JavaScript is disabled in your browser. Please enable JavaScript to view this website.
AB318965

Anti-Histone H3 (di methyl K36) antibody [EPR28335-73] - BSA and Azide free

  • BOND RX™ Validated
  • Recombinant
  • Advanced Validation
  • RabMAb
  • What is this?

Be the first to review this product! Submit a review

|

(0 Publication)

Rabbit Recombinant Monoclonal H3 di methyl K36 antibody. Carrier free. Suitable for PepArr, ChIP-seq, IHC-P, Flow Cyt (Intra), ICC/IF, WB, IP and reacts with Synthetic peptide, Human, Mouse, Rat samples.

View Alternative Names

H3FA, HIST1H3A, H3C2, H3FL, HIST1H3B, H3C3, H3FC HIST1H3C, H3C4, H3FB, HIST1H3D, H3C6, H3FD, HIST1H3E, H3C7, H3FI, HIST1H3F, H3C8, H3FH, HIST1H3G, H3C10, H3FK, HIST1H3H, H3C11, H3FF, HIST1H3I, H3C12, H3FJ, HIST1H3J, HIST1H3C, H3FC, H3C1, Histone H3.1, Histone H3/a, Histone H3/b, Histone H3/c, Histone H3/d, Histone H3/f, Histone H3/h, Histone H3/i, Histone H3/j, Histone H3/k, Histone H3/l, H3K36me2, H3K36me, H3K36

15 Images
Immunohistochemistry (Formalin/PFA-fixed paraffin-embedded sections) - Anti-Histone H3 (di methyl K36) antibody [EPR28335-73] - BSA and Azide free (AB318965)
  • IHC-P

Supplier Data

Immunohistochemistry (Formalin/PFA-fixed paraffin-embedded sections) - Anti-Histone H3 (di methyl K36) antibody [EPR28335-73] - BSA and Azide free (AB318965)

This data was developed using ab318964, the same antibody clone in a different buffer formulation.

Immunohistochemical analysis of paraffin-embedded Human placenta tissue labeling Histone H3 (di methyl K36) with ab318964 at 1/2000 (0.267 ug/ml) dilution, followed by a ready to use LeicaDS9800 (Bond™ Polymer Refine Detection).

Positive staining on human placenta. The section was incubated with ab318964 for 30 mins at room temperature. The immunostaining was performed on a Leica Biosystems BOND® RX instrument. Incubate slides with 3% Hydrogen Peroxide for 10 mins at room temperature after secondary antibody incubation to reduce the background

Counterstained with Hematoxylin.

Secondary antibody only control : Secondary antibody is a ready to use LeicaDS9800 (Bond™ Polymer Refine Detection).

Heat mediated antigen retrieval was performed with Tris-EDTA buffer (pH 9.0, Epitope Retrieval Solution2) for 20 mins

Immunocytochemistry/ Immunofluorescence - Anti-Histone H3 (di methyl K36) antibody [EPR28335-73] - BSA and Azide free (AB318965)
  • ICC/IF

Supplier Data

Immunocytochemistry/ Immunofluorescence - Anti-Histone H3 (di methyl K36) antibody [EPR28335-73] - BSA and Azide free (AB318965)

This data was developed using ab318964, the same antibody clone in a different buffer formulation.

Immunofluorescent analysis of 4% Paraformaldehyde-fixed, 0.1% TritonX-100 permeabilized HeLa (human cervical adenocarcinoma epithelial cell) cells labelling Histone H3 (di methyl K36) with ab318964 at 1/500 (1.068 ug/ml) dilution, followed by ab150081 Goat Anti-Rabbit IgG H&L (Alexa Fluor® 488) preadsorbed antibody at 1/1000 2 ug/ml dilution (Green).

Confocal image showing nuclear staining in HeLa cell line (shown in green). The counterstain was observed in magenta. Nuclear DNA was labelled with DAPI (shown in blue). Image was taken with a confocal microscope (Leica-Microsystems, TCS SP8).

ab195889 Anti-alpha Tubulin mouse monoclonal antibody - Microtubule Marker (Alexa Fluor® 594) was used to counterstain tubulin at 1/200 2.5 dilution (Magenta). The Nuclear counterstain was DAPI (Blue).

Secondary antibody only control : Secondary antibody is ab150081 Goat Anti-Rabbit IgG H&L (Alexa Fluor® 488) preadsorbed at 1/1000 2 ug/ml dilution.

Flow Cytometry (Intracellular) - Anti-Histone H3 (di methyl K36) antibody [EPR28335-73] - BSA and Azide free (AB318965)
  • Flow Cyt (Intra)

Supplier Data

Flow Cytometry (Intracellular) - Anti-Histone H3 (di methyl K36) antibody [EPR28335-73] - BSA and Azide free (AB318965)

This data was developed using ab318964, the same antibody clone in a different buffer formulation.

Flow cytometric analysis of 4% paraformaldehyde fixed 90% methanol permeabilized HeLa (human cervical adenocarcinoma epithelial cell) cells labelling Histone H3 (di methyl K36) with ab318964 at 1/500 dilution (0.1 ug)/Red compared with a Rabbit monoclonal IgG (ab172730) (Black) isotype control and an unlabelled control (cells without incubation with primary antibody and secondary antibody) (Blue).

Goat Anti-Rabbit IgG (Alexa Fluor® 488, ab150081) at 1/5000 dilution was used as the secondary antibody.

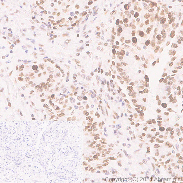
Immunohistochemistry (Formalin/PFA-fixed paraffin-embedded sections) - Anti-Histone H3 (di methyl K36) antibody [EPR28335-73] - BSA and Azide free (AB318965)
  • IHC-P

Supplier Data

Immunohistochemistry (Formalin/PFA-fixed paraffin-embedded sections) - Anti-Histone H3 (di methyl K36) antibody [EPR28335-73] - BSA and Azide free (AB318965)

This data was developed using ab318964, the same antibody clone in a different buffer formulation.

Immunohistochemical analysis of paraffin-embedded Human prostatic hyperplasia tissue labeling Histone H3 (di methyl K36) with ab318964 at 1/2000 (0.267 ug/ml) dilution, followed by a ready to use LeicaDS9800 (Bond™ Polymer Refine Detection).

Positive staining on human prostatic hyperplasia. The section was incubated with ab318964 for 30 mins at room temperature. The immunostaining was performed on a Leica Biosystems BOND® RX instrument. Incubate slides with 3% Hydrogen Peroxide for 10 mins at room temperature after secondary antibody incubation to reduce the background

Counterstained with Hematoxylin.

Secondary antibody only control : Secondary antibody is a ready to use LeicaDS9800 (Bond™ Polymer Refine Detection).

Heat mediated antigen retrieval was performed with Tris-EDTA buffer (pH 9.0, Epitope Retrieval Solution2) for 20 mins

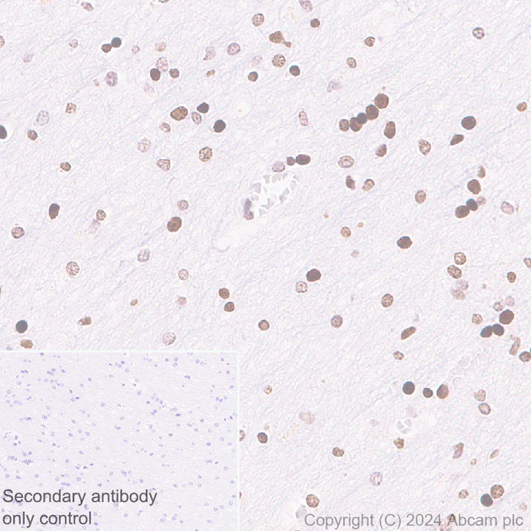
Immunohistochemistry (Formalin/PFA-fixed paraffin-embedded sections) - Anti-Histone H3 (di methyl K36) antibody [EPR28335-73] - BSA and Azide free (AB318965)
  • IHC-P

Supplier Data

Immunohistochemistry (Formalin/PFA-fixed paraffin-embedded sections) - Anti-Histone H3 (di methyl K36) antibody [EPR28335-73] - BSA and Azide free (AB318965)

This data was developed using ab318964, the same antibody clone in a different buffer formulation.

Immunohistochemical analysis of paraffin-embedded Human cerebrum tissue labeling Histone H3 (di methyl K36) with ab318964 at 1/2000 (0.267 ug/ml) dilution, followed by a ready to use LeicaDS9800 (Bond™ Polymer Refine Detection).

Positive staining on human cerebrum. The section was incubated with ab318964 for 30 mins at room temperature. The immunostaining was performed on a Leica Biosystems BOND® RX instrument. Incubate slides with 3% Hydrogen Peroxide for 10 mins at room temperature after secondary antibody incubation to reduce the background

Counterstained with Hematoxylin.

Secondary antibody only control : Secondary antibody is a ready to use LeicaDS9800 (Bond™ Polymer Refine Detection).

Heat mediated antigen retrieval was performed with Tris-EDTA buffer (pH 9.0, Epitope Retrieval Solution2) for 20 mins

Immunoprecipitation - Anti-Histone H3 (di methyl K36) antibody [EPR28335-73] - BSA and Azide free (AB318965)
  • IP

Supplier Data

Immunoprecipitation - Anti-Histone H3 (di methyl K36) antibody [EPR28335-73] - BSA and Azide free (AB318965)

This data was developed using ab318964, the same antibody clone in a different buffer formulation.

Histone H3 (di methyl K36) was immunoprecipitated from 0.35 mg HeLa (human cervical adenocarcinoma epithelial cell) histone lysate with ab318964 at 1/30 dilution (2ug in 0.35mg lysates). Western blot was performed on the immunoprecipitate using ab318964 at 1/1000 dilution. VeriBlot for IP secondary antibody(HRP)(ab131366) was used at 1/5000 dilution.

Lane 1 : HeLa (human cervical adenocarcinoma epithelial cell) histone lysate
Lane 2 : ab318964 IP in HeLa (human cervical adenocarcinoma epithelial cell) histone lysate
Lane 3 : Rabbit monoclonal IgG (ab172730) instead of ab318964 in HeLa histone lysate

All lanes:

Immunoprecipitation - Anti-Histone H3 (di methyl K36) antibody [EPR28335-73] (<a href='/en-us/products/primary-antibodies/histone-h3-di-methyl-k36-antibody-epr28335-73-ab318964'>ab318964</a>) at 1/30 dilution

All lanes:

HeLa (human cervical adenocarcinoma epithelial cell) histone lysate with NFDM/TBST

Secondary

All lanes:

Immunoprecipitation - VeriBlot for IP Detection Reagent (HRP) (<a href='/en-us/products/reagents/veriblot-for-ip-detection-reagent-hrp-ab131366'>ab131366</a>) at 1/5000 dilution

false

Exposure time: 180s

ChIP-sequencing - Anti-Histone H3 (di methyl K36) antibody [EPR28335-73] - BSA and Azide free (AB318965)
  • ChIP-seq

Supplier Data

ChIP-sequencing - Anti-Histone H3 (di methyl K36) antibody [EPR28335-73] - BSA and Azide free (AB318965)

This data was developed using ab318964, the same antibody clone in a different buffer formulation.

Chromatin was prepared from HeLa cells. Cells were fixed with 1% formaldehyde for 10 minutes. ChIP was performed with 107 cells and 8 µg of ab318964 [EPR28335-73]. ChIP DNA was sequenced on the Illumina NovaSeq 6000 to a depth of 60 million reads. The Input control is also shown.

ChIP-sequencing - Anti-Histone H3 (di methyl K36) antibody [EPR28335-73] - BSA and Azide free (AB318965)
  • ChIP-seq

Supplier Data

ChIP-sequencing - Anti-Histone H3 (di methyl K36) antibody [EPR28335-73] - BSA and Azide free (AB318965)

This data was developed using ab318964, the same antibody clone in a different buffer formulation.

Chromatin was prepared from HeLa cells. Cells were fixed with 1% formaldehyde for 10 minutes. ChIP was performed with 107 cells and 8 µg of ab318964 [EPR28335-73]. ChIP DNA was sequenced on the Illumina NovaSeq 6000 to a depth of 60 million reads. The Input control is also shown.

ChIP-sequencing - Anti-Histone H3 (di methyl K36) antibody [EPR28335-73] - BSA and Azide free (AB318965)
  • ChIP-seq

Supplier Data

ChIP-sequencing - Anti-Histone H3 (di methyl K36) antibody [EPR28335-73] - BSA and Azide free (AB318965)

This data was developed using ab318964, the same antibody clone in a different buffer formulation.

Chromatin was prepared from HeLa cells. Cells were fixed with 1% formaldehyde for 10 minutes. ChIP was performed with 107 cells and 8 µg of ab318964 [EPR28335-73]. ChIP DNA was sequenced on the Illumina NovaSeq 6000 to a depth of 60 million reads. The Input control is also shown.

Immunohistochemistry (Formalin/PFA-fixed paraffin-embedded sections) - Anti-Histone H3 (di methyl K36) antibody [EPR28335-73] - BSA and Azide free (AB318965)
  • IHC-P

Supplier Data

Immunohistochemistry (Formalin/PFA-fixed paraffin-embedded sections) - Anti-Histone H3 (di methyl K36) antibody [EPR28335-73] - BSA and Azide free (AB318965)

This data was developed using ab318964, the same antibody clone in a different buffer formulation.

Immunohistochemical analysis of paraffin-embedded Mouse cerebrum tissue labeling Histone H3 (di methyl K36) with ab318964 at 1/2000 (0.267 ug/ml) dilution, followed by a ready to use LeicaDS9800 (Bond™ Polymer Refine Detection).

Positive staining on mouse cerebrum. The section was incubated with ab318964 for 30 mins at room temperature. The immunostaining was performed on a Leica Biosystems BOND® RX instrument. Incubate slides with 3% Hydrogen Peroxide for 10 mins at room temperature after secondary antibody incubation to reduce the background

Counterstained with Hematoxylin.

Secondary antibody only control : Secondary antibody is a ready to use LeicaDS9800 (Bond™ Polymer Refine Detection).

Heat mediated antigen retrieval was performed with Tris-EDTA buffer (pH 9.0, Epitope Retrieval Solution2) for 20 mins

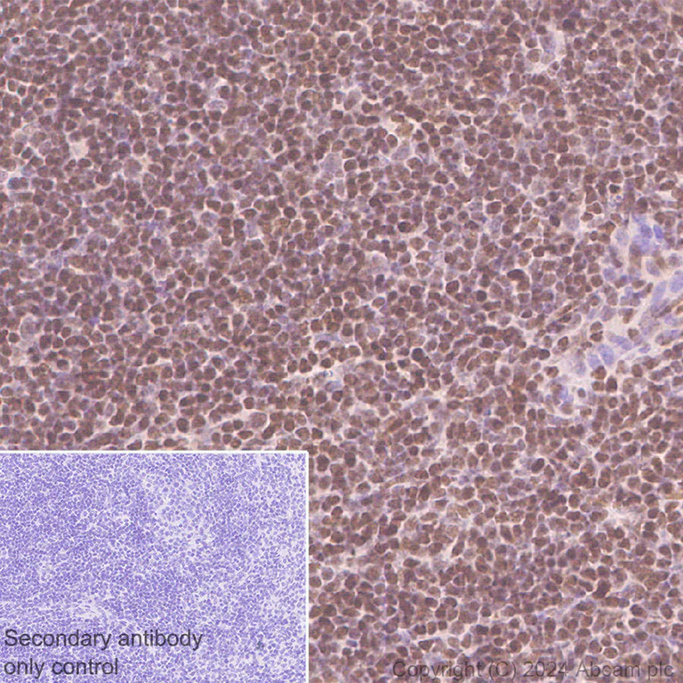
Immunohistochemistry (Formalin/PFA-fixed paraffin-embedded sections) - Anti-Histone H3 (di methyl K36) antibody [EPR28335-73] - BSA and Azide free (AB318965)
  • IHC-P

Supplier Data

Immunohistochemistry (Formalin/PFA-fixed paraffin-embedded sections) - Anti-Histone H3 (di methyl K36) antibody [EPR28335-73] - BSA and Azide free (AB318965)

This data was developed using ab318964, the same antibody clone in a different buffer formulation.

Immunohistochemical analysis of paraffin-embedded Mouse spleen tissue labeling Histone H3 (di methyl K36) with ab318964 at 1/2000 (0.267 ug/ml) dilution, followed by a ready to use LeicaDS9800 (Bond™ Polymer Refine Detection).

Positive staining on mouse spleen. The section was incubated with ab318964 for 30 mins at room temperature. The immunostaining was performed on a Leica Biosystems BOND® RX instrument. Incubate slides with 3% Hydrogen Peroxide for 10 mins at room temperature after secondary antibody incubation to reduce the background

Counterstained with Hematoxylin.

Secondary antibody only control : Secondary antibody is a ready to use LeicaDS9800 (Bond™ Polymer Refine Detection).

Heat mediated antigen retrieval was performed with Tris-EDTA buffer (pH 9.0, Epitope Retrieval Solution2) for 20 mins

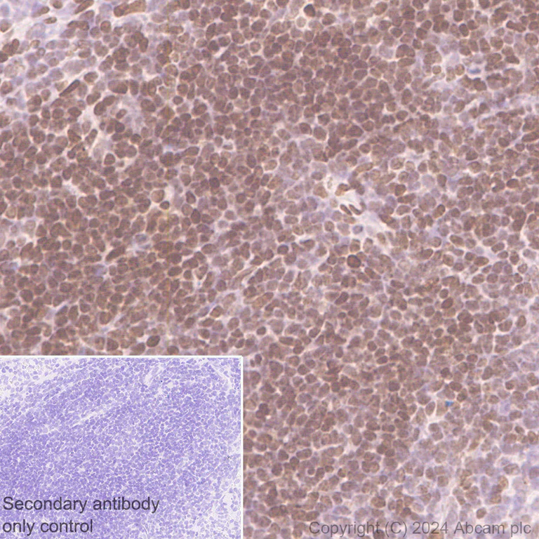
Immunohistochemistry (Formalin/PFA-fixed paraffin-embedded sections) - Anti-Histone H3 (di methyl K36) antibody [EPR28335-73] - BSA and Azide free (AB318965)
  • IHC-P

Supplier Data

Immunohistochemistry (Formalin/PFA-fixed paraffin-embedded sections) - Anti-Histone H3 (di methyl K36) antibody [EPR28335-73] - BSA and Azide free (AB318965)

This data was developed using ab318964, the same antibody clone in a different buffer formulation.

Immunohistochemical analysis of paraffin-embedded Rat spleen tissue labeling Histone H3 (di methyl K36) with ab318964 at 1/2000 (0.267 ug/ml) dilution, followed by a ready to use LeicaDS9800 (Bond™ Polymer Refine Detection).

Positive staining on rat spleen. The section was incubated with ab318964 for 30 mins at room temperature. The immunostaining was performed on a Leica Biosystems BOND® RX instrument. Incubate slides with 3% Hydrogen Peroxide for 10 mins at room temperature after secondary antibody incubation to reduce the background

Counterstained with Hematoxylin.

Secondary antibody only control : Secondary antibody is a ready to use LeicaDS9800 (Bond™ Polymer Refine Detection).

Heat mediated antigen retrieval was performed with Tris-EDTA buffer (pH 9.0, Epitope Retrieval Solution2) for 20 mins

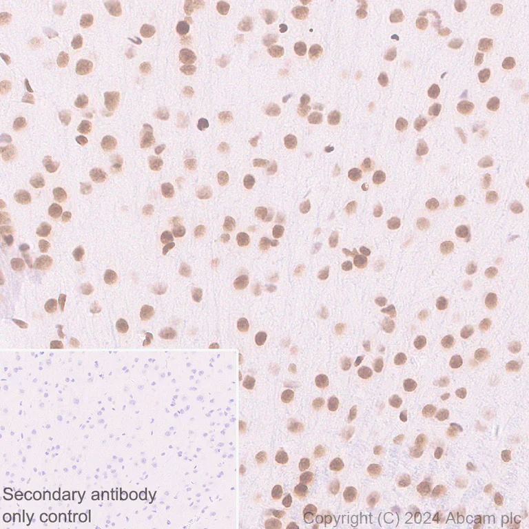
Immunohistochemistry (Formalin/PFA-fixed paraffin-embedded sections) - Anti-Histone H3 (di methyl K36) antibody [EPR28335-73] - BSA and Azide free (AB318965)
  • IHC-P

Supplier Data

Immunohistochemistry (Formalin/PFA-fixed paraffin-embedded sections) - Anti-Histone H3 (di methyl K36) antibody [EPR28335-73] - BSA and Azide free (AB318965)

This data was developed using ab318964, the same antibody clone in a different buffer formulation.

Immunohistochemical analysis of paraffin-embedded Rat cerebrum tissue labeling Histone H3 (di methyl K36) with ab318964 at 1/2000 (0.267 ug/ml) dilution, followed by a ready to use LeicaDS9800 (Bond™ Polymer Refine Detection).

Positive staining on rat cerebrum. The section was incubated with ab318964 for 30 mins at room temperature. The immunostaining was performed on a Leica Biosystems BOND® RX instrument. Incubate slides with 3% Hydrogen Peroxide for 10 mins at room temperature after secondary antibody incubation to reduce the background

Counterstained with Hematoxylin.

Secondary antibody only control : Secondary antibody is a ready to use LeicaDS9800 (Bond™ Polymer Refine Detection).

Heat mediated antigen retrieval was performed with Tris-EDTA buffer (pH 9.0, Epitope Retrieval Solution2) for 20 mins

Western blot - Anti-Histone H3 (di methyl K36) antibody [EPR28335-73] - BSA and Azide free (AB318965)
  • WB

Supplier Data

Western blot - Anti-Histone H3 (di methyl K36) antibody [EPR28335-73] - BSA and Azide free (AB318965)

This data was developed using ab318964, the same antibody clone in a different buffer formulation.

The identity of the bands higher than 16 kDa are unknown.

All lanes:

Western blot - Anti-Histone H3 (di methyl K36) antibody [EPR28335-73] (<a href='/en-us/products/primary-antibodies/histone-h3-di-methyl-k36-antibody-epr28335-73-ab318964'>ab318964</a>) at 1/1000 dilution

Lane 1:

HeLa (human cervical adenocarcinoma epithelial cell) whole cell lysate at 20 µg with BSA/TBST

Lane 2:

293T (human embryonic kidney epithelial cell) whole cell lysate at 20 µg with BSA/TBST

Lane 3:

NIH/3T3 (mouse embryonic fibroblast) whole cell lysate at 20 µg with BSA/TBST

Lane 4:

PC-12 (rat adrenal gland pheochromocytoma cell) whole cell lysate at 20 µg with BSA/TBST

Secondary

All lanes:

Western blot - Goat Anti-Rabbit IgG H&L (HRP) (<a href='/en-us/products/secondary-antibodies/goat-rabbit-igg-h-l-hrp-ab97051'>ab97051</a>) at 1/100000 dilution

Observed band size: 16 kDa

false

Exposure time: 26s

Peptide Array - Anti-Histone H3 (di methyl K36) antibody [EPR28335-73] - BSA and Azide free (AB318965)
  • PepArr

Supplier Data

Peptide Array - Anti-Histone H3 (di methyl K36) antibody [EPR28335-73] - BSA and Azide free (AB318965)

This data was developed using ab318964, the same antibody clone in a different buffer formulation.

Peptide array analysis of ab318964 at 1 : 5000 (0.1 ug/ml) followed by a Goat Anti-Rabbit IgG, (H+L), Fluo 647nm conjugated at 1 : 50,000 dilution.

Key facts

Host species

Rabbit

Clonality

Monoclonal

Clone number

EPR28335-73

Isotype

IgG

Carrier free

Yes

Reacts with

Human, Mouse, Rat

Applications

IHC-P, IP, ChIP-seq, ICC/IF, PepArr, WB, Flow Cyt (Intra)

applications

Immunogen

The exact immunogen used to generate this antibody is proprietary information.

Reactivity data

{ "title": "Reactivity Data", "filters": { "stats": ["", "Species", "Dilution Info", "Notes"], "tabs": { "all-applications": {"fullname" : "All Applications", "shortname": "All Applications"}, "PepArr" : {"fullname" : "Peptide Array", "shortname":"PepArr"}, "ChIPseq" : {"fullname" : "ChIP-sequencing", "shortname":"ChIP-seq"}, "IHCP" : {"fullname" : "Immunohistochemistry (Formalin/PFA-fixed paraffin-embedded sections)", "shortname":"IHC-P"}, "FlowCytIntra" : {"fullname" : "Flow Cytometry (Intracellular)", "shortname":"Flow Cyt (Intra)"}, "ICCIF" : {"fullname" : "Immunocytochemistry/ Immunofluorescence", "shortname":"ICC/IF"}, "WB" : {"fullname" : "Western blot", "shortname":"WB"}, "IP" : {"fullname" : "Immunoprecipitation", "shortname":"IP"} }, "product-promise": { "all": "all", "testedAndGuaranteed": "tested", "guaranteed": "expected", "predicted": "predicted", "notRecommended": "not-recommended" } }, "values": { "Human": { "PepArr-species-checked": "guaranteed", "PepArr-species-dilution-info": "", "PepArr-species-notes": "", "ChIPseq-species-checked": "testedAndGuaranteed", "ChIPseq-species-dilution-info": "", "ChIPseq-species-notes": "<p></p>", "IHCP-species-checked": "testedAndGuaranteed", "IHCP-species-dilution-info": "", "IHCP-species-notes": "<p></p>", "FlowCytIntra-species-checked": "testedAndGuaranteed", "FlowCytIntra-species-dilution-info": "", "FlowCytIntra-species-notes": "<p></p>", "ICCIF-species-checked": "testedAndGuaranteed", "ICCIF-species-dilution-info": "", "ICCIF-species-notes": "<p></p>", "WB-species-checked": "testedAndGuaranteed", "WB-species-dilution-info": "", "WB-species-notes": "<p></p>", "IP-species-checked": "testedAndGuaranteed", "IP-species-dilution-info": "", "IP-species-notes": "<p></p>" }, "Mouse": { "PepArr-species-checked": "guaranteed", "PepArr-species-dilution-info": "", "PepArr-species-notes": "", "ChIPseq-species-checked": "guaranteed", "ChIPseq-species-dilution-info": "", "ChIPseq-species-notes": "", "IHCP-species-checked": "testedAndGuaranteed", "IHCP-species-dilution-info": "", "IHCP-species-notes": "<p></p>", "FlowCytIntra-species-checked": "guaranteed", "FlowCytIntra-species-dilution-info": "", "FlowCytIntra-species-notes": "", "ICCIF-species-checked": "guaranteed", "ICCIF-species-dilution-info": "", "ICCIF-species-notes": "", "WB-species-checked": "testedAndGuaranteed", "WB-species-dilution-info": "", "WB-species-notes": "<p></p>", "IP-species-checked": "guaranteed", "IP-species-dilution-info": "", "IP-species-notes": "" }, "Rat": { "PepArr-species-checked": "guaranteed", "PepArr-species-dilution-info": "", "PepArr-species-notes": "", "ChIPseq-species-checked": "guaranteed", "ChIPseq-species-dilution-info": "", "ChIPseq-species-notes": "", "IHCP-species-checked": "testedAndGuaranteed", "IHCP-species-dilution-info": "", "IHCP-species-notes": "<p></p>", "FlowCytIntra-species-checked": "guaranteed", "FlowCytIntra-species-dilution-info": "", "FlowCytIntra-species-notes": "", "ICCIF-species-checked": "guaranteed", "ICCIF-species-dilution-info": "", "ICCIF-species-notes": "", "WB-species-checked": "testedAndGuaranteed", "WB-species-dilution-info": "", "WB-species-notes": "<p></p>", "IP-species-checked": "guaranteed", "IP-species-dilution-info": "", "IP-species-notes": "" }, "Synthetic peptide": { "PepArr-species-checked": "testedAndGuaranteed", "PepArr-species-dilution-info": "", "PepArr-species-notes": "<p></p>", "ChIPseq-species-checked": "notRecommended", "ChIPseq-species-dilution-info": "", "ChIPseq-species-notes": "", "IHCP-species-checked": "notRecommended", "IHCP-species-dilution-info": "", "IHCP-species-notes": "", "FlowCytIntra-species-checked": "notRecommended", "FlowCytIntra-species-dilution-info": "", "FlowCytIntra-species-notes": "", "ICCIF-species-checked": "notRecommended", "ICCIF-species-dilution-info": "", "ICCIF-species-notes": "", "WB-species-checked": "notRecommended", "WB-species-dilution-info": "", "WB-species-notes": "", "IP-species-checked": "notRecommended", "IP-species-dilution-info": "", "IP-species-notes": "" } } }

Product details

ab318965 is the carrier-free version of ab318964.

Patented technology
Our RabMAb® technology is a patented hybridoma-based technology for making rabbit monoclonal antibodies. For details on our patents, please refer to RabMAb® patents.

What are the advantages of a recombinant monoclonal antibody?
This product is a recombinant monoclonal antibody, which offers several advantages including:

  • - High batch-to-batch consistency and reproducibility
  • - Improved sensitivity and specificity
  • - Long-term security of supply
  • - Animal-free batch production

For more information, read more on recombinant antibodies.

Conjugation ready
Our carrier-free antibodies are typically supplied in a PBS-only formulation, purified and free of BSA, sodium azide and glycerol. This conjugation-ready format is designed for use with fluorochromes, metal isotopes, oligonucleotides, and enzymes, which makes them ideal for antibody labelling, functional and cell-based assays, flow-based assays (e.g. mass cytometry) and Multiplex Imaging applications.

Use our conjugation kits for antibody conjugates that are ready-to-use in as little as 20 minutes with 1 minute hands-on-time and 100% antibody recovery: available for fluorescent dyes, HRP, biotin and gold.

Compatibility
This product is compatible with the Maxpar® Antibody Labeling Kit from Fluidigm, without the need for antibody preparation. Maxpar® is a trademark of Fluidigm Canada Inc.

Properties and storage information

Form
Liquid
Purification technique
Affinity purification Protein A
Storage buffer
pH: 7.2 - 7.4 Constituents: PBS
Shipped at conditions
Blue Ice
Appropriate short-term storage conditions
+4°C
Appropriate long-term storage conditions
+4°C

Product protocols

For this product, it's our understanding that no specific protocols are required. You can visit:

Target data

The protein expressed by gene H3C1 is a core component of the nucleosome, which is essential for wrapping and compacting DNA into chromatin. This process restricts DNA accessibility to cellular machineries that use DNA as a template. Consequently, histones are central to transcription regulation, DNA repair, DNA replication, and chromosomal stability. DNA accessibility is regulated through a complex set of post-translational modifications of histones, known as the histone code, and through nucleosome remodeling. This supplementary information is collated from multiple sources and compiled automatically.
See full target information H3C1 di methyl K36

Product promise

We are committed to supporting your work with high-quality reagents, and we're here for you every step of the way. In the unlikely event that one of our products does not perform as expected, you're protected by our Product Promise.
For full details, please see our Terms & Conditions

Please note: All products are 'FOR RESEARCH USE ONLY. NOT FOR USE IN DIAGNOSTIC OR THERAPEUTIC PROCEDURES'.

For licensing inquiries, please contact partnerships@abcam.com