JavaScript is disabled in your browser. Please enable JavaScript to view this website.
AB239403

Anti-Histone H3 (di methyl K9) antibody [EP16990] - BSA and Azide free

Be the first to review this product! Submit a review

|

(1 Publication)

Rabbit Recombinant Monoclonal H3 di methyl K9 antibody. Carrier free. Suitable for ChIP, WB, PepArr, ICC/IF, IHC-P and reacts with Human, Mouse, Rat samples. Cited in 1 publication.

View Alternative Names

H3FA, HIST1H3A, H3C2, H3FL, HIST1H3B, H3C3, H3FC HIST1H3C, H3C4, H3FB, HIST1H3D, H3C6, H3FD, HIST1H3E, H3C7, H3FI, HIST1H3F, H3C8, H3FH, HIST1H3G, H3C10, H3FK, HIST1H3H, H3C11, H3FF, HIST1H3I, H3C12, H3FJ, HIST1H3J, H3C1, H3FC, HIST1H3C, Histone H3.1, Histone H3/a, Histone H3/b, Histone H3/c, Histone H3/d, Histone H3/f, Histone H3/h, Histone H3/i, Histone H3/j, Histone H3/k, Histone H3/l, H3K9me2, H3K9me, H3K9

6 Images
Immunohistochemistry (Formalin/PFA-fixed paraffin-embedded sections) - Anti-Histone H3 (di methyl K9) antibody [EP16990] - BSA and Azide free (AB239403)
  • IHC-P

Supplier Data

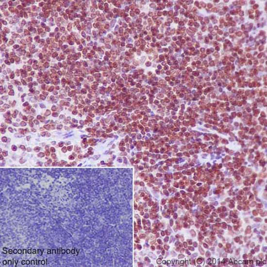
Immunohistochemistry (Formalin/PFA-fixed paraffin-embedded sections) - Anti-Histone H3 (di methyl K9) antibody [EP16990] - BSA and Azide free (AB239403)

Immunohistochemical analysis of paraffin-embedded mouse spleen tissue labeling Histone H3 (di methyl K9) with ab176882 at 1/50 dilution, followed by Goat Anti-Rabbit IgG H&L (HRP) (ab97051) at 1/500 dilution. Nuclear staining on mouse spleen is observed. Counter stained with Hematoxylin.

Secondary antibody only control : Used PBS instead of primary antibody, secondary antibody is Goat Anti-Rabbit IgG H&L (HRP) (ab97051) at 1/500 dilution.

This data was developed using the same antibody clone in a different buffer formulation containing PBS, BSA, glycerol, and sodium azide (ab176882).

Perform heat mediated antigen retrieval with Tris/EDTA buffer pH 9.0 before commencing with IHC staining protocol.

Immunocytochemistry/ Immunofluorescence - Anti-Histone H3 (di methyl K9) antibody [EP16990] - BSA and Azide free (AB239403)
  • ICC/IF

Supplier Data

Immunocytochemistry/ Immunofluorescence - Anti-Histone H3 (di methyl K9) antibody [EP16990] - BSA and Azide free (AB239403)

Immunofluorescent analysis of 4% paraformaldehyde-fixed, 0.1% Triton X-100 permeabilized HeLa (Human epithelial cell line from cervix adenocarcinoma) cells labeling Histone H3 (di methyl K9) with ab176882 at 1/500 dilution, followed by Goat Anti-Rabbit IgG H&L (Alexa Fluor® 488) (ab150077) secondary antibody at 1/500 dilution (green). Confocal image showing nuclear staining on HeLa cell line. The nuclear counter stain is DAPI (blue). Tubulin is detected with Anti-alpha Tubulin mouse MAb (ab7291) at 1/1000 dilution, followed by Goat Anti-Mouse IgG H&L (Alexa Fluor® 594) (ab150120) secondary antibody at 1/500 dilution (red).

The negative controls are as follows :
-ve control 1 : ab176882 at 1/500 dilution, followed by Goat Anti-Mouse IgG H&L (Alexa Fluor® 594) (ab150120) secondary antibody at 1/500 dilution.
-ve control 2 : Anti-alpha Tubulin mouse MAb (ab7291) at 1/1000 dilution, followed by Goat Anti-Rabbit IgG H&L (Alexa Fluor® 488) (ab150077) secondary antibody at 1/500 dilution.

This data was developed using the same antibody clone in a different buffer formulation containing PBS, BSA, glycerol, and sodium azide (ab176882).

Immunocytochemistry/ Immunofluorescence - Anti-Histone H3 (di methyl K9) antibody [EP16990] - BSA and Azide free (AB239403)
  • ICC/IF

Supplier Data

Immunocytochemistry/ Immunofluorescence - Anti-Histone H3 (di methyl K9) antibody [EP16990] - BSA and Azide free (AB239403)

Immunofluorescent analysis of 4% paraformaldehyde-fixed, 0.1% Triton X-100 permeabilized HeLa (Human epithelial cell line from cervix adenocarcinoma) cells labeling Histone H3 (di methyl K9) with ab176882 at 1/500 dilution, followed by Goat Anti-Rabbit IgG H&L (Alexa Fluor® 488) (ab150077) secondary antibody at 1/500 dilution (green). Confocal image showing nuclear staining on HeLa cell line. The nuclear counter stain is DAPI (blue). Tubulin is detected with Anti-alpha Tubulin mouse MAb (ab7291) at 1/1000 dilution, followed by Goat Anti-Mouse IgG H&L (Alexa Fluor® 594) (ab150120) secondary antibody at 1/500 dilution (red).

The negative controls are as follows :
-ve control 1 : ab176882 at 1/500 dilution, followed by Goat Anti-Mouse IgG H&L (Alexa Fluor® 594) (ab150120) secondary antibody at 1/500 dilution.
-ve control 2 : Anti-alpha Tubulin mouse MAb (ab7291) at 1/1000 dilution, followed by Goat Anti-Rabbit IgG H&L (Alexa Fluor® 488) (ab150077) secondary antibody at 1/500 dilution.

This data was developed using the same antibody clone in a different buffer formulation containing PBS, BSA, glycerol, and sodium azide (ab176882).

Immunohistochemistry (Formalin/PFA-fixed paraffin-embedded sections) - Anti-Histone H3 (di methyl K9) antibody [EP16990] - BSA and Azide free (AB239403)
  • IHC-P

Supplier Data

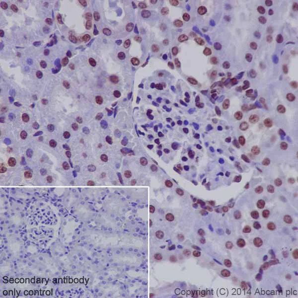
Immunohistochemistry (Formalin/PFA-fixed paraffin-embedded sections) - Anti-Histone H3 (di methyl K9) antibody [EP16990] - BSA and Azide free (AB239403)

Immunohistochemical analysis of paraffin-embedded rat kidney tissue labeling Histone H3 (di methyl K9) with ab176882 at 1/50 dilution, followed by Goat Anti-Rabbit IgG H&L (HRP) (ab97051) at 1/500 dilution. Nuclear staining on rat kidney is observed. Counter stained with Hematoxylin.

Secondary antibody only control : Used PBS instead of primary antibody, secondary antibody is Goat Anti-Rabbit IgG H&L (HRP) (ab97051) at 1/500 dilution.

This data was developed using the same antibody clone in a different buffer formulation containing PBS, BSA, glycerol, and sodium azide (ab176882).

Perform heat mediated antigen retrieval with Tris/EDTA buffer pH 9.0 before commencing with IHC staining protocol.

ChIP - Anti-Histone H3 (di methyl K9) antibody [EP16990] - BSA and Azide free (AB239403)
  • ChIP

Lab

ChIP - Anti-Histone H3 (di methyl K9) antibody [EP16990] - BSA and Azide free (AB239403)

Chromatin was prepared from HeLa cells according to the Abcam X-ChIP protocol. Cells were fixed with formaldehyde for 10 minutes. The ChIP was performed with 25µg of chromatin, 2µg of ab176882 (blue), and 20µl of Protein A/G sepharose beads. No antibody was added to the beads control (yellow). The immunoprecipitated DNA was quantified by real time PCR (Taqman approach for active and inactive loci, Sybr green approach for heterochromatic loci). Primers and probes are located in the first kb of the transcribed region.This data was developed using the same antibody clone in a different buffer formulation containing PBS, BSA, glycerol, and sodium azide (ab176882).

Peptide Array - Anti-Histone H3 (di methyl K9) antibody [EP16990] - BSA and Azide free (AB239403)
  • PepArr

Unknown

Peptide Array - Anti-Histone H3 (di methyl K9) antibody [EP16990] - BSA and Azide free (AB239403)

ab176882 was tested in Peptide array against 501 different modified and unmodified histone peptides; each peptide is printed on the array at six concentrations (each in triplicate).
Circle area represents affinity between the antibody and a peptide : all antigen-containing peptides are displayed as red circles, all other peptides as blue circles. The affinity is calculated as area under curve when antibody binding values are plotted against the corresponding peptide concentration. Each circle area is normalized to the peptide with the strongest affinity.
The complete dataset, including full list of all peptides and information on the position of each peptide in the diagram, is available under the Product Protocol section.

This data was developed using the same antibody clone in a different buffer formulation containing PBS, BSA, glycerol, and sodium azide (ab176882).

  • Unconjugated

    Anti-Histone H3 (di methyl K9) antibody [EP16990] - ChIP Grade

  • 519 Alexa Fluor® 488

    Alexa Fluor® 488 Anti-Histone H3 (di methyl K9) antibody [EP16990] - ChIP Grade

  • 665 Alexa Fluor® 647

    Alexa Fluor® 647 Anti-Histone H3 (di methyl K9) antibody [EP16990] - ChIP Grade

  • 565 Alexa Fluor® 555

    Alexa Fluor® 555 Anti-Histone H3 (di methyl K9) antibody [EP16990] - ChIP Grade

  • 617 Alexa Fluor® 594

    Alexa Fluor® 594 Anti-Histone H3 (di methyl K9) antibody [EP16990] - ChIP Grade

  • 578 PE

    PE Anti-Histone H3 (di methyl K9) antibody [EP16990] - ChIP Grade

  • 660 APC

    APC Anti-Histone H3 (di methyl K9) antibody [EP16990] - ChIP Grade

  • 775 Alexa Fluor® 750

    Alexa Fluor® 750 Anti-Histone H3 (di methyl K9) antibody [EP16990] - ChIP Grade

Key facts

Host species

Rabbit

Clonality

Monoclonal

Clone number

EP16990

Isotype

IgG

Carrier free

Yes

Reacts with

Mouse, Rat, Human

Applications

PepArr, WB, IHC-P, ICC/IF, ChIP

applications

Immunogen

The exact immunogen used to generate this antibody is proprietary information.

Reactivity data

{ "title": "Reactivity Data", "filters": { "stats": ["", "Species", "Dilution Info", "Notes"], "tabs": { "all-applications": {"fullname" : "All Applications", "shortname": "All Applications"}, "ChIP" : {"fullname" : "ChIP", "shortname":"ChIP"}, "WB" : {"fullname" : "Western blot", "shortname":"WB"}, "PepArr" : {"fullname" : "Peptide Array", "shortname":"PepArr"}, "ICCIF" : {"fullname" : "Immunocytochemistry/ Immunofluorescence", "shortname":"ICC/IF"}, "IHCP" : {"fullname" : "Immunohistochemistry (Formalin/PFA-fixed paraffin-embedded sections)", "shortname":"IHC-P"} }, "product-promise": { "all": "all", "testedAndGuaranteed": "tested", "guaranteed": "expected", "predicted": "predicted", "notRecommended": "not-recommended" } }, "values": { "Human": { "ChIP-species-checked": "testedAndGuaranteed", "ChIP-species-dilution-info": "", "ChIP-species-notes": "<p></p> Perform heat-mediated antigen retrieval with Tris/EDTA buffer pH 9.0 before commencing with IHC staining protocol.", "WB-species-checked": "guaranteed", "WB-species-dilution-info": "", "WB-species-notes": "<p></p>", "PepArr-species-checked": "testedAndGuaranteed", "PepArr-species-dilution-info": "", "PepArr-species-notes": "<p></p>", "ICCIF-species-checked": "testedAndGuaranteed", "ICCIF-species-dilution-info": "", "ICCIF-species-notes": "<p></p>", "IHCP-species-checked": "guaranteed", "IHCP-species-dilution-info": "", "IHCP-species-notes": "" }, "Mouse": { "ChIP-species-checked": "guaranteed", "ChIP-species-dilution-info": "", "ChIP-species-notes": "", "WB-species-checked": "guaranteed", "WB-species-dilution-info": "", "WB-species-notes": "<p></p>", "PepArr-species-checked": "guaranteed", "PepArr-species-dilution-info": "", "PepArr-species-notes": "", "ICCIF-species-checked": "guaranteed", "ICCIF-species-dilution-info": "", "ICCIF-species-notes": "", "IHCP-species-checked": "testedAndGuaranteed", "IHCP-species-dilution-info": "", "IHCP-species-notes": "<p></p> Perform heat-mediated antigen retrieval with Tris/EDTA buffer pH 9.0 before commencing with IHC staining protocol." }, "Rat": { "ChIP-species-checked": "predicted", "ChIP-species-dilution-info": "", "ChIP-species-notes": "", "WB-species-checked": "guaranteed", "WB-species-dilution-info": "", "WB-species-notes": "<p></p>", "PepArr-species-checked": "predicted", "PepArr-species-dilution-info": "", "PepArr-species-notes": "", "ICCIF-species-checked": "predicted", "ICCIF-species-dilution-info": "", "ICCIF-species-notes": "", "IHCP-species-checked": "predicted", "IHCP-species-dilution-info": "", "IHCP-species-notes": "" } } }

Product details

ab239403 is the carrier-free version of ab176882.

Patented technology
Our RabMAb® technology is a patented hybridoma-based technology for making rabbit monoclonal antibodies. For details on our patents, please refer to RabMAb® patents.

Conjugation ready
Our carrier-free antibodies are typically supplied in a PBS-only formulation, purified and free of BSA, sodium azide and glycerol. This conjugation-ready format is designed for use with fluorochromes, metal isotopes, oligonucleotides, and enzymes, which makes them ideal for antibody labelling, functional and cell-based assays, flow-based assays (e.g. mass cytometry) and Multiplex Imaging applications.

Use our conjugation kits for antibody conjugates that are ready-to-use in as little as 20 minutes with 1 minute hands-on-time and 100% antibody recovery: available for fluorescent dyes, HRP, biotin and gold.

Compatibility
This product is compatible with the Maxpar® Antibody Labeling Kit from Fluidigm, without the need for antibody preparation. Maxpar® is a trademark of Fluidigm Canada Inc.

Properties and storage information

Form
Liquid
Purification technique
Affinity purification Protein A
Storage buffer
pH: 7.2 - 7.4 Constituents: PBS
Shipped at conditions
Blue Ice
Appropriate short-term storage conditions
+4°C
Appropriate long-term storage conditions
+4°C
Storage information
Do Not Freeze

Product protocols

For this product, it's our understanding that no specific protocols are required. You can visit:

Target data

The protein expressed by gene H3C1 is a core component of the nucleosome, which is essential for wrapping and compacting DNA into chromatin. This process restricts DNA accessibility to cellular machineries that use DNA as a template. Consequently, histones are central to transcription regulation, DNA repair, DNA replication, and chromosomal stability. DNA accessibility is regulated through a complex set of post-translational modifications of histones, known as the histone code, and through nucleosome remodeling. This supplementary information is collated from multiple sources and compiled automatically.
See full target information H3C1 di methyl K9

Publications (1)

Recent publications for all applications. Explore the full list and refine your search

Evidence-based complementary and alternative medic 2019:5356825 PubMed31467576

2019

Danzhi Jiangtang Capsule Mediates NIT-1 Insulinoma Cell Proliferation and Apoptosis by GLP-1/Akt Signaling Pathway.

Applications

Unspecified application

Species

Unspecified reactive species

Yuan-Jie Wu,Yuan-Bo Wu,Zhao-Hui Fang,Mei-Qiao Chen,Yu-Feng Wang,Chuan-Yun Wu,Ming-An Lv
View all publications

Product promise

We are committed to supporting your work with high-quality reagents, and we're here for you every step of the way. In the unlikely event that one of our products does not perform as expected, you're protected by our Product Promise.
For full details, please see our Terms & Conditions
peptideArrayWebsite
en

Associated Products

Select an associated product type
Alternative Product
Primary Antibodies

AB176916

Anti-Histone H3 (tri methyl K9) antibody [EPR16601] - ChIP Grade

primary-antibodies

histone-h3-tri-methyl-k9-antibody-epr16601-chip-grade-ab176916

4

(12 reviews)

Alternative Product
Primary Antibodies

AB32356

Anti-Histone H3 (di methyl K4) antibody [Y47] - ChIP Grade

primary-antibodies

histone-h3-di-methyl-k4-antibody-y47-chip-grade-ab32356

5

(14 reviews)

Alternative Product
Primary Antibodies

AB52946

Anti-Histone H3 (acetyl K14) antibody [EP964Y] - ChIP Grade

primary-antibodies

histone-h3-acetyl-k14-antibody-ep964y-chip-grade-ab52946

5

(12 reviews)

Alternative Product
Primary Antibodies

AB176842

Anti-Histone H3 antibody [EPR16987] - Nuclear Marker and ChIP Grade

primary-antibodies

histone-h3-antibody-epr16987-nuclear-marker-and-chip-grade-ab176842

5

(15 reviews)

Alternative Product
Primary Antibodies

AB176843

Anti-Histone H3 (citrulline R2) antibody [EPR17703]

primary-antibodies

histone-h3-citrulline-r2-antibody-epr17703-ab176843

5

(1 reviews)

Alternative Product
Primary Antibodies

AB219407

Anti-Histone H3 (citrulline R17) antibody [EPR20358-120]

primary-antibodies

histone-h3-citrulline-r17-antibody-epr20358-120-ab219407

5

(1 reviews)

Alternative Product
Primary Antibodies

AB277918

Alexa Fluor® 488 Anti-Histone H3 (acetyl K14) antibody [EP964Y]

primary-antibodies

alexa-fluor-488-histone-h3-acetyl-k14-antibody-ep964y-ab277918

0

(0 reviews)

Alternative Product
Primary Antibodies

AB277919

Alexa Fluor® 647 Anti-Histone H3 (acetyl K14) antibody [EP964Y]

primary-antibodies

alexa-fluor-647-histone-h3-acetyl-k14-antibody-ep964y-ab277919

0

(0 reviews)

Alternative Product
Primary Antibodies

AB192985

Anti-Histone H3 (tri methyl K27) antibody [EPR18607] - ChIP Grade

primary-antibodies

histone-h3-tri-methyl-k27-antibody-epr18607-chip-grade-ab192985

4

(14 reviews)

Please note: All products are 'FOR RESEARCH USE ONLY. NOT FOR USE IN DIAGNOSTIC OR THERAPEUTIC PROCEDURES'.

For licensing inquiries, please contact partnerships@abcam.com