JavaScript is disabled in your browser. Please enable JavaScript to view this website.
AB251224

Anti-Histone H3 (mono methyl R63, di methyl R63) antibody [EPR17722] - BSA and Azide free

Be the first to review this product! Submit a review

|

(1 Publication)

Rabbit Recombinant Monoclonal H3 methyl R63 + asymmetric di methyl R63 + symmetric di methyl R63 antibody. Carrier free. Suitable for WB, PepArr, IHC-P and reacts with Mouse, Human samples. Cited in 1 publication.

View Alternative Names

H3FA, HIST1H3A, H3C2, H3FL, HIST1H3B, H3C3, H3FC HIST1H3C, H3C4, H3FB, HIST1H3D, H3C6, H3FD, HIST1H3E, H3C7, H3FI, HIST1H3F, H3C8, H3FH, HIST1H3G, H3C10, H3FK, HIST1H3H, H3C11, H3FF, HIST1H3I, H3C12, H3FJ, HIST1H3J, H3FC, HIST1H3C, H3C1, Histone H3.1, Histone H3/a, Histone H3/b, Histone H3/c, Histone H3/d, Histone H3/f, Histone H3/h, Histone H3/i, Histone H3/j, Histone H3/k, Histone H3/l

4 Images
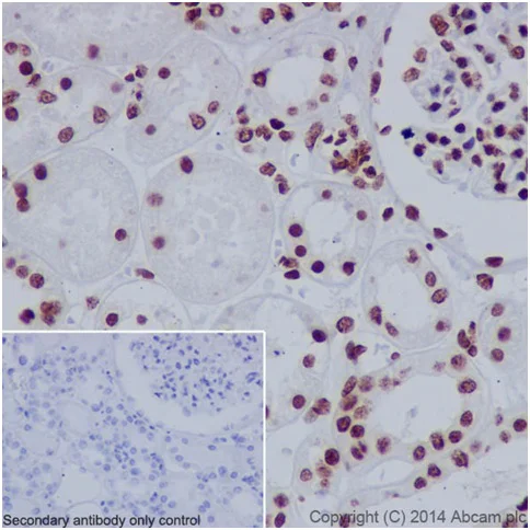
Immunohistochemistry (Formalin/PFA-fixed paraffin-embedded sections) - Anti-Histone H3 (mono methyl R63, di methyl R63) antibody [EPR17722] - BSA and Azide free (AB251224)
  • IHC-P

Supplier Data

Immunohistochemistry (Formalin/PFA-fixed paraffin-embedded sections) - Anti-Histone H3 (mono methyl R63, di methyl R63) antibody [EPR17722] - BSA and Azide free (AB251224)

This data was developed using ab196724, the same antibody clone in a different buffer formulation.

Immunohistochemical analysis of paraffin-embedded Human kidney tissue labeling Histone H3 (methyl R63, asymmetric di methyl R63, symmetric di methyl R63) with ab196724 at 1/1000 dilution, followed by Goat Anti-Rabbit IgG H&L (HRP) (ab97051) secondary antibody at 1/500 dilution. Nucleus staining on Human kidney tissue is observed. Counter stained with Hematoxylin.

Negative control : Used PBS instead of primary antibody, secondary antibody is Goat Anti-Rabbit IgG H&L (HRP) (ab97051) at 1/500 dilution.

Western blot - Anti-Histone H3 (mono methyl R63, di methyl R63) antibody [EPR17722] - BSA and Azide free (AB251224)
  • WB

Supplier Data

Western blot - Anti-Histone H3 (mono methyl R63, di methyl R63) antibody [EPR17722] - BSA and Azide free (AB251224)

This data was developed using ab196724, the same antibody clone in a different buffer formulation.

Blocking and dilution buffer : 5% BSA /TBST.

All lanes:

Western blot - Anti-Histone H3 (mono methyl R63, di methyl R63) antibody [EPR17722] (<a href='/en-us/products/primary-antibodies/histone-h3-mono-methyl-r63-di-methyl-r63-antibody-epr17722-ab196724'>ab196724</a>) at 1/1000 dilution

All lanes:

HeLa (Human epithelial cells from cervix adenocarcinoma) whole cell lysates at 20 µg

Secondary

All lanes:

Goat Anti-Rabbit IgG, (H+L), Peroxidase conjugated at 1/1000 dilution

Predicted band size: 15 kDa

Observed band size: 15 kDa

false

Exposure time: 1min

Western blot - Anti-Histone H3 (mono methyl R63, di methyl R63) antibody [EPR17722] - BSA and Azide free (AB251224)
  • WB

Supplier Data

Western blot - Anti-Histone H3 (mono methyl R63, di methyl R63) antibody [EPR17722] - BSA and Azide free (AB251224)

This data was developed using ab196724, the same antibody clone in a different buffer formulation.

Blocking and dilution buffer : 5% BSA /TBST.

All lanes:

Western blot - Anti-Histone H3 (mono methyl R63, di methyl R63) antibody [EPR17722] (<a href='/en-us/products/primary-antibodies/histone-h3-mono-methyl-r63-di-methyl-r63-antibody-epr17722-ab196724'>ab196724</a>) at 1/1000 dilution

All lanes:

NIH/3T3 (Mouse embyro fibroblast cells) whole cell lysates at 10 µg

Secondary

All lanes:

Goat Anti-Rabbit IgG, (H+L), Peroxidase conjugated at 1/1000 dilution

Predicted band size: 15 kDa

Observed band size: 15 kDa

false

Exposure time: 3min

Peptide Array - Anti-Histone H3 (mono methyl R63, di methyl R63) antibody [EPR17722] - BSA and Azide free (AB251224)
  • PepArr

Supplier Data

Peptide Array - Anti-Histone H3 (mono methyl R63, di methyl R63) antibody [EPR17722] - BSA and Azide free (AB251224)

This data was developed using ab196724, the same antibody clone in a different buffer formulation.

ab196724 was tested in Peptide Array against 501 different modified and unmodified histone peptides; each peptide is printed on the array at six concentrations (each in triplicate).
Circle area represents affinity between the antibody and a peptide : all antigen-containing peptides are displayed as red circles, all other peptides as blue circles. The affinity is calculated as area under curve when antibody binding values are plotted against the corresponding peptide concentration. Each circle area is normalized to the peptide with the strongest affinity.
The complete dataset, including full list of all peptides and information on the position of each peptide in the diagram, is available under the Product Protocol section.

  • Unconjugated

    Anti-Histone H3 (mono methyl R63, di methyl R63) antibody [EPR17722]

Key facts

Host species

Rabbit

Clonality

Monoclonal

Clone number

EPR17722

Isotype

IgG

Carrier free

Yes

Reacts with

Mouse, Human

Applications

IHC-P, WB, PepArr

applications

Immunogen

The exact immunogen used to generate this antibody is proprietary information.

Specificity

Detects asymmetric di methyl R63, symmetric di methyl R63, and mono methyl R63.

Reactivity data

{ "title": "Reactivity Data", "filters": { "stats": ["", "Species", "Dilution Info", "Notes"], "tabs": { "all-applications": {"fullname" : "All Applications", "shortname": "All Applications"}, "WB" : {"fullname" : "Western blot", "shortname":"WB"}, "PepArr" : {"fullname" : "Peptide Array", "shortname":"PepArr"}, "IHCP" : {"fullname" : "Immunohistochemistry (Formalin/PFA-fixed paraffin-embedded sections)", "shortname":"IHC-P"} }, "product-promise": { "all": "all", "testedAndGuaranteed": "tested", "guaranteed": "expected", "predicted": "predicted", "notRecommended": "not-recommended" } }, "values": { "Human": { "WB-species-checked": "guaranteed", "WB-species-dilution-info": "", "WB-species-notes": "", "PepArr-species-checked": "testedAndGuaranteed", "PepArr-species-dilution-info": "", "PepArr-species-notes": "<p></p>", "IHCP-species-checked": "guaranteed", "IHCP-species-dilution-info": "", "IHCP-species-notes": "" }, "Mouse": { "WB-species-checked": "testedAndGuaranteed", "WB-species-dilution-info": "", "WB-species-notes": "<p></p>", "PepArr-species-checked": "guaranteed", "PepArr-species-dilution-info": "", "PepArr-species-notes": "", "IHCP-species-checked": "testedAndGuaranteed", "IHCP-species-dilution-info": "", "IHCP-species-notes": "<p></p>" } } }

Product details

ab251224 is the carrier-free version of ab196724.

Patented technology
Our RabMAb® technology is a patented hybridoma-based technology for making rabbit monoclonal antibodies. For details on our patents, please refer to RabMAb® patents.

What are the advantages of a recombinant monoclonal antibody?
This product is a recombinant monoclonal antibody, which offers several advantages including:

  • - High batch-to-batch consistency and reproducibility
  • - Improved sensitivity and specificity
  • - Long-term security of supply
  • - Animal-free batch production

For more information, read more on recombinant antibodies.

Conjugation ready
Our carrier-free antibodies are typically supplied in a PBS-only formulation, purified and free of BSA, sodium azide and glycerol. This conjugation-ready format is designed for use with fluorochromes, metal isotopes, oligonucleotides, and enzymes, which makes them ideal for antibody labelling, functional and cell-based assays, flow-based assays (e.g. mass cytometry) and Multiplex Imaging applications.

Use our conjugation kits for antibody conjugates that are ready-to-use in as little as 20 minutes with 1 minute hands-on-time and 100% antibody recovery: available for fluorescent dyes, HRP, biotin and gold.

Compatibility
This product is compatible with the Maxpar® Antibody Labeling Kit from Fluidigm, without the need for antibody preparation. Maxpar® is a trademark of Fluidigm Canada Inc.

Properties and storage information

Form
Liquid
Storage buffer
pH: 7.2 - 7.4 Constituents: PBS
Shipped at conditions
Blue Ice
Appropriate short-term storage conditions
+4°C
Appropriate long-term storage conditions
+4°C
Storage information
Do Not Freeze

Product protocols

For this product, it's our understanding that no specific protocols are required. You can visit:

Target data

The protein expressed by gene H3C1 is a core component of the nucleosome, which is essential for wrapping and compacting DNA into chromatin. This process restricts DNA accessibility to cellular machineries that use DNA as a template. Consequently, histones are central to transcription regulation, DNA repair, DNA replication, and chromosomal stability. DNA accessibility is regulated through a complex set of post-translational modifications of histones, known as the histone code, and through nucleosome remodeling. This supplementary information is collated from multiple sources and compiled automatically.
See full target information H3C1 methyl R63 + asymmetric di methyl R63 + symmetric di methyl R63

Publications (1)

Recent publications for all applications. Explore the full list and refine your search

Journal of cellular and molecular medicine 25:3361-3370 PubMed33682317

2021

TNFAIP8 regulates gastric cancer growth via mTOR-Akt-ULK1 pathway and autophagy signals.

Applications

Unspecified application

Species

Unspecified reactive species

Zheng Chen,Jianguo Zhang,Chenyang Dong,Dongsheng Li,Yuehan Yin,Wenhai Yu,Yuezhi Chen
View all publications
peptideArrayWebsite
en

Product promise

We are committed to supporting your work with high-quality reagents, and we're here for you every step of the way. In the unlikely event that one of our products does not perform as expected, you're protected by our Product Promise.
For full details, please see our Terms & Conditions

Please note: All products are 'FOR RESEARCH USE ONLY. NOT FOR USE IN DIAGNOSTIC OR THERAPEUTIC PROCEDURES'.

For licensing inquiries, please contact partnerships@abcam.com