JavaScript is disabled in your browser. Please enable JavaScript to view this website.
AB249955

Anti-Histone H3 (di methyl K56) antibody [EPR17684(2)] - BSA and Azide free

Be the first to review this product! Submit a review

|

(0 Publication)

Rabbit Recombinant Monoclonal H3 di methyl K56 antibody. Carrier free. Suitable for ICC/IF, WB, PepArr and reacts with Mouse, Human, Synthetic peptide - Human samples.

View Alternative Names

H3FA, HIST1H3A, H3C2, H3FL, HIST1H3B, H3C3, H3FC HIST1H3C, H3C4, H3FB, HIST1H3D, H3C6, H3FD, HIST1H3E, H3C7, H3FI, HIST1H3F, H3C8, H3FH, HIST1H3G, H3C10, H3FK, HIST1H3H, H3C11, H3FF, HIST1H3I, H3C12, H3FJ, HIST1H3J, H3C1, HIST1H3C, H3FC, Histone H3.1, Histone H3/a, Histone H3/b, Histone H3/c, Histone H3/d, Histone H3/f, Histone H3/h, Histone H3/i, Histone H3/j, Histone H3/k, Histone H3/l, H3K56me2, H3K56me, H3K56

5 Images
Immunocytochemistry/ Immunofluorescence - Anti-Histone H3 (di methyl K56) antibody [EPR17684(2)] - BSA and Azide free (AB249955)
  • ICC/IF

Supplier Data

Immunocytochemistry/ Immunofluorescence - Anti-Histone H3 (di methyl K56) antibody [EPR17684(2)] - BSA and Azide free (AB249955)

This data was developed using ab177294, the same antibody clone in a different buffer formulation.

Immunofluorescent analysis of 4% paraformaldehyde-fixed, 0.1% Triton X-100 permeabilized HeLa (Human epithelial cell line from cervix adenocarcinoma) cells labeling Histone H3 (di methyl K56) with ab177294 at 1/150 dilution, followed by Goat Anti-Rabbit IgG H&L (Alexa Fluor® 488) (ab150077) secondary antibody at 1/1000 dilution (green). Confocal image showing nuclear staining on HeLa cell line. The nuclear counter stain is DAPI (blue).

Tubulin is detected with Anti-alpha Tubulin mouse MAb (ab7291) at 1/1000 dilution, followed by Goat Anti-Mouse IgG H&L (Alexa Fluor® 594) (ab150120) at 1/1000 dilution (red).

The negative controls are as follows :
-ve control 1 : ab177294 at 1/150 dilution, followed by Goat Anti-Mouse IgG H&L (Alexa Fluor® 594) (ab150120) at 1/1000 dilution.
-ve control 2 : Anti-alpha Tubulin mouse MAb (ab7291) at 1/1000 dilution, followed by Goat Anti-Rabbit IgG H&L (Alexa Fluor® 488) (ab150077) at 1/1000 dilution.

Immunocytochemistry/ Immunofluorescence - Anti-Histone H3 (di methyl K56) antibody [EPR17684(2)] - BSA and Azide free (AB249955)
  • ICC/IF

Supplier Data

Immunocytochemistry/ Immunofluorescence - Anti-Histone H3 (di methyl K56) antibody [EPR17684(2)] - BSA and Azide free (AB249955)

This data was developed using ab177294, the same antibody clone in a different buffer formulation.

Immunofluorescent analysis of 4% paraformaldehyde-fixed, 0.1% Triton X-100 permeabilized NIH/3T3 (Mouse embryonic fibroblast cell line) cells labeling Histone H3 (di methyl K56) with ab177294 at 1/150 dilution, followed by Goat Anti-Rabbit IgG H&L (Alexa Fluor® 488) (ab150077) secondary antibody at 1/1000 dilution (green). Confocal image showing nuclear staining on NIH/3T3 cell line. The nuclear counter stain is DAPI (blue).

Tubulin is detected with Anti-alpha Tubulin mouse MAb (ab7291) at 1/1000 dilution, followed by Goat Anti-Mouse IgG H&L (Alexa Fluor® 594) (ab150120) at 1/1000 dilution (red).

The negative controls are as follows :
-ve control 1 : ab177294 at 1/150 dilution, followed by Goat Anti-Mouse IgG H&L (Alexa Fluor® 594) (ab150120) at 1/1000 dilution.
-ve control 2 : Anti-alpha Tubulin mouse MAb (ab7291) at 1/1000 dilution, followed by Goat Anti-Rabbit IgG H&L (Alexa Fluor® 488) (ab150077) at 1/1000 dilution.

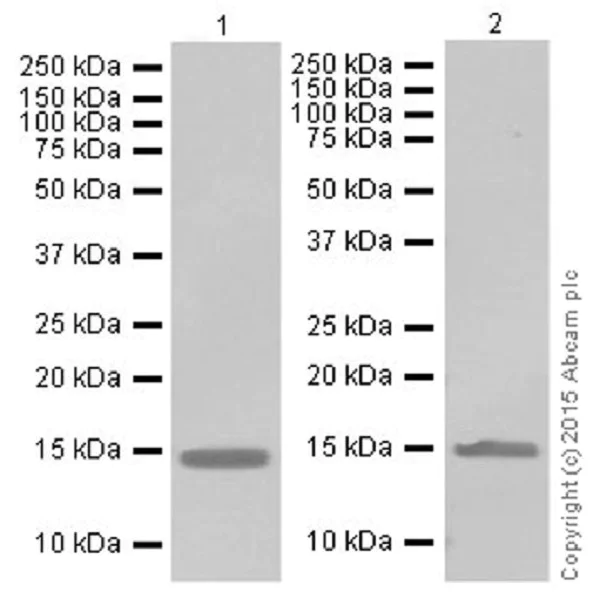
Western blot - Anti-Histone H3 (di methyl K56) antibody [EPR17684(2)] - BSA and Azide free (AB249955)
  • WB

Supplier Data

Western blot - Anti-Histone H3 (di methyl K56) antibody [EPR17684(2)] - BSA and Azide free (AB249955)

This data was developed using ab177294, the same antibody clone in a different buffer formulation.

Blocking and dilution buffer : 5% NFDM/TBST.

All lanes:

Western blot - Anti-Histone H3 (di methyl K56) antibody [EPR17684(2)] (<a href='/en-us/products/primary-antibodies/histone-h3-di-methyl-k56-antibody-epr176842-ab177294'>ab177294</a>) at 1/200 dilution

Lane 1:

HeLa (Human epithelial cell line from cervix adenocarcinoma) whole cell lysate at 10 µg

Lane 2:

NIH/3T3 (Mouse embryonic fibroblast cell line) whole cell lysate at 10 µg

Secondary

All lanes:

Western blot - Goat Anti-Rabbit IgG H&L (HRP) (<a href='/en-us/products/secondary-antibodies/goat-rabbit-igg-h-l-hrp-ab97051'>ab97051</a>) at 1/100000 dilution

Predicted band size: 15 kDa

Observed band size: 15 kDa

false

Exposure time: 3min

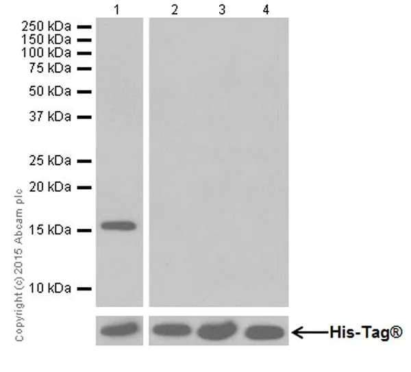
Western blot - Anti-Histone H3 (di methyl K56) antibody [EPR17684(2)] - BSA and Azide free (AB249955)
  • WB

Lab

Western blot - Anti-Histone H3 (di methyl K56) antibody [EPR17684(2)] - BSA and Azide free (AB249955)

This data was developed using ab177294, the same antibody clone in a different buffer formulation.

Blocking and dilution buffer : 5% BSA/TBST.

Lane 1:

Western blot - Anti-Histone H3 (di methyl K56) antibody [EPR17684(2)] (<a href='/en-us/products/primary-antibodies/histone-h3-di-methyl-k56-antibody-epr176842-ab177294'>ab177294</a>) at 1/5000 dilution

Lanes 2 - 4:

Western blot - Anti-Histone H3 (di methyl K56) antibody [EPR17684(2)] (<a href='/en-us/products/primary-antibodies/histone-h3-di-methyl-k56-antibody-epr176842-ab177294'>ab177294</a>) at 1/1000 dilution

Lane 1:

Recombinant mutant H3 chemically modified to mimic H3K56Me2 at 0.01 µg

Lane 2:

Unmodified recombinant mutant H3 at 0.01 µg

Lane 3:

Recombinant mutant H3 chemically modified to mimic H3K56Me1 at 0.01 µg

Lane 4:

Recombinant mutant H3 chemically modified to mimic H3K56Me3 at 0.01 µg

Secondary

All lanes:

Western blot - Goat Anti-Rabbit IgG H&L (HRP) (<a href='/en-us/products/secondary-antibodies/goat-rabbit-igg-h-l-hrp-ab97051'>ab97051</a>) at 1/100000 dilution

Predicted band size: 15 kDa

Observed band size: 15 kDa

false

Exposure time: 3min

Peptide Array - Anti-Histone H3 (di methyl K56) antibody [EPR17684(2)] - BSA and Azide free (AB249955)
  • PepArr

Unknown

Peptide Array - Anti-Histone H3 (di methyl K56) antibody [EPR17684(2)] - BSA and Azide free (AB249955)

This data was developed using ab177294, the same antibody clone in a different buffer formulation.

ab177294 was tested in Peptide array against 501 different modified and unmodified histone peptides; each peptide is printed on the array at six concentrations (each in triplicate).
Circle area represents affinity between the antibody and a peptide : all antigen-containing peptides are displayed as red circles, all other peptides as blue circles. The affinity is calculated as area under curve when antibody binding values are plotted against the corresponding peptide concentration. Each circle area is normalized to the peptide with the strongest affinity.
The complete dataset, including full list of all peptides and information on the position of each peptide in the diagram, is available under the Product Protocol section.

  • Unconjugated

    Anti-Histone H3 (di methyl K56) antibody [EPR17684(2)]

Key facts

Host species

Rabbit

Clonality

Monoclonal

Clone number

EPR17684(2)

Isotype

IgG

Carrier free

Yes

Reacts with

Mouse, Human

Applications

ICC/IF, PepArr, WB

applications

Immunogen

The exact immunogen used to generate this antibody is proprietary information.

Reactivity data

{ "title": "Reactivity Data", "filters": { "stats": ["", "Species", "Dilution Info", "Notes"], "tabs": { "all-applications": {"fullname" : "All Applications", "shortname": "All Applications"}, "ICCIF" : {"fullname" : "Immunocytochemistry/ Immunofluorescence", "shortname":"ICC/IF"}, "WB" : {"fullname" : "Western blot", "shortname":"WB"}, "PepArr" : {"fullname" : "Peptide Array", "shortname":"PepArr"} }, "product-promise": { "all": "all", "testedAndGuaranteed": "tested", "guaranteed": "expected", "predicted": "predicted", "notRecommended": "not-recommended" } }, "values": { "Human": { "ICCIF-species-checked": "testedAndGuaranteed", "ICCIF-species-dilution-info": "", "ICCIF-species-notes": "<p></p>", "WB-species-checked": "testedAndGuaranteed", "WB-species-dilution-info": "", "WB-species-notes": "<p></p>", "PepArr-species-checked": "testedAndGuaranteed", "PepArr-species-dilution-info": "", "PepArr-species-notes": "<p></p>" }, "Mouse": { "ICCIF-species-checked": "testedAndGuaranteed", "ICCIF-species-dilution-info": "", "ICCIF-species-notes": "<p></p>", "WB-species-checked": "testedAndGuaranteed", "WB-species-dilution-info": "", "WB-species-notes": "<p></p>", "PepArr-species-checked": "guaranteed", "PepArr-species-dilution-info": "", "PepArr-species-notes": "" }, "Synthetic peptide - Human": { "ICCIF-species-checked": "notRecommended", "ICCIF-species-dilution-info": "", "ICCIF-species-notes": "", "WB-species-checked": "testedAndGuaranteed", "WB-species-dilution-info": "", "WB-species-notes": "<p></p>", "PepArr-species-checked": "notRecommended", "PepArr-species-dilution-info": "", "PepArr-species-notes": "" } } }

Product details

ab249955 is the carrier-free version of ab177294.

Patented technology
Our RabMAb® technology is a patented hybridoma-based technology for making rabbit monoclonal antibodies. For details on our patents, please refer to RabMAb® patents.

What are the advantages of a recombinant monoclonal antibody?
This product is a recombinant monoclonal antibody, which offers several advantages including:

  • - High batch-to-batch consistency and reproducibility
  • - Improved sensitivity and specificity
  • - Long-term security of supply
  • - Animal-free batch production

For more information, read more on recombinant antibodies.

Conjugation ready
Our carrier-free antibodies are typically supplied in a PBS-only formulation, purified and free of BSA, sodium azide and glycerol. This conjugation-ready format is designed for use with fluorochromes, metal isotopes, oligonucleotides, and enzymes, which makes them ideal for antibody labelling, functional and cell-based assays, flow-based assays (e.g. mass cytometry) and Multiplex Imaging applications.

Use our conjugation kits for antibody conjugates that are ready-to-use in as little as 20 minutes with 1 minute hands-on-time and 100% antibody recovery: available for fluorescent dyes, HRP, biotin and gold.

Compatibility
This product is compatible with the Maxpar® Antibody Labeling Kit from Fluidigm, without the need for antibody preparation. Maxpar® is a trademark of Fluidigm Canada Inc.

Properties and storage information

Form
Liquid
Purification technique
Affinity purification Protein A
Storage buffer
pH: 7.2 - 7.4 Constituents: PBS
Shipped at conditions
Blue Ice
Appropriate short-term storage conditions
+4°C
Appropriate long-term storage conditions
+4°C
Storage information
Do Not Freeze

Product protocols

For this product, it's our understanding that no specific protocols are required. You can visit:

Target data

The protein expressed by gene H3C1 is a core component of the nucleosome, which is essential for wrapping and compacting DNA into chromatin. This process restricts DNA accessibility to cellular machineries that use DNA as a template. Consequently, histones are central to transcription regulation, DNA repair, DNA replication, and chromosomal stability. DNA accessibility is regulated through a complex set of post-translational modifications of histones, known as the histone code, and through nucleosome remodeling. This supplementary information is collated from multiple sources and compiled automatically.
See full target information H3C1 di methyl K56
peptideArrayWebsite
en

Product promise

We are committed to supporting your work with high-quality reagents, and we're here for you every step of the way. In the unlikely event that one of our products does not perform as expected, you're protected by our Product Promise.
For full details, please see our Terms & Conditions

Please note: All products are 'FOR RESEARCH USE ONLY. NOT FOR USE IN DIAGNOSTIC OR THERAPEUTIC PROCEDURES'.

For licensing inquiries, please contact partnerships@abcam.com