JavaScript is disabled in your browser. Please enable JavaScript to view this website.
AB176878

Anti-Histone H3 (di methyl K4) antibody [EPR17707] - ChIP Grade

5

(1 Review)

|

(6 Publications)

Rabbit Recombinant Monoclonal H3 di methyl K4 antibody. Suitable for ChIC/CUT&RUN-seq, ChIP, WB, PepArr, ICC/IF, IHC-P and reacts with Human, Mouse, Rat samples. Cited in 6 publications.

View Alternative Names

H3FA, HIST1H3A, H3C2, H3FL, HIST1H3B, H3C3, H3FC HIST1H3C, H3C4, H3FB, HIST1H3D, H3C6, H3FD, HIST1H3E, H3C7, H3FI, HIST1H3F, H3C8, H3FH, HIST1H3G, H3C10, H3FK, HIST1H3H, H3C11, H3FF, HIST1H3I, H3C12, H3FJ, HIST1H3J, H3C1, H3FC, HIST1H3C, Histone H3.1, Histone H3/a, Histone H3/b, Histone H3/c, Histone H3/d, Histone H3/f, Histone H3/h, Histone H3/i, Histone H3/j, Histone H3/k, Histone H3/l, H3K4me2, H3K4me, H3K4

10 Images
Immunohistochemistry (Formalin/PFA-fixed paraffin-embedded sections) - Anti-Histone H3 (di methyl K4) antibody [EPR17707] - ChIP Grade (AB176878)
  • IHC-P

Supplier Data

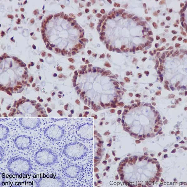
Immunohistochemistry (Formalin/PFA-fixed paraffin-embedded sections) - Anti-Histone H3 (di methyl K4) antibody [EPR17707] - ChIP Grade (AB176878)

Immunohistochemical analysis of paraffin-embedded human colon tissue labeling Histone H3 (di methyl K4) with ab176878 at 1/2000 dilution, followed by Goat Anti-Rabbit IgG H&L (HRP) (ab97051) at 1/500 dilution.

Nuclear staining on human colon is observed. Counterstained with hematoxylin.

Secondary antibody only control : Used PBS instead of primary antibody, secondary antibody is Goat Anti-Rabbit IgG H&L (HRP) (ab97051) at 1/500 dilution.

Perform heat mediated antigen retrieval with Tris/EDTA buffer pH 9.0 before commencing with IHC staining protocol.

Immunocytochemistry/ Immunofluorescence - Anti-Histone H3 (di methyl K4) antibody [EPR17707] - ChIP Grade (AB176878)
  • ICC/IF

Supplier Data

Immunocytochemistry/ Immunofluorescence - Anti-Histone H3 (di methyl K4) antibody [EPR17707] - ChIP Grade (AB176878)

Immunofluorescent analysis of 4% paraformaldehyde-fixed, 0.1% Triton X-100 permeabilized HeLa (Human epithelial cell line from cervix adenocarcinoma) cells labeling Histone H3 (di methyl K4) with ab176878 at 1/500 dilution, followed by Goat Anti-Rabbit IgG H&L (Alexa Fluor® 488) (ab150077) secondary antibody at 1/1000 dilution (green).

Confocal image showing nuclear staining on HeLa cell line. The nuclear counterstain is DAPI (blue).

Tubulin is detected with Anti-alpha Tubulin mouse MAb (ab7291) at 1/1000 dilution followed by Goat Anti-Mouse IgG H&L (Alexa Fluor® 594) (ab150120) secondary antibody at 1/1000 dilution (red)

The negative controls are as follows : -

-ve control 1 : ab176878 at 1/500 dilution, followed by Goat Anti-Mouse IgG H&L (Alexa Fluor® 594) (ab150120) secondary antibody at 1/1000 dilution.

-ve control 2 : Anti-alpha Tubulin mouse MAb (ab7291) at 1/1000 dilution, followed by Goat Anti-Rabbit IgG H&L (Alexa Fluor® 488) (ab150077) secondary antibody at 1/1000 dilution.

ChIP - Anti-Histone H3 (di methyl K4) antibody [EPR17707] - ChIP Grade (AB176878)
  • ChIP

Supplier Data

ChIP - Anti-Histone H3 (di methyl K4) antibody [EPR17707] - ChIP Grade (AB176878)

Chromatin was prepared from HeLa (Human epithelial cell line from cervix adenocarcinoma) cells according to the Abcam X-ChIP protocol. Cells were fixed with formaldehyde for 10 minutes. The ChIP was performed with 25μg of chromatin, 2μg of ab176878 (blue), and 20μl of Anti Rabbit IgG sepharose beads. 2μg of rabbit normal IgG was added to the beads control (yellow). The immunoprecipitated DNA was quantified by real time PCR (Sybr green approach). Primers and probes are located in the first kb of the transcribed region.

Immunohistochemistry (Formalin/PFA-fixed paraffin-embedded sections) - Anti-Histone H3 (di methyl K4) antibody [EPR17707] - ChIP Grade (AB176878)
  • IHC-P

Supplier Data

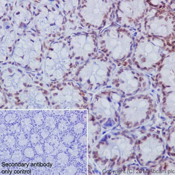
Immunohistochemistry (Formalin/PFA-fixed paraffin-embedded sections) - Anti-Histone H3 (di methyl K4) antibody [EPR17707] - ChIP Grade (AB176878)

Immunohistochemical analysis of paraffin-embedded mouse colon tissue labeling Histone H3 (di methyl K4) with ab176878 at 1/2000 dilution, followed by Goat Anti-Rabbit IgG H&L (HRP) (ab97051) at 1/500 dilution.

Nuclear staining on mouse colon is observed. Counterstained with hematoxylin.

Secondary antibody only control : Used PBS instead of primary antibody, secondary antibody is Goat Anti-Rabbit IgG H&L (HRP) (ab97051) at 1/500 dilution.

Perform heat mediated antigen retrieval with Tris/EDTA buffer pH 9.0 before commencing with IHC staining protocol.

Immunocytochemistry/ Immunofluorescence - Anti-Histone H3 (di methyl K4) antibody [EPR17707] - ChIP Grade (AB176878)
  • ICC/IF

Supplier Data

Immunocytochemistry/ Immunofluorescence - Anti-Histone H3 (di methyl K4) antibody [EPR17707] - ChIP Grade (AB176878)

Immunofluorescent analysis of 4% paraformaldehyde-fixed, 0.1% Triton X-100 permeabilized NIH/3T3 (Mouse embryonic fibroblast cell line) cells labeling Histone H3 (di methyl K4) with ab176878 at 1/500 dilution, followed by Goat Anti-Rabbit IgG H&L (Alexa Fluor® 488) (ab150077) secondary antibody at 1/1000 dilution (green).

Confocal image showing nuclear staining on NIH/3T3 cell line. The nuclear counterstain is DAPI (blue).

Tubulin is detected with Anti-alpha Tubulin mouse MAb (ab7291) at 1/1000 dilution followed by Goat Anti-Mouse IgG H&L (AlexaFluor®594) (ab150120) secondary antibody at 1/1000 dilution (red)

The negative controls are as follows : -

-ve control 1 : ab176878 at 1/500 dilution, followed by Goat Anti-Mouse IgG H&L (AlexaFluor®594) (ab150120) secondary antibody at 1/1000 dilution.

-ve control 2 : Anti-alpha Tubulin mouse MAb (ab7291) at 1/1000 dilution, followed by Goat Anti-Rabbit IgG H&L (Alexa Fluor® 488) (ab150077) secondary antibody at 1/1000 dilution.

Immunohistochemistry (Formalin/PFA-fixed paraffin-embedded sections) - Anti-Histone H3 (di methyl K4) antibody [EPR17707] - ChIP Grade (AB176878)
  • IHC-P

Supplier Data

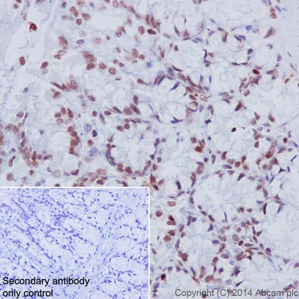
Immunohistochemistry (Formalin/PFA-fixed paraffin-embedded sections) - Anti-Histone H3 (di methyl K4) antibody [EPR17707] - ChIP Grade (AB176878)

Immunohistochemical analysis of paraffin-embedded rat colon tissue labeling Histone H3 (di methyl K4) with ab176878 at 1/2000 dilution, followed by Goat Anti-Rabbit IgG H&L (HRP) (ab97051) at 1/500 dilution.

Nuclear staining on rat colon is observed. Counterstained with hematoxylin.

Secondary antibody only control : Used PBS instead of primary antibody, secondary antibody is Goat Anti-Rabbit IgG H&L (HRP) (ab97051) at 1/500 dilution.

Perform heat mediated antigen retrieval with Tris/EDTA buffer pH 9.0 before commencing with IHC staining protocol.

Western blot - Anti-Histone H3 (di methyl K4) antibody [EPR17707] - ChIP Grade (AB176878)
  • WB

Supplier Data

Western blot - Anti-Histone H3 (di methyl K4) antibody [EPR17707] - ChIP Grade (AB176878)

Blocking/Dilution buffer : 5% NFDM/TBST.

All lanes:

Western blot - Anti-Histone H3 (di methyl K4) antibody [EPR17707] - ChIP Grade (ab176878) at 1/1000 dilution

Lane 1:

HeLa (Human epithelial cell line from cervix adenocarcinoma) whole cell lysate at 10 µg

Lane 2:

NIH/3T3 (Mouse embryonic fibroblast cell line) whole cell lysate at 10 µg

Lane 3:

PC-12 (Rat adrenal gland pheochromocytoma cell line) whole cell lysate at 10 µg

Secondary

All lanes:

Western blot - Goat Anti-Rabbit IgG H&L (HRP) (<a href='/en-us/products/secondary-antibodies/goat-rabbit-igg-h-l-hrp-ab97051'>ab97051</a>) at 1/100000 dilution

Predicted band size: 15 kDa

Observed band size: 15 kDa

false

Exposure time: 10s

ChIC/CUT&RUN sequencing - Anti-Histone H3 (di methyl K4) antibody [EPR17707] - ChIP Grade (AB176878)
  • ChIC/CUT&RUN-seq

Supplier Data

ChIC/CUT&RUN sequencing - Anti-Histone H3 (di methyl K4) antibody [EPR17707] - ChIP Grade (AB176878)

ChIC/CUT&RUN was performed using a pAG-MNAse at a final concentration of 700 ng/mL, 2 x 10^5 HeLa (Human cervix adenocarcinoma epithelial cell line) cells and 2 µg of ab176878 [EPR17707]. The resulting DNA was sequenced on the Illumina NovaSeq 6000 to a depth of 10 million reads. The negative IgG control ab172730 is also shown.The ChIP data was conducted on chromatin prepared from HeLa cells. Cells were fixed with 1% formaldehyde for 10 minutes. ChIP was performed with 10^7 HeLa cells and 4 µg of ab176878. ChIP DNA was sequenced on the Illumina NovaSeq 6000 to a depth of 30 million reads. Additional screenshots of mapped reads can be found in the Protocol booklet in the Product Protocol section. The University of Geneva owns patents relevant to ChIC (Chromatin Immuno-Cleavage) methods.

ChIC/CUT&RUN sequencing - Anti-Histone H3 (di methyl K4) antibody [EPR17707] - ChIP Grade (AB176878)
  • ChIC/CUT&RUN-seq

Supplier Data

ChIC/CUT&RUN sequencing - Anti-Histone H3 (di methyl K4) antibody [EPR17707] - ChIP Grade (AB176878)

CUT&RUN was performed using the ChIC/CUT&RUN pAG-MNAse ab285373, 105 HeLa cells and 2μg of ab176878 [EPR17707]. The resulting DNA was sequenced on the NovaSeq 6000 (PE150). Additional screenshots of mapped reads can be downloaded here.

Peptide Array - Anti-Histone H3 (di methyl K4) antibody [EPR17707] - ChIP Grade (AB176878)
  • PepArr

Unknown

Peptide Array - Anti-Histone H3 (di methyl K4) antibody [EPR17707] - ChIP Grade (AB176878)

ab176878 was tested in Peptide array against 501 different modified and unmodified histone peptides; each peptide is printed on the array at six concentrations (each in triplicate).

Circle area represents affinity between the antibody and a peptide : all antigen-containing peptides are displayed as red circles, all other peptides as blue circles. The affinity is calculated as area under curve when antibody binding values are plotted against the corresponding peptide concentration. Each circle area is normalized to the peptide with the strongest affinity.

The complete dataset, including full list of all peptides and information on the position of each peptide in the diagram, is available under the Product Protocol section.

  • Carrier free

    Anti-Histone H3 (di methyl K4) antibody [EPR17707] - ChIP Grade - BSA and Azide free

Key facts

Host species

Rabbit

Clonality

Monoclonal

Clone number

EPR17707

Isotype

IgG

Carrier free

No

Reacts with

Mouse, Rat, Human

Applications

PepArr, ChIC/CUT&RUN-seq, ICC/IF, IHC-P, WB, ChIP

applications

Immunogen

The exact immunogen used to generate this antibody is proprietary information.

Reactivity data

{ "title": "Reactivity Data", "filters": { "stats": ["", "Species", "Dilution Info", "Notes"], "tabs": { "all-applications": {"fullname" : "All Applications", "shortname": "All Applications"}, "ChICCUTRUNseq" : {"fullname" : "ChIC/CUT&RUN sequencing", "shortname":"ChIC/CUT&RUN-seq"}, "ChIP" : {"fullname" : "ChIP", "shortname":"ChIP"}, "WB" : {"fullname" : "Western blot", "shortname":"WB"}, "PepArr" : {"fullname" : "Peptide Array", "shortname":"PepArr"}, "ICCIF" : {"fullname" : "Immunocytochemistry/ Immunofluorescence", "shortname":"ICC/IF"}, "IHCP" : {"fullname" : "Immunohistochemistry (Formalin/PFA-fixed paraffin-embedded sections)", "shortname":"IHC-P"} }, "product-promise": { "all": "all", "testedAndGuaranteed": "tested", "guaranteed": "expected", "predicted": "predicted", "notRecommended": "not-recommended" } }, "values": { "Human": { "ChICCUTRUNseq-species-checked": "testedAndGuaranteed", "ChICCUTRUNseq-species-dilution-info": "2 µg", "ChICCUTRUNseq-species-notes": "<p></p>", "ChIP-species-checked": "testedAndGuaranteed", "ChIP-species-dilution-info": "2 µg for 25 µg chromatin", "ChIP-species-notes": "<p></p>", "WB-species-checked": "testedAndGuaranteed", "WB-species-dilution-info": "1/1000", "WB-species-notes": "<p></p>", "PepArr-species-checked": "testedAndGuaranteed", "PepArr-species-dilution-info": "", "PepArr-species-notes": "<p></p>", "ICCIF-species-checked": "testedAndGuaranteed", "ICCIF-species-dilution-info": "1/500", "ICCIF-species-notes": "<p></p>", "IHCP-species-checked": "testedAndGuaranteed", "IHCP-species-dilution-info": "1/2000", "IHCP-species-notes": "<p></p> Perform heat-mediated antigen retrieval with Tris/EDTA buffer pH 9.0 before commencing with IHC staining protocol." }, "Mouse": { "ChICCUTRUNseq-species-checked": "guaranteed", "ChICCUTRUNseq-species-dilution-info": "2 µg", "ChICCUTRUNseq-species-notes": "<p></p>", "ChIP-species-checked": "guaranteed", "ChIP-species-dilution-info": "", "ChIP-species-notes": "", "WB-species-checked": "testedAndGuaranteed", "WB-species-dilution-info": "1/1000", "WB-species-notes": "<p></p>", "PepArr-species-checked": "guaranteed", "PepArr-species-dilution-info": "", "PepArr-species-notes": "", "ICCIF-species-checked": "testedAndGuaranteed", "ICCIF-species-dilution-info": "1/500", "ICCIF-species-notes": "<p></p>", "IHCP-species-checked": "testedAndGuaranteed", "IHCP-species-dilution-info": "1/2000", "IHCP-species-notes": "<p></p> Perform heat-mediated antigen retrieval with Tris/EDTA buffer pH 9.0 before commencing with IHC staining protocol." }, "Rat": { "ChICCUTRUNseq-species-checked": "guaranteed", "ChICCUTRUNseq-species-dilution-info": "2 µg", "ChICCUTRUNseq-species-notes": "<p></p>", "ChIP-species-checked": "guaranteed", "ChIP-species-dilution-info": "", "ChIP-species-notes": "", "WB-species-checked": "testedAndGuaranteed", "WB-species-dilution-info": "1/1000", "WB-species-notes": "<p></p>", "PepArr-species-checked": "guaranteed", "PepArr-species-dilution-info": "", "PepArr-species-notes": "", "ICCIF-species-checked": "guaranteed", "ICCIF-species-dilution-info": "", "ICCIF-species-notes": "", "IHCP-species-checked": "testedAndGuaranteed", "IHCP-species-dilution-info": "1/2000", "IHCP-species-notes": "<p></p> Perform heat-mediated antigen retrieval with Tris/EDTA buffer pH 9.0 before commencing with IHC staining protocol." } } }

Product details

Patented technology
Our RabMAb® technology is a patented hybridoma-based technology for making rabbit monoclonal antibodies. For details on our patents, please refer to RabMAb® patents.

What are the advantages of a recombinant monoclonal antibody?
This product is a recombinant monoclonal antibody, which offers several advantages including:

  • - High batch-to-batch consistency and reproducibility
  • - Improved sensitivity and specificity
  • - Long-term security of supply
  • - Animal-free batch production

For more information, read more on recombinant antibodies.

Properties and storage information

Form
Liquid
Purification technique
Affinity purification Protein A
Storage buffer
Preservative: 0.01% Sodium azide Constituents: PBS, 40% Glycerol (glycerin, glycerine), 0.05% BSA
Shipped at conditions
Blue Ice
Appropriate short-term storage duration
1-2 weeks
Appropriate short-term storage conditions
+4°C
Appropriate long-term storage conditions
-20°C
Aliquoting information
Upon delivery aliquot
Storage information
Avoid freeze / thaw cycle

Product protocols

For this product, it's our understanding that no specific protocols are required. You can visit:

Target data

The protein expressed by gene H3C1 is a core component of the nucleosome, which is essential for wrapping and compacting DNA into chromatin. This process restricts DNA accessibility to cellular machineries that use DNA as a template. Consequently, histones are central to transcription regulation, DNA repair, DNA replication, and chromosomal stability. DNA accessibility is regulated through a complex set of post-translational modifications of histones, known as the histone code, and through nucleosome remodeling. This supplementary information is collated from multiple sources and compiled automatically.
See full target information H3C1 di methyl K4

Publications (6)

Recent publications for all applications. Explore the full list and refine your search

Nature communications 16:7071 PubMed40750602

2025

USP17L promotes the 2-cell-like program through deubiquitination of H2AK119ub1 and ZSCAN4.

Applications

Unspecified application

Species

Unspecified reactive species

Panpan Shi,Xukun Lu,Kairang Jin,Linlin Liu,Guoxing Yin,Wenying Wang,Jiao Yang,Lijuan Wang,Lijun Dong,Wei Xie,Lin Liu

Protein & cell 15:840-857 PubMed38721703

2024

p21/Zbtb18 repress the expression of cKit to regulate the self-renewal of hematopoietic stem cells.

Applications

Unspecified application

Species

Unspecified reactive species

Nini Wang,Shangda Yang,Yu Li,Fanglin Gou,Yanling Lv,Xiangnan Zhao,Yifei Wang,Chang Xu,Bin Zhou,Fang Dong,Zhenyu Ju,Tao Cheng,Hui Cheng

IMA fungus 15:6 PubMed38481304

2024

H3K4 methylation regulates development, DNA repair, and virulence in Mucorales.

Applications

Unspecified application

Species

Unspecified reactive species

Macario Osorio-Concepción,Carlos Lax,Damaris Lorenzo-Gutiérrez,José Tomás Cánovas-Márquez,Ghizlane Tahiri,Eusebio Navarro,Ulrike Binder,Francisco Esteban Nicolás,Victoriano Garre

International journal of molecular sciences 24: PubMed37298094

2023

Epigenetic Histone Methylation of PPARγ and CPT1A Signaling Contributes to Betahistine Preventing Olanzapine-Induced Dyslipidemia.

Applications

Unspecified application

Species

Unspecified reactive species

Yueqing Su,Chao Deng,Xuemei Liu,Jiamei Lian

Oral diseases 29:491-504 PubMed34152066

2021

microRNA-17 is a tumor suppressor in oral squamous cell carcinoma and is repressed by LSD1.

Applications

Unspecified application

Species

Unspecified reactive species

Kaixin Wangzhou,Wanren Fu,Mengmeng Li,Zishao Lu,Zhiying Lai,Cheng Liu,Yi Tan,Chunbo Hao

Nature medicine 24:1867-1876 PubMed30523328

2018

Single cell dissection of plasma cell heterogeneity in symptomatic and asymptomatic myeloma.

Applications

Unspecified application

Species

Unspecified reactive species

Guy Ledergor,Assaf Weiner,Mor Zada,Shuang-Yin Wang,Yael C Cohen,Moshe E Gatt,Nimrod Snir,Hila Magen,Maya Koren-Michowitz,Katrin Herzog-Tzarfati,Hadas Keren-Shaul,Chamutal Bornstein,Ron Rotkopf,Ido Yofe,Eyal David,Venkata Yellapantula,Sigalit Kay,Moshe Salai,Dina Ben Yehuda,Arnon Nagler,Lev Shvidel,Avi Orr-Urtreger,Keren Bahar Halpern,Shalev Itzkovitz,Ola Landgren,Jesus San-Miguel,Bruno Paiva,Jonathan J Keats,Elli Papaemmanuil,Irit Avivi,Gabriel I Barbash,Amos Tanay,Ido Amit
View all publications
chicCutRunSequencingBooklet
en
peptideArrayWebsite
en

Product promise

We are committed to supporting your work with high-quality reagents, and we're here for you every step of the way. In the unlikely event that one of our products does not perform as expected, you're protected by our Product Promise.
For full details, please see our Terms & Conditions

Please note: All products are 'FOR RESEARCH USE ONLY. NOT FOR USE IN DIAGNOSTIC OR THERAPEUTIC PROCEDURES'.

For licensing inquiries, please contact partnerships@abcam.com