JavaScript is disabled in your browser. Please enable JavaScript to view this website.
AB173324

Anti-Histone H3 (di methyl K4) antibody [Y47] - BSA and Azide free

Be the first to review this product! Submit a review

|

(1 Publication)

Rabbit Recombinant Monoclonal H3 di methyl K4 antibody. Carrier free. Suitable for ChIC/CUT&RUN-seq, IP, ChIP, WB, ICC/IF, ChIP-seq, Flow Cyt (Intra), IHC-P and reacts with Human, Mouse, Rat, African green monkey, Chicken, Cow samples. Cited in 1 publication.

View Alternative Names

H3FA, HIST1H3A, H3C2, H3FL, HIST1H3B, H3C3, H3FC HIST1H3C, H3C4, H3FB, HIST1H3D, H3C6, H3FD, HIST1H3E, H3C7, H3FI, HIST1H3F, H3C8, H3FH, HIST1H3G, H3C10, H3FK, HIST1H3H, H3C11, H3FF, HIST1H3I, H3C12, H3FJ, HIST1H3J, H3C1, H3FC, HIST1H3C, Histone H3.1, Histone H3/a, Histone H3/b, Histone H3/c, Histone H3/d, Histone H3/f, Histone H3/h, Histone H3/i, Histone H3/j, Histone H3/k, Histone H3/l, H3K4me2, H3K4me, H3K4

16 Images
Immunocytochemistry/ Immunofluorescence - Anti-Histone H3 (di methyl K4) antibody [Y47] - BSA and Azide free (AB173324)
  • ICC/IF

Unknown

Immunocytochemistry/ Immunofluorescence - Anti-Histone H3 (di methyl K4) antibody [Y47] - BSA and Azide free (AB173324)

ICC/IF image of unpurified ab32356 stained HepG2 cells. The cells were 100% methanol fixed (5 min) and then incubated in 1%BSA / 10% normal goat serum / 0.3M glycine in 0.1% PBS-Tween for 1h to permeabilise the cells and block non-specific protein-protein interactions. The cells were then incubated with the antibody (ab32356 , 5µg/ml) overnight at +4°C. The secondary antibody (green) was a goat anti-rabbit DyLight® 488 (IgG - H&L, pre-adsorbed) (ab96899) used at a 1/250 dilution for 1h. Alexa Fluor® 594 WGA was used to label plasma membranes (red) at a 1/200 dilution for 1h. DAPI was used to stain the cell nuclei (blue) at a concentration of 1.43µM.

This data was developed using the same antibody clone in a different buffer formulation containing PBS, BSA, glycerol, and sodium azide (ab32356).

Flow Cytometry (Intracellular) - Anti-Histone H3 (di methyl K4) antibody [Y47] - BSA and Azide free (AB173324)
  • Flow Cyt (Intra)

Unknown

Flow Cytometry (Intracellular) - Anti-Histone H3 (di methyl K4) antibody [Y47] - BSA and Azide free (AB173324)

Intracellular Flow Cytometry analysis of HeLa cells labelling Histone H3 (di methyl K4) with purified ab32356 at 1/150 (red). Cells were fixed with 80% methanol. An Alexa Fluor® 488-conjugated goat anti-rabbit IgG (1/500) was used as the secondary antibody. Black - Isotype control, rabbit monoclonal IgG (ab172730). Blue - Unlabelled control, cells without incubation with primary and secondary antibodies.

This data was developed using the same antibody clone in a different buffer formulation containing PBS, BSA, glycerol, and sodium azide (ab32356).

Flow Cytometry (Intracellular) - Anti-Histone H3 (di methyl K4) antibody [Y47] - BSA and Azide free (AB173324)
  • Flow Cyt (Intra)

Unknown

Flow Cytometry (Intracellular) - Anti-Histone H3 (di methyl K4) antibody [Y47] - BSA and Azide free (AB173324)

This data was developed using the same antibody clone in a different buffer formulation (ab32356).

Intracellular Flow Cytometry analysis of HepG2 (human hepatocellular carcinomal) cells labeling Histone H3 di methyl K4 with purified ab32356 at 1/500 dilution (1.17μg/ml) (Red). Cells were fixed with 4% paraformaldehyde and permeabilised with 90% methanol. A Goat anti rabbit IgG (Alexa Fluor® 488, ab150077) secondary antibody was used at 1/2000 dilution. Isotype control - Rabbit monoclonal IgG (ab172730) / Black. Unlabeled control - Unlabelled cells / blue.

Flow Cytometry (Intracellular) - Anti-Histone H3 (di methyl K4) antibody [Y47] - BSA and Azide free (AB173324)
  • Flow Cyt (Intra)

Unknown

Flow Cytometry (Intracellular) - Anti-Histone H3 (di methyl K4) antibody [Y47] - BSA and Azide free (AB173324)

Overlay histogram showing HeLa cells stained with unpurified ab32356 (red line). The cells were fixed with 80% methanol (5 min) and then permeabilized with 0.1% PBS-Tween for 20 min. The cells were then incubated in 1x PBS / 10% normal goat serum / 0.3M glycine to block non-specific protein-protein interactions followed by the antibody (ab32356, 1/100 dilution) for 30 min at 22°C. The secondary antibody used was a goat anti-rabbit DyLight® 488 (IgG; H+L) (ab96899) at 1/500 dilution for 30 min at 22°C. Isotype control antibody (black line) was rabbit IgG (monoclonal) (1μg/1x106 cells) used under the same conditions. Acquisition of >5,000 events was performed.

This data was developed using the same antibody clone in a different buffer formulation containing PBS, BSA, glycerol, and sodium azide (ab32356).

Immunocytochemistry/ Immunofluorescence - Anti-Histone H3 (di methyl K4) antibody [Y47] - BSA and Azide free (AB173324)
  • ICC/IF

Unknown

Immunocytochemistry/ Immunofluorescence - Anti-Histone H3 (di methyl K4) antibody [Y47] - BSA and Azide free (AB173324)

Immunocytochemistry/Immunofluorescence analysis of HepG2 cells labelling Histone H3 (di methyl K4) with purified ab32356 at a dilution of 1/1000. Cells were fixed with 4% paraformaldehyde and permeabilized with 0.1% Triton X-100. ab150077, an Alexa Fluor® 488-conjugated goat anti-rabbit IgG (1/1000) was used as the secondary antibody. The cells were co-stained with ab7291, a mouse anti-tubulin (1/1000) using ab150120, an Alexa Fluor® 594-conjugated goat anti-mouse IgG (1/1000) as the secondary antibody. Nuclei counterstained with DAPI (blue).

Control 1 : primary antibody (1/1000) and secondary antibody, ab150120, an Alexa Fluor® 594-conjugated goat anti-mouse IgG (1/1000).

Control 2 : ab7291 (1/1000) and secondary antibody, ab150077, an Alexa Fluor® 488-conjugated goat anti-rabbit IgG (1/1000).

This data was developed using the same antibody clone in a different buffer formulation containing PBS, BSA, glycerol, and sodium azide (ab32356).

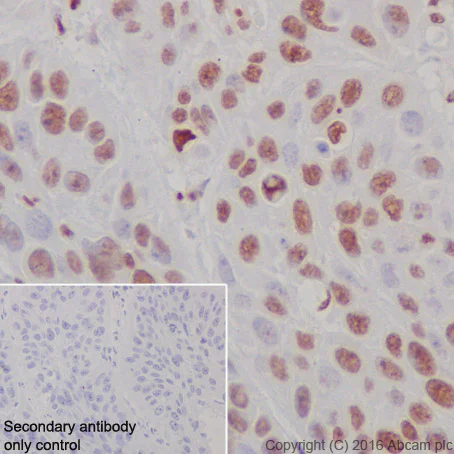
Immunohistochemistry (Formalin/PFA-fixed paraffin-embedded sections) - Anti-Histone H3 (di methyl K4) antibody [Y47] - BSA and Azide free (AB173324)
  • IHC-P

Unknown

Immunohistochemistry (Formalin/PFA-fixed paraffin-embedded sections) - Anti-Histone H3 (di methyl K4) antibody [Y47] - BSA and Azide free (AB173324)

Immunohistochemistry (Formalin/PFA-fixed paraffin-embedded sections) analysis of human cervical carcinoma tissue labelling Histone H3 (di methyl K4) with purified ab32356 at a dilution of 1/800. Antigen retrieval was performed using Tris/EDTA buffer, pH9. ab97051, a HRP-conjugated goat anti-rabbit IgG H&L was used as the secondary antibody (1/500). Counter stained with hematoxylin.

This data was developed using the same antibody clone in a different buffer formulation containing PBS, BSA, glycerol, and sodium azide (ab32356).

ChIP - Anti-Histone H3 (di methyl K4) antibody [Y47] - BSA and Azide free (AB173324)
  • ChIP

Supplier Data

ChIP - Anti-Histone H3 (di methyl K4) antibody [Y47] - BSA and Azide free (AB173324)

This data was developed using the same antibody clone in a different buffer formulation (ab32356).

Chromatin was prepared from HeLa cells according to the Abcam X-ChIP protocol. Cells were fixed with formaldehyde for 10 minutes. The ChIP was performed with 25μg of chromatin, 2μg of ab32356 (red), and 20μl of Anti Rabbit IgG sepharose beads. 2μg of rabbit normal IgG was added to the beads control (grey). The immunoprecipitated DNA was quantified by real time PCR (Sybr green approach). Primers and probes are located in the first kb of the transcribed region.

Immunoprecipitation - Anti-Histone H3 (di methyl K4) antibody [Y47] - BSA and Azide free (AB173324)
  • IP

Unknown

Immunoprecipitation - Anti-Histone H3 (di methyl K4) antibody [Y47] - BSA and Azide free (AB173324)

This data was developed using the same antibody clone in a different buffer formulation (ab32356).

ab32356 (purified) at 1/30 dilution (20 μg/ml) immunoprecipitating Histone H3 di methyl K4 in HepG2 whole cell lysate.

Lane 1 (input) : HepG2 (human hepatocellular carcinoma epithelial cell) whole cell lysate 10μg
Lane 2 (+) : ab32356 & HepG2 whole cell lysate
Lane 3 (-) : Rabbit monoclonal IgG (ab172730) instead of ab32356 in HepG2 whole cell lysate
For western blotting, ab32356 at 1/500 and veriBlot for IP secondary antibody (HRP) (ab131366) was used at 1/1000 dilution.

Blocking and diluting buffer : 5% NFDM /TBST.

All lanes:

Immunoprecipitation - Anti-Histone H3 (di methyl K4) antibody [Y47] - BSA and Azide free (ab173324)

Predicted band size: 15 kDa

false

ChIP-sequencing - Anti-Histone H3 (di methyl K4) antibody [Y47] - BSA and Azide free (AB173324)
  • ChIP-seq

Supplier Data

ChIP-sequencing - Anti-Histone H3 (di methyl K4) antibody [Y47] - BSA and Azide free (AB173324)

This data was developed using the same antibody clone in a different buffer formulation (ab32356). Chromatin was prepared from HeLa cells. Cells were fixed with 1% formaldehyde for 10 minutes. ChIP was performed with 30 μg of chromatin and 4 μg of Anti-Histone H3 (di methyl K4) antibody [Y47] - ChIP Grade (ab32356). ChIP DNA was sequenced on the Illumina NextSeq 500 to a depth of 30 million reads. ChIP-Seq validation performed by Active Motif, Carlsbad, CA. Additional screenshots of mapped reads can be downloaded here.

ChIP-sequencing - Anti-Histone H3 (di methyl K4) antibody [Y47] - BSA and Azide free (AB173324)
  • ChIP-seq

Supplier Data

ChIP-sequencing - Anti-Histone H3 (di methyl K4) antibody [Y47] - BSA and Azide free (AB173324)

This data was developed using the same antibody clone in a different buffer formulation (ab32356). Chromatin was prepared from HeLa cells. Cells were fixed with 1% formaldehyde for 10 minutes. ChIP was performed with 107 cells and 4 μg of Anti-Histone H3 (di methyl K4) antibody [Y47] - ChIP Grade (ab32356). ChIP DNA was sequenced on the Illumina NovaSeq 6000 to a depth of 30 million reads. Additional screenshots of mapped reads can be downloaded here.

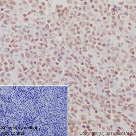
Immunohistochemistry (Formalin/PFA-fixed paraffin-embedded sections) - Anti-Histone H3 (di methyl K4) antibody [Y47] - BSA and Azide free (AB173324)
  • IHC-P

Unknown

Immunohistochemistry (Formalin/PFA-fixed paraffin-embedded sections) - Anti-Histone H3 (di methyl K4) antibody [Y47] - BSA and Azide free (AB173324)

Immunohistochemistry (Formalin/PFA-fixed paraffin-embedded sections) analysis of rat spleen tissue labelling Histone H3 (di methyl K4) with purified ab32356 at a dilution of 1/800. Antigen retrieval was performed using Tris/EDTA buffer, pH9. ab97051, a HRP-conjugated goat anti-rabbit IgG H&L was used as the secondary antibody (1/500). Counter stained with hematoxylin.

This data was developed using the same antibody clone in a different buffer formulation containing PBS, BSA, glycerol, and sodium azide (ab32356).

Immunohistochemistry (Formalin/PFA-fixed paraffin-embedded sections) - Anti-Histone H3 (di methyl K4) antibody [Y47] - BSA and Azide free (AB173324)
  • IHC-P

Unknown

Immunohistochemistry (Formalin/PFA-fixed paraffin-embedded sections) - Anti-Histone H3 (di methyl K4) antibody [Y47] - BSA and Azide free (AB173324)

Immunohistochemistry (Formalin/PFA-fixed paraffin-embedded sections) analysis of mouse colon tissue labelling Histone H3 (di methyl K4) with purified ab32356 at a dilution of 1/800. Antigen retrieval was performed using Tris/EDTA buffer, pH9. ab97051, a HRP-conjugated goat anti-rabbit IgG H&L was used as the secondary antibody (1/500). Counter stained with hematoxylin.

This data was developed using the same antibody clone in a different buffer formulation containing PBS, BSA, glycerol, and sodium azide (ab32356).

Western blot - Anti-Histone H3 (di methyl K4) antibody [Y47] - BSA and Azide free (AB173324)
  • WB

Unknown

Western blot - Anti-Histone H3 (di methyl K4) antibody [Y47] - BSA and Azide free (AB173324)

This data was developed using the same antibody clone in a different buffer formulation (ab32356).

All lanes:

Western blot - Anti-Histone H3 (di methyl K4) antibody [Y47] - BSA and Azide free (ab173324) at 1/10000 dilution

Lane 1:

HeLa (Human epithelial cell line from cervix adenocarcinoma) whole cell lysate at 20 µg

Lane 2:

HEK-293 (Human epithelial cell line from embryonic kidney) whole cell lysate at 20 µg

Lane 3:

SH-SY5Y (Human neuroblastoma cell line from bone marrow) whole cell lysate at 20 µg

Lane 4:

C6 (Rat glial tumor cell line) whole cell lysate at 20 µg

Secondary

All lanes:

Goat Anti-Rabbit IgG, (H+L), Peroxidase conjugated at 1/1000 dilution

Predicted band size: 15 kDa

false

ChIC/CUT&RUN sequencing - Anti-Histone H3 (di methyl K4) antibody [Y47] - BSA and Azide free (AB173324)
  • ChIC/CUT&RUN-seq

Lab

ChIC/CUT&RUN sequencing - Anti-Histone H3 (di methyl K4) antibody [Y47] - BSA and Azide free (AB173324)

This data was developed using the same antibody clone in a different buffer formulation (ab32356). ChIC/CUT&RUN was performed using a pAG-MNAse at a final concentration of 700 ng/mL, 2.5 x 10^5 HeLa (Human cervix adenocarcinoma epithelial cell line) cells and 5 µg of ab32356 [Y47]. The resulting DNA was sequenced on the Illumina NovaSeq 6000 to a depth of 10 million reads. The negative IgG control ab172730 is also shown. Additional screenshots of mapped reads can be found in the Protocol booklet in the Product Protocol section. The University of Geneva owns patents relevant to ChIC (Chromatin Immuno-Cleavage) methods.

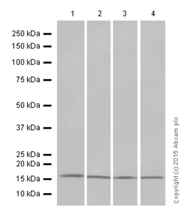
Western blot - Anti-Histone H3 (di methyl K4) antibody [Y47] - BSA and Azide free (AB173324)
  • WB

Lab

Western blot - Anti-Histone H3 (di methyl K4) antibody [Y47] - BSA and Azide free (AB173324)

This data was developed using the same antibody clone in a different buffer formulation (ab32356).

All lanes:

Western blot - Anti-Histone H3 (di methyl K4) antibody [Y47] - BSA and Azide free (ab173324) at 1/2000 dilution

Lane 1:

L6 (Rat skeletal muscle cell line) whole cell lysate at 20 µg

Lane 2:

NIH/3T3 (Mouse embryonic fibroblast cell line) whole cell lysate at 20 µg

Lane 3:

COS-1 (African green monkey kidney fibroblast-like cell line) whole cell lysate at 20 µg

Lane 4:

UMNSAH/DF-1 (Transformed chicken embryonic fibroblast cell line) whole cell lysate at 20 µg

Lane 5:

MDBK (Bovine kidney cell line) whole cell lysate at 20 µg

Secondary

All lanes:

Western blot - Goat Anti-Rabbit IgG H&L (HRP) (<a href='/en-us/products/secondary-antibodies/goat-rabbit-igg-h-l-hrp-ab97051'>ab97051</a>) at 1/1000 dilution

Predicted band size: 15 kDa

Observed band size: 17 kDa

false

Peptide Array - Anti-Histone H3 (di methyl K4) antibody [Y47] - BSA and Azide free (AB173324)
  • PepArr

Lab

Peptide Array - Anti-Histone H3 (di methyl K4) antibody [Y47] - BSA and Azide free (AB173324)

ab32356 or ab176878 was tested in Peptide Array against 501 different modified and unmodified histone peptides; each peptide is printed on the array at six concentrations (each in triplicate). Circle area represents affinity between the antibody and a peptide : all antigen-containing peptides are displayed as red circles, all other peptides as blue circles. The affinity is calculated as the area under the curve when antibody binding values are plotted against the corresponding peptide concentration. Each circle area is normalized to the peptide with the strongest affinity. Peptide Array, ab32356 binds to Histone H3 (di methyl K4) on Peptide Array but shows some weak non-specific binding to other Histone H3 modifications. We recommend ab176878 for Peptide Array of Histone H3 (di methyl K4).

  • Unconjugated

    Anti-Histone H3 (di methyl K4) antibody [Y47] - ChIP Grade

  • 617 Alexa Fluor® 594

    Alexa Fluor® 594 Anti-Histone H3 (di methyl K4) antibody [Y47]

  • 578 PE

    PE Anti-Histone H3 (di methyl K4) antibody [Y47]

  • 519 Alexa Fluor® 488

    Alexa Fluor® 488 Anti-Histone H3 (di methyl K4) antibody [Y47]

  • 665 Alexa Fluor® 647

    Alexa Fluor® 647 Anti-Histone H3 (di methyl K4) antibody [Y47]

  • 421 Alexa Fluor® 405

    Alexa Fluor® 405 Anti-Histone H3 (di methyl K4) antibody [Y47]

Key facts

Host species

Rabbit

Clonality

Monoclonal

Clone number

Y47

Isotype

IgG

Carrier free

Yes

Reacts with

Mouse, Rat, Chicken, Cow, Human, African green monkey

Applications

ChIP, IHC-P, ChIP-seq, ICC/IF, ChIC/CUT&RUN-seq, WB, Flow Cyt (Intra), IP

applications

Immunogen

The exact immunogen used to generate this antibody is proprietary information.

Reactivity data

{ "title": "Reactivity Data", "filters": { "stats": ["", "Species", "Dilution Info", "Notes"], "tabs": { "all-applications": {"fullname" : "All Applications", "shortname": "All Applications"}, "PepArr" : {"fullname" : "Peptide Array", "shortname":"PepArr"}, "ChICCUTRUNseq" : {"fullname" : "ChIC/CUT&RUN sequencing", "shortname":"ChIC/CUT&RUN-seq"}, "IP" : {"fullname" : "Immunoprecipitation", "shortname":"IP"}, "ChIP" : {"fullname" : "ChIP", "shortname":"ChIP"}, "WB" : {"fullname" : "Western blot", "shortname":"WB"}, "ICCIF" : {"fullname" : "Immunocytochemistry/ Immunofluorescence", "shortname":"ICC/IF"}, "ChIPseq" : {"fullname" : "ChIP-sequencing", "shortname":"ChIP-seq"}, "FlowCytIntra" : {"fullname" : "Flow Cytometry (Intracellular)", "shortname":"Flow Cyt (Intra)"}, "IHCP" : {"fullname" : "Immunohistochemistry (Formalin/PFA-fixed paraffin-embedded sections)", "shortname":"IHC-P"} }, "product-promise": { "all": "all", "testedAndGuaranteed": "tested", "guaranteed": "expected", "predicted": "predicted", "notRecommended": "not-recommended" } }, "values": { "Human": { "PepArr-species-checked": "notRecommended", "PepArr-species-dilution-info": "", "PepArr-species-notes": "", "ChICCUTRUNseq-species-checked": "testedAndGuaranteed", "ChICCUTRUNseq-species-dilution-info": "", "ChICCUTRUNseq-species-notes": "<p></p>", "IP-species-checked": "testedAndGuaranteed", "IP-species-dilution-info": "", "IP-species-notes": "<p></p>", "ChIP-species-checked": "testedAndGuaranteed", "ChIP-species-dilution-info": "", "ChIP-species-notes": "<p></p>", "WB-species-checked": "testedAndGuaranteed", "WB-species-dilution-info": "", "WB-species-notes": "<p></p>", "ICCIF-species-checked": "testedAndGuaranteed", "ICCIF-species-dilution-info": "", "ICCIF-species-notes": "<p></p>", "ChIPseq-species-checked": "testedAndGuaranteed", "ChIPseq-species-dilution-info": "4 µg for 30 µg chromatin", "ChIPseq-species-notes": "<p></p>", "FlowCytIntra-species-checked": "testedAndGuaranteed", "FlowCytIntra-species-dilution-info": "", "FlowCytIntra-species-notes": "<p><a href='/en-us/products/primary-antibodies/rabbit-igg-monoclonal-epr25a-isotype-control-low-endotoxin-azide-free-ab199376'>ab199376</a> - Rabbit monoclonal IgG, is suitable for use as an isotype control with this antibody.</p>", "IHCP-species-checked": "testedAndGuaranteed", "IHCP-species-dilution-info": "", "IHCP-species-notes": "<p></p>" }, "Mouse": { "PepArr-species-checked": "notRecommended", "PepArr-species-dilution-info": "", "PepArr-species-notes": "", "ChICCUTRUNseq-species-checked": "guaranteed", "ChICCUTRUNseq-species-dilution-info": "", "ChICCUTRUNseq-species-notes": "", "IP-species-checked": "guaranteed", "IP-species-dilution-info": "", "IP-species-notes": "", "ChIP-species-checked": "guaranteed", "ChIP-species-dilution-info": "", "ChIP-species-notes": "", "WB-species-checked": "testedAndGuaranteed", "WB-species-dilution-info": "", "WB-species-notes": "<p></p>", "ICCIF-species-checked": "guaranteed", "ICCIF-species-dilution-info": "", "ICCIF-species-notes": "", "ChIPseq-species-checked": "guaranteed", "ChIPseq-species-dilution-info": "", "ChIPseq-species-notes": "", "FlowCytIntra-species-checked": "guaranteed", "FlowCytIntra-species-dilution-info": "", "FlowCytIntra-species-notes": "", "IHCP-species-checked": "testedAndGuaranteed", "IHCP-species-dilution-info": "", "IHCP-species-notes": "<p></p>" }, "Rat": { "PepArr-species-checked": "notRecommended", "PepArr-species-dilution-info": "", "PepArr-species-notes": "", "ChICCUTRUNseq-species-checked": "guaranteed", "ChICCUTRUNseq-species-dilution-info": "", "ChICCUTRUNseq-species-notes": "", "IP-species-checked": "guaranteed", "IP-species-dilution-info": "", "IP-species-notes": "", "ChIP-species-checked": "guaranteed", "ChIP-species-dilution-info": "", "ChIP-species-notes": "", "WB-species-checked": "testedAndGuaranteed", "WB-species-dilution-info": "", "WB-species-notes": "<p></p>", "ICCIF-species-checked": "guaranteed", "ICCIF-species-dilution-info": "", "ICCIF-species-notes": "", "ChIPseq-species-checked": "guaranteed", "ChIPseq-species-dilution-info": "", "ChIPseq-species-notes": "", "FlowCytIntra-species-checked": "guaranteed", "FlowCytIntra-species-dilution-info": "", "FlowCytIntra-species-notes": "", "IHCP-species-checked": "testedAndGuaranteed", "IHCP-species-dilution-info": "", "IHCP-species-notes": "<p></p>" }, "African green monkey": { "PepArr-species-checked": "notRecommended", "PepArr-species-dilution-info": "", "PepArr-species-notes": "", "ChICCUTRUNseq-species-checked": "guaranteed", "ChICCUTRUNseq-species-dilution-info": "", "ChICCUTRUNseq-species-notes": "", "IP-species-checked": "guaranteed", "IP-species-dilution-info": "", "IP-species-notes": "", "ChIP-species-checked": "guaranteed", "ChIP-species-dilution-info": "", "ChIP-species-notes": "", "WB-species-checked": "testedAndGuaranteed", "WB-species-dilution-info": "", "WB-species-notes": "<p></p>", "ICCIF-species-checked": "guaranteed", "ICCIF-species-dilution-info": "", "ICCIF-species-notes": "", "ChIPseq-species-checked": "guaranteed", "ChIPseq-species-dilution-info": "", "ChIPseq-species-notes": "", "FlowCytIntra-species-checked": "guaranteed", "FlowCytIntra-species-dilution-info": "", "FlowCytIntra-species-notes": "", "IHCP-species-checked": "guaranteed", "IHCP-species-dilution-info": "", "IHCP-species-notes": "" }, "Chicken": { "PepArr-species-checked": "notRecommended", "PepArr-species-dilution-info": "", "PepArr-species-notes": "", "ChICCUTRUNseq-species-checked": "guaranteed", "ChICCUTRUNseq-species-dilution-info": "", "ChICCUTRUNseq-species-notes": "", "IP-species-checked": "guaranteed", "IP-species-dilution-info": "", "IP-species-notes": "", "ChIP-species-checked": "guaranteed", "ChIP-species-dilution-info": "", "ChIP-species-notes": "", "WB-species-checked": "testedAndGuaranteed", "WB-species-dilution-info": "", "WB-species-notes": "<p></p>", "ICCIF-species-checked": "guaranteed", "ICCIF-species-dilution-info": "", "ICCIF-species-notes": "", "ChIPseq-species-checked": "guaranteed", "ChIPseq-species-dilution-info": "", "ChIPseq-species-notes": "", "FlowCytIntra-species-checked": "guaranteed", "FlowCytIntra-species-dilution-info": "", "FlowCytIntra-species-notes": "", "IHCP-species-checked": "guaranteed", "IHCP-species-dilution-info": "", "IHCP-species-notes": "" }, "Cow": { "PepArr-species-checked": "notRecommended", "PepArr-species-dilution-info": "", "PepArr-species-notes": "", "ChICCUTRUNseq-species-checked": "guaranteed", "ChICCUTRUNseq-species-dilution-info": "", "ChICCUTRUNseq-species-notes": "", "IP-species-checked": "guaranteed", "IP-species-dilution-info": "", "IP-species-notes": "", "ChIP-species-checked": "guaranteed", "ChIP-species-dilution-info": "", "ChIP-species-notes": "", "WB-species-checked": "testedAndGuaranteed", "WB-species-dilution-info": "", "WB-species-notes": "<p></p>", "ICCIF-species-checked": "guaranteed", "ICCIF-species-dilution-info": "", "ICCIF-species-notes": "", "ChIPseq-species-checked": "guaranteed", "ChIPseq-species-dilution-info": "", "ChIPseq-species-notes": "", "FlowCytIntra-species-checked": "guaranteed", "FlowCytIntra-species-dilution-info": "", "FlowCytIntra-species-notes": "", "IHCP-species-checked": "guaranteed", "IHCP-species-dilution-info": "", "IHCP-species-notes": "" }, "Monkey": { "PepArr-species-checked": "notRecommended", "PepArr-species-dilution-info": "", "PepArr-species-notes": "", "ChICCUTRUNseq-species-checked": "predicted", "ChICCUTRUNseq-species-dilution-info": "", "ChICCUTRUNseq-species-notes": "", "IP-species-checked": "predicted", "IP-species-dilution-info": "", "IP-species-notes": "", "ChIP-species-checked": "predicted", "ChIP-species-dilution-info": "", "ChIP-species-notes": "", "WB-species-checked": "predicted", "WB-species-dilution-info": "", "WB-species-notes": "", "ICCIF-species-checked": "predicted", "ICCIF-species-dilution-info": "", "ICCIF-species-notes": "", "ChIPseq-species-checked": "predicted", "ChIPseq-species-dilution-info": "", "ChIPseq-species-notes": "", "FlowCytIntra-species-checked": "predicted", "FlowCytIntra-species-dilution-info": "", "FlowCytIntra-species-notes": "", "IHCP-species-checked": "predicted", "IHCP-species-dilution-info": "", "IHCP-species-notes": "" }, "Rice": { "PepArr-species-checked": "notRecommended", "PepArr-species-dilution-info": "", "PepArr-species-notes": "", "ChICCUTRUNseq-species-checked": "predicted", "ChICCUTRUNseq-species-dilution-info": "", "ChICCUTRUNseq-species-notes": "", "IP-species-checked": "predicted", "IP-species-dilution-info": "", "IP-species-notes": "", "ChIP-species-checked": "predicted", "ChIP-species-dilution-info": "", "ChIP-species-notes": "", "WB-species-checked": "predicted", "WB-species-dilution-info": "", "WB-species-notes": "", "ICCIF-species-checked": "predicted", "ICCIF-species-dilution-info": "", "ICCIF-species-notes": "", "ChIPseq-species-checked": "predicted", "ChIPseq-species-dilution-info": "", "ChIPseq-species-notes": "", "FlowCytIntra-species-checked": "predicted", "FlowCytIntra-species-dilution-info": "", "FlowCytIntra-species-notes": "", "IHCP-species-checked": "predicted", "IHCP-species-dilution-info": "", "IHCP-species-notes": "" }, "Synthetic peptide - Human": { "PepArr-species-checked": "notRecommended", "PepArr-species-dilution-info": "", "PepArr-species-notes": "<p></p>", "ChICCUTRUNseq-species-checked": "notRecommended", "ChICCUTRUNseq-species-dilution-info": "", "ChICCUTRUNseq-species-notes": "", "IP-species-checked": "notRecommended", "IP-species-dilution-info": "", "IP-species-notes": "", "ChIP-species-checked": "notRecommended", "ChIP-species-dilution-info": "", "ChIP-species-notes": "", "WB-species-checked": "notRecommended", "WB-species-dilution-info": "", "WB-species-notes": "", "ICCIF-species-checked": "notRecommended", "ICCIF-species-dilution-info": "", "ICCIF-species-notes": "", "ChIPseq-species-checked": "notRecommended", "ChIPseq-species-dilution-info": "", "ChIPseq-species-notes": "", "FlowCytIntra-species-checked": "notRecommended", "FlowCytIntra-species-dilution-info": "", "FlowCytIntra-species-notes": "", "IHCP-species-checked": "notRecommended", "IHCP-species-dilution-info": "", "IHCP-species-notes": "" } } }

Product details

ab173324 is the carrier-free version of ab32356.

Patented technology
Our RabMAb® technology is a patented hybridoma-based technology for making rabbit monoclonal antibodies. For details on our patents, please refer to RabMAb® patents.

What are the advantages of a recombinant monoclonal antibody?
This product is a recombinant monoclonal antibody, which offers several advantages including:

  • - High batch-to-batch consistency and reproducibility
  • - Improved sensitivity and specificity
  • - Long-term security of supply
  • - Animal-free batch production

For more information, read more on recombinant antibodies.

Conjugation ready
Our carrier-free antibodies are typically supplied in a PBS-only formulation, purified and free of BSA, sodium azide and glycerol. This conjugation-ready format is designed for use with fluorochromes, metal isotopes, oligonucleotides, and enzymes, which makes them ideal for antibody labelling, functional and cell-based assays, flow-based assays (e.g. mass cytometry) and Multiplex Imaging applications.

Use our conjugation kits for antibody conjugates that are ready-to-use in as little as 20 minutes with 1 minute hands-on-time and 100% antibody recovery: available for fluorescent dyes, HRP, biotin and gold.

Compatibility
This product is compatible with the Maxpar® Antibody Labeling Kit from Fluidigm, without the need for antibody preparation. Maxpar® is a trademark of Fluidigm Canada Inc.

Properties and storage information

Form
Liquid
Purification technique
Affinity purification Protein A
Storage buffer
Constituents: PBS
Shipped at conditions
Blue Ice
Appropriate short-term storage conditions
+4°C
Appropriate long-term storage conditions
+4°C
Storage information
Do Not Freeze

Product protocols

For this product, it's our understanding that no specific protocols are required. You can visit:

Target data

Core component of nucleosome. Nucleosomes wrap and compact DNA into chromatin, limiting DNA accessibility to the cellular machineries which require DNA as a template. Histones thereby play a central role in transcription regulation, DNA repair, DNA replication and chromosomal stability. DNA accessibility is regulated via a complex set of post-translational modifications of histones, also called histone code, and nucleosome remodeling.
See full target information H3C1 di methyl K4

Publications (1)

Recent publications for all applications. Explore the full list and refine your search

Molecular neurodegeneration 11:61 PubMed27549140

2016

A novel multiplex assay for simultaneous quantification of total and S129 phosphorylated human alpha-synuclein.

Applications

Unspecified application

Species

Unspecified reactive species

Natalie Landeck,Hélène Hall,Mustafa T Ardah,Nour K Majbour,Omar M A El-Agnaf,Glenda Halliday,Deniz Kirik
View all publications
chicCutRunSequencingBooklet
en

Product promise

We are committed to supporting your work with high-quality reagents, and we're here for you every step of the way. In the unlikely event that one of our products does not perform as expected, you're protected by our Product Promise.
For full details, please see our Terms & Conditions

Please note: All products are 'FOR RESEARCH USE ONLY. NOT FOR USE IN DIAGNOSTIC OR THERAPEUTIC PROCEDURES'.

For licensing inquiries, please contact partnerships@abcam.com