JavaScript is disabled in your browser. Please enable JavaScript to view this website.
AB176877

Anti-Histone H3 (mono methyl K4) antibody [ERP16597] - ChIP Grade

  • RabMAb
  • Advanced Validation
  • Recombinant
  • 20ul selling size
  • What is this?

4

(7 Reviews)

|

(55 Publications)

Anti-Histone H3 (mono methyl K4) antibody [ERP16597] - ChIP Grade (ab176877) is a rabbit monoclonal antibody detecting Histone H3 in Western Blot, IP, IHC-P, ICC/IF, ChIP, PepArr. Suitable for Human, Mouse, Rat.

- Biophysical QC for unrivalled batch-batch consistency
- Over 20 publications

View Alternative Names

H3FA, HIST1H3A, H3C2, H3FL, HIST1H3B, H3C3, H3FC HIST1H3C, H3C4, H3FB, HIST1H3D, H3C6, H3FD, HIST1H3E, H3C7, H3FI, HIST1H3F, H3C8, H3FH, HIST1H3G, H3C10, H3FK, HIST1H3H, H3C11, H3FF, HIST1H3I, H3C12, H3FJ, HIST1H3J, H3FC, HIST1H3C, H3C1, Histone H3.1, Histone H3/a, Histone H3/b, Histone H3/c, Histone H3/d, Histone H3/f, Histone H3/h, Histone H3/i, Histone H3/j, Histone H3/k, Histone H3/l, H3K4me, H3K4me1, H3K4

10 Images
Immunohistochemistry (Formalin/PFA-fixed paraffin-embedded sections) - Anti-Histone H3 (mono methyl K4) antibody [ERP16597] - ChIP Grade (AB176877)
  • IHC-P

Supplier Data

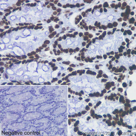
Immunohistochemistry (Formalin/PFA-fixed paraffin-embedded sections) - Anti-Histone H3 (mono methyl K4) antibody [ERP16597] - ChIP Grade (AB176877)

Immunohistochemical analysis of paraffin-embedded human colon tissue labeling Histone H3 (mono methyl K4) with ab176877 at 1/1000 dilution, followed by prediluted Goat Anti-Rabbit IgG H&L (HRP). Nucleus staining on glandular epithelium of colon tissue is observed. Counterstained with hematoxylin.

Negative control : PBS instead of primary ab, secondary ab is prediluted Goat Anti-Rabbit IgG H&L (HRP).

Perform heat mediated antigen retrieval with Tris/EDTA buffer pH 9.0 before commencing with IHC staining protocol.

Immunocytochemistry/ Immunofluorescence - Anti-Histone H3 (mono methyl K4) antibody [ERP16597] - ChIP Grade (AB176877)
  • ICC/IF

Lab

Immunocytochemistry/ Immunofluorescence - Anti-Histone H3 (mono methyl K4) antibody [ERP16597] - ChIP Grade (AB176877)

Immunofluorescent analysis of 4% paraformaldehyde-fixed, 0.1% Triton X-100 permeabilized HeLa (Human epithelial cell line from cervix adenocarcinoma) cells labeling Histone H3 (mono methyl K4) with ab176877 at 1/1000 dilution, followed by goat anti-rabbit Alexa Fluor® 488 (IgG) (ab150077) secondary antibody at 1/400 dilution (green). Nuclear staining on HeLa cell line is observed. The nuclear counter stain is DAPI (blue). Tubulin is detected with ab7291 (anti-Tubulin mouse mAb) at 1/500 dilution and ab150120 (Alexa Fluor® 594 goat anti-mouse secondary) at 1/500 dilution (red).
The negative controls are as follows;
1. ab176877 at 1/1000 dilution followed by ab150120 (goat anti-mouse Alexa Fluor® 594 secondary) at 1/500 dilution.
2. ab7291 (anti-Tubulin mouse mAb) at 1/500 dilution followed by ab150077 (goat anti-rabbit Alexa Fluor® 488; IgG H&L) at 1/400 dilution.

ChIP-sequencing - Anti-Histone H3 (mono methyl K4) antibody [ERP16597] - ChIP Grade (AB176877)
  • ChIP-seq

Lab

ChIP-sequencing - Anti-Histone H3 (mono methyl K4) antibody [ERP16597] - ChIP Grade (AB176877)

Chromatin was prepared from HeLa cells. Cells were fixed with 1% formaldehyde for 10 minutes. ChIP was performed with 10^7 HeLa cells and 4 μg of ab176877 [ERP16597]. ChIP DNA was sequenced on the Illumina NovaSeq 6000 to a depth of 30 million reads. Additional screenshots of mapped reads can be downloaded here.

ChIP - Anti-Histone H3 (mono methyl K4) antibody [ERP16597] - ChIP Grade (AB176877)
  • ChIP

Lab

ChIP - Anti-Histone H3 (mono methyl K4) antibody [ERP16597] - ChIP Grade (AB176877)

Chromatin was prepared from HeLa (human epithelial cell line from cervix adenocarcinoma) cells according to the Abcam X-ChIP protocol. Cells were fixed with formaldehyde for 10 min.

The ChIP was performed with 25 μg of chromatin, 2 μg of ab176877 (red), or 2 μg of rabbit normal IgG ab172730 (gray) and 20 μl of Protein A/G sepharose beads. The immunoprecipitated DNA was quantified by real time PCR (Taqman approach for active and inactive loci, Sybr green approach for heterochromatic loci).

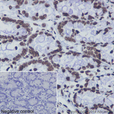
Immunohistochemistry (Formalin/PFA-fixed paraffin-embedded sections) - Anti-Histone H3 (mono methyl K4) antibody [ERP16597] - ChIP Grade (AB176877)
  • IHC-P

Supplier Data

Immunohistochemistry (Formalin/PFA-fixed paraffin-embedded sections) - Anti-Histone H3 (mono methyl K4) antibody [ERP16597] - ChIP Grade (AB176877)

Immunohistochemical analysis of paraffin-embedded mouse colon tissue labeling Histone H3 (mono methyl K4) with ab176877 at 1/1000 dilution, followed by prediluted Goat Anti-Rabbit IgG H&L (HRP). Nucleus staining on glandular epithelium of colon tissue is observed. Counterstained with hematoxylin.

Negative control : PBS instead of primary ab, secondary ab is prediluted Goat Anti-Rabbit IgG H&L (HRP).

Perform heat mediated antigen retrieval with Tris/EDTA buffer pH 9.0 before commencing with IHC staining protocol.

Immunohistochemistry (Formalin/PFA-fixed paraffin-embedded sections) - Anti-Histone H3 (mono methyl K4) antibody [ERP16597] - ChIP Grade (AB176877)
  • IHC-P

Supplier Data

Immunohistochemistry (Formalin/PFA-fixed paraffin-embedded sections) - Anti-Histone H3 (mono methyl K4) antibody [ERP16597] - ChIP Grade (AB176877)

Immunohistochemical analysis of paraffin-embedded rat colon tissue labeling Histone H3 (mono methyl K4) with ab176877 at 1/1000 dilution, followed by prediluted Goat Anti-Rabbit IgG H&L (HRP). Nucleus staining on glandular epithelium of colon tissue is observed. Counterstained with hematoxylin.

Negative control : PBS instead of primary ab, secondary ab is prediluted Goat Anti-Rabbit IgG H&L (HRP).

Perform heat mediated antigen retrieval with Tris/EDTA buffer pH 9.0 before commencing with IHC staining protocol.

Western blot - Anti-Histone H3 (mono methyl K4) antibody [ERP16597] - ChIP Grade (AB176877)
  • WB

Supplier Data

Western blot - Anti-Histone H3 (mono methyl K4) antibody [ERP16597] - ChIP Grade (AB176877)

Blocking/Dilution buffer : 5% NFDM/TBST.

All lanes:

Western blot - Anti-Histone H3 (mono methyl K4) antibody [ERP16597] - ChIP Grade (ab176877) at 1/5000 dilution

Lane 1:

HeLa (Human epithelial cell line from cervix adenocarcinoma) whole cell lysates at 10 µg

Lane 2:

NIH/3T3 (Mouse embryo fibroblast cell line) whole cell lysates at 10 µg

Secondary

All lanes:

Goat Anti-Rabbit IgG, (H+L),Peroxidase conjugated at 1/1000 dilution

Predicted band size: 15 kDa

Observed band size: 15 kDa

false

ChIC/CUT&RUN sequencing - Anti-Histone H3 (mono methyl K4) antibody [ERP16597] - ChIP Grade (AB176877)
  • ChIC/CUT&RUN-seq

Supplier Data

ChIC/CUT&RUN sequencing - Anti-Histone H3 (mono methyl K4) antibody [ERP16597] - ChIP Grade (AB176877)

CUT&RUN was performed using the ChIC/CUT&RUN pAG-MNAse ab285373, 2.5 x 10^5 HeLa cells and 2μg of ab176877 [ERP16597]. The resulting DNA was sequenced on the NovaSeq 6000 (PE150). Additional screenshots of mapped reads can be downloaded here.

ChIC/CUT&RUN sequencing - Anti-Histone H3 (mono methyl K4) antibody [ERP16597] - ChIP Grade (AB176877)
  • ChIC/CUT&RUN-seq

Supplier Data

ChIC/CUT&RUN sequencing - Anti-Histone H3 (mono methyl K4) antibody [ERP16597] - ChIP Grade (AB176877)

ChIC/CUT&RUN was performed using a pAG-MNAse at a final concentration of 700 ng/mL, 2.5 x 10^5 HeLa (Human cervix adenocarcinoma epithelial cell line) cells and 2 µg of ab176877 [ERP16597]. The resulting DNA was sequenced on the Illumina NovaSeq 6000 to a depth of 10 million reads. The negative IgG control ab172730 is also shown. The ChIP data was conducted on chromatin prepared from HeLa cells. Cells were fixed with 1% formaldehyde for 10 minutes. ChIP was performed with 10^7 HeLa cells and 4 µg of ab176877. ChIP DNA was sequenced on the Illumina NovaSeq 6000 to a depth of 30 million reads. Additional screenshots of mapped reads can be found in the Protocol booklet in the Product Protocol section. The University of Geneva owns patents relevant to ChIC (Chromatin Immuno-Cleavage) methods.

Peptide Array - Anti-Histone H3 (mono methyl K4) antibody [ERP16597] - ChIP Grade (AB176877)
  • PepArr

Supplier Data

Peptide Array - Anti-Histone H3 (mono methyl K4) antibody [ERP16597] - ChIP Grade (AB176877)

ab176877 was tested in Peptide Array against 501 different modified and unmodified histone peptides; each peptide is printed on the array at six concentrations (each in triplicate).
Circle area represents affinity between the antibody and a peptide : all antigen-containing peptides are displayed as red circles, all other peptides as blue circles. The affinity is calculated as area under curve when antibody binding values are plotted against the corresponding peptide concentration. Each circle area is normalized to the peptide with the strongest affinity.
The complete dataset, including full list of all peptides and information on the position of each peptide in the diagram, is available under the Product Protocol section.

  • Carrier free

    Anti-Histone H3 (mono methyl K4) antibody [ERP16597] - ChIP Grade - BSA and Azide free

  • 665 Alexa Fluor® 647

    Alexa Fluor® 647 Anti-Histone H3 (mono methyl K4) antibody [ERP16597]

  • 617 Alexa Fluor® 594

    Alexa Fluor® 594 Anti-Histone H3 (mono methyl K4) antibody [ERP16597]

Key facts

Host species

Rabbit

Clonality

Monoclonal

Clone number

ERP16597

Isotype

IgG

Carrier free

No

Reacts with

Mouse, Rat, Human

Applications

WB, ChIC/CUT&RUN-seq, PepArr, IHC-P, ChIP-seq, ChIP, ICC/IF

applications

Immunogen

The exact immunogen used to generate this antibody is proprietary information.

Reactivity data

{ "title": "Reactivity Data", "filters": { "stats": ["", "Species", "Dilution Info", "Notes"], "tabs": { "all-applications": {"fullname" : "All Applications", "shortname": "All Applications"}, "WB" : {"fullname" : "Western blot", "shortname":"WB"}, "ChICCUTRUNseq" : {"fullname" : "ChIC/CUT&RUN sequencing", "shortname":"ChIC/CUT&RUN-seq"}, "ChIP" : {"fullname" : "ChIP", "shortname":"ChIP"}, "PepArr" : {"fullname" : "Peptide Array", "shortname":"PepArr"}, "ICCIF" : {"fullname" : "Immunocytochemistry/ Immunofluorescence", "shortname":"ICC/IF"}, "ChIPseq" : {"fullname" : "ChIP-sequencing", "shortname":"ChIP-seq"}, "IHCP" : {"fullname" : "Immunohistochemistry (Formalin/PFA-fixed paraffin-embedded sections)", "shortname":"IHC-P"} }, "product-promise": { "all": "all", "testedAndGuaranteed": "tested", "guaranteed": "expected", "predicted": "predicted", "notRecommended": "not-recommended" } }, "values": { "Human": { "WB-species-checked": "testedAndGuaranteed", "WB-species-dilution-info": "1/5000", "WB-species-notes": "<p></p>", "ChICCUTRUNseq-species-checked": "testedAndGuaranteed", "ChICCUTRUNseq-species-dilution-info": "2 µg for 10^5 Cells", "ChICCUTRUNseq-species-notes": "<p></p>", "ChIP-species-checked": "testedAndGuaranteed", "ChIP-species-dilution-info": "", "ChIP-species-notes": "<p>Use 2 μl.</p>", "PepArr-species-checked": "guaranteed", "PepArr-species-dilution-info": "", "PepArr-species-notes": "", "ICCIF-species-checked": "testedAndGuaranteed", "ICCIF-species-dilution-info": "1/1000", "ICCIF-species-notes": "<p></p>", "ChIPseq-species-checked": "testedAndGuaranteed", "ChIPseq-species-dilution-info": "2 µg for 10^7 Cells", "ChIPseq-species-notes": "<p></p>", "IHCP-species-checked": "testedAndGuaranteed", "IHCP-species-dilution-info": "1/1000", "IHCP-species-notes": "<p></p> Perform heat-mediated antigen retrieval with Tris/EDTA buffer pH 9.0 before commencing with IHC staining protocol." }, "Mouse": { "WB-species-checked": "testedAndGuaranteed", "WB-species-dilution-info": "1/5000", "WB-species-notes": "<p></p>", "ChICCUTRUNseq-species-checked": "guaranteed", "ChICCUTRUNseq-species-dilution-info": "", "ChICCUTRUNseq-species-notes": "", "ChIP-species-checked": "guaranteed", "ChIP-species-dilution-info": "", "ChIP-species-notes": "", "PepArr-species-checked": "guaranteed", "PepArr-species-dilution-info": "", "PepArr-species-notes": "", "ICCIF-species-checked": "guaranteed", "ICCIF-species-dilution-info": "", "ICCIF-species-notes": "", "ChIPseq-species-checked": "guaranteed", "ChIPseq-species-dilution-info": "", "ChIPseq-species-notes": "", "IHCP-species-checked": "testedAndGuaranteed", "IHCP-species-dilution-info": "1/1000", "IHCP-species-notes": "<p></p> Perform heat-mediated antigen retrieval with Tris/EDTA buffer pH 9.0 before commencing with IHC staining protocol." }, "Rat": { "WB-species-checked": "guaranteed", "WB-species-dilution-info": "", "WB-species-notes": "", "ChICCUTRUNseq-species-checked": "guaranteed", "ChICCUTRUNseq-species-dilution-info": "", "ChICCUTRUNseq-species-notes": "", "ChIP-species-checked": "guaranteed", "ChIP-species-dilution-info": "", "ChIP-species-notes": "", "PepArr-species-checked": "guaranteed", "PepArr-species-dilution-info": "", "PepArr-species-notes": "", "ICCIF-species-checked": "guaranteed", "ICCIF-species-dilution-info": "", "ICCIF-species-notes": "", "ChIPseq-species-checked": "guaranteed", "ChIPseq-species-dilution-info": "", "ChIPseq-species-notes": "", "IHCP-species-checked": "testedAndGuaranteed", "IHCP-species-dilution-info": "1/1000", "IHCP-species-notes": "<p></p> Perform heat-mediated antigen retrieval with Tris/EDTA buffer pH 9.0 before commencing with IHC staining protocol." }, "Synthetic peptide": { "WB-species-checked": "notRecommended", "WB-species-dilution-info": "", "WB-species-notes": "", "ChICCUTRUNseq-species-checked": "notRecommended", "ChICCUTRUNseq-species-dilution-info": "", "ChICCUTRUNseq-species-notes": "", "ChIP-species-checked": "notRecommended", "ChIP-species-dilution-info": "", "ChIP-species-notes": "", "PepArr-species-checked": "testedAndGuaranteed", "PepArr-species-dilution-info": "", "PepArr-species-notes": "<p></p>", "ICCIF-species-checked": "notRecommended", "ICCIF-species-dilution-info": "", "ICCIF-species-notes": "", "ChIPseq-species-checked": "notRecommended", "ChIPseq-species-dilution-info": "", "ChIPseq-species-notes": "", "IHCP-species-checked": "notRecommended", "IHCP-species-dilution-info": "", "IHCP-species-notes": "" } } }

Product details

What is this antibody validated in?
Anti-Histone H3 (mono methyl K4) antibody [ERP16597] - ChIP Grade (ab176877) is a rabbit recombinant monoclonal antibody and is validated for use in Western Blot (WB), Immunoprecipitation (IP), Immunohistochemistry (IHC-P), Immunocytochemistry/immunofluorescence (ICC/IF), ChIP, Peptide Array in Human, Mouse, Rat samples.

What is the molecular weight of Histone H3?
Anti-Histone H3 (mono methyl K4) [ERP16597] - ChIP Grade (ab176877) specifically detects a band for Histone H3 (UniProt: P68431) at a molecular weight of 15kDa.

Trusted by the scientific community
Anti-Histone H3 (mono methyl K4) [ERP16597] - ChIP Grade (ab176877) was first used in a scientific publication in 2014 and has been cited over 20 times in peer-reviewed journals.

Reviewed by scientists
Anti-Histone H3 (mono methyl K4) [ERP16597] - ChIP Grade (ab176877) has over 5 independent reviews from customers.

Trial sizes available!
Test your antibody or perform pre-screening before committing to a larger quantity. Sold in 10µl. Discover our selection of trial-size antibodies.

Other related products
We have a range of other formats of antibody clone [ERP16597] also available for your convenience: ab176877, Carrier free - ab239402, Alexa Fluor® 594 - ab279693, Alexa Fluor® 647 - ab283349

Patented technology
Our RabMAb® technology is a patented hybridoma-based technology for making rabbit monoclonal antibodies. For details on our patents, please refer to RabMAb® patents.

What are the advantages of a recombinant monoclonal antibody?
This product is a recombinant monoclonal antibody, which offers several advantages including:

  • - High batch-to-batch consistency and reproducibility
  • - Improved sensitivity and specificity
  • - Long-term security of supply
  • - Animal-free batch production

For more information, read more on recombinant antibodies.

Properties and storage information

Form
Liquid
Purification technique
Affinity purification Protein A
Storage buffer
Preservative: 0.01% Sodium azide Constituents: PBS, 40% Glycerol (glycerin, glycerine), 0.05% BSA
Shipped at conditions
Blue Ice
Appropriate short-term storage duration
1-2 weeks
Appropriate short-term storage conditions
+4°C
Appropriate long-term storage conditions
-20°C
Aliquoting information
Upon delivery aliquot
Storage information
Avoid freeze / thaw cycle

Product protocols

For this product, it's our understanding that no specific protocols are required. You can visit:

Target data

The protein expressed by gene H3C1 is a core component of the nucleosome, which is essential for wrapping and compacting DNA into chromatin. This process restricts DNA accessibility to cellular machineries that use DNA as a template. Consequently, histones are central to transcription regulation, DNA repair, DNA replication, and chromosomal stability. DNA accessibility is regulated through a complex set of post-translational modifications of histones, known as the histone code, and through nucleosome remodeling. This supplementary information is collated from multiple sources and compiled automatically.
See full target information H3C1 mono methyl K4

Publications (55)

Recent publications for all applications. Explore the full list and refine your search

Nature communications 16:7071 PubMed40750602

2025

USP17L promotes the 2-cell-like program through deubiquitination of H2AK119ub1 and ZSCAN4.

Applications

Unspecified application

Species

Unspecified reactive species

Panpan Shi,Xukun Lu,Kairang Jin,Linlin Liu,Guoxing Yin,Wenying Wang,Jiao Yang,Lijuan Wang,Lijun Dong,Wei Xie,Lin Liu

Cell death & disease 16:506 PubMed40634299

2025

MA-METTL3-dependent nuclear PANC754/PSPC1/H3K4me1 repression complex regulate immune evasive LGALS7 signal to enhance immunotherapy against colorectal cancer.

Applications

Unspecified application

Species

Unspecified reactive species

Jianfeng Zhang,Guilian Cao,Feng Li,Siyu Tang,Chenxi Wu,Min Jiang,Jingxin Ye,Shaoqing Ju,Fei Qian,Weifeng Ding

Communications biology 8:951 PubMed40550933

2025

Super-enhancers orchestrate transcriptional dysregulation and metabolic reprogramming in uveal melanoma.

Applications

Unspecified application

Species

Unspecified reactive species

Hui Pan,Weihuan Shao,Huixue Wang,Shengfang Ge,Lingyu Zhang,Xiaofang Xu,Yefei Wang,Ai Zhuang

Molecular cancer 24:170 PubMed40495214

2025

CREPT is required for the metastasis of triple-negative breast cancer through a co-operational-chromatin loop-based gene regulation.

Applications

Unspecified application

Species

Unspecified reactive species

Jianghua Li,Lu Xu,Jiayu Wang,Xuning Wang,Yuting Lin,Alex Yutian Zou,Fangli Ren,Yinyin Wang,Jun Li,Zhijie Chang

Cells 14: PubMed40072048

2025

The Enhancer-Promoter-Mediated Transcription During Neurite Regrowth of Injured Cortical Neurons.

Applications

Unspecified application

Species

Unspecified reactive species

Shr-Han Weng,Wen-Ling Liao,Linyi Chen

Cell biology and toxicology 41:52 PubMed40000487

2025

Molecular mechanism of ZC3H13 -mediated ferroptosis in doxorubicin resistance of triple negative breast cancer.

Applications

Unspecified application

Species

Unspecified reactive species

Li Huang,Lei Han,Shuai Liang,Guohui Han

Advanced science (Weinheim, Baden-Wurttemberg, Germany) 12:e2409160 PubMed39656858

2024

BRD8 Guards the Pluripotent State by Sensing and Maintaining Histone Acetylation.

Applications

Unspecified application

Species

Unspecified reactive species

Li Sun,Xiuling Fu,Zhen Xiao,Gang Ma,Yibin Zhou,Haoqing Hu,Liyang Shi,Dongwei Li,Ralf Jauch,Andrew Paul Hutchins

The Journal of biological chemistry 300:107881 PubMed39395799

2024

Neuronal splicing of the unmethylated histone H3K4 reader, PHF21A, prevents excessive synaptogenesis.

Applications

Unspecified application

Species

Unspecified reactive species

Masayoshi Nagai,Robert S Porter,Maxwell Miyasato,Aijia Wang,Cecilia M Gavilan,Elizabeth D Hughes,Michael C Wu,Thomas L Saunders,Shigeki Iwase

Histology and histopathology 40:733-743 PubMed39380528

2024

Mechanism of KMT2D-mediated epigenetic modification in IL-1β-induced nucleus pulposus cell degeneration.

Applications

Unspecified application

Species

Unspecified reactive species

Hongjiang Liu,Haiquan Liu,Zuyu Meng,Wensheng Zhang

CNS neuroscience & therapeutics 30:e14830 PubMed39046182

2024

METTL14-mediated upregulation of lncRNA HOTAIR represses PP1α expression by promoting H3K4me1 demethylation in oxycodone-treated mice.

Applications

Unspecified application

Species

Unspecified reactive species

Tian-Cong Liu,Hong-Xi Li,Yu-Xiao Wan,Guang Shi,Yun-Peng Zhao,Yi-Fei Liu,Xin-Yu Fan
View all publications
chicCutRunSequencingBooklet
en
peptideArrayWebsite
en

Product promise

We are committed to supporting your work with high-quality reagents, and we're here for you every step of the way. In the unlikely event that one of our products does not perform as expected, you're protected by our Product Promise.
For full details, please see our Terms & Conditions

Please note: All products are 'FOR RESEARCH USE ONLY. NOT FOR USE IN DIAGNOSTIC OR THERAPEUTIC PROCEDURES'.

For licensing inquiries, please contact partnerships@abcam.com