

Exposure time: 180s

Western blot - Anti-Histone H3 antibody [EPR16987] - Nuclear Marker and ChIP Grade (AB176842)
  • WB

Supplier Data

Western blot - Anti-Histone H3 antibody [EPR16987] - Nuclear Marker and ChIP Grade (AB176842)

Blocking and diluting buffer and concentration : 5% NFDM/TBST.

Low expression : huh7.

The molecular weight observed is consistent with what has been described in the literature (PMID : 9525922).

In Western blot, Anti-Histone H3 antibody [EPR16987] - Nuclear Marker and ChIP Grade (ab176842) staining at 1/100000 dilution.

All lanes:

Western blot - Anti-Histidine decarboxylase antibody [EPR26392-79] (<a href='/en-us/products/primary-antibodies/histidine-decarboxylase-antibody-epr26392-79-ab315444'>ab315444</a>) at 1/1000 dilution

Lane 1:

KU812 (human Peripheral blood basophil) whole cell lysate at 80 µg

Lane 2:

SR (human pleural effusion lymphoblast) whole cell lysate at 80 µg

Lane 3:

Huh7 (human hepatocellar carcinoma epithelial cell) whole cell lysate at 80 µg

Secondary

All lanes:

Goat Anti-Rabbit IgG (HRP) with minimal cross-reactivity with human IgG at 1/2000 dilution

Observed band size: 53 kDa,74 kDa,15 kDa

false

Exposure time: 81s

Western blot - Anti-Histone H3 antibody [EPR16987] - Nuclear Marker and ChIP Grade (AB176842)
  • WB

Supplier Data

Western blot - Anti-Histone H3 antibody [EPR16987] - Nuclear Marker and ChIP Grade (AB176842)

In Western blot, ab315464 was shown to bind specifically to KMT2A. A band was observed at 180 kDa in wild-type HAP1 cell lysates whereas no signal observed at this size in KMT2A knockout cell line.

Blocking and diluting buffer and concentration : 5% NFDM/TBST.

This antibody has cross reaction with human KMT2B, band at 80 kDa represents KMT2B C-terminal protein.

Lysates were freshly made and used immediately to minimize protein degradation.

There is an unknown band at ~20 kDa.

In Western blot, Anti-Histone H3 antibody [EPR16987] - Nuclear Marker and ChIP Grade (ab176842) staining at 1/100000 dilution.

All lanes:

Western blot - Anti-KMT2A / MLL + KMT2B / MLL4 antibody [EPR28282-16] - C-terminal (<a href='/en-us/products/primary-antibodies/kmt2a-mll-kmt2b-mll4-antibody-epr28282-16-c-terminal-ab315464'>ab315464</a>) at 1/1000 dilution

Lane 1:

Wild-type HAP1 (human chronic myelogenous leukemia near-haploid cell) whole cell lysate at 20 µg

Lane 2:

KMT2A knockout HAP1 whole cell lysate at 20 µg

Secondary

All lanes:

Western blot - Goat Anti-Rabbit IgG H&L (HRP) (<a href='/en-us/products/secondary-antibodies/goat-rabbit-igg-h-l-hrp-ab97051'>ab97051</a>) at 1/100000 dilution

Observed band size: 180 kDa,80 kDa,15 kDa

false

Exposure time: 81s

Western blot - Anti-Histone H3 antibody [EPR16987] - Nuclear Marker and ChIP Grade (AB176842)
  • WB

Supplier Data

Western blot - Anti-Histone H3 antibody [EPR16987] - Nuclear Marker and ChIP Grade (AB176842)

The identity of the higher MW bands are unknown.

In Western blot, Anti-Histone H3 antibody [EPR16987] - Nuclear Marker and ChIP Grade (ab176842) staining at 1/100000 dilution.

In Western blot, Anti-MYL9 antibody [EPR13012 (2)] (ab191393) staining at 1/1000 dilution.

All lanes:

Western blot - Anti-MYL9 (pS20) + MYL12A (pS19) + MYL12B (pS20) antibody [EPR27203-65] (<a href='/en-us/products/primary-antibodies/myl9-ps20-myl12a-ps19-myl12b-ps20-antibody-epr27203-65-ab316750'>ab316750</a>) at 1/1000 dilution

Lane 1:

Untreated HeLa (human epithelial cell line from cervical adenocarcinoma) whole cell lysate (untreated membrane) at 45 µg

Lane 2:

HeLa treated with 100ng/ml Calyculin A for 15 minutes, whole cell lysate (untreated membrane) at 45 µg

Lane 3:

Untreated HeLa (human epithelial cell line from cervical adenocarcinoma) whole cell lysate (alkaline phosphatase treated membrane) at 45 µg

Lane 4:

HeLa treated with 100ng/ml Calyculin A for 15 minutes, whole cell lysate (alkaline phosphatase treated membrane) at 45 µg

Secondary

All lanes:

Western blot - Goat Anti-Rabbit IgG H&L (HRP) (<a href='/en-us/products/secondary-antibodies/goat-rabbit-igg-h-l-hrp-ab97051'>ab97051</a>) at 1/20000 dilution

Observed band size: 20 kDa,15 kDa

false

Exposure time: 70s

Western blot - Anti-Histone H3 antibody [EPR16987] - Nuclear Marker and ChIP Grade (AB176842)
  • WB

Supplier Data

Western blot - Anti-Histone H3 antibody [EPR16987] - Nuclear Marker and ChIP Grade (AB176842)

Blocking and diluting buffer and concentration : 5% NFDM/TBST.

Negative control : SH-SY5Y (PMID : 30650643 and PMID : 27345400)

In Western blot, Anti-Histone H3 antibody [EPR16987] - Nuclear Marker and ChIP Grade (ab176842) staining at 1/100000 dilution.

All lanes:

Western blot - Anti-Cytokeratin 19 antibody [EP1580Y] - Mouse IgG2a (Chimeric) (<a href='/en-us/products/primary-antibodies/cytokeratin-19-antibody-ep1580y-mouse-igg2a-chimeric-ab323562'>ab323562</a>) at 1/1000 dilution

Lane 1:

MCF7 (human breast adenocarcinoma epithelial cell) whole cell lysate at 20 µg

Lane 2:

SH-SY5Y (human neuroblastoma epithelial cell) whole cell lysate at 40 µg

Secondary

All lanes:

Western blot - Goat Anti-Mouse IgG Fc (HRP) preadsorbed (<a href='/en-us/products/secondary-antibodies/goat-mouse-igg-fc-hrp-preadsorbed-ab98717'>ab98717</a>) at 1/20000 dilution

Observed band size: 44 kDa,17 kDa

false

Exposure time: 4s

Western blot - Anti-Histone H3 antibody [EPR16987] - Nuclear Marker and ChIP Grade (AB176842)
  • WB

Supplier Data

Western blot - Anti-Histone H3 antibody [EPR16987] - Nuclear Marker and ChIP Grade (AB176842)

Negative control : Jurkat

Low expression : liver

In Western blot, Anti-Histone H3 antibody [EPR16987] - Nuclear Marker and ChIP Grade (ab176842) staining at 1/100000 dilution.

Exposure time : Lane1-2 : 15seconds, lane3-5 : 180 seconds

All lanes:

Western blot - Anti-MNDA antibody [EPR28267-44] (<a href='/en-us/products/primary-antibodies/mnda-antibody-epr28267-44-ab316967'>ab316967</a>) at 1/1000 dilution

Lane 1:

U-937 (human histiocytic lymphoma monocyte) whole cell lysate at 20 µg

Lane 2:

Jurkat (human t cell leukemia t lymphocyte from peripheral blood) whole cell lysate at 20 µg

Lane 3:

Human spleen tissue lysate at 20 µg

Lane 4:

Human tonsil tissue lysate at 20 µg

Lane 5:

Human liver tissue lysate at 20 µg

Secondary

All lanes:

Western blot - Goat Anti-Rabbit IgG H&L (HRP) (<a href='/en-us/products/secondary-antibodies/goat-rabbit-igg-h-l-hrp-ab97051'>ab97051</a>) at 1/100000 dilution

Observed band size: 27 kDa,15 kDa

false

Western blot - Anti-Histone H3 antibody [EPR16987] - Nuclear Marker and ChIP Grade (AB176842)
  • WB

Supplier Data

Western blot - Anti-Histone H3 antibody [EPR16987] - Nuclear Marker and ChIP Grade (AB176842)

Negative control : Hela (PMID : 35164755), PANC-1

The molecular weight observed is consistent with what has been described in the literature (PMID : 36631513).

Samples are non-boiled as boiling may cause protein aggregation.

In Western blot, Anti-Histone H3 antibody [EPR16987] - Nuclear Marker and ChIP Grade (ab176842) staining at 1/100000 dilution.

All lanes:

Western blot - Anti-VE Cadherin antibody [RM2022] (<a href='/en-us/products/primary-antibodies/ve-cadherin-antibody-rm2022-ab318152'>ab318152</a>) at 1/1000 dilution

Lane 1:

HUVEC (human umbilical vein endothelial cell) whole cell lysate at 20 µg

Lane 2:

HeLa (human cervical adenocarcinoma epithelial cell) whole cell lysate at 20 µg

Lane 3:

PANC-1 (human pancreatic epithelioid carcinoma epithelial cell) whole cell lysate at 20 µg

Secondary

All lanes:

Goat Anti-Rabbit IgG (HRP) with minimal cross-reactivity with human IgG at 1/2000 dilution

Observed band size: 75-120 kDa,15 kDa

false

Exposure time: 15s

Western blot - Anti-Histone H3 antibody [EPR16987] - Nuclear Marker and ChIP Grade (AB176842)
  • WB

Lab

Western blot - Anti-Histone H3 antibody [EPR16987] - Nuclear Marker and ChIP Grade (AB176842)

Blocking and diluting buffer and concentration : 5% NFDM/TBST.

In Western blot, ab322735 was shown to bind specifically to ATP13A2. Target of interest was observed at 150 kDa in wild-type HEK-293 cell lysates (lane 1) with no signal observed at this size in ATP13A2 knockout cell line (lane 2)(knockout cell line ab274925)(knockout lysate ab274983)

Samples are non-boiled as boiling may cause protein aggregation.

In Western blot, Anti-Histone H3 antibody [EPR16987] - Nuclear Marker and ChIP Grade (ab176842) 1 : 100000 (15Kda).

All lanes:

Western blot - Anti-ATP13A2 antibody [MJF-D29756-28] (<a href='/en-us/products/primary-antibodies/atp13a2-antibody-mjf-d29756-28-ab322735'>ab322735</a>) at 1/1000 dilution

Lane 1:

HEK-293 (human embryonic kidney epithelial cell) whole cell lysate at 50 µg

Lane 2:

Western blot - Human ATP13A2 knockout HEK-293 cell lysate (<a href='/en-us/products/cell-lysates/human-atp13a2-knockout-hek-293-cell-lysate-ab274983'>ab274983</a>) at 50 µg

Secondary

All lanes:

Goat Anti-Rabbit IgG (HRP) with minimal cross-reactivity with human IgG at 1/2000 dilution

Observed band size: 150 kDa,15 kDa

false

Exposure time: 92s

Western blot - Anti-Histone H3 antibody [EPR16987] - Nuclear Marker and ChIP Grade (AB176842)
  • WB

Supplier Data

Western blot - Anti-Histone H3 antibody [EPR16987] - Nuclear Marker and ChIP Grade (AB176842)

Blocking and diluting buffer and concentration : 5% NFDM/TBST.

Low expression : liver

EphA4 full-length is approximately 120 kDa, band around 45 kDa is EphA4-ICD (PMID : 31879527).

The identity of the lower MW band at approximately 25 kDa is unknown.

All lanes:

Western blot - Anti-Eph receptor A4/SEK antibody [EPR30307-560] (<a href='/en-us/products/primary-antibodies/eph-receptor-a4-sek-antibody-epr30307-560-ab324353'>ab324353</a>) at 1/1000 dilution

Lane 1:

A-172 (human brain glioblastoma cell ) whole cell lysate at 20 µg

Lane 2:

HT-1376 (human urinary bladder carcinoma epithelial cell) whole cell lysate at 20 µg

Lane 3:

Human cerebellum tissue lysate at 20 µg

Lane 4:

Human liver tissue lysate at 20 µg

Secondary

All lanes:

Goat Anti-Rabbit IgG (HRP) with minimal cross-reactivity with human IgG at 1/2000 dilution

Observed band size: 120 kDa,45 kDa,15 kDa

false

Exposure time: 6s

Western blot - Anti-Histone H3 antibody [EPR16987] - Nuclear Marker and ChIP Grade (AB176842)
  • WB

Supplier Data

Western blot - Anti-Histone H3 antibody [EPR16987] - Nuclear Marker and ChIP Grade (AB176842)

Blocking and diluting buffer and concentration : 5% NFDM/TBST.

Performed under reducing conditions.

In Western blot, ab324563 was shown to bind specifically to NEDD4. Target of interest was observed at 115 kDa in wild-type HAP1 cell lysates (lane 2) with no signal observed at this size in NEDD4 knockout cell line (lane 1) (lane 1, knockout cell line ab

ab256783).

To minimize protein degradation, cells/tissues were lysed immediately after harvest and then applied to a gel and transfer membrane for Western blotting as soon as possible.

The samples are unboiled.

All lanes:

Western blot - Anti-NEDD4 antibody [EPR30127-570] (<a href='/en-us/products/primary-antibodies/nedd4-antibody-epr30127-570-ab324563'>ab324563</a>) at 1/1000 dilution

Lane 1:

NEDD4 knockout parental HAP1 (human chronic myelogenous leukemia near-haploid cell ) whole cell lysate at 20 µg

Lane 2:

Parental HAP1 whole cell lysate at 20 µg

Secondary

All lanes:

Western blot - Goat Anti-Rabbit IgG H&L (HRP) (<a href='/en-us/products/secondary-antibodies/goat-rabbit-igg-h-l-hrp-ab97051'>ab97051</a>) at 1/100000 dilution

Observed band size: 115 kDa,15 kDa

false

Exposure time: 37s

Western blot - Anti-Histone H3 antibody [EPR16987] - Nuclear Marker and ChIP Grade (AB176842)
  • WB

Supplier Data

Western blot - Anti-Histone H3 antibody [EPR16987] - Nuclear Marker and ChIP Grade (AB176842)

ErbB2 / HER2 (phospho Y1221 + Y1222) expression can be induced by EGF treatment (PMID : 7728765).

In Western blot, Anti-Histone H3 antibody [EPR16987] - Nuclear Marker and ChIP Grade (ab176842) staining at 1/100000 dilution.

In Western blot, Anti-ErbB2 / HER2 antibody - Total protein control (ab214275) staining at 1/1000 dilution.

All lanes:

Western blot - Anti-ErbB2 / HER2 (phospho Y1221 + Y1222) antibody [EPR28391-67] (<a href='/en-us/products/primary-antibodies/erbb2-her2-phospho-y1221-y1222-antibody-epr28391-67-ab316758'>ab316758</a>) at 1/1000 dilution

Lane 1:

Untreated HeLa (human cervix adenocarcinoma epithelial cell) starved for 4 hours whole cell lysate (untreated membrane) at 20 µg

Lane 2:

HeLa starved for 4 hours, then treated with /ml EGF for 15 minutes whole cell lysate (untreated membrane) at 20 µg

Lane 3:

HeLa starved for 4 hours, then treated with /ml EGF for 15 minutes whole cell lysate (alkaline phosphatase treated membrane) at 20 µg

Secondary

All lanes:

Western blot - Goat Anti-Rabbit IgG H&L (HRP) (<a href='/en-us/products/secondary-antibodies/goat-rabbit-igg-h-l-hrp-ab97051'>ab97051</a>) at 1/100000 dilution

Observed band size: 180 kDa,15 kDa

false

Exposure time: 81s

Western blot - Anti-Histone H3 antibody [EPR16987] - Nuclear Marker and ChIP Grade (AB176842)
  • WB

Supplier Data

Western blot - Anti-Histone H3 antibody [EPR16987] - Nuclear Marker and ChIP Grade (AB176842)

In Western blot, Anti-Histone H3 antibody [EPR16987] - Nuclear Marker and ChIP Grade (ab176842) staining at 1/100000 dilution.

In Western blot, Anti-ErbB2 / HER2 antibody - Total protein control (ab214275) staining at 1/1000 dilution.

All lanes:

Western blot - Anti-ErbB2 / HER2 (phospho Y1221 + Y1222) antibody [EPR28391-67] (<a href='/en-us/products/primary-antibodies/erbb2-her2-phospho-y1221-y1222-antibody-epr28391-67-ab316758'>ab316758</a>) at 1/1000 dilution

Lane 1:

Untreated T47D (human ductal breast epithelial tumor epithelial cell) starved for 4 hours whole cell lysate (untreated membrane) at 20 µg

Lane 2:

T47D starved for 4 hours, then treated with /ml Neuregulin for 10 minutes whole cell lysate (untreated membrane) at 20 µg

Lane 3:

T47D starved for 4 hours, then treated with /ml Neuregulin for 10 minutes whole cell lysate (alkaline phosphatase treated membrane) at 20 µg

Secondary

All lanes:

Western blot - Goat Anti-Rabbit IgG H&L (HRP) (<a href='/en-us/products/secondary-antibodies/goat-rabbit-igg-h-l-hrp-ab97051'>ab97051</a>) at 1/100000 dilution

Observed band size: 180 kDa,15 kDa

false

Exposure time: 103s

Western blot - Anti-Histone H3 antibody [EPR16987] - Nuclear Marker and ChIP Grade (AB176842)
  • WB

Lab

Western blot - Anti-Histone H3 antibody [EPR16987] - Nuclear Marker and ChIP Grade (AB176842)

Blocking and diluting buffer and concentration : 5% NFDM/TBST. ab181602 was used as GAPDH loading control. ab176842 was for Histone H3 detection.

All lanes:

Western blot - Anti-Histone H3 (acetyl K9) antibody [Y28] - ChIP Grade (<a href='/en-us/products/primary-antibodies/histone-h3-acetyl-k9-antibody-y28-chip-grade-ab32129'>ab32129</a>) at 1/10000 dilution

Lane 1:

HeLa (Human cervix adenocarcinoma epithelial cell) whole cell lysate at 15 µg

Lane 2:

HeLa (Human cervix adenocarcinoma epithelial cell) treated with 500ng/ml Trichostatin A for 4 hours whole cell lysate at 15 µg

Secondary

All lanes:

Western blot - Goat Anti-Rabbit IgG H&L (HRP) (<a href='/en-us/products/secondary-antibodies/goat-rabbit-igg-h-l-hrp-ab97051'>ab97051</a>) at 1/20000 dilution

Predicted band size: 15 kDa

Observed band size: 15 kDa

false

Western blot - Anti-Histone H3 antibody [EPR16987] - Nuclear Marker and ChIP Grade (AB176842)
  • WB

Lab

Western blot - Anti-Histone H3 antibody [EPR16987] - Nuclear Marker and ChIP Grade (AB176842)

Blocking and diluting buffer and concentration : 5% NFDM/TBST.

The antibody reacts with both the ROR gamma and ROR gamma t isoforms.

In Western blot, Anti-Histone H3 antibody [EPR16987] - Nuclear Marker and ChIP Grade (ab176842) 1 : 100000 (15Kda);
Anti-6X His tag® antibody [EPR20547] - ChIP Grade (ab213204) (1 : 5000)(37,55kDa).

All lanes:

Western blot - Anti-ROR gamma antibody [EPR27137-10] (<a href='/en-us/products/primary-antibodies/ror-gamma-antibody-epr27137-10-ab325651'>ab325651</a>) at 1/1000 dilution

Lane 1:

293T (human embryonic kidney epithelial cell) cells transfected with an empty vector containing a myc-His-tag® whole cell lysate at 20 µg

Lane 2:

293T cells transfected with human ROR gamma t expression vector containing a myc-His-tag® whole cell lysate at 20 µg

Lane 3:

293T cells transfected with human ROR gamma expression vector containing a myc-His-tag® whole cell lysate at 10 µg

Secondary

All lanes:

Western blot - Goat Anti-Rabbit IgG H&L (HRP) (<a href='/en-us/products/secondary-antibodies/goat-rabbit-igg-h-l-hrp-ab97051'>ab97051</a>) at 1/100000 dilution

Observed band size: 37 kDa,55 kDa,15 kDa

false

Exposure time: 180s

Western blot - Anti-Histone H3 antibody [EPR16987] - Nuclear Marker and ChIP Grade (AB176842)
  • WB

Supplier Data

Western blot - Anti-Histone H3 antibody [EPR16987] - Nuclear Marker and ChIP Grade (AB176842)

In Western blot, Anti-Histone H3 antibody [EPR16987] - Nuclear Marker and ChIP Grade (ab176842) staining at 1/100000 dilution.

All lanes:

Western blot - Anti-AIMP2/p38 antibody [EPR29127-48] (<a href='/en-us/products/primary-antibodies/aimp2-p38-antibody-epr29127-48-ab316937'>ab316937</a>) at 1/1000 dilution

Lane 1:

HeLa (human cervical adenocarcinoma epithelial cell) transfected with scrambled siRNA control whole cell lysate at 20 µg

Lane 2:

HeLa transfected with siRNA specifically targeting AIMP2 whole cell lysate at 20 µg

Secondary

All lanes:

Western blot - Goat Anti-Rabbit IgG H&L (HRP) (<a href='/en-us/products/secondary-antibodies/goat-rabbit-igg-h-l-hrp-ab97051'>ab97051</a>) at 1/100000 dilution

Observed band size: 35 kDa,15 kDa

false

Exposure time: 180s

Western blot - Anti-Histone H3 antibody [EPR16987] - Nuclear Marker and ChIP Grade (AB176842)
  • WB

Lab

Western blot - Anti-Histone H3 antibody [EPR16987] - Nuclear Marker and ChIP Grade (AB176842)

Blocking and diluting buffer and concentration : 5% NFDM/TBST.

The identity of the lower MW band at approximately 15 kDa is unknown.

In Western blot, Anti-Histone H3 antibody [EPR16987] - Nuclear Marker and ChIP Grade (ab176842) 1 : 100000 (15Kda).

Exposure time : Lane 1 : 180 seconds, lane 2 : 26 seconds

All lanes:

Western blot - Anti-Histone H2A (ubiquityl K119) antibody [EPR28331-576] (<a href='/en-us/products/primary-antibodies/histone-h2a-ubiquityl-k119-antibody-epr28331-576-ab325796'>ab325796</a>) at 1/1000 dilution

Lane 1:

HeLa (human cervical adenocarcinoma epithelial cell) histone fraction at 20 µg

Lane 2:

NIH/3T3 (mouse embryonic fibroblast) histone fraction at 20 µg

Secondary

All lanes:

Western blot - Goat Anti-Rabbit IgG H&L (HRP) (<a href='/en-us/products/secondary-antibodies/goat-rabbit-igg-h-l-hrp-ab97051'>ab97051</a>) at 1/20000 dilution

Observed band size: 22 kDa,15 kDa

false

Western blot - Anti-Histone H3 antibody [EPR16987] - Nuclear Marker and ChIP Grade (AB176842)
  • WB

Supplier Data

Western blot - Anti-Histone H3 antibody [EPR16987] - Nuclear Marker and ChIP Grade (AB176842)

Blocking and diluting buffer and concentration : 5% NFDM/TBST.

Low expression : pancreas, colon.

In Western blot, Anti-Histone H3 antibody [EPR16987] - Nuclear Marker and ChIP Grade (ab176842) staining at 1/100000 dilution.

All lanes:

Western blot - Anti-Aldolase C antibody [EPR26896-61] - C-terminal (<a href='/en-us/products/primary-antibodies/aldolase-c-antibody-epr26896-61-c-terminal-ab323506'>ab323506</a>) at 1/1000 dilution

Lane 1:

Human cerebellum tissue lysate at 20 µg

Lane 2:

Human pancreas tissue lysate at 20 µg

Lane 3:

Human colon tissue lysate at 20 µg

Secondary

All lanes:

Goat Anti-Rabbit IgG (HRP) with minimal cross-reactivity with human IgG at 1/2000 dilution

Observed band size: 39 kDa,15 kDa

false

Exposure time: 1s

Western blot - Anti-Histone H3 antibody [EPR16987] - Nuclear Marker and ChIP Grade (AB176842)
  • WB

Supplier Data

Western blot - Anti-Histone H3 antibody [EPR16987] - Nuclear Marker and ChIP Grade (AB176842)

CD226 is a glycoprotein of approximately 60-90 kDa and detected as a 37-kDa band after treated with Peptide : N-glycosidase F (PNGase F).

In Western blot, Anti-Histone H3 antibody [EPR16987] - Nuclear Marker and ChIP Grade (ab176842) staining at 1/100000 dilution.

Blocking and dilution buffer and concentration : 5% NFDM/TBST

All lanes:

Western blot - Anti-CD226 antibody [RM2068] (<a href='/en-us/products/primary-antibodies/cd226-antibody-rm2068-ab320009'>ab320009</a>) at 1/1000 dilution

Lane 1:

Untreated HEL (human erythroleukemia erythroblast) whole cell lysate at 20 µg

Lane 2:

HEL whole cell lysate treated with Peptide:N-glycosidase F (PNGase F) at 20 µg

Secondary

All lanes:

Western blot - Goat Anti-Rabbit IgG H&L (HRP) (<a href='/en-us/products/secondary-antibodies/goat-rabbit-igg-h-l-hrp-ab97051'>ab97051</a>) at 1/20000 dilution

Observed band size: 37 kDa,60-90 kDa,15 kDa

false

Exposure time: 26s

Western blot - Anti-Histone H3 antibody [EPR16987] - Nuclear Marker and ChIP Grade (AB176842)
  • WB

Supplier Data

Western blot - Anti-Histone H3 antibody [EPR16987] - Nuclear Marker and ChIP Grade (AB176842)

Low expression : spleen (PMID : 2171047).

In Western blot, Anti-Histone H3 antibody [EPR16987] - Nuclear Marker and ChIP Grade (ab176842) staining at 1/100000 dilution.

All lanes:

Western blot - Anti-DBI antibody [EPR28926-2] (<a href='/en-us/products/primary-antibodies/dbi-antibody-epr28926-2-ab317823'>ab317823</a>) at 1/1000 dilution

Lane 1:

Human liver tissue lysate at 20 µg

Lane 2:

Human cerebellum tissue lysate at 20 µg

Lane 3:

Human spleen tissue lysate at 20 µg

Secondary

All lanes:

Goat Anti-Rabbit IgG (HRP) with minimal cross-reactivity with human IgG at 1/2000 dilution

Observed band size: 11 kDa,36 kDa

false

Exposure time: 180s

Western blot - Anti-Histone H3 antibody [EPR16987] - Nuclear Marker and ChIP Grade (AB176842)
  • WB

Lab

Western blot - Anti-Histone H3 antibody [EPR16987] - Nuclear Marker and ChIP Grade (AB176842)

Blocking and diluting buffer and concentration : 5% NFDM/TBST.

Performed under reducing conditions.

In Western blot, ab325424 was shown to bind specifically to SUFU. Target of interest was observed at 30, 35, 53 kDa in wild-type HAP1cell lysates (lane 1) and in wild-type HEK cell lysates (lane 3) with no signal observed at this size in SUFU knockout HAP1cell line (lane 2) and SUFU knockout HEK293T cell line (lane 4, knockout cell line ab267282 / knockout cell lysate ab257718).

The low MW band are due to degradation.

In Western blot, Anti-Histone H3 antibody [EPR16987] - Nuclear Marker and ChIP Grade (ab176842) 1 : 100000 (15Kda).

All lanes:

Western blot - Anti-SUFU antibody [EPR30547-60] (<a href='/en-us/products/primary-antibodies/sufu-antibody-epr30547-60-ab325424'>ab325424</a>) at 1/1000 dilution

Lane 1:

Parental HAP1 (human chronic myelogenous leukemia near-haploid cell) whole cell lysate at 20 µg

Lane 2:

SUFU knockout HAP1 whole cell lysate at 20 µg

Lane 3:

Parental HEK293T (human embryonic kidney epithelial cell) whole cell lysate at 20 µg

Lane 4:

SUFU knockout HEK293T whole cell lysate at 20 µg

Lane 5:

HEL (human erythroleukemia erythroblast) whole cell lysate at 20 µg

Lane 6:

293T whole cell lysate at 20 µg

Lane 7:

NIH/3T3 (mouse embryonic fibroblast) whole cell lysate at 20 µg

Secondary

All lanes:

Western blot - Goat Anti-Rabbit IgG H&L (HRP) (<a href='/en-us/products/secondary-antibodies/goat-rabbit-igg-h-l-hrp-ab97051'>ab97051</a>) at 1/100000 dilution

Observed band size: 30 kDa,35 kDa,53 kDa,37 kDa

false

Exposure time: 15s

Western blot - Anti-Histone H3 antibody [EPR16987] - Nuclear Marker and ChIP Grade (AB176842)
  • WB

Supplier Data

Western blot - Anti-Histone H3 antibody [EPR16987] - Nuclear Marker and ChIP Grade (AB176842)

The expression of Histone H3 (propionyl K23) is upregulated in response to sodium propionate treatment (PMID : 32010779).

The identity of the bands above 37 kDa are unknown.

In Western blot, Anti-GAPDH antibody [EPR16891] - Loading Control (ab181602) staining at 1/200000 dilution.

In Western blot, Anti-Histone H3 antibody [EPR16987] - Nuclear Marker and ChIP Grade (ab176842) staining at 1/100000 dilution.

All lanes:

Western blot - Anti-Histone H3 (propionyl K23) antibody [EPR28672-86] (<a href='/en-us/products/primary-antibodies/histone-h3-propionyl-k23-antibody-epr28672-86-ab317819'>ab317819</a>) at 1/1000 dilution

Lane 1:

Untreated HepG2 (human hepatocellar carcinoma epithelial cell) whole cell lysate at 20 µg

Lane 2:

HepG2 treated with 10mM sodium propionate for 4 hours whole cell lysate at 20 µg

Lane 3:

Untreated HeLa (human cervical adenocarcinoma epithelial cell) whole cell lysate at 20 µg

Lane 4:

Hela treated with 10mM sodium propionate for 4 hours whole cell lysate at 20 µg

Lane 5:

Untreated MEF (mouse embryo fibroblast) whole cell lysate at 20 µg

Lane 6:

MEF treated with 10mM sodium propionate for 24 hours whole cell lysate at 20 µg

Secondary

All lanes:

Western blot - Goat Anti-Rabbit IgG H&L (HRP) (<a href='/en-us/products/secondary-antibodies/goat-rabbit-igg-h-l-hrp-ab97051'>ab97051</a>) at 1/20000 dilution

Observed band size: 15 kDa,36 kDa

false

Exposure time: 180s

Western blot - Anti-Histone H3 antibody [EPR16987] - Nuclear Marker and ChIP Grade (AB176842)
  • WB

Supplier Data

Western blot - Anti-Histone H3 antibody [EPR16987] - Nuclear Marker and ChIP Grade (AB176842)

The expression of TOPBP1 S1138 is upregulated in response to hydroxyurea treatment (PMID : 17446169).

Lysates were freshly made and used for Western blotting immediately to minimize protein degradation.

In Western blot, Anti-Histone H3 antibody [EPR16987] - Nuclear Marker and ChIP Grade (ab176842) staining at 1/100000 dilution.

In Western blot, Anti-TOPBP1 antibody staining at 1/1000 dilution.

All lanes:

Western blot - Anti-TopBP1 (phospho S1138) antibody [EPR27056-2] (<a href='/en-us/products/primary-antibodies/topbp1-phospho-s1138-antibody-epr27056-2-ab316746'>ab316746</a>) at 1/1000 dilution

Lane 1:

Untreated U-2 OS (human bone osteosarcoma epithelial cell) whole cell lysate (untreated membrane) at 30 µg

Lane 2:

U-2 OS treated with 2mM hydroxyurea for 24h whole cell lysate (untreated membrane) at 30 µg

Lane 3:

U-2 OS treated with 2mM hydroxyurea for 24h whole cell lysate (alkaline phosphatase treated membrane) at 30 µg

Secondary

All lanes:

Western blot - Goat Anti-Rabbit IgG H&L (HRP) (<a href='/en-us/products/secondary-antibodies/goat-rabbit-igg-h-l-hrp-ab97051'>ab97051</a>) at 1/20000 dilution

Observed band size: 170 kDa,15 kDa

false

Exposure time: 92s

Western blot - Anti-Histone H3 antibody [EPR16987] - Nuclear Marker and ChIP Grade (AB176842)
  • WB

Supplier Data

Western blot - Anti-Histone H3 antibody [EPR16987] - Nuclear Marker and ChIP Grade (AB176842)

Blocking and diluting buffer and concentration : 5% NFDM/TBST.

Low expression : Calu-3.

The identity of the bands higher than 50 kDa are unknown.

In Western blot, Anti-Histone H3 antibody [EPR16987] - Nuclear Marker and ChIP Grade (ab176842) staining at 1/100000 dilution.

All lanes:

Western blot - Anti-Aldolase C antibody [EPR26896-61] - C-terminal (<a href='/en-us/products/primary-antibodies/aldolase-c-antibody-epr26896-61-c-terminal-ab323506'>ab323506</a>) at 1/1000 dilution

Lane 1:

U-87 MG (human glioblastoma-astrocytoma epithelial cell) whole cell lysate at 20 µg

Lane 2:

LNCaP (human prostate carcinoma epithelial cell) whole cell lysate at 20 µg

Lane 3:

Calu-3 (human lung adenocarcinoma epithelial cell) whole cell lysate at 20 µg

Lane 4:

RAW 264.7 (mouse Abelson murine leukemia virus-induced tumor macrophage) whole cell lysate at 20 µg

Secondary

All lanes:

Western blot - Goat Anti-Rabbit IgG H&L (HRP) (<a href='/en-us/products/secondary-antibodies/goat-rabbit-igg-h-l-hrp-ab97051'>ab97051</a>) at 1/20000 dilution

Observed band size: 39 kDa,15 kDa

false

Exposure time: 8s

Western blot - Anti-Histone H3 antibody [EPR16987] - Nuclear Marker and ChIP Grade (AB176842)
  • WB

Lab

Western blot - Anti-Histone H3 antibody [EPR16987] - Nuclear Marker and ChIP Grade (AB176842)

This blot was produced using a 4-12% Bis-tris gel under the MES buffer system. The gel was run at 200V for 35 minutes before being transferred onto a Nitrocellulose membrane at 30V for 70 minutes. The membrane was then blocked for an hour using 2% Bovine Serum Albumin before being incubated with ab176842 overnight at 4°C. Antibody binding was detected using an anti-rabbit antibody conjugated to HRP, and visualised using ECL development solution ab133406.

All lanes:

Western blot - Anti-Histone H3 antibody [EPR16987] - Nuclear Marker and ChIP Grade (ab176842) at 1 µg

Lane 1:

HeLa (Human epithelial carcinoma cell line) Whole Cell Lysate at 10 µg

Lane 2:

NIH 3T3 (Mouse embryonic fibroblast cell line) Whole Cell Lysate at 10 µg

Lane 3:

Drosophila embryo nuclear extract (from melanogaster embryos 0-12hr) at 10 µg

Lane 4:

S.cerevisiae (Y190) Whole Cell Lysate at 20 µg

Lane 5:

S.pombe Whole Cell Lysate at 20 µg

Secondary

All lanes:

Peroxidase AffiniPure Goat Anti-Rabbit IgG (H+L) at 1/50000 dilution

Predicted band size: 15 kDa

Observed band size: 17 kDa

true

Exposure time: 5s

Western blot - Anti-Histone H3 antibody [EPR16987] - Nuclear Marker and ChIP Grade (AB176842)
  • WB

Lab

Western blot - Anti-Histone H3 antibody [EPR16987] - Nuclear Marker and ChIP Grade (AB176842)

Blocking and diluting buffer and concentration : 5% NFDM/TBST.

In Western blot, Anti-Histone H3 antibody [EPR16987] - Loading Control (ab176842) (1 : 100000) (36KDa); Anti-6X His tag® antibody [EPR20547] - ChIP Grade (ab213204) (1 : 5000)(150-250kDa).

All lanes:

Western blot - Anti-SOS1 (phospho Y1196) antibody [TF7-28-23] (<a href='/en-us/products/primary-antibodies/sos1-phospho-y1196-antibody-tf7-28-23-ab325591'>ab325591</a>) at 1/1000 dilution

Lane 1:

293T (human embryonic kidney epithelial cell) transfected with an empty vector containing a myc-His-tag® whole cell lysate at 20 µg

Lane 2:

293T transfected with a human wild-type SOS1 expression vector containing a myc-His-tag® whole cell lysate at 20 µg

Lane 3:

293T transfected with a human SOS1 (Y1196A mutation) expression vector containing a myc-His-tag® whole cell lysate at 20 µg

Secondary

All lanes:

Peroxidase-Conjugated Goat anti-Mouse IgG (H+L) at 1/10000 dilution

Observed band size: 152 kDa,36 kDa,150-250 kDa

true

Exposure time: 180s

Western blot - Anti-Histone H3 antibody [EPR16987] - Nuclear Marker and ChIP Grade (AB176842)
  • WB

Supplier Data

Western blot - Anti-Histone H3 antibody [EPR16987] - Nuclear Marker and ChIP Grade (AB176842)

Blocking and diluting buffer and concentration : 5% NFDM/TBST.

In Western blot, Anti-Histone H3 antibody [EPR16987] - Nuclear Marker and ChIP Grade (ab176842) staining at 1/100000 dilution.

All lanes:

Western blot - Anti-DAP12 antibody [EPR29151-41] (<a href='/en-us/products/primary-antibodies/dap12-antibody-epr29151-41-ab323318'>ab323318</a>) at 1/1000 dilution

Lane 1:

Untreated THP-1 (human monocytic leukemia monocyte) whole cell lysate at 20 µg

Lane 2:

THP-1 cells differentiated with TPA (12-O-Tetradecanoylphorbol-13-acetate) whole cell lysate at 20 µg

Secondary

All lanes:

Western blot - Goat Anti-Rabbit IgG H&L (HRP) (<a href='/en-us/products/secondary-antibodies/goat-rabbit-igg-h-l-hrp-ab97051'>ab97051</a>) at 1/100000 dilution

Observed band size: 11 kDa,12 kDa,15 kDa

false

Exposure time: 26s

Western blot - Anti-Histone H3 antibody [EPR16987] - Nuclear Marker and ChIP Grade (AB176842)
  • WB

Lab

Western blot - Anti-Histone H3 antibody [EPR16987] - Nuclear Marker and ChIP Grade (AB176842)

Blocking and diluting buffer and concentration : 5% NFDM/TBST

Anti-Histone H3 antibody [EPR16987] - Nuclear Marker and ChIP Grade (ab176842) was used as a loading control at a 1/100000 dilution.

Negative control : HeLa (PMID : 10492038).

All lanes:

Western blot - Anti-MNDA antibody [253A] (<a href='/en-us/products/primary-antibodies/mnda-antibody-253a-ab188566'>ab188566</a>) at 1/1000 dilution

Lane 1:

THP-1 (human monocytic leukemia monocyte) whole cell lysate at 20 µg

Lane 2:

HeLa (human cervical adenocarcinoma epithelial cell) whole cell lysate at 20 µg

Secondary

All lanes:

Peroxidase-Conjugated Goat anti-Mouse IgG (H+L) at 1/10000 dilution

Observed band size: 47 kDa

false

Exposure time: 37s

Western blot - Anti-Histone H3 antibody [EPR16987] - Nuclear Marker and ChIP Grade (AB176842)
  • WB

Lab

Western blot - Anti-Histone H3 antibody [EPR16987] - Nuclear Marker and ChIP Grade (AB176842)

This blot was produced using 4-20% SDS-PAGE containing 15 μg of HeLa whole cell lysate per lane at 150V for 1hr before being transferred onto a 0.45 μm PVDF membrane at 75V for 1hr. The membrane was then blocked for 1hr using 5% NFDM/TBST, then incubated with ab176842 (1/2000) at room temperature for 1hr. After being washed three times in TBST, the membrane was incubated with Peroxidase conjugated goat anti-rabbit IgG (H+L) (ab97051) at 1/20,000 dilution for 1hr at room temperature. The membrane was washed three times again. Then the signal was developed using the ECL technique. ab176842 was stored at a range of temperatures (+4°C, +22°C, +37°C) for 1 week before being tested in WB. The image shows the band intensity remains relatively constant across all storage temperatures, demonstrating that antibody activity is not affected.

All lanes:

Western blot - Anti-Histone H3 antibody [EPR16987] - Nuclear Marker and ChIP Grade (ab176842) at 1/2000 dilution

All lanes:

HeLa whole cell lysate at 15 µg with NDFM/TBST

Secondary

All lanes:

Western blot - Goat Anti-Rabbit IgG H&L (HRP) (<a href='/en-us/products/secondary-antibodies/goat-rabbit-igg-h-l-hrp-ab97051'>ab97051</a>) at 1/20000 dilution

false

Exposure time: 3s

Western blot - Anti-Histone H3 antibody [EPR16987] - Nuclear Marker and ChIP Grade (AB176842)
  • WB

Supplier Data

Western blot - Anti-Histone H3 antibody [EPR16987] - Nuclear Marker and ChIP Grade (AB176842)

Blocking and diluting buffer and concentration : 5% NFDM/TBST Low expression : lung (PMID : 8955374) In Western blot, Anti-Histone H3 antibody [EPR16987] - Nuclear Marker and ChIP Grade (ab176842) staining at 1/100000 dilution. Exposure time : 15 seconds

All lanes:

Western blot - Anti-Calcium channel L type DHPR alpha 2 subunit/CACNA2D1 antibody [EPR23267-59] (<a href='/en-us/products/primary-antibodies/calcium-channel-l-type-dhpr-alpha-2-subunit-cacna2d1-antibody-epr23267-59-ab313763'>ab313763</a>) at 1/1000 dilution

Lane 1:

Human skeletal muscle tissue lysate at 20 µg

Lane 2:

Human lung tissue lysate at 20 µg

Secondary

All lanes:

Western blot - Goat Anti-Rabbit IgG H&L (HRP) (<a href='/en-us/products/secondary-antibodies/goat-rabbit-igg-h-l-hrp-ab97051'>ab97051</a>) at 1/100000 dilution

Observed band size: 150 kDa

false

Exposure time: 15s

  • Carrier free

    Anti-Histone H3 antibody [EPR16987] - BSA and Azide free

  • 519 Alexa Fluor® 488

    Alexa Fluor® 488 Anti-Histone H3 antibody [EPR16987] - Nuclear Marker

  • 665 Alexa Fluor® 647

    Alexa Fluor® 647 Anti-Histone H3 antibody [EPR16987] - Nuclear Marker

  • 775 Alexa Fluor® 750

    Alexa Fluor® 750 Anti-Histone H3 antibody [EPR16987] - Nuclear Marker and ChIP Grade

  • HRP

    HRP Anti-Histone H3 antibody [EPR16987] - Nuclear Loading Control

  • 578 PE

    PE Anti-Histone H3 antibody [EPR16987] - Nuclear Marker and ChIP Grade

Key facts

Host species

Rabbit

Clonality

Monoclonal

Clone number

EPR16987

Isotype

IgG

Carrier free

No

Reacts with

Mouse, Rat, Human, Saccharomyces cerevisiae, Drosophila melanogaster, Schizosaccharomyces pombe

Applications

WB, ChIP, Flow Cyt (Intra), ICC/IF, IHC-P, PepArr

applications

Immunogen

The exact immunogen used to generate this antibody is proprietary information.

Reactivity data

{ "title": "Reactivity Data", "filters": { "stats": ["", "Species", "Dilution Info", "Notes"], "tabs": { "all-applications": {"fullname" : "All Applications", "shortname": "All Applications"}, "ChIP" : {"fullname" : "ChIP", "shortname":"ChIP"}, "WB" : {"fullname" : "Western blot", "shortname":"WB"}, "PepArr" : {"fullname" : "Peptide Array", "shortname":"PepArr"}, "ICCIF" : {"fullname" : "Immunocytochemistry/ Immunofluorescence", "shortname":"ICC/IF"}, "FlowCytIntra" : {"fullname" : "Flow Cytometry (Intracellular)", "shortname":"Flow Cyt (Intra)"}, "IHCP" : {"fullname" : "Immunohistochemistry (Formalin/PFA-fixed paraffin-embedded sections)", "shortname":"IHC-P"} }, "product-promise": { "all": "all", "testedAndGuaranteed": "tested", "guaranteed": "expected", "predicted": "predicted", "notRecommended": "not-recommended" } }, "values": { "Human": { "ChIP-species-checked": "testedAndGuaranteed", "ChIP-species-dilution-info": "2 µg for 25 µg chromatin", "ChIP-species-notes": "<p></p>", "WB-species-checked": "testedAndGuaranteed", "WB-species-dilution-info": "1 µg/mL", "WB-species-notes": "<p></p>", "PepArr-species-checked": "testedAndGuaranteed", "PepArr-species-dilution-info": "", "PepArr-species-notes": "<p></p>", "ICCIF-species-checked": "testedAndGuaranteed", "ICCIF-species-dilution-info": "1/2000 - 1/5000", "ICCIF-species-notes": "<p></p>", "FlowCytIntra-species-checked": "testedAndGuaranteed", "FlowCytIntra-species-dilution-info": "", "FlowCytIntra-species-notes": "<p></p>", "IHCP-species-checked": "testedAndGuaranteed", "IHCP-species-dilution-info": "1/5000 - 1/10000", "IHCP-species-notes": "<p></p> Perform heat-mediated antigen retrieval with Tris/EDTA buffer pH 9.0 before commencing with IHC staining protocol." }, "Mouse": { "ChIP-species-checked": "guaranteed", "ChIP-species-dilution-info": "", "ChIP-species-notes": "", "WB-species-checked": "testedAndGuaranteed", "WB-species-dilution-info": "1 µg/mL", "WB-species-notes": "<p></p>", "PepArr-species-checked": "guaranteed", "PepArr-species-dilution-info": "", "PepArr-species-notes": "", "ICCIF-species-checked": "guaranteed", "ICCIF-species-dilution-info": "", "ICCIF-species-notes": "", "FlowCytIntra-species-checked": "guaranteed", "FlowCytIntra-species-dilution-info": "", "FlowCytIntra-species-notes": "", "IHCP-species-checked": "testedAndGuaranteed", "IHCP-species-dilution-info": "1/5000 - 1/10000", "IHCP-species-notes": "<p></p> Perform heat-mediated antigen retrieval with Tris/EDTA buffer pH 9.0 before commencing with IHC staining protocol." }, "Rat": { "ChIP-species-checked": "guaranteed", "ChIP-species-dilution-info": "", "ChIP-species-notes": "", "WB-species-checked": "testedAndGuaranteed", "WB-species-dilution-info": "1 µg/mL", "WB-species-notes": "<p></p>", "PepArr-species-checked": "guaranteed", "PepArr-species-dilution-info": "", "PepArr-species-notes": "", "ICCIF-species-checked": "guaranteed", "ICCIF-species-dilution-info": "", "ICCIF-species-notes": "", "FlowCytIntra-species-checked": "guaranteed", "FlowCytIntra-species-dilution-info": "", "FlowCytIntra-species-notes": "", "IHCP-species-checked": "testedAndGuaranteed", "IHCP-species-dilution-info": "1/5000 - 1/10000", "IHCP-species-notes": "<p></p> Perform heat-mediated antigen retrieval with Tris/EDTA buffer pH 9.0 before commencing with IHC staining protocol." }, "Common marmoset": { "ChIP-species-checked": "predicted", "ChIP-species-dilution-info": "", "ChIP-species-notes": "", "WB-species-checked": "predicted", "WB-species-dilution-info": "", "WB-species-notes": "", "PepArr-species-checked": "predicted", "PepArr-species-dilution-info": "", "PepArr-species-notes": "", "ICCIF-species-checked": "predicted", "ICCIF-species-dilution-info": "", "ICCIF-species-notes": "", "FlowCytIntra-species-checked": "predicted", "FlowCytIntra-species-dilution-info": "", "FlowCytIntra-species-notes": "", "IHCP-species-checked": "predicted", "IHCP-species-dilution-info": "", "IHCP-species-notes": "" }, "Dog": { "ChIP-species-checked": "predicted", "ChIP-species-dilution-info": "", "ChIP-species-notes": "", "WB-species-checked": "predicted", "WB-species-dilution-info": "", "WB-species-notes": "", "PepArr-species-checked": "predicted", "PepArr-species-dilution-info": "", "PepArr-species-notes": "", "ICCIF-species-checked": "predicted", "ICCIF-species-dilution-info": "", "ICCIF-species-notes": "", "FlowCytIntra-species-checked": "predicted", "FlowCytIntra-species-dilution-info": "", "FlowCytIntra-species-notes": "", "IHCP-species-checked": "predicted", "IHCP-species-dilution-info": "", "IHCP-species-notes": "" }, "Drosophila melanogaster": { "ChIP-species-checked": "guaranteed", "ChIP-species-dilution-info": "", "ChIP-species-notes": "", "WB-species-checked": "testedAndGuaranteed", "WB-species-dilution-info": "1 µg/mL", "WB-species-notes": "<p></p>", "PepArr-species-checked": "guaranteed", "PepArr-species-dilution-info": "", "PepArr-species-notes": "", "ICCIF-species-checked": "guaranteed", "ICCIF-species-dilution-info": "", "ICCIF-species-notes": "", "FlowCytIntra-species-checked": "guaranteed", "FlowCytIntra-species-dilution-info": "", "FlowCytIntra-species-notes": "", "IHCP-species-checked": "guaranteed", "IHCP-species-dilution-info": "", "IHCP-species-notes": "" }, "Saccharomyces cerevisiae": { "ChIP-species-checked": "guaranteed", "ChIP-species-dilution-info": "", "ChIP-species-notes": "", "WB-species-checked": "testedAndGuaranteed", "WB-species-dilution-info": "1 µg/mL", "WB-species-notes": "<p></p>", "PepArr-species-checked": "guaranteed", "PepArr-species-dilution-info": "", "PepArr-species-notes": "", "ICCIF-species-checked": "guaranteed", "ICCIF-species-dilution-info": "", "ICCIF-species-notes": "", "FlowCytIntra-species-checked": "guaranteed", "FlowCytIntra-species-dilution-info": "", "FlowCytIntra-species-notes": "", "IHCP-species-checked": "guaranteed", "IHCP-species-dilution-info": "", "IHCP-species-notes": "" }, "Schizosaccharomyces pombe": { "ChIP-species-checked": "guaranteed", "ChIP-species-dilution-info": "", "ChIP-species-notes": "", "WB-species-checked": "testedAndGuaranteed", "WB-species-dilution-info": "1 µg/mL", "WB-species-notes": "<p></p>", "PepArr-species-checked": "guaranteed", "PepArr-species-dilution-info": "", "PepArr-species-notes": "", "ICCIF-species-checked": "guaranteed", "ICCIF-species-dilution-info": "", "ICCIF-species-notes": "", "FlowCytIntra-species-checked": "guaranteed", "FlowCytIntra-species-dilution-info": "", "FlowCytIntra-species-notes": "", "IHCP-species-checked": "guaranteed", "IHCP-species-dilution-info": "", "IHCP-species-notes": "" }, "Sheep": { "ChIP-species-checked": "predicted", "ChIP-species-dilution-info": "", "ChIP-species-notes": "", "WB-species-checked": "predicted", "WB-species-dilution-info": "", "WB-species-notes": "", "PepArr-species-checked": "predicted", "PepArr-species-dilution-info": "", "PepArr-species-notes": "", "ICCIF-species-checked": "predicted", "ICCIF-species-dilution-info": "", "ICCIF-species-notes": "", "FlowCytIntra-species-checked": "predicted", "FlowCytIntra-species-dilution-info": "", "FlowCytIntra-species-notes": "", "IHCP-species-checked": "predicted", "IHCP-species-dilution-info": "", "IHCP-species-notes": "" } } }

Product details

What is this antibody validated in?
Anti-Histone H3 antibody [EPR16987] - Nuclear Marker and ChIP Grade (ab176842) is a rabbit recombinant monoclonal antibody and is validated for use in Western Blot (WB), Flow Cytometry (Intra), Flow Cytometry (Flow Cyt), Immunoprecipitation (IP), Immunohistochemistry (IHC-P), Immunocytochemistry/immunofluorescence (ICC/IF), ChIP, Peptide Array in Drosophila melanogaster, Human, Mouse, Rat, Saccharomyces cerevisiae, Schizosaccharomyces pombe samples.

What is the molecular weight of Histone H3?
Anti-Histone H3 [EPR16987] - Nuclear Marker and ChIP Grade (ab176842) specifically detects a band for Histone H3 (UniProt: P68431) at a molecular weight of 15kDa.

Trusted by the scientific community
Anti-Histone H3 [EPR16987] - Nuclear Marker and ChIP Grade (ab176842) was first used in a scientific publication in 2014 and has been cited over 70 times in peer-reviewed journals.

Reviewed by scientists
Anti-Histone H3 [EPR16987] - Nuclear Marker and ChIP Grade (ab176842) has over 10 independent reviews from customers.

Trial sizes available!
Test your antibody or perform pre-screening before committing to a larger quantity. Sold in 10µl. Discover our selection of trial-size antibodies.

Specificity confirmed
The specificity of Anti-Histone H3 antibody [EPR16987] - Nuclear Marker and ChIP Grade (ab176842) has been confirmed by Western blot testing in H3C1 Knockout HAP1 cells.

Other related products
We have a range of other formats of antibody clone [EPR16987] also available for your convenience: ab176842, Alexa Fluor® 647 - ab207543, HRP - ab209023, Carrier free - ab238971, Alexa Fluor® 488 - ab252005, PE - ab314246, Alexa Fluor® 750 - ab321187

Patented technology
Our RabMAb® technology is a patented hybridoma-based technology for making rabbit monoclonal antibodies. For details on our patents, please refer to RabMAb® patents.

What are the advantages of a recombinant monoclonal antibody?
This product is a recombinant monoclonal antibody, which offers several advantages including:

  • - High batch-to-batch consistency and reproducibility
  • - Improved sensitivity and specificity
  • - Long-term security of supply
  • - Animal-free batch production

For more information, read more on recombinant antibodies.

Shipping conditions update: ambient shipping

This product will be delivered at ambient temperature instead of chilled – this is by design. Extensive stability testing confirmed that our products are suitable for shipment under ambient conditions and maintain expected quality.

Why the change?

It’s part of our commitment to more sustainable packaging solutions, with ambient deliveries using eco-friendly materials such as recyclable cardboard instead of polystyrene.

What you need to know

  • Ambient shipments come clearly marked on the delivery note.
  • No ice will be included in ambient shipments, but mixed orders (ambient and cold-chain items) will still arrive with ice packs to protect temperature-sensitive products.
  • Warranty coverage remains fully valid, aligned with our validated shipping method.
  • Please store the product as per the datasheet instructions upon receipt.

Find out more - https://www.abcam.com/en-us/support/shipping-storage-support/ambient-shipping

Properties and storage information

Form
Liquid
Purification technique
Affinity purification Protein A
Storage buffer
Preservative: 0.01% Sodium azide Constituents: PBS, 40% Glycerol (glycerin, glycerine), 0.05% BSA
Shipped at conditions
Conditional Ambient
Appropriate short-term storage duration
1-2 weeks
Appropriate short-term storage conditions
+4°C
Appropriate long-term storage conditions
-20°C
Aliquoting information
Upon delivery aliquot
Storage information
Avoid freeze / thaw cycle

Product protocols

For this product, it's our understanding that no specific protocols are required. You can visit:

Target data

Core component of nucleosome. Nucleosomes wrap and compact DNA into chromatin, limiting DNA accessibility to the cellular machineries which require DNA as a template. Histones thereby play a central role in transcription regulation, DNA repair, DNA replication and chromosomal stability. DNA accessibility is regulated via a complex set of post-translational modifications of histones, also called histone code, and nucleosome remodeling.
See full target information H3C1

Publications (107)

Recent publications for all applications. Explore the full list and refine your search

Frontiers in cell and developmental biology 13:1622998 PubMed41059340

2025

Excessive progesterone impairs mouse decidualization via the Kyn-AhR pathway.

Applications

Unspecified application

Species

Unspecified reactive species

Hui-Na Luo,Hong-Yuan Yang,Zai-Mei Wang,Jia-Mei Luo,Tong-Tong Zhang,Zeng-Ming Yang

Nature cell biology 27:1186-1198 PubMed40640501

2025

Retrospective and multifactorial single-cell profiling reveals sequential chromatin reorganization during X inactivation.

Applications

Unspecified application

Species

Unspecified reactive species

Samy Kefalopoulou,Pim M J Rullens,Kim L de Luca,Sandra S de Vries,Tessy Korthout,Alexander van Oudenaarden,Peter Zeller,Jop Kind

Acta biochimica et biophysica Sinica 57:1601-1610 PubMed40515531

2025

FOXD3 promotes homologous recombination repair and genomic stability by facilitating MRE11-mediated DNA end resection.

Applications

Unspecified application

Species

Unspecified reactive species

Shibin Xu,Jingyu Zhang,Congwen Gao,Ziyi Xiong,Yamin Gong,Bao Chai,Hongxiang Chen,Xingzhi Xu

Frontiers in cellular and infection microbiology 15:1578163 PubMed40384984

2025

Mycobacterium tuberculosis modulates NUDT21-mediated alternative polyadenylation to enhance FTH1 expression in macrophages and promotes intracellular growth.

Applications

Unspecified application

Species

Unspecified reactive species

Xiaoqian Liu,Ningjian Cai,Youchao Dai,Xinchun Chen,Xiaobin Zeng

American journal of cancer research 15:452-469 PubMed40084368

2025

GDF15 promotes the resistance of epithelial ovarian cancer cells to gemcitabine via DHCR24-mediated cholesterol metabolism to elevate ABCB1 and ABCC1 levels in lipid rafts.

Applications

Unspecified application

Species

Unspecified reactive species

Linlin Guo,Yan He,Huang Xin

World journal of gastroenterology 31:98806 PubMed39991674

2025

Modified decoction alleviates 5-fluorouracil-induced intestinal mucositis by modulating the TLR4/MyD88/NF-κB pathway and gut microbiota.

Applications

Unspecified application

Species

Unspecified reactive species

Yi-Tong Qiu,Xin-Yi Luo,Ya-Feng Deng,Xue Zheng,Jian-Guo Qiu,Lin-Sheng Zhang,Xiao-Qi Huang,Xue-Bao Zheng,Hai-Yang Huang

Nature communications 16:1715 PubMed39962077

2025

The CXCL8/MAPK/hnRNP-K axis enables susceptibility to infection by EV-D68, rhinovirus, and influenza virus in vitro.

Applications

Unspecified application

Species

Unspecified reactive species

Qingran Yang,Haoran Guo,Huili Li,Zhaoxue Li,Fushun Ni,Zhongmei Wen,Kai Liu,Huihui Kong,Wei Wei

Journal of virology 99:e0200724 PubMed39840986

2025

Marek's disease virus-encoded microRNA-M6-5p facilitates viral latent infection by targeting histone demethylase KDM2B.

Applications

Unspecified application

Species

Unspecified reactive species

Linyi Zhou,Runan Zhu,Bo Jiang,Jing Cheng,Wenxiao Liu,Yongxiu Yao,Yongqing Li

International journal of biological sciences 21:874-892 PubMed39781456

2025

Cold atmospheric plasma potentiates ferroptosis via EGFR(Y1068)-mediated dual axes on GPX4 among triple negative breast cancer cells.

Applications

Unspecified application

Species

Unspecified reactive species

Xiaofeng Dai,Ziyao Xu,Xinyu Lv,Chao Li,Ruichen Jiang,Danjun Wang,Ming Xi,Tian Li

Aging and disease 16:3040-3054 PubMed39571159

2024

Exercise Types: Physical Activity Mitigates Cardiac Aging and Enhances Mitochondrial Function via PKG-STAT3-Opa1 Axis.

Applications

Unspecified application

Species

Unspecified reactive species

Reka Szekeres,Daniel Priksz,Mariann Bombicz,Beata Pelles-Tasko,Anna Szilagyi,Brigitta Bernat,Aniko Posa,Balazs Varga,Rudolf Gesztelyi,Sandor Somodi,Zoltan Szabo,Zoltan Szilvassy,Bela Juhasz
View all publications
peptideArrayWebsite
en

Product promise

We are committed to supporting your work with high-quality reagents, and we're here for you every step of the way. In the unlikely event that one of our products does not perform as expected, you're protected by our Product Promise.
For full details, please see our Terms & Conditions

Please note: All products are 'FOR RESEARCH USE ONLY. NOT FOR USE IN DIAGNOSTIC OR THERAPEUTIC PROCEDURES'.

For licensing inquiries, please contact partnerships@abcam.com