JavaScript is disabled in your browser. Please enable JavaScript to view this website.
AB281584

Anti-Histone H3 (citrulline R2 + R8 + R17) antibody [RM1001]

  • 20ul selling size
  • Recombinant
  • Advanced Validation
  • RabMAb
  • What is this?

5

(4 Reviews)

|

(49 Publications)

Anti-Histone H3 (citrulline R2 + R8 + R17) antibody [RM1001] (ab281584) is a rabbit recombinant multiclonal antibody detecting Histone H3 in Western Blot, Flow Cytometry (Intra), IP, ICC/IF, Dot Blot, PepArr. Suitable for Human, Mouse, Rat.

- Biophysical QC for unrivalled batch-batch consistency

View Alternative Names

H3FA, HIST1H3A, H3C2, H3FL, HIST1H3B, H3C3, H3FC HIST1H3C, H3C4, H3FB, HIST1H3D, H3C6, H3FD, HIST1H3E, H3C7, H3FI, HIST1H3F, H3C8, H3FH, HIST1H3G, H3C10, H3FK, HIST1H3H, H3C11, H3FF, HIST1H3I, H3C12, H3FJ, HIST1H3J, HIST1H3C, H3FC, H3C1, Histone H3.1, Histone H3/a, Histone H3/b, Histone H3/c, Histone H3/d, Histone H3/f, Histone H3/h, Histone H3/i, Histone H3/j, Histone H3/k, Histone H3/l

7 Images
Immunocytochemistry/ Immunofluorescence - Anti-Histone H3 (citrulline R2 + R8 + R17) antibody [RM1001] (AB281584)
  • ICC/IF

Lab

Immunocytochemistry/ Immunofluorescence - Anti-Histone H3 (citrulline R2 + R8 + R17) antibody [RM1001] (AB281584)

Immunofluorescent analysis of 4% paraformaldehyde-fixed, 100% methanol permeabilized 293T (human embryonic kidney epithelial cell) cells labelling Histone H3 (citrulline R2 + R8 + R17) with primary antibody anti-Histone H3 (citrulline R2 + R8 + R17) (ab281584) at 1/2000 dilution, followed by Goat Anti-Rabbit IgG H&L (Alexa Fluor® 594) (ab150080) secondary antibody at 1/1000 dilution. Confocal image showing nuclear staining on 293T cells transfected with a human PADI4 expression vector containing a GFP tag, then treated with 10 mM CaCl2 and 10 μM ionomycin for 2 hours. The nuclear counter stain is DAPI (blue).

Flow Cytometry (Intracellular) - Anti-Histone H3 (citrulline R2 + R8 + R17) antibody [RM1001] (AB281584)
  • Flow Cyt (Intra)

Lab

Flow Cytometry (Intracellular) - Anti-Histone H3 (citrulline R2 + R8 + R17) antibody [RM1001] (AB281584)

Intracellular Flow Cytometry analysis of 293T (human embryonic kidney epithelial cell) transfected with myc-tagged PADI4 construct, then treated with 10mM CaCl2 and 10uM Ionomycin for 4h labeling Histone H3 (citrulline R2 + R8 + R17) with ab281584 at 1/500 dilution. Cells were fixed with 4% paraformaldehyde and permeabilised with 90% methanol. Goat anti rabbit IgG (Alexa Fluor® 488, ab150077) at 1/2000 dilution was used as a secondary antibody. Isotype control : Rabbit monoclonal IgG (ab172730)/left.

Immunoprecipitation - Anti-Histone H3 (citrulline R2 + R8 + R17) antibody [RM1001] (AB281584)
  • IP

Supplier Data

Immunoprecipitation - Anti-Histone H3 (citrulline R2 + R8 + R17) antibody [RM1001] (AB281584)

Histone H3 (citrulline R2 + R8 + R17) was immunoprecipitated from 0.35 mg HEK-293T (human embryonic kidney) transfected with PADI4 expression vector containing a GFP-tag treated with 10 mM calcium chloride and 10 μM lonomycin for 4 hours, whole cell lysate 10 μg with 281584 at 1/30 dilution (2μg in 0.35mg lysates). Western blot was performed on the immunoprecipitate using 281584 at 1/1000 dilution. VeriBlot for IP Detection Reagent (HRP)(ab131366) was used at 1/5000 dilution.

Lane 1 : HEK-293T (human embryonic kidney) transfected with PADI4 expression vector containing a GFP-tag treated with 10 mM calcium chloride and 10 μM lonomycin for 4 hours, whole cell lysate 10 μg.

Lane 2 : ab281584 IP in HEK-293T transfected with PADI4 expression vector containing a GFP-tag treated with 10 mM calcium chloride and 10 μM lonomycin for 4 hours whole cell lysate

Lane 3 : Rabbit monoclonal IgG (ab172730) instead of ab281584 in HEK-293T transfected with PADI4 expression vector containing a GFP-tag treated with 10 mM calcium chloride and 10 μM lonomycin for 4 hours whole cell lysate

Blocking and dilution buffer and concentration : 5% NFDM/TBST.

Exposure time : 10 seconds

All lanes:

Immunoprecipitation - Anti-Histone H3 (citrulline R2 + R8 + R17) antibody [RM1001] (ab281584)

Predicted band size: 15 kDa

false

Western blot - Anti-Histone H3 (citrulline R2 + R8 + R17) antibody [RM1001] (AB281584)
  • WB

Lab

Western blot - Anti-Histone H3 (citrulline R2 + R8 + R17) antibody [RM1001] (AB281584)

Blocking and diluting buffer and concentration : 5% NFDM/TBST

Exposure time : 180 seconds

All lanes:

Western blot - Anti-Histone H3 (citrulline R2 + R8 + R17) antibody [RM1001] (ab281584) at 1/1000 dilution

Lane 1:

Untreated C6 (rat glial tumor glial cell) transfected with PADI4 expression vector containing a GFP-tag, whole cell lysate at 20 µg

Lane 2:

C6 transfected with PADI4 expression vector containing a GFP-tag treated with 10 mM calcium chloride and 10 μM lonomycin for 2 hours, whole cell lysate at 20 µg

Secondary

All lanes:

Western blot - Goat Anti-Rabbit IgG H&L (HRP) (<a href='/en-us/products/secondary-antibodies/goat-rabbit-igg-h-l-hrp-ab97051'>ab97051</a>) at 1/100000 dilution

Predicted band size: 15 kDa

false

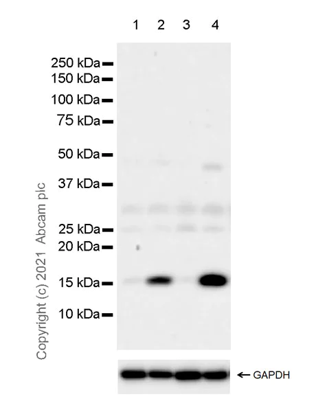
Western blot - Anti-Histone H3 (citrulline R2 + R8 + R17) antibody [RM1001] (AB281584)
  • WB

Lab

Western blot - Anti-Histone H3 (citrulline R2 + R8 + R17) antibody [RM1001] (AB281584)

Blocking and diluting buffer and concentration : 5% NFDM/TBST

Exposure time : 48 seconds

All lanes:

Western blot - Anti-Histone H3 (citrulline R2 + R8 + R17) antibody [RM1001] (ab281584) at 1/1000 dilution

Lane 1:

Untreated HEK-293T (human embryonic kidney) transfected with PADI4 expression vector containing a myc-His-tag®, whole cell lysate at 20 µg

Lane 2:

HEK-293T transfected with PADI4 expression vector containing a myc-His-tag® treated with 10 mM calcium chloride and 10 μM lonomycin for 4 hours, whole cell lysate at 20 µg

Lane 3:

Untreated NIH/3T3 (mouse embryonic fibroblast) transfected with PADI4 expression vector containing a myc-His-tag®, whole cell lysate at 20 µg

Lane 4:

NIH/3T3 transfected with PADI4 expression vector containing a myc-His-tag® treated with 10 mM calcium chloride and 10 μM lonomycin for 4 hours, whole cell lysate at 20 µg

Secondary

All lanes:

Western blot - Goat Anti-Rabbit IgG H&L (HRP) (<a href='/en-us/products/secondary-antibodies/goat-rabbit-igg-h-l-hrp-ab97051'>ab97051</a>) at 1/100000 dilution

Predicted band size: 15 kDa

false

Dot Blot - Anti-Histone H3 (citrulline R2 + R8 + R17) antibody [RM1001] (AB281584)
  • Dot

Supplier Data

Dot Blot - Anti-Histone H3 (citrulline R2 + R8 + R17) antibody [RM1001] (AB281584)

Dot blot analysis of Histone H3 (citrulline R2 + R8 + R17) using 281584 at 1/1000 (0.478 ug/ml) followed by a Goat Anti-Rabbit IgG, (H+L), Peroxidase conjugated (ab97051) at 1/100,000 dilution.

Lane 1 : Histone H3 (citrulline R2) peptide (aa 1-21)

Lane 2 : Histone H3 (citrulline R8) peptide (aa 1-21)

Lane 3 : Histone H3 (citrulline R17) peptide (aa 1-21)

Lane 4 : Histone H3 (citrulline R2/R8/R17) peptide (aa 1-21)

Lane 5 : Unmodified histone H3 peptide (aa 1-21)

Exposure time : 3 minutes

Blocking and diluting buffer and concentration : 5% NFDM/TBST

Peptide Array - Anti-Histone H3 (citrulline R2 + R8 + R17) antibody [RM1001] (AB281584)
  • PepArr

Supplier Data

Peptide Array - Anti-Histone H3 (citrulline R2 + R8 + R17) antibody [RM1001] (AB281584)

Peptide array analysis of ab281584 at (0.1ug/ml) followed by a Goat Anti-Rabbit IgG, (H+L), Fluo 647nm conjugated at 1 : 50,000 dilution. All batches of ab281584 are tested in Peptide Array against 501 different modified and unmodified histone peptides; each peptide is printed on the array at six concentrations (each in triplicate). Circle area represents affinity between the antibody and a peptide : all antigen-containing peptides are displayed as red circles, all other peptides as blue circles. The affinity is calculated as area under curve when antibody binding values are plotted against the corresponding peptide concentration. Each circle area is normalized to the peptide with the strongest affinity. The complete dataset, including full list of all peptides and information on the position of each peptide in the diagram, can be downloaded from the 'documents' section.

  • Carrier free

    Anti-Histone H3 (citrulline R2 + R8 + R17) antibody [RM1001] - BSA and Azide free

Key facts

Host species

Rabbit

Clonality

Multiclonal

Clone number

RM1001

Isotype

IgG

Carrier free

No

Reacts with

Mouse, Rat, Human

Applications

Flow Cyt (Intra), WB, IP, PepArr, Dot, ICC/IF

applications

Immunogen

The exact immunogen used to generate this antibody is proprietary information.

Reactivity data

{ "title": "Reactivity Data", "filters": { "stats": ["", "Species", "Dilution Info", "Notes"], "tabs": { "all-applications": {"fullname" : "All Applications", "shortname": "All Applications"}, "PepArr" : {"fullname" : "Peptide Array", "shortname":"PepArr"}, "Dot" : {"fullname" : "Dot Blot", "shortname":"Dot"}, "WB" : {"fullname" : "Western blot", "shortname":"WB"}, "IHCP" : {"fullname" : "Immunohistochemistry (Formalin/PFA-fixed paraffin-embedded sections)", "shortname":"IHC-P"}, "ChIP" : {"fullname" : "ChIP", "shortname":"ChIP"}, "IP" : {"fullname" : "Immunoprecipitation", "shortname":"IP"}, "FlowCytIntra" : {"fullname" : "Flow Cytometry (Intracellular)", "shortname":"Flow Cyt (Intra)"}, "ICCIF" : {"fullname" : "Immunocytochemistry/ Immunofluorescence", "shortname":"ICC/IF"} }, "product-promise": { "all": "all", "testedAndGuaranteed": "tested", "guaranteed": "expected", "predicted": "predicted", "notRecommended": "not-recommended" } }, "values": { "Human": { "PepArr-species-checked": "guaranteed", "PepArr-species-dilution-info": "", "PepArr-species-notes": "", "Dot-species-checked": "guaranteed", "Dot-species-dilution-info": "", "Dot-species-notes": "", "WB-species-checked": "testedAndGuaranteed", "WB-species-dilution-info": "1/1000", "WB-species-notes": "<p>The up-regulation of PADI4 expression can induce the citrullination modification of Histone H3. Therefore, we suggest choosing cells overexpressing the PADI4 protein as the positive control.</p>", "IHCP-species-checked": "notRecommended", "IHCP-species-dilution-info": "", "IHCP-species-notes": "<p></p>", "ChIP-species-checked": "notRecommended", "ChIP-species-dilution-info": "", "ChIP-species-notes": "<p></p>", "IP-species-checked": "testedAndGuaranteed", "IP-species-dilution-info": "1/30", "IP-species-notes": "<p></p>", "FlowCytIntra-species-checked": "testedAndGuaranteed", "FlowCytIntra-species-dilution-info": "1/500", "FlowCytIntra-species-notes": "<p></p>", "ICCIF-species-checked": "testedAndGuaranteed", "ICCIF-species-dilution-info": "1/2000", "ICCIF-species-notes": "<p></p>" }, "Mouse": { "PepArr-species-checked": "guaranteed", "PepArr-species-dilution-info": "", "PepArr-species-notes": "", "Dot-species-checked": "guaranteed", "Dot-species-dilution-info": "", "Dot-species-notes": "", "WB-species-checked": "testedAndGuaranteed", "WB-species-dilution-info": "1/1000", "WB-species-notes": "<p>The up-regulation of PADI4 expression can induce the citrullination modification of Histone H3. Therefore, we suggest choosing cells overexpressing the PADI4 protein as the positive control.</p>", "IHCP-species-checked": "notRecommended", "IHCP-species-dilution-info": "", "IHCP-species-notes": "<p></p>", "ChIP-species-checked": "notRecommended", "ChIP-species-dilution-info": "", "ChIP-species-notes": "", "IP-species-checked": "guaranteed", "IP-species-dilution-info": "", "IP-species-notes": "", "FlowCytIntra-species-checked": "guaranteed", "FlowCytIntra-species-dilution-info": "", "FlowCytIntra-species-notes": "", "ICCIF-species-checked": "guaranteed", "ICCIF-species-dilution-info": "", "ICCIF-species-notes": "" }, "Rat": { "PepArr-species-checked": "guaranteed", "PepArr-species-dilution-info": "", "PepArr-species-notes": "", "Dot-species-checked": "guaranteed", "Dot-species-dilution-info": "", "Dot-species-notes": "", "WB-species-checked": "testedAndGuaranteed", "WB-species-dilution-info": "1/1000", "WB-species-notes": "<p>The up-regulation of PADI4 expression can induce the citrullination modification of Histone H3. Therefore, we suggest choosing cells overexpressing the PADI4 protein as the positive control.</p>", "IHCP-species-checked": "notRecommended", "IHCP-species-dilution-info": "", "IHCP-species-notes": "<p></p>", "ChIP-species-checked": "notRecommended", "ChIP-species-dilution-info": "", "ChIP-species-notes": "", "IP-species-checked": "guaranteed", "IP-species-dilution-info": "", "IP-species-notes": "", "FlowCytIntra-species-checked": "guaranteed", "FlowCytIntra-species-dilution-info": "", "FlowCytIntra-species-notes": "", "ICCIF-species-checked": "guaranteed", "ICCIF-species-dilution-info": "", "ICCIF-species-notes": "" }, "Synthetic peptide - Human": { "PepArr-species-checked": "testedAndGuaranteed", "PepArr-species-dilution-info": "", "PepArr-species-notes": "<p></p>", "Dot-species-checked": "testedAndGuaranteed", "Dot-species-dilution-info": "", "Dot-species-notes": "<p></p>", "WB-species-checked": "notRecommended", "WB-species-dilution-info": "", "WB-species-notes": "", "IHCP-species-checked": "notRecommended", "IHCP-species-dilution-info": "", "IHCP-species-notes": "", "ChIP-species-checked": "notRecommended", "ChIP-species-dilution-info": "", "ChIP-species-notes": "", "IP-species-checked": "notRecommended", "IP-species-dilution-info": "", "IP-species-notes": "", "FlowCytIntra-species-checked": "notRecommended", "FlowCytIntra-species-dilution-info": "", "FlowCytIntra-species-notes": "", "ICCIF-species-checked": "notRecommended", "ICCIF-species-dilution-info": "", "ICCIF-species-notes": "" } } }

Product details

Product Specifications
Anti-Histone H3 (citrulline R2 + R8 + R17) antibody [RM1001] (ab281584) is a recombinant rabbit multiclonal antibody which is comprised of multiple monoclonal antibodies targeting different epitopes and recapitulating the performance of a polyclonal. Each component clone was developed by Abcam using patented rabbit monoclonal antibody technology.
Anti-Histone H3 (citrulline R2 + R8 + R17) antibody [RM1001] (ab281584) is validated for use in Dot blot, Flow Cyt (Intra), ICC/IF, IP, PepArr and WB in human, mouse and rat samples.
Anti-Histone H3 (citrulline R2 + R8 + R17) antibody [RM1001] (ab281584) specifically detects Histone H3 (citrulline R2 + R8 + R17) (UniProt ID: P68431; Molecular weight: 15kDa) and is sold in a convenient trial size to enable initial testing (20 µL) and larger sizes for subsequent scaling up experiments (100 µL and 1 mL).

Quality and Validation
Abcams high quality manufacturing and validation processes ensure anti-Histone H3 (citrulline R2 + R8 + R17) antibody [RM1001] (ab281584) has high sensitivity and specificity alongside high lot-to-lot consistency and reproducibility.

Related Products
Conjugation-ready, carrier free format available for antibody clone RM1001 - ab283863.

Target Information
This antibody is a key tool in cancer research, particularly in understanding histone citrullination's role in tumorigenesis, and is widely used in studies of gene expression, DNA repair, and autoimmune diseases like rheumatoid arthritis and lupus, involving protein arginine deiminases (PADs) and NETosis. Histone hypercitrullination is reported to play a role the progression of various cancers, including multiple myeloma, acute myeloid leukemia , lung cancer, and hepatocellular carcinoma.

Patented technology
Our RabMAb® technology is a patented hybridoma-based technology for making rabbit monoclonal antibodies. For details on our patents, please refer to RabMAb® patents.

Properties and storage information

Form
Liquid
Purification technique
Affinity purification Protein A
Storage buffer
pH: 7.2 - 7.4 Preservative: 0.01% Sodium azide Constituents: PBS, 40% Glycerol (glycerin, glycerine), 0.05% BSA
Shipped at conditions
Blue Ice
Appropriate short-term storage duration
1-2 weeks
Appropriate short-term storage conditions
+4°C
Appropriate long-term storage conditions
-20°C
Aliquoting information
Upon delivery aliquot
Storage information
Avoid freeze / thaw cycle

Product protocols

For this product, it's our understanding that no specific protocols are required. You can visit:

Target data

Core component of nucleosome. Nucleosomes wrap and compact DNA into chromatin, limiting DNA accessibility to the cellular machineries which require DNA as a template. Histones thereby play a central role in transcription regulation, DNA repair, DNA replication and chromosomal stability. DNA accessibility is regulated via a complex set of post-translational modifications of histones, also called histone code, and nucleosome remodeling.
See full target information H3C1 citrulline R2 + R8 + R17

Publications (49)

Recent publications for all applications. Explore the full list and refine your search

International dental journal 75:100958 PubMed40902508

2025

Initial Insights into the NET-Associated ceRNA Network in Pulpitis: Transcriptomic and Functional Exploration.

Applications

Unspecified application

Species

Unspecified reactive species

Xiaolan Guo,Kailun Wu,Longrui Dang,Sitong Liu,Jing Xu,Runting Wang,Junyang Xu,Yiming Zhong,Zhao Chen,Buling Wu

Frontiers in neurology 16:1596158 PubMed40689325

2025

Targeting revascularization via tryptophan-indole-NETs axis: the synergistic power of acupuncture and rt-PA thrombolysis in ischemic stroke.

Applications

Unspecified application

Species

Unspecified reactive species

Siqi Chang,Yi Zhao,Chengfeng Li,Xinyu Liu,Zixuan Fang,Zihao Peng,Mingliang Gao,Yawen Xia,Guangxia Ni

Diabetology & metabolic syndrome 17:279 PubMed40682113

2025

Irisin regulates integrin αvβ5/FAK/ERK to inhibit neutrophil extracellular traps formation and reduce pancreatic beta-cells pyroptosis in type 2 diabetes mellitus.

Applications

Unspecified application

Species

Unspecified reactive species

Anjun Tan,Tianrong Li,Jingjing Yang,Xiaolu Li,Wenqin Li,Jinwen Yu

Frontiers in neurology 16:1515596 PubMed40625905

2025

Overall leukocyte levels link risk factors to Von Willebrand factor and Neutrophil Extracellular Traps in stroke thrombi: a Structural Equation Modeling analysis.

Applications

Unspecified application

Species

Unspecified reactive species

Lin Shi,Chunxiao Wei,Guowei Ye,Panpan Zhao,Shiqiang Ma,Yiming Qi,Ruolin Zhou,Yaru Zhang,Yan Zhang,Lingjie Meng,Weihang Xu,Chao Li,Shouchun Wang,Li Sun

International journal of molecular sciences 26: PubMed40565035

2025

Peptidylarginine Deiminase 4 Deficiency Suppresses Neutrophil Extracellular Trap Formation and Ameliorates Elastase-Induced Emphysema in Mouse Lung.

Applications

Unspecified application

Species

Unspecified reactive species

Megumi Katsumata,Jun Ikari,Akira Urano,Eiko Suzuki,Kazuto Kugou,Yoshinori Hasegawa,Koichiro Tatsumi,Takuji Suzuki

Frontiers in immunology 16:1574246 PubMed40568586

2025

IL-17A drives a fibroblast-neutrophil-NET axis to exacerbate immunopathology in the lung with diffuse alveolar damage.

Applications

Unspecified application

Species

Unspecified reactive species

Duo Su,Lu Li,Hao Xie,Lingli Ai,Yuqing Wang,Bo Yang,Dongsheng Zhou,Lingfei Hu,Huiying Yang

Nature communications 16:5052 PubMed40447567

2025

Integrated plasma and vegetation proteomic characterization of infective endocarditis for early diagnosis and treatment.

Applications

Unspecified application

Species

Unspecified reactive species

Shiman He,Xuejiao Hu,Jiajun Zhu,Weiteng Wang,Chi Ma,Peng Ran,Oudi Chen,Fanyu Chen,Hongkun Qing,Jianhong Ma,Danni Zeng,Yunzhi Wang,Weijiang Liu,Jinwen Feng,Lixi Gan,Zhaoyu Qin,Subei Tan,Sha Tian,Chen Ding,Xuhua Jian,Bing Gu

Cells 14: PubMed40422243

2025

Activated Immune and Complement C3 Are Potential Contributors in MASH via Stimulating Neutrophil Extracellular Traps.

Applications

Unspecified application

Species

Unspecified reactive species

Ao Liu,Xiaoling Deng,Shuhui Hou,Yuwen Xi,Keshu Xu

PloS one 20:e0318118 PubMed40403091

2025

Scavenger receptor class B type I knockout mice develop extensive diet-induced coronary artery atherosclerosis in an age-dependent manner.

Applications

Unspecified application

Species

Unspecified reactive species

Samuel K Lee,Ting Xiong,Alexander S Qian,Jeong-Ah Yoo,B Sumayyah H Sokeechand,Mark T Fuller,Peter L Gross,Richard C Austin,Suleiman A Igdoura,Bernardo L Trigatti

International journal of immunopathology and pharmacology 39:3946320251338661 PubMed40390290

2025

Synergistic inhibition of CitH3 and S100A8/A9: A novel therapeutic strategy for mitigating sepsis-induced inflammation and lung injury.

Applications

Unspecified application

Species

Unspecified reactive species

Tao Dong,Wenlu Ouyang,Xin Yu,Ting Zhao,Liujiazi Shao,Chao Quan,Suhe Wang,Jianjie Ma,Yongqing Li
View all publications
peptideArrayWebsite
en

Product promise

We are committed to supporting your work with high-quality reagents, and we're here for you every step of the way. In the unlikely event that one of our products does not perform as expected, you're protected by our Product Promise.
For full details, please see our Terms & Conditions

Please note: All products are 'FOR RESEARCH USE ONLY. NOT FOR USE IN DIAGNOSTIC OR THERAPEUTIC PROCEDURES'.

For licensing inquiries, please contact partnerships@abcam.com