JavaScript is disabled in your browser. Please enable JavaScript to view this website.
AB237967

Anti-Histone H3 antibody [mAbcam 10799] - ChIP Grade - BSA and Azide free

Be the first to review this product! Submit a review

|

(1 Publication)

Mouse Monoclonal H3 antibody. Carrier free. Suitable for IHC-P, IP, ChIP, WB and reacts with Human, Mouse, Rat, Cow, Drosophila melanogaster, Recombinant full length protein samples. Cited in 1 publication.

View Alternative Names

H3FA, HIST1H3A, H3C2, H3FL, HIST1H3B, H3C3, H3FC HIST1H3C, H3C4, H3FB, HIST1H3D, H3C6, H3FD, HIST1H3E, H3C7, H3FI, HIST1H3F, H3C8, H3FH, HIST1H3G, H3C10, H3FK, HIST1H3H, H3C11, H3FF, HIST1H3I, H3C12, H3FJ, HIST1H3J, HIST1H3C, H3FC, H3C1, Histone H3.1, Histone H3/a, Histone H3/b, Histone H3/c, Histone H3/d, Histone H3/f, Histone H3/h, Histone H3/i, Histone H3/j, Histone H3/k, Histone H3/l

7 Images
Immunohistochemistry (Formalin/PFA-fixed paraffin-embedded sections) - Anti-Histone H3 antibody [mAbcam 10799] - ChIP Grade - BSA and Azide free (AB237967)
  • IHC-P

Unknown

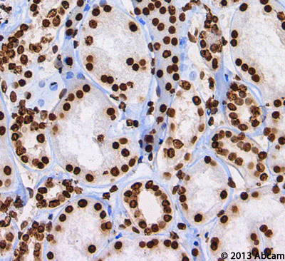
Immunohistochemistry (Formalin/PFA-fixed paraffin-embedded sections) - Anti-Histone H3 antibody [mAbcam 10799] - ChIP Grade - BSA and Azide free (AB237967)

ab10799 staining human kidney sections by IHC-P using EXPOSE IHC detection kit (ab80436). Formalin fixed paraffin embedded tissue sections were pre-treated using heat mediated antigen retrieval (using a pressure cooker) with sodium citrate buffer (pH6) for 30 mins. The section was incubated with ab10799, 5μg/ml, for 1 hour at room temperature. DAB was used as the chromogen and the section was counterstained with haematoxylin and mounted with DPX.

This data was developed using the same antibody clone in a different buffer formulation containing PBS, L-arginine and sodium azide (ab10799).

Immunohistochemistry (Formalin/PFA-fixed paraffin-embedded sections) - Anti-Histone H3 antibody [mAbcam 10799] - ChIP Grade - BSA and Azide free (AB237967)
  • IHC-P

Lab

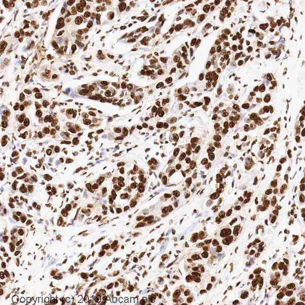
Immunohistochemistry (Formalin/PFA-fixed paraffin-embedded sections) - Anti-Histone H3 antibody [mAbcam 10799] - ChIP Grade - BSA and Azide free (AB237967)

IHC image of Histone H3 staining in human breast carcinoma FFPE section, performed on a BondTM system using the standard protocol F. The section was pre-treated using heat mediated antigen retrieval with sodium citrate buffer (pH6, epitope retrieval solution 1) for 20 mins. The section was then incubated with ab10799, 1μg/ml, for 8 mins at room temperature and detected using an HRP conjugated compact polymer system. DAB was used as the chromogen. The section was then counterstained with haematoxylin and mounted with DPX.

This data was developed using the same antibody clone in a different buffer formulation containing PBS, L-arginine and sodium azide (ab10799).

ChIP - Anti-Histone H3 antibody [mAbcam 10799] - ChIP Grade - BSA and Azide free (AB237967)
  • ChIP

Supplier Data

ChIP - Anti-Histone H3 antibody [mAbcam 10799] - ChIP Grade - BSA and Azide free (AB237967)

Chromatin was prepared from Hela cells according to the Abcam X-ChIP protocol. Cells were fixed with formaldehyde for 10min. The ChIP was performed with 25μg of chromatin, 2μg of ab10799 (blue), and 20μl of Protein A/G sepharose beads. No antibody was added to the beads control (yellow). The immunoprecipitated DNA was quantified by real time PCR (Taqman approach for active and inactive loci, Sybr green approach for heterochromatic loci). Primers and probes are located in the first kb of the transcribed region.

This data was developed using the same antibody clone in a different buffer formulation containing PBS, L-arginine and sodium azide (ab10799).

Western blot - Anti-Histone H3 antibody [mAbcam 10799] - ChIP Grade - BSA and Azide free (AB237967)
  • WB

Project8616****

Western blot - Anti-Histone H3 antibody [mAbcam 10799] - ChIP Grade - BSA and Azide free (AB237967)

This data was developed using the same antibody clone in a different buffer formulation containing PBS, L-arginine and sodium azide (ab10799).

All lanes:

Western blot - Anti-Histone H3 antibody [mAbcam 10799] - Nuclear Marker and ChIP Grade (<a href='/en-us/products/primary-antibodies/histone-h3-antibody-mabcam-10799-nuclear-marker-and-chip-grade-ab10799'>ab10799</a>) at 1 µg/mL

Lane 1:

HeLa (Human epithelial cell line from cervix adenocarcinoma) whole cell lysate at 10 µg

Lane 2:

Calf Thymus Histone preparation nuclear lysate at 10 µg

Lane 3:

NIH/3T3 (Mouse embryonic fibroblast cell line) whole cell lysate at 10 µg

Secondary

All lanes:

Goat polyclonal to Mouse IgG - H&L - Pre-Adsorbed (HRP) at 1/3000 dilution

Predicted band size: 15 kDa

Observed band size: 17 kDa

false

Exposure time: 90s

Immunoprecipitation - Anti-Histone H3 antibody [mAbcam 10799] - ChIP Grade - BSA and Azide free (AB237967)
  • IP

Lab

Immunoprecipitation - Anti-Histone H3 antibody [mAbcam 10799] - ChIP Grade - BSA and Azide free (AB237967)

Histone H3 [mAbcam 10799] - ChIP Grade was immunoprecipitated using 0.5mg HeLa whole cell extract, 5μg of Mouse monoclonal to and 50μl of protein G magnetic beads (+). No antibody was added to the control (-).

The antibody was incubated under agitation with Protein G beads for 10min, HeLa whole cell extract lysate diluted in RIPA buffer was added to each sample and incubated for a further 10min under agitation.

Proteins were eluted by addition of 40μl SDS loading buffer and incubated for 10min at 70°C; 10μl of each sample was separated on a SDS PAGE gel, transferred to a nitrocellulose membrane, blocked with 5% BSA and probed with ab10799.

Secondary : Goat polyclonal to mouse IgG light chain specific (HRP) at 1/20,000 dilution.

Band : 15kDa; [mAbcam 10799] Histone H3 - ChIP Grade.

This data was developed using the same antibody clone in a different buffer formulation containing PBS, L-arginine and sodium azide (ab10799).

All lanes:

Immunoprecipitation - Anti-Histone H3 antibody [mAbcam 10799] - Nuclear Marker and ChIP Grade (<a href='/en-us/products/primary-antibodies/histone-h3-antibody-mabcam-10799-nuclear-marker-and-chip-grade-ab10799'>ab10799</a>)

Predicted band size: 15 kDa

true

Exposure time: 20min

Western blot - Anti-Histone H3 antibody [mAbcam 10799] - ChIP Grade - BSA and Azide free (AB237967)
  • WB

Lab

Western blot - Anti-Histone H3 antibody [mAbcam 10799] - ChIP Grade - BSA and Azide free (AB237967)

We recommend using 3% milk as the blocking agent in Western Blot.

This data was developed using the same antibody clone in a different buffer formulation containing PBS, L-arginine and sodium azide (ab10799).

All lanes:

Western blot - Anti-Histone H3 antibody [mAbcam 10799] - Nuclear Marker and ChIP Grade (<a href='/en-us/products/primary-antibodies/histone-h3-antibody-mabcam-10799-nuclear-marker-and-chip-grade-ab10799'>ab10799</a>) at 5 µg/mL

Lane 1:

Histone H1 Recombinant Protein at 0.1 µg

Lane 2:

Histone H2A Recombinant Protein at 0.1 µg

Lane 3:

Histone H2B Recombinant Protein at 0.1 µg

Lane 4:

Histone H3.1 Recombinant Protein at 0.1 µg

Lane 5:

Histone H4 Recombinant Protein at 0.1 µg

Secondary

All lanes:

Goat polyclonal to Mouse IgG - H&L - Pre-Adsorbed (HRP) at 1/5000 dilution

Predicted band size: 15 kDa

true

Exposure time: 4min

Western blot - Anti-Histone H3 antibody [mAbcam 10799] - ChIP Grade - BSA and Azide free (AB237967)
  • WB

Supplier Data

Western blot - Anti-Histone H3 antibody [mAbcam 10799] - ChIP Grade - BSA and Azide free (AB237967)

This data was developed using ab10799, the same antibody clone in a different buffer formulation

All lanes:

Western blot - Anti-Histone H3 antibody [mAbcam 10799] - Nuclear Marker and ChIP Grade (<a href='/en-us/products/primary-antibodies/histone-h3-antibody-mabcam-10799-nuclear-marker-and-chip-grade-ab10799'>ab10799</a>) at 5 µg/mL

Lane 1:

Histone H2A Recombinant Protein at 0.1 µg/mL

Lane 2:

Histone H2B Recombinant Protein at 0.1 µg/mL

Lane 3:

Histone H3.1 Recombinant Protein at 0.1 µg/mL

Lane 4:

Calf Thymus Histone Preparation Nuclear Lysate at 0.5 µg/mL

Lane 5:

HeLa nuclear lysate (triton enriched) at 10 µg/mL

Lane 6:

NIH 3T3 nuclear lysate (triton enriched) at 10 µg/mL

Lane 7:

PC12 nuclear lysate (triton enriched) at 10 µg/mL

Secondary

All lanes:

Goat polyclonal to Mouse IgG - H&L - Pre-Adsorbed (HRP) at 1/5000 dilution

Predicted band size: 15 kDa

false

Exposure time: 20s

Key facts

Host species

Mouse

Clonality

Monoclonal

Clone number

mAbcam 10799

Isotype

IgG3

Light chain type

kappa

Carrier free

Yes

Reacts with

Mouse, Rat, Cow, Human, Drosophila melanogaster

Applications

IP, WB, IHC-P, ChIP

applications

Immunogen

The exact immunogen used to generate this antibody is proprietary information.

Reactivity data

{ "title": "Reactivity Data", "filters": { "stats": ["", "Species", "Dilution Info", "Notes"], "tabs": { "all-applications": {"fullname" : "All Applications", "shortname": "All Applications"}, "IHCP" : {"fullname" : "Immunohistochemistry (Formalin/PFA-fixed paraffin-embedded sections)", "shortname":"IHC-P"}, "IP" : {"fullname" : "Immunoprecipitation", "shortname":"IP"}, "ChIP" : {"fullname" : "ChIP", "shortname":"ChIP"}, "WB" : {"fullname" : "Western blot", "shortname":"WB"}, "ICCIF" : {"fullname" : "Immunocytochemistry/ Immunofluorescence", "shortname":"ICC/IF"} }, "product-promise": { "all": "all", "testedAndGuaranteed": "tested", "guaranteed": "expected", "predicted": "predicted", "notRecommended": "not-recommended" } }, "values": { "Human": { "IHCP-species-checked": "testedAndGuaranteed", "IHCP-species-dilution-info": "", "IHCP-species-notes": "<p></p>", "IP-species-checked": "testedAndGuaranteed", "IP-species-dilution-info": "", "IP-species-notes": "<p></p>", "ChIP-species-checked": "testedAndGuaranteed", "ChIP-species-dilution-info": "", "ChIP-species-notes": "<p></p>", "WB-species-checked": "testedAndGuaranteed", "WB-species-dilution-info": "", "WB-species-notes": "<p></p>", "ICCIF-species-checked": "notRecommended", "ICCIF-species-dilution-info": "", "ICCIF-species-notes": "" }, "Mouse": { "IHCP-species-checked": "guaranteed", "IHCP-species-dilution-info": "", "IHCP-species-notes": "", "IP-species-checked": "guaranteed", "IP-species-dilution-info": "", "IP-species-notes": "", "ChIP-species-checked": "guaranteed", "ChIP-species-dilution-info": "", "ChIP-species-notes": "", "WB-species-checked": "testedAndGuaranteed", "WB-species-dilution-info": "", "WB-species-notes": "<p></p>", "ICCIF-species-checked": "notRecommended", "ICCIF-species-dilution-info": "", "ICCIF-species-notes": "<p></p>" }, "Rat": { "IHCP-species-checked": "guaranteed", "IHCP-species-dilution-info": "", "IHCP-species-notes": "", "IP-species-checked": "guaranteed", "IP-species-dilution-info": "", "IP-species-notes": "", "ChIP-species-checked": "guaranteed", "ChIP-species-dilution-info": "", "ChIP-species-notes": "", "WB-species-checked": "testedAndGuaranteed", "WB-species-dilution-info": "", "WB-species-notes": "<p></p>", "ICCIF-species-checked": "notRecommended", "ICCIF-species-dilution-info": "", "ICCIF-species-notes": "<p></p>" }, "Cow": { "IHCP-species-checked": "guaranteed", "IHCP-species-dilution-info": "", "IHCP-species-notes": "", "IP-species-checked": "guaranteed", "IP-species-dilution-info": "", "IP-species-notes": "", "ChIP-species-checked": "guaranteed", "ChIP-species-dilution-info": "", "ChIP-species-notes": "", "WB-species-checked": "testedAndGuaranteed", "WB-species-dilution-info": "", "WB-species-notes": "<p></p>", "ICCIF-species-checked": "notRecommended", "ICCIF-species-dilution-info": "", "ICCIF-species-notes": "<p></p>" }, "Drosophila melanogaster": { "IHCP-species-checked": "guaranteed", "IHCP-species-dilution-info": "", "IHCP-species-notes": "<p></p>", "IP-species-checked": "guaranteed", "IP-species-dilution-info": "", "IP-species-notes": "<p></p>", "ChIP-species-checked": "guaranteed", "ChIP-species-dilution-info": "", "ChIP-species-notes": "<p></p>", "WB-species-checked": "guaranteed", "WB-species-dilution-info": "", "WB-species-notes": "<p></p>", "ICCIF-species-checked": "notRecommended", "ICCIF-species-dilution-info": "", "ICCIF-species-notes": "<p></p>" }, "Mammals": { "IHCP-species-checked": "predicted", "IHCP-species-dilution-info": "", "IHCP-species-notes": "", "IP-species-checked": "predicted", "IP-species-dilution-info": "", "IP-species-notes": "", "ChIP-species-checked": "predicted", "ChIP-species-dilution-info": "", "ChIP-species-notes": "", "WB-species-checked": "predicted", "WB-species-dilution-info": "", "WB-species-notes": "", "ICCIF-species-checked": "notRecommended", "ICCIF-species-dilution-info": "", "ICCIF-species-notes": "" }, "Monkey": { "IHCP-species-checked": "predicted", "IHCP-species-dilution-info": "", "IHCP-species-notes": "", "IP-species-checked": "predicted", "IP-species-dilution-info": "", "IP-species-notes": "", "ChIP-species-checked": "predicted", "ChIP-species-dilution-info": "", "ChIP-species-notes": "", "WB-species-checked": "predicted", "WB-species-dilution-info": "", "WB-species-notes": "", "ICCIF-species-checked": "notRecommended", "ICCIF-species-dilution-info": "", "ICCIF-species-notes": "" }, "Recombinant full length protein": { "IHCP-species-checked": "notRecommended", "IHCP-species-dilution-info": "", "IHCP-species-notes": "", "IP-species-checked": "notRecommended", "IP-species-dilution-info": "", "IP-species-notes": "", "ChIP-species-checked": "notRecommended", "ChIP-species-dilution-info": "", "ChIP-species-notes": "", "WB-species-checked": "testedAndGuaranteed", "WB-species-dilution-info": "1 µg/mL", "WB-species-notes": "<p></p>", "ICCIF-species-checked": "notRecommended", "ICCIF-species-dilution-info": "", "ICCIF-species-notes": "" } } }

Product details

ab237967 is the carrier-free version of ab10799.

Want a custom formulation?
This antibody clone is manufactured by Abcam. If you require a custom buffer formulation or conjugation for your experiments, please contact orders@abcam.com

Conjugation ready
Our carrier-free antibodies are typically supplied in a PBS-only formulation, purified and free of BSA, sodium azide and glycerol. This conjugation-ready format is designed for use with fluorochromes, metal isotopes, oligonucleotides, and enzymes, which makes them ideal for antibody labelling, functional and cell-based assays, flow-based assays (e.g. mass cytometry) and Multiplex Imaging applications.

Use our conjugation kits for antibody conjugates that are ready-to-use in as little as 20 minutes with 1 minute hands-on-time and 100% antibody recovery: available for fluorescent dyes, HRP, biotin and gold.

Compatibility
This product is compatible with the Maxpar® Antibody Labeling Kit from Fluidigm, without the need for antibody preparation. Maxpar® is a trademark of Fluidigm Canada Inc.

Properties and storage information

Form
Liquid
Purity
IgG fraction
Storage buffer
Constituents: PBS
Shipped at conditions
Blue Ice
Appropriate short-term storage duration
1-2 weeks
Appropriate short-term storage conditions
+4°C
Appropriate long-term storage conditions
+4°C
Storage information
Do Not Freeze

Product protocols

For this product, it's our understanding that no specific protocols are required. You can visit:

Target data

The protein expressed by gene H3C1 is a core component of the nucleosome, which is essential for wrapping and compacting DNA into chromatin. This process restricts DNA accessibility to cellular machineries that use DNA as a template. Consequently, histones are central to transcription regulation, DNA repair, DNA replication, and chromosomal stability. DNA accessibility is regulated through a complex set of post-translational modifications of histones, known as the histone code, and through nucleosome remodeling. This supplementary information is collated from multiple sources and compiled automatically.
See full target information H3C1

Publications (1)

Recent publications for all applications. Explore the full list and refine your search

Nature 644:790-798 PubMed40533564

2025

Kupffer cell programming by maternal obesity triggers fatty liver disease.

Applications

Unspecified application

Species

Unspecified reactive species

Hao Huang,Nora R Balzer,Lea Seep,Iva Splichalova,Nelli Blank-Stein,Maria Francesca Viola,Eliana Franco Taveras,Kerim Acil,Diana Fink,Franzisca Petrovic,Nikola Makdissi,Seyhmus Bayar,Katharina Mauel,Carolin Radwaniak,Jelena Zurkovic,Amir H Kayvanjoo,Klaus Wunderling,Malin Jessen,Mohamed H Yaghmour,Lukas Kenner,Thomas Ulas,Stephan Grein,Joachim L Schultze,Charlotte L Scott,Martin Guilliams,Zhaoyuan Liu,Florent Ginhoux,Marc D Beyer,Christoph Thiele,Felix Meissner,Jan Hasenauer,Dagmar Wachten,Elvira Mass
View all publications

Product promise

We are committed to supporting your work with high-quality reagents, and we're here for you every step of the way. In the unlikely event that one of our products does not perform as expected, you're protected by our Product Promise.
For full details, please see our Terms & Conditions

Please note: All products are 'FOR RESEARCH USE ONLY. NOT FOR USE IN DIAGNOSTIC OR THERAPEUTIC PROCEDURES'.

For licensing inquiries, please contact partnerships@abcam.com