JavaScript is disabled in your browser. Please enable JavaScript to view this website.
AB240197

Anti-Histone H3 (mono+di+tri methyl K79) antibody [EPR17468] - BSA and Azide free

Be the first to review this product! Submit a review

|

(1 Publication)

Rabbit Recombinant Monoclonal H3 tri methyl K79 antibody. Carrier free. Suitable for ChIP, WB, PepArr, ChIP-seq, IHC-P and reacts with Human, Mouse, Rat samples. Cited in 1 publication.

View Alternative Names

H3FA, HIST1H3A, H3C2, H3FL, HIST1H3B, H3C3, H3FC HIST1H3C, H3C4, H3FB, HIST1H3D, H3C6, H3FD, HIST1H3E, H3C7, H3FI, HIST1H3F, H3C8, H3FH, HIST1H3G, H3C10, H3FK, HIST1H3H, H3C11, H3FF, HIST1H3I, H3C12, H3FJ, HIST1H3J, HIST1H3C, H3FC, H3C1, Histone H3.1, Histone H3/a, Histone H3/b, Histone H3/c, Histone H3/d, Histone H3/f, Histone H3/h, Histone H3/i, Histone H3/j, Histone H3/k, Histone H3/l, H3K79me3, H3K79me, H3K79

8 Images
Immunohistochemistry (Formalin/PFA-fixed paraffin-embedded sections) - Anti-Histone H3 (mono+di+tri methyl K79) antibody [EPR17468] - BSA and Azide free (AB240197)
  • IHC-P

Supplier Data

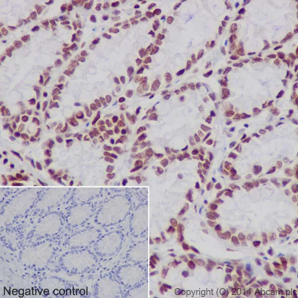
Immunohistochemistry (Formalin/PFA-fixed paraffin-embedded sections) - Anti-Histone H3 (mono+di+tri methyl K79) antibody [EPR17468] - BSA and Azide free (AB240197)

Immunohistochemical analysis of paraffin-embedded Human colon tissue labeling Histone H3 (mono+di+tri methyl K79) using ab177185 at 1/4000 dilution. A Goat Anti-Rabbit IgG H&L (HRP) (ab97051) was used as secondary at 1/500 dilution. Counter stained with Hematoxylin.
Inset image : negative control obtained using PBS instead of ab177185.
Note : Nucleus staining on glandular epithelium of Human colon tissue was observed.

This data was developed using the same antibody clone in a different buffer formulation containing PBS, BSA, glycerol, and sodium azide (ab177185).

Perform heat mediated antigen retrieval with Tris/EDTA buffer pH 9.0 before commencing with IHC staining protocol.

ChIP - Anti-Histone H3 (mono+di+tri methyl K79) antibody [EPR17468] - BSA and Azide free (AB240197)
  • ChIP

Supplier Data

ChIP - Anti-Histone H3 (mono+di+tri methyl K79) antibody [EPR17468] - BSA and Azide free (AB240197)

Chromatin was prepared from HeLa (Human epithelial cells from cervix adenocarcinoma) cells according to the Abcam X-ChIP protocol. Cells were fixed with formaldehyde for 10min. The ChIP was performed with 25μg of chromatin, 2μg of ab177185 (blue), and 20μl of Anti rabbit IgGsepharose beads. 2μg of Rabbit normal IgG was added to the beads control (yellow). The immunoprecipitated DNA was quantified by real time PCR (SYBR approach). Primers and probes are located in the first kb of the transcribed region.

This data was developed using the same antibody clone in a different buffer formulation containing PBS, BSA, glycerol, and sodium azide (ab177185).

ChIP-sequencing - Anti-Histone H3 (mono+di+tri methyl K79) antibody [EPR17468] - BSA and Azide free (AB240197)
  • ChIP-seq

Lab

ChIP-sequencing - Anti-Histone H3 (mono+di+tri methyl K79) antibody [EPR17468] - BSA and Azide free (AB240197)

This data was developed using ab177185, the same antibody clone in a different buffer formulation. Chromatin was prepared from HeLa cells. Cells were fixed with 1% formaldehyde for 10 minutes. ChIP was performed with 107 HeLa cells and 4 µg of ab177185 [EPR17468]. ChIP DNA was sequenced on the Illumina NovaSeq 6000 to a depth of 30 million reads. Additional screenshots of mapped reads can be downloaded here.

Immunohistochemistry (Formalin/PFA-fixed paraffin-embedded sections) - Anti-Histone H3 (mono+di+tri methyl K79) antibody [EPR17468] - BSA and Azide free (AB240197)
  • IHC-P

Supplier Data

Immunohistochemistry (Formalin/PFA-fixed paraffin-embedded sections) - Anti-Histone H3 (mono+di+tri methyl K79) antibody [EPR17468] - BSA and Azide free (AB240197)

Immunohistochemical analysis of paraffin-embedded Mouse colon tissue labeling Histone H3 (mono+di+tri methyl K79) using ab177185 at 1/4000 dilution. A Goat Anti-Rabbit IgG H&L (HRP) (ab97051) was used as secondary at 1/500 dilution. Counter stained with Hematoxylin.
Inset image : negative control obtained using PBS instead of ab177185.
Note : Nucleus staining on glandular epithelium of Mouse colon tissue was observed.

This data was developed using the same antibody clone in a different buffer formulation containing PBS, BSA, glycerol, and sodium azide (ab177185).

Perform heat mediated antigen retrieval with Tris/EDTA buffer pH 9.0 before commencing with IHC staining protocol.

Immunohistochemistry (Formalin/PFA-fixed paraffin-embedded sections) - Anti-Histone H3 (mono+di+tri methyl K79) antibody [EPR17468] - BSA and Azide free (AB240197)
  • IHC-P

Supplier Data

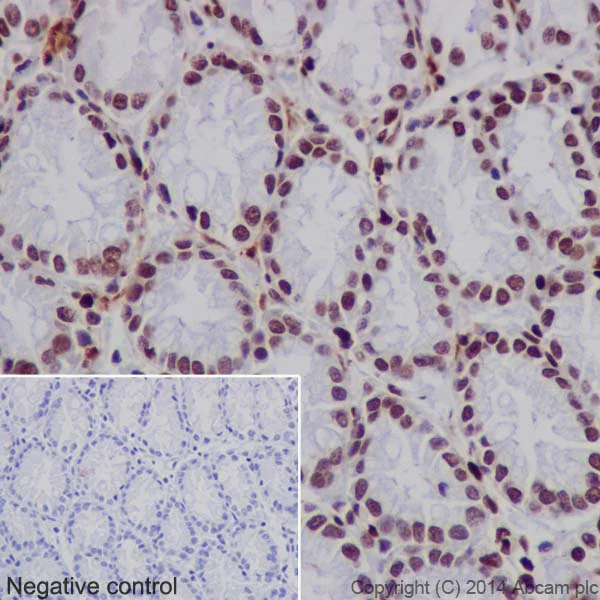
Immunohistochemistry (Formalin/PFA-fixed paraffin-embedded sections) - Anti-Histone H3 (mono+di+tri methyl K79) antibody [EPR17468] - BSA and Azide free (AB240197)

Immunohistochemical analysis of paraffin-embedded Rat colon tissue labeling Histone H3 (mono+di+tri methyl K79) using ab177185 at 1/4000 dilution. A Goat Anti-Rabbit IgG H&L (HRP) (ab97051) was used as secondary at 1/500 dilution. Counter stained with Hematoxylin.
Inset image : negative control obtained using PBS instead of ab177185.
Note : Nucleus staining on glandular epithelium of Rat colon tissue was observed.

This data was developed using the same antibody clone in a different buffer formulation containing PBS, BSA, glycerol, and sodium azide (ab177185).

Perform heat mediated antigen retrieval with Tris/EDTA buffer pH 9.0 before commencing with IHC staining protocol.

Western blot - Anti-Histone H3 (mono+di+tri methyl K79) antibody [EPR17468] - BSA and Azide free (AB240197)
  • WB

Supplier Data

Western blot - Anti-Histone H3 (mono+di+tri methyl K79) antibody [EPR17468] - BSA and Azide free (AB240197)

Blocking/Dilution buffer : 5% NFDM/TBST.

This data was developed using ab177185, the same antibody clone in a different buffer formulation.

All lanes:

Western blot - Anti-Histone H3 (mono+di+tri methyl K79) antibody [EPR17468] - ChIP Grade (<a href='/en-us/products/primary-antibodies/histone-h3-monoditri-methyl-k79-antibody-epr17468-chip-grade-ab177185'>ab177185</a>) at 1/1000 dilution

All lanes:

HeLa (Human epithelial cells from cervix adenocarcinoma) whole cell lysate at 10 µg

Secondary

All lanes:

Goat Anti-Rabbit IgG, (H+L), Peroxidase conjugated at 1/1000 dilution

Predicted band size: 15 kDa

Observed band size: 15 kDa

false

Exposure time: 30s

Western blot - Anti-Histone H3 (mono+di+tri methyl K79) antibody [EPR17468] - BSA and Azide free (AB240197)
  • WB

Supplier Data

Western blot - Anti-Histone H3 (mono+di+tri methyl K79) antibody [EPR17468] - BSA and Azide free (AB240197)

Blocking/Dilution buffer : 5% NFDM/TBST.

This data was developed using ab177185, the same antibody clone in a different buffer formulation.

All lanes:

Western blot - Anti-Histone H3 (mono+di+tri methyl K79) antibody [EPR17468] - ChIP Grade (<a href='/en-us/products/primary-antibodies/histone-h3-monoditri-methyl-k79-antibody-epr17468-chip-grade-ab177185'>ab177185</a>) at 1/1000 dilution

All lanes:

NIH/3T3 (Mouse embyro fibroblast cells) whole cell lysate at 10 µg

Secondary

All lanes:

Goat Anti-Rabbit IgG, (H+L), Peroxidase conjugated at 1/1000 dilution

Predicted band size: 15 kDa

Observed band size: 15 kDa

false

Exposure time: 1min

Peptide Array - Anti-Histone H3 (mono+di+tri methyl K79) antibody [EPR17468] - BSA and Azide free (AB240197)
  • PepArr

Supplier Data

Peptide Array - Anti-Histone H3 (mono+di+tri methyl K79) antibody [EPR17468] - BSA and Azide free (AB240197)

ab177185 was tested in Peptide Array against 501 different modified and unmodified histone peptides; each peptide is printed on the array at six concentrations (each in triplicate).
Circle area represents affinity between the antibody and a peptide : all antigen-containing peptides are displayed as red circles, all other peptides as blue circles. The affinity is calculated as area under curve when antibody binding values are plotted against the corresponding peptide concentration. Each circle area is normalized to the peptide with the strongest affinity.
The complete dataset, including full list of all peptides and information on the position of each peptide in the diagram, is available under the Product Protocol section.

This data was developed using the same antibody clone in a different buffer formulation containing PBS, BSA, glycerol, and sodium azide (ab177185).

  • Unconjugated

    Anti-Histone H3 (mono+di+tri methyl K79) antibody [EPR17468] - ChIP Grade

Key facts

Host species

Rabbit

Clonality

Monoclonal

Clone number

EPR17468

Isotype

IgG

Carrier free

Yes

Reacts with

Mouse, Rat, Human

Applications

WB, IHC-P, ChIP, PepArr, ChIP-seq

applications

Immunogen

The exact immunogen used to generate this antibody is proprietary information.

Reactivity data

{ "title": "Reactivity Data", "filters": { "stats": ["", "Species", "Dilution Info", "Notes"], "tabs": { "all-applications": {"fullname" : "All Applications", "shortname": "All Applications"}, "ChIP" : {"fullname" : "ChIP", "shortname":"ChIP"}, "WB" : {"fullname" : "Western blot", "shortname":"WB"}, "PepArr" : {"fullname" : "Peptide Array", "shortname":"PepArr"}, "ChIPseq" : {"fullname" : "ChIP-sequencing", "shortname":"ChIP-seq"}, "IHCP" : {"fullname" : "Immunohistochemistry (Formalin/PFA-fixed paraffin-embedded sections)", "shortname":"IHC-P"} }, "product-promise": { "all": "all", "testedAndGuaranteed": "tested", "guaranteed": "expected", "predicted": "predicted", "notRecommended": "not-recommended" } }, "values": { "Human": { "ChIP-species-checked": "testedAndGuaranteed", "ChIP-species-dilution-info": "", "ChIP-species-notes": "<p></p>", "WB-species-checked": "guaranteed", "WB-species-dilution-info": "", "WB-species-notes": "<p></p>", "PepArr-species-checked": "testedAndGuaranteed", "PepArr-species-dilution-info": "", "PepArr-species-notes": "<p></p>", "ChIPseq-species-checked": "testedAndGuaranteed", "ChIPseq-species-dilution-info": "", "ChIPseq-species-notes": "<p></p>", "IHCP-species-checked": "guaranteed", "IHCP-species-dilution-info": "", "IHCP-species-notes": "" }, "Mouse": { "ChIP-species-checked": "guaranteed", "ChIP-species-dilution-info": "", "ChIP-species-notes": "", "WB-species-checked": "guaranteed", "WB-species-dilution-info": "", "WB-species-notes": "<p></p>", "PepArr-species-checked": "guaranteed", "PepArr-species-dilution-info": "", "PepArr-species-notes": "", "ChIPseq-species-checked": "guaranteed", "ChIPseq-species-dilution-info": "", "ChIPseq-species-notes": "", "IHCP-species-checked": "testedAndGuaranteed", "IHCP-species-dilution-info": "", "IHCP-species-notes": "<p></p>" }, "Rat": { "ChIP-species-checked": "predicted", "ChIP-species-dilution-info": "", "ChIP-species-notes": "", "WB-species-checked": "guaranteed", "WB-species-dilution-info": "", "WB-species-notes": "<p></p>", "PepArr-species-checked": "predicted", "PepArr-species-dilution-info": "", "PepArr-species-notes": "", "ChIPseq-species-checked": "predicted", "ChIPseq-species-dilution-info": "", "ChIPseq-species-notes": "", "IHCP-species-checked": "predicted", "IHCP-species-dilution-info": "", "IHCP-species-notes": "" } } }

Product details

ab240197 is the carrier-free version of ab177185.

Patented technology
Our RabMAb® technology is a patented hybridoma-based technology for making rabbit monoclonal antibodies. For details on our patents, please refer to RabMAb® patents.

What are the advantages of a recombinant monoclonal antibody?
This product is a recombinant monoclonal antibody, which offers several advantages including:

  • - High batch-to-batch consistency and reproducibility
  • - Improved sensitivity and specificity
  • - Long-term security of supply
  • - Animal-free batch production

For more information, read more on recombinant antibodies.

Conjugation ready
Our carrier-free antibodies are typically supplied in a PBS-only formulation, purified and free of BSA, sodium azide and glycerol. This conjugation-ready format is designed for use with fluorochromes, metal isotopes, oligonucleotides, and enzymes, which makes them ideal for antibody labelling, functional and cell-based assays, flow-based assays (e.g. mass cytometry) and Multiplex Imaging applications.

Use our conjugation kits for antibody conjugates that are ready-to-use in as little as 20 minutes with 1 minute hands-on-time and 100% antibody recovery: available for fluorescent dyes, HRP, biotin and gold.

Compatibility
This product is compatible with the Maxpar® Antibody Labeling Kit from Fluidigm, without the need for antibody preparation. Maxpar® is a trademark of Fluidigm Canada Inc.

Properties and storage information

Form
Liquid
Purification technique
Affinity purification Protein A
Storage buffer
pH: 7.2 - 7.4 Constituents: PBS
Shipped at conditions
Blue Ice
Appropriate short-term storage conditions
+4°C
Appropriate long-term storage conditions
+4°C
Storage information
Do Not Freeze

Product protocols

For this product, it's our understanding that no specific protocols are required. You can visit:

Target data

The protein expressed by gene H3C1 is a core component of the nucleosome, which is essential for wrapping and compacting DNA into chromatin. This process restricts DNA accessibility to cellular machineries that use DNA as a template. Consequently, histones are central to transcription regulation, DNA repair, DNA replication, and chromosomal stability. DNA accessibility is regulated through a complex set of post-translational modifications of histones, known as the histone code, and through nucleosome remodeling. This supplementary information is collated from multiple sources and compiled automatically.
See full target information H3C1 tri methyl K79

Publications (1)

Recent publications for all applications. Explore the full list and refine your search

International journal of oncology 54:77-86 PubMed30431069

2018

Long non-coding RNA HOTAIR mediates the switching of histone H3 lysine 27 acetylation to methylation to promote epithelial-to-mesenchymal transition in gastric cancer.

Applications

Unspecified application

Species

Unspecified reactive species

Yue Song,Rui Wang,Li-Wei Li,Xi Liu,Yun-Fei Wang,Qi-Xue Wang,Qingyu Zhang
View all publications
peptideArrayWebsite
en

Product promise

We are committed to supporting your work with high-quality reagents, and we're here for you every step of the way. In the unlikely event that one of our products does not perform as expected, you're protected by our Product Promise.
For full details, please see our Terms & Conditions

Please note: All products are 'FOR RESEARCH USE ONLY. NOT FOR USE IN DIAGNOSTIC OR THERAPEUTIC PROCEDURES'.

For licensing inquiries, please contact partnerships@abcam.com