JavaScript is disabled in your browser. Please enable JavaScript to view this website.
AB212082

Anti-Histone H3 (citrulline R26) antibody [EPR20606]

5

(2 Reviews)

|

(5 Publications)

Rabbit Recombinant Monoclonal H3 citrulline R26 antibody. Suitable for ELISA, Dot, WB and reacts with Synthetic peptide, Mouse, Human samples. Cited in 5 publications.

View Alternative Names

H3FA, HIST1H3A, H3C2, H3FL, HIST1H3B, H3C3, H3FC HIST1H3C, H3C4, H3FB, HIST1H3D, H3C6, H3FD, HIST1H3E, H3C7, H3FI, HIST1H3F, H3C8, H3FH, HIST1H3G, H3C10, H3FK, HIST1H3H, H3C11, H3FF, HIST1H3I, H3C12, H3FJ, HIST1H3J, H3FC, HIST1H3C, H3C1, Histone H3.1, Histone H3/a, Histone H3/b, Histone H3/c, Histone H3/d, Histone H3/f, Histone H3/h, Histone H3/i, Histone H3/j, Histone H3/k, Histone H3/l, H3R26cit

4 Images
ELISA - Anti-Histone H3 (citrulline R26) antibody [EPR20606] (AB212082)
  • ELISA

Unknown

ELISA - Anti-Histone H3 (citrulline R26) antibody [EPR20606] (AB212082)

ELISA using ab212082 labeling Histone H3 (Citrulline R26) Histone H3R26 unmodified Histone H3 (Citrulline R17) Histone H3 (Citrulline R8) Histone H3 (Citrulline R2) and Histone H3R2/8/17 unmodified at 1 μg/ml. ab212082 was used at a range between 0 -1 μg/ml.

Alkaline Phosphatase-conjugated AffiniPure Goat Anti-Rabbit IgG(H+L) was used as secondary antibody at 1/2500 dilution.

ab212082 cross binds H3R8Cit at 14%.

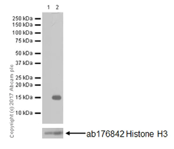
Western blot - Anti-Histone H3 (citrulline R26) antibody [EPR20606] (AB212082)
  • WB

Supplier Data

Western blot - Anti-Histone H3 (citrulline R26) antibody [EPR20606] (AB212082)

Histone H3R26 is citrullinated by PADI4, CaCl2 is used as a co-factor according to the literature (PMID : 16567635). Ionomycin is used to improve the modification by PADI4 according to the literature (PMID : 26360112).

Blocking/Dilution buffer : 5% BSA/TBST.

All lanes:

Western blot - Anti-Histone H3 (citrulline R26) antibody [EPR20606] (ab212082) at 1/1000 dilution

Lane 1:

HEK-293T (human epithelial cell line from embryonic kidney transformed with large T antigen) transfected with an empty vector (control) then treated with 10 mM CaCl2 and 10 μM Ionomycin for 2 hours, whole cell lysate at 10 µg

Lane 2:

HEK-293T transfected with a GFP-tagged PADI4 expression vector then treated with 10 mM CaCl2 and 10 μM Ionomycin for 2 hours, whole cell lysate at 10 µg

Secondary

All lanes:

Western blot - Goat Anti-Rabbit IgG H&L (HRP) (<a href='/en-us/products/secondary-antibodies/goat-rabbit-igg-h-l-hrp-ab97051'>ab97051</a>) at 1/100000 dilution

Predicted band size: 15 kDa

Observed band size: 15 kDa

true

Exposure time: 5s

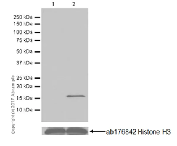
Western blot - Anti-Histone H3 (citrulline R26) antibody [EPR20606] (AB212082)
  • WB

Supplier Data

Western blot - Anti-Histone H3 (citrulline R26) antibody [EPR20606] (AB212082)

Histone H3R26 is citrullinated by PADI4, CaCl2 is used as a co-factor according to the literature (PMID : 16567635). Ionomycin is used to improve the modification by PADI4 according to the literature (PMID : 26360112).

Blocking/Dilution buffer : 5% BSA/TBST.

All lanes:

Western blot - Anti-Histone H3 (citrulline R26) antibody [EPR20606] (ab212082) at 1/1000 dilution

Lane 1:

NIH/3T3 (mouse embryonic fibroblast cell line) transfected with a GFP-tagged empty vector (control) then treated with 10 mM CaCl2 for 2 hours, whole cell lysate at 10 µg

Lane 2:

NIH/3T3 transfected with a GFP-tagged PADI4 expression vector treated with 10 mM CaCl2 for 2 hours, whole cell lysate at 10 µg

Secondary

All lanes:

Western blot - Goat Anti-Rabbit IgG H&L (HRP) (<a href='/en-us/products/secondary-antibodies/goat-rabbit-igg-h-l-hrp-ab97051'>ab97051</a>) at 1/100000 dilution

Predicted band size: 15 kDa

Observed band size: 15 kDa

false

Exposure time: 3min

Dot Blot - Anti-Histone H3 (citrulline R26) antibody [EPR20606] (AB212082)
  • Dot

Supplier Data

Dot Blot - Anti-Histone H3 (citrulline R26) antibody [EPR20606] (AB212082)

Dot blot analysis of Histone H3 (citrulline R26) labeled with ab212082 at 1/1000 dilution.

Lane 1 : Histone H3 (citrulline R26) peptide (aa25-36)

Lane 2 : Histone H3 (Citrulline R17) peptide (aa1-21)

Lane 3 : Histone H3 (Citrulline R8) peptide (aa1-21)

Lane 4 : Histone H3 (Citrulline R2) peptide (aa1-21)

Lane 5 : Histone H3 peptide (aa1-21)

Lane 6 : Histone H3 peptide (aa19-36)

Goat Anti-Rabbit IgG H&L (HRP) (ab97051) at 1/100000 dilution was used as secondary antibody.

Blocking/Dilution buffer : 5% NFDM/TBST.

Exposure time : 30 seconds.

Key facts

Host species

Rabbit

Clonality

Monoclonal

Clone number

EPR20606

Isotype

IgG

Carrier free

No

Reacts with

Mouse, Human

Applications

WB, Dot, ELISA

applications

Immunogen

The exact immunogen used to generate this antibody is proprietary information.

Reactivity data

{ "title": "Reactivity Data", "filters": { "stats": ["", "Species", "Dilution Info", "Notes"], "tabs": { "all-applications": {"fullname" : "All Applications", "shortname": "All Applications"}, "ELISA" : {"fullname" : "ELISA", "shortname":"ELISA"}, "Dot" : {"fullname" : "Dot Blot", "shortname":"Dot"}, "WB" : {"fullname" : "Western blot", "shortname":"WB"} }, "product-promise": { "all": "all", "testedAndGuaranteed": "tested", "guaranteed": "expected", "predicted": "predicted", "notRecommended": "not-recommended" } }, "values": { "Human": { "ELISA-species-checked": "guaranteed", "ELISA-species-dilution-info": "", "ELISA-species-notes": "", "Dot-species-checked": "guaranteed", "Dot-species-dilution-info": "", "Dot-species-notes": "", "WB-species-checked": "testedAndGuaranteed", "WB-species-dilution-info": "1/1000", "WB-species-notes": "<p></p>" }, "Mouse": { "ELISA-species-checked": "guaranteed", "ELISA-species-dilution-info": "", "ELISA-species-notes": "", "Dot-species-checked": "guaranteed", "Dot-species-dilution-info": "", "Dot-species-notes": "", "WB-species-checked": "testedAndGuaranteed", "WB-species-dilution-info": "1/1000", "WB-species-notes": "<p></p>" }, "Synthetic peptide": { "ELISA-species-checked": "testedAndGuaranteed", "ELISA-species-dilution-info": "1 µg/mL", "ELISA-species-notes": "<p></p>", "Dot-species-checked": "testedAndGuaranteed", "Dot-species-dilution-info": "1/1000", "Dot-species-notes": "<p></p>", "WB-species-checked": "notRecommended", "WB-species-dilution-info": "", "WB-species-notes": "" } } }

Product details

Patented technology
Our RabMAb® technology is a patented hybridoma-based technology for making rabbit monoclonal antibodies. For details on our patents, please refer to RabMAb® patents.

What are the advantages of a recombinant monoclonal antibody?
This product is a recombinant monoclonal antibody, which offers several advantages including:

  • - High batch-to-batch consistency and reproducibility
  • - Improved sensitivity and specificity
  • - Long-term security of supply
  • - Animal-free batch production

For more information, read more on recombinant antibodies.

Properties and storage information

Form
Liquid
Purification technique
Affinity purification Protein A
Storage buffer
pH: 7.2 - 7.4 Preservative: 0.01% Sodium azide Constituents: PBS, 40% Glycerol (glycerin, glycerine), 0.05% BSA
Shipped at conditions
Blue Ice
Appropriate short-term storage duration
1-2 weeks
Appropriate short-term storage conditions
+4°C
Appropriate long-term storage conditions
-20°C
Aliquoting information
Upon delivery aliquot
Storage information
Avoid freeze / thaw cycle

Product protocols

For this product, it's our understanding that no specific protocols are required. You can visit:

Target data

The protein expressed by gene H3C1 is a core component of the nucleosome, which is essential for wrapping and compacting DNA into chromatin. This process restricts DNA accessibility to cellular machineries that use DNA as a template. Consequently, histones are central to transcription regulation, DNA repair, DNA replication, and chromosomal stability. DNA accessibility is regulated through a complex set of post-translational modifications of histones, known as the histone code, and through nucleosome remodeling. This supplementary information is collated from multiple sources and compiled automatically.
See full target information H3C1 citrulline R26

Publications (5)

Recent publications for all applications. Explore the full list and refine your search

iScience 28:113485 PubMed41019372

2025

Comparative effects of hemodialysis modalities on microparticle induction and neutrophil activation in a randomized cross-over study.

Applications

Unspecified application

Species

Unspecified reactive species

Awirut Charoensappakit,Jirarat Eiamcharoenying,Kritsanawan Sae-Khow,Suwasin Udomkarnjananun,Khajohn Tiranathanagul,Asada Leelahavanichkul

European journal of immunology 55:e202451298 PubMed39508544

2024

Neutrophil Extracellular Traps Participate in the Pathogenesis of Lupus Through S100A10-Mediated Regulatory T-Cell Differentiation and Functional Abnormalities.

Applications

Unspecified application

Species

Unspecified reactive species

Hua Guo,Qian Liang,Zhonghui Xue,Junling Yang,Pengyu Chen,Juan Ji,Jing Li,Genkai Guo,Haixia Cao,Xiaoqi Sha,Rui Zhao,Chen Dong,Zhifeng Gu

Philosophical transactions of the Royal Society of London. Series B, Biological sciences 378:20220248 PubMed37778388

2023

Small molecule activates citrullination through targeting PAD2.

Applications

Unspecified application

Species

Unspecified reactive species

Xue Zhang,Mengzhen Shen,Huimin Zhu,Junjie Zhang,Min Yang,Kaiyan Su,Yirong Zhang,Wei Fu,Xisong Ke,Yi Qu

Cells 11: PubMed36010543

2022

Deficiency Alters the Epigenomic Landscape and Causes Premature Differentiation of Mouse Trophoblast Stem Cells.

Applications

Unspecified application

Species

Unspecified reactive species

Noura N Ballasy,Elizabeth A Bering,Caroline Kokorudz,Bethany N Radford,Xiang Zhao,Wendy Dean,Myriam Hemberger

Immunity 53:805-823.e15 PubMed33053330

2020

CD155 on Tumor Cells Drives Resistance to Immunotherapy by Inducing the Degradation of the Activating Receptor CD226 in CD8 T Cells.

Applications

Unspecified application

Species

Unspecified reactive species

Matthias Braun,Amelia Roman Aguilera,Ashmitha Sundarrajan,Dillon Corvino,Kimberley Stannard,Sophie Krumeich,Indrajit Das,Luize G Lima,Lizeth G Meza Guzman,Kunlun Li,Rui Li,Nazhifah Salim,Maria Villancanas Jorge,Sunyoung Ham,Gabrielle Kelly,Frank Vari,Ailin Lepletier,Ashwini Raghavendra,Sally Pearson,Jason Madore,Sebastien Jacquelin,Maike Effern,Brodie Quine,Lambros T Koufariotis,Mika Casey,Kyohei Nakamura,Eun Y Seo,Michael Hölzel,Matthias Geyer,Glen Kristiansen,Touraj Taheri,Elizabeth Ahern,Brett G M Hughes,James S Wilmott,Georgina V Long,Richard A Scolyer,Martin D Batstone,Jennifer Landsberg,Dimo Dietrich,Oltin T Pop,Lukas Flatz,William C Dougall,André Veillette,Sandra E Nicholson,Andreas Möller,Robert J Johnston,Ludovic Martinet,Mark J Smyth,Tobias Bald
View all publications

Product promise

We are committed to supporting your work with high-quality reagents, and we're here for you every step of the way. In the unlikely event that one of our products does not perform as expected, you're protected by our Product Promise.
For full details, please see our Terms & Conditions

Please note: All products are 'FOR RESEARCH USE ONLY. NOT FOR USE IN DIAGNOSTIC OR THERAPEUTIC PROCEDURES'.

For licensing inquiries, please contact partnerships@abcam.com