JavaScript is disabled in your browser. Please enable JavaScript to view this website.
AB177184

Anti-Histone H3 (di methyl K79) antibody [EPR17467] - ChIP Grade

4

(3 Reviews)

|

(9 Publications)

Rabbit Recombinant Monoclonal H3 di methyl K79 antibody. Suitable for ChIP, WB, PepArr, ICC/IF, IHC-P and reacts with Human, Mouse, Rat samples. Cited in 9 publications.

View Alternative Names

H3FA, HIST1H3A, H3C2, H3FL, HIST1H3B, H3C3, H3FC HIST1H3C, H3C4, H3FB, HIST1H3D, H3C6, H3FD, HIST1H3E, H3C7, H3FI, HIST1H3F, H3C8, H3FH, HIST1H3G, H3C10, H3FK, HIST1H3H, H3C11, H3FF, HIST1H3I, H3C12, H3FJ, HIST1H3J, H3FC, HIST1H3C, H3C1, Histone H3.1, Histone H3/a, Histone H3/b, Histone H3/c, Histone H3/d, Histone H3/f, Histone H3/h, Histone H3/i, Histone H3/j, Histone H3/k, Histone H3/l, H3K79me2, H3K79me, H3K79

8 Images
Immunohistochemistry (Formalin/PFA-fixed paraffin-embedded sections) - Anti-Histone H3 (di methyl K79) antibody [EPR17467] - ChIP Grade (AB177184)
  • IHC-P

Supplier Data

Immunohistochemistry (Formalin/PFA-fixed paraffin-embedded sections) - Anti-Histone H3 (di methyl K79) antibody [EPR17467] - ChIP Grade (AB177184)

Immunohistochemical analysis of paraffin-embedded Human colon tissue labeling Histone H3 (di methyl K79) with ab177184 at 1/2000 dilution, followed by Goat Anti-Rabbit HRP (IgG H&L) at 1/500 dilution (ab97051). Nucleus staining on glandular epithelium of Human colon tissue is observed. Counter stained with Hematoxylin.

Negative control : Using PBS instead of primary antibody.

Perform heat mediated antigen retrieval with Tris/EDTA buffer pH 9.0 before commencing with IHC staining protocol.

Immunocytochemistry/ Immunofluorescence - Anti-Histone H3 (di methyl K79) antibody [EPR17467] - ChIP Grade (AB177184)
  • ICC/IF

Supplier Data

Immunocytochemistry/ Immunofluorescence - Anti-Histone H3 (di methyl K79) antibody [EPR17467] - ChIP Grade (AB177184)

Immunofluorescent analysis of 4% paraformaldehyde-fixed, 0.1% Triton X-100 permeabilized HeLa (Human epithelial cells from cervix adenocarcinoma) cells labeling Histone H3 (di methyl K79) with ab177184 at 1/2000 dilution, followed by Goat anti-rabbit Alexa Fluor® 488 (ab150077) secondary antibody at 1/500 dilution (green). Nuclear staining on HeLa cell line is observed. The nuclear counter stain is DAPI (blue). Tubulin is detected with ab7291 (anti-Tubulin mouse mAb) at 1/1000 dilution and ab150120 (goat anti-mouse AlexaFluor®594 secondary) at 1/500 dilution (red).

The negative controls are as follows;

1. ab177184 at 1/2000 dilution followed by ab150120 (goat anti-mouse AlexaFluor®594 secondary) at 1/500 dilution.

2. ab7291 (anti-Tubulin mouse mAb) at 1/1000 dilution followed by ab150077 (goat anti-rabbit Alexa Fluor®488; IgG H&L) at 1/400 dilution.

ChIP - Anti-Histone H3 (di methyl K79) antibody [EPR17467] - ChIP Grade (AB177184)
  • ChIP

Supplier Data

ChIP - Anti-Histone H3 (di methyl K79) antibody [EPR17467] - ChIP Grade (AB177184)

Chromatin was prepared from Hela (Human epithelial cells from cervix adenocarcinoma) cells according to the Abcam X-ChIP protocol. Cells were fixed with formaldehyde for 10min. The ChIP was performed with 25μg of chromatin 10μg of ab177184 (blue) and 20μl of Anti rabbit IgG sepharose beads. 10μg of Rabbit normal IgG was added to the beads control (yellow). The immunoprecipitated DNA was quantified by real time PCR (SYBR approach). Primers and probes are located in the first kb of the transcribed region.

ChIP - Anti-Histone H3 (di methyl K79) antibody [EPR17467] - ChIP Grade (AB177184)
  • ChIP

Unknown

ChIP - Anti-Histone H3 (di methyl K79) antibody [EPR17467] - ChIP Grade (AB177184)

Chromatin was prepared from HeLa cells according to the Abcam X-ChIP protocol. Cells were fixed with formaldehyde for 10min.The ChIP was performed with 25 μg of chromatin 5 μg of ab177184 (red) and 20 μl of Protein A/G Sepharose beads. 5 μg of rabbit normal IgG was added to the beads control (grey). The immunoprecipitated DNA was quantified by real time PCR (Taqman approach for active and inactive loci). Primers and probes are located in the first kb of the transcribed region

Immunohistochemistry (Formalin/PFA-fixed paraffin-embedded sections) - Anti-Histone H3 (di methyl K79) antibody [EPR17467] - ChIP Grade (AB177184)
  • IHC-P

Supplier Data

Immunohistochemistry (Formalin/PFA-fixed paraffin-embedded sections) - Anti-Histone H3 (di methyl K79) antibody [EPR17467] - ChIP Grade (AB177184)

Immunohistochemical analysis of paraffin-embedded Rat pancreas tissue labeling Histone H3 (di methyl K79) with ab177184 at 1/2000 dilution, followed by Goat Anti-Rabbit HRP (IgG H&L) at 1/500 dilution (ab97051). Nucleus staining on rat pancreas tissue is observed. Counter stained with Hematoxylin.

Negative control : Using PBS instead of primary antibody.

Perform heat mediated antigen retrieval with Tris/EDTA buffer pH 9.0 before commencing with IHC staining protocol.

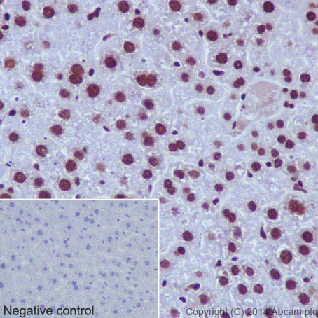
Immunohistochemistry (Formalin/PFA-fixed paraffin-embedded sections) - Anti-Histone H3 (di methyl K79) antibody [EPR17467] - ChIP Grade (AB177184)
  • IHC-P

Supplier Data

Immunohistochemistry (Formalin/PFA-fixed paraffin-embedded sections) - Anti-Histone H3 (di methyl K79) antibody [EPR17467] - ChIP Grade (AB177184)

Immunohistochemical analysis of paraffin-embedded Mouse liver tissue labeling Histone H3 (di methyl K79) with ab177184 at 1/2000 dilution, followed by Goat Anti-Rabbit HRP (IgG HRP) at 1/500 dilution (ab97051). Nucleus staining mouse liver tissue is observed. Counter stained with Hematoxylin.

Negative control : Using PBS instead of primary antibody.

Perform heat mediated antigen retrieval with Tris/EDTA buffer pH 9.0 before commencing with IHC staining protocol.

Western blot - Anti-Histone H3 (di methyl K79) antibody [EPR17467] - ChIP Grade (AB177184)
  • WB

Supplier Data

Western blot - Anti-Histone H3 (di methyl K79) antibody [EPR17467] - ChIP Grade (AB177184)

Blocking/Dilution buffer : 5% NFDM/TBST.

All lanes:

Western blot - Anti-Histone H3 (di methyl K79) antibody [EPR17467] - ChIP Grade (ab177184) at 1/2500 dilution

Lane 1:

HeLa (Human epithelial cells from cervix adenocarcinoma) whole cell lysate at 20 µg

Lane 2:

NIH/3T3 (Mouse embyro fibroblast cells) whole cell lysate at 20 µg

Secondary

All lanes:

Goat Anti-Rabbit IgG, (H+L), Peroxidase conjugated at 1/1000 dilution

Predicted band size: 15 kDa

Observed band size: 15 kDa

false

Exposure time: 3min

Peptide Array - Anti-Histone H3 (di methyl K79) antibody [EPR17467] - ChIP Grade (AB177184)
  • PepArr

Supplier Data

Peptide Array - Anti-Histone H3 (di methyl K79) antibody [EPR17467] - ChIP Grade (AB177184)

ab177184 was tested in Peptide Array against 501 different modified and unmodified histone peptides; each peptide is printed on the array at six concentrations (each in triplicate).
Circle area represents affinity between the antibody and a peptide : all antigen-containing peptides are displayed as red circles, all other peptides as blue circles. The affinity is calculated as area under curve when antibody binding values are plotted against the corresponding peptide concentration. Each circle area is normalized to the peptide with the strongest affinity.
The complete dataset, including full list of all peptides and information on the position of each peptide in the diagram, is available under the Product Protocol section.

Key facts

Host species

Rabbit

Clonality

Monoclonal

Clone number

EPR17467

Isotype

IgG

Carrier free

No

Reacts with

Mouse, Rat, Human

Applications

IHC-P, ICC/IF, WB, ChIP, PepArr

applications

Immunogen

The exact immunogen used to generate this antibody is proprietary information.

Reactivity data

{ "title": "Reactivity Data", "filters": { "stats": ["", "Species", "Dilution Info", "Notes"], "tabs": { "all-applications": {"fullname" : "All Applications", "shortname": "All Applications"}, "ChIP" : {"fullname" : "ChIP", "shortname":"ChIP"}, "WB" : {"fullname" : "Western blot", "shortname":"WB"}, "PepArr" : {"fullname" : "Peptide Array", "shortname":"PepArr"}, "ICCIF" : {"fullname" : "Immunocytochemistry/ Immunofluorescence", "shortname":"ICC/IF"}, "IHCP" : {"fullname" : "Immunohistochemistry (Formalin/PFA-fixed paraffin-embedded sections)", "shortname":"IHC-P"} }, "product-promise": { "all": "all", "testedAndGuaranteed": "tested", "guaranteed": "expected", "predicted": "predicted", "notRecommended": "not-recommended" } }, "values": { "Human": { "ChIP-species-checked": "testedAndGuaranteed", "ChIP-species-dilution-info": "5 µg for 25 µg chromatin", "ChIP-species-notes": "<p></p>", "WB-species-checked": "testedAndGuaranteed", "WB-species-dilution-info": "1/2500", "WB-species-notes": "<p></p>", "PepArr-species-checked": "testedAndGuaranteed", "PepArr-species-dilution-info": "", "PepArr-species-notes": "<p></p>", "ICCIF-species-checked": "testedAndGuaranteed", "ICCIF-species-dilution-info": "1/2000", "ICCIF-species-notes": "<p></p>", "IHCP-species-checked": "testedAndGuaranteed", "IHCP-species-dilution-info": "1/2000", "IHCP-species-notes": "<p></p>" }, "Mouse": { "ChIP-species-checked": "guaranteed", "ChIP-species-dilution-info": "", "ChIP-species-notes": "", "WB-species-checked": "testedAndGuaranteed", "WB-species-dilution-info": "1/2500", "WB-species-notes": "<p></p>", "PepArr-species-checked": "guaranteed", "PepArr-species-dilution-info": "", "PepArr-species-notes": "", "ICCIF-species-checked": "guaranteed", "ICCIF-species-dilution-info": "", "ICCIF-species-notes": "", "IHCP-species-checked": "testedAndGuaranteed", "IHCP-species-dilution-info": "1/2000", "IHCP-species-notes": "<p></p>" }, "Rat": { "ChIP-species-checked": "guaranteed", "ChIP-species-dilution-info": "", "ChIP-species-notes": "", "WB-species-checked": "guaranteed", "WB-species-dilution-info": "", "WB-species-notes": "", "PepArr-species-checked": "guaranteed", "PepArr-species-dilution-info": "", "PepArr-species-notes": "", "ICCIF-species-checked": "guaranteed", "ICCIF-species-dilution-info": "", "ICCIF-species-notes": "", "IHCP-species-checked": "testedAndGuaranteed", "IHCP-species-dilution-info": "1/2000", "IHCP-species-notes": "<p></p>" } } }

Product details

Patented technology
Our RabMAb® technology is a patented hybridoma-based technology for making rabbit monoclonal antibodies. For details on our patents, please refer to RabMAb® patents.

What are the advantages of a recombinant monoclonal antibody?
This product is a recombinant monoclonal antibody, which offers several advantages including:

  • - High batch-to-batch consistency and reproducibility
  • - Improved sensitivity and specificity
  • - Long-term security of supply
  • - Animal-free batch production

For more information, read more on recombinant antibodies.

Properties and storage information

Form
Liquid
Purification technique
Affinity purification Protein A
Storage buffer
Preservative: 0.01% Sodium azide Constituents: PBS, 40% Glycerol (glycerin, glycerine), 0.05% BSA
Shipped at conditions
Blue Ice
Appropriate short-term storage duration
1-2 weeks
Appropriate short-term storage conditions
+4°C
Appropriate long-term storage conditions
-20°C
Aliquoting information
Upon delivery aliquot
Storage information
Avoid freeze / thaw cycle

Product protocols

For this product, it's our understanding that no specific protocols are required. You can visit:

Target data

The protein expressed by gene H3C1 is a core component of the nucleosome, which is essential for wrapping and compacting DNA into chromatin. This process restricts DNA accessibility to cellular machineries that use DNA as a template. Consequently, histones are central to transcription regulation, DNA repair, DNA replication, and chromosomal stability. DNA accessibility is regulated through a complex set of post-translational modifications of histones, known as the histone code, and through nucleosome remodeling. This supplementary information is collated from multiple sources and compiled automatically.
See full target information H3C1 di methyl K79

Publications (9)

Recent publications for all applications. Explore the full list and refine your search

ACS omega 10:28210-28219 PubMed40657109

2025

Natural Product Bruceine A from as a Potential LDLR Inhibitor That Facilitates Antiviral Effect.

Applications

Unspecified application

Species

Unspecified reactive species

Kaiyue Zuo,Naiyu Liu,Peng Zhou,Yingrui Wei,Jian Lin,Xinjie Zhu

Molecular medicine (Cambridge, Mass.) 30:95 PubMed38910244

2024

β-hydroxybutyrate resensitizes colorectal cancer cells to oxaliplatin by suppressing H3K79 methylation in vitro and in vivo.

Applications

Unspecified application

Species

Unspecified reactive species

Meng Deng,Peijie Yan,Hui Gong,Guiqiu Li,Jianjie Wang

Nature communications 14:2593 PubMed37147330

2023

Methionine consumption by cancer cells drives a progressive upregulation of PD-1 expression in CD4 T cells.

Applications

Unspecified application

Species

Unspecified reactive species

Mahesh Pandit,Yun-Seo Kil,Jae-Hee Ahn,Ram Hari Pokhrel,Ye Gu,Sunil Mishra,Youngjoo Han,Yung-Taek Ouh,Ben Kang,Myeong Seon Jeong,Jong-Oh Kim,Joo-Won Nam,Hyun-Jeong Ko,Jae-Hoon Chang

Cell & bioscience 12:134 PubMed35986422

2022

Inhibition of the cardiac fibroblast-enriched histone methyltransferase Dot1L prevents cardiac fibrosis and cardiac dysfunction.

Applications

Unspecified application

Species

Unspecified reactive species

Jie Xu,Jinghuan Wang,Fen Long,Wen Zhong,Haibi Su,Zhenghua Su,Xinhua Liu

Oncoimmunology 11:2052640 PubMed35309733

2022

DOT1L affects colorectal carcinogenesis via altering T cell subsets and oncogenic pathway.

Applications

Unspecified application

Species

Unspecified reactive species

Danfeng Sun,Weichao Wang,Fangfang Guo,Michael R Pitter,Wan Du,Shuang Wei,Sara Grove,Linda Vatan,Yingxuan Chen,Ilona Kryczek,Eric R Fearon,Jing-Yuan Fang,Weiping Zou

The Journal of cell biology 220: PubMed34037658

2021

DOT1L modulates the senescence-associated secretory phenotype through epigenetic regulation of IL1A.

Applications

Unspecified application

Species

Unspecified reactive species

Kelly E Leon,Raquel Buj,Elizabeth Lesko,Erika S Dahl,Chi-Wei Chen,Naveen Kumar Tangudu,Yuka Imamura-Kawasawa,Andrew V Kossenkov,Ryan P Hobbs,Katherine M Aird

Epigenetics & chromatin 14:3 PubMed33407810

2021

Genome-wide occupancy reveals the localization of H1T2 (H1fnt) to repeat regions and a subset of transcriptionally active chromatin domains in rat spermatids.

Applications

Unspecified application

Species

Unspecified reactive species

Vasantha Shalini,Utsa Bhaduri,Anjhana C Ravikkumar,Anusha Rengarajan,Rao M R Satyanarayana

Nature communications 11:4153 PubMed32814769

2020

Histone methyltransferase DOT1L coordinates AR and MYC stability in prostate cancer.

Applications

Unspecified application

Species

Unspecified reactive species

R Vatapalli,V Sagar,Y Rodriguez,J C Zhao,K Unno,S Pamarthy,B Lysy,J Anker,H Han,Y A Yoo,M Truica,Z R Chalmers,F Giles,J Yu,D Chakravarti,B Carneiro,S A Abdulkadir

American journal of transplantation : official jou 19:1917-1929 PubMed30761731

2019

Circulating mitochondria in organ donors promote allograft rejection.

Applications

Unspecified application

Species

Unspecified reactive species

Liwen Lin,He Xu,Muath Bishawi,FeiFei Feng,Kannan Samy,George Truskey,Andrew S Barbas,Allan D Kirk,Todd V Brennan
View all publications
peptideArrayWebsite
en

Product promise

We are committed to supporting your work with high-quality reagents, and we're here for you every step of the way. In the unlikely event that one of our products does not perform as expected, you're protected by our Product Promise.
For full details, please see our Terms & Conditions

Please note: All products are 'FOR RESEARCH USE ONLY. NOT FOR USE IN DIAGNOSTIC OR THERAPEUTIC PROCEDURES'.

For licensing inquiries, please contact partnerships@abcam.com