JavaScript is disabled in your browser. Please enable JavaScript to view this website.
AB236275

Anti-Histone H3 (methyl K37) antibody [EPR20970] - BSA and Azide free

Be the first to review this product! Submit a review

|

(0 Publication)

Rabbit Recombinant Monoclonal H3 methyl K37 antibody. Carrier free. Suitable for ICC/IF, WB, PepArr, Flow Cyt (Intra) and reacts with Mouse, Human, Rat, Recombinant fragment - Human samples.

View Alternative Names

H3FA, HIST1H3A, H3C2, H3FL, HIST1H3B, H3C3, H3FC HIST1H3C, H3C4, H3FB, HIST1H3D, H3C6, H3FD, HIST1H3E, H3C7, H3FI, HIST1H3F, H3C8, H3FH, HIST1H3G, H3C10, H3FK, HIST1H3H, H3C11, H3FF, HIST1H3I, H3C12, H3FJ, HIST1H3J, HIST1H3C, H3FC, H3C1, Histone H3.1, Histone H3/a, Histone H3/b, Histone H3/c, Histone H3/d, Histone H3/f, Histone H3/h, Histone H3/i, Histone H3/j, Histone H3/k, Histone H3/l, H3K37me

7 Images
Flow Cytometry (Intracellular) - Anti-Histone H3 (methyl K37) antibody [EPR20970] - BSA and Azide free (AB236275)
  • Flow Cyt (Intra)

Supplier Data

Flow Cytometry (Intracellular) - Anti-Histone H3 (methyl K37) antibody [EPR20970] - BSA and Azide free (AB236275)

This data was developed using ab215728, the same antibody clone in a different buffer formulation.

Intracellular flow cytometric analysis of 90% methanol permeabilized , 4% paraformaldehyde-fixed HeLa (human cervix adenocarcinoma epithelial cell) cells labeling Histone H3 (methyl K37) with ab215728 at 1/60 dilution (Red) compared withRabbit monoclonal IgG (ab172730) (black) and an unlabeled control (cells without incubation with primary antibody and secondary antibody) (blue). Goat anti rabbit IgG (Alexa Fluor®488, ab150077) at 1/2000 was used as the secondary antibody.

Immunocytochemistry/ Immunofluorescence - Anti-Histone H3 (methyl K37) antibody [EPR20970] - BSA and Azide free (AB236275)
  • ICC/IF

Supplier Data

Immunocytochemistry/ Immunofluorescence - Anti-Histone H3 (methyl K37) antibody [EPR20970] - BSA and Azide free (AB236275)

This data was developed using ab215728, the same antibody clone in a different buffer formulation.

Immunofluorescent analysis of 4% paraformaldehyde-fixed 0.1% Triton X-100 permeabilized HeLa (human cervix adenocarcinoma epithelial cell line) cells labeling Histone H3 (methyl K37) with ab215728 at 1/100 dilution, followed by ab150077 AlexaFluor®488 Goat anti-Rabbit secondary antibody at 1/1000 dilution (green). Confocal image showing nuclear staining in HeLa cell line is observed. DAPI was used as the nuclear counterstain. Anti-alpha Tubulin antibody [DM1A] - Microtubule Marker (Alexa Fluor® 594) (ab195889) was used as the counterstain antibody at 1/200 dilution (red).

Secondary antibody only control : Used PBS instead of primary antibody, secondary antibody is ab150077 AlexaFluor®488 Goat anti-Rabbit secondary at 1/1000 dilution.

Immunocytochemistry/ Immunofluorescence - Anti-Histone H3 (methyl K37) antibody [EPR20970] - BSA and Azide free (AB236275)
  • ICC/IF

Supplier Data

Immunocytochemistry/ Immunofluorescence - Anti-Histone H3 (methyl K37) antibody [EPR20970] - BSA and Azide free (AB236275)

This data was developed using ab215728, the same antibody clone in a different buffer formulation.

Immunofluorescent analysis of 4% paraformaldehyde-fixed 0.1% Triton X-100 permeabilized NIH/3T3 (mouse embryonic fibroblast cell line) cells labeling Histone H3 (methyl K37) with ab215728 at 1/100 dilution, followed by ab150077 AlexaFluor®488 Goat anti-Rabbit secondary antibody at 1/1000 dilution (green). Confocal image showing nuclear staining in NIH/3T3 cell line is observed. DAPI was used as the nuclear counterstain. Anti-alpha Tubulin antibody [DM1A] - Microtubule Marker (Alexa Fluor® 594) (ab195889) was used as the counterstain antibody at 1/200 dilution (red).

Secondary antibody only control : Used PBS instead of primary antibody, secondary antibody is ab150077 AlexaFluor®488 Goat anti-Rabbit secondary at 1/1000 dilution.

Flow Cytometry (Intracellular) - Anti-Histone H3 (methyl K37) antibody [EPR20970] - BSA and Azide free (AB236275)
  • Flow Cyt (Intra)

Supplier Data

Flow Cytometry (Intracellular) - Anti-Histone H3 (methyl K37) antibody [EPR20970] - BSA and Azide free (AB236275)

This data was developed using ab215728, the same antibody clone in a different buffer formulation.

Intracellular flow cytometric analysis of 90% methanol permeabilized , 4% paraformaldehyde-fixed NIH/3T3 (mouse embryo fibroblast cell line) cells labeling Histone H3 (methyl K37) with ab215728 at 1/60 dilution (Red) compared withRabbit monoclonal IgG (ab172730) (black) and an unlabeled control (cells without incubation with primary antibody and secondary antibody) (blue). Goat anti rabbit IgG (Alexa Fluor®488, ab150077) at 1/2000 was used as the secondary antibody.

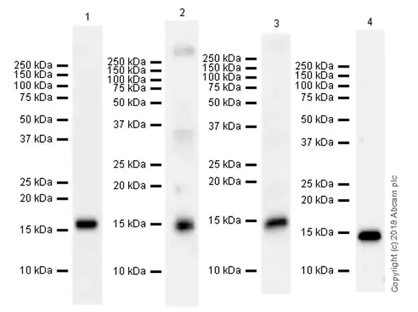
Western blot - Anti-Histone H3 (methyl K37) antibody [EPR20970] - BSA and Azide free (AB236275)
  • WB

Supplier Data

Western blot - Anti-Histone H3 (methyl K37) antibody [EPR20970] - BSA and Azide free (AB236275)

This data was developed using ab215728, the same antibody clone in a different buffer formulation.

Exposure times :
Lane 1 : 26 seconds;
Lane 2 : 3 minutes;
Lane 3 : 81 seconds;
Lane 4 : 3 minutes.

Blocking/Dilution buffer : 5% BSA/TBST

All lanes:

Western blot - Anti-Histone H3 (methyl K37) antibody [EPR20970] - BSA and Azide free (ab236275) at 1/1000 dilution

Lane 1:

NCCIT (human pluripotent embryonic carcinoma epithelial cell) whole cell lysate at 10 µg

Lane 2:

HeLa (human cervix adenocarcinoma epithelial cell) whole cell lysate at 10 µg

Lane 3:

NIH/3T3 (mouse embryonic fibroblast) whole cell lysate at 10 µg

Lane 4:

PC-12 (rat adrenal gland pheochromocytoma) whole cell lysate at 10 µg

Secondary

All lanes:

Western blot - Goat Anti-Rabbit IgG H&L (HRP) (<a href='/en-us/products/secondary-antibodies/goat-rabbit-igg-h-l-hrp-ab97051'>ab97051</a>) at 1/100000 dilution

Predicted band size: 15 kDa

false

Western blot - Anti-Histone H3 (methyl K37) antibody [EPR20970] - BSA and Azide free (AB236275)
  • WB

Supplier Data

Western blot - Anti-Histone H3 (methyl K37) antibody [EPR20970] - BSA and Azide free (AB236275)

This data was developed using ab215728, the same antibody clone in a different buffer formulation.

Blocking/Dilution buffer : 5% NFDM/TBST.

The recombinant proteins were His-tagged.

All lanes:

Western blot - Anti-Histone H3 (methyl K37) antibody [EPR20970] - BSA and Azide free (ab236275) at 1/1000 dilution

Lane 1:

Unmodified recombinant H3 10 ng

Lane 2:

Recombinant mutant H3 chemically modified to mimic H3K37Me, 10ng

Lane 3:

Recombinant mutant H3 chemically modified to mimic H3K37Me2 10 ng

Lane 4:

Recombinant mutant H3 chemically modified to mimic H3K37Me3 10 ng

Secondary

All lanes:

Western blot - Goat Anti-Rabbit IgG H&L (HRP) (<a href='/en-us/products/secondary-antibodies/goat-rabbit-igg-h-l-hrp-ab97051'>ab97051</a>) at 1/100000 dilution

Predicted band size: 15 kDa

false

Peptide Array - Anti-Histone H3 (methyl K37) antibody [EPR20970] - BSA and Azide free (AB236275)
  • PepArr

Supplier Data

Peptide Array - Anti-Histone H3 (methyl K37) antibody [EPR20970] - BSA and Azide free (AB236275)

This data was developed using ab215728, the same antibody clone in a different buffer formulation.

ab215728 was tested in Peptide Array against 501 different modified and unmodified histone peptides; each peptide is printed on the array at six concentrations (each in triplicate).

Blocking buffer : 5% BSA in TBST.

Primary antibody concentration : 0.1 μg/ml.

Circle area represents affinity between the antibody and a peptide : all antigen-containing peptides are displayed as red circles, all other peptides as blue circles. The affinity is calculated as area under curve when antibody binding values are plotted against the corresponding peptide concentration. Each circle area is normalized to the peptide with the strongest affinity.

The complete dataset, including full list of all peptides and information on the position of each peptide in the diagram, is available under the Product Protocol section.

  • Unconjugated

    Anti-Histone H3 (methyl K37) antibody [EPR20970]

  • 665 Alexa Fluor® 647

    Alexa Fluor® 647 Anti-Histone H3 (methyl K37) antibody [EPR20970]

  • 519 Alexa Fluor® 488

    Alexa Fluor® 488 Anti-Histone H3 (methyl K37) antibody [EPR20970]

Key facts

Host species

Rabbit

Clonality

Monoclonal

Clone number

EPR20970

Isotype

IgG

Carrier free

Yes

Reacts with

Mouse, Rat, Human

Applications

WB, PepArr, ICC/IF, Flow Cyt (Intra)

applications

Immunogen

The exact immunogen used to generate this antibody is proprietary information.

Reactivity data

{ "title": "Reactivity Data", "filters": { "stats": ["", "Species", "Dilution Info", "Notes"], "tabs": { "all-applications": {"fullname" : "All Applications", "shortname": "All Applications"}, "ICCIF" : {"fullname" : "Immunocytochemistry/ Immunofluorescence", "shortname":"ICC/IF"}, "WB" : {"fullname" : "Western blot", "shortname":"WB"}, "PepArr" : {"fullname" : "Peptide Array", "shortname":"PepArr"}, "FlowCytIntra" : {"fullname" : "Flow Cytometry (Intracellular)", "shortname":"Flow Cyt (Intra)"}, "IHCP" : {"fullname" : "Immunohistochemistry (Formalin/PFA-fixed paraffin-embedded sections)", "shortname":"IHC-P"} }, "product-promise": { "all": "all", "testedAndGuaranteed": "tested", "guaranteed": "expected", "predicted": "predicted", "notRecommended": "not-recommended" } }, "values": { "Human": { "ICCIF-species-checked": "testedAndGuaranteed", "ICCIF-species-dilution-info": "", "ICCIF-species-notes": "<p></p>", "WB-species-checked": "testedAndGuaranteed", "WB-species-dilution-info": "", "WB-species-notes": "<p></p>", "PepArr-species-checked": "testedAndGuaranteed", "PepArr-species-dilution-info": "", "PepArr-species-notes": "<p></p>", "FlowCytIntra-species-checked": "testedAndGuaranteed", "FlowCytIntra-species-dilution-info": "", "FlowCytIntra-species-notes": "<p></p>", "IHCP-species-checked": "notRecommended", "IHCP-species-dilution-info": "", "IHCP-species-notes": "<p></p>" }, "Mouse": { "ICCIF-species-checked": "testedAndGuaranteed", "ICCIF-species-dilution-info": "", "ICCIF-species-notes": "<p></p>", "WB-species-checked": "testedAndGuaranteed", "WB-species-dilution-info": "", "WB-species-notes": "<p></p>", "PepArr-species-checked": "guaranteed", "PepArr-species-dilution-info": "", "PepArr-species-notes": "", "FlowCytIntra-species-checked": "testedAndGuaranteed", "FlowCytIntra-species-dilution-info": "", "FlowCytIntra-species-notes": "<p></p>", "IHCP-species-checked": "notRecommended", "IHCP-species-dilution-info": "", "IHCP-species-notes": "<p></p>" }, "Rat": { "ICCIF-species-checked": "guaranteed", "ICCIF-species-dilution-info": "", "ICCIF-species-notes": "", "WB-species-checked": "testedAndGuaranteed", "WB-species-dilution-info": "", "WB-species-notes": "<p></p>", "PepArr-species-checked": "guaranteed", "PepArr-species-dilution-info": "", "PepArr-species-notes": "", "FlowCytIntra-species-checked": "guaranteed", "FlowCytIntra-species-dilution-info": "", "FlowCytIntra-species-notes": "", "IHCP-species-checked": "notRecommended", "IHCP-species-dilution-info": "", "IHCP-species-notes": "<p></p>" }, "Recombinant fragment - Human": { "ICCIF-species-checked": "notRecommended", "ICCIF-species-dilution-info": "", "ICCIF-species-notes": "", "WB-species-checked": "testedAndGuaranteed", "WB-species-dilution-info": "", "WB-species-notes": "<p></p>", "PepArr-species-checked": "notRecommended", "PepArr-species-dilution-info": "", "PepArr-species-notes": "", "FlowCytIntra-species-checked": "notRecommended", "FlowCytIntra-species-dilution-info": "", "FlowCytIntra-species-notes": "", "IHCP-species-checked": "notRecommended", "IHCP-species-dilution-info": "", "IHCP-species-notes": "" } } }

Product details

ab236275 is the carrier-free version of ab215728.

Patented technology
Our RabMAb® technology is a patented hybridoma-based technology for making rabbit monoclonal antibodies. For details on our patents, please refer to RabMAb® patents.

What are the advantages of a recombinant monoclonal antibody?
This product is a recombinant monoclonal antibody, which offers several advantages including:

  • - High batch-to-batch consistency and reproducibility
  • - Improved sensitivity and specificity
  • - Long-term security of supply
  • - Animal-free batch production

For more information, read more on recombinant antibodies.

Conjugation ready
Our carrier-free antibodies are typically supplied in a PBS-only formulation, purified and free of BSA, sodium azide and glycerol. This conjugation-ready format is designed for use with fluorochromes, metal isotopes, oligonucleotides, and enzymes, which makes them ideal for antibody labelling, functional and cell-based assays, flow-based assays (e.g. mass cytometry) and Multiplex Imaging applications.

Use our conjugation kits for antibody conjugates that are ready-to-use in as little as 20 minutes with 1 minute hands-on-time and 100% antibody recovery: available for fluorescent dyes, HRP, biotin and gold.

Compatibility
This product is compatible with the Maxpar® Antibody Labeling Kit from Fluidigm, without the need for antibody preparation. Maxpar® is a trademark of Fluidigm Canada Inc.

Properties and storage information

Form
Liquid
Purification technique
Affinity purification Protein A
Storage buffer
Constituents: PBS
Shipped at conditions
Blue Ice
Appropriate short-term storage conditions
+4°C
Appropriate long-term storage conditions
+4°C

Product protocols

For this product, it's our understanding that no specific protocols are required. You can visit:

Target data

The protein expressed by gene H3C1 is a core component of the nucleosome, which is essential for wrapping and compacting DNA into chromatin. This process restricts DNA accessibility to cellular machineries that use DNA as a template. Consequently, histones are central to transcription regulation, DNA repair, DNA replication, and chromosomal stability. DNA accessibility is regulated through a complex set of post-translational modifications of histones, known as the histone code, and through nucleosome remodeling. This supplementary information is collated from multiple sources and compiled automatically.
See full target information H3C1 methyl K37
peptideArrayWebsite
en

Product promise

We are committed to supporting your work with high-quality reagents, and we're here for you every step of the way. In the unlikely event that one of our products does not perform as expected, you're protected by our Product Promise.
For full details, please see our Terms & Conditions

Please note: All products are 'FOR RESEARCH USE ONLY. NOT FOR USE IN DIAGNOSTIC OR THERAPEUTIC PROCEDURES'.

For licensing inquiries, please contact partnerships@abcam.com